Radiomic Features of Acute Cerebral Hemorrhage on Non-Contrast CT Associated with Patient Survival
Abstract
1. Introduction
2. Methods
2.1. Patients Dataset
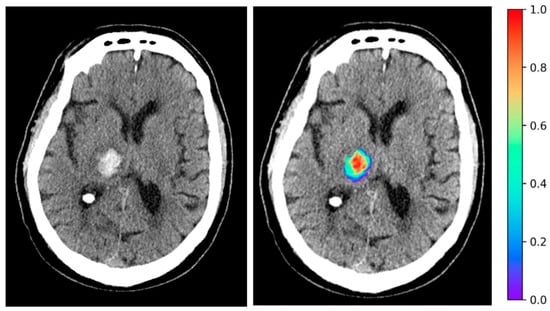
2.2. ICH Segmentation and Extraction of Radiomic Features
2.3. Generation of Discovery and Validation Cohorts
2.4. Univariable Survival Analysis, Cox Proportional Hazards Model, and Kaplan–Meier Analysis
2.5. Multivariable Survival Analysis
2.6. Receiver Operating Characteristics (ROC) Analysis
2.7. Adjusting for Multicollinearity, LASSO Logistic Regression, and Standard Logistic Regression
2.8. Comparative Analysis of ICH Score Versus Radiomic Feature(s)
2.9. Statistical Analysis of Demographic Information
3. Results
3.1. Cohort Characteristics
3.2. Clinical and ICH Radiomic Features Associated with Patients’ Survival in Univariable Analysis
3.3. Independent Predictors of ICH Patients’ Survival
3.4. Survival Curves for High- and Low-Risk Patients based on the ICH Original First Order Energy
3.5. The ICH Original First-Order Energy Feature Predicting Death at 1 Week, 1 Month, and 3 Months
3.6. Comparing the ICH Score with the ICH Original First-Order Energy Feature in Predicting Mortality
4. Discussion
5. Conclusions
Supplementary Materials
Author Contributions
Funding
Institutional Review Board Statement
Informed Consent Statement
Data Availability Statement
Conflicts of Interest
References
- Krishnamurthi, R.V.; Feigin, V.L.; Forouzanfar, M.H.; Mensah, G.A.; Connor, M.; Bennett, D.A.; Moran, A.E.; Sacco, R.L.; Anderson, L.M.; Truelsen, T.; et al. Global and regional burden of first-ever ischaemic and haemorrhagic stroke during 1990–2010: Findings from the global burden of disease study 2010. Lancet Glob. Health 2013, 1, e259–e281. [Google Scholar] [CrossRef] [PubMed]
- Krishnamurthi, R.V.; Moran, A.E.; Forouzanfar, M.H.; Bennett, D.A.; Mensah, G.A.; Lawes, C.M.; Barker-Collo, S.; Connor, M.; Roth, G.A.; Sacco, R.; et al. The global burden of hemorrhagic stroke: A summary of findings from the gbd 2010 study. Glob. Heart 2014, 9, 101–106. [Google Scholar] [CrossRef] [PubMed]
- Safatli, D.A.; Gunther, A.; Schlattmann, P.; Schwarz, F.; Kalff, R.; Ewald, C. Predictors of 30-day mortality in patients with spontaneous primary intracerebral hemorrhage. Surg. Neurol. Int. 2016, 7, S510–S517. [Google Scholar] [CrossRef] [PubMed]
- Woo, D.; Comeau, M.E.; Venema, S.U.; Anderson, C.D.; Flaherty, M.; Testai, F.; Kittner, S.; Frankel, M.; James, M.L.; Sung, G.; et al. Risk factors associated with mortality and neurologic disability after intracerebral hemorrhage in a racially and ethnically diverse cohort. JAMA Netw Open. 2022, 5, e221103. [Google Scholar] [CrossRef] [PubMed]
- Sheth, K.N. Spontaneous intracerebral hemorrhage. N. Engl. J. Med. 2022, 387, 1589–1596. [Google Scholar] [CrossRef] [PubMed]
- Morotti, A.; Boulouis, G.; Dowlatshahi, D.; Li, Q.; Barras, C.D.; Delcourt, C.; Yu, Z.; Zheng, J.; Zhou, Z.; Aviv, R.I.; et al. Standards for detecting, interpreting, and reporting noncontrast computed tomographic markers of intracerebral hemorrhage expansion. Ann. Neurol. 2019, 86, 480–492. [Google Scholar] [CrossRef] [PubMed]
- Morotti, A.; Boulouis, G.; Nawabi, J.; Li, Q.; Charidimou, A.; Pasi, M.; Schlunk, F.; Shoamanesh, A.; Katsanos, A.H.; Mazzacane, F.; et al. Using noncontrast computed tomography to improve prediction of intracerebral hemorrhage expansion. Stroke 2023, 54, 567–574. [Google Scholar] [CrossRef] [PubMed]
- Morotti, A.; Dowlatshahi, D.; Boulouis, G.; Al-Ajlan, F.; Demchuk, A.M.; Aviv, R.I.; Yu, L.; Schwab, K.; Romero, J.M.; Gurol, M.E.; et al. Predicting intracerebral hemorrhage expansion with noncontrast computed tomography: The bat score. Stroke 2018, 49, 1163–1169. [Google Scholar] [CrossRef] [PubMed]
- Li, Q.; Yakhkind, A.; Alexandrov, A.W.; Alexandrov, A.V.; Anderson, C.S.; Dowlatshahi, D.; Frontera, J.A.; Hemphill, J.C.; Ganti, L.; Kellner, C.; et al. Code ich: A call to action. Stroke 2023, 55, 494–505. [Google Scholar] [CrossRef]
- Avery, E.; Sanelli, P.C.; Aboian, M.; Payabvash, S. Radiomics: A primer on processing workflow and analysis. Semin. Ultrasound CT MR 2022, 43, 142–146. [Google Scholar] [CrossRef]
- Haider, S.P.; Qureshi, A.I.; Jain, A.; Tharmaseelan, H.; Berson, E.R.; Zeevi, T.; Majidi, S.; Filippi, C.G.; Iseke, S.; Gross, M.; et al. Admission computed tomography radiomic signatures outperform hematoma volume in predicting baseline clinical severity and functional outcome in the atach-2 trial intracerebral hemorrhage population. Eur. J. Neurol. 2021, 28, 2989–3000. [Google Scholar] [CrossRef] [PubMed]
- Haider, S.P.; Qureshi, A.I.; Jain, A.; Tharmaseelan, H.; Berson, E.R.; Zeevi, T.; Werring, D.J.; Gross, M.; Mak, A.; Malhotra, A.; et al. Radiomic markers of intracerebral hemorrhage expansion on non-contrast ct: Independent validation and comparison with visual markers. Front. Neurosci. 2023, 17, 1225342. [Google Scholar] [CrossRef] [PubMed]
- Avery, E.W.; Behland, J.; Mak, A.; Haider, S.P.; Zeevi, T.; Sanelli, P.C.; Filippi, C.G.; Malhotra, A.; Matouk, C.C.; Griessenauer, C.J.; et al. Ct angiographic radiomics signature for risk stratification in anterior large vessel occlusion stroke. Neuroimage Clin. 2022, 34, 103034. [Google Scholar] [CrossRef] [PubMed]
- Chen, Q.; Zhu, D.; Liu, J.; Zhang, M.; Xu, H.; Xiang, Y.; Zhan, C.; Zhang, Y.; Huang, S.; Yang, Y. Clinical-radiomics nomogram for risk estimation of early hematoma expansion after acute intracerebral hemorrhage. Acad. Radiol. 2021, 28, 307–317. [Google Scholar] [CrossRef] [PubMed]
- Ma, C.; Zhang, Y.; Niyazi, T.; Wei, J.; Guocai, G.; Liu, J.; Liang, S.; Liang, F.; Yan, P.; Wang, K.; et al. Radiomics for predicting hematoma expansion in patients with hypertensive intraparenchymal hematomas. Eur. J. Radiol. 2019, 115, 10–15. [Google Scholar] [CrossRef]
- Song, Z.; Guo, D.; Tang, Z.; Liu, H.; Li, X.; Luo, S.; Yao, X.; Song, W.; Song, J.; Zhou, Z. Noncontrast computed tomography-based radiomics analysis in discriminating early hematoma expansion after spontaneous intracerebral hemorrhage. Korean J. Radiol. 2021, 22, 415–424. [Google Scholar] [CrossRef] [PubMed]
- Xu, W.; Ding, Z.; Shan, Y.; Chen, W.; Feng, Z.; Pang, P.; Shen, Q. A nomogram model of radiomics and satellite sign number as imaging predictor for intracranial hematoma expansion. Front. Neurosci. 2020, 14, 491. [Google Scholar] [CrossRef] [PubMed]
- Jain, A.; Malhotra, A.; Payabvash, S. Imaging of spontaneous intracerebral hemorrhage. Neuroimaging Clin. N. Am. 2021, 31, 193–203. [Google Scholar] [CrossRef]
- Gupta, V.P.; Garton, A.L.A.; Sisti, J.A.; Christophe, B.R.; Lord, A.S.; Lewis, A.K.; Frey, H.P.; Claassen, J.; Connolly, E.S., Jr. Prognosticating functional outcome after intracerebral hemorrhage: The ichop score. World Neurosurg. 2017, 101, 577–583. [Google Scholar] [CrossRef]
- Hemphill, J.C., 3rd; Bonovich, D.C.; Besmertis, L.; Manley, G.T.; Johnston, S.C. The ich score: A simple, reliable grading scale for intracerebral hemorrhage. Stroke 2001, 32, 891–897. [Google Scholar] [CrossRef]
- Hotter, B.; Hoffmann, S.; Ulm, L.; Meisel, C.; Bustamante, A.; Montaner, J.; Katan, M.; Smith, C.J.; Meisel, A. External validation of five scores to predict stroke-associated pneumonia and the role of selected blood biomarkers. Stroke 2021, 52, 325–330. [Google Scholar] [CrossRef] [PubMed]
- Qureshi, A.I.; Palesch, Y.Y.; Barsan, W.G.; Hanley, D.F.; Hsu, C.Y.; Martin, R.L.; Moy, C.S.; Silbergleit, R.; Steiner, T.; Suarez, J.I.; et al. Intensive blood-pressure lowering in patients with acute cerebral hemorrhage. N. Engl. J. Med. 2016, 375, 1033–1043. [Google Scholar] [CrossRef] [PubMed]
- Haider, S.P.; Qureshi, A.I.; Jain, A.; Tharmaseelan, H.; Berson, E.R.; Majidi, S.; Filippi, C.G.; Mak, A.; Werring, D.J.; Acosta, J.N.; et al. The coronal plane maximum diameter of deep intracerebral hemorrhage predicts functional outcome more accurately than hematoma volume. Int. J. Stroke 2022, 17, 777–784. [Google Scholar] [CrossRef] [PubMed]
- Vittinghoff, E.; McCulloch, C.E. Relaxing the rule of ten events per variable in logistic and cox regression. Am. J. Epidemiol. 2007, 165, 710–718. [Google Scholar] [CrossRef] [PubMed]
- van Griethuysen, J.J.M.; Fedorov, A.; Parmar, C.; Hosny, A.; Aucoin, N.; Narayan, V.; Beets-Tan, R.G.H.; Fillion-Robin, J.C.; Pieper, S.; Aerts, H. Computational radiomics system to decode the radiographic phenotype. Cancer Res. 2017, 77, e104–e107. [Google Scholar] [CrossRef] [PubMed]
- He, Q.; Guo, H.; Bi, R.; Chen, S.; Shen, J.; Long, C.; Li, M.; Xia, Y.; Zhang, L.; Sun, Z.; et al. Prediction of neurological deterioration after intracerebral hemorrhage: The signals score. J. Am. Heart Assoc. 2022, 11, e026379. [Google Scholar] [CrossRef] [PubMed]
- Hemphill, J.C., 3rd; Adeoye, O.M.; Alexander, D.N.; Alexandrov, A.W.; Amin-Hanjani, S.; Cushman, M.; George, M.G.; LeRoux, P.D.; Mayer, S.A.; Qureshi, A.I.; et al. Clinical performance measures for adults hospitalized with intracerebral hemorrhage: Performance measures for healthcare professionals from the american heart association/american stroke association. Stroke 2018, 49, e243–e261. [Google Scholar] [CrossRef]
- Shah, V.A.; Thompson, R.E.; Yenokyan, G.; Acosta, J.N.; Avadhani, R.; Dlugash, R.; McBee, N.; Li, Y.; Hansen, B.M.; Ullman, N.; et al. One-year outcome trajectories and factors associated with functional recovery among survivors of intracerebral and intraventricular hemorrhage with initial severe disability. JAMA Neurol. 2022, 79, 856–868. [Google Scholar] [CrossRef]





| Alive | Deceased | p-Value | |
|---|---|---|---|
| Age (years) | 61.43 ± 12.57 | 71.28 ± 14.18 | <0.001 |
| Sex (Male) | 509 (62.61%) | 32 (55.17%) | 0.323 |
| Race: Black or African-American | 104 (12.79%) | 7 (12.07%) | 1 |
| Race: White | 200 (24.60%) | 38 (65.52%) | <0.001 |
| Race: Other | 3 (0.37%) | 1 (1.72%) | 0.639 |
| Race: Unknown/Not reported | 6 (0.74%) | 2 (3.45%) | 0.168 |
| Race: Asian | 498 (61.25%) | 10 (17.24%) | <0.001 |
| Race: American Indian or Alaska Native | 3 (0.37%) | 0 (0.00%) | 1 |
| Systolic blood pressure (mm Hg) | 175.01 ± 24.15 | 177.07 ± 31.81 | 0.541 |
| Diastolic blood pressure (mm Hg) | 94.22 ± 19.11 | 95 ± 29.82 | 0.773 |
| NIH Stroke Scale score | 10 (9) | 16.5 (8.75) | <0.001 |
| Glasgow Coma Scale (GCS) score | 15 (1) | 14 (4) | <0.001 |
| Platelet count (×103/mm3) | 221.16 ± 61.00 | 225.79 ± 83.90 | 0.587 |
| Activated partial thromboplastin time (s) | 27.60 ± 5.72 | 26.17 ± 7.73 | 0.072 |
| International Normalaized Radio (INR) | 0.9863 ± 0.1377 | 1.1086 ± 0.2799 | <0.001 |
| Serum glucose (mg/dL) | 138.53 ± 55.26 | 138.46 ± 49.48 | 0.9927 |
| Mechanical ventilation | 73 (8.98%) | 34 (58.62%) | <0.001 |
| External ventricular drainage | 38 (4.67%) | 17 (29.31%) | <0.001 |
| Surgical evacuation decompression | 29 (3.57%) | 7 (12.07%) | 0.005 |
Disclaimer/Publisher’s Note: The statements, opinions and data contained in all publications are solely those of the individual author(s) and contributor(s) and not of MDPI and/or the editor(s). MDPI and/or the editor(s) disclaim responsibility for any injury to people or property resulting from any ideas, methods, instructions or products referred to in the content. |
© 2024 by the authors. Licensee MDPI, Basel, Switzerland. This article is an open access article distributed under the terms and conditions of the Creative Commons Attribution (CC BY) license (https://creativecommons.org/licenses/by/4.0/).
Share and Cite
Zaman, S.; Dierksen, F.; Knapp, A.; Haider, S.P.; Abou Karam, G.; Qureshi, A.I.; Falcone, G.J.; Sheth, K.N.; Payabvash, S. Radiomic Features of Acute Cerebral Hemorrhage on Non-Contrast CT Associated with Patient Survival. Diagnostics 2024, 14, 944. https://doi.org/10.3390/diagnostics14090944
Zaman S, Dierksen F, Knapp A, Haider SP, Abou Karam G, Qureshi AI, Falcone GJ, Sheth KN, Payabvash S. Radiomic Features of Acute Cerebral Hemorrhage on Non-Contrast CT Associated with Patient Survival. Diagnostics. 2024; 14(9):944. https://doi.org/10.3390/diagnostics14090944
Chicago/Turabian StyleZaman, Saif, Fiona Dierksen, Avery Knapp, Stefan P. Haider, Gaby Abou Karam, Adnan I. Qureshi, Guido J. Falcone, Kevin N. Sheth, and Seyedmehdi Payabvash. 2024. "Radiomic Features of Acute Cerebral Hemorrhage on Non-Contrast CT Associated with Patient Survival" Diagnostics 14, no. 9: 944. https://doi.org/10.3390/diagnostics14090944
APA StyleZaman, S., Dierksen, F., Knapp, A., Haider, S. P., Abou Karam, G., Qureshi, A. I., Falcone, G. J., Sheth, K. N., & Payabvash, S. (2024). Radiomic Features of Acute Cerebral Hemorrhage on Non-Contrast CT Associated with Patient Survival. Diagnostics, 14(9), 944. https://doi.org/10.3390/diagnostics14090944

