MRI Assessed Placental Location as a Diagnostic Tool of Placental Invasiveness and Maternal Peripartum Morbidity
Abstract
1. Introduction
2. Materials and Methods
2.1. Patient Selection
2.2. MRI Protocol
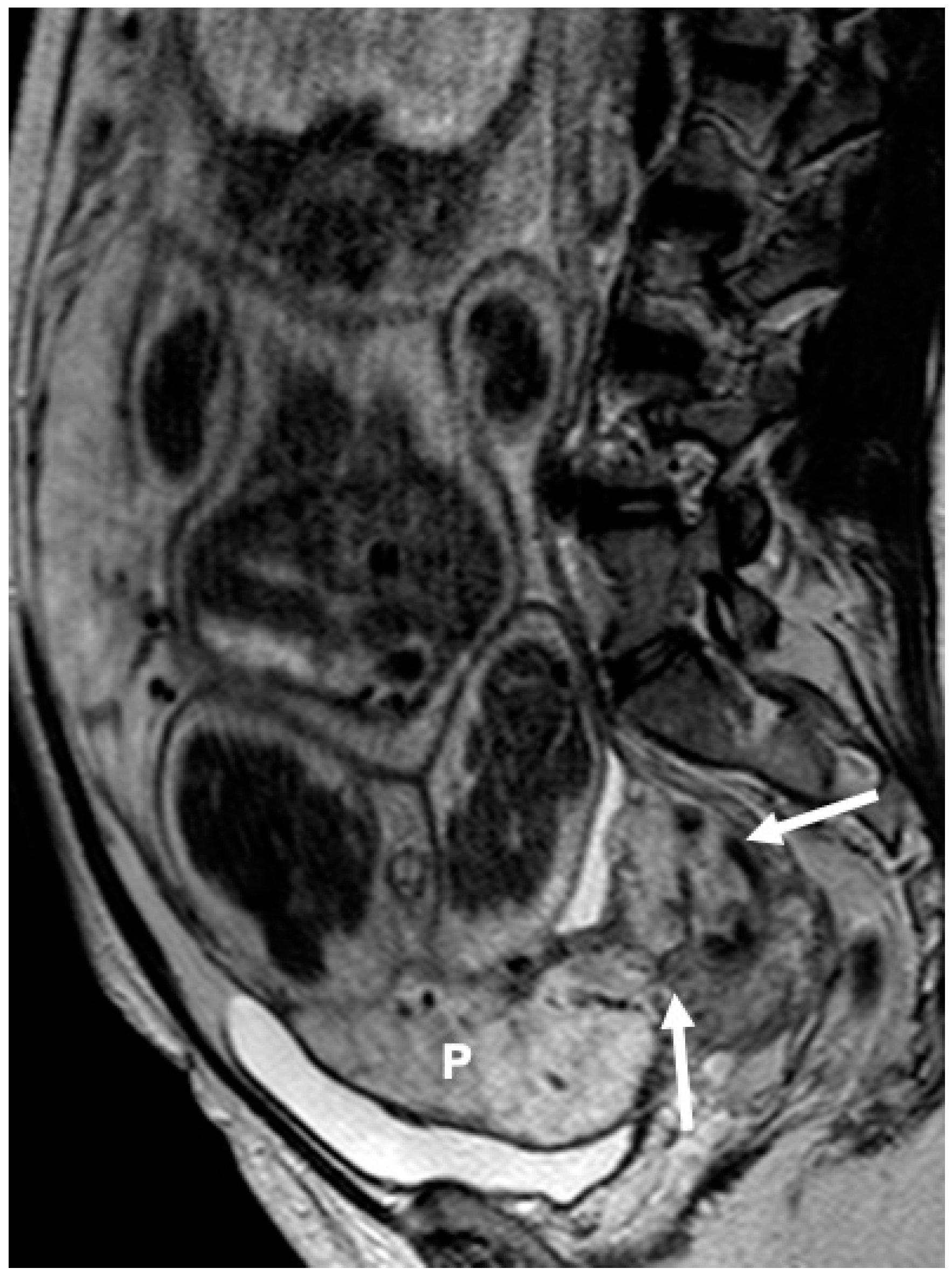
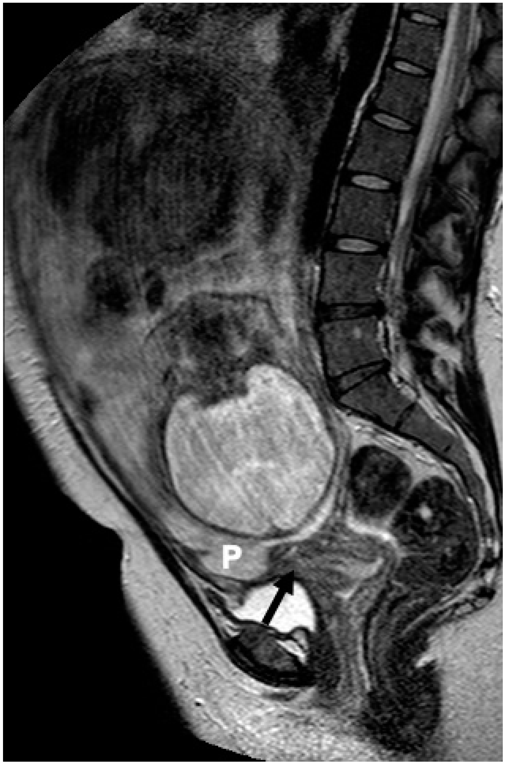
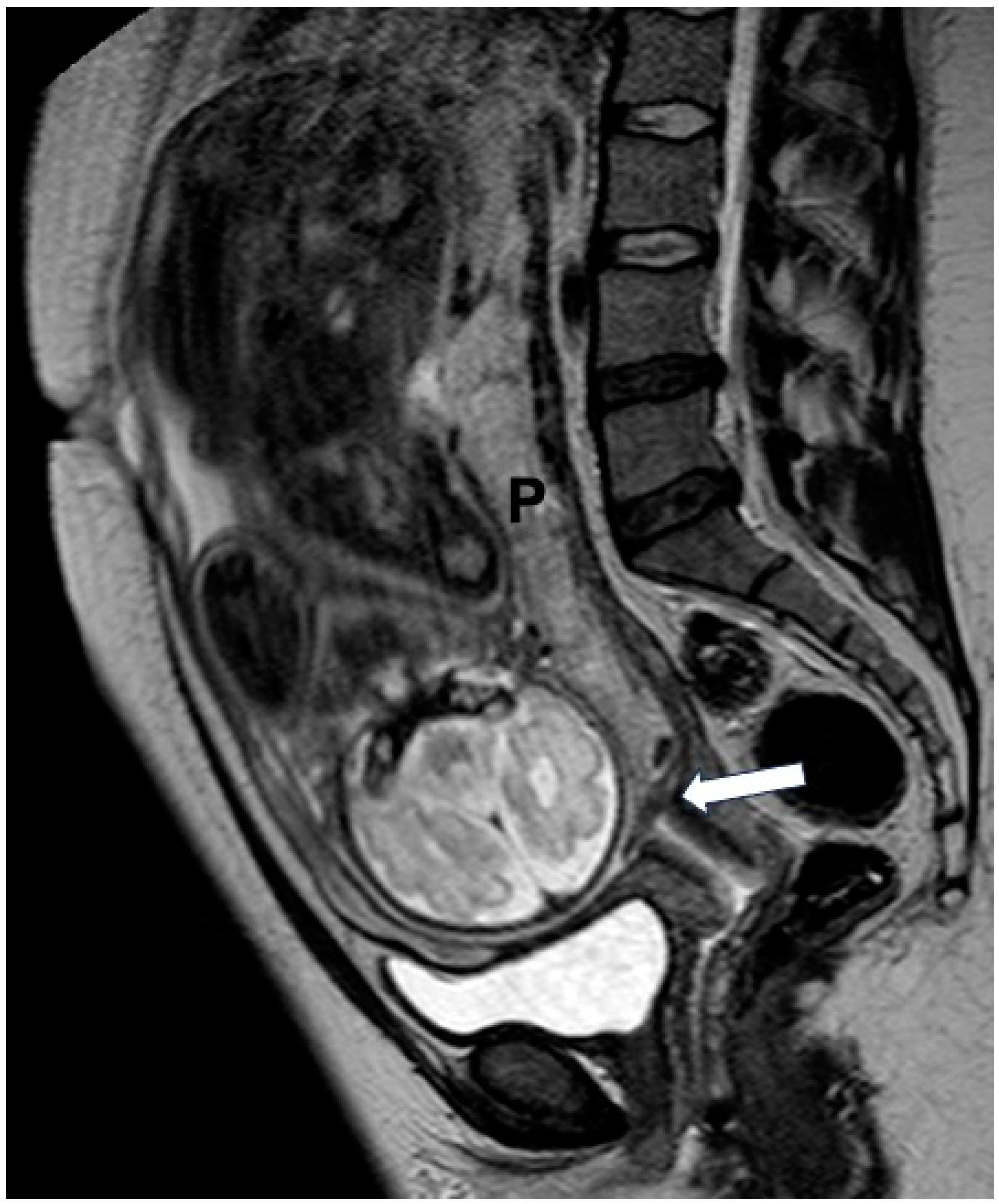
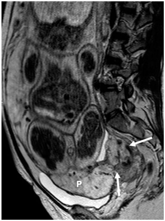
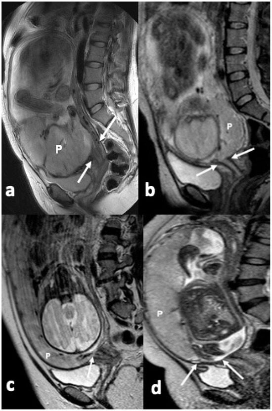
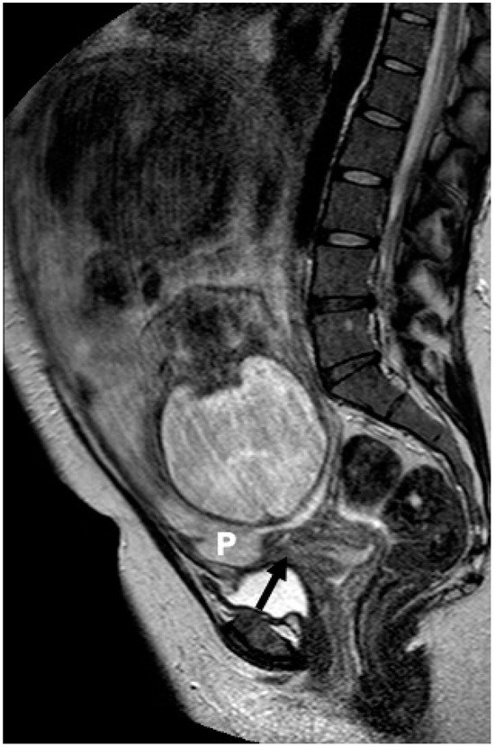
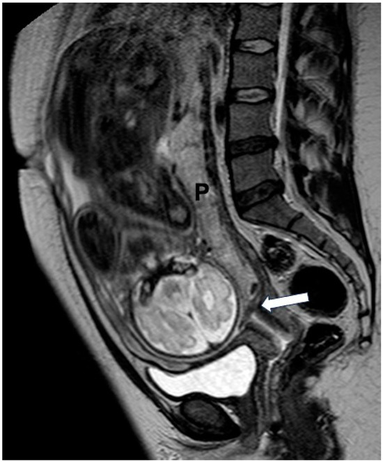
2.3. Image Interpretation
2.4. Maternal Intraoperative Course
2.5. Standard of Reference
2.6. Statistical Analysis
3. Results
3.1. Study Group
3.2. Association between Previa Type and Clinical Outcomes
3.3. Association between Placental Location and Clinical Outcomes
3.4. Multiple Regression Analysis Results with All under Study Outcomes as Dependent Variables and Previa Type as Independent Variable
3.5. Multiple Regression Analysis Results with All under Study Outcomes as Dependent Variables and Location as Independent Variable
4. Discussion
Supplementary Materials
Author Contributions
Funding
Institutional Review Board Statement
Informed Consent Statement
Data Availability Statement
Conflicts of Interest
References
- Silver, R.M. Abnormal Placentation: Placenta Previa, Vasa Previa, and Placenta Accreta. Obstet. Gynecol. 2015, 126, 654–668. [Google Scholar] [CrossRef] [PubMed]
- Jansen, C.H.J.R.; Kastelein, A.W.; Kleinrouweler, C.E.; Van Leeuwen, E.; De Jong, K.H.; Pajkrt, E.; Van Noorden, C.J.F. Development of Placental Abnormalities in Location and Anatomy. Acta Obstet. Gynecol. Scand. 2020, 99, 983–993. [Google Scholar] [CrossRef]
- Silver, R.M.; Landon, M.B.; Rouse, D.J.; Leveno, K.J.; Spong, C.Y.; Thom, E.A.; Moawad, A.H.; Caritis, S.N.; Harper, M.; Wapner, R.J.; et al. Maternal Morbidity Associated with Multiple Repeat Cesarean Deliveries. Obstet. Gynecol. 2006, 107, 1226–1232. [Google Scholar] [CrossRef] [PubMed]
- Vahanian, S.A.; Vintzileos, A.M. Placental Implantation Abnormalities: A Modern Approach. Curr. Opin. Obstet. Gynecol. 2016, 28, 477–484. [Google Scholar] [CrossRef] [PubMed]
- Elsayes, K.M.; Trout, A.T.; Friedkin, A.M.; Liu, P.S.; Bude, R.O.; Platt, J.F.; Menias, C.O. Imaging of the Placenta: A Multimodality Pictorial Review. Radiographics 2009, 29, 1371–1391. [Google Scholar] [CrossRef]
- D’Antonio, F.; Iacovella, C.; Bhide, A. Prenatal Identification of Invasive Placentation Using Ultrasound: Systematic Review and Meta-Analysis. Ultrasound Obstet. Gynecol. 2013, 42, 509–517. [Google Scholar] [CrossRef]
- D’Antonio, F.; Iacovella, C.; Palacios-Jaraquemada, J.; Bruno, C.H.; Manzoli, L.; Bhide, A. Prenatal Identification of Invasive Placentation Using Magnetic Resonance Imaging: Systematic Review and Meta-Analysis. Ultrasound Obstet. Gynecol. 2014, 44, 8–16. [Google Scholar] [CrossRef] [PubMed]
- Bourgioti, C.; Zafeiropoulou, K.; Fotopoulos, S.; Nikolaidou, M.E.; Antoniou, A.; Tzavara, C.; Moulopoulos, L.A. MRI Features Predictive of Invasive Placenta with Extrauterine Spread in High-Risk Gravid Patients: A Prospective Evaluation. Am. J. Roentgenol. 2018, 211, 701–711. [Google Scholar] [CrossRef]
- Bourgioti, C.; Zafeiropoulou, K.; Fotopoulos, S.; Nikolaidou, M.E.; Theodora, M.; Daskalakis, G.; Tzavara, C.; Chatoupis, K.; Panourgias, E.; Antoniou, A.; et al. MRI Prognosticators for Adverse Maternal and Neonatal Clinical Outcome in Patients at High Risk for Placenta Accreta Spectrum (PAS) Disorders. J. Magn. Reson. Imaging 2019, 50, 602–618. [Google Scholar] [CrossRef]
- Ghourab, S. Third-Trimester Transvaginal Ultrasonography in Placenta Previa: Does the Shape of the Lower Placental Edge Predict Clinical Outcome? Ultrasound Obstet. Gynecol. 2001, 18, 103–108. [Google Scholar] [CrossRef]
- Dashe, J.S. Toward Consistent Terminology of Placental Location. Semin. Perinatol. 2013, 37, 375–379. [Google Scholar] [CrossRef] [PubMed]
- Jauniaux, E.; Ayres-de-Campos, D.; Langhoff-Roos, J.; Fox, K.A.; Collins, S.; FIGO Placenta Accreta Diagnosis and Management Expert Consensus Panel. FIGO Classification for the Clinical Diagnosis of Placenta Accreta Spectrum Disorders. Int. J. Gynaecol. Obstet. 2019, 146, 20–24. [Google Scholar] [CrossRef] [PubMed]
- Jauniaux, E.; Alfirevic, Z.; Bhide, A.G.; Belfort, M.A.; Burton, G.J.; Collins, S.L.; Dornan, S.; Jurkovic, D.; Kayem, G.; Kingdom, J.; et al. Placenta Praevia and Placenta Accreta: Diagnosis and Management: Green-Top Guideline No. 27a. BJOG 2019, 126, e1–e48. [Google Scholar] [CrossRef]
- Moodley, J.; Ngambu, N.F.; Corr, P. Imaging Techniques to Identify Morbidly Adherent Placenta Praevia: A Prospective Study. J. Obstet. Gynaecol. 2004, 24, 742–744. [Google Scholar] [CrossRef]
- Crane, J.M.; Van den Hof, M.C.; Dodds, L.; Armson, B.A.; Liston, R. Maternal Complications with Placenta Previa. Am. J. Perinatol. 2000, 17, 101–105. [Google Scholar] [CrossRef] [PubMed]
- Vahanian, S.A.; Lavery, J.A.; Ananth, C.V.; Vintzileos, A. Placental Implantation Abnormalities and Risk of Preterm Delivery: A Systematic Review and Metaanalysis. Am. J. Obstet. Gynecol. 2015, 213 (Suppl. S4), S78–S90. [Google Scholar] [CrossRef] [PubMed]
- Chung, P.; Cheer, K.; Malacova, E.; Okano, S.; Rudra, T. Obstetric Outcomes in Major vs Minor Placenta Praevia: A Retrospective Cohort Study. Aust. N. Z. J. Obstet. Gynaecol. 2020, 60, 896–903. [Google Scholar] [CrossRef]
- Tinari, S.; Buca, D.; Cali, G.; Timor-Tritsch, I.; Palacios-Jaraquemada, J.; Rizzo, G.; Lucidi, A.; Di Mascio, D.; Liberati, M.; D’Antonio, F. Risk Factors, Histopathology and Diagnostic Accuracy in Posterior Placenta Accreta Spectrum Disorders: Systematic Review and Meta-Analysis. Ultrasound Obstet. Gynecol. 2021, 57, 903–909. [Google Scholar] [CrossRef]
- Palacios-Jaraquemada, J.M.; D’Antonio, F. Posterior Placenta Accreta Spectrum Disorders: Risk Factors, Diagnostic Accuracy, and Surgical Management. Matern. Fetal Med. 2021, 3, 268–273. [Google Scholar] [CrossRef]
- Bourgioti, C.; Konstantinidou, A.E.; Zafeiropoulou, K.; Antoniou, A.; Fotopoulos, S.; Theodora, M.; Daskalakis, G.; Nikolaidou, M.E.; Tzavara, C.; Letsika, A.; et al. Intraplacental Fetal Vessel Diameter May Help Predict for Placental Invasiveness in Pregnant Women at High Risk for Placenta Accreta Spectrum Disorders. Radiology 2021, 298, 403–412. [Google Scholar] [CrossRef]
- Soyer, P.; Morel, O.; Tsatsaris, V.; Bourgioti, C.; Barat, M. Placenta Accreta Spectrum: A Continuously Evolving Challenge for Radiologists. Can. Assoc. Radiol. J. 2021, 72, 597–598. [Google Scholar] [CrossRef] [PubMed]
- Bourgioti, C.; Zafeiropoulou, K.; Tzavara, C.; Daskalakis, G.; Fotopoulos, S.; Theodora, M.; Nikolaidou, M.E.; Konidari, M.; Gourtsoyianni, S.; Panourgias, E.; et al. Comparison between 1.5-T and 3.0-T MRI for the Diagnosis of Placenta Accreta Spectrum Disorders. Diagn. Interv. Imaging 2022, 103, 408–417. [Google Scholar] [CrossRef] [PubMed]




| N (%) | |
|---|---|
| Age (years), mean (SD) | 34.9 (4.9) |
| Prior uterine surgeries (any, except c-section) | 82 (43.4) |
| Maternal comorbidities | 45 (24.1) |
| Gestational age at delivery (weeks), mean (SD) | 35.3 (2.1) |
| History of c-section Number of c-section, median (IQR) | 129 (68.2) 1 (0–2) |
| Number of IVF | |
| 0 | 167 (88.4) |
| 1 | 18 (9.5) |
| 2 | 4 (2.1) |
| Number of fetuses | |
| 1 | 180 (95.2) |
| 2 | 9 (4.8) |
| N (%) | |
|---|---|
| Previa (type, any) | 176/189 (93.1) |
| complete | 115 (60.8) |
| low-lying | 11 (5.8) |
| marginal | 22 (11.6) |
| partial | 28 (14.8) |
| Previa (type, groups) | 176/189 (93.1) |
| complete/partial | 143 (75.7) |
| low-lying/marginal | 33 (17.5) |
| Placenta location | |
| anterior | 54 (28.6) |
| anterior–posterior | 88 (46.6) |
| lateral | 6 (3.2) |
| posterior | 41 (21.7) |
| Placenta location (groups) | |
| anterior | 54 (29.5) |
| anterior–posterior | 88 (48.1) |
| posterior | 41 (22.4) |
| PAS (histology/intraoperative) | 153 (81.0) |
| Degree of invasiveness (histology/intraoperative) | |
| absent | 36 (19.0) |
| percreta | 83 (43.9) |
| accreta/increta | 70 (37.0) |
| Extrauterine spread (intraoperative) | 66 (34.9) |
| Bladder invasion (intraoperative) | 65 (34.4) |
| Parametrial invasion (intraoperative) | 34 (18.0) |
| Blood loss during surgery (mL), median (IQR) | 750 (125–1625) |
| Need for massive transfusion | 32 (17.4) |
| Hysterectomy | 69 (36.5) |
| Bladder repair | 65 (34.4) |
| Duration of delivery (min), median (IQR) | 75 (60–120) |
| Acute onset of labor | 29 (15.3) |
| Need for IUC stay | 181 (95.8) |
| Need for IUC stay (days), median (IQR) | 1 (0–1) |
| Previa | p | ||||
|---|---|---|---|---|---|
| No | Complete/Partial | Low-Lying/ Marginal | |||
| N (%) | N (%) | N (%) | |||
| PAS (intraoperative/histology) | No | 1 (7.7) | 22 (15.4) | 13 (39.4) | 0.004 + |
| Yes | 12 (92.3) | 121 (84.6) | 20 (60.6) | ||
| Degree of invasiveness (intraoperative/histology) | No | 1 (7.7) | 22 (15.4) | 13 (39.4) | 0.013 ++ |
| Percreta | 4 (30.8) | 69 (48.3) | 10 (30.3) | ||
| Accreta/increta | 8 (61.5) | 52 (36.4) | 10 (30.3) | ||
| Extrauterine spread (intraoperative) | No | 12 (92.3) | 83 (58.0) | 28 (84.8) | 0.001 + |
| Yes | 1 (7.7) | 60 (42.0) | 5 (15.2) | ||
| Bladder involvement (intraoperative) | No | 12 (92.3) | 84 (58.7) | 28 (84.8) | 0.002 + |
| Yes | 1 (7.7) | 59 (41.3) | 5 (15.2) | ||
| Parametrial involvement (intraoperative) | No | 13 (100.0) | 110 (76.9) | 32 (97.0) | 0.006 + |
| Yes | 0 (0.0) | 33 (23.1) | 1 (3.0) | ||
| Blood loss during surgery, median (IQR) | 250 (0–500) | 1000 (250–2000) | 250 (0–500) | <0.001 ‡ | |
| Need for massive transfusion (>2000 mL) | No | 12 (92.3) | 108 (78.3) | 32 (97) | 0.025 + |
| Yes | 1 (7.7) | 30 (21.7) | 1 (3) | ||
| Hysterectomy | No | 10 (76.9) | 83 (58) | 27 (81.8) | 0.022 + |
| Yes | 3 (23.1) | 60 (42) | 6 (18.2) | ||
| Bladder repair | No | 12 (92.3) | 84 (58.7) | 28 (84.8) | 0.002+ |
| Yes | 1 (7.7) | 59 (41.3) | 5 (15.2) | ||
| Duration of delivery, median (IQR) | 60 (50–90) | 80 (60–120) | 60 (45–80) | 0.004 ‡ | |
| Acute onset of labor | No | 13 (100.0) | 118 (82.5) | 29 (87.9) | 0.210 + |
| Yes | 0 (0.0) | 25 (17.5) | 4 (12.1) | ||
| Need for ICU stay | No | 3 (23.1) | 3 (2.1) | 2 (6.1) | 0.006 ++ |
| Yes | 10 (76.9) | 140 (97.9) | 31 (93.9) | ||
| Need for ICU stay (days), median (IQR) | 0.5 (0–1) | 1 (0–2) | 0 (0–1) | <0.001 ‡ | |
| Location | p | ||||
|---|---|---|---|---|---|
| Anterior | Anterior/Posterior | Posterior | |||
| N (%) | N (%) | N (%) | |||
| PAS (intraoperative/histology) | No | 7 (13.0) | 9 (10.2) | 18 (43.9) | <0.001 + |
| Yes | 47 (87.0) | 79 (89.8) | 23 (56.1) | ||
| Degree of invasiveness (intraoperative/histology) | No | 7 (13.0) | 9 (10.2) | 18 (43.9) | <0.001 + |
| Percreta | 25 (46.3) | 52 (59.1) | 3 (7.3) | ||
| Accreta/increta | 22 (40.7) | 27 (30.7) | 20 (48.8) | ||
| Extrauterine spread (intraoperative) | No | 37 (68.5) | 41 (46.6) | 40 (97.6) | <0.001 + |
| Yes | 17 (31.5) | 47 (53.4) | 1 (2.4) | ||
| Bladder involvement (intraoperative) | No | 37 (68.5) | 41 (46.6) | 41 (100) | <0.001 + |
| Yes | 17 (31.5) | 47 (53.4) | 0 (0) | ||
| Parametrial involvement (intraoperative) | No | 46 (85.2) | 63 (71.6) | 40 (97.6) | 0.001 + |
| Yes | 8 (14.8) | 25 (28.4) | 1 (2.4) | ||
| Blood loss during surgery, median (IQR) | 500 (0–1500) | 1250 (500–2500) | 250 (0–750) | <0.001 ‡ | |
| Need for massive transfusion | No | 49 (90.7) | 58 (69.0) | 40 (100.0) | <0.001 + |
| Yes | 5 (9.3) | 26 (31.0) | 0 (0.0) | ||
| Hysterectomy | No | 38 (70.4) | 39 (44.3) | 40 (97.6) | <0.001 + |
| Yes | 16 (29.6) | 49 (55.7) | 1 (2.4) | ||
| Bladder repair | No | 37 (68.5) | 41 (46.6) | 41 (100.0) | <0.001 + |
| Yes | 17 (31.5) | 47 (53.4) | 0 (0.0) | ||
| Duration of delivery (min), median (IQR) | 70 (50–100) | 90 (60–145) | 60 (50–70) | <0.001 ‡ | |
| Acute onset of labor | No | 47 (87) | 74 (84.1) | 33 (80.5) | 0.687 + |
| Yes | 7 (13) | 14 (15.9) | 8 (19.5) | ||
| Need for ICU stay | No | 5 (9.3) | 0 (0.0) | 3 (7.3) | 0.007 ++ |
| Yes | 49 (90.7) | 88 (100.0) | 38 (92.7) | ||
| Need for ICU stay (days), median (IQR) | 1 (0–1) | 1 (0–2) | 0 (0–1) | <0.001 ‡ | |
| Dependent Variable | Independent Variable | OR (95% CI) + | p |
|---|---|---|---|
| PAS intraoperative/histology) | No previa vs. low-lying/marginal | 14.80 (1.30–168.93) | 0.030 |
| Complete/partial vs. low-lying/marginal | 3.32 (1.29–8.56) | 0.013 | |
| Degree of invasiveness (intraoperative/histology) 1 | No previa vs. low-lying/marginal | 1.79 (0.32–9.93) | 0.508 |
| Complete/partial vs. low-lying/marginal | 0.69 (0.22–2.13) | 0.521 | |
| Extrauterine spread (intraoperative) | No previa vs. low-lying/marginal | 0.29 (0.02–5.22) | 0.401 |
| Complete/partial vs. low-lying/marginal | 4.06 (1.31–12.56) | 0.015 | |
| Bladder involvement (intraoperative) | No previa vs. low-lying/marginal | 0.27 (0.01–5.78) | 0.403 |
| Complete/partial vs. low-lying/marginal | 4.33 (1.35–13.87) | 0.014 | |
| Parametrial involvement (intraoperative) | No previa vs. low-lying/marginal | - | - ‡ |
| Complete/partial vs. low-lying/marginal | 8.88 (1.12–70.60) | 0.039 | |
| Need for massive transfusion | No previa vs. low-lying/marginal | 0.54 (0.01–46.06) | 0.787 |
| Complete/partial vs. low-lying/marginal | 6.75 (0.84–54.31) | 0.073 | |
| Hysterectomy | No previa vs. low-lying/marginal | 1.68 (0.27–10.37) | 0.575 |
| Complete/partial vs. low-lying/marginal | 3.73 (1.19–11.65) | 0.024 | |
| Bladder repair | No previa vs. low-lying/marginal | 0.27 (0.01–5.78) | 0.403 |
| Complete/partial vs. low-lying/marginal | 4.33 (1.35–13.87) | 0.014 | |
| Acute onset of labor | No previa vs. low-lying/marginal | - | - ‡ |
| Complete/partial vs. low-lying/marginal | 1.03 (0.29–3.68) | 0.964 | |
| Need for ICU | No previa vs. low-lying/marginal | 0.16 (0.02–1.42) | 0.099 |
| Complete/partial vs. low-lying/marginal | 2.77 (0.38–20.178) | 0.315 | |
| β (SE) ++ | p | ||
| Blood loss during surgery | No previa vs. low-lying/marginal | −0.24 (0.15) | 0.105 |
| Complete/partial vs. low-lying/marginal | 0.17 (0.09) | 0.056 | |
| Duration of delivery | No previa vs. low-lying/marginal | −0.01 (0.07) | 0.867 |
| Complete/partial vs. low-lying/marginal | 0.11 (0.04) | 0.011 | |
| Need for ICU stay (days) | No previa vs. low-lying/marginal | 0.03 (0.08) | 0.669 |
| Complete/partial vs. low-lying/marginal | 0.14 (0.04) | 0.001 |
| Dependent Variable | Independent Variable | OR (95% CI) + | p |
|---|---|---|---|
| PAS (intraoperative/histology) | Anterior vs. posterior | 6.94 (2.11–22.81) | 0.001 |
| Anterior/posterior vs. posterior | 7.38 (2.39–22.77) | 0.001 | |
| Degree of invasiveness (intraoperative/histology) 1 | Anterior vs. posterior | 0.11 (0.02–0.59) | 0.010 |
| Anterior/posterior vs. posterior | 0.06 (0.01–0.32) | 0.001 | |
| Extrauterine spread (intraoperative) | Anterior vs. posterior | 19.27 (2.06–179.89) | 0.009 |
| Anterior/posterior vs. posterior | 49.63 (5.29–465.57) | 0.001 | |
| Bladder involvement (intraoperative) | Anterior vs. posterior | - | - ‡ |
| Anterior/posterior vs. posterior | - | - ‡ | |
| Parametrial involvement (intraoperative) | Anterior vs. posterior | 6.35 (0.71–56.62) | 0.098 |
| Anterior/posterior vs. posterior | 12.12 (1.42–103.17) | 0.022 | |
| Need for massive transfusion | Anterior vs. posterior | - | - ‡ |
| Anterior/posterior vs. posterior | - | - ‡ | |
| Hysterectomy | Anterior vs. posterior | 16.32 (1.70–157.18) | 0.016 |
| Anterior/posterior vs. posterior | 55.49 (5.73–537.27) | 0.001 | |
| Bladder repair | Anterior vs. posterior | - | - ‡ |
| Anterior/posterior vs. posterior | - | - ‡ | |
| Acute onset of labor | Anterior vs. posterior | 0.28 (0.08–1.07) | 0.062 |
| Anterior/posterior vs. posterior | 0.24 (0.07–0.92) | 0.037 | |
| Need for ICU | Anterior vs. posterior | 0.45 (0.07–2.84) | 0.395 |
| Anterior/posterior vs. posterior | - | - ‡ | |
| β (SE) ++ | p | ||
| Blood loss during surgery | Anterior vs. posterior | 0.15 (0.10) | 0.126 |
| Anterior/posterior vs. posterior | 0.27 (0.09) | 0.003 | |
| Duration of delivery | Anterior vs. posterior | 0.05 (0.05) | 0.263 |
| Anterior/posterior vs. posterior | 0.15 (0.04) | 0.001 | |
| Need for ICU stay (days) | Anterior vs. posterior | 0.08 (0.05) | 0.099 |
| Anterior/posterior vs. posterior | 0.16 (0.05) | <0.001 |
Disclaimer/Publisher’s Note: The statements, opinions and data contained in all publications are solely those of the individual author(s) and contributor(s) and not of MDPI and/or the editor(s). MDPI and/or the editor(s) disclaim responsibility for any injury to people or property resulting from any ideas, methods, instructions or products referred to in the content. |
© 2024 by the authors. Licensee MDPI, Basel, Switzerland. This article is an open access article distributed under the terms and conditions of the Creative Commons Attribution (CC BY) license (https://creativecommons.org/licenses/by/4.0/).
Share and Cite
Bourgioti, C.; Konidari, M.; Eleftheriades, M.; Theodora, M.; Nikolaidou, M.E.; Zafeiropoulou, K.; Tzavara, C.; Fotopoulos, S.; Daskalakis, G.; Moulopoulos, L.A. MRI Assessed Placental Location as a Diagnostic Tool of Placental Invasiveness and Maternal Peripartum Morbidity. Diagnostics 2024, 14, 925. https://doi.org/10.3390/diagnostics14090925
Bourgioti C, Konidari M, Eleftheriades M, Theodora M, Nikolaidou ME, Zafeiropoulou K, Tzavara C, Fotopoulos S, Daskalakis G, Moulopoulos LA. MRI Assessed Placental Location as a Diagnostic Tool of Placental Invasiveness and Maternal Peripartum Morbidity. Diagnostics. 2024; 14(9):925. https://doi.org/10.3390/diagnostics14090925
Chicago/Turabian StyleBourgioti, Charis, Marianna Konidari, Makarios Eleftheriades, Marianna Theodora, Maria Evangelia Nikolaidou, Konstantina Zafeiropoulou, Chara Tzavara, Stavros Fotopoulos, George Daskalakis, and Lia Angela Moulopoulos. 2024. "MRI Assessed Placental Location as a Diagnostic Tool of Placental Invasiveness and Maternal Peripartum Morbidity" Diagnostics 14, no. 9: 925. https://doi.org/10.3390/diagnostics14090925
APA StyleBourgioti, C., Konidari, M., Eleftheriades, M., Theodora, M., Nikolaidou, M. E., Zafeiropoulou, K., Tzavara, C., Fotopoulos, S., Daskalakis, G., & Moulopoulos, L. A. (2024). MRI Assessed Placental Location as a Diagnostic Tool of Placental Invasiveness and Maternal Peripartum Morbidity. Diagnostics, 14(9), 925. https://doi.org/10.3390/diagnostics14090925

