Correlations between Dental Age, Skeletal Age, and Mandibular Morphologic Index Changes in Turkish Children in Eastern Anatolia and Their Chronological Age during the Pubertal Growth Spurt Period: A Cross-Sectional Study
Abstract
1. Introduction
2. Material and Method
2.1. Patient Selection
2.2. Inclusion Criteria
- Living in Eastern Anatolia;
- Being right-handed;
- Having no systemic disorders;
- Having X-ray images clearly revealing the bone structures;
- Having no muscular dystrophy, congenital anomalies, or previous history of trauma at the related areas that can adversely affect the growth of hand–wrist bones.
2.3. Exclusion Criteria
- Systemic diseases in the anamneses;
- Previous history of orthodontic treatment or appliances;
- Hypodontia, extracted or missing, with the exception of permanent third molars, deep carious lesions, restorations, apical lesions, and root canal therapy in the left mandible.
2.4. Skeletal Age Determination
2.5. Chronological Age Determination
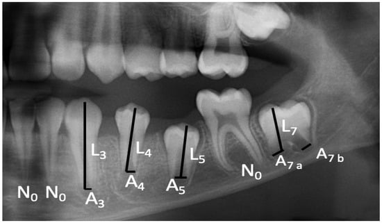
2.6. Dental Age Determination
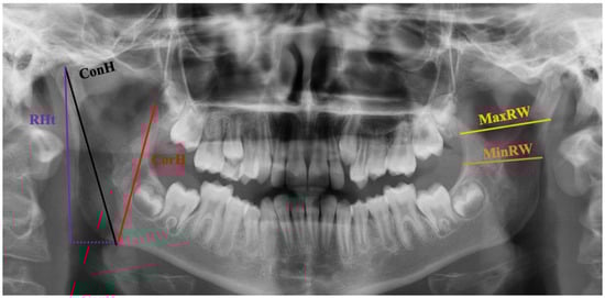
2.7. Morphometric Measurements
2.8. Statistical Analysis
3. Results
4. Discussion
5. Conclusions
Author Contributions
Funding
Institutional Review Board Statement
Informed Consent Statement
Data Availability Statement
Conflicts of Interest
References
- Galić, I.; Vodanović, M.; Cameriere, R.; Nakaš, E.; Galić, E.; Selimović, E.; Brkić, H. Accuracy of Cameriere, Haavikko, and Willems Radiographic Methods on Age Estimation on Bosnian–Herzegovian Children Age Groups 6–13. Int. J. Leg. Med. 2011, 125, 315–321. [Google Scholar] [CrossRef] [PubMed]
- Green, L.J. The Interrelationships among Height, Weight and Chronological, Dental and Skeletal Ages. Angle Orthod. 1961, 31, 189–193. [Google Scholar] [CrossRef]
- İşbilir, Ş.; Çiftçi, Z.Z.; Karayılmaz, H.; Günen Yılmaz, S. Is There Any Relationship between Pubertal Growth Spurt and Dental or Bone Age Estimation Methods? Aust. J. Forensic Sci. 2023, 55, 511–528. [Google Scholar] [CrossRef]
- Mohammed, R.B.; Kalyan, V.S.; Tircouveluri, S.; Vegesna, G.C.; Chirla, A.; Varma, D.M. The Reliability of Fishman Method of Skeletal Maturation for Age Estimation in Children of South Indian Population. J. Nat. Sci. Biol. Med. 2014, 5, 297. [Google Scholar] [CrossRef]
- Gilsanz, V.; Ratib, O. Hand Bone Age: A Digital Atlas of Skeletal Maturity; Springer: Berlin/Heidelberg, Germany, 2005; Volume 1, pp. 54–89. [Google Scholar]
- Kırzıoğlu, Z.; Ceyhan, D. Accuracy of Different Dental Age Estimation Methods on Turkish Children. Forensic Sci. Int. 2012, 216, 61–67. [Google Scholar] [CrossRef] [PubMed]
- Priyadarshini, C.; Puranik, M.P.; Uma, S. Dental Age Estimation Methods—A Review; LAP Lambert Academic Publisher: Saarbrucken, Germany, 2015. [Google Scholar]
- Willems, G.; Van Olmen, A.; Carels, C.; Spiessens, B. Dental Age Estimation in Belgian Children: Demirjian’s Technique Revisited. J. Forensic Sci. 2001, 46, 893–895. [Google Scholar] [CrossRef]
- Ozveren, N.; Serindere, G. Comparison of the Applicability of Demirjian and Willems Methods for Dental Age Estimation in Children from the Thrace Region, Turkey. Forensic Sci. Int. 2018, 285, 38–43. [Google Scholar] [CrossRef] [PubMed]
- Hato, E.; Coşgun, A.; Altan, H. Comperative Evaluation of Nolla, Willems and Cameriere methods for Age Estimation of Turkish Children in the Central Black Sea Region: A Preliminary Study. J. Forensic Leg. Med. 2022, 91, 102400. [Google Scholar] [CrossRef] [PubMed]
- Gulsahi, A.; Tirali, R.E.; Cehreli, S.B.; De Luca, S.; Ferrante, L.; Cameriere, R. The Reliability of Cameriere’s Method in Turkish Children: A Preliminary Report. Forensic Sci. Int. 2015, 249, 319.e1–319.e5. [Google Scholar] [CrossRef]
- More, C.B.; Vijayvargiya, R.; Saha, N. Morphometric Analysis of Mandibular Ramus for Sex Determination on Digital Orthopantomogram. J. Forensic Dent. Sci. 2017, 9, 1. [Google Scholar] [CrossRef]
- Damera, A.; Mohanalakhsmi, J.; Yellarthi, P.K.; Rezwana, B.M. Radiographic Evaluation of Mandibular Ramus for Gender Estimation: Retrospective Study. J. Forensic Dent. Sci. 2016, 8, 74. [Google Scholar] [CrossRef] [PubMed]
- Franklin, D.; Cardini, A. Mandibular Morphology as an Indicator of Human Subadult Age: Interlandmark approaches. J. Forensic Sci. 2007, 52, 1015–1019. [Google Scholar] [CrossRef] [PubMed]
- Motawei, S.M.; Helaly, A.; Aboelmaaty, W.M.; Elmahdy, K. Mandibular Ramus Linear Measurements as an Indicator of Chronological Age and Sex in Egyptian Population. Egypt. Dent. J. 2018, 64, 3287–3294. [Google Scholar] [CrossRef]
- Kök, A.N. Türk Ceza Adalet Sisteminde Adli Tıp Uygulamaları; Seçkin Yayıncılık: Ankara, Türkiye, 2014; p. 7. [Google Scholar]
- Türkish Criminal Code. 2004. Available online: https://staff.emu.edu.tr/alexanderchefranov/Documents/CMPE455/Turkısh%20Crımınal%20Code.pdf (accessed on 9 April 2024).
- Cameriere, R.; Ferrante, L.; Cingolani, M. Age Estimation in Children by Measurement of Open Apices in Teeth. Int. J. Leg. Med. 2006, 120, 49–52. [Google Scholar] [CrossRef]
- Melo, M.; Ata-Ali, J. Accuracy of the Estimation of Dental Age in Comparison with Chronological Age in a Spanish Sample of 2641 Living Subjects Using the Demirjian and Nolla Methods. Forensic Sci. Int. 2017, 270, 276.e1–276.e7. [Google Scholar] [CrossRef]
- Karadayı, B.; İşcan, M. Dental Age Estimation with Demirjian Technique on Living Children in Northwestern Turkey. Turkiye Klinikleri J. Foren. Med. 2014, 11, 71–77. [Google Scholar]
- Poongodi, V.; Kanmani, R.; Anandi, M.; Krithika, C.; Kannan, A.; Raghuram, P. Prediction of Age and Gender Using Digital Radiographic Method: A Retrospective Study. J. Pharm. Bioallied Sci. 2015, 7, S504. [Google Scholar] [CrossRef]
- Bhuyan, R.; Mohanty, S.; Bhuyan, S.K.; Pati, A.; Priyadarshini, S.; Das, P. Panoramic Radiograph as a Forensic Aid in Age and Gender Estimation: Preliminary Retrospective Study. J. Oral Maxillofac. Pathol. JOMFP 2018, 22, 266. [Google Scholar] [CrossRef] [PubMed]
- Różyło-Kalinowska, I.; Kiworkowa-Rączkowska, E.; Kalinowski, P. Dental Age in Central Poland. Forensic Sci. Int. 2008, 174, 207–216. [Google Scholar] [CrossRef]
- Eid, R.; Simi, R.; Friggi, M.; Fisberg, M. Assessment of Dental Maturity of Brazilian Children Aged 6 to 14 Years Using Demirjian’s Method. Int. J. Paediatr. Dent. 2002, 12, 423–428. [Google Scholar] [CrossRef]
- Cantekin, K.; Sekerci, A.E.; Peduk, K.; Delikan, E.; Ílday, N.O.; Demirbuga, S.; Miloglu, O. Dental Age Assessment for Different Climatic Regions. Am. J. Forensic Med. Pathol. 2014, 35, 197–200. [Google Scholar] [CrossRef]
- Celikoglu, M.; Cantekin, K.; Ceylan, I. Dental age Assessment: The Applicability of Demirjian Method in Eastern Turkish Children. J. Forensic Sci. 2011, 56, S220–S222. [Google Scholar] [CrossRef]
- Cameriere, R.; Ferrante, L.; Liversidge, H.; Prieto, J.; Brkic, H. Accuracy of Age Estimation in Children Using Radiograph of Developing Teeth. Forensic Sci. Int. 2008, 176, 173–177. [Google Scholar] [CrossRef]
- Konak, M. Evaluation of Bone Mineral Density Measurement Results in Adolescents. J. Contemp. Med. 2019, 9, 288–294. [Google Scholar] [CrossRef]
- Jairam, L.S.; Konde, S.; Raj, N.S.; Kumar, N. Vitamin D Deficiency as an Etiological Factor in Delayed Eruption of Primary Teeth: A Cross-Sectional Study. J. Indian Soc. Pedod. Prev. Dent. 2020, 38, 211–215. [Google Scholar] [CrossRef]
- Sharma, V.K.; Nikam, M.M.; Vekariya, B.; Harikumar, S.; Chandana, J.K.; Khandare, D.M. Assessment of Vitamin D Deficiency as an Etiological Factor in Delayed Eruption of Primary Teeth. J. Adv. Med. Dent. Sci. Res. 2023, 11, 1–3. [Google Scholar] [CrossRef]
- Xavier, T.A.; Madalena, I.R.; da Silva, R.A.B.; da Silva, L.A.B.; Silva, M.J.B.; De Rossi, A.; Küchler, E.C.; Fukada, S.Y. Vitamin D Deficiency is a Risk Factor for Delayed Tooth Eruption Associated with Persistent Primary Tooth. Acta Odontol. Scand. 2021, 79, 600–605. [Google Scholar] [CrossRef]
- Celik, H. Comparison of Greulich-Pyle and Gilsanz-Ratib Atlases through an Intelligent Bone Age Assessment System. In Proceedings of the 2018 International Conference on Artificial Intelligence and Data Processing (IDAP), Malatya, Turkey, 28–30 September 2018; pp. 1–4. [Google Scholar]




| Min.–Max. | Mean ± S.D. (M.) | p | |
|---|---|---|---|
| Chronological age | 9.0–15.0 | 11.9 ± 1.8 (11.9) | <0.001 * |
| Dental age | 7.4–14.0 | 11.2 ± 1.6 (10.9) | |
| Skeletal age | 5.0–15.0 | 11.5 ± 1.9 (11.0) |
| Age Group | Gender | Min.–Max. | Mean ± S.D. (M.) | p | |
|---|---|---|---|---|---|
| 9–9.99 years | Girl | Chronological age | 9.0–9.9 | 9.4 ± 0.2 (9.4) | 0.008 * |
| Dental age | 7.4–10.2 | 9 ± 0.91 (9) | |||
| Skeletal age | 8–10 | 9.1 ± 0.4 (9) | |||
| Boy | Chronological age | 9.0–9.9 | 9.0 ± 1.7 (9.4) | 0.056 | |
| Dental age | 7.8–11.5 | 9.2 ± 1.0 (8.7) | |||
| Skeletal age | 8–12 | 9.1 ± 0.9 (9) | |||
| 10–10.99 years | Girl | Chronological age | 10.0–10.9 | 10.6 ± 0.2 (10.7) | 0.000 * |
| Dental age | 8.9–12.1 | 10.1 ± 0.6 (10) | |||
| Skeletal age | 9–11 | 9.7 ± 0.6 (10) | |||
| Boy | Chronological age | 10–10.9 | 10.4 ± 0.3 (10.3) | 0.008 * | |
| Dental age | 8.6–10.9 | 10 ± 0.7 (10.1) | |||
| Skeletal age | 9–11 | 10.0 ± 0.5 (10) | |||
| 11–11.99 years | Girl | Chronological age | 11.0–11.9 | 11.4 ± 0.2 (11.4) | 0.001 * |
| Dental age | 8.7–12.9 | 11.1 ± 1.1 (11.2) | |||
| Skeletal age | 9–13 | 10.6 ± 0.8 (11) | |||
| Boy | Chronological age | 11.0–11.9 | 11.5 ± 0.2 (11.5) | 0.000 * | |
| Dental age | 8.6–11.5 | 10.4 ± 0.6 (10.5) | |||
| Skeletal age | 10–12 | 10.6 ± 0.5 (11) | |||
| 12–12.99 years | Girl | Chronological age | 12.0–12.9 | 12.0 ± 0.3 (12.5) | 0.001 * |
| Dental age | 10.0–12.8 | 11.7 ± 0.9 (11.9) | |||
| Skeletal age | 10–14 | 12.1 ± 0.8 (12) | |||
| Boy | Chronological age | 12–12.9 | 12.4 ± 0.2 (12.5) | 0.000 * | |
| Dental age | 10.0–12.5 | 11.2 ± 0.7 (10.8) | |||
| Skeletal age | 11–13 | 11.9 ± 0.7 (12) | |||
| 13–13.99 years | Girl | Chronological age | 13–13.9 | 13.4 ± 0.3 (13.5) | 0.000 * |
| Dental age | 11.3–13.6 | 12.4 ± 0.6 (12.2) | |||
| Skeletal age | 12–15 | 13.4 ± 0.8 (13) | |||
| Boy | Chronological age | 13–13.9 | 13.5 ± 0.3 (13.5) | 0.000 * | |
| Dental age | 10.7–14.0 | 12.4 ± 0.9 (12.4) | |||
| Skeletal age | 11–15 | 13.2 ± 0.7 (13) | |||
| 14–14.99 years | Girl | Chronological age | 14–14.9 | 14.4 ± 0.2 (14.5) | 0.000 * |
| Dental age | 12.0–13.6 | 13.1 ± 0.6 (13.6) | |||
| Skeletal age | 13–15 | 14.4 ± 0.6 (14) | |||
| Boy | Chronological age | 14–14.9 | 14.5 ± 0.3 (14.5) | 0.000 * | |
| Dental age | 12.4–14.0 | 13.4 ± 0.6 (14) | |||
| Skeletal age | 14–15 | 14.1 ± 0.3 (14) |
| Chronological Age | Dental Age | Skeletal Age | ||
|---|---|---|---|---|
| Condylar height | r | 0.758 | 0.753 | 0.802 |
| p | <0.001 | <0.001 | <0.001 | |
| Coronoid height | r | 0.620 | 0.652 | 0.671 |
| p | <0.001 | <0.001 | <0.001 | |
| Ramus height | r | 0.700 | 0.712 | 0.763 |
| p | <0.001 | <0.001 | <0.001 | |
| Maximum ramus height | r | 0.579 | 0.561 | 0.580 |
| p | <0.001 | <0.001 | <0.001 | |
| Minimum ramus height | r | 0.325 | 0.335 | 0.333 |
| p | <0.001 | <0.001 | <0.001 |
| Girl | Boy | ||||||
|---|---|---|---|---|---|---|---|
| Chronological Age | Dental Age | Skeletal Age | Chronological Age | Dental Age | Skeletal Age | ||
| Condylar height | r | 0.749 | 0.688 | 0.773 | 0.771 | 0.807 | 0.841 |
| p | <0.001 | <0.001 | <0.001 | <0.001 | <0.001 | <0.001 | |
| Coronoid height | r | 0.605 | 0.618 | 0.654 | 0.630 | 0.661 | 0.692 |
| p | <0.001 | <0.001 | <0.001 | <0.001 | <0.001 | <0.001 | |
| Tangential ramus height | r | 0.717 | 0.648 | 0.753 | 0.694 | 0.761 | 0.786 |
| p | <0.001 | <0.001 | <0.001 | <0.001 | <0.001 | <0.001 | |
| Maximum ramus width | r | 0.525 | 0.496 | 0.518 | 0.644 | 0.656 | 0.672 |
| p | <0.001 | <0.001 | <0.001 | <0.001 | <0.001 | <0.001 | |
| Minimum ramus width | r | 0.251 | 0.230 | 0.240 | 0.385 | 0.453 | 0.445 |
| p | 0.006 | 0.011 | 0.008 | <0.001 | <0.001 | <0.001 | |
Disclaimer/Publisher’s Note: The statements, opinions and data contained in all publications are solely those of the individual author(s) and contributor(s) and not of MDPI and/or the editor(s). MDPI and/or the editor(s) disclaim responsibility for any injury to people or property resulting from any ideas, methods, instructions or products referred to in the content. |
© 2024 by the authors. Licensee MDPI, Basel, Switzerland. This article is an open access article distributed under the terms and conditions of the Creative Commons Attribution (CC BY) license (https://creativecommons.org/licenses/by/4.0/).
Share and Cite
Saraç, F.; Baydemir Kılınç, B.; Çelikel, P.; Büyüksefil, M.; Yazıcı, M.B.; Şimşek Derelioğlu, S. Correlations between Dental Age, Skeletal Age, and Mandibular Morphologic Index Changes in Turkish Children in Eastern Anatolia and Their Chronological Age during the Pubertal Growth Spurt Period: A Cross-Sectional Study. Diagnostics 2024, 14, 887. https://doi.org/10.3390/diagnostics14090887
Saraç F, Baydemir Kılınç B, Çelikel P, Büyüksefil M, Yazıcı MB, Şimşek Derelioğlu S. Correlations between Dental Age, Skeletal Age, and Mandibular Morphologic Index Changes in Turkish Children in Eastern Anatolia and Their Chronological Age during the Pubertal Growth Spurt Period: A Cross-Sectional Study. Diagnostics. 2024; 14(9):887. https://doi.org/10.3390/diagnostics14090887
Chicago/Turabian StyleSaraç, Fatma, Büşra Baydemir Kılınç, Periş Çelikel, Murat Büyüksefil, Muhammet Burak Yazıcı, and Sera Şimşek Derelioğlu. 2024. "Correlations between Dental Age, Skeletal Age, and Mandibular Morphologic Index Changes in Turkish Children in Eastern Anatolia and Their Chronological Age during the Pubertal Growth Spurt Period: A Cross-Sectional Study" Diagnostics 14, no. 9: 887. https://doi.org/10.3390/diagnostics14090887
APA StyleSaraç, F., Baydemir Kılınç, B., Çelikel, P., Büyüksefil, M., Yazıcı, M. B., & Şimşek Derelioğlu, S. (2024). Correlations between Dental Age, Skeletal Age, and Mandibular Morphologic Index Changes in Turkish Children in Eastern Anatolia and Their Chronological Age during the Pubertal Growth Spurt Period: A Cross-Sectional Study. Diagnostics, 14(9), 887. https://doi.org/10.3390/diagnostics14090887

