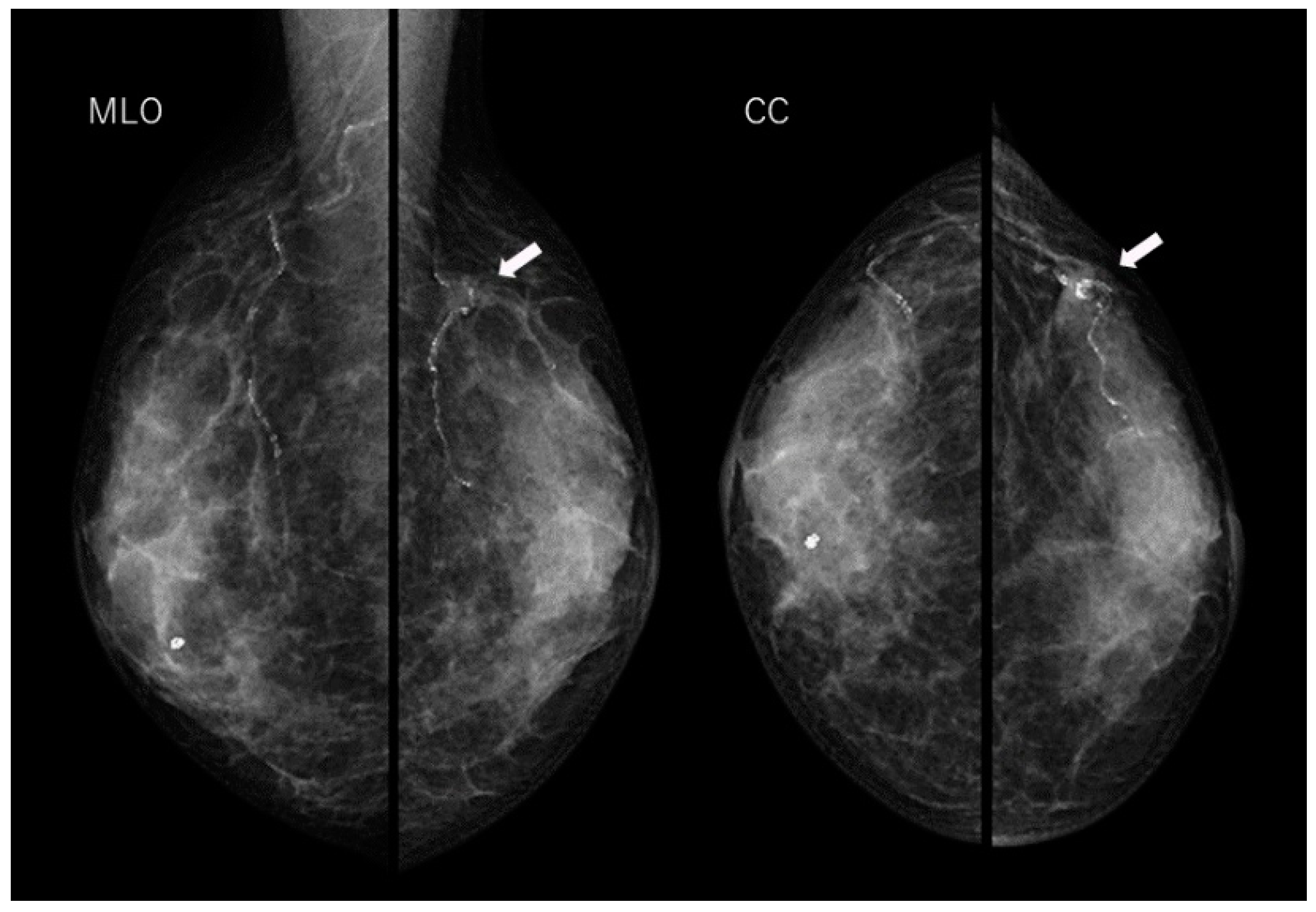
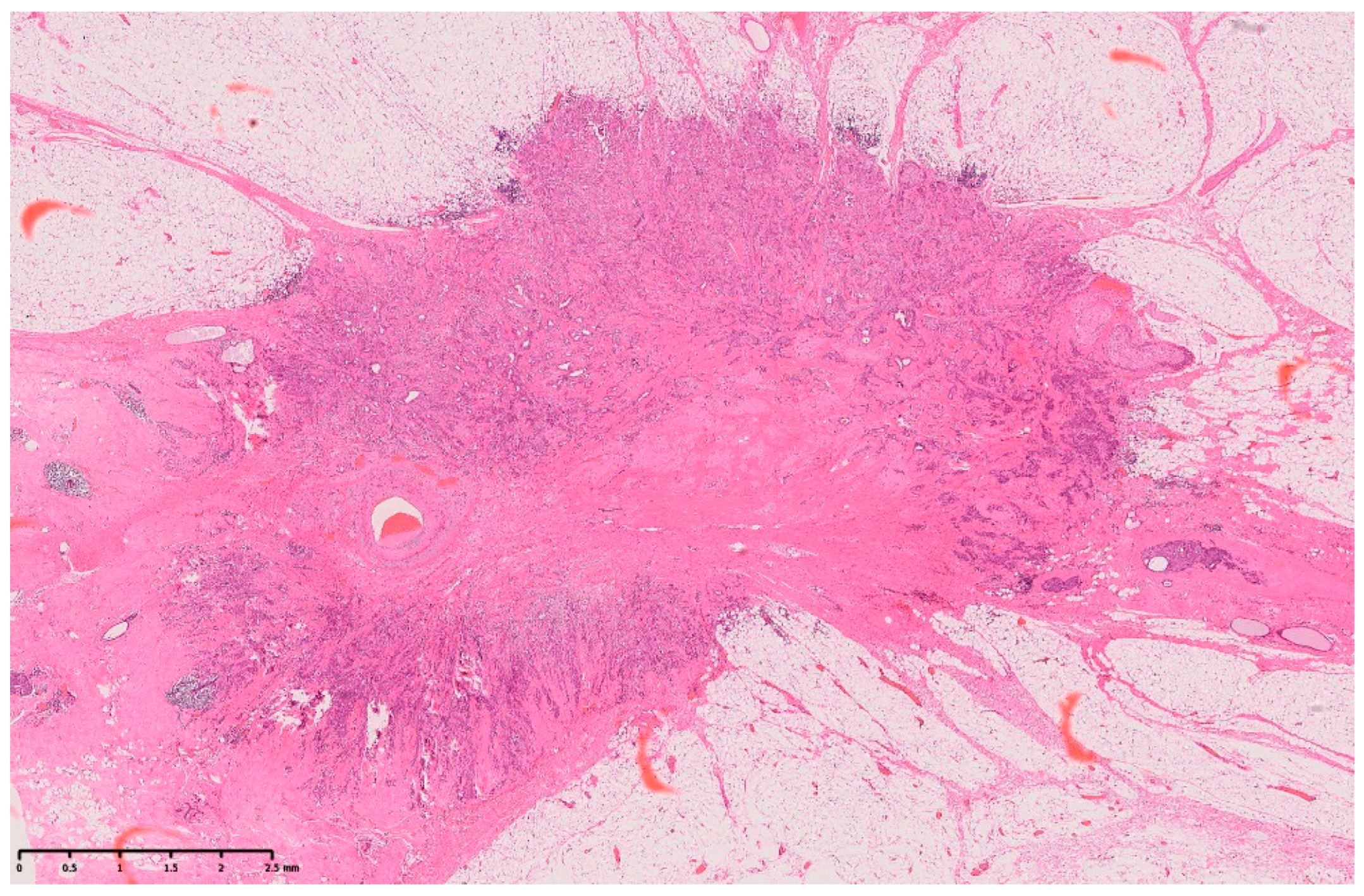
Arterial Calcification Disappearance in Breast Imaging: A Key Indicator for Transition to Invasive Ductal Carcinoma
Abstract
Author Contributions
Funding
Institutional Review Board Statement
Informed Consent Statement
Data Availability Statement
Conflicts of Interest
References
- Ohnuki, K.; Tohno, E.; Tsunoda, H.; Uematsu, T.; Nakajima, Y. Overall assessment system of combined mammography and ultrasound for breast cancer screening in Japan. Breast Cancer 2021, 28, 254–262. [Google Scholar] [CrossRef] [PubMed]
- Paolini, B.; Leddy, R.; Irshad, A. Disappearing grouped breast calcifications: An ominous sign. Radiol. Case Rep. 2020, 15, 2453–2458. [Google Scholar] [CrossRef] [PubMed]
- Seymour, H.R.; Cooke, J.; Given-Wilson, R.M. The significance of spontaneous resolution of breast calcification. Br. J. Radiol. 1999, 72, 3–8. [Google Scholar] [CrossRef] [PubMed]
- Singh, M. Modified Pennes bioheat equation with heterogeneous blood perfusion: A newer perspective. Int. J. Heat Mass Transf. 2024, 218, 124698. [Google Scholar] [CrossRef]
- Esquivel-Velázquez, M.; Ostoa-Saloma, P.; Palacios-Arreola, M.I.; Nava-Castro, K.E.; Castro, J.I.; Morales-Montor, J. The role of cytokines in breast cancer development and progression. J. Interferon Cytokine Res. 2015, 35, 1–16. [Google Scholar] [CrossRef] [PubMed]
- Halpin, S.; Kingsley, D. Disappearance of cerebral calcification as a sign of tumor growth. AJNR Am. J. Neuroradiol. 1993, 14, 119–122. [Google Scholar] [PubMed]
- Nyante, S.J.; Lee, S.S.; Benefield, T.S.; Hoots, T.N.; Henderson, L.M. The association between mammographic calcifications and breast cancer prognostic factors in a population-based registry cohort. Cancer 2017, 123, 219–227. [Google Scholar] [CrossRef] [PubMed]
- Osman, M.; Regner, S.; Osman, K.; Shahan, C.; Kheiri, B.; Kadiyala, M.; Sokos, G.; Sengupta, P.P.; Shapiro, M.D.; Michos, E.D.; et al. Association between breast arterial calcification on mammography and coronary artery disease: A systematic review and meta-analysis. J. Women’s Health 2022, 31, 1719–1726. [Google Scholar] [CrossRef] [PubMed]






Disclaimer/Publisher’s Note: The statements, opinions and data contained in all publications are solely those of the individual author(s) and contributor(s) and not of MDPI and/or the editor(s). MDPI and/or the editor(s) disclaim responsibility for any injury to people or property resulting from any ideas, methods, instructions or products referred to in the content. |
© 2024 by the authors. Licensee MDPI, Basel, Switzerland. This article is an open access article distributed under the terms and conditions of the Creative Commons Attribution (CC BY) license (https://creativecommons.org/licenses/by/4.0/).
Share and Cite
Sato, A.; Fujioka, T.; Onishi, I.; Yamaga, E.; Katsuta, L.; Kubota, K.; Kumaki, Y.; Ishiba, T.; Oda, G.; Tateishi, U. Arterial Calcification Disappearance in Breast Imaging: A Key Indicator for Transition to Invasive Ductal Carcinoma. Diagnostics 2024, 14, 727. https://doi.org/10.3390/diagnostics14070727
Sato A, Fujioka T, Onishi I, Yamaga E, Katsuta L, Kubota K, Kumaki Y, Ishiba T, Oda G, Tateishi U. Arterial Calcification Disappearance in Breast Imaging: A Key Indicator for Transition to Invasive Ductal Carcinoma. Diagnostics. 2024; 14(7):727. https://doi.org/10.3390/diagnostics14070727
Chicago/Turabian StyleSato, Arisa, Tomoyuki Fujioka, Iichiroh Onishi, Emi Yamaga, Leona Katsuta, Kazunori Kubota, Yuichi Kumaki, Toshiyuki Ishiba, Goshi Oda, and Ukihide Tateishi. 2024. "Arterial Calcification Disappearance in Breast Imaging: A Key Indicator for Transition to Invasive Ductal Carcinoma" Diagnostics 14, no. 7: 727. https://doi.org/10.3390/diagnostics14070727
APA StyleSato, A., Fujioka, T., Onishi, I., Yamaga, E., Katsuta, L., Kubota, K., Kumaki, Y., Ishiba, T., Oda, G., & Tateishi, U. (2024). Arterial Calcification Disappearance in Breast Imaging: A Key Indicator for Transition to Invasive Ductal Carcinoma. Diagnostics, 14(7), 727. https://doi.org/10.3390/diagnostics14070727

