Prevalence and Severity of Circumferential Alveolar Bone Loss Using CBCT Images: A Retrospective Study of 20,620 Surfaces of 5155 Teeth
Abstract
1. Introduction
2. Materials and Methods
2.1. Study Population
2.2. Inclusion and Exclusion Criteria
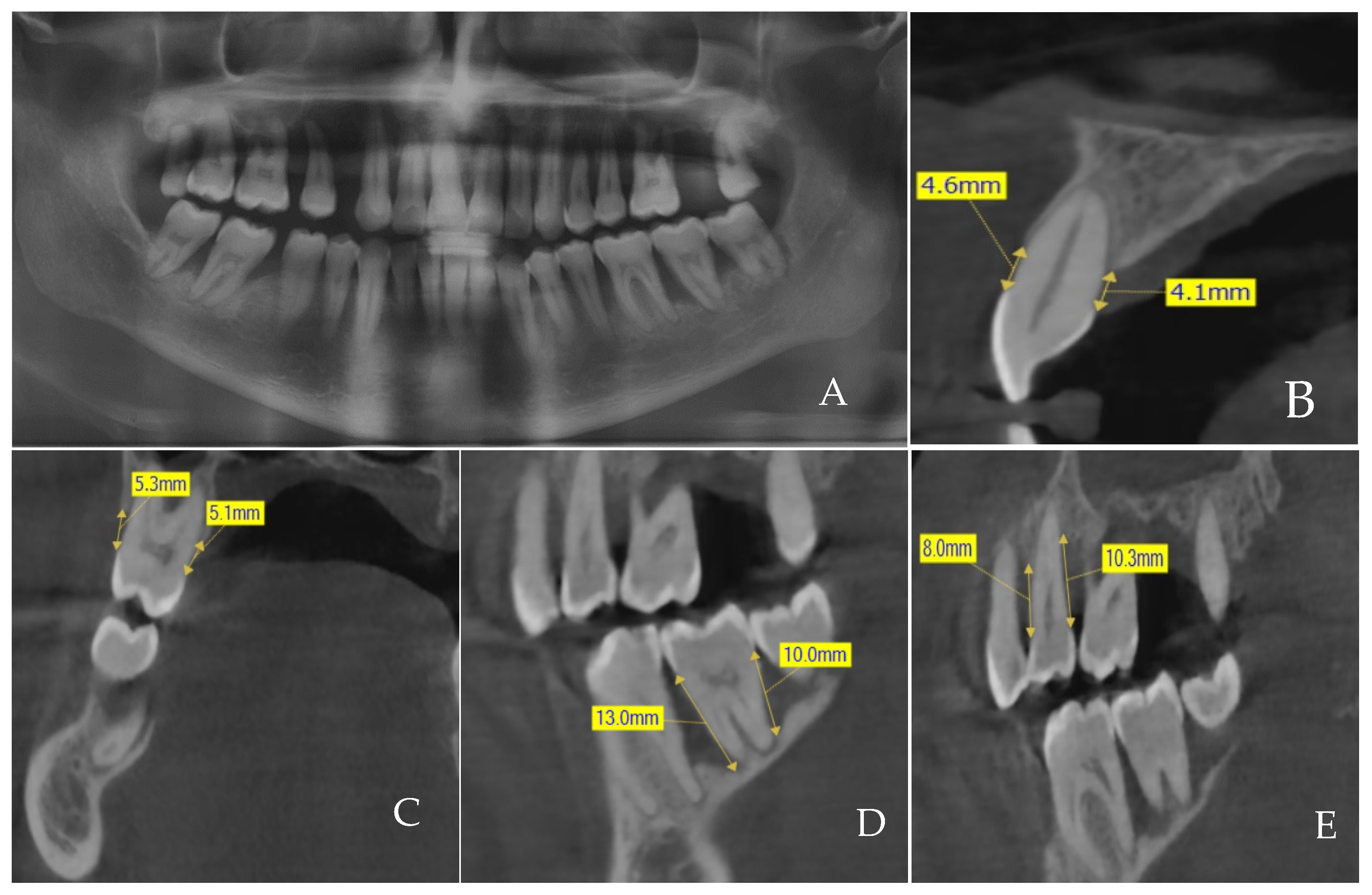
2.3. Acquisition and Measurements of CBCT Images
2.4. Sample Size Calculation
2.5. Inter and Intra Examiner Calibration
2.6. Statistical Analysis
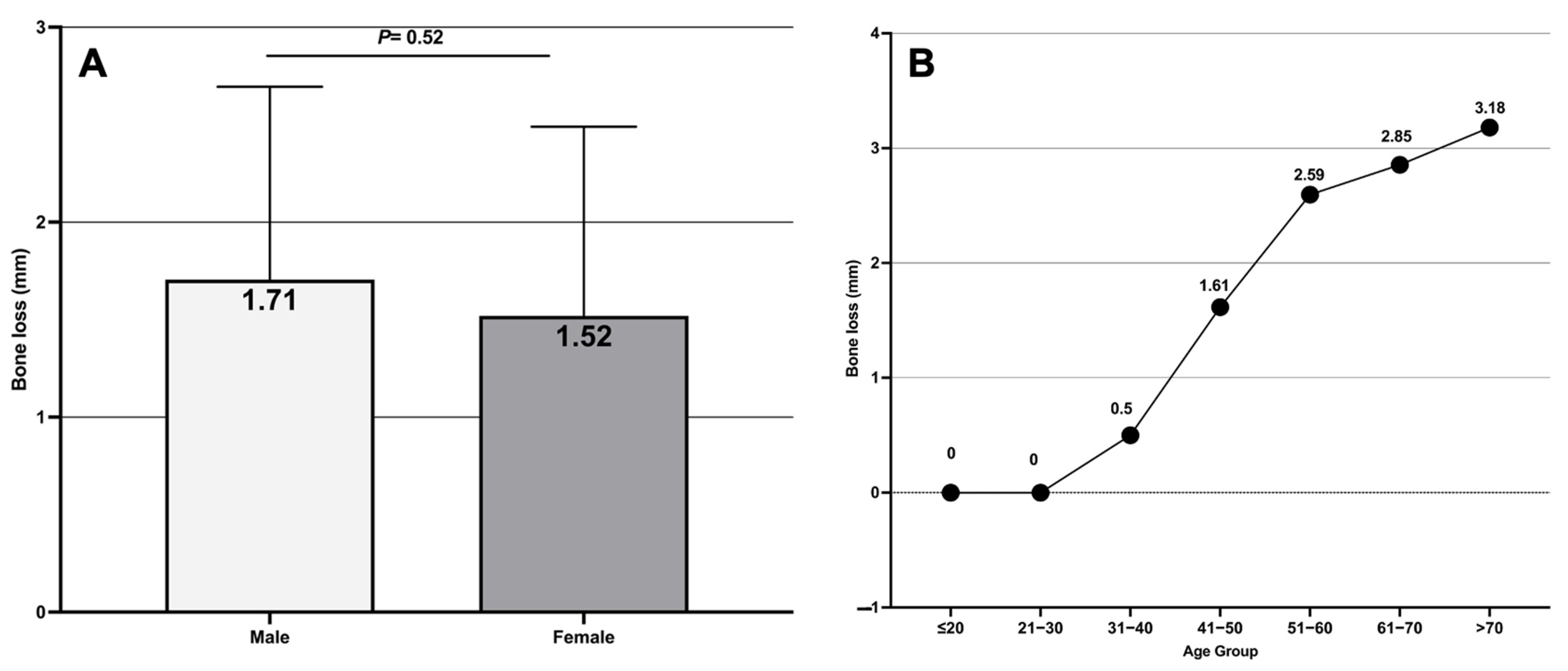
3. Results
4. Discussion
5. Conclusions
Funding
Institutional Review Board Statement
Informed Consent Statement
Data Availability Statement
Acknowledgments
Conflicts of Interest
References
- Papapanou, P.N.; Sanz, M.; Buduneli, N.; Dietrich, T.; Feres, M.; Fine, D.H.; Flemmig, T.F.; Garcia, R.; Giannobile, W.V.; Graziani, F. Periodontitis: Consensus report of workgroup 2 of the 2017 World Workshop on the Classification of Periodontal and Peri-Implant Diseases and Conditions. J. Periodontol. 2018, 89, S173–S182. [Google Scholar] [CrossRef]
- Hajishengallis, G. Periodontitis: From microbial immune subversion to systemic inflammation. Nat. Rev. Immunol. 2015, 15, 30–44. [Google Scholar] [CrossRef]
- Kinane, D.F.; Stathopoulou, P.G.; Papapanou, P.N. Periodontal diseases. Nat. Rev. Dis. Primers 2017, 3, 17038. [Google Scholar] [CrossRef]
- Gonçalves, P.C.G.; Griffiths, G.; Rawlinson, A. A study of the periodontal state of a late Medieval United Kingdom population. Arch. Oral Biol. 2015, 60, 1797–1801. [Google Scholar] [CrossRef] [PubMed]
- Griffin, M.C. Biocultural implications of oral pathology in an ancient Central California population. Am. J. Phys. Anthropol. 2014, 154, 171–188. [Google Scholar] [CrossRef] [PubMed]
- Kassebaum, N.; Bernabé, E.; Dahiya, M.; Bhandari, B.; Murray, C.; Marcenes, W. Global burden of severe periodontitis in 1990–2010: A systematic review and meta-regression. J. Dent. Res. 2014, 93, 1045–1053. [Google Scholar] [CrossRef] [PubMed]
- Botelho, J.; Machado, V.; Proença, L.; Bellini, D.H.; Chambrone, L.; Alcoforado, G.; Mendes, J.J. The impact of nonsurgical periodontal treatment on oral health-related quality of life: A systematic review and meta-analysis. Clin. Oral Investig. 2020, 24, 585–596. [Google Scholar] [CrossRef] [PubMed]
- Shanbhag, S.; Dahiya, M.; Croucher, R. The impact of periodontal therapy on oral health-related quality of life in adults: A systematic review. J. Clin. Periodontol. 2012, 39, 725–735. [Google Scholar] [CrossRef] [PubMed]
- Daalderop, L.; Wieland, B.; Tomsin, K.; Reyes, L.; Kramer, B.; Vanterpool, S.; Been, J. Periodontal disease and pregnancy outcomes: Overview of systematic reviews. JDR Clin. Transl. Res. 2018, 3, 10–27. [Google Scholar] [CrossRef] [PubMed]
- Sanz, M.; Ceriello, A.; Buysschaert, M.; Chapple, I.; Demmer, R.T.; Graziani, F.; Herrera, D.; Jepsen, S.; Lione, L.; Madianos, P. Scientific evidence on the links between periodontal diseases and diabetes: Consensus report and guidelines of the joint workshop on periodontal diseases and diabetes by the International Diabetes Federation and the European Federation of Periodontology. Diabetes Res. Clin. Pract. 2018, 137, 231–241. [Google Scholar] [CrossRef]
- Sanz, M.; Marco del Castillo, A.; Jepsen, S.; Gonzalez-Juanatey, J.R.; D’Aiuto, F.; Bouchard, P.; Chapple, I.; Dietrich, T.; Gotsman, I.; Graziani, F. Periodontitis and cardiovascular diseases: Consensus report. J. Clin. Periodontol. 2020, 47, 268–288. [Google Scholar] [CrossRef]
- Socransky, S.S.; Haffajee, A.D. The nature of periodontal diseases. Ann. Periodontol. 1997, 2, 3–10. [Google Scholar] [CrossRef]
- Nomura, Y.; Morozumi, T.; Nakagawa, T.; Sugaya, T.; Kawanami, M.; Suzuki, F.; Takahashi, K.; Abe, Y.; Sato, S.; Makino-Oi, A. Site-level progression of periodontal disease during a follow-up period. PLoS ONE 2017, 12, e0188670. [Google Scholar] [CrossRef] [PubMed]
- Cobb, C.M. Clinical significance of non-surgical periodontal therapy: An evidence-based perspective of scaling and root planing. J. Clin. Periodontol. 2002, 29, 22–32. [Google Scholar] [CrossRef]
- Akcalı, A.; Lang, N.P. Dental calculus: The calcified biofilm and its role in disease development. Periodontology 2000 2018, 76, 109–115. [Google Scholar] [CrossRef] [PubMed]
- Nimigean, V.R.; Nimigean, V.; Bencze, M.A.; Dimcevici-Poesina, N.; Cergan, R.; Moraru, S. Alveolar bone dehiscences and fenestrations: An anatomical study and review. Rom. J. Morphol. Embryol. 2009, 50, 391–397. [Google Scholar]
- Izzetti, R.; Nisi, M.; Aringhieri, G.; Crocetti, L.; Graziani, F.; Nardi, C. Basic knowledge and new advances in panoramic radiography imaging techniques: A narrative review on what dentists and radiologists should know. Appl. Sci. 2021, 11, 7858. [Google Scholar] [CrossRef]
- Monsour, P.; Dudhia, R. Implant radiography and radiology. Aust. Dent. J. 2008, 53, S11–S25. [Google Scholar] [CrossRef] [PubMed]
- Vandenberghe, B.; Jacobs, R.; Yang, J. Detection of periodontal bone loss using digital intraoral and cone beam computed tomography images: An in vitro assessment of bony and/or infrabony defects. Dentomaxillofac. Radiol. 2008, 37, 252–260. [Google Scholar] [CrossRef] [PubMed]
- Mol, A.; Balasundaram, A. In vitro cone beam computed tomography imaging of periodontal bone. Dentomaxillofac. Radiol. 2008, 37, 319–324. [Google Scholar] [CrossRef]
- Pinsky, H.; Dyda, S.; Pinsky, R.; Misch, K.; Sarment, D. Accuracy of three-dimensional measurements using cone-beam CT. Dentomaxillofac. Radiol. 2006, 35, 410–416. [Google Scholar] [CrossRef]
- Müller, H.-P.; Ulbrich, M. Alveolar bone levels in adults as assessed on panoramic radiographs.(I) Prevalence, extent, and severity of even and angular bone loss. Clin. Oral Investig. 2005, 9, 98–104. [Google Scholar] [CrossRef] [PubMed]
- Pour, D.G.; Romoozi, E.; Shayesteh, Y.S. Accuracy of cone beam computed tomography for detection of bone loss. J. Dent. 2015, 12, 513. [Google Scholar]
- Guo, Y.-J.; Ge, Z.-P.; Ma, R.-H.; Hou, J.-X.; Li, G. A six-site method for the evaluation of periodontal bone loss in cone-beam CT images. Dentomaxillofac. Radiol. 2016, 45, 20150265. [Google Scholar] [CrossRef]
- Ludlow, J.; Davies-Ludlow, L.; Brooks, S. Dosimetry of two extraoral direct digital imaging devices: NewTom cone beam CT and Orthophos Plus DS panoramic unit. Dentomaxillofac. Radiol. 2003, 32, 229–234. [Google Scholar] [CrossRef] [PubMed]
- Mah, J.K.; Danforth, R.A.; Bumann, A.; Hatcher, D. Radiation absorbed in maxillofacial imaging with a new dental computed tomography device. Oral Surg. Oral Med. Oral Pathol. Oral Radiol. Endod. 2003, 96, 508–513. [Google Scholar] [CrossRef] [PubMed]
- de Faria Vasconcelos, K.; Evangelista, K.; Rodrigues, C.; Estrela, C.; De Sousa, T.; Silva, M. Detection of periodontal bone loss using cone beam CT and intraoral radiography. Dentomaxillofac. Radiol. 2012, 41, 64–69. [Google Scholar] [CrossRef]
- Hou, G.; Hung, C.; Yang, Y.; Shieh, T.; Tsai, C. Radiographic alveolar bone loss in untreated Taiwan Chinese subjects with adult periodontitis measured by the digital scanning radiographic image analysis method. Dentomaxillofac. Radiol. 2003, 32, 104–108. [Google Scholar] [CrossRef]
- Teeuw, W.; Coelho, L.; Silva, A.; Van Der Palen, C.; Lessmann, F.; Van der Velden, U.; Loos, B. Validation of a dental image analyzer tool to measure alveolar bone loss in periodontitis patients. J. Periodontal. Res. 2009, 44, 94–102. [Google Scholar] [CrossRef]
- Zardawi, F.M. First Molars–Incisors Rate and Pattern of Bone Loss: A Cross-Sectional Analysis of CBCT Images. Diagnostics 2022, 12, 1536. [Google Scholar] [CrossRef]
- Germen, M.; Baser, U.; Lacin, C.C.; Fıratlı, E.; İşsever, H.; Yalcin, F. Periodontitis Prevalence, Severity, and Risk Factors: A Comparison of the AAP/CDC Case Definition and the EFP/AAP Classification. Int. J. Environ. Res. Public Health. 2021, 18, 3459. [Google Scholar] [CrossRef] [PubMed]
- Scannapieco, F.A.; Gershovich, E. The prevention of periodontal disease—An overview. Periodontology 2000 2020, 84, 9–13. [Google Scholar] [CrossRef] [PubMed]
- Tran, D.T.; Gay, I.; Du, X.L.; Fu, Y.; Bebermeyer, R.D.; Neumann, A.S.; Streckfus, C.; Chan, W.; Walji, M.F. Assessment of partial-mouth periodontal examination protocols for periodontitis surveillance. J. Clin. Periodontol. 2014, 41, 846–852. [Google Scholar] [CrossRef] [PubMed]
- Zhao, H.; Li, C.; Lin, L.; Pan, Y.; Wang, H.; Zhao, J.; Tan, L.; Pan, C.; Song, J.; Zhang, D. Assessment of alveolar bone status in middle aged Chinese (40-59 Years) with chronic periodontitis—Using CBCT. PLoS ONE 2015, 10, e0139553. [Google Scholar] [CrossRef] [PubMed]
- Zhang, X.; Li, Y.; Ge, Z.; Zhao, H.; Miao, L.; Pan, Y. The dimension and morphology of alveolar bone at maxillary anterior teeth in periodontitis: A retrospective analysis—Using CBCT. Int. J. Oral Sci. 2020, 12, 4. [Google Scholar] [CrossRef]
- Dye, B.A.; Tan, S.; Smith, V.; Barker, L.K.; Thornton-Evans, G.; Eke, P.I.; Beltrán-Aguilar, E.D. Trends in oral health status; United States, 1988–1994 and 1999–2004. Vital Health Stat. 2007, 289, 1–92. [Google Scholar]
- Eke, P.I.; Dye, B.A.; Wei, L.; Slade, G.D.; Thornton-Evans, G.O.; Borgnakke, W.S.; Taylor, G.W.; Page, R.C.; Beck, J.D.; Genco, R.J. Update on prevalence of periodontitis in adults in the United States: NHANES 2009 to 2012. J. Periodontol. 2015, 86, 611–622. [Google Scholar] [CrossRef] [PubMed]
- Bertl, K.; Tangl, S.; Rybaczek, T.; Berger, B.; Traindl-Prohazka, M.; Schuller-Götzburg, P.; Grossschmidt, K. Prevalence and severity of periodontal disease in a historical Austrian population. J. Periodontal. Res. 2020, 55, 931–945. [Google Scholar] [CrossRef]
- Heasman, P.A.; Holliday, R.; Bryant, A.; Preshaw, P.M. Evidence for the occurrence of gingival recession and non-carious cervical lesions as a consequence of traumatic toothbrushing. J. Clin. Periodontol. 2015, 42, S237–S255. [Google Scholar] [CrossRef]
- Papalexiou, V.; Novaes Jr, A.B.; Macedo, G.O.; Luczyszyn, S.M.; Muglia, V.A. Preprosthetic periodontal surgery in the proximal area with modification of the col area: Results following the reestablishment of the contact point. J. Periodontol. 2006, 77, 1856–1862. [Google Scholar] [CrossRef]
- Papapanou, P.N.; Wennström, J.L.; Gröndahl, K. Periodontal status in relation to age and tooth type: A cross-sectional radiographic study. J. Clin. Periodontol. 1988, 15, 469–478. [Google Scholar] [CrossRef] [PubMed]
- Zachrisson, B.U.; Minster, L.; Øgaard, B.; Birkhed, D. Dental health assessed after interproximal enamel reduction: Caries risk in posterior teeth. Am. J. Orthod. Dentofac. Orthop. 2011, 139, 90–98. [Google Scholar] [CrossRef] [PubMed]
- Löe, H.; Anerud, A.; Boysen, H.; Morrison, E. Natural history of periodontal disease in man: Rapid, moderate and no loss of attachment in Sri Lankan laborers 14 to 46 years of age. J. Clin. Periodontol. 1986, 13, 431–440. [Google Scholar] [CrossRef] [PubMed]









| Tooth Sites and Location | Median (IQR) mm | Tooth Sites and Location Comparison | Mean Rank 1 | Mean Rank 2 | Mean Rank diff. | p Value |
|---|---|---|---|---|---|---|
| Distal | 2 (1–3) | Distal vs. Buccal | 3661 | 5347 | −1687 | <0.0001 |
| Mesial | 2 (1–3) | Distal vs. Lingual | 3661 | 3805 | −144.2 | >0.9999 |
| Buccal | 3.5 (2–5) | Distal vs. Mesial | 3661 | 3716 | −54.77 | >0.9999 |
| Lingual | 2 (2–3.9) | Distal vs. Buccal and Lingual | 3661 | 4658 | −997.5 | <0.0001 |
| Interproximal | 2 (1–3) | Buccal vs. Lingual | 5347 | 3805 | 1542 | <0.0001 |
| Buccal and lingual | 3 (1.5–4.3) | Buccal vs. Mesial | 5347 | 3716 | 1632 | <0.0001 |
| Right | 2 (1–3) | Buccal vs. Interproximal | 5347 | 3688 | 1659 | <0.0001 |
| Left | 2 (1.2–3.5) | Lingual vs. Mesial | 3805 | 3716 | 89.45 | >0.9999 |
| Maxillary | 2 (1.8–2.8) | Lingual vs. Interproximal | 3805 | 3688 | 116.9 | >0.9999 |
| Mandibular | 2 (2–3) | Mesial vs. Buccal/Lingual | 3716 | 4658 | −942.7 | <0.0001 |
| Posterior | 4 (0–9.97) | Interproximal vs. Buccal/Lingual | 3688 | 4658 | −970.1 | <0.0001 |
| Anterior | 11 (0–33) | Right vs. Left | 3812 | 4072 | −260.2 | 0.0889 |
| Maxillary vs. Mandibular | 4262 | 3856 | −324 | 0.1474 | ||
| Anterior vs. Posterior | 3154 | 4919 | −1766 | <0.0001 |
| Tooth Sites and Locations | r | p Value | Equation |
|---|---|---|---|
| Buccal | 0.96 | 0.0001 | Buccal = 0.11 + 1.16 × Lingual |
| Lingual | |||
| Distal | 0.865 | 0.0001 | Distal = 0.04 + 0.9 × Mesial |
| Mesial | |||
| Interproximal | 0.477 | 0.0001 | Interproximal = 0.31 + 0.54 × Buccal and Lingual |
| Buccal and lingual | |||
| Right | 0.815 | 0.0001 | Right = 0.04 + 0.71 × Left |
| Left | |||
| Posterior | 0.669 | 0.0001 | Posterior = 1.1 + 0.38 × Anterior |
| Anterior | |||
| Maxillary | 0.46 | 0.002 | Maxillary = 1.44 + 0.33 × Mandibular |
| mandibular |
Disclaimer/Publisher’s Note: The statements, opinions and data contained in all publications are solely those of the individual author(s) and contributor(s) and not of MDPI and/or the editor(s). MDPI and/or the editor(s) disclaim responsibility for any injury to people or property resulting from any ideas, methods, instructions or products referred to in the content. |
© 2024 by the author. Licensee MDPI, Basel, Switzerland. This article is an open access article distributed under the terms and conditions of the Creative Commons Attribution (CC BY) license (https://creativecommons.org/licenses/by/4.0/).
Share and Cite
Gul, S.S. Prevalence and Severity of Circumferential Alveolar Bone Loss Using CBCT Images: A Retrospective Study of 20,620 Surfaces of 5155 Teeth. Diagnostics 2024, 14, 507. https://doi.org/10.3390/diagnostics14050507
Gul SS. Prevalence and Severity of Circumferential Alveolar Bone Loss Using CBCT Images: A Retrospective Study of 20,620 Surfaces of 5155 Teeth. Diagnostics. 2024; 14(5):507. https://doi.org/10.3390/diagnostics14050507
Chicago/Turabian StyleGul, Sarhang Sarwat. 2024. "Prevalence and Severity of Circumferential Alveolar Bone Loss Using CBCT Images: A Retrospective Study of 20,620 Surfaces of 5155 Teeth" Diagnostics 14, no. 5: 507. https://doi.org/10.3390/diagnostics14050507
APA StyleGul, S. S. (2024). Prevalence and Severity of Circumferential Alveolar Bone Loss Using CBCT Images: A Retrospective Study of 20,620 Surfaces of 5155 Teeth. Diagnostics, 14(5), 507. https://doi.org/10.3390/diagnostics14050507
