The Impact of Microenvironment and Dysplasia Types on the Prognosis of Myelodysplastic Syndrome
Abstract
1. Introduction
- (a)
- to detail histomorphological findings, evaluate dysplasia types and frequencies in aspiration and biopsy in MDS, and to document the indicators related to prognosis and overall survival;
- (b)
- to evaluate the relationship between the microenvironmental factors revealed by biopsy and aspiration, especially MVD, and other histomorphological features of MDS, and their effect on prognosis;
- (c)
- to present the relationship between the presence of ALIP, other dysplastic factors, and prognosis.
2. Materials and Methods
2.1. Case Selection
2.2. Histochemical and Immunohistochemical Evaluation
2.3. Clinical Evaluation and Statistical Analysis
3. Results
3.1. Demographic Characteristics of the Patients
3.2. Detailed Dysplasia Varieties
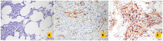
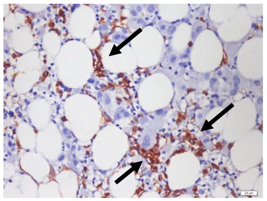
3.3. Microenvironment Relationship
3.4. Patients with MDS Progression on Follow-Up Biopsy
3.5. Features Associated with OS
4. Discussion
Author Contributions
Funding
Institutional Review Board Statement
Informed Consent Statement
Data Availability Statement
Conflicts of Interest
References
- Orazi, A. Histopathology in the diagnosis and classification of acute myeloid leukemia, myelodysplastic syndromes, and myelodysplastic/myeloproliferative diseases. Pathobiology 2007, 74, 97–114. [Google Scholar] [CrossRef] [PubMed]
- Steensma, D.P.; Bejar, R.; Jaiswal, S.; Lindsley, R.C.; Sekeres, M.A.; Hasserjian, R.P.; Ebert, B.L. Clonal hematopoiesis of indeterminate potential and its distinction from myelodysplastic syndromes. Blood 2015, 126, 9–16. [Google Scholar] [CrossRef]
- Valent, P.; Orazi, A.; Busche, G.; Schmitt-Graff, A.; George, T.I.; Sotlar, K.; Streubel, B.; Beham-Schmid, C.; Cerny-Reiterer, S.; Krieger, O.; et al. Standards and impact of hematopathology in myelodysplastic syndromes (MDS). Oncotarget 2010, 1, 483–496. [Google Scholar] [CrossRef]
- Khoury, J.D.; Solary, E.; Abla, O.; Akkari, Y.; Alaggio, R.; Apperley, J.F.; Bejar, R.; Berti, E.; Busque, L.; Chan, J.K.C.; et al. The 5th edition of the World Health Organization Classification of Haematolymphoid Tumours: Myeloid and Histiocytic/Dendritic Neoplasms. Leukemia 2022, 36, 1703–1719. [Google Scholar] [CrossRef]
- Alexandrakis, M.G.; Passam, F.H.; Kyriakou, D.S.; Dambaki, C.; Katrinakis, G.; Tsirakis, G.; Konsolas, J.; Stathopoulos, E.N. Expression of the proliferation-associated nuclear protein MIB-1 and its relationship with microvascular density in bone marrow biopsies of patients with myelodysplastic syndromes. J. Mol. Histol. 2004, 35, 857–863. [Google Scholar] [CrossRef]
- Mangi, M.H.; Salisbury, J.R.; Mufti, G.J. Abnormal localization of immature precursors (ALIP) in the bone marrow of myelodysplastic syndromes: Current state of knowledge and future directions. Leuk. Res. 1991, 15, 627–639. [Google Scholar] [CrossRef] [PubMed]
- Xiong, B.; Nie, Y.; Tang, Z.; Xue, M.; Zuo, X. Prognostic evaluation of ALIP and CD34 immunostaining in IPSS-R subgroups of myelodysplastic syndromes. Pathology 2017, 49, 526–533. [Google Scholar] [CrossRef] [PubMed]
- Tabe, Y.; Konopleva, M. Advances in understanding the leukaemia microenvironment. Br. J. Haematol. 2014, 164, 767–778. [Google Scholar] [CrossRef]
- Lucas, D. Structural organization of the bone marrow and its role in hematopoiesis. Curr. Opin. Hematol. 2021, 28, 36–42. [Google Scholar] [CrossRef]
- Zhang, Y.; Wu, J.; Qin, T.; Xu, Z.; Qu, S.; Pan, L.; Li, B.; Wang, H.; Zhang, P.; Yan, X.; et al. Comparison of the revised 4th (2016) and 5th (2022) editions of the World Health Organization classification of myelodysplastic neoplasms. Leukemia 2022, 36, 2875–2882. [Google Scholar] [CrossRef]
- Gianelli, U.; Vener, C.; Bossi, A.; Cortinovis, I.; Iurlo, A.; Fracchiolla, N.S.; Savi, F.; Moro, A.; Grifoni, F.; De Philippis, C.; et al. The European Consensus on grading of bone marrow fibrosis allows a better prognostication of patients with primary myelofibrosis. Mod. Pathol. 2012, 25, 1193–1202. [Google Scholar] [CrossRef] [PubMed]
- Comazzetto, S.; Shen, B.; Morrison, S.J. Niches that regulate stem cells and hematopoiesis in adult bone marrow. Dev. Cell 2021, 56, 1848–1860. [Google Scholar] [CrossRef] [PubMed]
- Germing, U.; Strupp, C.; Giagounidis, A.; Haas, R.; Gattermann, N.; Starke, C.; Aul, C. Evaluation of dysplasia through detailed cytomorphology in 3156 patients from the Dusseldorf Registry on myelodysplastic syndromes. Leuk. Res. 2012, 36, 727–734. [Google Scholar] [CrossRef] [PubMed]
- Marinier, D.E.; Mesa, H.; Rawal, A.; Gupta, P. Refractory cytopenias with unilineage dysplasia: A retrospective analysis of refractory neutropenia and refractory thrombocytopenia. Leuk. Lymphoma 2010, 51, 1923–1926. [Google Scholar] [CrossRef] [PubMed]
- Feng, G.; Gale, R.P.; Cui, W.; Cai, W.; Huang, G.; Xu, Z.; Qin, T.; Zhang, Y.; Li, B.; Fang, L.; et al. A systematic classification of megakaryocytic dysplasia and its impact on prognosis for patients with myelodysplastic syndromes. Exp. Hematol. Oncol. 2015, 5, 12. [Google Scholar] [CrossRef]
- Goasguen, J.E.; Bennett, J.M.; Bain, B.J.; Brunning, R.D.; Vallespi, M.T.; Tomonaga, M.; Zini, G.; Renault, A.; The International Working Group on Morphology of MDS IWGM-MDS. Quality control initiative on the evaluation of the dysmegakaryopoiesis in myeloid neoplasms: Difficulties in the assessment of dysplasia. Leuk. Res. 2016, 45, 75–81. [Google Scholar] [CrossRef]
- Steensma, D.P. Myelodysplastic syndromes current treatment algorithm 2018. Blood Cancer J. 2018, 8, 47. [Google Scholar] [CrossRef]
- Tosato, G.; Feng, J.X.; Ohnuki, H.; Sim, M. Bone marrow niches in myelodysplastic syndromes. J. Cancer Metastasis Treat. 2021, 7, 52. [Google Scholar] [CrossRef]
- Aul, C.; Gattermann, N.; Schneider, W. Age-related incidence and other epidemiological aspects of myelodysplastic syndromes. Br. J. Haematol. 1992, 82, 358–367. [Google Scholar] [CrossRef]
- Guerriero, A.; Worford, L.; Holland, H.K.; Guo, G.R.; Sheehan, K.; Waller, E.K. Thrombopoietin is synthesized by bone marrow stromal cells. Blood 1997, 90, 3444–3455. [Google Scholar] [CrossRef]
- Sacchetti, B.; Funari, A.; Michienzi, S.; Di Cesare, S.; Piersanti, S.; Saggio, I.; Tagliafico, E.; Ferrari, S.; Robey, P.G.; Riminucci, M.; et al. Self-renewing osteoprogenitors in bone marrow sinusoids can organize a hematopoietic microenvironment. Cell 2007, 131, 324–336. [Google Scholar] [CrossRef] [PubMed]
- Tricot, G.; De Wolf-Peeters, C.; Hendrickx, B.; Verwilghen, R.L. Bone marrow histology in myelodysplastic syndromes: I. Histological findings in myelodysplastic syndromes and comparison with bone marrow smears. Br. J. Haematol. 1984, 57, 423–430. [Google Scholar] [CrossRef]
- Rios, A.; Canizo, M.C.; Sanz, M.A.; Vallespi, T.; Sanz, G.; Torrabadella, M.; Gomis, F.; Ruiz, C.; San Miguel, J.F. Bone marrow biopsy in myelodysplastic syndromes: Morphological characteristics and contribution to the study of prognostic factors. Br. J. Haematol. 1990, 75, 26–33. [Google Scholar] [CrossRef]
- Muruganandan, S.; Roman, A.A.; Sinal, C.J. Adipocyte differentiation of bone marrow-derived mesenchymal stem cells: Cross talk with the osteoblastogenic program. Cell. Mol. Life Sci. 2009, 66, 236–253. [Google Scholar] [CrossRef]
- Schroder, H.C.; Wang, X.H.; Wiens, M.; Diehl-Seifert, B.; Kropf, K.; Schlossmacher, U.; Muller, W.E. Silicate modulates the cross-talk between osteoblasts (SaOS-2) and osteoclasts (RAW 264.7 cells): Inhibition of osteoclast growth and differentiation. J. Cell. Biochem. 2012, 113, 3197–3206. [Google Scholar] [CrossRef] [PubMed]
- Perez-Atayde, A.R.; Sallan, S.E.; Tedrow, U.; Connors, S.; Allred, E.; Folkman, J. Spectrum of tumor angiogenesis in the bone marrow of children with acute lymphoblastic leukemia. Am. J. Pathol. 1997, 150, 815–821. [Google Scholar] [PubMed]
- Agarwal, P.; Isringhausen, S.; Li, H.; Paterson, A.J.; He, J.; Gomariz, A.; Nagasawa, T.; Nombela-Arrieta, C.; Bhatia, R. Mesenchymal Niche-Specific Expression of Cxcl12 Controls Quiescence of Treatment-Resistant Leukemia Stem Cells. Cell Stem Cell 2019, 24, 769–784.e6. [Google Scholar] [CrossRef]
- Kitagawa, M.; Kurata, M.; Onishi, I.; Yamamoto, K. Bone marrow niches in myeloid neoplasms. Pathol. Int. 2020, 70, 63–71. [Google Scholar] [CrossRef]
- Baryawno, N.; Przybylski, D.; Kowalczyk, M.S.; Kfoury, Y.; Severe, N.; Gustafsson, K.; Kokkaliaris, K.D.; Mercier, F.; Tabaka, M.; Hofree, M.; et al. A Cellular Taxonomy of the Bone Marrow Stroma in Homeostasis and Leukemia. Cell 2019, 177, 1915–1932.e16. [Google Scholar] [CrossRef]
- Abe-Suzuki, S.; Kurata, M.; Abe, S.; Onishi, I.; Kirimura, S.; Nashimoto, M.; Murayama, T.; Hidaka, M.; Kitagawa, M. CXCL12+ stromal cells as bone marrow niche for CD34+ hematopoietic cells and their association with disease progression in myelodysplastic syndromes. Lab. Investig. 2014, 94, 1212–1223. [Google Scholar] [CrossRef]
- Passaro, D.; Di Tullio, A.; Abarrategi, A.; Rouault-Pierre, K.; Foster, K.; Ariza-McNaughton, L.; Montaner, B.; Chakravarty, P.; Bhaw, L.; Diana, G.; et al. Increased Vascular Permeability in the Bone Marrow Microenvironment Contributes to Disease Progression and Drug Response in Acute Myeloid Leukemia. Cancer Cell 2017, 32, 324–341.e6. [Google Scholar] [CrossRef] [PubMed]
- Dias, S.; Hattori, K.; Heissig, B.; Zhu, Z.; Wu, Y.; Witte, L.; Hicklin, D.J.; Tateno, M.; Bohlen, P.; Moore, M.A.; et al. Inhibition of both paracrine and autocrine VEGF/VEGFR-2 signaling pathways is essential to induce long-term remission of xenotransplanted human leukemias. Proc. Natl. Acad. Sci. USA 2001, 98, 10857–10862. [Google Scholar] [CrossRef] [PubMed]
- Forsythe, J.A.; Jiang, B.H.; Iyer, N.V.; Agani, F.; Leung, S.W.; Koos, R.D.; Semenza, G.L. Activation of vascular endothelial growth factor gene transcription by hypoxia-inducible factor 1. Mol. Cell. Biol. 1996, 16, 4604–4613. [Google Scholar] [CrossRef] [PubMed]



| Frequency | BM Blast Count (%) | |||||
|---|---|---|---|---|---|---|
| Features (n: Number of Examined Biopsies) | % (n) | <5 (MDS) | 5–10 (MDS-EB1) | 10–20 (MDS-EB2) | ≥20 (AML) | p |
| ALIP (n: 106) | 32 (34) | 8 | 29 | 20 | 41 | <0.001 |
| Ring sideroblast (>%15) (n: 118) | 36.4 (43) | 11 | 15.2 | 5.9 | 4.2 | 0.881 |
| Erythroid topography disorder (n: 120) | 36.6 (44) | 39.5 | 38.6 | 47.6 | 23.5 | 0.50 |
| Megakaryocyte topography disorder (n: 120) | 34.1 (41) | 52.6 | 45.5 | 47.6 | 23.5 | 0.249 |
| Erythroid PAS+ (n: 133) | 3 (4) | 0 | 4.7 | 0 | 11.8 | 0.117 |
| Microenvironment Factors | ||||||
| CD20+ B lymphocytes (n: 80) | 2 (IQR:4) | 3 (IQR:3) | 2 (IQR:3) | 2.5 (IQR:5) | 0.408 | |
| CD3+T lymphocytes (n: 81) | 5 (IQR:4) | 5 (IQR:5) | 5 (IQR:2) | 2 (IQR:9) | 0.835 | |
| CD61+ megakaryocyte (n: 129) | 6 (IQR:6) | 6 (IQR:5) | 6 (IQR:5) | 3 (IQR:6) | 0.648 | |
| Monocyte % (n: 106) | 9.1 (IQR:3) | 9.2 (IQR:2.7) | 8.5 (IQR:1.8) | 7.9 (IQR:1.8) | 0.135 | |
| Lymphocytes % (n: 106) | 11.5 (IQR:10) | 12 (IQR:10) | 13 (IQR:9) | 9 (IQR:16) | 0.703 | |
| MVD (/HPF) (n: 98) | ||||||
| Group 1 | 24.4 (24) | 10 (37%) | 5 (13.5%) | 5 (27.7%) | 4 (25%) | 0.387 |
| Group 2 | 44.8 (44) | 10 (37%) | 18 (48.6%) | 7 (38.8%) | 9 (56.2%) | |
| Group 3 | 30.6 (30) | 7 (25.9%) | 14 (37.8%) | 6 (33.3%) | 3 (18.7%) | |
| Erythroid dysplasia (n: 130) | ||||||
| Presence | 65.3 (85) | 51 | 70.8 | 63.6 | 72.2 | 0.168 |
| Megaloblastoid change | 9.4 (8) | 2.3 | 8.3 | 4.5 | 11.8 | 0.473 |
| Ring sideroblast (ever) | 42.3 (36) | 23.3 | 31.3 | 27.3 | 29.4 | 0.861 |
| Nuclear bridging | 7 (6) | 2.3 (1) | 6.3 | 4.5 | 5.9 | 0.834 |
| Hyperlobulation | 2 (2) | 4.4 | 0 | 0 | 0 | 0.250 |
| Asynchronous maturation | 2 (2) | 2.3 | 2.1 | 0 | 0 | 0.830 |
| Abnormal chromatin condensation | 10.5 (9) | 4.7 | 6.3 | 4.5 | 17.6 | 0.307 |
| Basophilic stippling | 16.4 (14) | 16.3 | 10.4 | 4.5 | 5.9 | 0.445 |
| Cytoplasmic vacuolization | 22.3 (19) | 18.6 | 8.8 | 9.1 | 0 | 0.199 |
| Binucleation | 28.2 (24) | 20.9 | 18.8 | 18.2 | 17.6 | 0.988 |
| Nuclear budding | 75.2 (64) | 44.2 | 55.3 | 50 | 7.1 | 0.762 |
| Multiple dysplasia | 72.9 (62) | 72 | 81.3 | 71.4 | 72.7 | 0.823 |
| Megakaryocytic dysplasia (n: 139) | ||||||
| Presence | 65.4 (91) | 74.5 | 62.5 | 68.2 | 44.4 | 0.132 |
| Nuclear single lobulation | 10.9 (10) | 9.8 | 8.3 | 4.5 | 0 | 0.524 |
| Nuclear scattered lobulation | 48.3 (44) | 25.5 | 37.5 | 40.9 | 22.2 | 0.353 |
| Nuclear hyperlobulation | 15.3 (14) | 17.6 | 6.3 | 0 | 11.1 | 0.090 |
| Nuclear hypolobulation | 56 (51) | 39.2 | 39.6 | 40.9 | 16.7 | 0.309 |
| Micromegakaryocyte | 39.5 (36) | 0 | 0 | 4.5 | 0 | 0.164 |
| Multiple dysplasia | 42.4 (59) | 60.5 | 76.7 | 66.7 | 37.5 | 0.187 |
| Granulocytic dysplasia (n: 130) | ||||||
| Presence | 11.5 (15) | 11.8 | 8.3 | 9.1 | 16.7 | 0.786 |
| Auer rod | 6.6 (1) | 0 | 2.1 | 0 | 0 | 0.628 |
| Hyposegmentation | 20 (3) | 0 | 2.1 | 4.5 | 5.9 | 0.472 |
| Hyporanulation | 46.6 (7) | 4.5 | 4.2 | 4.5 | 11.8 | 0.659 |
| Toxic granulation | 33.3 (5) | 4.5 | 2.1 | 4.5 | 5.9 | 0.877 |
| Demographics and Laboratory | Progressive Cases (n:10) | Stable Cases (n:9) | p |
|---|---|---|---|
| Sex (F) n | 4 (%40) | 5 (%55) | 0.656 |
| Median age | 67 (IQR:6) | 63 (IQR:10) | 0.656 |
| Follow-up (months) | 11 (IQR:27) | 37 (IQR:24) | 0.656 |
| Hb (g/dL) | 8 (IQR:4.2) | 9 (IQR:1) | 0.347 |
| WBC (/L) | 2.42 (IQR:1.7) | 5.32 (IQR:4.8) | 0.01 * |
| Neutrophil (/L) | 1.11 (IQR:1.2) | 2.245 (IQR:4.2) | 1.0 |
| Platelet (×103/L) | 65 (IQR:171) | 216 (IQR:310) | 1.0 |
| Cytogenetics | |||
| Any positivity of cytogenetic mutations (%) | 71 | 0 | 0.167 |
| BM biopsy features | |||
| CD20 positivity | %2 (IQR:4) | %2.5 (IQR:1) | 1.0 |
| CD3 positivity | %5 (IQR:7) | %5 (IQR:6) | 1.0 |
| CD61 (/HPF) | 8 (IQR:11) | 6 (IQR:8) | 0.188 |
| MVD (/HPF) | 15 (IQR:14) | 18 (IQR:20) | 1.0 |
| MVD | |||
| Group 1 | %5 (n:1) | %15 (n:3) | |
| Group 2 | %21 (n:4) | %5 (n:1) | 0.253 |
| Group 3 | %15 (n:3) | %15 (n:3) | |
| ALIP % | 66 | 0 | 0.049 * |
| Cell/Adipocyte | 90/10 (IQR:0) | 85/15 (IQR:55) | 0.37 |
| Fibrosis | |||
| Grade 0 | n:1 | n:0 | |
| Grade 1 | n:3 | n:4 | 0.283 |
| Grade 2 | n:2 | n:4 | |
| Grade 3 | n:2 | n:0 | |
| Iron | |||
| Grade 0 | n:2 | n:3 | |
| Grade 1 | n:3 | n:0 | 0.161 |
| Grade 2 | n:0 | n:1 | |
| Grade 3 | n:1 | n:3 |
| Univariate Analysis | Multivariate Analysis | ||||
|---|---|---|---|---|---|
| Within the Group | All Group | ||||
| Parameters | p | p | Odds Ratio | p | Odds Ratio |
| Laboratory | |||||
| Age | <0.001 | <0.001 * | 1.042 (1.022–1.062) | <0.001* | 1.046 (1.024–1.068) |
| Wbc (/L) | 0.028 * | 0.445 | 0.972 (0.905–1.045) | ||
| Neu (/L) | 0.004 * | 0.204 | 1.057 (0.970–1.152) | ||
| PLT (/L) | 0.002 * | 0.005 * | 0.9956 (0.993–0.999) | 0.021 * | 0.996 (0.992–0.999) |
| BM blastic features | |||||
| BM blast (%) | <0.001 * | 0.202 | 1.029 (0.985–1.074) | <0.001 * | 1.050 (1.020–1.081) |
| Myeloblast % | <0.001 * | 0.648 | 1.013 (0.959–1.070) | ||
| Microenvironment Factors | |||||
| CD3+ T lymphocyte | 0.003 * | 0.488 | 0.959 (0.851–1.080) | ||
| CD61+ megakaryocyte | 0.003 * | 0.347 | 1.033 (0.966–1.104) | ||
| MVD | <0.001 * | 0.018 * | 1.053 (1.009–1.099) | <0.001 * | 1.057 (0.022–1.093) |
| Band cell decrease | 0.019 * | 0.073 | 0.947 (0.892–1.005) | ||
| Monocyte increase | 0.011 * | 0.587 | 1.055 (0.870–1.270) | ||
| Dysplasia Types | |||||
| ALIP | 0.023 * | 0.123 | 1.594 (0.882–2.879) | ||
| Erythroid cytoplasmic vacuolization | 0.046 * | 0.096 | 0.417 (0.149–1.168) | ||
| Megakaryocyte nuclear hyperlobulation | 0.05 * | 0.095 | 1.894 (0.888–4.480) | ||
Disclaimer/Publisher’s Note: The statements, opinions and data contained in all publications are solely those of the individual author(s) and contributor(s) and not of MDPI and/or the editor(s). MDPI and/or the editor(s) disclaim responsibility for any injury to people or property resulting from any ideas, methods, instructions or products referred to in the content. |
© 2024 by the authors. Licensee MDPI, Basel, Switzerland. This article is an open access article distributed under the terms and conditions of the Creative Commons Attribution (CC BY) license (https://creativecommons.org/licenses/by/4.0/).
Share and Cite
Guvendir Bakkaloglu, I.; Zemheri, I.E.; Kaya, A.H.; Kilicaslan, E. The Impact of Microenvironment and Dysplasia Types on the Prognosis of Myelodysplastic Syndrome. Diagnostics 2024, 14, 2720. https://doi.org/10.3390/diagnostics14232720
Guvendir Bakkaloglu I, Zemheri IE, Kaya AH, Kilicaslan E. The Impact of Microenvironment and Dysplasia Types on the Prognosis of Myelodysplastic Syndrome. Diagnostics. 2024; 14(23):2720. https://doi.org/10.3390/diagnostics14232720
Chicago/Turabian StyleGuvendir Bakkaloglu, Irem, Itir Ebru Zemheri, Ali Hakan Kaya, and Emrah Kilicaslan. 2024. "The Impact of Microenvironment and Dysplasia Types on the Prognosis of Myelodysplastic Syndrome" Diagnostics 14, no. 23: 2720. https://doi.org/10.3390/diagnostics14232720
APA StyleGuvendir Bakkaloglu, I., Zemheri, I. E., Kaya, A. H., & Kilicaslan, E. (2024). The Impact of Microenvironment and Dysplasia Types on the Prognosis of Myelodysplastic Syndrome. Diagnostics, 14(23), 2720. https://doi.org/10.3390/diagnostics14232720

