Clinico–Pathological Features of Diffuse Midline Glioma, H3 K27-Altered in Adults: A Comprehensive Review of the Literature with an Additional Single-Institution Case Series
Abstract
1. Introduction
2. Materials and Methods
3. Results
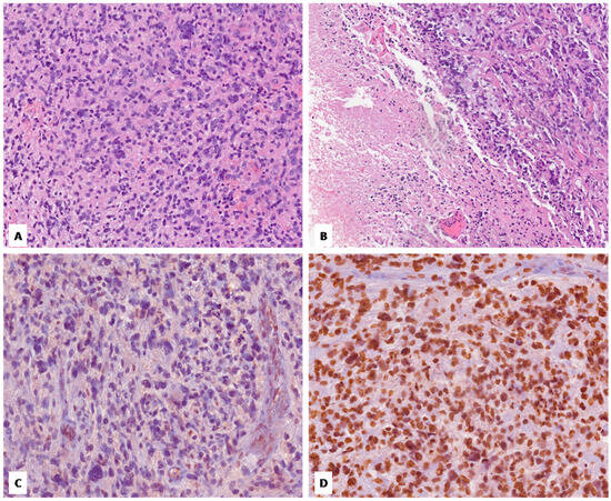
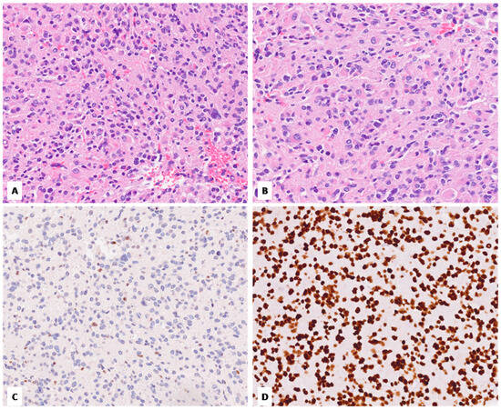
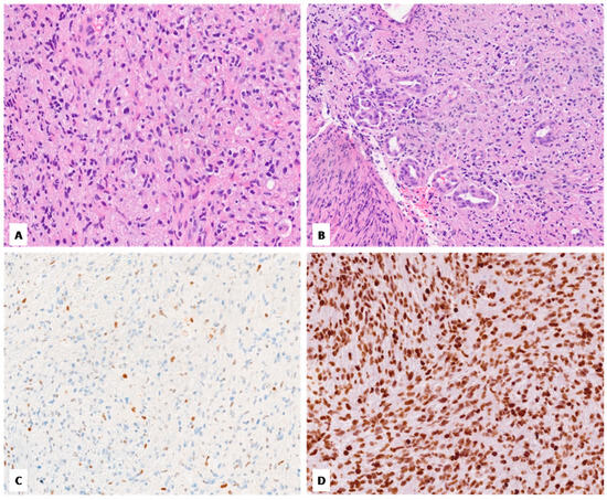
3.1. Case Series
3.2. Literature Review
4. Discussion
5. Conclusions
Author Contributions
Funding
Institutional Review Board Statement
Informed Consent Statement
Data Availability Statement
Acknowledgments
Conflicts of Interest
References
- Louis, D.N.; Perry, A.; Wesseling, P.; Brat, D.J.; Cree, I.A.; Figarella-Branger, D.; Hawkins, C.; Ng, H.K.; Pfister, S.M.; Reifenberger, G.; et al. The 2021 WHO Classification of Tumors of the Central Nervous System: A summary. Neuro Oncol. 2021, 23, 1231–1251. [Google Scholar] [CrossRef] [PubMed]
- Ahmad, Z.; Rahim, S.; Abdul-Ghafar, J.; Chundriger, Q.; Ud Din, N. Events in CNS Tumor Pathology Post-2016 WHO CNS: cIMPACT-NOW Updates and Other Advancements: A Comprehensive Review Plus a Summary of the Salient Features of 2021 WHO CNS 5. Int. J. Gen. Med. 2023, 16, 107–127. [Google Scholar] [CrossRef]
- Gonzalez Castro, L.N.; Wesseling, P. The cIMPACT-NOW updates and their significance to current neuro-oncology practice. Neurooncol. Pract. 2020, 8, 4–10. [Google Scholar] [CrossRef] [PubMed]
- Chai, R.C.; Yan, H.; An, S.Y.; Pang, B.; Chen, H.Y.; Mu, Q.H.; Zhang, K.N.; Zhang, Y.W.; Liu, Y.Q.; Liu, X.; et al. Genomic profiling and prognostic factors of H3 K27M-mutant spinal cord diffuse glioma. Brain Pathol. 2023, 33, e13153. [Google Scholar] [CrossRef] [PubMed]
- Louis, D.N.; Giannini, C.; Capper, D.; Paulus, W.; Figarella-Branger, D.; Lopes, M.B.; Batchelor, T.T.; Cairncross, J.G.; van den Bent, M.; Wick, W.; et al. cIMPACT-NOW update 2: Diagnostic clarifications for diffuse midline glioma, H3 K27M-mutant and diffuse astrocytoma/anaplastic astrocytoma, IDH-mutant. Acta Neuropathol. 2018, 135, 639–642. [Google Scholar] [CrossRef]
- López-Pérez, C.A.; Franco-Mojica, X.; Villanueva-Gaona, R.; Díaz-Alba, A.; Rodríguez-Florido, M.A.; Navarro, V.G. Adult diffuse midline gliomas H3 K27-altered: Review of a redefined entity. J. Neurooncol. 2022, 158, 369–378. [Google Scholar] [CrossRef]
- Bin-Alamer, O.; Jimenez, A.E.; Azad, T.D.; Bettegowda, C.; Mukherjee, D. H3K27-Altered Diffuse Midline Gliomas Among Adult Patients: A Systematic Review of Clinical Features and Survival Analysis. World Neurosurg. 2022, 165, e251–e264. [Google Scholar] [CrossRef]
- Santisukwongchote, S.; Teerapakpinyo, C.; Chankate, P.; Techavichit, P.; Boongird, A.; Sathornsumetee, S.; Thammachantha, S.; Cheunsuchon, P.; Tanboon, J.; Thorner, P.S.; et al. Simplified approach for pathological diagnosis of diffuse gliomas in adult patients. Pathol. Res. Pract. 2021, 223, 153483. [Google Scholar] [CrossRef]
- Tirrò, E.; Massimino, M.; Broggi, G.; Romano, C.; Minasi, S.; Gianno, F.; Antonelli, M.; Motta, G.; Certo, F.; Altieri, R.; et al. A Custom DNA-Based NGS Panel for the Molecular Characterization of Patients With Diffuse Gliomas: Diagnostic and Therapeutic Applications. Front. Oncol. 2022, 12, 861078. [Google Scholar] [CrossRef]
- Louis, D.N.; Perry, A.; Reifenberger, G.; von Deimling, A.; Figarella-Branger, D.; Cavenee, W.K.; Ohgaki, H.; Wiestler, O.D.; Kleihues, P.; Ellison, D.W. The 2016 World Health Organization Classification of Tumors of the Central Nervous System: A summary. Acta Neuropathol. 2016, 131, 803–820. [Google Scholar] [CrossRef]
- Seong, M.; Kim, S.T.; Noh, J.H.; Kim, Y.K.; Kim, H.J. Radiologic findings and the molecular expression profile of diffuse midline glioma H3 K27M mutant. Acta Radiol. 2021, 62, 1404–1411. [Google Scholar] [CrossRef] [PubMed]
- Alzoubi, H.; Maraqa, B.; Hasasna, N.; Giangaspero, F.; Antonelli, M.; Gianno, F.; Arcella, A.; Al-Hussaini, M. Diffuse midline glioma H3 K27M-mutant in adults: A report of six cases and literature review. Clin. Neuropathol. 2021, 40, 108–117. [Google Scholar] [CrossRef] [PubMed]
- Aihara, K.; Mukasa, A.; Gotoh, K.; Saito, K.; Nagae, G.; Tsuji, S.; Tatsuno, K.; Yamamoto, S.; Takayanagi, S.; Narita, Y.; et al. H3F3A K27M mutations in thalamic gliomas from young adult patients. Neuro Oncol. 2014, 16, 140–146. [Google Scholar] [CrossRef] [PubMed]
- Solomon, D.A.; Wood, M.D.; Tihan, T.; Bollen, A.W.; Gupta, N.; Phillips, J.J.; Perry, A. Diffuse Midline Gliomas with Histone H3-K27M Mutation: A Series of 47 Cases Assessing the Spectrum of Morphologic Variation and Associated Genetic Alterations. Brain Pathol. 2016, 26, 569–580. [Google Scholar] [CrossRef]
- Feng, J.; Hao, S.; Pan, C.; Wang, Y.; Wu, Z.; Zhang, J.; Yan, H.; Zhang, L.; Wan, H. The H3.3 K27M mutation results in a poorer prognosis in brainstem gliomas than thalamic gliomas in adults. Hum. Pathol. 2015, 46, 1626–1632. [Google Scholar] [CrossRef]
- Kleinschmidt-DeMasters, B.K.; Mulcahy Levy, J.M. H3 K27M-mutant gliomas in adults vs. children share similar histological features and adverse prognosis. Clin. Neuropathol. 2018, 37, 53–63. [Google Scholar] [CrossRef]
- Daoud, E.V.; Rajaram, V.; Cai, C.; Oberle, R.J.; Martin, G.R.; Raisanen, J.M.; White, C.L., 3rd; Foong, C.; Mickey, B.E.; Pan, E.; et al. Adult Brainstem Gliomas With H3K27M Mutation: Radiology, Pathology, and Prognosis. J. Neuropathol. Exp. Neurol. 2018, 77, 302–311. [Google Scholar] [CrossRef]
- Wang, L.; Li, Z.; Zhang, M.; Piao, Y.; Chen, L.; Liang, H.; Wei, Y.; Hu, Z.; Zhao, L.; Teng, L.; et al. H3 K27M-mutant diffuse midline gliomas in different anatomical locations. Hum. Pathol. 2018, 78, 89–96. [Google Scholar] [CrossRef]
- He, P.; Chen, W.; Qiu, X.X.; Xi, Y.B.; Guan, H.; Xia, J. A Rare High-Grade Glioma with a Histone H3 K27M Mutation in the Hypothalamus of an Adult Patient. World Neurosurg. 2019, 128, 527–531. [Google Scholar] [CrossRef]
- Liu, Y.; Zhang, Y.; Hua, W.; Li, Z.; Wu, B.; Liu, W. Clinical and Molecular Characteristics of Thalamic Gliomas: Retrospective Report of 26 Cases. World Neurosurg. 2019, 126, e1169–e1182. [Google Scholar] [CrossRef]
- Schreck, K.C.; Ranjan, S.; Skorupan, N.; Bettegowda, C.; Eberhart, C.G.; Ames, H.M.; Holdhoff, M. Incidence and clinicopathologic features of H3 K27M mutations in adults with radiographically determined midline gliomas. J. Neurooncol. 2019, 143, 87–93. [Google Scholar] [CrossRef] [PubMed]
- Ebrahimi, A.; Skardelly, M.; Schuhmann, M.U.; Ebinger, M.; Reuss, D.; Neumann, M.; Tabatabai, G.; Kohlhof-Meinecke, P.; Schittenhelm, J. High frequency of H3 K27M mutations in adult midline gliomas. J. Cancer Res. Clin. Oncol. 2019, 145, 839–850. [Google Scholar] [CrossRef] [PubMed]
- Yekula, A.; Gupta, M.; Coley, N.; U, H.S. Adult H3K27M-mutant diffuse midline glioma with gliomatosis cerebri growth pattern: Case report and review of the literature. Int. J. Surg. Case Rep. 2020, 68, 124–128. [Google Scholar] [CrossRef] [PubMed]
- Chen, X.; Zhong, L.; Lin, J.; Yu, J. A rare case of adult diffuse midline glioma with H3 K27M mutant in the prepontine cistern. J. Int. Med. Res. 2021, 49, 300060520981266. [Google Scholar] [CrossRef]
- Tu, J.H.; Piao, Y.S.; Lu, D.H.; Wang, L.M.; Liu, L.; Bai, D.Y.; Han, H.W.; Lin, Y.K.; Zhong, S. An adult case of diffuse midline glioma with H3 K27M mutation. Neuropathology 2020, 40, 627–631. [Google Scholar] [CrossRef]
- Schulte, J.D.; Buerki, R.A.; Lapointe, S.; Molinaro, A.M.; Zhang, Y.; Villanueva-Meyer, J.E.; Perry, A.; Phillips, J.J.; Tihan, T.; Bollen, A.W.; et al. Clinical, radiologic, and genetic characteristics of histone H3 K27M-mutant diffuse midline gliomas in adults. Neurooncol. Adv. 2020, 2, vdaa142. [Google Scholar] [CrossRef]
- Dono, A.; Takayasu, T.; Ballester, L.Y.; Esquenazi, Y. Adult diffuse midline gliomas: Clinical, radiological, and genetic characteristics. J. Clin. Neurosci. 2020, 82, 1–8. [Google Scholar] [CrossRef]
- Meyronet, D.; Esteban-Mader, M.; Bonnet, C.; Joly, M.O.; Uro-Coste, E.; Amiel-Benouaich, A.; Forest, F.; Rousselot-Denis, C.; Burel-Vandenbos, F.; Bourg, V.; et al. Characteristics of H3 K27M-mutant gliomas in adults. Neuro Oncol. 2017, 19, 1127–1134. [Google Scholar] [CrossRef]
- Qiu, T.; Chanchotisatien, A.; Qin, Z.; Wu, J.; Du, Z.; Zhang, X.; Gong, F.; Yao, Z.; Chu, S. Imaging characteristics of adult H3 K27M-mutant gliomas. J. Neurosurg. 2019, 133, 1662–1670. [Google Scholar] [CrossRef]
- Gu, Q.; Huang, Y.; Zhang, H.; Jiang, B. Case Report: Five Adult Cases of H3K27-Altered Diffuse Midline Glioma in the Spinal Cord. Front. Oncol. 2021, 11, 701113. [Google Scholar] [CrossRef]
- Fujioka, Y.; Hata, N.; Hatae, R.; Suzuki, S.O.; Sangatsuda, Y.; Nakahara, Y.; Mizoguchi, M.; Iihara, K. A case of diffuse midline glioma, H3 K27M mutant mimicking a hemispheric malignant glioma in an elderly patient. Neuropathology 2020, 40, 99–103. [Google Scholar] [CrossRef] [PubMed]
- Low, J.T.; Wang, S.H.; Peters, K.B. Diffuse midline glioma with H3 K27M-mutation in an 83-year-old woman. CNS Oncol. 2021, 10, CNS71. [Google Scholar] [CrossRef] [PubMed]
- Babarczy, K.; Reisz, Z.; Szabo, E.; Rajda, C.; Vecsei, L.; Bodi, I.; Klivenyi, P.; Hortobagyi, T.; Szalardy, L. A longitudinally extensive H3 K27M-mutant diffuse midline glioma in an elderly patient clinically mimicking central nervous system inflammation: A case report. Folia Neuropathol. 2020, 58, 377–385. [Google Scholar] [CrossRef] [PubMed]
- Rousseau, J.; Labidi, M.; Bahary, J.P.; Bélanger, K.; Berthelet, F.; Lapointe, S. PATH-10. A case of adult thalamic diffuse midline glioma, H3 K27-altered with an impressive response to radiotherapy and concomitant plus adjuvant temozolomide. Neuro Oncol. 2022, 24, vii151–vii152. [Google Scholar] [CrossRef]
- Karita, H.; Tsurubuchi, T.; Amano, T.; Koiso, T.; Sakamoto, N.; Ishikawa, E. Spinal cord diffuse midline glioma with postoperative acute swelling: A case report and review of literature. Surg. Neurol. Int. 2023, 14, 360. [Google Scholar] [CrossRef]
- Kraus, T.F.J.; Machegger, L.; Pöppe, J.; Zellinger, B.; Dovjak, E.; Schlicker, H.U.; Schwartz, C.; Ladisich, B.; Spendel, M.; Kral, M.; et al. Diffuse midline glioma of the cervical spinal cord with H3 K27M genotype phenotypically mimicking anaplastic ganglioglioma: A case report and review of the literature. Brain Tumor Pathol. 2020, 37, 89–94. [Google Scholar] [CrossRef]
- Yi, S.; Choi, S.; Shin, D.A.; Kim, D.S.; Choi, J.; Ha, Y.; Kim, K.N.; Suh, C.O.; Chang, J.H.; Kim, S.H.; et al. Impact of H3.3 K27M Mutation on Prognosis and Survival of Grade IV Spinal Cord Glioma on the Basis of New 2016 World Health Organization Classification of the Central Nervous System. Neurosurgery 2019, 84, 1072–1081. [Google Scholar] [CrossRef]
- Zheng, L.; Gong, J.; Yu, T.; Zou, Y.; Zhang, M.; Nie, L.; Chen, X.; Yue, Q.; Liu, Y.; Mao, Q.; et al. Diffuse Midline Gliomas With Histone H3 K27M Mutation in Adults and Children: A Retrospective Series of 164 Cases. Am. J. Surg. Pathol. 2022, 46, 863–871. [Google Scholar] [CrossRef] [PubMed] [PubMed Central]
- Sugii, N.; Ninomiya, Y.; Akimoto, Y.; Tsurubuchi, T.; Ishikawa, E. H3 K27-altered diffuse midline glioma in adults arising from atypical regions: Two case reports and literature review. Radiol. Case Rep. 2023, 19, 200–206. [Google Scholar] [CrossRef] [PubMed] [PubMed Central]
- Chen, X.; Li, Y.; Bu, H.; Zou, Y.; He, J.; Liu, H. Adult spinal cord diffuse midline glioma, H3 K27-altered mimics symptoms of central nervous system infection: A case report. Front. Neurol. 2023, 14, 1097157. [Google Scholar] [CrossRef] [PubMed] [PubMed Central]
- Aftahy, A.K.; Butenschoen, V.M.; Hoenikl, L.; Liesche-Starnecker, F.; Wiestler, B.; Schmidt-Graf, F.; Meyer, B.; Gempt, J. A rare case of H3K27-altered diffuse midline glioma with multiple osseous and spinal metastases at the time of diagnosis. BMC Neurol. 2023, 23, 87. [Google Scholar] [CrossRef] [PubMed] [PubMed Central]
- Weller, M.; van den Bent, M.; Preusser, M.; Le Rhun, E.; Tonn, J.C.; Minniti, G.; Bendszus, M.; Balana, C.; Chinot, O.; Dirven, L.; et al. EANO guidelines on the diagnosis and treatment of diffuse gliomas of adulthood. Nat. Rev. Clin. Oncol. 2021, 18, 170–186. [Google Scholar] [CrossRef] [PubMed]
- Noon, A.; Galban, S. Therapeutic avenues for targeting treatment challenges of diffuse midline gliomas. Neoplasia 2023, 40, 100899. [Google Scholar] [CrossRef] [PubMed]
- Donev, K.; Sundararajan, V.; Johnson, D.; Balan, J.; Chambers, M.; Paulson, V.A.; Scherpelz, K.P.; Abdullaev, Z.; Quezado, M.; Cimino, P.J.; et al. Diffuse hemispheric glioma with H3 p.K28M (K27M) mutation: Unusual non-midline presentation of diffuse midline glioma, H3 K27M-altered? J. Neuropathol. Exp. Neurol. 2024, 83, 357–364. [Google Scholar] [CrossRef]




| Cases | Gender | Age (Years) | Anatomic Site | Cellularity | Nuclear Pleomorphism | Mitotic Activity | ATRX | p53 | Ki-67 | Necrosis | MVP |
|---|---|---|---|---|---|---|---|---|---|---|---|
| 1 | F | 31 | T | High | Severe | Brisk | Retained | Overexpressed | 50% | Present | Absent |
| 2 | M | 77 | T | Moderate | Absent | Brisk | Retained | Not overexpressed | 30% | Absent | Present |
| 3 | F | 32 | T | Moderate | Mild | Brisk | Retained | Overexpressed | 15% | Absent | Absent |
| Author | Cases (n) | Gender | Age (Median; Range) | Anatomic Site | Median Follow-Up | Leptomeningeal Spread | Local Recurrence | Treatment |
|---|---|---|---|---|---|---|---|---|
| Aihara et al. [13] | 9 | Not available | 38; 20–46 | Thalamus | 10.4 months | Not available | Not available | Chemoradiotherapy |
| Solomon et al. [14] | 20 | Not available | 28.5; 20–65 | 8 Thalamus 7 Spinal cord 1 Brain stem 4 Other midline sites | Not available | Not available | Not available | Surgery |
| Feng et al. [15] | 43 | 15 Female 28 Male | 32,7; 20–53 | 15 Thalamus 28 Brain stem | 17.4 months | Not available | No | Surgery + Chemoradiotherapy |
| Kleinschmidt et al. [16] | 13 | 9 Female 4 Male | 52; 27–81 | 7 Thalamus 4 Spinal cord 1 Hypothalamus 1 Brain stem | 9.3 months | Yes (1/13 cases) | Yes (2/13 cases) | Not available |
| Daoud et al. [17] | 7 | 1 Female 6 Male | 41; 25–54 | 5 Brain stem 2 Other midline sites | 9 months | Not available | No | 4 Chemoradiotherapy 1 Surgery 2 Not available |
| Wang et al. [18] | 35 | 16 Female 19 Male | Not available | 7 Thalamus 10 Spinal cord 11 Brain stem 7 Other midline sites | Not available | Not available | Not available | Not available |
| He et al. [19] | 1 | Female | 27 | Hypothalamus | 9 months | Yes | Yes | Surgery + Chemoradiotherapy |
| Liu et al. [20] | 10 | 4 Female 6 Male | 32; 18–54 | Thalamus | Not available | Not available | No | Surgery + Chemoradiotherapy |
| Schreck et al. [21] | 18 | 10 Female 8 Male | 38; 30–68 | 3 Thalamus 2 Spinal cord 6 Brain stem 6 Cerebellum 1 Other midline site | 17.6 months | Not available | Not available | 13 Chemotherapy 5 Surgery |
| Ebrahimi et al. [22] | 29 | 10 Female 19 Male | 37; 18–73 | 15 Thalamus 6 Spinal cord 7 Brain stem 1 Cerebellum | 4 months | Yes (11/29 cases) | Yes (7/29) cases | Not available |
| Yekula et al. [23] | 1 | Male | 36 | Other midline site | Not available | Yes | Not available | Surgery |
| Alzoubi et al. [12] | 6 | 1 Female 5 Male | 39; 31–52 | 3 Thalamus 1 Spinal cord 1 Cerebellum 1 Other midline site | 3 months | No | Yes (2/6 cases) | 2 Radiotherapy 4 Surgery |
| Chen et al. [24] | 1 | Female | 20 | Prepontine cistern | 3 months | Yes | Yes | Surgery |
| Tu et al. [25] | 1 | Female | 56 | Medulla oblongata | 5 months | No | Yes | Surgery + Chemoradiotherapy |
| Schulte et al. [26] | 60 | Not available | 32; 18–71 | 34 Thalamus 10 Spinal cord 5 Brain stem 4 Cerebellum 7 Other midline sites | 59.2 months | Not available | Yes (44/60 cases) | 16 Surgery 44 Chemoradiotherapy |
| Dono et al. [27] | 9 | 3 Female 6 Male | 38; 23–68 | 3 Brain stem 1 Pineal gland 2 Thalamus 1 Cerebellum 2 Spinal cord | 18 months | Not available | Yes (5/9 cases) | 1 Surgery 8 Chemoradiotherapy |
| Meyronet et al. [28] | 21 | 12 Female 9 Male | 32; 18–82 | 5 Thalamus 6 Spinal cord 5 Brain stem 3 Cerebellum 1 Hypothalamus 1 Pineal region | 19.6 months | Yes (1/21 cases) | Not available | 1 Surgery 2 Radiotherapy 9 Chemoradiotherapy 3 Chemotherapy 3 Surgery +Chemoradiotherapy 3 None |
| Qiu et al. [29] | 66 | 26 Female 40 Male | Not available | 38 Thalamus 4 Spinal cord 10 Brain stem 1 Hypothalamus 8 Whole brain 3 Corpus callosum 2 Hemispheres | Not available | Yes (8/66 cases) | Not available | Not available |
| Gu et al. [30] | 5 | 3 Female 2 Male | 42; 27–65 | Spinal cord | 45 months | No | Yes (3/5 cases) | Surgery + Chemoradiotherapy |
| Yutaka Fujioka et al. [31] | 1 | Female | 66 | Thalamus, left hippocampus and frontoparietal lobes | 30 months | Yes | No | Chemoradiotherapy |
| Low JT et al. [32] | 1 | Female | 83 | Pons and cerebellum | 4.5 months | Yes | No | Chemoradiotherapy |
| Babarczyey al. [33] | 1 | Female | 73 | Spinal cord, medulla, pons, cerebral peduncles | 3 months | No | No | Corticosteroid+Empirical antibiotics |
| Julien Rousseau et al. [34] | 1 | Female | 18 | Thalamus | 16 months | No | Yes | Radiotherapy + Chemotherapy |
| Karita et al. [35] | 1 | Male | 26 | Spinal cord | 4 months | No | No | Surgery |
| Kraus et al. [36] | 1 | Male | 28 | Spinal cord | Not available | No | No | Surgery + Chemoradiotherapy |
| Yi et al. [37] | 25 | 18 Female 7 Male | 39.1; 23–55 | Spinal cord | 26.4 months | No | Not available | 3 Surgery 6 Surgery + Radiotherapy 1 Surgery + Chemotherapy 15 Surgery + Chemoradiotherapy |
| Zheng et al. [38] | 94 | 42 Female 52 Male | 33; 19–71 | 31 Brainstem 33 Thalamus 9 Spinal cord 21 Other midline sites | 10.5 months | Yes (13 cases) | Yes (9 cases) | Surgery |
| Sugii et al. [39] | 2 | 2 Male | 49 and 24 | 1 Corpus callosum 1 temporal lobe and hypothalamus | 9 months and 6 months | No | No | 1 Surgery + Chemoradiotherapy 1 Surgery + radiotherapy |
| Chen et al. [40] | 1 | Male | 32 | Spinal cord | 6 months | No | No | Radiotherapy |
| Aftahy et al. [41] | 1 | Male | 24 | Spinal cord | 3 months | No | Yes | Chemoradiotherapy |
| Present study | 3 | 2 Female 1 Male | 46.6; 31–77 | Thalamus | 5 months | No | No | Radiotherapy |
Disclaimer/Publisher’s Note: The statements, opinions and data contained in all publications are solely those of the individual author(s) and contributor(s) and not of MDPI and/or the editor(s). MDPI and/or the editor(s) disclaim responsibility for any injury to people or property resulting from any ideas, methods, instructions or products referred to in the content. |
© 2024 by the authors. Licensee MDPI, Basel, Switzerland. This article is an open access article distributed under the terms and conditions of the Creative Commons Attribution (CC BY) license (https://creativecommons.org/licenses/by/4.0/).
Share and Cite
Broggi, G.; Salzano, S.; Failla, M.; Barbagallo, G.M.V.; Certo, F.; Zanelli, M.; Palicelli, A.; Zizzo, M.; Koufopoulos, N.; Magro, G.; et al. Clinico–Pathological Features of Diffuse Midline Glioma, H3 K27-Altered in Adults: A Comprehensive Review of the Literature with an Additional Single-Institution Case Series. Diagnostics 2024, 14, 2617. https://doi.org/10.3390/diagnostics14232617
Broggi G, Salzano S, Failla M, Barbagallo GMV, Certo F, Zanelli M, Palicelli A, Zizzo M, Koufopoulos N, Magro G, et al. Clinico–Pathological Features of Diffuse Midline Glioma, H3 K27-Altered in Adults: A Comprehensive Review of the Literature with an Additional Single-Institution Case Series. Diagnostics. 2024; 14(23):2617. https://doi.org/10.3390/diagnostics14232617
Chicago/Turabian StyleBroggi, Giuseppe, Serena Salzano, Maria Failla, Giuseppe Maria Vincenzo Barbagallo, Francesco Certo, Magda Zanelli, Andrea Palicelli, Maurizio Zizzo, Nektarios Koufopoulos, Gaetano Magro, and et al. 2024. "Clinico–Pathological Features of Diffuse Midline Glioma, H3 K27-Altered in Adults: A Comprehensive Review of the Literature with an Additional Single-Institution Case Series" Diagnostics 14, no. 23: 2617. https://doi.org/10.3390/diagnostics14232617
APA StyleBroggi, G., Salzano, S., Failla, M., Barbagallo, G. M. V., Certo, F., Zanelli, M., Palicelli, A., Zizzo, M., Koufopoulos, N., Magro, G., & Caltabiano, R. (2024). Clinico–Pathological Features of Diffuse Midline Glioma, H3 K27-Altered in Adults: A Comprehensive Review of the Literature with an Additional Single-Institution Case Series. Diagnostics, 14(23), 2617. https://doi.org/10.3390/diagnostics14232617

