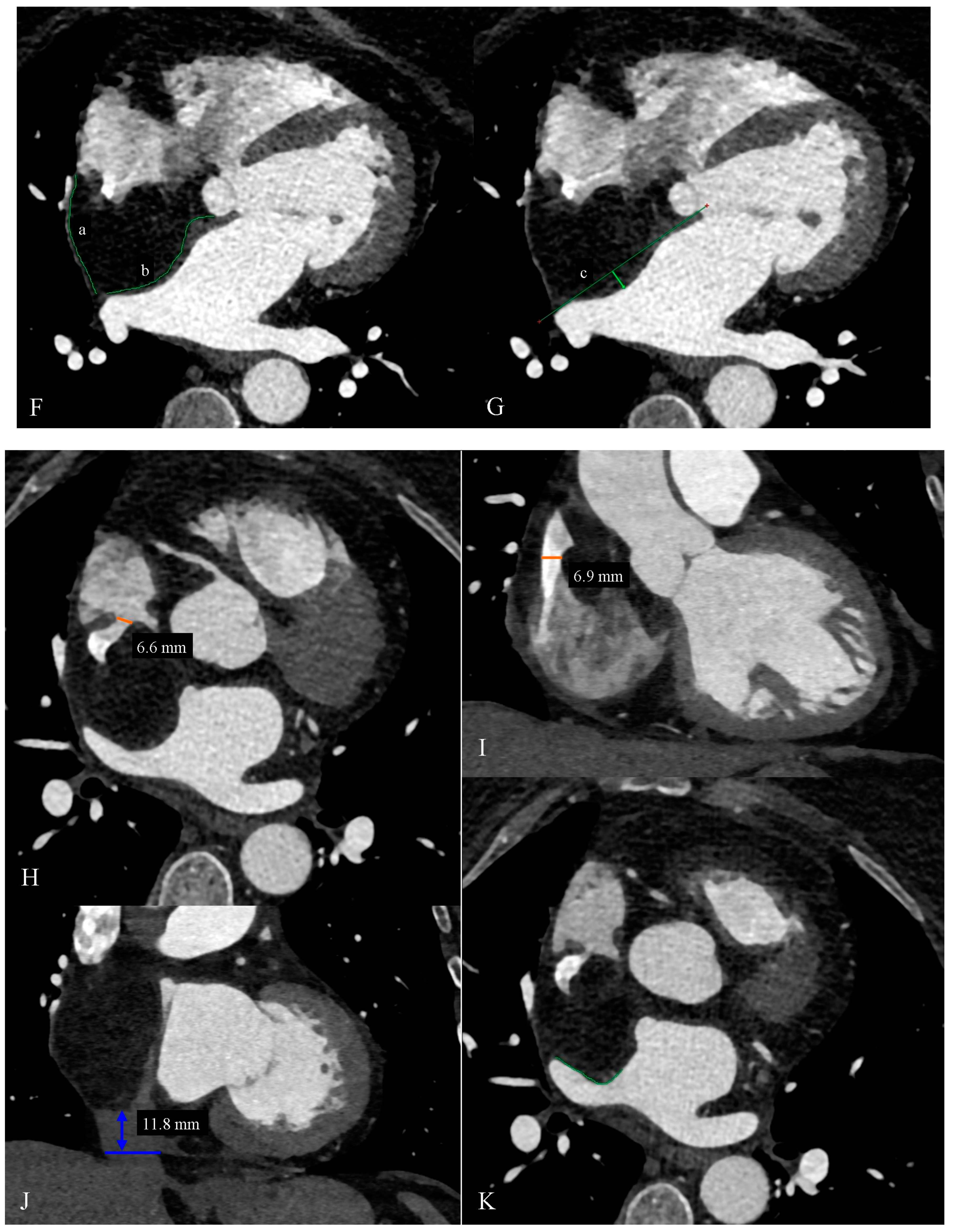
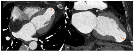
Cardiac Computed Tomography as a Method of Diagnosing the Type of Cardiac Tumor—Example of Interatrial Septal Lipoma Filling the Right Atrium
Abstract



Author Contributions
Funding
Institutional Review Board Statement
Informed Consent Statement
Data Availability Statement
Conflicts of Interest
References
- Reynen, K. Frequency of primary tumors of the heart. Am. J. Cardiol. 1996, 77, 107. [Google Scholar] [CrossRef] [PubMed]
- Bussani, R.; Castrichini, M.; Restivo, L.; Fabris, E.; Porcari, A.; Ferro, F.; Pivetta, A.; Korcova, R.; Cappelletto, C.; Manca, P.; et al. Cardiac Tumors: Diagnosis, Prognosis, and Treatment. Curr. Cardiol. Rep. 2020, 22, 169. [Google Scholar] [CrossRef] [PubMed]
- Shi, L.; Wu, L.; Fang, H.; Han, B.; Yang, J.; Ma, X.; Liu, F.; Zhang, Y.; Xiao, T.; Huang, M.; et al. Identification and clinical course of 166 pediatric cardiac tumors. Eur. J. Pediatr. 2017, 176, 253–260. [Google Scholar] [CrossRef] [PubMed]
- Campisi, A.; Ciarrocchi, A.P.; Asadi, N.; Dell’amore, A. Primary and secondary cardiac tumors: Clinical presentation, diagnosis, surgical treatment, and results. Gen. Thorac. Cardiovasc. Surg. 2022, 70, 107–115. [Google Scholar] [CrossRef]
- Araoz, P.A.; Mulvagh, S.L.; Tazelaar, H.D.; Julsrud, P.R.; Breen, J.F. CT and MR imaging of benign primary cardiac neoplasms with echocardiographic correlation. Radiographics 2000, 20, 1303–1319. [Google Scholar] [CrossRef]
- Poterucha, T.J.; Kochav, J.; O’connor, D.S.; Rosner, G.F. Cardiac Tumors: Clinical Presentation, Diagnosis, and Management. Curr. Treat. Options Oncol. 2019, 20, 66. [Google Scholar] [CrossRef]
- Lin, Y.; Wu, W.; Gao, L.; Ji, M.; Xie, M.; Li, Y. Multimodality Imaging of Benign Primary Cardiac Tumor. Diagnostics 2022, 12, 2543. [Google Scholar] [CrossRef]
- Fiset, S.; Butany, J.; Ing, D.J.; Cusimano, R.J.; Nguyen, E.T. Multimodality Imaging of a Rare Atrioventricular Nodal Tumor. Circ. Cardiovasc. Imaging 2018, 11, e008159. [Google Scholar] [CrossRef]
- Palaskas, N.; Thompson, K.; Gladish, G.; Agha, A.M.; Hassan, S.; Iliescu, C.; Kim, P.; Durand, J.B.; Lopez-Mattei, J.C. Evaluation and Management of Cardiac Tumors. Curr. Treat. Options Cardiovasc. Med. 2018, 20, 29. [Google Scholar] [CrossRef]
- Molek, P.; Urbańczyk-Zawadzka, M.; Mielnik, M.; Szlosarczyk, B.; Nessler, J.; Gackowski, A. Right atrial lipoma: The significance of multimodality imaging. Kardiol. Pol. 2021, 79, 893–894. [Google Scholar] [CrossRef]
- Paraskevaidis, I.A.; Michalakeas, C.A.; Papadopoulos, C.H.; Anastasiou-Nana, M. Cardiac tumors. ISRN Oncol. 2011, 2011, 208929. [Google Scholar] [CrossRef] [PubMed]
- Gripari, P.; Pepi, M.; Fusini, L.; Tamborini, G.; Mancini, M.E.; Andreini, D.; Pontone, G.; Saccocci, M.; Giambuzzi, I.; Alamanni, F.; et al. Cardiac tumors: Imaging findings, clinical correlations and surgical treatment in a 15 years single-center experience. J. Cardiovasc. Surg. 2022, 63, 212–221. [Google Scholar] [CrossRef] [PubMed]
- Kacar, P.; Pavsic, N.; Bervar, M.; Strazar, Z.D.; Zadnik, V.; Jelenc, M.; Prokselj, K. Cardiac myxoma: Single tertiary centre experience. Radiol. Oncol. 2022, 56, 535–540. [Google Scholar] [CrossRef] [PubMed]
- Geibel, A.; Kasper, W.; Keck, A.; Hofmann, T.; Konstantinides, S.; Just, H. Diagnosis, localization and evaluation of malignancy of heart and mediastinal tumors by conventional and transesophageal echocardiography. Acta Cardiol. 1996, 51, 395–408. [Google Scholar]
- Lindner, J.R. Molecular imaging of cardiovascular disease with contrast-enhanced ultrasonography. Nat. Rev. Cardiol. 2009, 6, 475–481. [Google Scholar] [CrossRef]
- Kirkpatrick, J.N.; Wong, T.; Bednarz, J.E.; Spencer, K.T.; Sugeng, L.; Ward, R.; DeCara, J.M.; Weinert, L.; Krausz, T.; Lang, R.M. Differential diagnosis of cardiac masses using contrast echocardiographic perfusion imaging. J. Am. Coll. Cardiol. 2004, 43, 1412–1419. [Google Scholar] [CrossRef]
- Kassi, M.; Polsani, V.; Schutt, R.C.; Wong, S.; Nabi, F.; Reardon, M.J.; Shah, D.J. Differentiating benign from malignant cardiac tumors with cardiac magnetic resonance imaging. J. Thorac. Cardiovasc. Surg. 2019, 157, 1912–1922. [Google Scholar] [CrossRef]
- Fussen, S.; De Boeck, B.W.; Zellweger, M.J.; Bremerich, J.; Goetschalckx, K.; Zuber, M.; Buser, P.T. Cardiovascular magnetic resonance imaging for diagnosis and clinical management of suspected cardiac masses and tumours. Eur. Heart J. 2011, 32, 1551–1560. [Google Scholar] [CrossRef]
- Shenoy, C.; Grizzard, J.D.; Shah, D.J.; Kassi, M.; Reardon, M.J.; Zagurovskaya, M.; Kim, H.W.; A Parker, M.; Kim, R.J. Cardiovascular magnetic resonance imaging in suspected cardiac tumour: A multicentre outcomes study. Eur. Heart J. 2021, 43, 71–80. [Google Scholar] [CrossRef]
- O’Donnell, D.H.; Abbara, S.; Chaithiraphan, V.; Yared, K.; Killeen, R.P.; Cury, R.C.; Dodd, J.D. Cardiac tumors: Optimal cardiac MR sequences and spectrum of imaging appearances. AJR Am. J. Roentgenol. 2009, 193, 377–387. [Google Scholar] [CrossRef]
- Suma, N.; Amicone, S.; Bodega, F.; Sansonetti, A.; Cavallo, D.; Di Iuorio, O.; Tattilo, F.P.; Angeli, F.; Bergamaschi, L.; Foa’, A.; et al. Diagnostic agreement between echocardiography and second-level imaging techniques in patients with cardiac masses. Eur. Heart J. 2023, 44 (Suppl. 2), ehad655-188. [Google Scholar] [CrossRef]
- Hoey, E.; Mankad, K.; Puppala, S.; Gopalan, D.; Sivananthan, M. MRI and CT appearances of cardiac tumours in adults. Clin. Radiol. 2009, 64, 1214–1230. [Google Scholar] [CrossRef] [PubMed]
- Kędzierski, B.; Macek, P.; Dziadkowiec-Macek, B.; Truszkiewicz, K.; Poręba, R.; Gać, P. Radiation Doses in Cardiovascular Computed Tomography. Life 2023, 13, 990. [Google Scholar] [CrossRef] [PubMed]
- Shu, S.; Yuan, H.; Kong, X.; Wang, J.; Wang, J.; Zheng, C. The value of multimodality imaging in diagnosis and treatment of cardiac lipoma. BMC Med. Imaging 2021, 21, 71. [Google Scholar] [CrossRef] [PubMed]
- Alizadehasl, A.; Mohseni, M.; Bahramnejad, A.; Roudini, K.; Mohseni-Salehi, M.; Favaedi, M.; Hakimian, H.; Dousti, A. Cardiac lipoma in a young lady. Clin. Case Rep. 2023, 11, e8299. [Google Scholar] [CrossRef]
- Li, D.; Wang, W.; Zhu, Z.; Wang, Y.; Xu, R.; Liu, K. Cardiac lipoma in the interventricular septum: A case report. J. Cardiothorac. Surg. 2015, 10, 69. [Google Scholar] [CrossRef][Green Version]
- Chiocchi, M.; Luciano, A.; De Stasio, V.; Pugliese, L.; Picchi, E.; Di Donna, C.; Volpe, M.; Pitaro, M.; Garaci, F.; Floris, R. Cardiac lipoma of the interventricular septum presenting with chest pain. Radiol. Case Rep. 2023, 18, 1886–1889. [Google Scholar] [CrossRef]
- Amano, J.; Nakayama, J.; Yoshimura, Y.; Ikeda, U. Clinical classification of cardiovascular tumors and tumor-like lesions, and its incidences. Gen. Thorac. Cardiovasc. Surg. 2013, 61, 435–447. [Google Scholar] [CrossRef]
- Ismail, I.; Al-Khafaji, K.; Mutyala, M.; Aggarwal, S.; Cotter, W.; Hakim, H.; Khosla, S.; Arora, R. Cardiac lipoma. J. Community Hosp. Intern. Med. Perspect. 2015, 5, 28449. [Google Scholar] [CrossRef]
- Wu, S.; Teng, P.; Zhou, Y.; Ni, Y. A rare case report of giant epicardial lipoma compressing the right atrium with septal enhancement. J. Cardiothorac. Surg. 2015, 10, 150. [Google Scholar] [CrossRef]
- Fan, J.; Le, P.T.N.; Ellington, T.; Jones, B.D. Not-so-benign massive cardiac lipoma. Bayl. Univ. Med. Cent. Proc. 2019, 32, 385–386. [Google Scholar] [CrossRef] [PubMed]
- Shu, S.; Wang, J.; Zheng, C. From pathogenesis to treatment, a systemic review of cardiac lipoma. J. Cardiothorac. Surg. 2021, 16, 1. [Google Scholar] [CrossRef] [PubMed]
- Nishio, J. Contributions of cytogenetics and molecular cytogenetics to the diagnosis of adipocytic tumors. J. Biomed. Biotechnol. 2011, 2011, 524067. [Google Scholar] [CrossRef] [PubMed]
- Bois, M.C.; Bois, J.P.; Anavekar, N.S.; Oliveira, A.M.; Maleszewski, J.J. Benign lipomatous masses of the heart: A comprehensive series of 47 cases with cytogenetic evaluation. Hum. Pathol. 2014, 45, 1859–1865. [Google Scholar] [CrossRef]
- Bajdechi, M.; Onciul, S.; Costache, V.; Brici, S.; Gurghean, A. Right atrial lipoma: A case report and literature review. Exp. Ther. Med. 2022, 24, 697. [Google Scholar] [CrossRef]
- Khayyat Kholghi, M.; Almaraz, K.B.; Garcia, M.E.; Ratliff, M.; Yassin, S.; Roldan, C.A. Abstract 18453: Giant Right Atrial Lipoma Inducing Atrial Flutter and Tachycardia-Mediated Cardiomyopathy: The Value of Multimodality Cardiac Imaging. Circulation 2023, 148 (Suppl. 1), A18453. [Google Scholar] [CrossRef]
- Naseerullah, F.S.; Javaiya, H.; Murthy, A. Cardiac Lipoma: An Uncharacteristically Large Intra-Atrial Mass Causing Symptoms. Case Rep. Cardiol. 2018, 2018, 3531982. [Google Scholar] [CrossRef]
- Zhu, X.; Cheng, Z.; Wang, S.; Chen, X.; Lu, G.; Li, X. The characteristics of invasive cardiac lipoma: Case report and literature review. Front. Cardiovasc. Med. 2023, 10, 1195582. [Google Scholar] [CrossRef]
- Li, L.; Meng, J.; Zhou, X.; Liu, C.; Guo, H.; Fan, H. Surgical treatment of cardiac lipoma: 20 years’ experience in a single center. Chin. Med. J. 2023, 136, 565–570. [Google Scholar] [CrossRef]
- Chen, Q.; Yang, D.; Liu, L.; Jing, X. Right atrial cardiac lipoma with distinctive imaging characteristics. A rare case report and literature review. Front. Cardiovasc. Med. 2022, 9, 1043427. [Google Scholar] [CrossRef]
- Parato, V.M.; Nocco, S.; Alunni, G.; Becherini, F.; Conti, S.; Cucchini, U.; Di Giannuario, G.; Di Nora, C.; Fabiani, D.; La Carrubba, S.; et al. Imaging of Cardiac Masses: An Updated Overview. J. Cardiovasc. Echogr. 2022, 32, 65–75. [Google Scholar] [CrossRef] [PubMed]
- Lacaita, P.G.; Senoner, T.; Bilgeri, V.; Rauch, S.; Barbieri, F.; Kindl, B.; Plank, F.; Dichtl, W.; Deeg, J.; Widmann, G.; et al. The interaction of lipomatous hypertrophy of the interatrial septum with pericardial adipose tissue biomarkers by computed tomography. Eur. Radiol. 2024; epub ahead of print. [Google Scholar] [CrossRef] [PubMed]
- Rocha, R.V.; Butany, J.; Cusimano, R.J. Adipose tumors of the heart. J. Card. Surg. 2018, 33, 432–437. [Google Scholar] [CrossRef] [PubMed]
Disclaimer/Publisher’s Note: The statements, opinions and data contained in all publications are solely those of the individual author(s) and contributor(s) and not of MDPI and/or the editor(s). MDPI and/or the editor(s) disclaim responsibility for any injury to people or property resulting from any ideas, methods, instructions or products referred to in the content. |
© 2024 by the authors. Licensee MDPI, Basel, Switzerland. This article is an open access article distributed under the terms and conditions of the Creative Commons Attribution (CC BY) license (https://creativecommons.org/licenses/by/4.0/).
Share and Cite
Gać, P.; Jaworski, A.; Parfianowicz, A.; Surma, A.; Jakubowska-Martyniuk, A.; Żórawik, A.; Poręba, R. Cardiac Computed Tomography as a Method of Diagnosing the Type of Cardiac Tumor—Example of Interatrial Septal Lipoma Filling the Right Atrium. Diagnostics 2024, 14, 2496. https://doi.org/10.3390/diagnostics14222496
Gać P, Jaworski A, Parfianowicz A, Surma A, Jakubowska-Martyniuk A, Żórawik A, Poręba R. Cardiac Computed Tomography as a Method of Diagnosing the Type of Cardiac Tumor—Example of Interatrial Septal Lipoma Filling the Right Atrium. Diagnostics. 2024; 14(22):2496. https://doi.org/10.3390/diagnostics14222496
Chicago/Turabian StyleGać, Paweł, Arkadiusz Jaworski, Agnieszka Parfianowicz, Alicja Surma, Anna Jakubowska-Martyniuk, Aleksandra Żórawik, and Rafał Poręba. 2024. "Cardiac Computed Tomography as a Method of Diagnosing the Type of Cardiac Tumor—Example of Interatrial Septal Lipoma Filling the Right Atrium" Diagnostics 14, no. 22: 2496. https://doi.org/10.3390/diagnostics14222496
APA StyleGać, P., Jaworski, A., Parfianowicz, A., Surma, A., Jakubowska-Martyniuk, A., Żórawik, A., & Poręba, R. (2024). Cardiac Computed Tomography as a Method of Diagnosing the Type of Cardiac Tumor—Example of Interatrial Septal Lipoma Filling the Right Atrium. Diagnostics, 14(22), 2496. https://doi.org/10.3390/diagnostics14222496

