A Novel Hybrid Model for Automatic Non-Small Cell Lung Cancer Classification Using Histopathological Images
Abstract
1. Introduction
- NSCLC classification was performed with a hybrid model that uses deep, textural and contextual fused features.
- To the best of our knowledge, this study is the first to merge LBP and CNN-based structures with a transformer-based architecture.
- Comprehensive experiments have been conducted to analyze the impact of each feature type on classification accuracy.
- The proposed method can be employed to automatically classify other types of cancer images.
2. Materials and Methods
2.1. Feature Extraction Methods
2.1.1. Deep Feature Extraction
2.1.2. Textural Feature Extraction
- Take a grayscale image as input.
- Select a radius (R) and a specific number of neighboring pixels (P) for each pixel.
- Compare pixel values with neighboring pixel values.
- The resulting binary values (0 or 1) create a sequence.
- Convert this sequence to decimal values to obtain the LBP value.
2.1.3. Contextual Feature Extraction
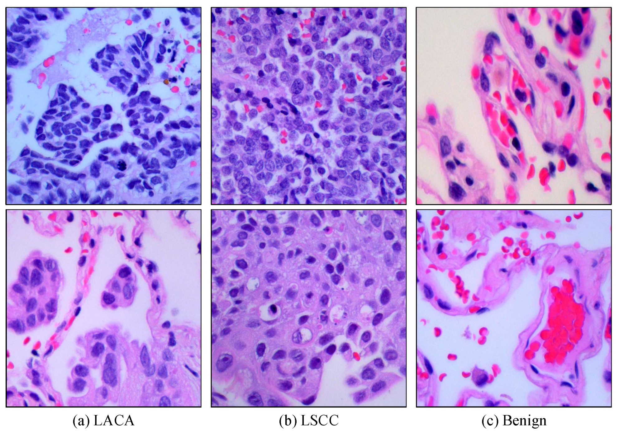
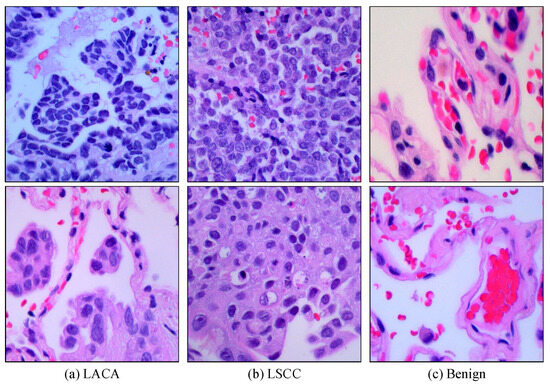
2.2. LC25000 Dataset
2.3. Machine Learning Classifiers
- LR is a statistical model widely used in classification problems and is particularly effective when the dependent variable is categorical [54]. It predicts the probability of class membership using a linear combination of independent variables.
3. Experimental Results
3.1. Experimental Setup
3.2. Performance Evaluation Metrics
- True Positive (TP): The number of instances correctly predicted by the model as belonging to the class.
- True Negative (TN): The number of instances correctly predicted by the model as not belonging to the class.
- False Positive (FP): The number of instances incorrectly predicted by the model as belonging to the class.
- False Negative (FN): The number of instances incorrectly predicted by the model as not belonging to the class.
3.3. Results
4. Discussion
- The proposed model achieved an accuracy of 99.87% surpassing previous studies.
- By combining the EfficientNet-B0, LBP, and ViT encoder, the proposed model effectively captures subtle features. The proposed model can identify both high-level abstract patterns and fine-grained local textures in histopathological images.
- The high classification accuracy of the proposed model provides the potential to be used in real-world clinical applications.
- The modular structure of our model allows for customization to meet various clinical needs and data types. This flexibility makes the proposed method applicable to diagnosing different types of cancer and other medical imaging problems.
5. Conclusions
Author Contributions
Funding
Institutional Review Board Statement
Informed Consent Statement
Data Availability Statement
Acknowledgments
Conflicts of Interest
References
- Motofei, I.G. Biology of Cancer; from Cellular and Molecular Mechanisms to Developmental Processes and Adaptation. In Proceedings of the Seminars in Cancer Biology; Elsevier: Amsterdam, The Netherlands, 2022; Volume 86, pp. 600–615. [Google Scholar]
- Cao, J.; O’day, D.R.; Pliner, H.A.; Kingsley, P.D.; Deng, M.; Daza, R.M.; Zager, M.A.; Aldinger, K.A.; Blecher-Gonen, R.; Zhang, F. A Human Cell Atlas of Fetal Gene Expression. Science 2020, 370, eaba7721. [Google Scholar] [CrossRef] [PubMed]
- Matthews, H.K.; Bertoli, C.; de Bruin, R.A.M. Cell Cycle Control in Cancer. Nat. Rev. Mol. Cell Biol. 2022, 23, 74–88. [Google Scholar] [CrossRef] [PubMed]
- Sun, D.; Li, H.; Cao, M.; He, S.; Lei, L.; Peng, J.; Chen, W. Cancer Burden in China: Trends, Risk Factors and Prevention. Cancer Biol. Med. 2020, 17, 879. [Google Scholar] [CrossRef] [PubMed]
- Bray, F.; Laversanne, M.; Sung, H.; Ferlay, J.; Siegel, R.L.; Soerjomataram, I.; Jemal, A. Global Cancer Statistics 2022: GLOBOCAN Estimates of Incidence and Mortality Worldwide for 36 Cancers in 185 Countries. CA Cancer J. Clin. 2024, 74, 229–263. [Google Scholar] [CrossRef]
- Lv, S.; Yang, J.; Lin, J.; Huang, X.; Zhao, H.; Zhao, C.; Yang, L. CDK4/6 Inhibitors in Lung Cancer: Current Practice and Future Directions. Eur. Respir. Rev. 2024, 33, 230145. [Google Scholar] [CrossRef]
- Chen, J.W.; Dhahbi, J. Lung Adenocarcinoma and Lung Squamous Cell Carcinoma Cancer Classification, Biomarker I dentification, and Gene Expression Analysis Using Overlapping Feature Selection Methods. Sci. Rep. 2021, 11, 13323. [Google Scholar]
- Šutić, M.; Vukić, A.; Baranašić, J.; Försti, A.; Džubur, F.; Samaržija, M.; Jakopović, M.; Brčić, L.; Knežević, J. Diagnostic, Predictive, and Prognostic Biomarkers in Non-Small Cell Lung Cancer (NSCLC) Management. J. Pers. Med. 2021, 11, 1102. [Google Scholar] [CrossRef]
- Guo, H.; Li, H.; Zhu, L.; Feng, J.; Huang, X.; Baak, J.P.A. “How Long Have I Got?” in Stage IV NSCLC Patients with at Least 3 Months up to 10 Years Survival, Accuracy of Long-, Intermediate-, and Short-Term Survival Prediction Is Not Good Enough to Answer This Question. Front. Oncol. 2021, 11, 761042. [Google Scholar] [CrossRef]
- Min, H.-Y.; Lee, H.-Y. Mechanisms of Resistance to Chemotherapy in Non-Small Cell Lung Cancer. Arch. Pharm. Res. 2021, 44, 146–164. [Google Scholar] [CrossRef]
- Tan, A.C.; Tan, D.S.W. Targeted Therapies for Lung Cancer Patients with Oncogenic Driver Molecular Alterations. J. Clin. Oncol. 2022, 40, 611–625. [Google Scholar] [CrossRef]
- Nooreldeen, R.; Bach, H. Current and Future Development in Lung Cancer Diagnosis. Int. J. Mol. Sci. 2021, 22, 8661. [Google Scholar] [CrossRef] [PubMed]
- Rieger, J.; Pelckmann, L.-M.; Drewes, B. Preservation and Processing of Intestinal Tissue for the Assessment of Histopathology. In Animal Models of Allergic Disease: Methods and Protocols; Humana: New York, NY, USA, 2021; pp. 267–280. [Google Scholar]
- Lin, Y.-Y.; Wang, L.-C.; Hsieh, Y.-H.; Hung, Y.-L.; Chen, Y.-A.; Lin, Y.-C.; Lin, Y.-Y.; Chou, T.-Y. Computer-Assisted Three-Dimensional Quantitation of Programmed Death-Ligand 1 in Non-Small Cell Lung Cancer Using Tissue Clearing Technology. J. Transl. Med. 2022, 20, 131. [Google Scholar] [CrossRef]
- Yang, H.; Chen, L.; Cheng, Z.; Yang, M.; Wang, J.; Lin, C.; Wang, Y.; Huang, L.; Chen, Y.; Peng, S. Deep Learning-Based Six-Type Classifier for Lung Cancer and Mimics from Histopathological Whole Slide Images: A Retrospective Study. BMC Med. 2021, 19, 1–14. [Google Scholar] [CrossRef]
- Shakhawat, H.; Hossain, S.; Kabir, A.; Mahmud, S.M.H.; Islam, M.M.M.; Tariq, F. Review of Artifact Detection Methods for Automated Analysis and Diagnosis in Digital Pathology. In Artificial Intelligence for Disease Diagnosis and Prognosis in Smart Healthcare; CRC Press: Boca Raton, FL, USA, 2023; pp. 177–202. [Google Scholar]
- Lamb, L.R.; Mohallem Fonseca, M.; Verma, R.; Seely, J.M. Missed Breast Cancer: Effects of Subconscious Bias and Lesion Characteristics. Radiographics 2020, 40, 941–960. [Google Scholar] [CrossRef]
- Hägele, M.; Seegerer, P.; Lapuschkin, S.; Bockmayr, M.; Samek, W.; Klauschen, F.; Müller, K.-R.; Binder, A. Resolving Challenges in Deep Learning-Based Analyses of Histopathological Images Using Explanation Methods. Sci. Rep. 2020, 10, 6423. [Google Scholar] [CrossRef]
- Ahmed, A.A.; Abouzid, M.; Kaczmarek, E. Deep Learning Approaches in Histopathology. Cancers 2022, 14, 5264. [Google Scholar] [CrossRef]
- Banerji, S.; Mitra, S. Deep Learning in Histopathology: A Review. Wiley Interdiscip. Rev. Data Min. Knowl. Discov. 2022, 12, e1439. [Google Scholar] [CrossRef]
- Nannapaneni, D.; Saikam, V.R.S.V.; Siddu, R.; Challapalli, V.M.; Rachapudi, V. Enhanced Image-Based Histopathology Lung Cancer Detection. In Proceedings of the 2023 7th International Conference on Computing Methodologies and Communication (ICCMC), Erode, India, 23–25 February 2023; pp. 620–625. [Google Scholar]
- Le Page, A.L.; Ballot, E.; Truntzer, C.; Derangère, V.; Ilie, A.; Rageot, D.; Bibeau, F.; Ghiringhelli, F. Using a Convolutional Neural Network for Classification of Squamous and Non-Squamous Non-Small Cell Lung Cancer Based on Diagnostic Histopathology HES Images. Sci. Rep. 2021, 11, 23912. [Google Scholar] [CrossRef]
- Chen, C.-L.; Chen, C.-C.; Yu, W.-H.; Chen, S.-H.; Chang, Y.-C.; Hsu, T.-I.; Hsiao, M.; Yeh, C.-Y.; Chen, C.-Y. An Annotation-Free Whole-Slide Training Approach to Pathological Classification of Lung Cancer Types Using Deep Learning. Nat. Commun. 2021, 12, 1193. [Google Scholar] [CrossRef]
- Van der Laak, J.; Litjens, G.; Ciompi, F. Deep Learning in Histopathology: The Path to the Clinic. Nat. Med. 2021, 27, 775–784. [Google Scholar] [CrossRef]
- Li, X.; Li, C.; Rahaman, M.M.; Sun, H.; Li, X.; Wu, J.; Yao, Y.; Grzegorzek, M. A Comprehensive Review of Computer-Aided Whole-Slide Image Analysis: From Datasets to Feature Extraction, Segmentation, Classification and Detection Approaches. Artif. Intell. Rev. 2022, 55, 4809–4878. [Google Scholar] [CrossRef]
- Tsuneki, M. Deep Learning Models in Medical Image Analysis. J. Oral. Biosci. 2022, 64, 312–320. [Google Scholar] [CrossRef] [PubMed]
- Pei, Q.; Luo, Y.; Chen, Y.; Li, J.; Xie, D.; Ye, T. Artificial Intelligence in Clinical Applications for Lung Cancer: Diagnosis, Treatment and Prognosis. Clin. Chem. Lab. Med. (CCLM) 2022, 60, 1974–1983. [Google Scholar] [CrossRef] [PubMed]
- Hamid, N.; Portnoy, J.M.; Pandya, A. Computer-Assisted Clinical Diagnosis and Treatment. Curr. Allergy Asthma Rep. 2023, 23, 509–517. [Google Scholar] [CrossRef]
- Ebrahim Ghajari, N.; Fathi, A. Detection and Classification of Lung Cancer in Histopathology Images Using Deep Learning. J. Comput. Secur. 2024, 11, 19–28. [Google Scholar]
- Ahmed, A.A.; Fawi, M.; Brychcy, A.; Abouzid, M.; Witt, M.; Kaczmarek, E. Development and Validation of a Deep Learning Model for Histopathological Slide Analysis in Lung Cancer Diagnosis. Cancers 2024, 16, 1506. [Google Scholar] [CrossRef]
- An, J.; Wang, Y.; Cai, Q.; Zhao, G.; Dooper, S.; Litjens, G.; Gao, Z. Transformer-Based Weakly Supervised Learning for Whole Slide Lung Cancer Image Classification. IEEE J. Biomed. Health Inform. 2024, in press. [Google Scholar] [CrossRef]
- Hao, W.; Han, M.; Yang, H.; Hao, F.; Li, F. A Novel Chinese Herbal Medicine Classification Approach Based on EfficientNet. Syst. Sci. Control Eng. 2021, 9, 304–313. [Google Scholar] [CrossRef]
- Lin, C.; Yang, P.; Wang, Q.; Qiu, Z.; Lv, W.; Wang, Z. Efficient and Accurate Compound Scaling for Convolutional Neural Networks. Neural Netw. 2023, 167, 787–797. [Google Scholar] [CrossRef]
- Abd El-Ghany, S.; Elmogy, M.; El-Aziz, A.A.A. Computer-Aided Diagnosis System for Blood Diseases Using Efficientnet-B3 Based on a Dynamic Learning Algorithm. Diagnostics 2023, 13, 404. [Google Scholar] [CrossRef]
- Oztekin, F.; Katar, O.; Sadak, F.; Yildirim, M.; Cakar, H.; Aydogan, M.; Ozpolat, Z.; Talo Yildirim, T.; Yildirim, O.; Faust, O. An Explainable Deep Learning Model to Prediction Dental Caries Using Panoramic Radiograph Images. Diagnostics 2023, 13, 226. [Google Scholar] [CrossRef] [PubMed]
- Kas, M.; El-merabet, Y.; Ruichek, Y.; Messoussi, R. A Comprehensive Comparative Study of Handcrafted Methods for Face Recognition LBP-like and Non LBP Operators. Multimed. Tools Appl. 2020, 79, 375–413. [Google Scholar] [CrossRef]
- Niu, B.; Gao, Z.; Guo, B. Facial Expression Recognition with LBP and ORB Features. Comput. Intell. Neurosci. 2021, 2021, 8828245. [Google Scholar] [CrossRef] [PubMed]
- Khaleefah, S.H.; Mostafa, S.A.; Mustapha, A.; Nasrudin, M.F. Review of Local Binary Pattern Operators in Image Feature Extraction. Indones. J. Electr. Eng. Comput. Sci. 2020, 19, 23–31. [Google Scholar] [CrossRef]
- Shakoor, M.H.; Boostani, R.; Sabeti, M.; Mohammadi, M. Feature Selection and Mapping of Local Binary Pattern for Texture Classification. Multimed. Tools Appl. 2023, 82, 7639–7676. [Google Scholar] [CrossRef]
- Shu, X.; Song, Z.; Shi, J.; Huang, S.; Wu, X.-J. Multiple Channels Local Binary Pattern for Color Texture Representation and Classification. Signal Process Image Commun. 2021, 98, 116392. [Google Scholar] [CrossRef]
- Najafi Khanbebin, S.; Mehrdad, V. Local Improvement Approach and Linear Discriminant Analysis-Based Local Binary Pattern for Face Recognition. Neural Comput. Appl. 2021, 33, 7691–7707. [Google Scholar] [CrossRef]
- Han, K.; Wang, Y.; Chen, H.; Chen, X.; Guo, J.; Liu, Z.; Tang, Y.; Xiao, A.; Xu, C.; Xu, Y. A Survey on Vision Transformer. IEEE Trans. Pattern Anal. Mach. Intell. 2022, 45, 87–110. [Google Scholar] [CrossRef]
- Khan, S.; Naseer, M.; Hayat, M.; Zamir, S.W.; Khan, F.S.; Shah, M. Transformers in Vision: A Survey. ACM Comput. Surv. (CSUR) 2022, 54, 1–41. [Google Scholar] [CrossRef]
- Dosovitskiy, A. An Image Is Worth 16x16 Words: Transformers for Image Recognition at Scale. arXiv 2020, arXiv:2010.11929. [Google Scholar]
- Katar, O.; Yildirim, O. An Explainable Vision Transformer Model Based White Blood Cells Classification and Localization. Diagnostics 2023, 13, 2459. [Google Scholar] [CrossRef] [PubMed]
- Chefer, H.; Gur, S.; Wolf, L. Transformer Interpretability beyond Attention Visualization. In Proceedings of the 2021 IEEE/CVF Conference on Computer Vision and Pattern Recognition (CVPR), Nashville, TN, USA, 20–25 June 2021; pp. 782–791. [Google Scholar]
- Zhou, Q.; Zhu, Y. Make a Long Image Short: Adaptive Token Length for Vision Transformers. In Joint European Conference on Machine Learning and Knowledge Discovery in Databases, Proceedings of the European Conference, ECML PKDD 2023, Turin, Italy, 18–22 September 2023; Springer: Cham, Switzerland, 2023; pp. 69–85. [Google Scholar]
- Borkowski, A.A.; Bui, M.M.; Thomas, L.B.; Wilson, C.P.; DeLand, L.A.; Mastorides, S.M. Lung and Colon Cancer Histopathological Image Dataset (Lc25000). arXiv 2019, arXiv:1912.12142. [Google Scholar]
- Sarker, I.H. Machine Learning: Algorithms, Real-World Applications and Research Directions. SN Comput. Sci. 2021, 2, 160. [Google Scholar] [CrossRef] [PubMed]
- Chen, R.-C.; Dewi, C.; Huang, S.-W.; Caraka, R.E. Selecting Critical Features for Data Classification Based on Machine Learning Methods. J. Big Data 2020, 7, 52. [Google Scholar] [CrossRef]
- Gaye, B.; Zhang, D.; Wulamu, A. Improvement of Support Vector Machine Algorithm in Big Data Background. Math. Probl. Eng. 2021, 2021, 5594899. [Google Scholar] [CrossRef]
- Pisner, D.A.; Schnyer, D.M. Support Vector Machine. In Machine Learning; Elsevier: Amsterdam, The Netherlands, 2020; pp. 101–121. [Google Scholar]
- Rizwan, A.; Iqbal, N.; Ahmad, R.; Kim, D.-H. WR-SVM Model Based on the Margin Radius Approach for Solving the Minimum Enclosing Ball Problem in Support Vector Machine Classification. Appl. Sci. 2021, 11, 4657. [Google Scholar] [CrossRef]
- Joshi, R.D.; Dhakal, C.K. Predicting Type 2 Diabetes Using Logistic Regression and Machine Learning Approaches. Int. J. Environ. Res. Public Health 2021, 18, 7346. [Google Scholar] [CrossRef]
- Rufo, D.D.; Debelee, T.G.; Ibenthal, A.; Negera, W.G. Diagnosis of Diabetes Mellitus Using Gradient Boosting Machine (LightGBM). Diagnostics 2021, 11, 1714. [Google Scholar] [CrossRef]
- Wang, Y.; Wang, T. Application of Improved LightGBM Model in Blood Glucose Prediction. Appl. Sci. 2020, 10, 3227. [Google Scholar] [CrossRef]
- Bentéjac, C.; Csörgő, A.; Martínez-Muñoz, G. A Comparative Analysis of Gradient Boosting Algorithms. Artif. Intell. Rev. 2021, 54, 1937–1967. [Google Scholar] [CrossRef]
- Asselman, A.; Khaldi, M.; Aammou, S. Enhancing the Prediction of Student Performance Based on the Machine Learning XGBoost Algorithm. Interact. Learn. Environ. 2023, 31, 3360–3379. [Google Scholar] [CrossRef]
- Fathi, H.; AlSalman, H.; Gumaei, A.; Manhrawy, I.I.M.; Hussien, A.G.; El-Kafrawy, P. An Efficient Cancer Classification Model Using Microarray and High-Dimensional Data. Comput. Intell. Neurosci. 2021, 2021, 7231126. [Google Scholar] [CrossRef] [PubMed]
- Grandini, M.; Bagli, E.; Visani, G. Metrics for Multi-Class Classification: An Overview. arXiv 2020, arXiv:2008.05756. [Google Scholar]
- Hatuwal, B.K.; Thapa, H.C. Lung Cancer Detection Using Convolutional Neural Network on Histopathological Images. Int. J. Comput. Trends Technol. 2020, 68, 21–24. [Google Scholar] [CrossRef]
- Mangal, S.; Chaurasia, A.; Khajanchi, A. Convolution Neural Networks for Diagnosing Colon and Lung Cancer Histopathological Images. arXiv 2020, arXiv:2009.03878. [Google Scholar]
- Baranwal, N.; Doravari, P.; Kachhoria, R. Classification of Histopathology Images of Lung Cancer Using Convolutional Neural Network (CNN). In Disruptive Developments in Biomedical Applications; CRC Press: Boca Raton, FL, USA, 2022; pp. 75–89. [Google Scholar]
- Civit-Masot, J.; Bañuls-Beaterio, A.; Domínguez-Morales, M.; Rivas-Pérez, M.; Muñoz-Saavedra, L.; Corral, J.M.R. Non-Small Cell Lung Cancer Diagnosis Aid with Histopathological Images Using Explainable Deep Learning Techniques. Comput. Methods Programs Biomed. 2022, 226, 107108. [Google Scholar] [CrossRef]
- Wadekar, S.; Singh, D.K. A Modified Convolutional Neural Network Framework for Categorizing Lung Cell Histopathological Image Based on Residual Network. Healthc. Anal. 2023, 4, 100224. [Google Scholar] [CrossRef]
- Hamed, E.A.-R.; Salem, M.A.-M.; Badr, N.L.; Tolba, M.F. An Efficient Combination of Convolutional Neural Network and LightGBM Algorithm for Lung Cancer Histopathology Classification. Diagnostics 2023, 13, 2469. [Google Scholar] [CrossRef]
- Mercaldo, F.; Tibaldi, M.G.; Lombardi, L.; Brunese, L.; Santone, A.; Cesarelli, M. An Explainable Method for Lung Cancer Detection and Localisation from Tissue Images through Convolutional Neural Networks. Electronics 2024, 13, 1393. [Google Scholar] [CrossRef]
- Tian, L.; Wu, J.; Song, W.; Hong, Q.; Liu, D.; Ye, F.; Gao, F.; Hu, Y.; Wu, M.; Lan, Y. Precise and Automated Lung Cancer Cell Classification Using Deep Neural Network with Multiscale Features and Model Distillation. Sci. Rep. 2024, 14, 10471. [Google Scholar] [CrossRef]
- Noaman, N.F.; Kanber, B.M.; Smadi, A.A.L.; Jiao, L.; Alsmadi, M.K. Advancing Oncology Diagnostics: AI-Enabled Early Detection of Lung Cancer through Hybrid Histological Image Analysis. IEEE Access 2024, 12, 64396–64415. [Google Scholar] [CrossRef]
- Sadeghi, Z.; Alizadehsani, R.; CIFCI, M.A.; Kausar, S.; Rehman, R.; Mahanta, P.; Bora, P.K.; Almasri, A.; Alkhawaldeh, R.S.; Hussain, S. A Review of Explainable Artificial Intelligence in Healthcare. Comput. Electr. Eng. 2024, 118, 109370. [Google Scholar] [CrossRef]












| Method | Class | Precision | Recall | F-1 Score | Accuracy | Inference Time (s) |
|---|---|---|---|---|---|---|
| EfficientNet-B0 | LACA | 0.9742 | 0.9080 | 0.9399 | 0.9613 | 0.0343 |
| Benign | 1 | 1 | 1 | |||
| LSCC | 0.9138 | 0.9760 | 0.9439 | |||
| EfficientNet-B0 + LR | LACA | 0.9693 | 0.9170 | 0.9424 | 0.9627 | 0.0879 |
| Benign | 1 | 1 | 1 | |||
| LSCC | 0.9212 | 0.9710 | 0.9454 | |||
| EfficientNet-B0 + SVM | LACA | 0.9571 | 0.9390 | 0.9480 | 0.9657 | 0.0868 |
| Benign | 1 | 1 | 1 | |||
| LSCC | 0.9401 | 0.9580 | 0.9489 | |||
| EfficientNet-B0 + LGBM | LACA | 0.9493 | 0.9380 | 0.9436 | 0.9623 | 0.0937 |
| Benign | 0.9980 | 1 | 0.9990 | |||
| LSCC | 0.9396 | 0.9490 | 0.9442 | |||
| EfficientNet-B0 + XGBoost | LACA | 0.9352 | 0.9530 | 0.9440 | 0.9620 | 0.0996 |
| Benign | 0.9980 | 1 | 0.9990 | |||
| LSCC | 0.9530 | 0.9330 | 0.9429 | |||
| EfficientNet-B0 + LBP + LR | LACA | 0.9809 | 0.9290 | 0.9542 | 0.9703 | 1.1821 |
| Benign | 1 | 1 | 1 | |||
| LSCC | 0.9325 | 0.9820 | 0.9566 | |||
| EfficientNet-B0 + LBP + SVM | LACA | 0.9672 | 0.9460 | 0.9565 | 0.9713 | 1.1810 |
| Benign | 1 | 1 | 1 | |||
| LSCC | 0.9471 | 0.9680 | 0.9574 | |||
| EfficientNet-B0 + LBP + LGBM | LACA | 0.9603 | 0.9450 | 0.9526 | 0.9683 | 1.1879 |
| Benign | 0.9970 | 1 | 0.9985 | |||
| LSCC | 0.9476 | 0.9600 | 0.9538 | |||
| EfficientNet-B0 + LBP + XGBoost | LACA | 0.9394 | 0.9620 | 0.9505 | 0.9667 | 1.1938 |
| Benign | 1 | 0.9990 | 0.9995 | |||
| LSCC | 0.9611 | 0.9390 | 0.9499 | |||
| EfficientNet-B0 + LBP + ViT Encoder + LR | LACA | 0.9979 | 0.9970 | 0.9974 | 0.9983 | 1.3110 |
| Benign | 1 | 1 | 1 | |||
| LSCC | 0.9970 | 0.9980 | 0.9975 | |||
| EfficientNet-B0 + LBP + ViT Encoder + SVM | LACA | 0.9989 | 0.9970 | 0.9979 | 0.9987 | 1.3099 |
| Benign | 1 | 1 | 1 | |||
| LSCC | 0.9970 | 0.9990 | 0.9980 | |||
| EfficientNet-B0 + LBP + ViT Encoder + LGBM | LACA | 0.9929 | 0.9910 | 0.9919 | 0.9947 | 1.3168 |
| Benign | 0.9960 | 1 | 0.9980 | |||
| LSCC | 0.9949 | 0.9930 | 0.9939 | |||
| EfficientNet-B0 + LBP + ViT Encoder + XGBoost | LACA | 0.9940 | 0.9950 | 0.9945 | 0.9963 | 1.3227 |
| Benign | 0.9980 | 0.9990 | 0.9985 | |||
| LSCC | 0.9969 | 0.9950 | 0.9959 |
| Study | Year | Dataset | Number of Classes | Method | CV Ratio | Performance |
|---|---|---|---|---|---|---|
| Hatuwal and Thapa [61] | 2020 | LC25000 | 3 (LACA, LSCC and Benign) | Custom CNN | 90% Train, 10% Validation | Accuracy = 97.20% |
| Mangal et al. [62] | 2020 | LC25000 | 3 (LACA, LSCC and Benign) | Custom CNN | 90% Train, 10% Validation | Accuracy = 97.89% |
| Baranwal et al. [63] | 2022 | LC25000 | 3 (LACA, LSCC and Benign) | Inception-ResNetv2 | 80% Train, 20% Validation | Accuracy = 99.70% |
| Javier et al. [64] | 2022 | LC25000 | 3 (LACA, LSCC and Benign) | Custom CNN | 80% Train, 20% Test | Accuracy = 97.11% |
| Wadekar and Singh [65] | 2023 | LC25000 | 3 (LACA, LSCC and Benign) | VGG-19 | 80% Train, 20% Test | Accuracy = 97.73% |
| Hamed et al. [66] | 2023 | LC25000 | 2 (LSCC and Benign) | Custom CNN + LightGBM | 40% Train, 60% Test | Accuracy = 99.60% |
| Mercaldo et al. [67] | 2024 | LC25000 | 3 (LACA, LSCC and Benign) | VGG-16 | 80% Train, 10% Validation, 10% Test | Accuracy = 99.20% |
| Tian et al. [68] | 2024 | LC25000 | 3 (LACA, LSCC and Benign) | FPN + SE + ResNet-18 | N/A | Accuracy = 98.84% |
| Noaman et al. [69] | 2024 | LC25000 | 3 (LACA, LSCC and Benign) | DenseNet-121 + Color Histogram + KNN | N/A | Accuracy = 99.68% |
| This study | 2024 | LC25000 | 3 (LACA, LSCC and Benign) | EfficientNet-B0 + LBP + ViT Encoder + SVM | 80% Train, 20% Test | Accuracy = 99.87% |
Disclaimer/Publisher’s Note: The statements, opinions and data contained in all publications are solely those of the individual author(s) and contributor(s) and not of MDPI and/or the editor(s). MDPI and/or the editor(s) disclaim responsibility for any injury to people or property resulting from any ideas, methods, instructions or products referred to in the content. |
© 2024 by the authors. Licensee MDPI, Basel, Switzerland. This article is an open access article distributed under the terms and conditions of the Creative Commons Attribution (CC BY) license (https://creativecommons.org/licenses/by/4.0/).
Share and Cite
Katar, O.; Yildirim, O.; Tan, R.-S.; Acharya, U.R. A Novel Hybrid Model for Automatic Non-Small Cell Lung Cancer Classification Using Histopathological Images. Diagnostics 2024, 14, 2497. https://doi.org/10.3390/diagnostics14222497
Katar O, Yildirim O, Tan R-S, Acharya UR. A Novel Hybrid Model for Automatic Non-Small Cell Lung Cancer Classification Using Histopathological Images. Diagnostics. 2024; 14(22):2497. https://doi.org/10.3390/diagnostics14222497
Chicago/Turabian StyleKatar, Oguzhan, Ozal Yildirim, Ru-San Tan, and U Rajendra Acharya. 2024. "A Novel Hybrid Model for Automatic Non-Small Cell Lung Cancer Classification Using Histopathological Images" Diagnostics 14, no. 22: 2497. https://doi.org/10.3390/diagnostics14222497
APA StyleKatar, O., Yildirim, O., Tan, R.-S., & Acharya, U. R. (2024). A Novel Hybrid Model for Automatic Non-Small Cell Lung Cancer Classification Using Histopathological Images. Diagnostics, 14(22), 2497. https://doi.org/10.3390/diagnostics14222497

