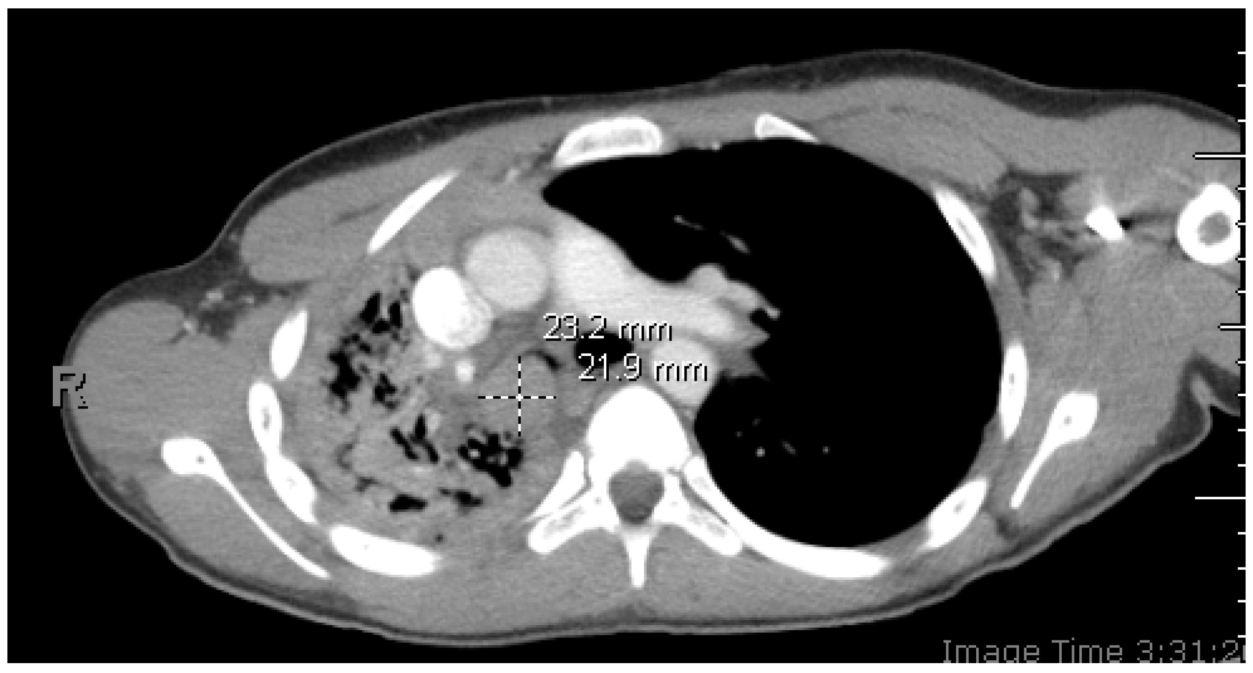
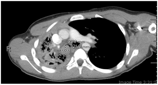
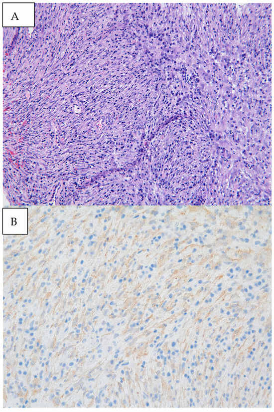
A Rare Endobronchial Tumor in a Pediatric Patient
Abstract



Author Contributions
Funding
Informed Consent Statement
Data Availability Statement
Conflicts of Interest
References
- Varela, P.; Pio, L.; Brandigi, E.; Paraboschi, I.; Khen-Dunlop, N.; Hervieux, E.; Muller, C.; Mattioli, G.; Sarnacki, S.; Torre, M. Tracheal and bronchial tumors. J. Thorac. Dis. 2016, 8, 3781–3786. [Google Scholar] [CrossRef] [PubMed]
- Eyssartier, E.; Ang, P.; Bonnemaison, E.; Gibertini, I.; Diot, P.; Carpentier, E.; Chantepie, A.; Leclair, M.D.; Brouard, J.; Boutard, P.; et al. Characteristics of endobronchial primitive tumors in children. Pediatr. Pulmonol. 2014, 49, E121–E125. [Google Scholar] [CrossRef] [PubMed]
- Gros, L.; Dei Tos, A.P.; Jones, R.L.; Digklia, A. Inflammatory Myofibroblastic Tumour: State of the Art. Cancers 2022, 14, 3662. [Google Scholar] [CrossRef] [PubMed]
- Iyer, A.; Radonic, T.; Heukamp, L.C.; Thunnissen, E.; Daniels, J.M.A. Inflammatory myofibroblastic tumour of the central airways: Treatment and molecular analysis. ERJ Open Res. 2021, 7, 00151-2020. [Google Scholar] [CrossRef] [PubMed]
- Dong, Y.; Zahid, K.R.; Han, Y.; Hu, P.; Zhang, D. Treatment of Pediatric Inflammatory Myofibroblastic Tumor: The Experience from China Children’s Medical Center. Children 2022, 9, 307. [Google Scholar] [CrossRef] [PubMed]
- Coffin, C.M.; Hornick, J.L.; Fletcher, C.D. Inflammatory myofibroblastic tumor: Comparison of clinicopathologic, histologic, and immunohistochemical features including ALK expression in atypical and aggressive cases. Am. J. Surg. Pathol. 2007, 31, 509–520. [Google Scholar] [CrossRef] [PubMed]
- Schoffski, P.; Kubickova, M.; Wozniak, A.; Blay, J.Y.; Strauss, S.J.; Stacchiotti, S.; Switaj, T.; Bucklein, V.; Leahy, M.G.; Italiano, A.; et al. Long-term efficacy update of crizotinib in patients with advanced, inoperable inflammatory myofibroblastic tumour from EORTC trial 90101 CREATE. Eur. J. Cancer 2021, 156, 12–23. [Google Scholar] [CrossRef] [PubMed]
- Kuo, S.C.; Lo, Y.L.; Chou, C.L.; Chung, F.T.; Lin, S.M.; Liu, C.Y.; Kuo, H.P. Bronchoscopic debulking for endobronchial malignancy: Predictors of recanalization and recurrence. Thorac. Cancer 2015, 6, 722–730. [Google Scholar] [CrossRef] [PubMed]
Disclaimer/Publisher’s Note: The statements, opinions and data contained in all publications are solely those of the individual author(s) and contributor(s) and not of MDPI and/or the editor(s). MDPI and/or the editor(s) disclaim responsibility for any injury to people or property resulting from any ideas, methods, instructions or products referred to in the content. |
© 2024 by the authors. Licensee MDPI, Basel, Switzerland. This article is an open access article distributed under the terms and conditions of the Creative Commons Attribution (CC BY) license (https://creativecommons.org/licenses/by/4.0/).
Share and Cite
Parekh, P.; Wagh, A. A Rare Endobronchial Tumor in a Pediatric Patient. Diagnostics 2024, 14, 2254. https://doi.org/10.3390/diagnostics14202254
Parekh P, Wagh A. A Rare Endobronchial Tumor in a Pediatric Patient. Diagnostics. 2024; 14(20):2254. https://doi.org/10.3390/diagnostics14202254
Chicago/Turabian StyleParekh, Pooja, and Ajay Wagh. 2024. "A Rare Endobronchial Tumor in a Pediatric Patient" Diagnostics 14, no. 20: 2254. https://doi.org/10.3390/diagnostics14202254
APA StyleParekh, P., & Wagh, A. (2024). A Rare Endobronchial Tumor in a Pediatric Patient. Diagnostics, 14(20), 2254. https://doi.org/10.3390/diagnostics14202254

