Next Article in Journal
EUS-Guided Radiofrequency Ablation Therapy for Pancreatic Neoplasia
Next Article in Special Issue
A Machine Learning Model Based on Radiomic Features as a Tool to Identify Active Giant Cell Arteritis on [18F]FDG-PET Images During Follow-Up
Previous Article in Journal
Overexpression of Osteopontin-a and Osteopontin-c Splice Variants Are Worse Prognostic Features in Colorectal Cancer
Previous Article in Special Issue
The Aortic Prosthesis and Aortic Valve Bioprosthesis Trombosis as a Late Complication in Patients after the Bentall Procedure Followed by a Valve-in-Valve Transcatheter Aortic Valve Implantation
 
 
Font Type:
Arial Georgia Verdana
Font Size:
Aa Aa Aa
Line Spacing:
Column Width:
Background:
Interesting Images

Cardiac Hemangioma Mimicking Infective Endocarditis

Division of Cardiovascular Surgery, Department of Surgery, National Cheng Kung University Hospital, College of Medicine, National Cheng Kung University, Tainan 704, Taiwan
*
Author to whom correspondence should be addressed.
Diagnostics 2024, 14(19), 2109; https://doi.org/10.3390/diagnostics14192109
Submission received: 10 August 2024 / Revised: 12 September 2024 / Accepted: 19 September 2024 / Published: 24 September 2024
(This article belongs to the Special Issue Cardiovascular Imaging)

Abstract

Cardiac hemangiomas are rare and often misdiagnosed due to their nonspecific clinical presentations. We report a case of a 70-year-old man presenting with chills and cold sweats, initially suspected of having infective endocarditis based on echocardiographic findings of a mobile mass on the mitral valve. Laboratory results showed leukocytosis and elevated C-reactive protein, but blood cultures were negative. Transesophageal echocardiography later revealed a well-defined mass with characteristics suggestive of a tumor. Surgical excision confirmed the diagnosis of hemangioma. Postoperative recovery was uneventful, with no mitral regurgitation. This case highlights the importance of considering cardiac tumors in the differential diagnosis of intracardiac masses.

Cardiac hemangiomas are rare cardiac tumors usually described in case reports [1]. Cardiac hemangiomas usually lack significant clinical manifestations unless cardiac compression or obstruction occurs [2]. Herein, we present a case of cardiac hemangioma initially misdiagnosed as infective endocarditis based on the imaging and clinical presentation.
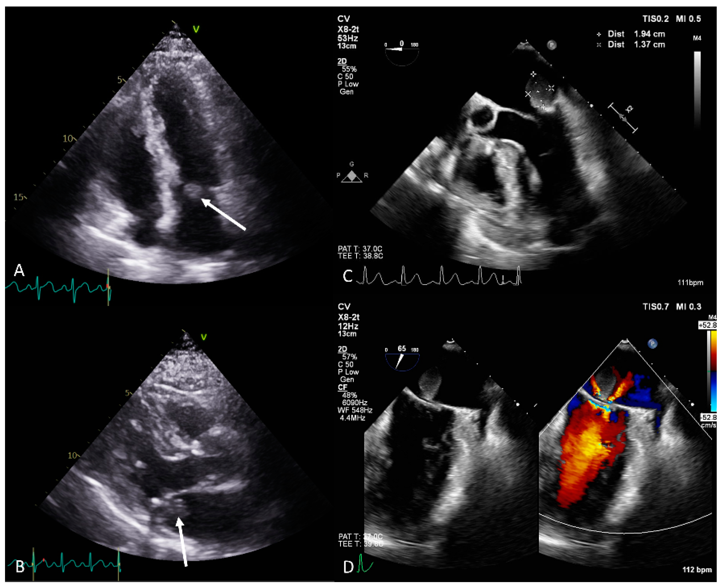
A 70-year-old man presenting with chills and cold sweats was transferred to the emergency room. An echocardiogram revealed a mobile 1.57 × 2.47 cm mass on the mitral valve (Figure 1A,B); consequently, vegetation was suspected (details in Supplementary Table S1). The laboratory tests revealed leukocytosis, elevated C-reactive protein levels, and negative blood culture (details in Supplementary Table S2). However, the echocardiologist questioned the diagnosis because of the mass’s smooth, well-defined shape (differential diagnosis in Supplementary Table S3). Transesophageal echocardiography identified a 1.9 × 1.4 cm polypoid mass with a pedicle attached to the annulus near P2, suggesting a tumor (Figure 1C,D). During surgery, a round 1.5 × 1.5 × 1.5 cm tumor was identified at the mitral annulus between P1 and P2 that was connected to underlying mitral annulus calcification (Figure 2A,B). The tumor and a small part of the annulus endocardium were excised, and a mitral ring annuloplasty was performed. Pathology confirmed the diagnosis of hemangioma with dense lymphocyte infiltrate (Figure 2C,D). Postoperative echocardiography revealed no mitral regurgitation. Previous reports have mentioned that hemangiomas on the mitral valve may cause multiple brain infarcts [3]. Other types of intracardiac tumors, such as cardiac papillary fibroelastoma, have also been misdiagnosed as infective endocarditis [4]. Through this case, we hope to offer clinicians with additional perspectives for the diagnosis and management of intracardiac mass lesions.

Supplementary Materials

The following supporting information can be downloaded at https://www.mdpi.com/article/10.3390/diagnostics14192109/s1. Supplementary Table S1. Details of patient’s echocardiography. Supplementary Table S2. Details of patient’s laboratory data. Supplementary Table S3. Differential diagnosis of the intracardiac mass in this case. Video S1. Parasternal long-axis transthoracic echocardiography view showing a mobile mass on the posterior leaflet of the mitral valve. Video S2. Transesophageal echocardiography showing a 1.9 × 1.4 cm polypoid mass with a pedicle attached to the annulus near the P2 segment, partially protruding into the left ventricle during diastole. Video S3. Transesophageal echocardiography color Doppler showing a mild mitral regurgitation jet. Grading of mitral regurgitation may have been underestimated due to the mitral mass obstacle. Video S4. Coronary angiography for left anterior descending artery. Video S5. Coronary angiography for left circumflex artery. Video S6. Coronary angiography for right coronary artery.

Author Contributions

Conceptualization, C.-M.Y.; Data curation, C.-M.Y.; Project administration, Y.-N.H.; Supervision, Y.-N.H.; Validation, Y.-N.H.; Writing—original draft, C.-M.Y.; Writing—review and editing, Y.-N.H. All authors have read and agreed to the published version of the manuscript.

Funding

This research received no external funding.

Institutional Review Board Statement

The institution IRB approved this study (A-EC-113-019, 8 July 2024, National Cheng Kung University Hospital).

Informed Consent Statement

Informed consent was obtained from all subjects involved in the study. Written informed consent has been obtained from the patient(s) to publish this paper.

Data Availability Statement

The data are available on request from the authors.

Conflicts of Interest

The authors declare no conflicts of interest.

References

  1. Li, W.; Teng, P.; Xu, H.; Ma, L.; Ni, Y. Cardiac hemangioma: A comprehensive analysis of 200 cases. Ann. Thorac. Surg. 2015, 99, 2246–2252. [Google Scholar] [CrossRef] [PubMed]
  2. Val-Bernal, J.F.; Terán-Villagrá, N.; García-Diego, O.; Sarralde, J.A. Lymphocyte-rich capillary-cavernous hemangioma of the mitral valve: A case report and review of the literature. Cardiovasc. Pathol. 2017, 28, 59–63. [Google Scholar] [CrossRef] [PubMed]
  3. Parkash, O.; Ying, G.W.; Ram, A.; Vemireddy, L.P.; Zahra, F. A rare case of cavernous hemangioma of the mitral valve presenting as multifocal embolic brain infarcts. Cureus 2021, 13, e17721. [Google Scholar] [CrossRef] [PubMed]
  4. Collado-Rivera, C.J.; Vojniku, K.; Sharma, M.; Fernandez, H.A.; Kaell, A.T. Cardiac papillary fibroelastoma: Atypical presentation mimicking infective endocarditis with false positive commensal blood cultures. Cureus 2023, 15, e42660. [Google Scholar] [CrossRef] [PubMed]
Figure 1. (A) Four-chamber transthoracic echocardiography view showing a mobile mass (white arrow) on the posterior leaflet of the mitral valve. (B) Parasternal long-axis transthoracic echocardiography view showing a mobile mass (white arrow) on the posterior leaflet of the mitral valve (Video S1). (C) Transesophageal echocardiography showing a 1.9 × 1.4 cm polypoid mass with a pedicle attached to the annulus near the P2 segment. The mass partially protruded into the left ventricle during diastole (Video S2). (D) Transesophageal echocardiography showing a polypoid mass with a pedicle attached to the annulus near the P2 segment. Color Doppler indicated mild mitral regurgitation. Grading of the mitral regurgitation may have been underestimated due to the mitral mass obstacle (Video S3). Preoperative coronary artery angiography showed no obvious feeding arteries (Videos S4–S6).
Figure 1. (A) Four-chamber transthoracic echocardiography view showing a mobile mass (white arrow) on the posterior leaflet of the mitral valve. (B) Parasternal long-axis transthoracic echocardiography view showing a mobile mass (white arrow) on the posterior leaflet of the mitral valve (Video S1). (C) Transesophageal echocardiography showing a 1.9 × 1.4 cm polypoid mass with a pedicle attached to the annulus near the P2 segment. The mass partially protruded into the left ventricle during diastole (Video S2). (D) Transesophageal echocardiography showing a polypoid mass with a pedicle attached to the annulus near the P2 segment. Color Doppler indicated mild mitral regurgitation. Grading of the mitral regurgitation may have been underestimated due to the mitral mass obstacle (Video S3). Preoperative coronary artery angiography showed no obvious feeding arteries (Videos S4–S6).
Diagnostics 14 02109 g001
Figure 2. (A) A round 1.5 × 1.5 × 1.5 cm tumor at the mitral annulus between P1 and P2. (B) A tumor on the posterior mitral annulus connected to underlying mitral annulus calcification. (C) Pathology showed hemangioma with dense lymphocyte infiltration (5× magnification). (D) CD34 stain revealed a capillary–cavernous hemangioma with dense lymphocyte infiltration (10× magnification).
Figure 2. (A) A round 1.5 × 1.5 × 1.5 cm tumor at the mitral annulus between P1 and P2. (B) A tumor on the posterior mitral annulus connected to underlying mitral annulus calcification. (C) Pathology showed hemangioma with dense lymphocyte infiltration (5× magnification). (D) CD34 stain revealed a capillary–cavernous hemangioma with dense lymphocyte infiltration (10× magnification).
Diagnostics 14 02109 g002
Disclaimer/Publisher’s Note: The statements, opinions and data contained in all publications are solely those of the individual author(s) and contributor(s) and not of MDPI and/or the editor(s). MDPI and/or the editor(s) disclaim responsibility for any injury to people or property resulting from any ideas, methods, instructions or products referred to in the content.

Share and Cite

MDPI and ACS Style

Yang, C.-M.; Hu, Y.-N. Cardiac Hemangioma Mimicking Infective Endocarditis. Diagnostics 2024, 14, 2109. https://doi.org/10.3390/diagnostics14192109

AMA Style

Yang C-M, Hu Y-N. Cardiac Hemangioma Mimicking Infective Endocarditis. Diagnostics. 2024; 14(19):2109. https://doi.org/10.3390/diagnostics14192109

Chicago/Turabian Style

Yang, Ching-Mao, and Yu-Ning Hu. 2024. "Cardiac Hemangioma Mimicking Infective Endocarditis" Diagnostics 14, no. 19: 2109. https://doi.org/10.3390/diagnostics14192109

APA Style

Yang, C.-M., & Hu, Y.-N. (2024). Cardiac Hemangioma Mimicking Infective Endocarditis. Diagnostics, 14(19), 2109. https://doi.org/10.3390/diagnostics14192109

Note that from the first issue of 2016, this journal uses article numbers instead of page numbers. See further details here.

Article Metrics

Back to TopTop