Endoscopic Ultrasound and Intraductal Ultrasound in the Diagnosis of Biliary Tract Diseases: A Narrative Review
Abstract
1. Introduction
2. Methodology
3. Endoscopic Ultrasound (EUS)
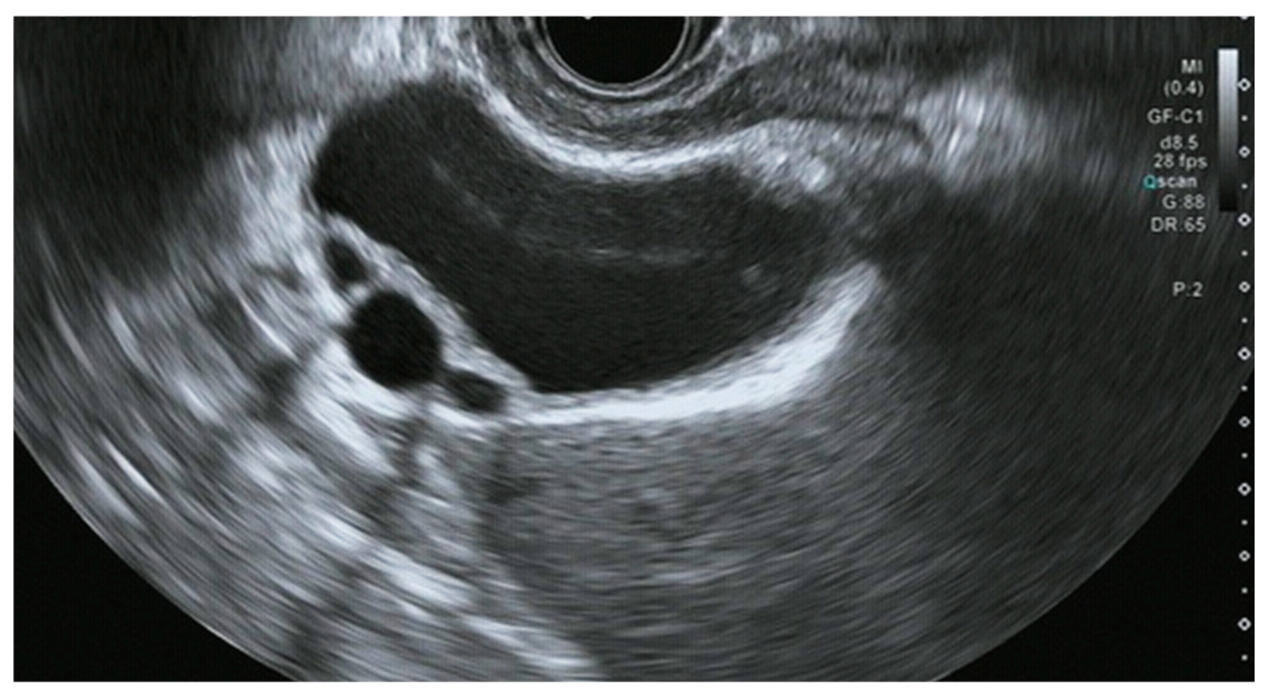
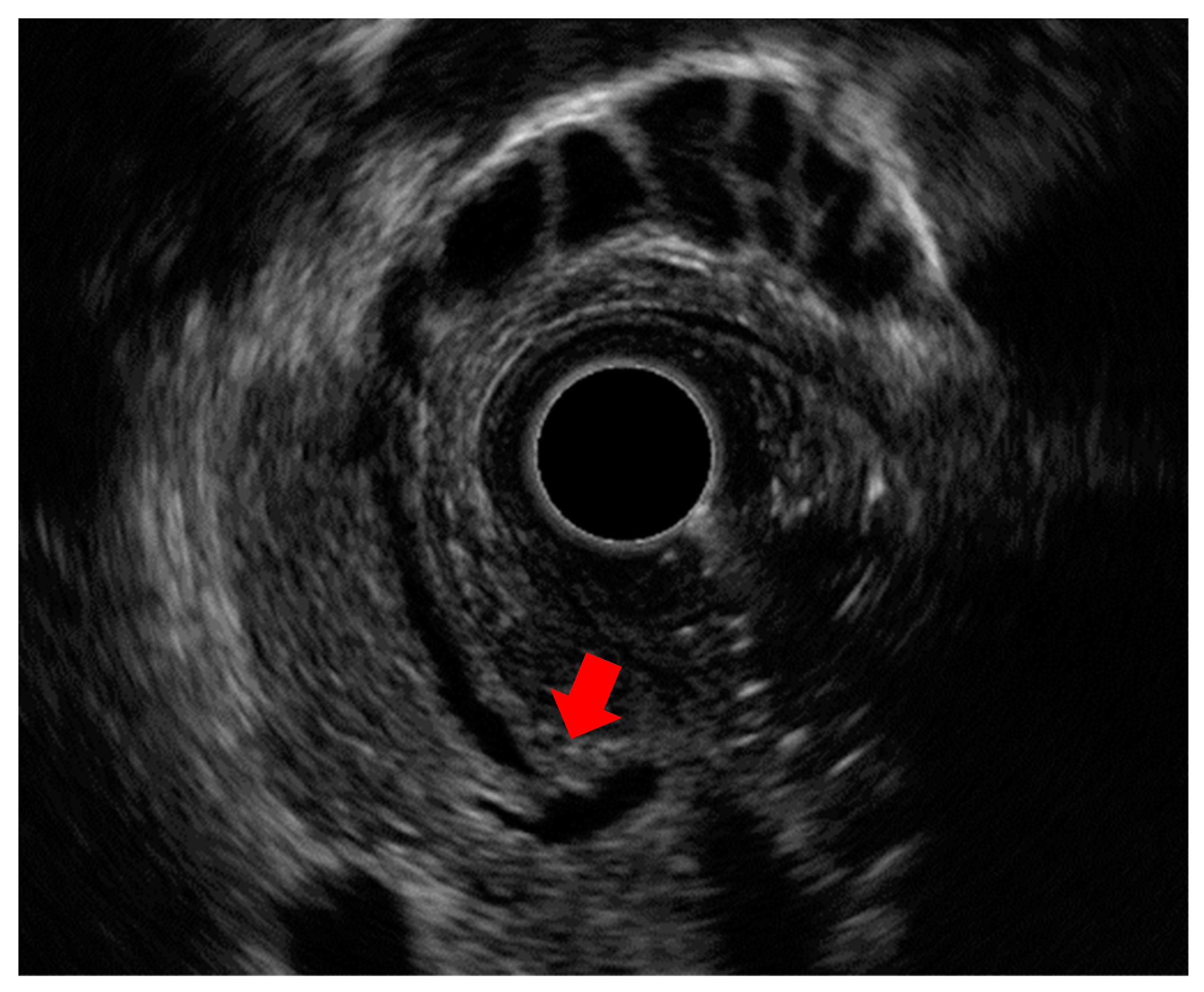
4. Intraductal Ultrasound (IDUS)
5. Contrast-Enhanced EUS
6. EUS-Guided Tissue Acquisition
7. Diagnosis of Biliary Duct Diseases
7.1. Diagnosis of Choledocholithiasis
7.2. Differential Diagnosis of Biliary Stricture
7.3. Diagnosis of Cholangiocarcinoma
7.3.1. T-Staging of Cholangiocarcinoma
7.3.2. N-Staging of Cholangiocarcinoma
8. Diagnosis of Gallbladder Diseases
8.1. Differential Diagnosis of Wall Thickening Lesions
8.2. Differential Diagnosis of Protuberant Lesions
8.3. Diagnosis of Gallbladder Carcinoma
8.3.1. T-Staging of Gallbladder Carcinoma
8.3.2. N-Staging of Gallbladder Carcinoma
9. Diagnosis of Other Diseases
9.1. Diagnosis of Pancreaticobiliary Maljunction
9.2. Diagnosis of Ampullary Tumors
9.2.1. T-Staging of Ampullary Tumors
9.2.2. N-Staging of Ampullary Tumors
10. Conclusions
Author Contributions
Funding
Data Availability Statement
Conflicts of Interest
References
- Bertuccio, P.; Malvezzi, M.; Carioli, G.; Hashim, D.; Boffetta, P.; El-Serag, H.B.; La Vecchia, C.; Negri, E. Global trends in mortality from intrahepatic and extrahepatic cholangiocarcinoma. J. Hepatol. 2019, 71, 104–114. [Google Scholar] [CrossRef] [PubMed]
- Valle, J.W.; Kelley, R.K.; Nervi, B.; Oh, D.Y.; Zhu, A.X. Biliary tract cancer. Lancet 2021, 397, 428–444. [Google Scholar] [CrossRef] [PubMed]
- Baria, K.; De Toni, E.N.; Yu, B.; Jiang, Z.; Kabadi, S.M.; Malvezzi, M. Worldwide Incidence and Mortality of Biliary Tract Cancer. Gastro Hep Adv. 2022, 1, 618–626. [Google Scholar] [CrossRef] [PubMed]
- Molvar, C.; Glaenzer, B. Choledocholithiasis: Evaluation, Treatment, and Outcomes. Semin. Interv. Radiol. 2016, 33, 268–276. [Google Scholar]
- Afzalpurkar, S.; Giri, S.; Kasturi, S.; Ingawale, S.; Sundaram, S. Magnetic resonance cholangiopancreatography versus endoscopic ultrasound for diagnosis of choledocholithiasis: An updated systematic review and meta-analysis. Surg. Endosc. 2023, 37, 2566–2573. [Google Scholar] [CrossRef]
- Suzuki, M.; Sekino, Y.; Hosono, K.; Yamamoto, K.; Kawana, K.; Nagase, H.; Kubota, K.; Nakajima, A. Endoscopic ultrasound versus magnetic resonance cholangiopancreatography for the diagnosis of computed tomography-negative common bile duct stone: Prospective randomized controlled trial. Dig. Endosc. 2022, 34, 1052–1059. [Google Scholar] [CrossRef]
- Naitoh, I.; Nakazawa, T.; Ohara, H.; Ando, T.; Hayashi, K.; Tanaka, H.; Okumura, F.; Takahashi, S.; Joh, T. Endoscopic transpapillary intraductal ultrasonography and biopsy in the diagnosis of IgG4-related sclerosing cholangitis. J. Gastroenterol. 2009, 44, 1147–1155. [Google Scholar] [CrossRef]
- Naitoh, I.; Nakazawa, T.; Hayashi, K.; Miyabe, K.; Shimizu, S.; Kondo, H.; Nishi, Y.; Yoshida, M.; Umemura, S.; Hori, Y.; et al. Comparison of intraductal ultrasonography findings between primary sclerosing cholangitis and IgG4-related sclerosing cholangitis. J. Gastroenterol. Hepatol. 2015, 30, 1104–1109. [Google Scholar] [CrossRef]
- Naitoh, I.; Nakazawa, T. Classification and Diagnostic Criteria for IgG4-Related Sclerosing Cholangitis. Gut Liver 2022, 16, 28–36. [Google Scholar] [CrossRef]
- Tanaka, K.; Katanuma, A.; Hayashi, T.; Kin, T.; Takahashi, K. Role of endoscopic ultrasound for gallbladder disease. J. Med. Ultrason. 2021, 48, 187–198. [Google Scholar] [CrossRef]
- Kim, H.J.; Park, J.H.; Park, D.I.; Cho, Y.K.; Sohn, C.I.; Jeon, W.K.; Kim, B.I.; Choi, S.H. Clinical usefulness of endoscopic ultrasonography in the differential diagnosis of gallbladder wall thickening. Dig. Dis. Sci. 2012, 57, 508–515. [Google Scholar] [CrossRef] [PubMed]
- Rana, P.; Gupta, P.; Kalage, D.; Soundararajan, R.; Kumar, M.P.; Dutta, U. Grayscale ultrasonography findings for characterization of gallbladder wall thickening in non-acute setting: A systematic review and meta-analysis. Expert. Rev. Gastroenterol. Hepatol. 2022, 16, 59–71. [Google Scholar] [CrossRef] [PubMed]
- Kuroiwa, M.; Tsukamoto, Y.; Naitoh, Y.; Hirooka, Y.; Furukawa, T.; Katou, T. New technique using intraductal ultrasonography for the diagnosis of bile duct cancer. J. Ultrasound Med. 1994, 13, 189–195. [Google Scholar] [CrossRef][Green Version]
- Menzel, J.; Poremba, C.; Dietl, K.H.; Domschke, W. Preoperative diagnosis of bile duct strictures--comparison of intraductal ultrasonography with conventional endosonography. Scand. J. Gastroenterol. 2000, 35, 77–82. [Google Scholar] [PubMed]
- Otsuka, Y.; Kamata, K.; Hyodo, T.; Chikugo, T.; Hara, A.; Tanaka, H.; Yoshikawa, T.; Ishikawa, R.; Okamoto, A.; Yamazaki, T.; et al. Utility of contrast-enhanced harmonic endoscopic ultrasonography for T-staging of patients with extrahepatic bile duct cancer. Surg. Endosc. 2022, 36, 3254–3260. [Google Scholar] [CrossRef]
- Imazu, H.; Uchiyama, Y.; Matsunaga, K.; Ikeda, K.; Kakutani, H.; Sasaki, Y.; Sumiyama, K.; Ang, T.L.; Omar, S.; Tajiri, H. Contrast-enhanced harmonic EUS with novel ultrasonographic contrast (Sonazoid) in the preoperative T-staging for pancreaticobiliary malignancies. Scand. J. Gastroenterol. 2010, 45, 732–738. [Google Scholar] [CrossRef]
- Choi, E.R.; Chung, Y.H.; Lee, J.K.; Lee, K.T.; Lee, K.H.; Choi, D.W.; Choi, S.H.; Heo, J.S.; Jang, K.T.; Park, S.M.; et al. Preoperative evaluation of the longitudinal extent of borderline resectable hilar cholangiocarcinoma by intraductal ultrasonography. J. Gastroenterol. Hepatol. 2011, 26, 1804–1810. [Google Scholar] [CrossRef]
- Kim, H.M.; Park, J.Y.; Kim, K.S.; Park, M.S.; Kim, M.J.; Park, Y.N.; Bang, S.; Song, S.Y.; Chung, J.B.; Park, S.W. Intraductal ultrasonography combined with percutaneous transhepatic cholangioscopy for the preoperative evaluation of longitudinal tumor extent in hilar cholangiocarcinoma. J. Gastroenterol. Hepatol. 2010, 25, 286–292. [Google Scholar] [CrossRef]
- Sugimoto, M.; Irie, H.; Takasumi, M.; Hashimoto, M.; Oka, Y.; Takagi, T.; Suzuki, R.; Konno, N.; Asama, H.; Sato, Y.; et al. A simple method for diagnosing gallbladder malignant tumors with subserosa invasion by endoscopic ultrasonography. BMC Cancer 2021, 21, 288. [Google Scholar] [CrossRef]
- Vázquez-Sequeiros, E.; González-Panizo Tamargo, F.; Boixeda-Miquel, D.; Milicua, J.M. Diagnostic accuracy and therapeutic impact of endoscopic ultrasonography in patients with intermediate suspicion of choledocholithiasis and absence of findings in magnetic resonance cholangiography. Rev. Esp. Enferm. Dig. 2011, 103, 464–471. [Google Scholar] [CrossRef]
- Anwer, M.; Asghar, M.S.; Rahman, S.; Kadir, S.; Yasmin, F.; Mohsin, D.; Jawed, R.; Memon, G.M.; Rasheed, U.; Hassan, M. Diagnostic Accuracy of Endoscopic Ultrasonography Versus the Gold Standard Endoscopic Retrograde Cholangiopancreatography in Detecting Common Bile Duct Stones. Cureus 2020, 12, e12162. [Google Scholar] [CrossRef] [PubMed]
- Heinzow, H.S.; Kammerer, S.; Rammes, C.; Wessling, J.; Domagk, D.; Meister, T. Comparative analysis of ERCP, IDUS, EUS and CT in predicting malignant bile duct strictures. World J. Gastroenterol. 2014, 20, 10495–10503. [Google Scholar] [CrossRef] [PubMed]
- Nakai, A.; Kamata, K.; Hyodo, T.; Chikugo, T.; Hara, A.; Otsuka, Y.; Tanaka, H.; Yoshikawa, T.; Ishikawa, R.; Okamoto, A.; et al. Utility of contrast-enhanced harmonic EUS for diagnosis of portal vein invasion by pancreatic cancer. Endosc. Ultrasound 2022, 11, 401–406. [Google Scholar] [PubMed]
- Hirooka, Y.; Naitoh, Y.; Goto, H.; Ito, A.; Hayakawa, S.; Watanabe, Y.; Ishiguro, Y.; Kojima, S.; Hashimoto, S.; Hayakawa, T. Contrast-enhanced endoscopic ultrasonography in gallbladder diseases. Gastrointest. Endosc. 1998, 48, 406–410. [Google Scholar] [CrossRef] [PubMed]
- Yamashita, Y.; Yoshikawa, T.; Kawaji, Y.; Tamura, T.; Hatamaru, K.; Itonaga, M.; Ida, Y.; Maekita, T.; Iguchi, M.; Murata, S.; et al. Novel endoscopic ultrasonography imaging technique for visualizing microcirculation without contrast enhancement in subepithelial lesions: Prospective study. Dig. Endosc. 2021, 33, 955–961. [Google Scholar] [CrossRef]
- Sadeghi, A.; Mohamadnejad, M.; Islami, F.; Keshtkar, A.; Biglari, M.; Malekzadeh, R.; Eloubeidi, M.A. Diagnostic yield of EUS-guided FNA for malignant biliary stricture: A systematic review and meta-analysis. Gastrointest. Endosc. 2016, 83, 290–298.e1. [Google Scholar] [CrossRef]
- De Moura, D.T.H.; Moura, E.G.H.; Bernardo, W.M.; De Moura, E.T.H.; Baraca, F.I.; Kondo, A.; Matuguma, S.E.; Almeida Artifon, E.L. Endoscopic retrograde cholangiopancreatography versus endoscopic ultrasound for tissue diagnosis of malignant biliary stricture: Systematic review and meta-analysis. Endosc. Ultrasound 2018, 7, 10–19. [Google Scholar] [CrossRef]
- Jo, J.H.; Cho, C.M.; Jun, J.H.; Chung, M.J.; Kim, T.H.; Seo, D.W.; Kim, J.; Park, D.H.; Research Group for Endoscopic Ultrasonography in KSGE. Same-session endoscopic ultrasound-guided fine needle aspiration and endoscopic retrograde cholangiopancreatography-based tissue sampling in suspected malignant biliary obstruction: A multicenter experience. J. Gastroenterol. Hepatol. 2019, 34, 799–805. [Google Scholar] [CrossRef]
- Mathew, P.; Kanni, P.; Gowda, M.; Devarapu, C.; Ansari, J.; Garg, A. A Comparative Study of Endoscopic Ultrasound Fine-Needle Aspiration (EUS-FNA) and Endoscopic Retrograde Cholangiopancreatography (ERCP)-Based Brush Cytology for Tissue Diagnosis in Malignant Biliary Obstruction. Cureus 2022, 14, e30291. [Google Scholar] [CrossRef]
- Giri, S.; Angadi, S.; Afzalpurkar, S.; Harindranath, S.; Varghese, J.; Sundaram, S. Diagnostic performance and safety of endoscopic ultrasound-guided tissue acquisition of gallbladder lesions: A systematic review with meta-analysis. Indian J. Gastroenterol. 2023, 42, 467–474. [Google Scholar] [CrossRef]
- Defrain, C.; Chang, C.Y.; Srikureja, W.; Nguyen, P.T.; Gu, M. Cytologic features and diagnostic pitfalls of primary ampullary tumors by endoscopic ultrasound-guided fine-needle aspiration biopsy. Cancer 2005, 105, 289–297. [Google Scholar] [CrossRef] [PubMed]
- Chang, K.J. State of the art lecture: Endoscopic ultrasound (EUS) and FNA in pancreatico-biliary tumors. Endoscopy 2006, 38 (Suppl. S1), S56–S60. [Google Scholar] [CrossRef] [PubMed]
- Ogura, T.; Hara, K.; Hijioka, S.; Mizuno, N.; Imaoka, H.; Niwa, Y.; Tajika, M.; Kondo, S.; Tanaka, T.; Shimizu, Y.; et al. Can endoscopic ultrasound-guided fine needle aspiration offer clinical benefit for tumors of the ampulla of vater? -an initial study. Endosc. Ultrasound 2012, 1, 84–89. [Google Scholar] [CrossRef] [PubMed]
- Hirata, K.; Kuwatani, M.; Suda, G.; Ishikawa, M.; Sugiura, R.; Kato, S.; Kawakubo, K.; Sakamoto, N. A Novel Approach for the Genetic Analysis of Biliary Tract Cancer Specimens Obtained Through Endoscopic Ultrasound-Guided Fine Needle Aspiration Using Targeted Amplicon Sequencing. Clin. Transl. Gastroenterol. 2019, 10, e00022. [Google Scholar] [CrossRef]
- Kai, Y.; Ikezawa, K.; Takada, R.; Daiku, K.; Maeda, S.; Abe, Y.; Yamai, T.; Fukutake, N.; Nakabori, T.; Uehara, H.; et al. Success rate of microsatellite instability examination and complete response with pembrolizumab in biliary tract cancer. JGH Open 2021, 5, 712–716. [Google Scholar] [CrossRef]
- Yanaidani, T.; Hara, K.; Okuno, N.; Haba, S.; Kuwahara, T.; Kuraishi, Y.; Mizuno, N.; Ishikawa, S.; Yamada, M.; Yasuda, T. Clinical utility of endoscopic ultrasound-guided tissue acquisition for comprehensive genomic profiling of patients with biliary tract cancer, especially with intrahepatic cholangiocarcinoma. Clin. Endosc. 2024, 57, 384–392. [Google Scholar] [CrossRef]
- ASGE Standards of Practice Committee; Gan, S.I.; Rajan, E.; Adler, D.G.; Baron, T.H.; Anderson, M.A.; Cash, B.D.; Davila, R.E.; Dominitz, J.A.; Harrison, M.E., 3rd; et al. Role of EUS. Gastrointest. Endosc. 2007, 66, 425–434. [Google Scholar] [CrossRef]
- Sun, B.; Hu, B. The role of intraductal ultrasonography in pancreatobiliary diseases. Endosc. Ultrasound 2016, 5, 291–299. [Google Scholar]
- Sanchez, M.V.; Varadarajulu, S.; Napoleon, B. EUS contrast agents: What is available, how do they work, and are they effective? Gastrointest. Endosc. 2009, 69 (Suppl. S2), S71–S77. [Google Scholar] [CrossRef]
- Uran, S.; Landmark, K.; Normann, P.T.; Hals, P.A.; Toft, K.G.; Skotland, T. A respiration-metabolism chamber system and a GC-MS method developed for studying exhalation of perfluorobutane in rats after intravenous injection of the ultrasound contrast agent Sonazoid. J. Pharm. Biomed. Anal. 2005, 39, 746–751. [Google Scholar] [CrossRef]
- Vilmann, P.; Jacobsen, G.K.; Henriksen, F.W.; Hancke, S. Endoscopic ultrasonography with guided fine needle aspiration biopsy in pancreatic disease. Gastrointest. Endosc. 1992, 38, 172–173. [Google Scholar] [CrossRef] [PubMed]
- Bang, J.Y.; Hebert-Magee, S.; Navaneethan, U.; Hasan, M.K.; Hawes, R.; Varadarajulu, S. EUS-guided fine needle biopsy of pancreatic masses can yield true histology. Gut 2018, 67, 2081–2084. [Google Scholar] [CrossRef] [PubMed]
- Itonaga, M.; Yasukawa, S.; Fukutake, N.; Ogura, T.; Asada, M.; Shimokawa, T.; Inatomi, O.; Nakai, Y.; Shiomi, H.; Nebiki, H.; et al. Comparison of 22-gauge standard and Franseen needles in EUS-guided tissue acquisition for diagnosing solid pancreatic lesions: A multicenter randomized controlled trial. Gastrointest. Endosc. 2022, 96, 57–66.e2. [Google Scholar] [CrossRef] [PubMed]
- Elhanafi, S.; Mahmud, N.; Vergara, N.; Kochman, M.L.; Das, K.K.; Ginsberg, G.G.; Rajala, M.; Chandrasekhara, V. Comparison of endoscopic ultrasound tissue acquisition methods for genomic analysis of pancreatic cancer. J. Gastroenterol. Hepatol. 2019, 34, 907–913. [Google Scholar] [CrossRef]
- Iglesias-Garcia, J.; Poley, J.W.; Larghi, A.; Giovannini, M.; Petrone, M.C.; Abdulkader, I.; Monges, G.; Costamagna, G.; Arcidiacono, P.; Biermann, K.; et al. Feasibility and yield of a new EUS histology needle: Results from a multicenter, pooled, cohort study. Gastrointest. Endosc. 2011, 73, 1189–1196. [Google Scholar] [CrossRef]
- Uehara, H.; Ikezawa, K.; Kawada, N.; Fukutake, N.; Katayama, K.; Takakura, R.; Takano, Y.; Ishikawa, O.; Takenaka, A. Diagnostic accuracy of endoscopic ultrasound-guided fine needle aspiration for suspected pancreatic malignancy in relation to the size of lesions. J. Gastroenterol. Hepatol. 2011, 26, 1256–1261. [Google Scholar] [CrossRef]
- Sugiyama, M.; Atomi, Y. Endoscopic ultrasonography for diagnosing choledocholithiasis: A prospective comparative study with ultrasonography and computed tomography. Gastrointest. Endosc. 1997, 45, 143–146. [Google Scholar] [CrossRef]
- Müller, M.F.; Meyenberger, C.; Bertschinger, P.; Schaer, R.; Marincek, B. Pancreatic tumors: Evaluation with endoscopic US, CT, and MR imaging. Radiology 1994, 190, 745–751. [Google Scholar] [CrossRef]
- Sakamoto, H.; Kitano, M.; Suetomi, Y.; Maekawa, K.; Takeyama, Y.; Kudo, M. Utility of contrast-enhanced endoscopic ultrasonography for diagnosis of small pancreatic carcinomas. Ultrasound Med. Biol. 2008, 34, 525–532. [Google Scholar] [CrossRef]
- Yamaguchi, K.; Okusaka, T.; Shimizu, K.; Furuse, J.; Ito, Y.; Hanada, K.; Shimosegawa, T.; Okazaki, K.; Committee for Revision of Clinical Guidelines for Pancreatic Cancer of the Japan Pancreas Society. Clinical Practice Guidelines for Pancreatic Cancer 2016 From the Japan Pancreas Society: A Synopsis. Pancreas 2017, 46, 595–604. [Google Scholar] [CrossRef]
- Krishna, S.G.; Rao, B.B.; Ugbarugba, E.; Shah, Z.K.; Blaszczak, A.; Hinton, A.; Conwell, D.L.; Hart, P.A. Diagnostic performance of endoscopic ultrasound for detection of pancreatic malignancy following an indeterminate multidetector CT scan: A systemic review and meta-analysis. Surg. Endosc. 2017, 31, 4558–4567. [Google Scholar] [CrossRef] [PubMed]
- Kondo, S.; Isayama, H.; Akahane, M.; Toda, N.; Sasahira, N.; Nakai, Y.; Yamamoto, N.; Hirano, K.; Komatsu, Y.; Tada, M.; et al. Detection of common bile duct stones: Comparison between endoscopic ultrasonography, magnetic resonance cholangiography, and helical-computed-tomographic cholangiography. Eur. J. Radiol. 2005, 54, 271–275. [Google Scholar] [CrossRef] [PubMed]
- Linghu, E.Q.; Cheng, L.F.; Wang, X.D.; Wang, Z.Q.; Yang, Y.S.; Li, W.; Cai, F.C.; Wang, H.Z.; Du, H.; Meng, J.Y. Intraductal ultrasonography and endoscopic retrograde cholangiography in diagnosis of extrahepatic bile duct stones: A comparative study. Hepatobiliary Pancreat. Dis. Int. 2004, 3, 129–132. [Google Scholar] [PubMed]
- Catanzaro, A.; Pfau, P.; Isenberg, G.A.; Wong, R.C.; Sivak, M.V., Jr.; Chak, A. Clinical utility of intraductal US for evaluation of choledocholithiasis. Gastrointest. Endosc. 2003, 57, 648–652. [Google Scholar] [CrossRef] [PubMed]
- Buc, E.; Lesurtel, M.; Belghiti, J. Is preoperative histological diagnosis necessary before referral to major surgery for cholangiocarcinoma? HPB 2008, 10, 98–105. [Google Scholar] [CrossRef] [PubMed][Green Version]
- Noda-Narita, S.; Mizuno, S.; Noguchi, S.; Watanabe, K.; Nakai, Y.; Koike, K.; Kage, H.; Nagase, T. Development of mild drug-induced sclerosing cholangitis after discontinuation of nivolumab. Eur. J. Cancer 2019, 107, 93–96. [Google Scholar] [CrossRef]
- Kono, M.; Sakurai, T.; Okamoto, K.; Masaki, S.; Nagai, T.; Komeda, Y.; Kamata, K.; Minaga, K.; Yamao, K.; Takenaka, M.; et al. Efficacy and Safety of Chemotherapy Following Anti-PD-1 Antibody Therapy for Gastric Cancer: A Case of Sclerosing Cholangitis. Intern. Med. 2019, 58, 1263–1266. [Google Scholar] [CrossRef]
- Ogawa, K.; Kamimura, K.; Terai, S. Antiprogrammed Cell Death-1 Immunotherapy-Related Secondary Sclerosing Cholangitis. Hepatology 2019, 69, 914–916. [Google Scholar] [CrossRef]
- Koya, Y.; Shibata, M.; Shinohara, N.; Nebuya, S.; Oe, S.; Honma, Y.; Senju, M.; Sato, N.; Harada, M. Secondary sclerosing cholangitis with hemobilia induced by pembrolizumab: Case report and review of published work. Hepatol. Res. 2019, 49, 950–956. [Google Scholar] [CrossRef]
- Heimbach, J.K.; Sanchez, W.; Rosen, C.B.; Gores, G.J. Trans-peritoneal fine needle aspiration biopsy of hilar cholangiocarcinoma is associated with disease dissemination. HPB 2011, 13, 356–360. [Google Scholar] [CrossRef]
- Alper, E.; Arabul, M.; Buyrac, Z.; Baydar, B.; Ustundag, Y.; Celik, M.; Ünsal, B. The use of radial endosonography findings in the prediction of cholangiocarcinoma in cases with distal bile duct obstructions. Hepatogastroenterology 2013, 60, 678–683. [Google Scholar] [CrossRef] [PubMed]
- Meister, T.; Heinzow, H.S.; Woestmeyer, C.; Lenz, P.; Menzel, J.; Kucharzik, T.; Domschke, W.; Domagk, D. Intraductal ultrasound substantiates diagnostics of bile duct strictures of uncertain etiology. World J. Gastroenterol. 2013, 19, 874–881. [Google Scholar] [CrossRef] [PubMed]
- Mukai, H.; Nakajima, M.; Yasuda, K.; Cho, E.; Mizuma, Y.; Hayakumo, T.; Ashihara, T.; Mizuno, S.; Murakita, H.; Hirano, S.; et al. Evaluation of endoscopic ultrasonography (EUS) in the diagnosis of cancer of the extrahepatic bile duct. Gastroenterol. Endosc. 1990, 32, 1893–1902. [Google Scholar]
- Arimura, F.; Matumoto, J.; Nakasio, K.; Yoshikawa, J.; Suekawa, Y.; Sakamoto, T.; Tanaka, K.; Arima, T.; Yamaguti, A.; Sakoda, A.; et al. Endoscopic ultrasonography (EUS) in assessment of spread from extrahepatic bile duct cancer. Gastroenterol. Endosc. 1992, 34, 1863–1870. [Google Scholar]
- Tamada, K.; Ido, K.; Ueno, N.; Ichiyama, M.; Tomiyama, T.; Nishizono, T.; Wada, S.; Noda, T.; Tano, S.; Aizawa, T.; et al. Assessment of portal vein invasion by bile duct cancer using intraductal ultrasonography. Endoscopy 1995, 27, 573–578. [Google Scholar] [CrossRef]
- Hosokawa, I.; Takayashiki, T.; Kuboki, S.; Takano, S.; Togasaki, K.; Miyazaki, M.; Ohtsuka, M. Prognostic impact of proximal ductal margin status in perihilar cholangiocarcinoma according to the presence or absence of lymph node metastasis. Surgery 2023, 174, 11–20. [Google Scholar] [CrossRef]
- Malikowski, T.; Levy, M.J.; Gleeson, F.C.; Storm, A.C.; Vargas, E.J.; Topazian, M.D.; Abu Dayyeh, B.K.; Iyer, P.G.; Rajan, E.; Gores, G.J.; et al. Endoscopic Ultrasound/Fine Needle Aspiration Is Effective for Lymph Node Staging in Patients With Cholangiocarcinoma. Hepatology 2020, 72, 940–948. [Google Scholar] [CrossRef]
- Miyata, T.; Kitano, M.; Omoto, S.; Kadosaka, K.; Kamata, K.; Imai, H.; Sakamoto, H.; Nisida, N.; Harwani, Y.; Murakami, T.; et al. Contrast-enhanced harmonic endoscopic ultrasonography for assessment of lymph node metastases in pancreatobiliary carcinoma. World J. Gastroenterol. 2016, 22, 3381–3391. [Google Scholar] [CrossRef]
- Fujita, N.; Noda, Y.; Kobayashi, G.O.; Kimura, K.; Yago, A.; Mochizuki, F. Analysis of the layer structure of the gallbladder wall delineated by endoscopic ultrasound using the pinning method. Dig. Endosc. 1995, 7, 353–356. [Google Scholar] [CrossRef]
- Fiske, C.E.; Laing, F.C.; Brown, T.W. Ultrasonographic evidence of gallbladder wall thickening in association with hypoalbuminemia. Radiology 1980, 135, 713–716. [Google Scholar] [CrossRef]
- Ootani, T.; Shirai, Y.; Tsukada, K.; Muto, T. Relationship between gallbladder carcinoma and the segmental type of adenomyomatosis of the gallbladder. Cancer 1992, 69, 2647–2652. [Google Scholar] [CrossRef] [PubMed]
- Azuma, T.; Yoshikawa, T.; Araida, T.; Takasaki, K. Differential diagnosis of polypoid lesions of the gallbladder by endoscopic ultrasonography. Am. J. Surg. 2001, 181, 65–70. [Google Scholar] [CrossRef] [PubMed]
- Cheon, Y.K.; Cho, W.Y.; Lee, T.H.; Cho, Y.D.; Moon, J.H.; Lee, J.S.; Shim, C.S. Endoscopic ultrasonography does not differentiate neoplastic from non-neoplastic small gallbladder polyps. World J. Gastroenterol. 2009, 15, 2361–2366. [Google Scholar] [CrossRef] [PubMed]
- Wiles, R.; Thoeni, R.F.; Barbu, S.T.; Vashist, Y.K.; Rafaelsen, S.R.; Dewhurst, C.; Arvanitakis, M.; Lahaye, M.; Soltes, M.; Perinel, J.; et al. Management and follow-up of gallbladder polyps: Joint guidelines between the European Society of Gastrointestinal and Abdominal Radiology (ESGAR), European Association for Endoscopic Surgery and other Interventional Techniques (EAES), International Society of Digestive Surgery - European Federation (EFISDS) and European Society of Gastrointestinal Endoscopy (ESGE). Eur. Radiol. 2017, 27, 3856–3866. [Google Scholar]
- Roa, I.; de Aretxabala, X.; Morgan, R.; Molina, R.; Araya, J.C.; Roa, J.; Ibacahe, G. Pólipos y adenomas de la vesícula biliar: Consideraciones clínico-patológicas [Clinicopathological features of gallbladder polyps and adenomas]. Rev. Med. Chil. 2004, 132, 673–679. [Google Scholar]
- Choi, T.W.; Kim, J.H.; Yu, M.H.; Park, S.J.; Han, J.K. Pancreatic neuroendocrine tumor: Prediction of the tumor grade using CT findings and computerized texture analysis. Acta Radiol. 2018, 59, 383–392. [Google Scholar] [CrossRef]
- Choi, W.B.; Lee, S.K.; Kim, M.H.; Seo, D.W.; Kim, H.J.; Kim, D.I.; Park, E.T.; Yoo, K.S.; Lim, B.C.; Myung, S.J.; et al. A new strategy to predict the neoplastic polyps of the gallbladder based on a scoring system using EUS. Gastrointest. Endosc. 2000, 52, 372–379. [Google Scholar] [CrossRef]
- Choi, J.H.; Seo, D.W.; Choi, J.H.; Park, D.H.; Lee, S.S.; Lee, S.K.; Kim, M.H. Utility of contrast-enhanced harmonic EUS in the diagnosis of malignant gallbladder polyps (with videos). Gastrointest. Endosc. 2013, 78, 484–493. [Google Scholar] [CrossRef]
- Yamashita, Y.; Ashida, R.; Tamura, T.; Shimokawa, T.; Yamazaki, H.; Kawaji, Y.; Tamura, T.; Hatamaru, K.; Itonaga, M.; Kitano, M. Novel Technique of Endoscopic Ultrasonography for the Differential Diagnosis of Gallbladder Lesions and Intraductal Papillary Mucinous Neoplasms: A Single-Center Prospective Study. Diagnostics 2023, 13, 2132. [Google Scholar] [CrossRef]
- Yoon, S.B.; Moon, S.H.; Ko, S.W.; Lim, H.; Kang, H.S.; Kim, J.H. Brush Cytology, Forceps Biopsy, or Endoscopic Ultrasound-Guided Sampling for Diagnosis of Bile Duct Cancer: A Meta-Analysis. Dig. Dis. Sci. 2022, 67, 3284–3297. [Google Scholar] [CrossRef]
- Tamura, T.; Ashida, R.; Kitano, M. The usefulness of endoscopic ultrasound in the diagnosis of gallbladder lesions. Front. Med. 2022, 9, 957557. [Google Scholar] [CrossRef] [PubMed]
- Kuraishi, Y.; Hara, K.; Haba, S.; Kuwahara, T.; Okuno, N.; Yanaidani, T.; Ishikawa, S.; Yasuda, T.; Yamada, M.; Fukui, T.; et al. Diagnostic performance and safety of endoscopic ultrasound-guided fine-needle aspiration/biopsy for gallbladder lesions. Dig. Endosc. 2024, 36, 206–214. [Google Scholar] [CrossRef] [PubMed]
- Chantarojanasiri, T.; Hirooka, Y.; Kawashima, H.; Ohno, E.; Kongkam, P.; Goto, H. The role of endoscopic ultrasound in the diagnosis of gallbladder diseases. J. Med. Ultrason. 2017, 44, 63–70. [Google Scholar] [CrossRef] [PubMed]
- Makar, M.; Zhao, E.; Tyberg, A. Personalized Approach to the Role of Endoscopic Ultrasound in the Diagnosis and Management of Pancreaticobiliary Malignancies. J. Pers. Med. 2021, 11, 180. [Google Scholar] [CrossRef]
- Ito, H.; Ito, K.; D’Angelica, M.; Gonen, M.; Klimstra, D.; Allen, P.; DeMatteo, R.P.; Fong, Y.; Blumgart, L.H.; Jarnagin, W.R. Accurate staging for gallbladder cancer: Implications for surgical therapy and pathological assessment. Ann. Surg. 2011, 254, 320–325. [Google Scholar] [CrossRef]
- Mitake, M.; Nakazawa, S.; Naitoh, Y.; Kimoto, E.; Tsukamoto, Y.; Asai, T.; Yamao, K.; Inui, K.; Morita, K.; Hayashi, Y. Endoscopic ultrasonography in diagnosis of the extent of gallbladder carcinoma. Gastrointest. Endosc. 1990, 36, 562–566. [Google Scholar] [CrossRef]
- Mitake, M.; Nakazawa, S.; Naitoh, Y.; Kimoto, E.; Tsukamoto, Y.; Yamao, K.; Inui, K. Value of endoscopic ultrasonography in the detection of anomalous connections of the pancreatobiliary duct. Endoscopy 1991, 23, 117–120. [Google Scholar] [CrossRef]
- Sugiyama, M.; Atomi, Y. Endoscopic ultrasonography for diagnosing anomalous pancreaticobiliary junction. Gastrointest. Endosc. 1997, 45, 261–267. [Google Scholar] [CrossRef]
- Yusuf, T.E.; Bhutani, M.S. Role of endoscopic ultrasonography in diseases of the extrahepatic biliary system. J. Gastroenterol. Hepatol. 2004, 19, 243–250. [Google Scholar] [CrossRef]
- Kamisawa, T.; Takuma, K.; Itokawa, F.; Itoi, T. Endoscopic diagnosis of pancreaticobiliary maljunction. World J. Gastrointest. Endosc. 2011, 3, 1–5. [Google Scholar] [CrossRef]
- Wente, M.N.; Veit, J.A.; Bassi, C.; Dervenis, C.; Fingerhut, A.; Gouma, D.J.; Izbicki, J.R.; Neoptolemos, J.P.; Padbury, R.T.; Sarr, M.G.; et al. Postpancreatectomy hemorrhage (PPH): An International Study Group of Pancreatic Surgery (ISGPS) definition. Surgery 2007, 142, 20–25. [Google Scholar] [CrossRef] [PubMed]
- Itoi, T.; Ryozawa, S.; Katanuma, A.; Kawashima, H.; Iwasaki, E.; Hashimoto, S.; Yamamoto, K.; Ueki, T.; Igarashi, Y.; Inui, K.; et al. Clinical practice guidelines for endoscopic papillectomy. Dig Endosc. 2022, 34, 394–411. [Google Scholar] [CrossRef] [PubMed]
- Ye, X.; Wang, L.; Jin, Z. Diagnostic accuracy of endoscopic ultrasound and intraductal ultrasonography for assessment of ampullary tumors: A meta-analysis. Scand. J. Gastroenterol. 2022, 57, 1158–1168. [Google Scholar] [CrossRef] [PubMed]






| IgG4-SC | PSC | Cholangiocarcinoma | |
|---|---|---|---|
| Wall thickness | circular–symmetric | circular–asymmetric | asymmetric |
| Three-layer structure | preservation | disappearance | disappearance |
| Internal echo | homogeneous | heterogeneous | heterogeneous |
| Inner margin | smooth | irregular | irregular |
| Outer margin | smooth | unclear | irregular, interruption |
| Author | Number of Patients | Sensitivity (%) | Specificity (%) | Accuracy (%) | Adverse Events (%) |
|---|---|---|---|---|---|
| Anahita Sadeghi et al. [26] | 957 | 80 | 97 | 93 | 1 (severe: 0.3%) |
| De Moura et al. [27] | 294 | 75 | 100 | 79 | - |
| Jo et al. [28] | 263 | 73.6 | 100 | 76.1 | 0.7 |
| Praveen Mathew et al. [29] | 77 | 91 | 100 | 93 | - |
| Benign | Malignant | |
|---|---|---|
| wall thickening | <10 mm | ≥10 mm |
| hypoechoic internal echogenicity | absent | present |
| internal echo pattern | homogeneous | heterogenous |
| wall layer | present | disrupted |
| Score | |
|---|---|
| Layer structure | |
| preserved | 0 |
| lost | 6 |
| Echo pattern | |
| hyperechoic spots | 0 |
| hyperechoic homogeneous | 1 |
| isoechoic homogeneous | 2 |
| isoechoic heterogeneous | 5 |
| Margin of the polyp | |
| not lobulated | 0 |
| lobulated | 4 |
| Stalk | |
| pedunculated | 0 |
| sessile | 3 |
| Number of polyps | |
| multiple | 0 |
| single | 2 |
Disclaimer/Publisher’s Note: The statements, opinions and data contained in all publications are solely those of the individual author(s) and contributor(s) and not of MDPI and/or the editor(s). MDPI and/or the editor(s) disclaim responsibility for any injury to people or property resulting from any ideas, methods, instructions or products referred to in the content. |
© 2024 by the authors. Licensee MDPI, Basel, Switzerland. This article is an open access article distributed under the terms and conditions of the Creative Commons Attribution (CC BY) license (https://creativecommons.org/licenses/by/4.0/).
Share and Cite
Nakahata, A.; Yamashita, Y.; Kitano, M. Endoscopic Ultrasound and Intraductal Ultrasound in the Diagnosis of Biliary Tract Diseases: A Narrative Review. Diagnostics 2024, 14, 2086. https://doi.org/10.3390/diagnostics14182086
Nakahata A, Yamashita Y, Kitano M. Endoscopic Ultrasound and Intraductal Ultrasound in the Diagnosis of Biliary Tract Diseases: A Narrative Review. Diagnostics. 2024; 14(18):2086. https://doi.org/10.3390/diagnostics14182086
Chicago/Turabian StyleNakahata, Akiya, Yasunobu Yamashita, and Masayuki Kitano. 2024. "Endoscopic Ultrasound and Intraductal Ultrasound in the Diagnosis of Biliary Tract Diseases: A Narrative Review" Diagnostics 14, no. 18: 2086. https://doi.org/10.3390/diagnostics14182086
APA StyleNakahata, A., Yamashita, Y., & Kitano, M. (2024). Endoscopic Ultrasound and Intraductal Ultrasound in the Diagnosis of Biliary Tract Diseases: A Narrative Review. Diagnostics, 14(18), 2086. https://doi.org/10.3390/diagnostics14182086

