Contemporary Diagnostics of Cardiac Sarcoidosis: The Importance of Multimodality Imaging
Abstract
1. Introduction
2. Epidemiology
3. Risk Factors
4. Clinical Presentation
4.1. Heart Failure
4.2. Atrial Arrhythmias
4.3. Ventricular Tachycardia
4.4. Conduction Disturbances
5. Diagnosis
5.1. Electrocardiography
5.2. Echocardiography
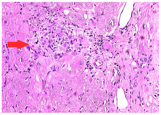
5.3. Endomyocardial Biopsy (EMB)
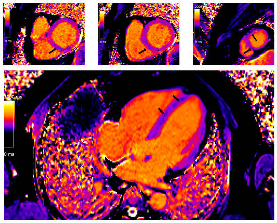
5.4. Cardiac Magnetic Resonance (CMR)
5.5. 18Fluorodeoxyglucose Positron Emission Tomography (FDG-PET)
5.6. The Role of Cardio-Specific Biomarkers in Patients with Cardiac Sarcoidosis: Correlation with Imaging Findings
6. Conclusions
Author Contributions
Funding
Institutional Review Board Statement
Informed Consent Statement
Data Availability Statement
Conflicts of Interest
References
- Stjepanovic, M.; Buha, I.; Maric, N.; Belic, S.; Stjepanovic, M.; Dimic-Janjic, S.; Baralic, M.; Stojkovic-Lalosevic, M.; Bubanja, D.; Mihailovic-Vucinic, V. Neurosarcoidosis—An ever-present clinical challenge. Srp. Arh. Za Celok. Lek. 2021, 149, 247–250. [Google Scholar] [CrossRef]
- Stjepanovic, M.; Mihailovic-Vucinic, V.; Gvozdenovic, B.S.; Milin-Lazovic, J.; Belic, S.; Djurdjevic, N.; Maric, N.; Golubovic, A. King’s Sarcoidosis Questionnaire (KSQ)—Validation study in Serbian speaking population of sarcoidosis patients. PLoS ONE 2023, 18, e0273126. [Google Scholar] [CrossRef] [PubMed]
- Judson, M.A. The Clinical Features of Sarcoidosis: A Comprehensive Review. Clin. Rev. Allergy Immunol. 2015, 49, 63–78. [Google Scholar] [CrossRef] [PubMed]
- Quijano-Campos, J.C.; Sekhri, N.; Thillai, M.; Sanders, J. Health-related quality of life in cardiac sarcoidosis: A systematic review. Eur. Heart J. Open 2023, 3, oead009. [Google Scholar] [CrossRef] [PubMed]
- Arkema, E.V.; Grunewald, J.; Kullberg, S.; Eklund, A.; Askling, J. Sarcoidosis incidence and prevalence: A nationwide register-based assessment in Sweden. Eur. Respir. J. 2016, 48, 1690–1699. [Google Scholar] [CrossRef]
- Milman, N.; Selroos, O. Pulmonary sarcoidosis in the Nordic countries 1950–1982. II. Course and prognosis. Sarcoidosis 1990, 7, 113–118. [Google Scholar]
- Baughman, R.P.; Field, S.; Costabel, U.; Crystal, R.G.; Culver, D.A.; Drent, M.; Judson, M.A.; Wolff, G. Sarcoidosis in America: Analysis based on health care use. Ann. Am. Thorac. Soc. 2016, 13, 1244–1252. [Google Scholar] [CrossRef] [PubMed]
- Cozier, Y.C.; Berman, J.S.; Palmer, J.R.; Boggs, D.A.; Serlin, D.M.; Rosenberg, L. Sarcoidosis in Black Women in the United States: Data from the Black Women’s Health Study. Chest 2011, 139, 144. [Google Scholar] [CrossRef]
- Yoon, H.Y.; Kim, H.M.; Kim, Y.J.; Song, J.W. Prevalence and incidence of sarcoidosis in Korea: A nationwide population-based study. Respir. Res. 2018, 19, 158. [Google Scholar] [CrossRef] [PubMed]
- Morimoto, T.; Azuma, A.; Abe, S.; Usuki, J.; Kudoh, S.; Sugisaki, K.; Oritsu, M.; Nukiwa, T. Epidemiology of sarcoidosis in Japan. Eur. Respir. J. 2008, 31, 372–379. [Google Scholar] [CrossRef] [PubMed]
- Arkema, E.V.; Cozier, Y.C. Epidemiology of sarcoidosis: Current findings and future directions. Ther. Adv. Chronic Dis. 2018, 9, 227. [Google Scholar] [CrossRef]
- Stjepanovic, M.; Maric, N.; Belic, S.; Milin-Lazovic, J.; Djurdjevic, N.; Jankovic, J.; Petrovic, M.; Peric, J.; Tulic, I.; Cvejic, J.; et al. Characteristics of Patients with Sarcoidosis with Emphasis on Acute vs. Chronic Forms—A Single Center Experience. J. Pers. Med. 2024, 14, 616. [Google Scholar] [CrossRef] [PubMed]
- Iwai, K.; Sekiguti, M.; Hosoda, Y.; A DeRemee, R.; Tazelaar, H.D.; Sharma, O.P.; Maheshwari, A.; I Noguchi, T. Racial difference in cardiac sarcoidosis incidence observed at autopsy. Sarcoidosis 1994, 11, 26–31. [Google Scholar] [PubMed]
- Hulten, E.; Aslam, S.; Osborne, M.; Abbasi, S.; Bittencourt, M.S.; Blankstein, R. Cardiac sarcoidosis-state of the art review. Cardiovasc Diagn Ther. 2016, 6, 50–63. [Google Scholar] [CrossRef] [PubMed]
- Lehtonen, J.; Uusitalo, V.; Pöyhönen, P.; Mäyränpää, M.I.; Kupari, M. Cardiac sarcoidosis: Phenotypes, diagnosis, treatment, and prognosis. Eur. Heart J. 2023, 44, 1495–1510. [Google Scholar] [CrossRef]
- Judson, M.A. Environmental Risk Factors for Sarcoidosis. Front. Immunol. 2020, 11, 1340. [Google Scholar] [CrossRef]
- Swaisgood, C.M.; Oswald-Richter, K.; Moeller, S.D.; Klemenc, J.M.; Ruple, L.M.; Farver, C.F.; Drake, J.M.; Culver, D.A.; Drake, W.P. Development of a sarcoidosis murine lung granuloma model using Mycobacterium superoxide dismutase A peptide. Am. J. Respir. Cell Mol. Biol. 2011, 44, 166–174. [Google Scholar] [CrossRef]
- Ungprasert, P.; Crowson, C.S.; Matteson, E.L. Smoking, obesity and risk of sarcoidosis: A population-based nested case-control study. Respir. Med. 2016, 120, 87–90. [Google Scholar] [CrossRef]
- Rossides, M.; Kullberg, S.; Grunewald, J.; Eklund, A.; Di Giuseppe, D.; Askling, J.; Arkema, E.V. Risk and predictors of heart failure in sarcoidosis in a population-based cohort study from Sweden. Heart 2021, 108, 467–473. [Google Scholar] [CrossRef]
- Houston, B.A.; Mukherjee, M. Cardiac sarcoidosis: Clinical manifestations, imaging characteristics, and therapeutic approach. Clin. Med. Insights Cardiol. 2014, 8, 31–37. [Google Scholar] [CrossRef]
- Shah, H.H.; Zehra, S.A.; Shahrukh, A.; Waseem, R.; Hussain, T.; Hussain, M.S.; Batool, F.; Jaffer, M. Cardiac sarcoidosis: A comprehensive review of risk factors, pathogenesis, diagnosis, clinical manifestations, and treatment strategies. Front. Cardiovasc. Med. 2023, 10, 1156474. [Google Scholar] [CrossRef] [PubMed]
- Yafasova, A.; Fosbøl, E.L.; Schou, M.; Gustafsson, F.; Rossing, K.; Bundgaard, H.; Lauridsen, M.D.; Kristensen, S.L.; Torp-Pedersen, C.; Gislason, G.H.; et al. Long-Term Adverse Cardiac Outcomes in Patients with Sarcoidosis. J. Am. Coll. Cardiol. 2020, 76, 767–777. [Google Scholar] [CrossRef] [PubMed]
- Gilotra, N.A.; Griffin, J.M.; Pavlovic, N.; Houston, B.A.; Chasler, J.; Goetz, C.; Chrispin, J.; Sharp, M.; Kasper, E.K.; Chen, E.S.; et al. Sarcoidosis-Related Cardiomyopathy: Current Knowledge, Challenges, and Future Perspectives State-of-the-Art Review. J. Card. Fail. 2022, 28, 113–132. [Google Scholar] [CrossRef]
- Smedema, J.P.; van Geuns, R.J.; Ainslie, G.; Ector, J.; Heidbuchel, H.; Crijns, H.J.G.M. Right ventricular involvement in cardiac sarcoidosis demonstrated with cardiac magnetic resonance. ESC Heart Fail. 2017, 4, 535–544. [Google Scholar] [CrossRef] [PubMed]
- Waki, H.; Eguchi, K.; Toriumi, S.; Ikemoto, T.; Suzuki, T.; Fukushima, N.; Kario, K. Isolated Cardiac Sarcoidosis Mimicking Arrhythmogenic Right Ventricular Cardiomyopathy. Intern. Med. 2018, 57, 835–839. [Google Scholar] [CrossRef]
- Weng, W.; Wiefels, C.; Chakrabarti, S.; Nery, P.B.; Celiker-Guler, E.; Healey, J.S.; Hruczkowski, T.W.; Quinn, F.R.; Promislow, S.; Medor, M.C.; et al. Atrial Arrhythmias in Clinically Manifest Cardiac Sarcoidosis: Incidence, Burden, Predictors, and Outcomes. J. Am. Heart Assoc. 2020, 9, e017086. [Google Scholar] [CrossRef]
- Arunachalam Karikalan, S.; Yusuf, A.; El Masry, H. Arrhythmias in Cardiac Sarcoidosis: Management and Prognostic Implications. J. Clin. Med. 2024, 13, 3165. [Google Scholar] [CrossRef]
- Kumar, S.; Barbhaiya, C.; Nagashima, K.; Choi, E.K.; Epstein, L.M.; John, R.M.; Maytin, M.; Albert, C.M.; Miller, A.L.; Koplan, B.A.; et al. Ventricular tachycardia in cardiac sarcoidosis: Characterization of ventricular substrate and outcomes of catheter ablation. Circ. Arrhythmia Electrophysiol. 2015, 8, 87–93. [Google Scholar] [CrossRef] [PubMed]
- Nery, P.B.; Beanlands, R.S.; Nair, G.M.; Green, M.; Yang, J.; Mcardle, B.A.; Davis, D.; Ohira, H.; Gollob, M.H.; Leung, E.; et al. Atrioventricular block as the initial manifestation of cardiac sarcoidosis in middle-aged adults. J. Cardiovasc. Electrophysiol. 2014, 25, 875–881. [Google Scholar] [CrossRef]
- N Maizels, L.; Mansour, M.; Abu-Much, A.; Massalha, E.; Kalstein, M.; Beinart, R.; Sabbag, A.; Brodov, Y.; Goitein, O.; Chernomordik, F.; et al. Prevalence of Cardiac Sarcoidosis in Middle-Aged Adults Diagnosed with High-Grade Atrioventricular Block. Am. J. Med. 2024, 137, 358–365. [Google Scholar] [CrossRef]
- Ahmed, R.; Sivasankaran, K.; Ahsan, A.; Mactaggart, S.; Azzu, A.; Dulay, M.S.; Ramphul, K.; Liu, A.; Okafor, J.; Dragon, M.; et al. Clinical Outcomes with Cardiac Resynchronization Therapy in Patients with Cardiac Sarcoidosis: A Systematic Review and Proportional Meta-analysis. Curr. Probl. Cardiol. 2024, 110, 159–160. [Google Scholar] [CrossRef]
- Birnie, D.H.; Sauer, W.H.; Bogun, F.; Cooper, J.M.; Culver, D.A.; Duvernoy, C.S.; Judson, M.A.; Kron, J.; Mehta, D.; Nielsen, J.C.; et al. HRS expert consensus statement on the diagnosis and management of arrhythmias associated with cardiac sarcoidosis. Heart Rhythm. 2014, 11, 1304–1323. [Google Scholar] [CrossRef] [PubMed]
- Sharma, A.; Okada, D.R.; Yacoub, H.; Chrispin, J.; Bokhari, S. Diagnosis of cardiac sarcoidosis: An era of paradigm shift. Ann. Nucl. Med. 2020, 34, 87–93. [Google Scholar] [CrossRef]
- Neto, M.L.R.; Jellis, C.L.; Joyce, E.; Callahan, T.D.; Hachamovitch, R.; Culver, D.A. Update in Cardiac Sarcoidosis. Ann. Am. Thorac. Soc. 2019, 16, 1341–1350. [Google Scholar] [CrossRef] [PubMed]
- Terasaki, F.; Yoshinaga, K. New Guidelines for Diagnosis of Cardiac Sarcoidosis in Japan. Ann. Nucl. Cardiol. 2017, 3, 42–45. [Google Scholar] [CrossRef]
- Judson, M.A.; Costabel, U.; Drent, M.; Wells, A.; Maier, L.; Koth, L.; Shigemitsu, H.; A Culver, D.; Gelfand, J.; Valeyre, D.; et al. The WASOG sarcoidosis organ assessment instrument: An update of a previous clinical tool. Sarcoidosis Vasc. Diffus. Lung Dis. 2014, 31, 19–27. [Google Scholar]
- Hiraga, H.; Iwai, K. Guidelines for Diagnosis of Cardiac Sarcoidosis: Study Report on Diffuse Pulmonary Disease; The Japanese Ministry of Health and Welfare: Tokyo, Japan, 1993; p. 2. (In Japanese) [Google Scholar]
- Hiraga, H. Diagnostic standard and guidelines for sarcoidosis. Jpn. J. Sarcoidosis Granulomatous Disord. 2007, 27, 27–89. [Google Scholar]
- Patel, M.R.; Cawley, P.J.; Heitner, J.F.; Klem, I.; Parker, M.A.; Jaroudi, W.A.; Meine, T.J.; White, J.B.; Elliott, M.D.; Kim, H.W.; et al. Detection of myocardial damage in patients with sarcoidosis. Circulation 2009, 120, 1969–1977. [Google Scholar] [CrossRef]
- Athwal, P.S.S.; Chhikara, S.; Ismail, M.F.; Ismail, K.; Ogugua, F.M.; Kazmirczak, F.; Bawaskar, P.H.; Elton, A.C.; Markowitz, J.; von Wald, L.; et al. Cardiovascular Magnetic Resonance Imaging Phenotypes and Long-term Outcomes in Patients With Suspected Cardiac Sarcoidosis. JAMA Cardiol. 2022, 7, 1057–1066. [Google Scholar] [CrossRef]
- Blankstein, R.; Osborne, M.; Naya, M.; Waller, A.; Kim, C.K.; Murthy, V.L.; Kazemian, P.; Kwong, R.Y.; Tokuda, M.; Skali, H.; et al. Cardiac positron emission tomography enhances prognostic assessments of patients with suspected cardiac sarcoidosis. J. Am. Coll. Cardiol. 2014, 63, 329–336. [Google Scholar] [CrossRef]
- Judson, M.A.; Baughman, R.P.; Teirstein, A.S.; Terrin, M.L.; Yeager, H., Jr. Defining organ involvement in sarcoidosis: The ACCESS proposed instrument. ACCESS Research Group. A Case Control Etiologic Study of Sarcoidosis. Sarcoidosis Vasc. Diffus. Lung Dis. 1999, 16, 75–86. [Google Scholar]
- Kouranos, V.; Tzelepis, G.E.; Rapti, A.; Mavrogeni, S.; Aggeli, K.; Douskou, M.; Prasad, S.; Koulouris, N.; Sfikakis, P.; Wells, A.; et al. Complementary Role of CMR to Conventional Screening in the Diagnosis and Prognosis of Cardiac Sarcoidosis. JACC Cardiovasc. Imaging 2017, 10, 1437–1447. [Google Scholar] [CrossRef]
- Cheng, R.K.; Kittleson, M.M.; Beavers, C.J.; Birnie, D.H.; Blankstein, R.; Bravo, P.E.; Gilotra, N.A.; Judson, M.A.; Patton, K.K.; Rose-Bovino, L. American Heart Association Heart Failure and Transplantation Committee of the Council on Clinical Cardiology, and Council on Cardiovascular and Stroke Nursing. Diagnosis and Management of Cardiac Sarcoidosis: A Scientific Statement from the American Heart Association. Circulation 2024, 149, e1197–e1216. [Google Scholar] [CrossRef] [PubMed]
- Sharma, R.; Kouranos, V.; Cooper, L.T.; Metra, M.; Ristic, A.; Heidecker, B.; Baksi, J.; Wicks, E.; Merino, J.L.; Klingel, K.; et al. Management of cardiac sarcoidosis. Eur. Heart J. 2024, 45, 2697–2726. [Google Scholar] [CrossRef]
- Ohira, H.; Sato, T.; Manabe, O.; Oyama-Manabe, N.; Hayashishita, A.; Nakaya, T.; Nakamura, J.; Suzuki, N.; Sugimoto, A.; Furuya, S.; et al. Underdiagnosis of cardiac sarcoidosis by ECG and echocardiography in cases of extracardiac sarcoidosis. ERJ Open Res. 2022, 8, 00516–2021. [Google Scholar] [CrossRef]
- Willy, K.; Dechering, D.G.; Reinke, F.; Bögeholz, N.; Frommeyer, G.; Eckardt, L. The ECG in sarcoidosis-a marker of cardiac involvement? Curr. Evid. Clin. Implic. 2020, 77, 154–159. [Google Scholar] [CrossRef]
- Sekhri, V.; Sanal, S.; Delorenzo, L.J.; Aronow, W.S.; Maguire, G.P. Cardiac sarcoidosis: A comprehensive review. Arch. Med. Sci. 2011, 4, 546–554. [Google Scholar] [CrossRef]
- Nordenswan, H.K.; Lehtonen, J.; Ekström, K.; Kandolin, R.; Simonen, P.; Mäyränpää, M.; Vihinen, T.; Miettinen, H.; Kaikkonen, K.; Haataja, P.; et al. Outcome of Cardiac Sarcoidosis Presenting with High-Grade Atrioventricular Block. Circ. Arrhythmia Electrophysiol. 2018, 11, e006145. [Google Scholar] [CrossRef] [PubMed]
- Roberts, W.C.; McAllister, H.A.; Ferrans, V.J. Sarcoidosis of the heart: A clinicopathologic study of 35 necropsy patients (group I) and review of 78 previously described necropsy patients (group II). Am. J. Med. 1977, 63, 86–108. [Google Scholar] [CrossRef]
- Takaya, Y.; Kusano, K.F.; Nakamura, K.; Ito, H. Outcomes in patients with high-degree atrioventricular block as the initial manifestation of cardiac sarcoidosis. Am. J. Cardiol. 2015, 115, 505–509. [Google Scholar] [CrossRef]
- Kato, Y.; Morimoto, S.I.; Uemura, A.; Hiramitsu, S.; Ito, T.; Hishida, H. Efficacy of corticosteroids in sarcoidosis presenting with atrioventricular block. Sarcoidosis Vasc. Diffus. Lung Dis. 2003, 20, 133–137. [Google Scholar]
- Padala, S.K.; Peaslee, S.; Sidhu, M.S.; Steckman, D.A.; Judson, M.A. Impact of early initiation of corticosteroid therapy on cardiac function and rhythm in patients with cardiac sarcoidosis. Int. J. Cardiol. 2017, 227, 565–570. [Google Scholar] [CrossRef] [PubMed]
- Willner, J.M.; Viles-Gonzalez, J.F.; Coffey, J.O.; Morgenthau, A.S.; Mehta, D. Catheter Ablation of Atrial Arrhythmias in Cardiac Sarcoidosis. J. Cardiovasc. Electrophysiol. 2014, 25, 958–963. [Google Scholar] [CrossRef]
- Tanaka, Y.; Konno, T.; Yoshida, S.; Tsuda, T.; Sakata, K.; Furusho, H.; Takamura, M.; Yoshimura, K.; Yamagishi, M.; Hayashi, K. T wave amplitude in lead aVR as a novel diagnostic marker for cardiac sarcoidosis. Heart Vessel. 2016, 32, 352–358. [Google Scholar] [CrossRef] [PubMed]
- de Melo, J.F., Jr.; Mangold, K.E.; Debertin, J.; Rosenbaum, A.; Bois, J.P.; Attia, Z.I.; Friedman, P.A.; Deshmukh, A.J.; Kapa, S.; Cooper, L.T.; et al. Detection of Cardiac Sarcoidosis with Artificial Intelligence-Enhanced Electrocardiogram. Heart Rhythm 2024. [Google Scholar] [CrossRef] [PubMed]
- Okafor, J.; Khattar, R.; Sharma, R.; Kouranos, V. The Role of Echocardiography in the Contemporary Diagnosis and Prognosis of Cardiac Sarcoidosis: A Comprehensive Review. Life 2023, 13, 1653. [Google Scholar] [CrossRef]
- Nagano, N.; Nagai, T.; Sugano, Y.; Morita, Y.; Asaumi, Y.; Aiba, T.; Kanzaki, H.; Kusano, K.; Noguchi, T.; Yasuda, S.; et al. Association between Basal Thinning of Interventricular Septum and Adverse Long-Term Clinical Outcomes in Patients with Cardiac Sarcoidosis. Circ. J. 2015, 79, 1601–1608. [Google Scholar] [CrossRef]
- Tanizawa, K.; Handa, T.; Nagai, S.; Yokomatsu, T.; Ueda, S.; Ikezoe, K.; Ogino, S.; Hirai, T.; Izumi, T. Basal interventricular septum thinning and long-term left ventricular function in patients with sarcoidosis. Respir. Investig. 2022, 60, 385–392. [Google Scholar] [CrossRef] [PubMed]
- Kusano, K.; Ishibashi, K.; Noda, T.; Nakajima, K.; Nakasuka, K.; Terasaki, S.; Hattori, Y.; Nagayama, T.; Mori, K.; Takaya, Y.; et al. Prognosis and Outcomes of Clinically Diagnosed Cardiac Sarcoidosis without Positive Endomyocardial Biopsy Findings. JACC Asia 2021, 1, 385–395. [Google Scholar] [CrossRef]
- Barssoum, K.; Altibi, A.M.; Rai, D.; Kumar, A.; Kharsa, A.; Chowdhury, M.; Thakkar, S.; Shahid, S.; Abdelazeem, M.; Abuzaid, A.S.; et al. Speckle tracking echocardiography can predict subclinical myocardial involvement in patients with sarcoidosis: A meta-analysis. Echocardiography 2020, 37, 2061–2070. [Google Scholar] [CrossRef]
- Kusunose, K.; Fujiwara, M.; Yamada, H.; Nishio, S.; Saijo, Y.; Yamada, N.; Hirata, Y.; Torii, Y.; Ise, T.; Yamaguchi, K.; et al. Deterioration of biventricular strain is an early marker of cardiac involvement in confirmed sarcoidosis. Eur. Heart J. Cardiovasc. Imaging 2020, 21, 796–804. [Google Scholar] [CrossRef]
- Murtagh, G.; Laffin, L.J.; Patel, K.V.; Bonham, C.A.; Yu, Z.; Addetia, K.; El-Hangouche, N.; Maffesanti, F.; Mor-Avi, V.; Hogarth, D.K.; et al. Improved detection of myocardial damage in sarcoidosis using longitudinal strain in patients with preserved left ventricular ejection fraction. Echocardiography 2016, 33, 1344–1352. [Google Scholar] [CrossRef] [PubMed]
- Joyce, E.; Ninaber, M.K.; Katsanos, S.; Debonnaire, P.; Kamperidis, V.; Bax, J.J.; Taube, C.; Delgado, V.; Marsan, N.A. Subclinical left ventricular dysfunction by echocardiographic speckle-tracking strain analysis relates to outcome in sarcoidosis. Eur. J. Heart Fail. 2015, 17, 51–62. [Google Scholar] [CrossRef]
- Felekos, I.; Aggeli, C.; Gialafos, E.; Kouranos, V.; Rapti, A.; Sfikakis, P.; Koulouris, N.; Tousoulis, D. Global longitudinal strain and long-term outcomes in asymptomatic extracardiac sarcoid patients with no apparent cardiovascular disease. Echocardiography 2018, 35, 804–808. [Google Scholar] [CrossRef]
- Judson, M.A.; Thompson, B.W.; Rabin, D.L.; Steimel, J.; Knattereud, G.L.; Lackland, D.T.; Rose, C.; Rand, C.S.; Baughman, R.P.; Teirstein, A.S. The diagnostic pathway to sarcoidosis. Chest 2003, 123, 406–412. [Google Scholar] [CrossRef]
- Bennett, M.K.; Gilotra, N.A.; Harrington, C.; Rao, S.; Dunn, J.M.; Freitag, T.B.; Halushka, M.K.; Russell, S.D. Evaluation of the role of endomyocardial biopsy in 851 patients with unexplained heart failure from 2000–2009. Circ. Heart Fail. 2013, 6, 676–684. [Google Scholar] [CrossRef] [PubMed]
- Kandolin, R.; Lehtonen, J.; Graner, M.; Schildt, J.; Salmenkivi, K.; Kivistö, S.M.; Kupari, M. Diagnosing isolated cardiac sarcoidosis. J. Intern. Med. 2011, 270, 461–468. [Google Scholar] [CrossRef] [PubMed]
- Ardehali, H.; Howard, D.L.; Hariri, A.; Qasim, A.; Hare, J.M.; Baughman, K.L.; Kasper, E.K. A positive endomyocardial biopsy result for sarcoid is associated with poor prognosis in patients with initially unexplained cardiomyopathy. Am. Heart J. 2005, 150, 459–463. [Google Scholar] [CrossRef]
- Yatsynovich, Y.; Dittoe, N.; Petrov, M.; Maroz, N. Cardiac Sarcoidosis: A Review of Contemporary Challenges in Diagnosis and Treatment. Am. J. Med. Sci. 2018, 355, 113–125. [Google Scholar] [CrossRef]
- Ezzeddine, F.M.; Kapa, S.; Rosenbaum, A.; Blauwet, L.; Deshmukh, A.J.; AbouEzzeddine, O.F.; Maleszewski, J.J.; Asirvatham, S.J.; Bois, J.P.; Schirger, J.A.; et al. Electrogram-guided endomyocardial biopsy yield in patients with suspected cardiac sarcoidosis and relation to outcomes. J. Cardiovasc. Electrophysiol. 2021, 32, 2486–2495. [Google Scholar] [CrossRef]
- Komoriyama, H.; Omote, K.; Nagai, T.; Kato, Y.; Nagano, N.; Koyanagawa, K.; Kamiya, K.; Konishi, T.; Sato, T.; Kobayashi, Y.; et al. Lower left ventricular ejection fraction and higher serum angiotensin-converting enzyme activity are associated with histopathological diagnosis by endomyocardial biopsy in patients with cardiac sarcoidosis. Int. J. Cardiol. 2020, 321, 113–117. [Google Scholar] [CrossRef] [PubMed]
- Divakaran, S.; Stewart, G.C.; Lakdawala, N.K.; Padera, R.F.; Zhou, W.; Desai, A.S.; Givertz, M.M.; Mehra, M.R.; Kwong, R.Y.; Hedgire, S.S.; et al. Diagnostic Accuracy of Advanced Imaging in Cardiac Sarcoidosis. Circ. Cardiovasc. Imaging 2019, 12, e008975. [Google Scholar] [CrossRef] [PubMed]
- Smedema, J.-P.; Snoep, G.; van Kroonenburgh, M.P.; van Geuns, R.-J.; Dassen, W.R.; Gorgels, A.P.; Crijns, H.J. Evaluation of the accuracy of gadolinium-enhanced cardiovascular magnetic resonance in the diagnosis of cardiac sarcoidosis. J. Am. Coll. Cardiol. 2005, 45, 1683–1690. [Google Scholar] [CrossRef] [PubMed]
- Zhang, J.; Li, Y.; Xu, Q.; Xu, B.; Wang, H. Cardiac Magnetic Resonance Imaging for Diagnosis of Cardiac Sarcoidosis: A Meta-Analysis. Can. Respir. J. 2018, 2018, 1–10. [Google Scholar] [CrossRef]
- Bravo, P.E.; Singh, A.; Di Carli, M.F.; Blankstein, R. Advanced cardiovascular imaging for the evaluation of cardiac sarcoidosis. J. Nucl. Cardiol. 2018, 26, 188–199. [Google Scholar] [CrossRef]
- Vita, T.; Okada, D.R.; Veillet-Chowdhury, M.; Bravo, P.E.; Mullins, E.; Hulten, E.; Agrawal, M.; Madan, R.; Taqueti, V.R.; Steigner, M.; et al. Complementary Value of Cardiac Magnetic Resonance Imaging and Positron Emission Tomography/Computed Tomography in the Assessment of Cardiac Sarcoidosis. Circ. Cardiovasc. Imaging 2018, 11, e007030. [Google Scholar] [CrossRef]
- Okasha, O.; Kazmirczak, F.; Chen, K.H.A.; Farzaneh-Far, A.; Shenoy, C. Myocardial Involvement in Patients with Histologically Diagnosed Cardiac Sarcoidosis: A Systematic Review and Meta-Analysis of Gross Pathological Images from Autopsy or Cardiac Transplantation Cases. J. Am. Heart Assoc. 2019, 8, e011253. [Google Scholar] [CrossRef]
- Flamée, L.; Symons, R.; Degtiarova, G.; Dresselaers, T.; Gheysens, O.; Wuyts, W.; Van Cleemput, J.; Bogaert, J. Prognostic value of cardiovascular magnetic resonance in patients with biopsy-proven systemic sarcoidosis. Eur. Radiol. 2020, 30, 3702–3710. [Google Scholar] [CrossRef]
- Chamberlin, J.H.; Kocher, M.R.; Aquino, G.; Fullenkamp, A.; Dennis, D.J.; Waltz, J.; Stringer, N.; Wortham, A.; Varga-Szemes, A.; Rieter, W.J.; et al. Quantitative myocardial T2 mapping adds value to Japanese circulation society diagnostic criteria for active cardiac sarcoidosis. Int. J. Cardiovasc. Imaging 2023, 39, 1535–1546. [Google Scholar] [CrossRef]
- Manabe, O.; Oyama-Manabe, N.; Aikawa, T.; Tsuneta, S.; Tamaki, N. Advances in Diagnostic Imaging for Cardiac Sarcoidosis. J. Clin. Med. 2021, 10, 5808. [Google Scholar] [CrossRef]
- Slart, A.R.H.J.; Glaudemans, A.W.J.M.; Lancellotti, P.; Hyafil, F.; Blankstein, R.; Schwartz, R.G.; A Jaber, W.; Russell, R.; Gimelli, A.; Rouzet, F.; et al. A joint procedural position statement on imaging in cardiac sarcoidosis: From the Cardiovascular and Inflammation & Infection Committees of the European Association of Nuclear Medicine, the European Association of Cardiovascular Imaging, and the American Society of Nuclear Cardiology. Eur. Heart J. Cardiovasc. Imaging 2017, 18, 1073–1089. [Google Scholar] [CrossRef]
- Kumita, S.; Yoshinaga, K.; Miyagawa, M.; Momose, M.; Kiso, K.; Kasai, T.; Naya, M. Recommendations for F-Fluorodeoxyglucose Positron Emission Tomography Imaging for Diagnosis of Cardiac Sarcoidosis−2018 Update: Japanese Society of Nuclear Cardiology Recommendations. Ann. Nucl. Cardiol. 2019, 5, 141–159. [Google Scholar] [CrossRef][Green Version]
- Osborne, M.T.; Hulten, E.A.; Murthy, V.L.; Skali, H.; Taqueti, V.R.; Dorbala, S.; DiCarli, M.F.; Blankstein, R. Patient preparation for cardiac fluorine-18 fluorodeoxyglucose positron emission tomography imaging of inflammation. J. Nucl. Cardiol. 2017, 24, 86–99. [Google Scholar] [CrossRef]
- Youssef, G.; Leung, E.; Mylonas, I.; Nery, P.; Williams, K.; Wisenberg, G.; Gulenchyn, K.Y.; Dekemp, R.A.; DaSilva, J.; Birnie, D.; et al. The use of 18F-FDG PET in the diagnosis of cardiac sarcoidosis: A systematic review and metaanalysis including the Ontario experience. J. Nucl. Med. 2012, 53, 241–248. [Google Scholar] [CrossRef] [PubMed]
- Ohira, H.; Tsujino, I.; Ishimaru, S.; Oyama, N.; Takei, T.; Tsukamoto, E.; Miura, M.; Sakaue, S.; Tamaki, N.; Nishimura, M. Myocardial imaging with 18F-fluoro-2-deoxyglucose positron emission tomography and magnetic resonance imaging in sarcoidosis. Eur. J. Nucl. Med. 2008, 35, 933–941. [Google Scholar] [CrossRef] [PubMed]
- Okada, D.R.; Bravo, P.E.; Vita, T.; Agarwal, V.; Osborne, M.T.; Taqueti, V.R.; Skali, H.; Chareonthaitawee, P.; Dorbala, S.; Stewart, G.; et al. Isolated cardiac sarcoidosis: A focused review of an under-recognized entity. J. Nucl. Cardiol. 2018, 25, 1136–1146. [Google Scholar] [CrossRef] [PubMed]
- Sperry, B.W.; Oldan, J.; Hachamovitch, R.; Tamarappoo, B.K. Insights into biopsy-proven cardiac sarcoidosis in patients with heart failure. J. Heart Lung Transplant. 2016, 35, 392–393. [Google Scholar] [CrossRef]
- Ishimaru, S.; Tsujino, I.; Takei, T.; Tsukamoto, E.; Sakaue, S.; Kamigaki, M.; Ito, N.; Ohira, H.; Ikeda, D.; Tamaki, N.; et al. Focal uptake on 18F-fluoro-2-deoxyglucose positron emission tomography images indicates cardiac involvement of sarcoidosis. Eur. Heart J. 2005, 26, 1538–1543. [Google Scholar] [CrossRef]
- Osborne, M.T.; Hulten, E.A.; Singh, A.; Waller, A.H.; Bittencourt, M.S.; Stewart, G.C.; Hainer, J.; Murthy, V.L.; Skali, H.; Dorbala, S.; et al. Reduction in 18F-fluorodeoxyglucose uptake on serial cardiac positron emission tomography is associated with improved left ventricular ejection fraction in patients with cardiac sarcoidosis. J. Nucl. Cardiol. 2014, 21, 166–174. [Google Scholar] [CrossRef]
- Ahmed, A.I.; Abebe, A.T.; Han, Y.; Alnabelsi, T.; Agrawal, T.; Kassi, M.; Aljizeeri, A.; Taylor, A.; Tleyjeh, I.M.; Al-Mallah, M.H. The prognostic role of cardiac positron emission tomography imaging in patients with sarcoidosis: A systematic review. J. Nucl. Cardiol. 2021, 28, 1545–1552. [Google Scholar] [CrossRef]
- Gowani, Z.; Habibi, M.; Okada, D.R.; Smith, J.; Derakhshan, A.; Zimmerman, S.L.; Misra, S.; Gilotra, N.A.; Berger, R.D.; Calkins, H.; et al. Utility of Cardiac Magnetic Resonance Imaging Versus Cardiac Positron Emission Tomography for Risk Stratification for Ventricular Arrhythmias in Patients with Cardiac Sarcoidosis. Am. J. Cardiol. 2020, 134, 123–129. [Google Scholar] [CrossRef] [PubMed]
- Kiko, T.; Yoshihisa, A.; Kanno, Y.; Yokokawa, T.; Abe, S.; Miyata-Tatsumi, M.; Misaka, T.; Oikawa, M.; Kobayashi, A.; Ishida, T.; et al. A Multiple Biomarker Approach in Patients with Cardiac Sarcoidosis. Int. Heart J. 2018, 59, 996–1001. [Google Scholar] [CrossRef] [PubMed]
- Kolluri, N.; Schmidt, T.J.; Elwazir, M.Y.; Kapa, S.; Ezzeddine, O.F.A.; Bois, J.P.; Schirger, J.A.; Rosenbaum, A.N.; Cooper, L.T. Routine Laboratory Biomarkers as Prognostic Indicators of Cardiac Sarcoidosis Outcomes. Sarcoidosis Vasc. Diffus. Lung Dis. 2022, 39, e2022023. [Google Scholar] [CrossRef]
- Kumar, D.; Madan, K.; Jagia, P.; Patel, C.; Ramakrishnan, L.; Roy, A. Screening for Cardiac Involvement in Patients with Sarcoidosis using AIIMS algorithm. JACC 2024, 83 (Suppl. S13), 654. [Google Scholar] [CrossRef]
- Wong, L.L.; Wang, J.; Liew, O.W.; Richards, A.M.; Chen, Y.T. MicroRNA and Heart Failure. Int. J. Mol. Sci. 2016, 17, 502. [Google Scholar] [CrossRef]






| 2017 JCS Guideline on Diagnosis and Treatment of Cardiac Sarcoidosis | 2014 HRS Expert Consensus Statement on the Diagnosis and Management of Arrhythmias Associated with Cardiac Sarcoidosis |
|---|---|
Major criteria
Minor criteria
|
|
Disclaimer/Publisher’s Note: The statements, opinions and data contained in all publications are solely those of the individual author(s) and contributor(s) and not of MDPI and/or the editor(s). MDPI and/or the editor(s) disclaim responsibility for any injury to people or property resulting from any ideas, methods, instructions or products referred to in the content. |
© 2024 by the authors. Licensee MDPI, Basel, Switzerland. This article is an open access article distributed under the terms and conditions of the Creative Commons Attribution (CC BY) license (https://creativecommons.org/licenses/by/4.0/).
Share and Cite
Stjepanovic, M.; Markovic, F.; Milivojevic, I.; Popevic, S.; Dimic-Janjic, S.; Popadic, V.; Zdravkovic, D.; Popovic, M.; Klasnja, A.; Radojevic, A.; et al. Contemporary Diagnostics of Cardiac Sarcoidosis: The Importance of Multimodality Imaging. Diagnostics 2024, 14, 1865. https://doi.org/10.3390/diagnostics14171865
Stjepanovic M, Markovic F, Milivojevic I, Popevic S, Dimic-Janjic S, Popadic V, Zdravkovic D, Popovic M, Klasnja A, Radojevic A, et al. Contemporary Diagnostics of Cardiac Sarcoidosis: The Importance of Multimodality Imaging. Diagnostics. 2024; 14(17):1865. https://doi.org/10.3390/diagnostics14171865
Chicago/Turabian StyleStjepanovic, Mihailo, Filip Markovic, Ivan Milivojevic, Spasoje Popevic, Sanja Dimic-Janjic, Viseslav Popadic, Dimitrije Zdravkovic, Maja Popovic, Andrea Klasnja, Aleksandra Radojevic, and et al. 2024. "Contemporary Diagnostics of Cardiac Sarcoidosis: The Importance of Multimodality Imaging" Diagnostics 14, no. 17: 1865. https://doi.org/10.3390/diagnostics14171865
APA StyleStjepanovic, M., Markovic, F., Milivojevic, I., Popevic, S., Dimic-Janjic, S., Popadic, V., Zdravkovic, D., Popovic, M., Klasnja, A., Radojevic, A., Radovanovic, D., & Zdravkovic, M. (2024). Contemporary Diagnostics of Cardiac Sarcoidosis: The Importance of Multimodality Imaging. Diagnostics, 14(17), 1865. https://doi.org/10.3390/diagnostics14171865

