Next Article in Journal
Bone Marrow Disseminated Tumor Cell Detection Is Beneficial for the Early Finding of Bone Metastasis and Prognosis
Previous Article in Journal
A Handheld Ultrasound Device Can Predict Constipation with Rectal Fecal Retention in a Palliative Care Setting
 
 
Font Type:
Arial Georgia Verdana
Font Size:
Aa Aa Aa
Line Spacing:
Column Width:
Background:
Interesting Images

Obstructive Tracheobronchitis in Influenza-Associated Pulmonary Aspergillosis

Department of Intensive Care Medicine, Renji Hospital Affiliated to Shanghai Jiao Tong University School of Medicine, No. 1630 DongFang Road, Pudong New District, Shanghai 200127, China
*
Authors to whom correspondence should be addressed.
These authors contributed equally to this work.
Diagnostics 2024, 14(15), 1628; https://doi.org/10.3390/diagnostics14151628
Submission received: 30 June 2024 / Revised: 27 July 2024 / Accepted: 27 July 2024 / Published: 28 July 2024
(This article belongs to the Section Medical Imaging and Theranostics)

Abstract

We report a bronchoscopic image of a 36-year-old with significant airway obstruction from obstructive tracheobronchitis secondary to invasive pulmonary aspergillosis. It is rare to see such a severe form of obstructive tracheobronchitis, likely caused by the patient’sp immunocompromised status and rapid progression nature of influenza-associated pulmonary aspergillosis.

A 36-year-old man presented to the Emergency Department (ED) with a one-week history of cough and fever. He had a past medical history of kidney transplant ten months prior and was on long-term tacrolimus. He tested positive for influenza B. A CT scan revealed only bronchitis, with no parenchymal lung changes (Figure S1). He was discharged home with oseltamivir and symptomatic treatment.
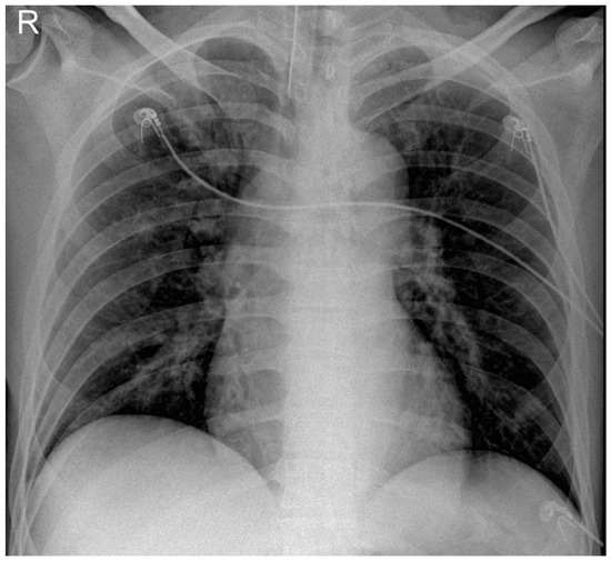
He returned to ED three days later with severe respiratory distress and was immediately transferred to the ICU and intubated due to hypoxia and increased work of breathing. Following intubation, he was hemodynamically stable. Physical examination revealed significantly decreased breath sounds bilaterally. Ventilator waveforms indicated high airway pressure and increased resistance. An urgent bronchoscopy was performed, revealing significant (>75%) narrowing in the main bronchus. Immediate debulking with biopsy forceps in the main bronchus was performed to assist ventilation. Bilateral main bronchi exhibited obstructive tracheobronchitis with prominent mucous plugs (Figure 1) and pseudomembrane (Figure 2). A bedside chest X-ray following intubation showed mild ground-glass opacification in the right lung (Figure 3). The CT scan performed the day after intubation and ICU admission revealed new bilateral patchy opacities and small nodular lesions in the lung parenchyma (Figure S2).
Bronchoalveolar lavage fluid (BALF) galactomannan (GM) was 10.86 DOI (Aspergillus Galactomannan Detection Kit (CLIA); Genobio Pharmaceutical Co., Ltd.). BALF culture grew Aspergillus fumigatus. The diagnosis of invasive tracheobronchial aspergillosis (ITBA) secondary to probable influenza-associated pulmonary aspergillosis (IAPA) was made [1]. According to the proposed case definition of IAPA in ICU patients, in patients with an influenza-positive diagnostic test, influenza-like illness, and bronchoscopic evidence of tracheobronchitis, such as our patient, a positive BAL GM or culture of a tracheal aspirate is considered mycological evidence supporting a probable IAPA diagnosis [2].
The patient was treated with intravenous voriconazole and nebulized amphotericin B. Tacrolimus was discontinued. Daily bronchoscopy was initially required to clear copious purulent thick secretion. After two weeks of treatment, repeated bronchoscopy showed significant improvement in airway obstruction (Figure S3). He required tracheostomy and prolonged ventilation for up to four weeks, but eventually was weaned off the ventilator and transferred from ICU to the general ward.
This case demonstrated invasive Aspergillus tracheobronchitis in severe obstructive and pseudomembranous forms as classified by bronchoscopy. Invasive tracheobronchial aspergillosis (ITBA) is a very aggressive form of invasive pulmonary aspergillosis (IPA) with mortality rate exceeding 80% in some series [3]. While influenza-associated pulmonary aspergillosis (IAPA) has a prevalence of 19.2% in critically ill patients with influenza [4], the reported incidence of ITBA in influenza-associated IPA ranges from 27% [5] to 55% [4]. CT findings of ITBA can be normal, especially in the early stages of the disease. In our patient, a CT scan done just three days before bronchoscopy only suggested bronchitis, highlighting the rapid progression nature of influenza-associated pulmonary aspergillosis in the setting of pre-existing immunosuppression (on long-term tacrolimus).
Central airway management for obstructive tracheobronchitis typically involves procedures such as debulking with biopsy forceps, toileting with grasping forceps, balloon dilation, and stent insertion, often requiring repeated endoscopic treatments [6,7]. In this case, only one debulking procedure was performed for the severe obstruction. This underscores that antifungal therapy remains pivotal in the treatment of invasive pulmonary aspergillosis. Therapeutic drug monitoring to ensure adequate dosing and frequent bronchoscopy for secretion removal may enhance antifungal penetration.

Supplementary Materials

The following supporting information can be downloaded at: https://www.mdpi.com/article/10.3390/diagnostics14151628/s1, Figure S1. A CT scan done in ED three days prior the bronchoscopy revealed only bronchitis, with no parenchymal lung changes. Figure S2. A repeated CT scan on the day following intubation and ICU admission (23/1/2024) revealed bronchitis, bilateral patchy opacities, and small nodular lesions in the lung parenchyma. There were significant artifacts, and the findings indicated substantial progression compared to the scan performed four days earlier (19/1/2024). Figure S3. After two weeks of antifungal treatment, repeated bronchoscopy revealed significant improvement of airway obstruction, with scaring of the mucous, dilation of airways and remaining pseudomembrane and ascars (Left). Compared to bronchoscopy upon ICU admission (Right).

Author Contributions

Conceptualization, S.Z.; investigation, W.L. and Z.T.; writing—original draft preparation, S.Z.; writing—review and editing, S.Z. and C.S.; visualization, S.Z.; supervision, W.L. All authors have read and agreed to the published version of the manuscript.

Funding

This research received no external funding.

Institutional Review Board Statement

Ethical review and approval were waived for this study due to non-intervention nature of descriptive study.

Informed Consent Statement

Written informed consent has been obtained from the patient’s wife to publish this paper.

Data Availability Statement

No new data were created.

Conflicts of Interest

The authors declare no conflicts of interest.

References

  1. Donnelly, J.P.; Chen, S.C.; Kauffman, C.A.; Steinbach, W.J.; Baddley, J.W.; Verweij, P.E.; Clancy, C.J.; Wingard, J.R.; Lockhart, S.R.; Groll, A.H.; et al. Revision and Update of the Consensus Definitions of Invasive Fungal Disease from the European Organization for Research and Treatment of Cancer and the Mycoses Study Group Education and Research Consortium. Clin. Infect. Dis. 2020, 71, 1367–1376. [Google Scholar] [CrossRef] [PubMed]
  2. Verweij, P.E.; Rijnders, B.J.A.; Brüggemann, R.J.M.; Azoulay, E.; Bassetti, M. Review of influenza—Associated pulmonary aspergillosis in ICU patients and proposal for a case definition: An expert opinion. Intensive Care Med. 2020, 46, 1524–1535. [Google Scholar] [CrossRef] [PubMed]
  3. Heylen, J.; Vanbiervliet, Ã.Y.; Maertens, Ã.J.; Rijnders, B.; Wauters, J. Acute Invasive Pulmonary Aspergillosis: Clinical Presentation and Treatment. Semin. Respir. Crit. Care Med. 2024, 45, 69–87. [Google Scholar] [CrossRef] [PubMed]
  4. Lu, L.Y.; Lee, H.M.; Burke, A.; Bassi, G.L.; Torres, A.; Fraser, J.F.; Fanning, J.P. Prevalence, Risk Factors, Clinical Features, and Outcome of Influenza-Associated Pulmonary Aspergillosis in Critically Ill Patients: A Systematic Review and Meta-Analysis. Chest 2024, 165, 540–558. [Google Scholar] [CrossRef] [PubMed]
  5. Nyga, R.; Maizel, J.; Nseir, S.; Chouaki, T.; Milic, I.; Roger, P.A.; Van Grunderbeeck, N.; Lemyze, M.; Totet, A.; Castelain, S.; et al. Invasive Tracheobronchial Aspergillosis in Critically Ill Patients with Severe Influenza A Clinical Trial. Am. J. Respir. Crit. Care Med. 2020, 202, 708–716. [Google Scholar] [CrossRef] [PubMed]
  6. Dhillon, S.S.; Saoud, M.; Harris, K. Complex multimodality central airway management of aspergillus pseudomembranous tracheobronchitis. J. Thorac. Dis. 2017, 9, 915–919. [Google Scholar] [CrossRef] [PubMed]
  7. Kawakami, N.; Ito, M.; Takahashi, K.; Moriya, T.; Saito, H.; Wakai, Y.; Saito, K. Pseudomembranous tracheobronchitis with severe tracheal stenosis and masked bronchial obstruction. J. Emerg. Med. 2021, 60, e39–e44. [Google Scholar] [CrossRef] [PubMed]
Figure 1. Bronchoscopy performed after intubation in a 36-year-old man with obstructive tracheobronchitis secondary to invasive pulmonary aspergillosis, showing prominent mucous plugs and airway sloughing. (A) Left main bronchus, (B) Major fissure of left bronchus, (C) Right upper Lobe.
Figure 1. Bronchoscopy performed after intubation in a 36-year-old man with obstructive tracheobronchitis secondary to invasive pulmonary aspergillosis, showing prominent mucous plugs and airway sloughing. (A) Left main bronchus, (B) Major fissure of left bronchus, (C) Right upper Lobe.
Diagnostics 14 01628 g001
Figure 2. Bronchoscopy of basal segments of the left lower lobe, showing thick pseudomembrane with almost complete closure of anterior basal segment (white arrow).
Figure 2. Bronchoscopy of basal segments of the left lower lobe, showing thick pseudomembrane with almost complete closure of anterior basal segment (white arrow).
Diagnostics 14 01628 g002
Figure 3. Chest X-ray following intubation showed mild ground-glass opacification in the right (R) lung.
Figure 3. Chest X-ray following intubation showed mild ground-glass opacification in the right (R) lung.
Diagnostics 14 01628 g003
Disclaimer/Publisher’s Note: The statements, opinions and data contained in all publications are solely those of the individual author(s) and contributor(s) and not of MDPI and/or the editor(s). MDPI and/or the editor(s) disclaim responsibility for any injury to people or property resulting from any ideas, methods, instructions or products referred to in the content.

Share and Cite

MDPI and ACS Style

Zhang, S.; Shang, C.; Tan, Z.; Li, W. Obstructive Tracheobronchitis in Influenza-Associated Pulmonary Aspergillosis. Diagnostics 2024, 14, 1628. https://doi.org/10.3390/diagnostics14151628

AMA Style

Zhang S, Shang C, Tan Z, Li W. Obstructive Tracheobronchitis in Influenza-Associated Pulmonary Aspergillosis. Diagnostics. 2024; 14(15):1628. https://doi.org/10.3390/diagnostics14151628

Chicago/Turabian Style

Zhang, Shuyi, Chen Shang, Zhangjun Tan, and Wen Li. 2024. "Obstructive Tracheobronchitis in Influenza-Associated Pulmonary Aspergillosis" Diagnostics 14, no. 15: 1628. https://doi.org/10.3390/diagnostics14151628

APA Style

Zhang, S., Shang, C., Tan, Z., & Li, W. (2024). Obstructive Tracheobronchitis in Influenza-Associated Pulmonary Aspergillosis. Diagnostics, 14(15), 1628. https://doi.org/10.3390/diagnostics14151628

Note that from the first issue of 2016, this journal uses article numbers instead of page numbers. See further details here.

Article Metrics

Back to TopTop