Sign in to use this feature.

Years

Between: -

Subjects

remove_circle_outline
remove_circle_outline
remove_circle_outline
remove_circle_outline

Journals

Article Types

Countries / Regions

Search Results (4)

Search Parameters:
Keywords = obstructive tracheobronchitis

Order results
Result details
Results per page
Select all
Export citation of selected articles as:
4 pages, 3651 KB  
Interesting Images
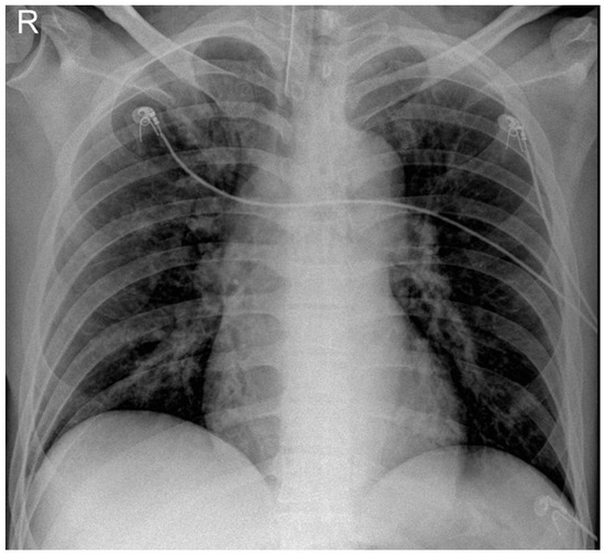
Obstructive Tracheobronchitis in Influenza-Associated Pulmonary Aspergillosis
by Shuyi Zhang, Chen Shang, Zhangjun Tan and Wen Li
Diagnostics 2024, 14(15), 1628; https://doi.org/10.3390/diagnostics14151628 - 28 Jul 2024
Cited by 1 | Viewed by 1656
Abstract
We report a bronchoscopic image of a 36-year-old with significant airway obstruction from obstructive tracheobronchitis secondary to invasive pulmonary aspergillosis. It is rare to see such a severe form of obstructive tracheobronchitis, likely caused by the patient’sp immunocompromised status and rapid progression nature [...] Read more.
We report a bronchoscopic image of a 36-year-old with significant airway obstruction from obstructive tracheobronchitis secondary to invasive pulmonary aspergillosis. It is rare to see such a severe form of obstructive tracheobronchitis, likely caused by the patient’sp immunocompromised status and rapid progression nature of influenza-associated pulmonary aspergillosis. Full article
(This article belongs to the Section Medical Imaging and Theranostics)
Show Figures

Figure 1

13 pages, 1249 KB  
Article
Atypical Clinical Presentation of Laryngopharyngeal Reflux: A 5-Year Case Series
by Jerome R. Lechien, Stéphane Hans, Francois Bobin, Christian Calvo-Henriquez, Sven Saussez and Petros D. Karkos
J. Clin. Med. 2021, 10(11), 2439; https://doi.org/10.3390/jcm10112439 - 31 May 2021
Cited by 13 | Viewed by 10424
Abstract
Background: Laryngopharyngeal reflux (LPR) is a common disease in otolaryngology characterized by an inflammatory reaction of the mucosa of the upper aerodigestive tract caused by digestive refluxate enzymes. LPR has been identified as the etiological or favoring factor of laryngeal, oral, sinonasal, or [...] Read more.
Background: Laryngopharyngeal reflux (LPR) is a common disease in otolaryngology characterized by an inflammatory reaction of the mucosa of the upper aerodigestive tract caused by digestive refluxate enzymes. LPR has been identified as the etiological or favoring factor of laryngeal, oral, sinonasal, or otological diseases. In this case series, we reported the atypical clinical presentation of LPR in patients presenting in our clinic with reflux. Methods: A retrospective medical chart review of 351 patients with LPR treated in the European Reflux Clinic in Brussels, Poitiers and Paris was performed. In order to be included, patients had to report an atypical clinical presentation of LPR, consisting of symptoms or findings that are not described in the reflux symptom score and reflux sign assessment. The LPR diagnosis was confirmed with a 24 h hypopharyngeal-esophageal impedance pH study, and patients were treated with a combination of diet, proton pump inhibitors, and alginates. The atypical symptoms or findings had to be resolved from pre- to posttreatment. Results: From 2017 to 2021, 21 patients with atypical LPR were treated in our center. The clinical presentation consisted of recurrent aphthosis or burning mouth (N = 9), recurrent burps and abdominal disorders (N = 2), posterior nasal obstruction (N = 2), recurrent acute suppurative otitis media (N = 2), severe vocal fold dysplasia (N = 2), and recurrent acute rhinopharyngitis (N = 1), tearing (N = 1), aspirations (N = 1), or tracheobronchitis (N = 1). Abnormal upper aerodigestive tract reflux events were identified in all of these patients. Atypical clinical findings resolved and did not recur after an adequate antireflux treatment. Conclusion: LPR may present with various clinical presentations, including mouth, eye, tracheobronchial, nasal, or laryngeal findings, which may all regress with adequate treatment. Future studies are needed to better specify the relationship between LPR and these atypical findings through analyses identifying gastroduodenal enzymes in the inflamed tissue. Full article
(This article belongs to the Special Issue Laryngopharyngeal Reflux: The Last Decade)
Show Figures

Figure 1

11 pages, 574 KB  
Article
Impact of Chronic Obstructive Pulmonary Disease on Incidence, Microbiology and Outcome of Ventilator-Associated Lower Respiratory Tract Infections
by Anahita Rouzé, Pauline Boddaert, Ignacio Martin-Loeches, Pedro Povoa, Alejandro Rodriguez, Nassima Ramdane, Jorge Salluh, Marion Houard and Saad Nseir
Microorganisms 2020, 8(2), 165; https://doi.org/10.3390/microorganisms8020165 - 23 Jan 2020
Cited by 13 | Viewed by 3952
Abstract
Objectives: To determine the impact of chronic obstructive pulmonary disease (COPD) on incidence, microbiology, and outcomes of ventilator-associated lower respiratory tract infections (VA-LRTI). Methods: Planned ancillary analysis of TAVeM study, including 2960 consecutive adult patients who received invasive mechanical ventilation (MV) > 48 [...] Read more.
Objectives: To determine the impact of chronic obstructive pulmonary disease (COPD) on incidence, microbiology, and outcomes of ventilator-associated lower respiratory tract infections (VA-LRTI). Methods: Planned ancillary analysis of TAVeM study, including 2960 consecutive adult patients who received invasive mechanical ventilation (MV) > 48 h. COPD patients (n = 494) were compared to non-COPD patients (n = 2466). The diagnosis of ventilator-associated tracheobronchitis (VAT) and ventilator-associated pneumonia (VAP) was based on clinical, radiological and quantitative microbiological criteria. Results: No significant difference was found in VAP (12% versus 13%, p = 0.931), or VAT incidence (13% versus 10%, p = 0.093) between COPD and non-COPD patients. Among patients with VA-LRTI, Escherichia coli and Stenotrophomonas maltophilia were significantly more frequent in COPD patients as compared with non-COPD patients. However, COPD had no significant impact on multidrug-resistant bacteria incidence. Appropriate antibiotic treatment was not significantly associated with progression from VAT to VAP among COPD patients who developed VAT, unlike non-COPD patients. Among COPD patients, patients who developed VAT or VAP had significantly longer MV duration (17 days (9–30) or 15 (8–27) versus 7 (4–12), p < 0.001) and intensive care unit (ICU) length of stay (24 (17–39) or 21 (14–40) versus 12 (8–19), p < 0.001) than patients without VA-LRTI. ICU mortality was also higher in COPD patients who developed VAP (44%), but not VAT(38%), as compared to no VA-LRTI (26%, p = 0.006). These worse outcomes associated with VA-LRTI were similar among non-COPD patients. Conclusions: COPD had no significant impact on incidence or outcomes of patients who developed VAP or VAT. Full article
(This article belongs to the Special Issue Multidrug-Resistant Pathogens)
Show Figures

Figure 1

9 pages, 205 KB  
Guidelines
Acute Subglottic Laryngitis. Etiology, Epidemiology, Pathogenesis and Clinical Picture
by Henryk Mazurek, Anna Bręborowicz, Zbigniew Doniec, Andrzej Emeryk, Katarzyna Krenke, Marek Kulus and Beata Zielnik-Jurkiewicz
Adv. Respir. Med. 2019, 87(5), 308-316; https://doi.org/10.5603/ARM.2019.0056 - 31 Oct 2019
Cited by 6 | Viewed by 5089
Abstract
In about 3% of children, viral infections of the airways that develop in early childhood lead to narrowing of the laryngeal lumen in the subglottic region resulting in symptoms such as hoarseness, abarking cough, stridor, and dyspnea. These infections may eventually cause respiratory [...] Read more.
In about 3% of children, viral infections of the airways that develop in early childhood lead to narrowing of the laryngeal lumen in the subglottic region resulting in symptoms such as hoarseness, abarking cough, stridor, and dyspnea. These infections may eventually cause respiratory failure. The disease is often called acute subglottic laryngitis (ASL). Terms such as pseudocroup, croup syndrome, acute obstructive laryngitis and spasmodic croup are used interchangeably when referencing this disease. Although the differential diagnosis should include other rare diseases such as epiglottitis, diphtheria, fibrinous laryngitis and bacterial tracheobronchitis, the diagnosis of ASL should always be made on the basis of clinical criteria. Full article
Back to TopTop