Confocal Microscopy of the Cornea in Aqueous-Deficient Dry Eye Disease—A Literature Review
Abstract
1. Introduction
2. Methods
3. Results
3.1. Corneal Epithelium
3.2. Corneal Stroma
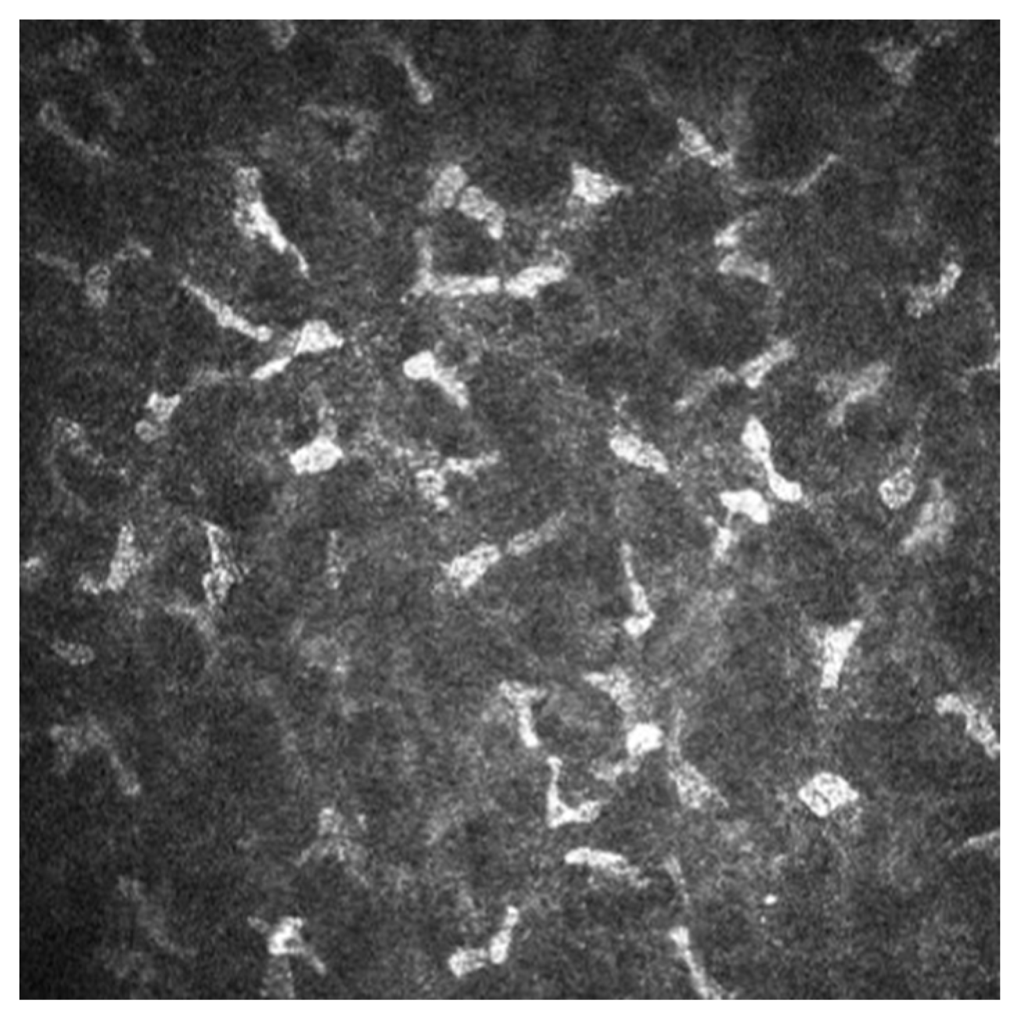
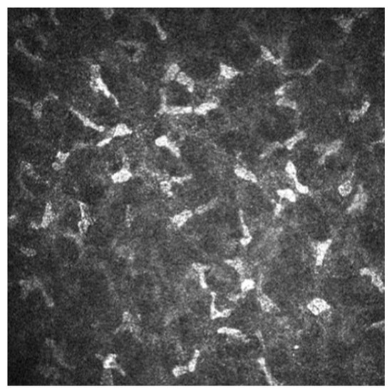
3.3. Corneal Nerve Density and Morphology
3.4. Inflammatory Cells
4. Discussion
- Decreased nerve density: Benítez del Castillo et al. found that non-SS and SS aqueous tear deficiency (ATD) groups had decreased nerve density in the sub-basal plexus compared to normal subjects under 60. This suggests a reduced corneal innervation in individuals with ATD [18].
- Beading nerves: ATD groups showed more beading nerves in the sub-basal plexus than control subjects in different age groups. Beaded nerves are characterized by swelling or varicosities along nerve fibers and are signs of nerve damage or degeneration.
- Nerve tortuosity: Villani et al. reported a decreased number and increased tortuosity of sub-basal nerves in patients with ATD compared to controls. Increased sinuosity indicates the abnormal coiling or twisting of nerve fibers, which may reflect nerve degeneration or structural changes [20].
- Neoinnervation: Tuominen et al. observed neoinnervation in the superficial nerve plexus (SNP) in 40% of the eyes with SS. This refers to forming new nerve branches or extensions that may represent attempts at nerve regeneration or repair [21].
- Sub-basal corneal nerve density: Unlike the previously mentioned study, Tuisku et al. [26] found that sub-basal corneal nerve density was similar between SS and control subjects. This suggests that the total number of nerves in the sub-basal plexus may not be significantly affected by the SS.
- Thickening and “coning” of structures: The study did see thickening and cone-like structures in the corneal nerves of SS patients. These structural changes indicate an abnormal morphology and suggest potential nerve damage or degeneration.
- Symptoms of hyperalgesia and irritation: The presence of thickened and cone-type nerves in the SS cornea is accompanied by hyperalgesia, which refers to an increased sensitivity to pain or discomfort. This was assessed by using an air jet esthesiometer. These findings suggest that altered nerve morphology may contribute to the increased sensitivity and perception of irritation symptoms in patients with SS.
- Increased density of dendritic cells: This study also noted an increased density of dendritic cells around the corneal nerves in the SS. Dendritic cells are immune cells involved in recognizing and responding to foreign substances. Dendritic cell density correlates with the severity of irritation symptoms, suggesting a potential role in SS’s inflammatory response and symptomatology [26].
5. Conclusions
Funding
Institutional Review Board Statement
Informed Consent Statement
Data Availability Statement
Acknowledgments
Conflicts of Interest
References
- Lemp, M.A.; Foulks, G.N. The definition and classification of dry eye disease. Ocul. Surf. 2007, 5, 75–92. [Google Scholar]
- Gipson, I.K.; Argüeso, P.; Beuerman, R.; Bonini, S.; Butovich, I.; Dana, R.; Dartt, D.; Gamache, D.; Ham, B.; Jumblatt, M. Research in dry eye: Report of the Research Subcommittee of the International Dry Eye WorkShop (2007). Ocul. Surf. 2007, 5, 179–193. [Google Scholar]
- Craig, J.P.; Nichols, K.K.; Akpek, E.K.; Caffery, B.; Dua, H.S.; Joo, C.-K.; Liu, Z.; Nelson, J.D.; Nichols, J.J.; Tsubota, K. TFOS DEWS II definition and classification report. Ocul. Surf. 2017, 15, 276–283. [Google Scholar] [CrossRef] [PubMed]
- Wolffsohn, J.S.; Arita, R.; Chalmers, R.; Djalilian, A.; Dogru, M.; Dumbleton, K.; Gupta, P.K.; Karpecki, P.; Lazreg, S.; Pult, H. TFOS DEWS II diagnostic methodology report. Ocul. Surf. 2017, 15, 539–574. [Google Scholar] [CrossRef] [PubMed]
- Papas, E.B. The global prevalence of dry eye disease: A Bayesian view. Ophthalmic Physiol. Opt. 2021, 41, 1254–1266. [Google Scholar] [CrossRef]
- Lemp, M.A.; Crews, L.A.; Bron, A.J.; Foulks, G.N.; Sullivan, B.D. Distribution of aqueous-deficient and evaporative dry eye in a clinic-based patient cohort: A retrospective study. Cornea 2012, 31, 472–478. [Google Scholar] [CrossRef] [PubMed]
- Alhatem, A.; Cavalcanti, B.; Hamrah, P. In vivo confocal microscopy in dry eye disease and related conditions. In Seminars in Ophthalmology; Taylor & Francis: Oxfordshire, UK, 2012; Volume 27, pp. 138–148. [Google Scholar]
- Guthoff, R.F.; Zhivov, A.; Stachs, O. In vivo confocal microscopy, an inner vision of the cornea—A major review. Clin. Exp. Ophthalmol. 2009, 37, 100–117. [Google Scholar] [CrossRef] [PubMed]
- Matsumoto, Y.; Ibrahim, O.M.A. Application of in vivo confocal microscopy in dry eye disease. Investig. Ophthalmol. Vis. Sci. 2018, 59, DES41–DES47. [Google Scholar] [CrossRef]
- Hwang, J.; Dermer, H.; Galor, A. Can in vivo confocal microscopy differentiate between sub-types of dry eye disease? A review. Clin. Exp. Ophthalmol. 2021, 49, 373–387. [Google Scholar] [CrossRef]
- Sim, R.; Yong, K.; Liu, Y.-C.; Tong, L. In vivo confocal microscopy in different types of dry eye and meibomian gland dysfunction. J. Clin. Med. 2022, 11, 2349. [Google Scholar] [CrossRef]
- Iaccheri, B.; Torroni, G.; Cagini, C.; Fiore, T.; Cerquaglia, A.; Lupidi, M.; Cillino, S.; Dua, H.S. Corneal confocal scanning laser microscopy in patients with dry eye disease treated with topical cyclosporine. Eye 2017, 31, 788–794. [Google Scholar] [CrossRef] [PubMed]
- Kasikci, M.; Erogul, O.; Polat, O. Evaluation of aqueous-deficient and evaporative dry eye cases with confocal microscopy. J. Fr. Ophtalmol. 2023, 46, 1161–1168. [Google Scholar] [CrossRef]
- Cox, S.M.; Kheirkhah, A.; Aggarwal, S.; Abedi, F.; Cavalcanti, B.M.; Cruzat, A.; Hamrah, P. Alterations in corneal nerves in different subtypes of dry eye disease: An in vivo confocal microscopy study. Ocul. Surf. 2021, 22, 135–142. [Google Scholar] [CrossRef]
- Aggarwal, S.; Kheirkhah, A.; Cavalcanti, B.M.; Cruzat, A.; Jamali, A.; Hamrah, P. Correlation of corneal immune cell changes with clinical severity in dry eye disease: An in vivo confocal microscopy study. Ocul. Surf. 2021, 19, 183–189. [Google Scholar] [CrossRef] [PubMed]
- Lee, O.L.; Tepelus, T.C.; Huang, J.; Irvine, A.G.; Irvine, C.; Chiu, G.B.; Sadda, S.R. Evaluation of the corneal epithelium in non-Sjögren’s and Sjögren’s dry eyes: An in vivo confocal microscopy study using HRT III RCM. BMC Ophthalmol. 2018, 18, 309. [Google Scholar] [CrossRef]
- Matsumoto, Y.; Ibrahim, O.M.A.; Kojima, T.; Dogru, M.; Shimazaki, J.; Tsubota, K. Corneal in vivo laser-scanning confocal microscopy findings in dry eye patients with Sjögren’s syndrome. Diagnostics 2020, 10, 497. [Google Scholar] [CrossRef] [PubMed]
- del Castillo, J.M.B.; Wasfy, M.A.S.; Fernandez, C.; Garcia-Sanchez, J. An in vivo confocal masked study on corneal epithelium and subbasal nerves in patients with dry eye. Investig. Ophthalmol. Vis. Sci. 2004, 45, 3030–3035. [Google Scholar] [CrossRef]
- Benitez-del-Castillo, J.M.; Acosta, M.C.; Wassfi, M.A.; Díaz-Valle, D.; Gegúndez, J.A.; Fernandez, C.; García-Sánchez, J. Relation between corneal innervation with confocal microscopy and corneal sensitivity with noncontact esthesiometry in patients with dry eye. Investig. Ophthalmol. Vis. Sci. 2007, 48, 173–181. [Google Scholar] [CrossRef]
- Villani, E.; Galimberti, D.; Viola, F.; Mapelli, C.; Ratiglia, R. The cornea in Sjogren’s syndrome: An in vivo confocal study. Investig. Ophthalmol. Vis. Sci. 2007, 48, 2017–2022. [Google Scholar] [CrossRef]
- Tuominen, I.S.J.; Konttinen, Y.T.; Vesaluoma, M.H.; Moilanen, J.A.O.; Helintö, M.; Tervo, T.M.T. Corneal innervation and morphology in primary Sjogren’s syndrome. Investig. Ophthalmol. Vis. Sci. 2003, 44, 2545–2549. [Google Scholar] [CrossRef]
- Erdélyi, B.; Kraak, R.; Zhivov, A.; Guthoff, R.; Németh, J. In vivo confocal laser scanning microscopy of the cornea in dry eye. Graefe’s Arch. Clin. Exp. Ophthalmol. 2007, 245, 39–44. [Google Scholar] [CrossRef] [PubMed]
- Zhang, X.; Chen, Q.; Chen, W.; Cui, L.; Ma, H.; Lu, F. Tear dynamics and corneal confocal microscopy of subjects with mild self-reported office dry eye. Ophthalmology 2011, 118, 902–907. [Google Scholar] [CrossRef] [PubMed]
- Hoşal, B.M.; Örnek, N.; Zilelioğlu, G.; Elhan, A.H. Morphology of corneal nerves and corneal sensation in dry eye: A preliminary study. Eye 2005, 19, 1276–1279. [Google Scholar] [CrossRef] [PubMed]
- Zhang, M.; Chen, J.; Luo, L.; Xiao, Q.; Sun, M.; Liu, Z. Altered corneal nerves in aqueous tear deficiency viewed by in vivo confocal microscopy. Cornea 2005, 24, 818–824. [Google Scholar] [CrossRef] [PubMed]
- Tuisku, I.S.; Konttinen, Y.T.; Konttinen, L.M.; Tervo, T.M. Alterations in corneal sensitivity and nerve morphology in patients with primary Sjögren’s syndrome. Exp. Eye Res. 2008, 86, 879–885. [Google Scholar] [CrossRef] [PubMed]
- Cruzat, A.; Witkin, D.; Baniasadi, N.; Zheng, L.; Ciolino, J.B.; Jurkunas, U.V.; Chodosh, J.; Pavan-Langston, D.; Dana, R.; Hamrah, P. Inflammation and the nervous system: The connection in the cornea in patients with infectious keratitis. Investig. Ophthalmol. Vis. Sci. 2011, 52, 5136–5143. [Google Scholar] [CrossRef] [PubMed]
- Lin, H.; Li, W.; Dong, N.; Chen, W.; Liu, J.; Chen, L.; Yuan, H.; Geng, Z.; Liu, Z. Changes in corneal epithelial layer inflammatory cells in aqueous tear–deficient dry eye. Investig. Ophthalmol. Vis. Sci. 2010, 51, 122–128. [Google Scholar] [CrossRef] [PubMed]
- Villani, E.; Magnani, F.; Viola, F.; Santaniello, A.; Scorza, R.; Nucci, P.; Ratiglia, R. In vivo confocal evaluation of the ocular surface morpho-functional unit in dry eye. Optom. Vis. Sci. 2013, 90, 576–586. [Google Scholar] [CrossRef] [PubMed]
- Pflugfelder, S.C.; Stern, M.E. The cornea in keratoconjunctivitis sicca. Exp. Eye Res. 2020, 201, 108295. [Google Scholar] [CrossRef]
- De Paiva, C.S.; Corrales, R.M.; Villarreal, A.L.; Farley, W.; Li, D.-Q.; Stern, M.E.; Pflugfelder, S.C. Apical corneal barrier disruption in experimental murine dry eye is abrogated by methylprednisolone and doxycycline. Investig. Ophthalmol. Vis. Sci. 2006, 47, 2847–2856. [Google Scholar] [CrossRef]
- Villani, E.; Galimberti, D.; Viola, F.; Mapelli, C.; Del Papa, N.; Ratiglia, R. Corneal involvement in rheumatoid arthritis: An in vivo confocal study. Investig. Ophthalmol. Vis. Sci. 2008, 49, 560–564. [Google Scholar] [CrossRef]
- Villani, E.; Viola, F.; Sala, R.; Salvi, M.; Mapelli, C.; Curro, N.; Vannucchi, G.; Beck-Peccoz, P.; Ratiglia, R. Corneal involvement in Graves’ orbitopathy: An in vivo confocal study. Investig. Ophthalmol. Vis. Sci. 2010, 51, 4574–4578. [Google Scholar] [CrossRef]
- Efron, N. Contact lens-induced changes in the anterior eye as observed in vivo with the confocal microscope. Prog. Retin. Eye Res. 2007, 26, 398–436. [Google Scholar] [CrossRef] [PubMed]
- Kenchegowda, S.; Bazan, H.E.P. Significance of lipid mediators in corneal injury and repair. J. Lipid Res. 2010, 51, 879–891. [Google Scholar] [CrossRef] [PubMed]
- Guerrero-Moreno, A.; Baudouin, C.; Melik Parsadaniantz, S.; Réaux-Le Goazigo, A. Morphological and functional changes of corneal nerves and their contribution to peripheral and central sensory abnormalities. Front. Cell. Neurosci. 2020, 14, 610342. [Google Scholar] [CrossRef] [PubMed]
- Shaheen, B.S.; Bakir, M.; Jain, S. Corneal nerves in health and disease. Surv. Ophthalmol. 2014, 59, 263–285. [Google Scholar] [CrossRef]
- Medeiros, C.S.; Santhiago, M.R. Corneal nerves anatomy, function, injury and regeneration. Exp. Eye Res. 2020, 200, 108243. [Google Scholar] [CrossRef]
- Oliveira-Soto, L.; Efron, N. Morphology of corneal nerves using confocal microscopy. Cornea 2001, 20, 374–384. [Google Scholar] [CrossRef]
- Patel, D.V.; McGhee, C.N.J. In vivo confocal microscopy of human corneal nerves in health, in ocular and systemic disease, and following corneal surgery: A review. Br. J. Ophthalmol. 2009, 93, 853–860. [Google Scholar] [CrossRef]
- Rao, K.; Leveque, C.; Pflugfelder, S.C. Corneal nerve regeneration in neurotrophic keratopathy following autologous plasma therapy. Br. J. Ophthalmol. 2010, 94, 584–591. [Google Scholar] [CrossRef]
- Rosenberg, M.E.; Tervo, T.M.T.; Immonen, I.J.; Müller, L.J.; Grönhagen–Riska, C.; Vesaluoma, M.H. Corneal structure and sensitivity in type 1 diabetes mellitus. Investig. Ophthalmol. Vis. Sci. 2000, 41, 2915–2921. [Google Scholar]
- Tuisku, I.S.; Lindbohm, N.; Wilson, S.E.; Tervo, T.M. Dry eye and corneal sensitivity after high myopic LASIK. J. Refract. Surg. 2007, 23, 338–342. [Google Scholar] [CrossRef] [PubMed]
- Marfurt, C.F.; Ellis, L.C.; Jones, M.A. Sensory and sympathetic nerve sprouting in the rat cornea following neonatal administration of capsaicin. Somatosens. Mot. Res. 1993, 10, 377–398. [Google Scholar] [CrossRef] [PubMed]
- Cruzat, A.; Pavan-Langston, D.; Hamrah, P. In vivo confocal microscopy of corneal nerves: Analysis and clinical correlation. In Seminars in Ophthalmology; Taylor & Francis: Oxfordshire, UK, 2010; Volume 25, pp. 171–177. [Google Scholar]
- Tan, B.; Hosseinaee, Z.; Han, L.; Kralj, O.; Sorbara, L.; Bizheva, K. 250 kHz, 1.5 µm resolution SD-OCT for in-vivo cellular imaging of the human cornea. Biomed. Opt. Express 2018, 9, 6569–6583. [Google Scholar] [CrossRef] [PubMed]
- Stachs, O.; Guthoff, R.F.; Aumann, S. In vivo confocal scanning laser microscopy. In High Resolution Imaging in Microscopy and Ophthalmology: New Frontiers in Biomedical Optics; Springer: Cham, Switzerland, 2019; pp. 263–284. [Google Scholar]
- Zhang, X.Y.; Wu, M.; Chinnery, H.R.; Downie, L.E. Defining an optimal sample size for corneal epithelial immune cell analysis using in vivo confocal microscopy images. Front. Med. 2022, 9, 848776. [Google Scholar] [CrossRef]
- Bohn, S.; Stache, N.; Sperlich, K.; Allgeier, S.; Köhler, B.; Bartschat, A.; Do, H.-V.; George, C.; Guthoff, R.F.; Stachs, A. In vivo monitoring of corneal dendritic cells in the subbasal nerve plexus during trastuzumab and paclitaxel breast cancer therapy—A one-year follow-up. Diagnostics 2022, 12, 1180. [Google Scholar] [CrossRef] [PubMed]
- Allgeier, S.; Bartschat, A.; Bohn, S.; Guthoff, R.F.; Hagenmeyer, V.; Kornelius, L.; Mikut, R.; Reichert, K.-M.; Sperlich, K.; Stache, N. Real-time large-area imaging of the corneal subbasal nerve plexus. Sci. Rep. 2022, 12, 2481. [Google Scholar] [CrossRef]
- Yadav, R.; Lee, K.-S.; Rolland, J.P.; Zavislan, J.M.; Aquavella, J.V.; Yoon, G. Micrometer axial resolution OCT for corneal imaging. Biomed. Opt. Express 2011, 2, 3037–3046. [Google Scholar] [CrossRef]
- Chiang, J.C.B.; Roy, M.; Kim, J.; Markoulli, M.; Krishnan, A.V. In-vivo corneal confocal microscopy: Imaging analysis, biological insights and future directions. Commun. Biol. 2023, 6, 652. [Google Scholar] [CrossRef]


| Study | Corneal Epithelium | Corneal Stroma | Corneal Nerves | Dendritic Cells Density | ||
|---|---|---|---|---|---|---|
| Superficial Epithelial Cell Density | Basal Epithelial Cell Density | Keratocyte Density | Nerves Density | Nerves Morphology Changes | ||
| Kasikci 2023 [13] | Corneal superficial epithelial cell density significantly decreases in DED cases | Corneal basal epithelial cell density significantly increased in AD-DED | Significantly increased in the AD-DED | The number and density of sub-basal nerves significantly decrease in AD-DED | An increase was found in neural pilling and folding | Significant increase in dendritic cell density, size, number, and area in AD-DED |
| Cox 2021 [14] | Statistically significant lower total (p = 0.026) and main (p < 0.001) nerve density in DED | Statistically significant lower total (p = 0.001) and main (p = 0.001) and branch (p = 0.004) nerve numbers in DED | ||||
| Aggarwal 2021 [15] | Statistically significant increase in dendritic cell density in DED (p < 0.001) | |||||
| Lee 2018 [16] | Statistically significant decrease in both the non-Sjögren DED (p < 0.05) and Sjögren’s syndrome DED groups (p < 0.01) | Statistically significant decrease in both the non-Sjögren DED (p < 0.01) and Sjögren’s syndrome DED groups (p = 0.01) | ||||
| Matsumoto 2020 [17] | Statistically significantly lower in AD-DED compared with control subjects (p < 0.0001) * | Statistically significant lower in AD-DED than control subjects (p < 0.0001). | Morphological abnormality of nerve fibers was observed in AD-DED patients | Statistically significantly higher in AD-DED patients compared with control subjects (p < 0.0001) | ||
Disclaimer/Publisher’s Note: The statements, opinions and data contained in all publications are solely those of the individual author(s) and contributor(s) and not of MDPI and/or the editor(s). MDPI and/or the editor(s) disclaim responsibility for any injury to people or property resulting from any ideas, methods, instructions or products referred to in the content. |
© 2024 by the authors. Licensee MDPI, Basel, Switzerland. This article is an open access article distributed under the terms and conditions of the Creative Commons Attribution (CC BY) license (https://creativecommons.org/licenses/by/4.0/).
Share and Cite
Bucsan, R.; Coroleucă, R.; Garhöfer, G.; Popa-Cherecheanu, A.; Schmetterer, L.; Iancu, R. Confocal Microscopy of the Cornea in Aqueous-Deficient Dry Eye Disease—A Literature Review. Diagnostics 2024, 14, 1613. https://doi.org/10.3390/diagnostics14151613
Bucsan R, Coroleucă R, Garhöfer G, Popa-Cherecheanu A, Schmetterer L, Iancu R. Confocal Microscopy of the Cornea in Aqueous-Deficient Dry Eye Disease—A Literature Review. Diagnostics. 2024; 14(15):1613. https://doi.org/10.3390/diagnostics14151613
Chicago/Turabian StyleBucsan, Radu, Ruxandra Coroleucă, Gerhard Garhöfer, Alina Popa-Cherecheanu, Leopold Schmetterer, and Raluca Iancu. 2024. "Confocal Microscopy of the Cornea in Aqueous-Deficient Dry Eye Disease—A Literature Review" Diagnostics 14, no. 15: 1613. https://doi.org/10.3390/diagnostics14151613
APA StyleBucsan, R., Coroleucă, R., Garhöfer, G., Popa-Cherecheanu, A., Schmetterer, L., & Iancu, R. (2024). Confocal Microscopy of the Cornea in Aqueous-Deficient Dry Eye Disease—A Literature Review. Diagnostics, 14(15), 1613. https://doi.org/10.3390/diagnostics14151613

