The INVISION Talar Component in Revision Total Ankle Arthroplasty: Analysis of Early Outcomes
Abstract
1. Introduction
2. Materials and Methods
2.1. Study Design
2.2. Data Variables
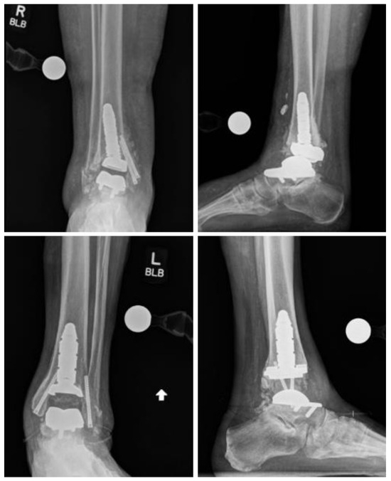
2.3. Radiographic Outcomes
2.4. Complications
2.5. Statistical Analysis
3. Results
3.1. Cohort Characteristics
3.2. Radiographic Outcomes
3.3. Complications
4. Discussion
5. Conclusions
Author Contributions
Funding
Institutional Review Board Statement
Informed Consent Statement
Data Availability Statement
Conflicts of Interest
References
- Karzon, A.L.; Kadakia, R.J.; Coleman, M.M.; Bariteau, J.T.; Labib, S.A. The Rise of Total Ankle Arthroplasty Use: A Database Analysis Describing Case Volumes and Incidence Trends in the United States Between 2009 and 2019. Foot Ankle Int. 2022, 43, 1501–1510. [Google Scholar] [CrossRef]
- Glazebrook, M.; Daniels, T.; Younger, A.; Foote, C.J.; Penner, M.; Wing, K.; Lau, J.; Leighton, R.; Dunbar, M. Comparison of health-related quality of life between patients with end-stage ankle and hip arthrosis. J. Bone Jt. Surg. 2008, 90, 499–505. [Google Scholar] [CrossRef]
- Singh, J.A.; Ramachandran, R. Time trends in total ankle arthroplasty in the USA: A study of the National Inpatient Sample. Clin. Rheumatol. 2016, 35, 239–245. [Google Scholar] [CrossRef] [PubMed]
- Shah, J.A.; Schwartz, A.M.; Farley, K.X.; Mahmoud, K.; Attia, A.K.; Labib, S.; Kadakia, R.J. Projections and Epidemiology of Total Ankle and Revision Total Ankle Arthroplasty in the United States to 2030. Foot Ankle Spec. 2022, 19386400221109420. [Google Scholar]
- Law, T.Y.; Sabeh, K.G.; Rosas, S.; Hubbard, Z.; Altajar, S.; Roche, M.W. Trends in total ankle arthroplasty and revisions in the Medicare database. Ann. Transl. Med. 2018, 6, 112. [Google Scholar] [CrossRef] [PubMed]
- Vakhshori, V.; Sabour, A.F.; Alluri, R.K.; Hatch, G.F.; Tan, E.W. Patient and Practice Trends in Total Ankle Replacement and Tibiotalar Arthrodesis in the United States From 2007 to 2013. J. Am. Acad. Orthop. Surg. 2019, 27, e77–e84. [Google Scholar] [CrossRef]
- Cody, E.A.; Scott, D.J.; Easley, M.E. Total Ankle Arthroplasty: A Critical Analysis Review. JBJS Rev. 2018, 6, e8. [Google Scholar] [CrossRef]
- Egglestone, A.; Kakwani, R.; Aradhyula, M.; Kingman, A.; Townshend, D. Outcomes of revision surgery for failed total ankle replacement: Revision arthroplasty versus arthrodesis. Int. Orthop. 2020, 44, 2727–2734. [Google Scholar] [CrossRef] [PubMed]
- Pfahl, K.; Röser, A.; Eder, J.; Gottschalk, O.; Hörterer, H.; Mehlhorn, A.; Walther, M. Outcomes of Salvage Procedures for Failed Total Ankle Arthroplasty. Foot Ankle Int. 2023, 44, 262–269. [Google Scholar] [CrossRef]
- Haddad, S.L.; Coetzee, J.C.; Estok, R.; Fahrbach, K.; Banel, D.; Nalysnyk, L. Intermediate and Long-Term Outcomes of Total Ankle Arthroplasty and Ankle Arthrodesis: A Systematic Review of the Literature. JBJS 2007, 89, 1899. [Google Scholar] [CrossRef]
- Kim, H.J.; Suh, D.H.; Yang, J.H.; Lee, J.W.; Kim, H.J.; Ahn, H.S.; Han, S.W.; Choi, G.W. Total ankle arthroplasty versus ankle arthrodesis for the treatment of end-stage ankle arthritis: A meta-analysis of comparative studies. Int. Orthop. 2017, 41, 101–109. [Google Scholar] [CrossRef]
- Easley, M.E.; Adams, S.B.; Hembree, W.C.; DeOrio, J.K. Results of total ankle arthroplasty. J. Bone Jt. Surg. 2011, 93, 1455–1468. [Google Scholar] [CrossRef] [PubMed]
- Roukis, T.S.; Simonson, D.C. Incidence of Complications During Initial Experience with Revision of the Agility and Agility LP Total Ankle Replacement Systems: A Single Surgeon’s Learning Curve Experience. Clin. Podiatr. Med. Surg. 2015, 32, 569–593. [Google Scholar] [CrossRef] [PubMed]
- Horisberger, M.; Henninger, H.B.; Valderrabano, V.; Barg, A. Bone augmentation for revision total ankle arthroplasty with large bone defects. Acta Orthop. 2015, 86, 412–414. [Google Scholar] [CrossRef] [PubMed]
- Ellington, J.K.; Gupta, S.; Myerson, M.S. Management of failures of total ankle replacement with the agility total ankle arthroplasty. J. Bone Jt. Surg. 2013, 95, 2112–2118. [Google Scholar] [CrossRef] [PubMed]
- Goldberg, A.J.; Chowdhury, K.; Bordea, E.; Hauptmannova, I.; Blackstone, J.; Brooking, D.; Deane, E.L.; Bendall, S.; Bing, A.; Blundell, C.; et al. Total Ankle Replacement Versus Arthrodesis for End-Stage Ankle Osteoarthritis. Ann. Intern. Med. 2022, 175, 1648–1657. [Google Scholar] [CrossRef] [PubMed]
- Li, T.; Zhao, L.; Liu, Y.; Huang, L.; Zhu, J.; Xiong, J.; Pang, J.; Qin, L.; Huang, Z.; Xu, Y.; et al. Total ankle replacement versus ankle fusion for end-stage ankle arthritis: A meta-analysis. J. Orthop. Surg. 2024, 32, 10225536241244825. [Google Scholar] [CrossRef] [PubMed]
- Samaila, E.M.; Bissoli, A.; Argentini, E.; Negri, S.; Colò, G.; Magnan, B. Total ankle replacement in young patients. Acta Biomed. 2020, 91, 31–35. [Google Scholar] [CrossRef] [PubMed]
- Varrall, R.; Singh, A.; Ramaskandhan, J.; Siddique, M.S. Too Young for an Ankle Replacement? Does the Age of a Patient Impact on Outcome Following Total Ankle Replacement. Orthop. Proc. 2014, 96 (Suppl. S2), 35. [Google Scholar]
- Gagne, O.J.; Day, J.; Kim, J.; Caolo, K.; O’Malley, M.J.; Deland, J.T.; Ellis, S.J.; Demetracopoulos, C.A. Midterm Survivorship of the INBONE II Total Ankle Arthroplasty. Foot Ankle Int. 2022, 43, 628–636. [Google Scholar] [CrossRef]
- Loewy, E.; Conti, M.S.; Jones, C.P.; Cohen, B.E.; Anderson, R.B.; Irwin, T.A.; Davis, W.H. Midterm Outcomes of the INBONETM II Total Ankle Arthroplasty. J. Foot Ankle Surg. 2023, 62, 651–656. [Google Scholar] [CrossRef] [PubMed]
- Kim, B.S.; Choi, W.J.; Kim, Y.S.; Lee, J.W. Total ankle replacement in moderate to severe varus deformity of the ankle. J. Bone Jt. Surg. Br. 2009, 91, 1183–1190. [Google Scholar] [CrossRef] [PubMed]
- Goldberg, A.J.; Sharp, R.J.; Cooke, P. Ankle replacement: Current practice of foot & ankle surgeons in the United kingdom. Foot Ankle Int. 2009, 30, 950–954. [Google Scholar] [PubMed]
- Jamjoom, B.A.; Siddiqui, B.M.; Salem, H.; Raglan, M.; Dhar, S. Clinical and Radiographic Outcomes of Revision Total Ankle Arthroplasty Using the INBONE II Prosthesis. J. Bone Jt. Surg. 2022, 104, 1554–1562. [Google Scholar] [CrossRef] [PubMed]
- Labek, G.; Klaus, H.; Schlichtherle, R.; Williams, A.; Agreiter, M. Revision rates after total ankle arthroplasty in sample-based clinical studies and national registries. Foot Ankle Int. 2011, 32, 740–745. [Google Scholar] [CrossRef] [PubMed]
- Labek, G.; Thaler, M.; Janda, W.; Agreiter, M.; Stöckl, B. Revision rates after total joint replacement: Cumulative results from worldwide joint register datasets. J. Bone Jt. Surg. Br. 2011, 93, 293–297. [Google Scholar] [CrossRef] [PubMed]
- Hintermann, B.; Zwicky, L.; Knupp, M.; Henninger, H.B.; Barg, A. HINTEGRA Revision Arthroplasty for Failed Total Ankle Prostheses. JBJS Essent. Surg. Tech. 2013, 3, e12. [Google Scholar] [CrossRef] [PubMed]
- Lai, W.C.; Arshi, A.; Ghorbanifarajzadeh, A.; Williams, J.R.; Soohoo, N.F. Incidence and predictors of early complications following primary and revision total ankle arthroplasty. Foot Ankle Surg. 2019, 25, 785–789. [Google Scholar] [CrossRef] [PubMed]
- Jennison, T.; Spolton-Dean, C.; Rottenburg, H.; Ukoumunne, O.; Sharpe, I.; Goldberg, A. The outcomes of revision surgery for a failed ankle arthroplasty: A systematic review and meta-analysis. Bone Jt. Open 2022, 3, 596–606. [Google Scholar] [CrossRef]
- Lachman, J.R.; Ramos, J.A.; Adams, S.B.; Nunley, J.A.; Easley, M.E.; DeOrio, J.K. Patient-Reported Outcomes before and after Primary and Revision Total Ankle Arthroplasty. Foot Ankle Int. 2019, 40, 34–41. [Google Scholar] [CrossRef]
- Kamrad, I.; Henricsson, A.; Karlsson, M.K.; Magnusson, H.; Nilsson, J.Å.; Carlsson, Å.; Rosengren, B.E. Poor prosthesis survival and function after component exchange of total ankle prostheses. Acta Orthop. 2015, 86, 407–411. [Google Scholar] [CrossRef] [PubMed]
- Lawton, C.D.; Prescott, A.; Butler, B.A.; Awender, J.F.; Selley, R.S.; Dekker, R.G., II; Balderama, E.S.; Kadakia, A.R. Modern total ankle arthroplasty versus ankle arthrodesis: A systematic review and meta-analysis. Orthop. Rev. 2020, 12, 8279. [Google Scholar] [CrossRef] [PubMed]
- Schuberth, J.M.; Christensen, J.C.; Rialson, J.A. Metal-reinforced Cement Augmentation for Complex Talar Subsidence in Failed Total Ankle Arthroplasty. J. Foot Ankle Surg. 2011, 50, 766–772. [Google Scholar] [CrossRef] [PubMed]
- DiLiberto, F.E.; Haddad, S.L.; Wilson, W.C.; Courtney, C.A.; Sara, L.K.; Vora, A.M. Total ankle arthroplasty: Strength, pain, and motion. Clin. Biomech. 2021, 84, 105342. [Google Scholar] [CrossRef] [PubMed]
- DiLiberto, F.E.; Aslan, D.H.; Houck, J.R.; Ho, B.S.; Vora, A.M.; Haddad, S.L. Overall Health and the Influence of Physical Therapy on Physical Function Following Total Ankle Arthroplasty. Foot Ankle Int. 2020, 41, 1383–1390. [Google Scholar] [CrossRef] [PubMed]
- Bullock, G.S.; Garrigues, G.E.; Ledbetter, L.; Kennedy, J. A Systematic Review of Proposed Rehabilitation Guidelines Following Anatomic and Reverse Shoulder Arthroplasty. J. Orthop. Sports Phys. Ther. 2019, 49, 337–346. [Google Scholar] [CrossRef]
- Masaracchio, M.; Hanney, W.J.; Liu, X.; Kolber, M.; Kirker, K. Timing of rehabilitation on length of stay and cost in patients with hip or knee joint arthroplasty: A systematic review with meta-analysis. PLoS ONE 2017, 12, e0178295. [Google Scholar] [CrossRef]
- Krysa, J.A.; Ho, C.; O’Connell, P.; Pohar Manhas, K. Clinical practice recommendations for prehabilitation and post-operative rehabilitation for arthroplasty: A scoping review. Musculoskelet. Care 2022, 20, 503–515. [Google Scholar] [CrossRef] [PubMed]
- Fortier, L.M.; Rockov, Z.A.; Chen, A.F.; Rajaee, S.S. Activity Recommendations after Total Hip and Total Knee Arthroplasty. J. Bone Jt. Surg. 2021, 103, 446–455. [Google Scholar] [CrossRef]
- Calatayud, J.; Casaña, J.; Ezzatvar, Y.; Jakobsen, M.D.; Sundstrup, E.; Andersen, L.L. High-intensity preoperative training improves physical and functional recovery in the early post-operative periods after total knee arthroplasty: A randomized controlled trial. Knee Surg. Sports Traumatol. Arthrosc. 2017, 25, 2864–2872. [Google Scholar] [CrossRef]
- Ginnetti, J.G.; O’Connor, M.I.; Chen, A.F.; Myers, T.G. Total Joint Arthroplasty Training (Prehabilitation and Rehabilitation) in Lower Extremity Arthroplasty. J. Am. Acad. Orthop. Surg. 2022, 30, e799–e807. [Google Scholar] [CrossRef] [PubMed]
- Queen, R.M.; Schmitt, D. Reflections on Presurgical and Postsurgical Gait Mechanics after 50 Years of Total Ankle Arthroplasty and Perspectives on the Next Decade of Advancement. Foot Ankle Clin. 2023, 28, 99–113. [Google Scholar] [CrossRef] [PubMed]


| Factor | Study Group (n = 28) |
|---|---|
| Gender, n | 18 Female, 10 Male |
| Age at primary, mean (sd) | 60.68 (7.06) |
| Age at revision, mean (sd) | 67.07 (7.23) |
| BMI, mean (sd) | 30.84 (6.56) |
| Smoking status, n (%) | |
| Current smoker | 1 (3.6) |
| Never a smoker | 15 (53.6) |
| Previous smoker | 12 (42.9) |
| Rheumatoid arthritis, n (%) | 4 (14.3) |
| Chronic immunosuppression, n (%) | 5 (17.9) |
| Preoperative depression, n (%) | 11 (39.3) |
| Preoperative anxiety, n (%) | 6 (21.4) |
| Preoperative SSRI use, n (%) | 15 (53.6) |
| Preoperative gabapentin use, n (%) | 7 (25.0) |
| Preoperative narcotic use, n (%) | 9 (32.1) |
| Preoperative bisphosphonate use, n (%) | 3 (10.7) |
| Preoperative other osteoporosis medication use, n (%) | 28 (100.0) |
| Preoperative calcium/vitamin D use, n (%) | 19 (67.9) |
| Preoperative implant, n (%) | |
| Agility | 1 (3.6) |
| InBone I | 1 (3.6) |
| InBone II | 3 (10.7) |
| INFINITY | 3 (10.7) |
| Salto Talaris | 1 (3.6) |
| STAR | 9 (32.1) |
| Vantage | 9 (32.1) |
| ZTM | 1 (3.6) |
| Laboratory Test | Value |
|---|---|
| Preoperative Hgb, mean (sd) | 13.50 (2.03) |
| Preoperative vitamin D, mean (sd) | 49.12 (24.89) |
| Preoperative CRP, mean (sd) | 0.56 (0.30) |
| Preoperative ESR, mean (sd) | 19.25 (16.46) |
| Preoperative WBC, mean (sd) | 7.55 (1.69) |
| Preoperative WBC Aspirate, mean | 280 |
| Preoperative A1c, mean (sd) | 6.03 (0.96) |
| Procedures | Study Group (n = 28) |
|---|---|
| Deltoid release, n (%) | 8 (28.6) |
| Lateral ligament repair with suture anchor, n (%) | 3 (10.7) |
| Medial malleolus fixation, n (%) | 22 (78.6) |
| Subtalar fusion, n (%) | 3 (10.7) |
| Talonavicular fusion, n (%) | 1 (3.6) |
| Cotton osteotomy, n (%) | 1 (3.6) |
| Gastrocnemius recession, n (%) | 14 (50.0) |
| Tourniquet time (h), mean (sd) | 2.75 (0.53) |
| Radiographic Measures | Preoperative Radiograph | Immediate Postoperative Radiograph | Final Preoperative Radiograph |
|---|---|---|---|
| Tibia deg, mean (sd) | |||
| Varus | 4.07 (3.06) | 1.75 (2.44) | 1.67 (2.16) |
| Valgus | 3.67 (4.36) | 2.40 (3.75) | 2.00 (3.48) |
| Talus deg, mean (sd) | |||
| Varus | 4.83 (6.68) | 1.08 (2.18) | 1.23 (2.45) |
| Valgus | 4.22 (4.21) | 2.68 (4.21) | 2.32 (3.93) |
| Outcome | Total, n (%) |
|---|---|
| Any complication | 11 (39.3) |
| Major complication | 4 (14.3) |
| Infection | 3 (10.7) |
| Asymptomatic peri-implant lucency | 1 (3.4) |
| Minor complication | 7 (25.0) |
| Tibial nerve injury | 2 (7.1) |
| Impingement | 1 (3.4) |
| Poor wound healing | 1 (3.4) |
| Subtalar joint non-union | 1 (3.4) |
| Interval collapse (talar component) | 1 (3.4) |
| Subsidence (talar component) | 1 (3.4) |
| Revision | 3 (10.7) |
| Total ankle arthroplasty | 1 (3.4) |
| Below-the-knee amputation | 1 (3.4) |
| Implantation of an antibiotic spacer | 1 (3.4) |
Disclaimer/Publisher’s Note: The statements, opinions and data contained in all publications are solely those of the individual author(s) and contributor(s) and not of MDPI and/or the editor(s). MDPI and/or the editor(s) disclaim responsibility for any injury to people or property resulting from any ideas, methods, instructions or products referred to in the content. |
© 2024 by the authors. Licensee MDPI, Basel, Switzerland. This article is an open access article distributed under the terms and conditions of the Creative Commons Attribution (CC BY) license (https://creativecommons.org/licenses/by/4.0/).
Share and Cite
Valan, B.; Anastasio, A.T.; Kim, B.; Krez, A.; Wu, K.A.; Talaski, G.M.; Nunley, J.; DeOrio, J.K.; Easley, M.E.; Adams, S.B. The INVISION Talar Component in Revision Total Ankle Arthroplasty: Analysis of Early Outcomes. Diagnostics 2024, 14, 1612. https://doi.org/10.3390/diagnostics14151612
Valan B, Anastasio AT, Kim B, Krez A, Wu KA, Talaski GM, Nunley J, DeOrio JK, Easley ME, Adams SB. The INVISION Talar Component in Revision Total Ankle Arthroplasty: Analysis of Early Outcomes. Diagnostics. 2024; 14(15):1612. https://doi.org/10.3390/diagnostics14151612
Chicago/Turabian StyleValan, Bruno, Albert T. Anastasio, Billy Kim, Alexandra Krez, Kevin A. Wu, Grayson M. Talaski, James Nunley, James K. DeOrio, Mark E. Easley, and Samuel B. Adams. 2024. "The INVISION Talar Component in Revision Total Ankle Arthroplasty: Analysis of Early Outcomes" Diagnostics 14, no. 15: 1612. https://doi.org/10.3390/diagnostics14151612
APA StyleValan, B., Anastasio, A. T., Kim, B., Krez, A., Wu, K. A., Talaski, G. M., Nunley, J., DeOrio, J. K., Easley, M. E., & Adams, S. B. (2024). The INVISION Talar Component in Revision Total Ankle Arthroplasty: Analysis of Early Outcomes. Diagnostics, 14(15), 1612. https://doi.org/10.3390/diagnostics14151612

