Early Diagnosis and Treatment of Mandibular Second Premolar Impaction: A Case Report
Abstract
1. Introduction
2. Case Report
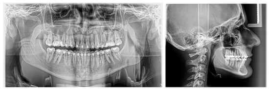
2.1. Examination, Diagnostics, and Initial Therapeutic Management
2.2. Treatment Plan
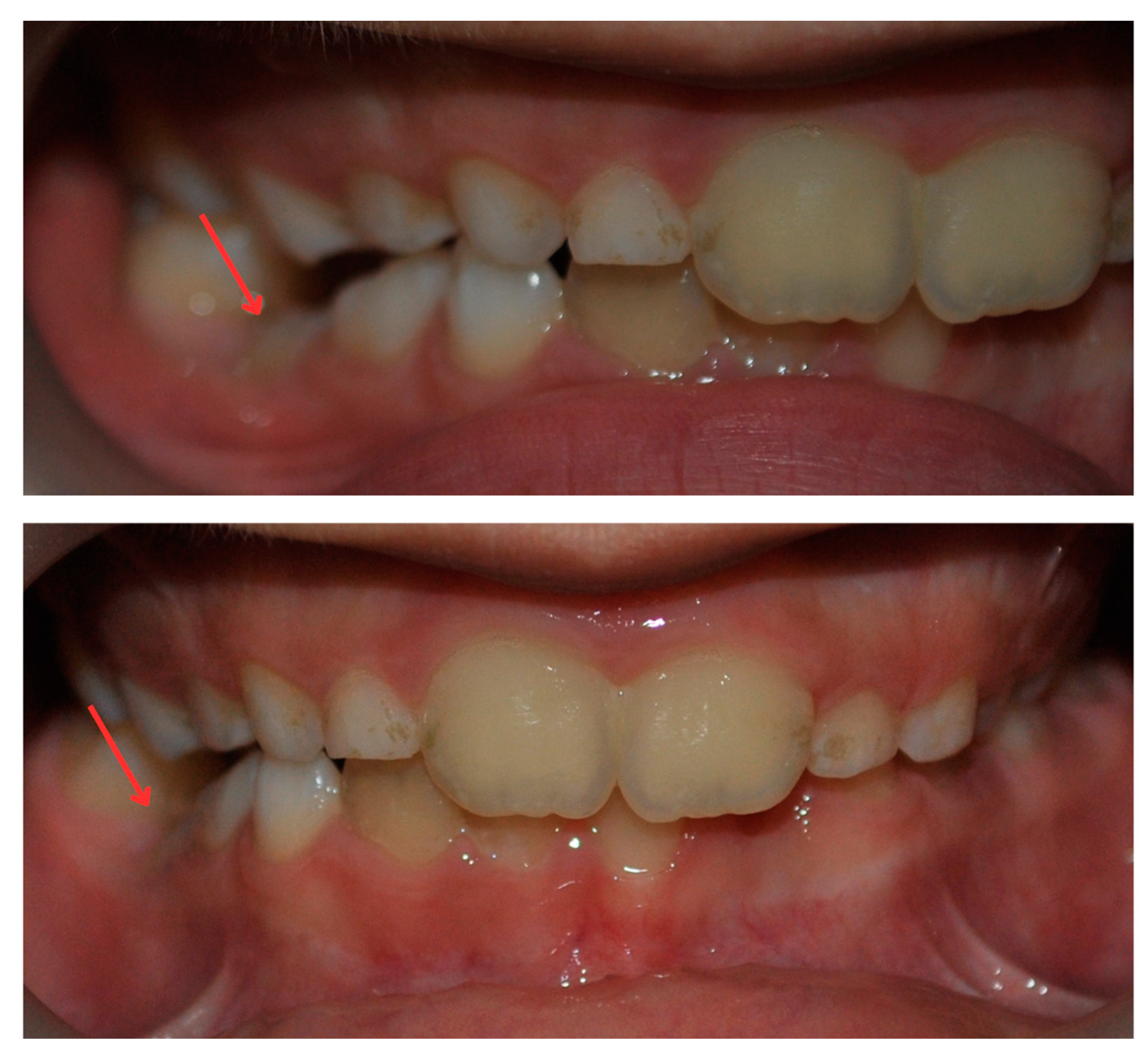
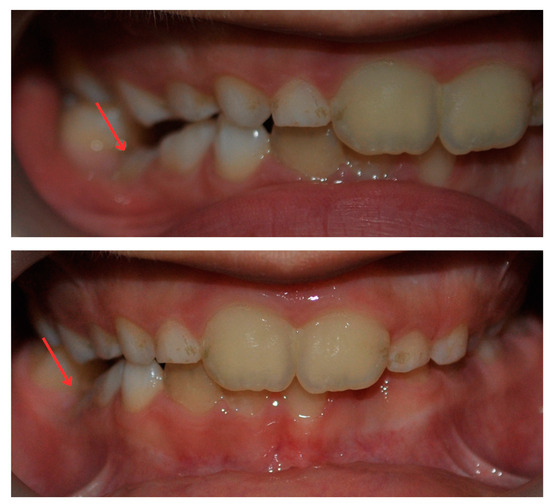
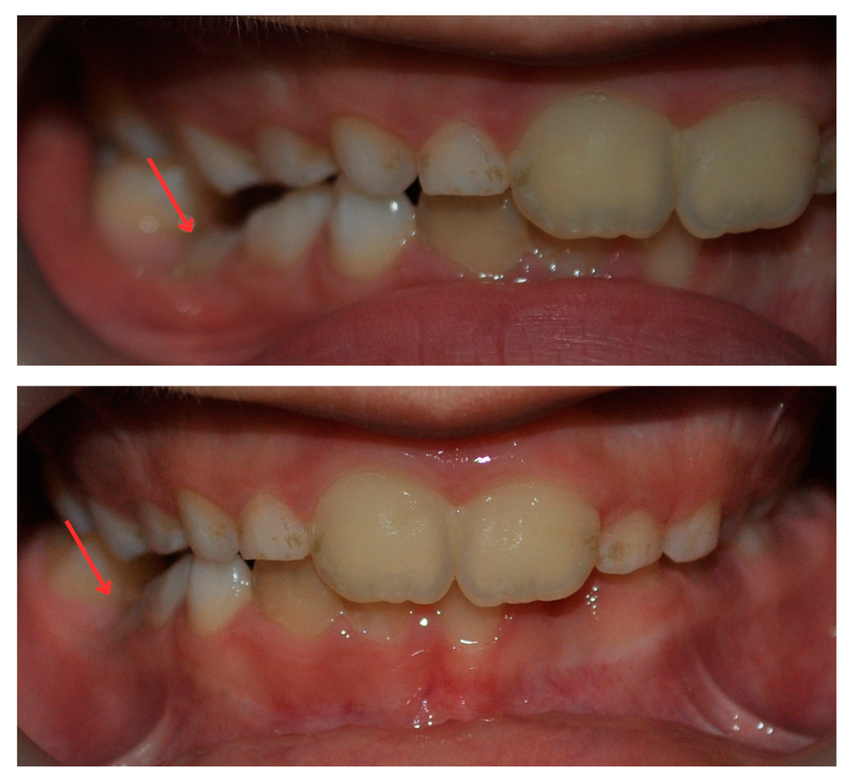
2.3. Treatment Progress
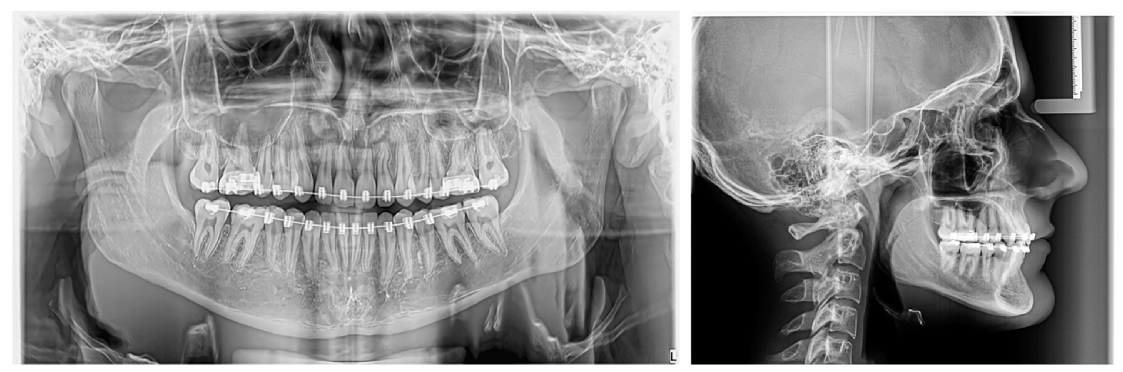
2.4. Treatment Outcome
3. Discussion
4. Conclusions
Author Contributions
Funding
Institutional Review Board Statement
Informed Consent Statement
Data Availability Statement
Conflicts of Interest
References
- Thesleff, I. Current understanding of the process of tooth formation: Transfer from the laboratory to the clinic. Aust. Dent. J. 2014, 59 (Suppl. S1), 48–54. [Google Scholar] [CrossRef]
- Hovorakova, M.; Lesot, H.; Peterka, M.; Peterkova, R. Early development of the human dentition revisited. J. Anat. 2018, 233, 135–145. [Google Scholar] [CrossRef]
- Roulias, P.; Kalantzis, N.; Doukaki, D.; Pachiou, A.; Karamesinis, K.; Damanakis, G.; Gizani, S.; Tsolakis, A.I. Teeth Eruption Disorders: A Critical Review. Children 2022, 9, 771. [Google Scholar] [CrossRef]
- Almonaitiene, R.; Balciuniene, I.; Tutkuviene, J. Factors influencing permanent teeth eruption. Part one—General factors. Stomatologija 2010, 12, 67–72. [Google Scholar] [PubMed]
- Hummel, B.; Yu, Q.; Frazier, J.; Ballard, R.W.; Johnson, J.T.; Armbruster, P.C. The prevalence of developmental dental and eruption anomalies assessed using panoramic radiographs: A retrospective study. Gen. Dent. 2023, 71, 19–23. [Google Scholar] [PubMed]
- Brook, A.H.; Jernvall, J.; Smith, R.N.; Hughes, T.E.; Townsend, G.C. The dentition: The outcomes of morphogenesis leading to variations of tooth number, size and shape. Aust. Dent. J. 2014, 59 (Suppl. S1), 131–142. [Google Scholar] [CrossRef]
- Pallikaraki, G.; Sifakakis, I.; Gizani, S.; Makou, M.; Mitsea, A. Developmental dental anomalies assessed by panoramic radiographs in a Greek orthodontic population sample. Eur. Arch. Paediatr. Dent. 2020, 21, 223–228. [Google Scholar] [CrossRef]
- Kaczor-Urbanowicz, K.; Zadurska, M.; Czochrowska, E. Impacted Teeth: An Interdisciplinary Perspective. Adv. Clin. Exp. Med. 2016, 25, 575–585. [Google Scholar] [CrossRef]
- Salam, S.; Bary, A.; Sayed, A. Prevalence of Impacted Teeth and Pattern of Third Molar Impaction among Kerala Population a Cross Sectional Study. J. Pharm. Bioallied Sci. 2023, 15 (Suppl. S1), S354–S357. [Google Scholar] [CrossRef] [PubMed]
- Chu, F.C.; Li, T.K.; Lui, V.K.; Newsome, P.R.; Chow, R.L.; Cheung, L.K. Prevalence of impacted teeth and associated pathologies—A radiographic study of the Hong Kong Chinese population. Hong Kong Med. J. 2003, 9, 158–163. [Google Scholar]
- Martin, B.; Ployzois, I.; Philipos, S. Case report: Management of an impacted second premolar. J. Ir. Dent. Assoc. 2019, 65, 95–98. [Google Scholar] [CrossRef]
- Al-Abdallah, M.; Al Hadidi, A.; Hammad, M.; Dar-Odeh, N. What factors affect the severity of permanent tooth impaction? BMC Oral Health 2018, 18, 184. [Google Scholar] [CrossRef] [PubMed]
- Siotou, K.; Kouskouki, M.P.; Christopoulou, I.; Tsolakis, A.I.; Tsolakis, I.A. Frequency and Local Etiological Factors of Impaction of Permanent Teeth among 1400 Patients in a Greek Population. Dent. J. 2022, 10, 150. [Google Scholar] [CrossRef] [PubMed]
- Reddy, G.S.; Chalapathi, K.V.; Reddy, D.S.; Rana, S.; Kalyan, M.; Kartheeki, B.; Nayyar, A.S. Multiple impacted permanent teeth, an indicator for early detection of hypoparathyroidism: A rare case report. J. Fam. Med. Prim. Care 2018, 7, 1096–1099. [Google Scholar] [CrossRef]
- Venza, N.; Danesi, C.; Cretella Lombardo, E.; Gazzani, F. Infraocclusion of deciduous molars: A retrospective analysis of prevalence, characteristics and association with other dental anomalies. Oral Implant. 2018, 11, 1–9. [Google Scholar]
- Arhakis, A.; Boutiou, E. Etiology, Diagnosis, Consequences and Treatment of Infraoccluded Primary Molars. Open Dent. J. 2016, 10, 714–719. [Google Scholar] [CrossRef] [PubMed]
- Parisay, I.; Kebriaei, F.; Varkesh, B.; Soruri, M.; Ghafourifard, R. Management of a severely submerged primary molar: A case report. Case Rep. Dent. 2013, 2013, 796242. [Google Scholar] [CrossRef] [PubMed]
- Rajanikanth, K.; Bhola, N.; Shukla, D. Concurrent Impaction of the Mandibular Primary Second Molar and Second Premolar in Close Approximation to the Mental Nerve: A Case Report. Cureus 2024, 16, e57934. [Google Scholar] [CrossRef]
- Grybienė, V.; Juozėnaitė, D.; Kubiliūtė, K. Diagnostic methods and treatment strategies of impacted maxillary canines: A literature review. Stomatologija 2019, 21, 3–12. [Google Scholar]
- Collett, A.R. Conservative management of lower second premolar impaction. Aust. Dent. J. 2000, 45, 279–281. [Google Scholar] [CrossRef]
- Wise, G.E.; King, G.J. Mechanisms of tooth eruption and orthodontic tooth movement. J. Dent. Res. 2008, 87, 414–434. [Google Scholar] [CrossRef] [PubMed]
- Carli, E.; Fambrini, E.; Lardani, L.; Derchi, G.; Defabianis, P. Early orthodontic treatment need in paediatric age: A prospective observational study in Italian school-children. Eur. J. Paediatr. Dent. 2023, 24, 94–98. [Google Scholar] [CrossRef] [PubMed]
- Schneider-Moser, U.E.M.; Moser, L. Very early orthodontic treatment: When, why and how? Dent. Press J. Orthod. 2022, 27, e22spe2. [Google Scholar] [CrossRef] [PubMed]
- Naoumova, J.; Kurol, J.; Kjellberg, H. Extraction of the deciduous canine as an interceptive treatment in children with palatal displaced canines-part I: Shall we extract the deciduous canine or not? Eur. J. Orthod. 2015, 37, 209–218. [Google Scholar] [CrossRef] [PubMed]
- Fekonja, A. Evaluation of the eruption of permanent teeth and their association with malocclusion. Clin. Exp. Dent. Res. 2022, 8, 836–842. [Google Scholar] [CrossRef] [PubMed]
- Eşian, D.; Bica, C.I.; Stoica, O.E.; Dako, T.; Vlasa, A.; Bud, E.S.; Salcudean, D.; Beresescu, L. Prevalence and Manifestations of Dental Ankylosis in Primary Molars Using Panoramic X-rays: A Cross-Sectional Study. Children 2022, 9, 1188. [Google Scholar] [CrossRef] [PubMed]
- Tabatabai, T.; Kjellberg, H. Effect of treatment with dental space maintainers after the early extraction of the second primary molar: A systematic review. Eur. J. Orthod. 2023, 45, 462–467. [Google Scholar] [CrossRef] [PubMed]
- Abu Hussein, M.; Watted, N.; Emodi, O. Management of lower second premolar impaction. J. Adv. Dent. Res. 2015, 1, 71–79. [Google Scholar]
- Jain, U.; Kallury, A. Conservative management of mandibular second premolar impaction. People’s J. Sci. Res. 2011; 4, 59–62. [Google Scholar]
- Sampaio Stelzenberger, A.L.; Rodrigues Lima, L.; Souza Santos, J.V.; Paraguassu Fagundes de Souza, D.; Coelho Mendes, B. Exodontia de segundo pre-molar impactado em mandibula: Relato de caso. Res. Soc. Dev. 2021, 10, e257101421939. [Google Scholar] [CrossRef]
- Şenel, S.N.; Işler, S.C.; Erdem, T.L. Unusual impaction of a mandibular second premolar: Case report. Eurasian Dent. Res. 2023, 1, 43–46. [Google Scholar]
- Baxi, S.; Tripathi, A.A.; Bhatia, V.; Prasad Dubey, M.; Kumar, P.; Bagde, H. Self-Ligating Bracket Systems: A Comprehensive Review. Cureus 2023, 15, e44834. [Google Scholar] [CrossRef] [PubMed]
- Coronel-Zubiate, F.T.; Luján-Valencia, S.A.; Meza-Málaga, J.M.; Aguirre-Ipenza, R.; Echevarria-Goche, A.; Luján-Urviola, E.; Arbildo-Vega, H. Effect of conventional and self-ligating brackets on periodontal health. Systematic review and meta-analysis. J. Clin. Exp. Dent. 2024, 16, e358–e366. [Google Scholar] [CrossRef] [PubMed]
- Abdelkarim, A. Cone-Beam Computed Tomography in Orthodontics. Dent. J. 2019, 7, 89. [Google Scholar] [CrossRef] [PubMed]
- Kuhnisch, J.; Anttonen, V.; Duggal, M.S.; Spyridonos, M.L.; Rajasekharan, S.; Sobczak, M.; Stratigaki, E.; Van Acker, J.W.G.; Aps, J.K.M.; Horner, K.; et al. Best clinical practice guidance for prescribing dental radiographs in children and adolescents: An EAPD policy document. Eur. Arch. Paediatr. Dent. 2020, 21, 375–386. [Google Scholar] [CrossRef] [PubMed]
- Shin, H.S.; Nam, K.C.; Park, H.; Choi, H.U.; Kim, H.Y.; Park, C.S. Effective doses from panoramic radiography and CBCT (cone beam CT) using dose area product (DAP) in dentistry. Dentomaxillofac. Radiol. 2014, 43, 20130439. [Google Scholar] [CrossRef] [PubMed]
- Yang, T.W.; Lin, Y.Y.; Hsu, S.C.; Chu, K.C.W.; Hsiao, C.W.; Hsu, C.W.; Bai, C.H.; Chang, C.K.; Hsu, Y.P. Diagnostic performance of cone-beam computed tomography for scaphoid fractures: A systematic review and diagnostic meta-analysis. Sci. Rep. 2021, 11, 2587. [Google Scholar] [CrossRef]
- Moca, A.E.; Vaida, L.L.; Moca, R.T.; Țuțuianu, A.V.; Bochiș, C.F.; Bochiș, S.A.; Iovanovici, D.C.; Negruțiu, B.M. Chronological Age in Different Bone Development Stages: A Retrospective Comparative Study. Children 2021, 8, 142. [Google Scholar] [CrossRef]









| Measurement | Normal Value | End of Treatment |
|---|---|---|
| Skeletal | ||
| SNA (°) | 81.9 ± 3.0 | 81.06 |
| SNB (°) | 78.0 ± 3.0 | 79.14 |
| ANB (°) | 4.0 ± 2.0 | 1.92 |
| Wits (mm) | −2.0 ± 2.4 | 1.0 |
| SN-GoMe (°) | 36.0 ± 4.0 | 30.0 |
| Gonial angle (°) | 122.0 ± 6.0 | 124.79 |
| Dental | ||
| U1 to SN (°) | 105.0 ± 5.0 | 97.0 |
| L1 to GoMe (°) | 95.0 ± 4.0 | 90.92 |
| Soft tissue | ||
| Nasolabial angle (°) | 94.4 ± 10.3 | 114.0 |
| Upper lip to E line (mm) | 1.0 ± 2.0 | 10.0 |
| Lower lip to E line (mm) | 2.0 ± 2.0 | 9.0 |
Disclaimer/Publisher’s Note: The statements, opinions and data contained in all publications are solely those of the individual author(s) and contributor(s) and not of MDPI and/or the editor(s). MDPI and/or the editor(s) disclaim responsibility for any injury to people or property resulting from any ideas, methods, instructions or products referred to in the content. |
© 2024 by the authors. Licensee MDPI, Basel, Switzerland. This article is an open access article distributed under the terms and conditions of the Creative Commons Attribution (CC BY) license (https://creativecommons.org/licenses/by/4.0/).
Share and Cite
Janosy, A.-M.; Moca, A.E.; Juncar, R.I. Early Diagnosis and Treatment of Mandibular Second Premolar Impaction: A Case Report. Diagnostics 2024, 14, 1610. https://doi.org/10.3390/diagnostics14151610
Janosy A-M, Moca AE, Juncar RI. Early Diagnosis and Treatment of Mandibular Second Premolar Impaction: A Case Report. Diagnostics. 2024; 14(15):1610. https://doi.org/10.3390/diagnostics14151610
Chicago/Turabian StyleJanosy, Anna-Maria, Abel Emanuel Moca, and Raluca Iulia Juncar. 2024. "Early Diagnosis and Treatment of Mandibular Second Premolar Impaction: A Case Report" Diagnostics 14, no. 15: 1610. https://doi.org/10.3390/diagnostics14151610
APA StyleJanosy, A.-M., Moca, A. E., & Juncar, R. I. (2024). Early Diagnosis and Treatment of Mandibular Second Premolar Impaction: A Case Report. Diagnostics, 14(15), 1610. https://doi.org/10.3390/diagnostics14151610

