Colon Cancer Disease Diagnosis Based on Convolutional Neural Network and Fishier Mantis Optimizer
Abstract
1. Introduction
- introduction of an innovative method for categorizing colon cancer histopathological images without feature selection using PCA;
- utilization of an intelligent feature selection method with FMO algorithm to enhance the precision of colon cancer diagnosis;
- integration of AI, deep learning, and bio-inspired optimization algorithms for improved early detection and diagnosis of colon cancer;
- focus on streamlining the detection process, improving diagnostic accuracy, and ultimately enhancing patient outcomes;
- potential revolutionization of cancer diagnosis and treatment through cutting-edge technologies in medical imaging analysis.
2. Literature Review
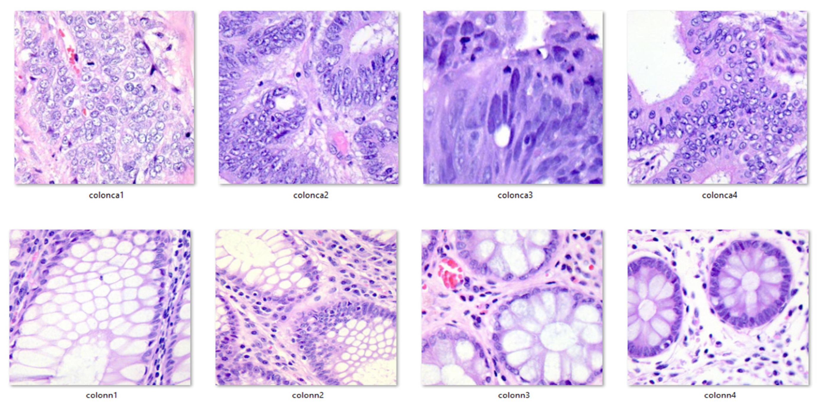
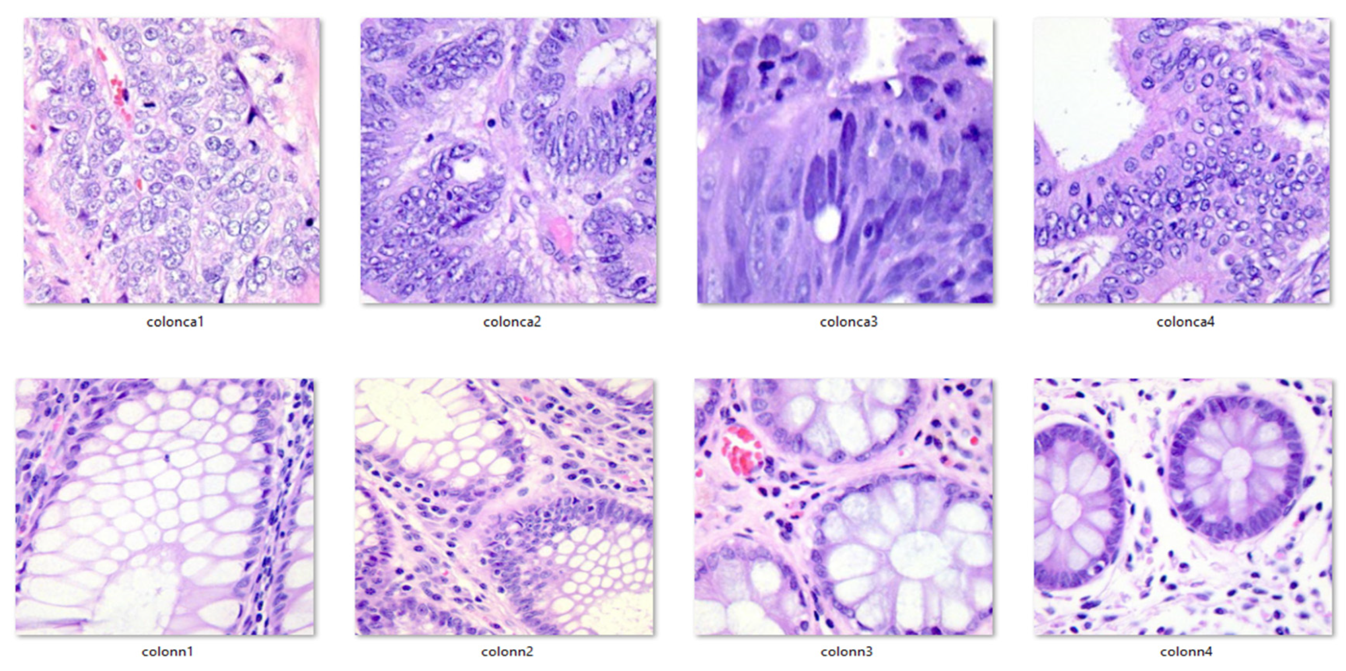
3. Material and Methods
- ▪
- The samples are pre-processed to eliminate noise and enhance image quality.
- ▪
- Feature extraction is performed using CNNs based on GoogleNet and ResNet-50.
- ▪
- Textural features of the images are extracted using CNN methods.
- ▪
- Essential features for machine learning are calculated from the images.
- ▪
- Feature selection is represented as a binary challenge with a feature vector of n dimensions.
- ▪
- The FMO algorithm is utilized for feature selection due to its superior accuracy and optimization capabilities.
- ▪
- The machine learning algorithm is trained using the optimal feature vector for classification.
- ▪
- Machine learning is employed for dimensionality reduction and classification of the images.
- ▪
- The proposed method is evaluated using testing data to assess its performance in distinguishing between cancer and non-cancer colon images. Overall, the proposed method integrates traditional data preprocessing techniques with innovative feature selection using the FMO algorithm and CNN training to enhance the accuracy and reliability of colon cancer diagnosis. The proposed methodology’s framework for the diagnosis of patients with colon cancer is shown in Figure 1. The visual representation of the model conceptual framework in Figure 2 illustrates the seamless integration of these components, highlighting the novel approach taken in this research.
- Fishier Mantis Optimizer Algorithm
- Augmentation Procedure:
- 1.
- Rotation:
- ▪
- Range: Images were rotated within a range of angles to simulate variations in orientation.
- ▪
- Angle range: [−15°, 15°].
- 2.
- Translation:
- ▪
- Shift: Images were shifted horizontally and vertically to simulate translations.
- ▪
- Shift range: [−20%, 20%] of image width and height.
- 3.
- Scaling:
- ▪
- Scale factor: Images were scaled to simulate changes in size.
- ▪
- Scale range: [0.8, 1.2].
- 4.
- Cropping:
- ▪
- Random cropping: Portions of the images were randomly cropped to simulate variations in composition.
- ▪
- Crop size: Images were cropped to a size of 700 × 700 pixels.
- 5.
- Flipping:
- ▪
- Horizontal flipping: Images were flipped horizontally to simulate mirror reflections.
- ▪
- Vertical flipping: Images were flipped vertically to introduce additional variations.
4. Results and Discussion
4.1. Classification Using Learnable Classifiers for FMO
4.2. Using Auto-Encoder with FMO for Colon Disease Dataset
4.3. Pre-Trained CNN with FMO for Colon Disease Dataset
4.4. The Advantages of This Study Can Be Summarized as Follows
4.5. The Disadvantages of This Study Can Be Summarized as Follows
5. Discussion
6. Conclusions
Author Contributions
Funding
Institutional Review Board Statement
Informed Consent Statement
Data Availability Statement
Conflicts of Interest
References
- Siegel, R.L.; Wagle, N.S.; Cercek, A.; Smith, R.A.; Jemal, A. Colorectal Cancer Statistics, 2023. CA Cancer J. Clin. 2023, 73, 233–254. [Google Scholar] [CrossRef] [PubMed]
- Joshi, R. Gender Disparities: 5 Year Survival Rates of Elderly Colorectal Cancer Patients with Depression. Ph.D. Thesis, Walden University, Minneapolis, MN, USA, 2023. [Google Scholar]
- Masud, M.; Sikder, N.; Al Nahid, A.; Bairagi, A.K.; Alzain, M.A. A Machine Learning Approach to Diagnosing Lung and Colon Cancer Using a Deep Learning-based Classification Framework. Sensors 2021, 21, 748. [Google Scholar] [CrossRef] [PubMed]
- Zhang, L.; Li, Z.; Skrzypczynska, K.M.; Fang, Q.; Zhang, W.; O’Brien, S.A.; He, Y.; Wang, L.; Zhang, Q.; Kim, A. Single-Cell Analyses Inform Mechanisms of Myeloid-Targeted Therapies in Colon Cancer. Cell 2020, 181, 442–459. [Google Scholar] [CrossRef] [PubMed]
- Gonzalez, Y.; Shen, C.; Jung, H.; Nguyen, D.; Jiang, S.B.; Albuquerque, K.; Jia, X. Semi-Automatic Sigmoid Colon Segmentation in CT for Radiation Therapy Treatment Planning via an Iterative 2.5-D Deep Learning Approach. Med. Image Anal. 2021, 68, 101896. [Google Scholar] [CrossRef] [PubMed]
- Achilli, P.; Crippa, J.; Grass, F.; Mathis, K.L.; D’Angelo, A.D.; Abd El Aziz, M.A.; Day, C.N.; Harmsen, W.S.; Larson, D.W. Survival Impact of Adjuvant Chemotherapy in Patients with Stage IIA Colon Cancer: Analysis of the National Cancer Database. Int. J. Cancer 2021, 148, 161–169. [Google Scholar] [CrossRef] [PubMed]
- Tulum, G.; Osman, O.; Bolat, B.; Dandin, Ö.; Ergin, T.; Cüce, F. Colonic Polyp Classification Using Projection Image and Convolutional Neural Network. In Proceedings of the 2019 Scientific Meeting on Electrical-Electronics & Biomedical Engineering and Computer Science (EBBT), Istanbul, Turkey, 24–26 April 2019; pp. 1–4. [Google Scholar]
- Ben Hamida, A.; Devanne, M.; Weber, J.; Truntzer, C.; Derangère, V.; Ghiringhelli, F.; Forestier, G.; Wemmert, C. Deep Learning for Colon Cancer Histopathological Images Analysis. Comput. Biol. Med. 2021, 136, 104730. [Google Scholar] [CrossRef] [PubMed]
- Talukder, M.A.; Islam, M.M.; Uddin, M.A.; Akhter, A.; Hasan, K.F.; Moni, M.A. Machine Learning-Based Lung and Colon Cancer Detection Using Deep Feature Extraction and Ensemble Learning. Expert Syst. Appl. 2022, 205, 117695. [Google Scholar] [CrossRef]
- Nazari, E.; Aghemiri, M.; Avan, A.; Mehrabian, A.; Tabesh, H. Machine Learning Approaches for Classification of Colorectal Cancer with and without Feature Selection Method on Microarray Data. Gene Rep. 2021, 25, 101419. [Google Scholar] [CrossRef]
- Ananthakrishnan, B.; Shaik, A.; Chakrabarti, S.; Shukla, V.; Paul, D.; Kavitha, M.S. Smart Diagnosis of Adenocarcinoma Using Convolution Neural Networks and Support Vector Machines. Sustainability 2023, 15, 1399. [Google Scholar] [CrossRef]
- Chahal, P.K.; Pandey, S. A Hybrid Weighted Fuzzy Approach for Brain Tumor Segmentation Using MR Images. Neural Comput. Appl. 2023, 35, 23877–23891. [Google Scholar] [CrossRef]
- Kour, H.; Manhas, J.; Sharma, V. Usage and Implementation of Neuro-Fuzzy Systems for Classification and Prediction in the Diagnosis of Different Types of Medical Disorders: A Decade Review. Artif. Intell. Rev. 2020, 53, 4651–4706. [Google Scholar] [CrossRef]
- Al Shalchi, N.F.A.; Rahebi, J. Human Retinal Optic Disc Detection with Grasshopper Optimization Algorithm. Multimed. Tools Appl. 2022, 81, 24937–24955. [Google Scholar] [CrossRef]
- Alshakree, F.; Akbas, A.; Rahebi, J. Human Identification Using Palm Print Images Based on Deep Learning Methods and Gray Wolf Optimization Algorithm. Signal Image Video Process. 2024, 18, 961–973. [Google Scholar] [CrossRef]
- Yaghoubi, E.; Yaghoubi, E.; Khamees, A.; Vakili, A.H. A Systematic Review and Meta-Analysis of Artificial Neural Network, Machine Learning, Deep Learning, and Ensemble Learning Approaches in Field of Geotechnical Engineering. Neural Comput. Appl. 2024, 1–45. [Google Scholar] [CrossRef]
- Yusupov, Z.; Yaghoubi, E.; Yaghoubi, E. Controlling and Tracking the Maximum Active Power Point in a Photovoltaic System Connected to the Grid Using the Fuzzy Neural Controller. In Proceedings of the 2023 14th International Conference on Electrical and Electronics Engineering (ELECO), Bursa, Turkey, 30 November–2 December 2023; pp. 1–5. [Google Scholar]
- Yaghoubi, A.; Khazaei, M.; Avan, A.; Hasanian, S.M.; Soleimanpour, S. The Bacterial Instrument as a Promising Therapy for Colon Cancer. Int. J. Colorectal Dis. 2020, 35, 595–606. [Google Scholar] [CrossRef]
- Kanth, P.; Inadomi, J.M. Screening and Prevention of Colorectal Cancer. BMJ 2021, 374, n1855. [Google Scholar] [CrossRef]
- Gao, F. Integrated Positron Emission Tomography/Magnetic Resonance Imaging in Clinical Diagnosis of Alzheimer’s Disease. Eur. J. Radiol. 2021, 145, 110017. [Google Scholar] [CrossRef]
- Fitzgerald, R.C.; Antoniou, A.C.; Fruk, L.; Rosenfeld, N. The Future of Early Cancer Detection. Nat. Med. 2022, 28, 666–677. [Google Scholar] [CrossRef]
- Tharwat, M.; Sakr, N.A.; El-Sappagh, S.; Soliman, H.; Kwak, K.-S.; Elmogy, M. Colon Cancer Diagnosis Based on Machine Learning and Deep Learning: Modalities and Analysis Techniques. Sensors 2022, 22, 9250. [Google Scholar] [CrossRef]
- Lewandowska, A.; Rudzki, G.; Lewandowski, T.; Stryjkowska-Gora, A.; Rudzki, S. Risk Factors for the Diagnosis of Colorectal Cancer. Cancer Control 2022, 29, 10732748211056692. [Google Scholar] [CrossRef] [PubMed]
- Galeș, L.N.; Păun, M.-A.; Anghel, R.M.; Trifănescu, O.G. Cancer Screening: Present Recommendations, the Development of Multi-Cancer Early Development Tests, and the Prospect of Universal Cancer Screening. Cancers 2024, 16, 1191. [Google Scholar] [CrossRef]
- Alboaneen, D.; Alqarni, R.; Alqahtani, S.; Alrashidi, M.; Alhuda, R.; Alyahyan, E.; Alshammari, T. Predicting Colorectal Cancer Using Machine and Deep Learning Algorithms: Challenges and Opportunities. Big Data Cogn. Comput. 2023, 7, 74. [Google Scholar] [CrossRef]
- Zhang, R.; Zheng, Y.; Mak, T.W.C.; Yu, R.; Wong, S.H.; Lau, J.Y.W.; Poon, C.C.Y. Automatic Detection and Classification of Colorectal Polyps by Transferring Low-Level CNN Features from Nonmedical Domain. IEEE J. Biomed. Health Inform. 2016, 21, 41–47. [Google Scholar] [CrossRef]
- Nisha, J.S.; Gopi, V.P.; Palanisamy, P. Automated Colorectal Polyp Detection Based on Image Enhancement and Dual-Path CNN Architecture. Biomed. Signal Process. Control 2022, 73, 103465. [Google Scholar] [CrossRef]
- Nanni, L.; Fantozzi, C.; Loreggia, A.; Lumini, A. Ensembles of Convolutional Neural Networks and Transformers for Polyp Segmentation. Sensors 2023, 23, 4688. [Google Scholar] [CrossRef]
- Morin, O.; Vallières, M.; Braunstein, S.; Ginart, J.B.; Upadhaya, T.; Woodruff, H.C.; Zwanenburg, A.; Chatterjee, A.; Villanueva-Meyer, J.E.; Valdes, G. An Artificial Intelligence Framework Integrating Longitudinal Electronic Health Records with Real-World Data Enables Continuous Pan-Cancer Prognostication. Nat. Cancer 2021, 2, 709–722. [Google Scholar] [CrossRef]
- Du, Y.; Hu, L.; Wu, G.; Tang, Y.; Cai, X.; Yin, L. Diagnoses in Multiple Types of Cancer Based on Serum Raman Spectroscopy Combined with a Convolutional Neural Network: Gastric Cancer, Colon Cancer, Rectal Cancer, Lung Cancer. Spectrochim. Acta Part A Mol. Biomol. Spectrosc. 2023, 298, 122743. [Google Scholar] [CrossRef]
- Karthikeyan, A.; Jothilakshmi, S.; Suthir, S. Colorectal Cancer Detection Based on Convolutional Neural Networks (CNN) and Ranking Algorithm. Meas. Sens. 2024, 31, 100976. [Google Scholar] [CrossRef]
- Zhu, H.; Roelands, J.; Ahmed, E.I.; Stouten, I.; Hoorntje, R.; van Vlierberghe, R.L.P.; Ijsselsteijn, M.E.; Lei, X.; de Miranda, N.F.C.C.; Tollenaar, R.A.E.M. Location Matters: Spatial Dynamics of Tumor-Infiltrating T Cell Subsets Is Prognostic in Colon Cancer. Front. Immunol. 2024, 15, 1293618. [Google Scholar] [CrossRef]
- Shin, Y.; Balasingham, I. Comparison of Hand-Craft Feature Based SVM and CNN Based Deep Learning Framework for Automatic Polyp Classification. In Proceedings of the 2017 39th Annual International Conference of the IEEE Engineering in Medicine and Biology Society (EMBC), Jeju Island, Republic of Korea, 11–15 July 2017; pp. 3277–3280. [Google Scholar]
- Stidham, R.W.; Liu, W.; Bishu, S.; Rice, M.D.; Higgins, P.D.R.; Zhu, J.; Nallamothu, B.K.; Waljee, A.K. Performance of a Deep Learning Model vs. Human Reviewers in Grading Endoscopic Disease Severity of Patients with Ulcerative Colitis. JAMA Netw. Open 2019, 2, e193963. [Google Scholar] [CrossRef]
- Poudel, S.; Kim, Y.J.; Vo, D.M.; Lee, S.-W. Colorectal Disease Classification Using Efficiently Scaled Dilation in Convolutional Neural Network. IEEE Access 2020, 8, 99227–99238. [Google Scholar] [CrossRef]







| Aims | Advantages | Disadvantages | Results | Ref |
|---|---|---|---|---|
|
|
| The proposed algorithm demonstrated comparable precision but superior recall rate and accuracy compared to visual inspection by endoscopists. Outperforming prior state-of-the-art methods with minimal preprocessing, the algorithm proved effective in assisting endoscopists in identifying overlooked adenomatous polyps. These encouraging outcomes suggest that the proposed method holds promise for enhancing the early detection and diagnosis of colorectal cancer, ultimately leading to improved patient outcomes. | [26] |
|
|
| The DP-CNN model achieves high accuracy in detecting polyps, with recall rates of 99.20% and 92.85%, precision rates of 100% and 89.81%, F1-Scores of 99.60% and 91.00%, and F2-Scores of 99.83% and 89.91% on the CVC ColonDB and ETIS-Larib databases, respectively. Comparative analysis reveals superior performance compared to existing methods, demonstrating its potential for automating polyp detection and enhancing early colorectal cancer diagnosis. | [27] |
|
|
| The devised ensembles excel across five major polyp segmentation datasets, notably outperforming leading methods on two datasets without specific fine-tuning. A novel strategy of averaging intermediate predictions significantly contributes to mitigating overfitting and refining model contributions, underscoring its pivotal role in the ensembles’ success | [28] |
|
|
| MEDomics proves its efficacy in oncology by revealing the strong association between the Framingham risk score and cancer mortality across different stages. Integration of NLP facilitates continual prognosis updates, adapting to evolving disease conditions. This framework offers a promising avenue for leveraging AI and diverse health data to enhance individual prognosis and guide clinical decision-making in oncology. | [29] |
|
|
| The integration of serum Raman spectroscopy with a CNN model achieved a notable 94.5% accuracy in diagnosing multiple cancer types. Visualization of CNN features highlighted significant differences between cancer and healthy samples, indicating potential for non-invasive cancer screening and warranting further research into its mechanisms and applicability. | [30] |
|
|
| The proposed model, employing CNN and Ranking algorithm, demonstrates superior performance in colorectal cancer diagnosis compared to existing methods, as indicated by higher Recall, Precision, and Accuracy metrics. Integration of CNN and LSTM enhances the model’s efficiency and opens avenues for potential expansion to identify various cancer types, promising advancements in medical image diagnosis frameworks. | [31] |
|
|
| Tumor-infiltrating T cell subtypes showed comparable densities, with proliferative and Granzyme B-expressing T cells located mainly within the tumor epithelium. Immune-active subtypes exhibited increased immune cell density and reduced distances between certain T cell subtypes and tumor cells, correlating with improved survival outcomes. | [32] |
| Method | ACC | TPR | TNR | PPV | NPV | F1-Scoce |
|---|---|---|---|---|---|---|
| Decision Tree | 67.80 | 67.94 | 67.94 | 68.20 | 68.20 | 67.93 |
| SVM | 68.40 | 73.83 | 73.83 | 79.80 | 79.80 | 71.63 |
| KNN | 75.35 | 77.05 | 77.05 | 78.50 | 78.50 | 76.10 |
| Ensemble | 73.00 | 74.63 | 74.63 | 76.30 | 76.30 | 73.86 |
| Naive Bayes | 66.60 | 72.74 | 72.74 | 80.10 | 80.10 | 70.57 |
| Reference | Sensitivity | Specificity | Accuracy |
|---|---|---|---|
| R. Zhang et al. [26] | 85 | 87 | 83 |
| Y. Shin and I. Balansingham [33] | 83 | 84 | 83 |
| W. Ryan et al. [34] | 89 | 89 | 89.4 |
| Poudel, S et al. [35] | 93 | 92.8 | 93.2 |
| Proposed Method | 94.87 | 96.19 | 97.65 |
| Method | Sensitivity | Specificity | Accuracy | F1Score |
|---|---|---|---|---|
| GA-CNN | 91.15% | 94.89% | 93.56% | 93.21% |
| PSO-CNN | 92.12% | 95.22% | 95.13% | 94.57% |
| ACO-CNN | 92.35% | 95.90% | 95.98% | 95.89% |
| GWO-CNN | 93.23% | 95.67% | 96.68% | 95.23% |
| FMO-CNN | 94.87% | 96.19% | 97.65% | 96.76% |
Disclaimer/Publisher’s Note: The statements, opinions and data contained in all publications are solely those of the individual author(s) and contributor(s) and not of MDPI and/or the editor(s). MDPI and/or the editor(s) disclaim responsibility for any injury to people or property resulting from any ideas, methods, instructions or products referred to in the content. |
© 2024 by the authors. Licensee MDPI, Basel, Switzerland. This article is an open access article distributed under the terms and conditions of the Creative Commons Attribution (CC BY) license (https://creativecommons.org/licenses/by/4.0/).
Share and Cite
Mohamed, A.A.A.; Hançerlioğullari, A.; Rahebi, J.; Rezaeizadeh, R.; Lopez-Guede, J.M. Colon Cancer Disease Diagnosis Based on Convolutional Neural Network and Fishier Mantis Optimizer. Diagnostics 2024, 14, 1417. https://doi.org/10.3390/diagnostics14131417
Mohamed AAA, Hançerlioğullari A, Rahebi J, Rezaeizadeh R, Lopez-Guede JM. Colon Cancer Disease Diagnosis Based on Convolutional Neural Network and Fishier Mantis Optimizer. Diagnostics. 2024; 14(13):1417. https://doi.org/10.3390/diagnostics14131417
Chicago/Turabian StyleMohamed, Amna Ali A., Aybaba Hançerlioğullari, Javad Rahebi, Rezvan Rezaeizadeh, and Jose Manuel Lopez-Guede. 2024. "Colon Cancer Disease Diagnosis Based on Convolutional Neural Network and Fishier Mantis Optimizer" Diagnostics 14, no. 13: 1417. https://doi.org/10.3390/diagnostics14131417
APA StyleMohamed, A. A. A., Hançerlioğullari, A., Rahebi, J., Rezaeizadeh, R., & Lopez-Guede, J. M. (2024). Colon Cancer Disease Diagnosis Based on Convolutional Neural Network and Fishier Mantis Optimizer. Diagnostics, 14(13), 1417. https://doi.org/10.3390/diagnostics14131417

