Lung Involvement in Pulmonary Vasculitis: A Radiological Review
Abstract
1. Introduction
2. Primary Vasculitis
2.1. Small Vessel Vasculitis
2.2. ANCA-Associated Vasculitis (AAV)
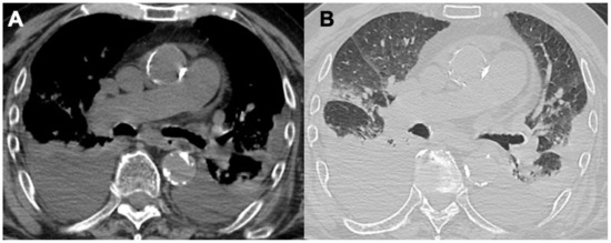
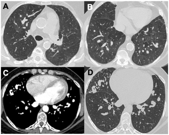
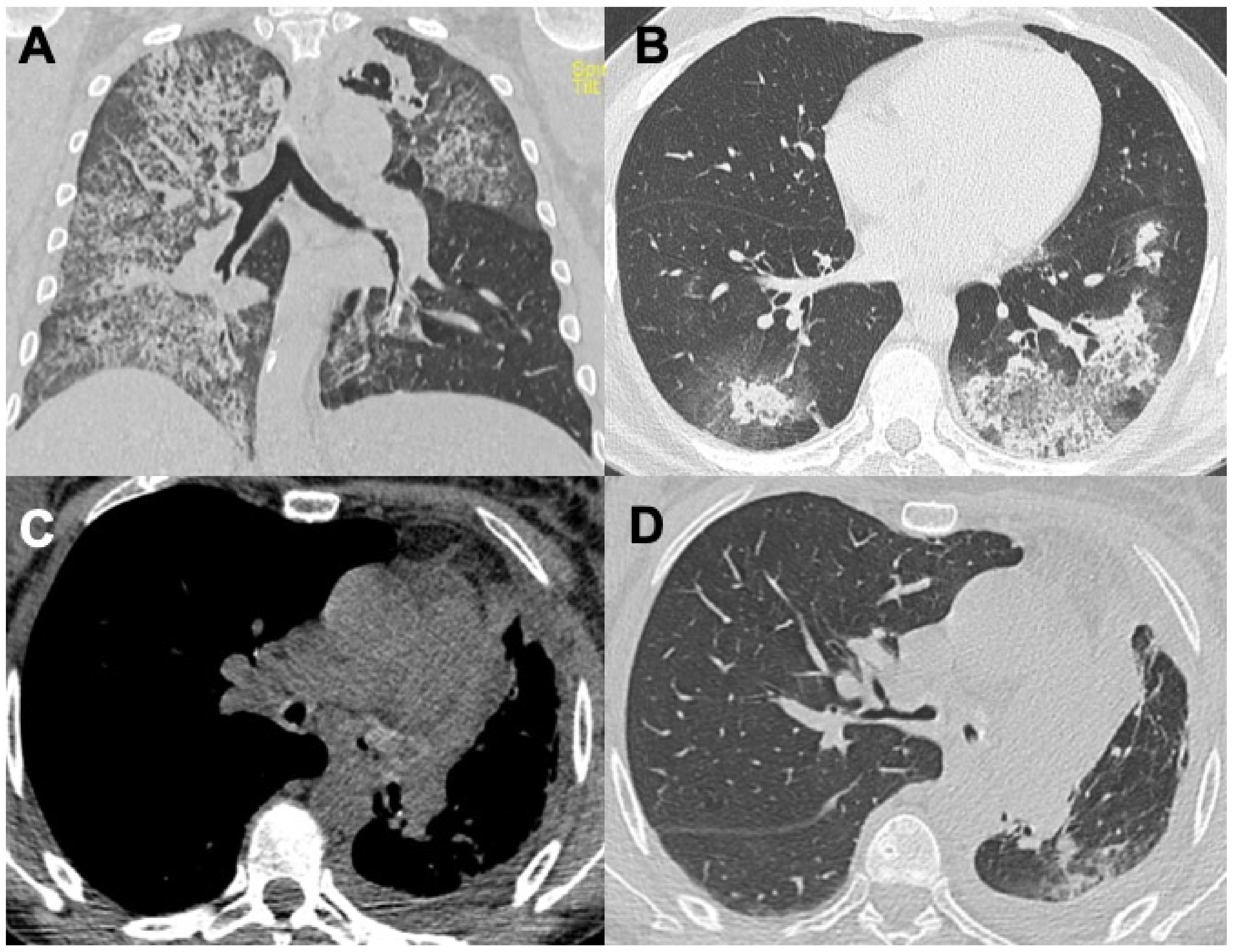
2.3. Granulomatosis with Polyangiitis (GPA)
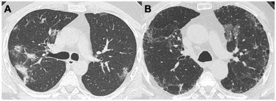
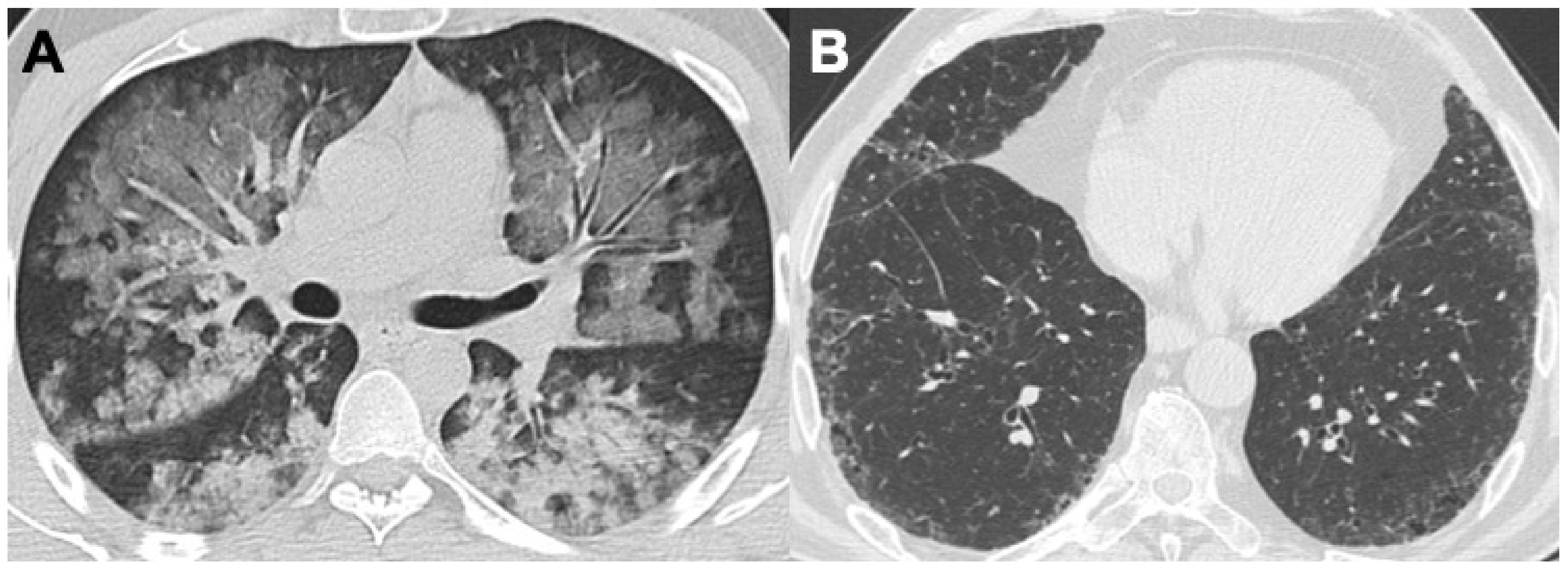
2.4. Microscopic Polyangiitis (MPA)
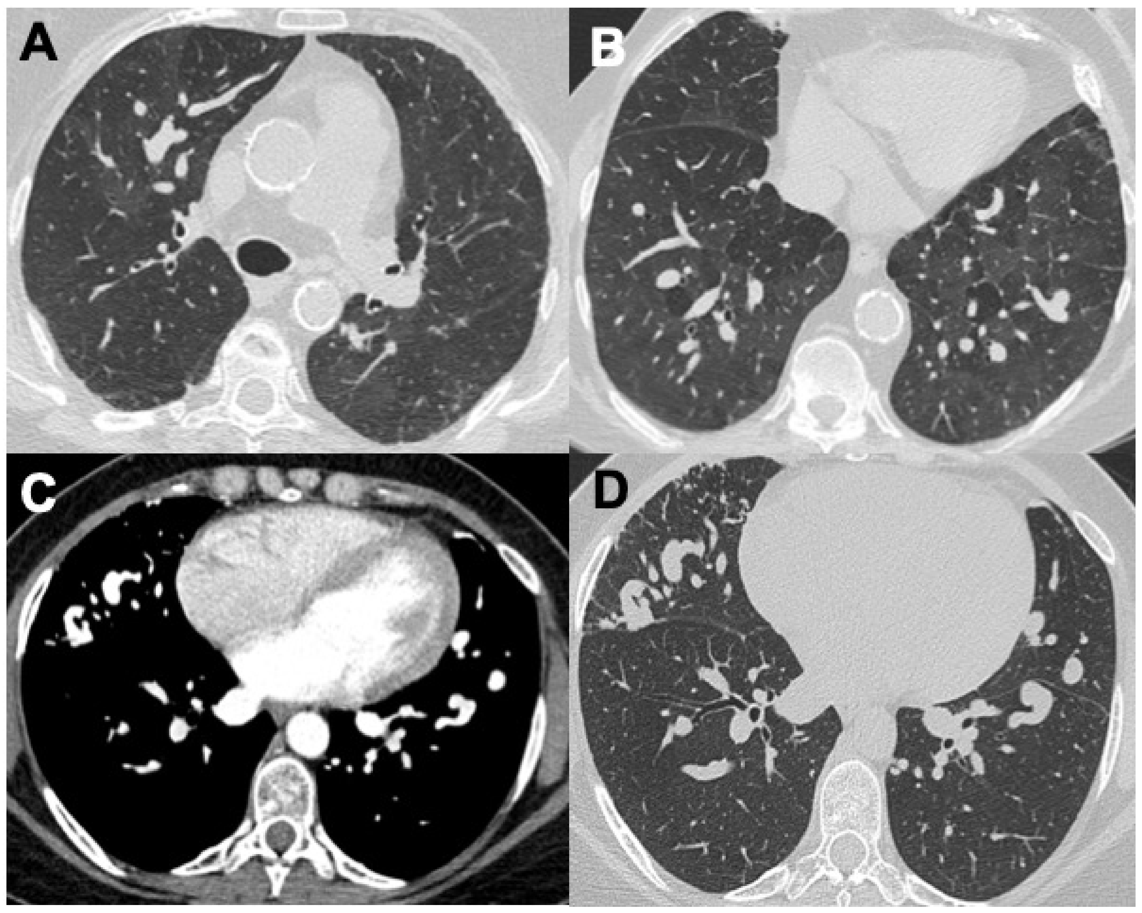
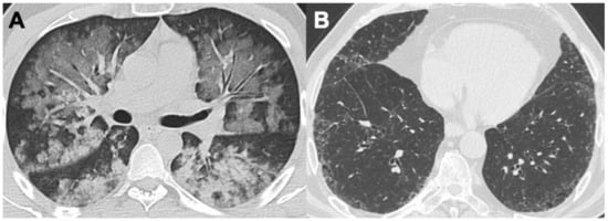
2.5. Eosinophilic Granulomatosis with Polyangiitis (EGPA)
2.6. Isolated Pauci-Immune Pulmonary Capillaritis (IPIPC) and Immune-Complex Small Vessel Vasculitis
3. Medium Vessel Vasculitis
4. Large Vessel Vasculitis
5. Variable Vessel Vasculitis
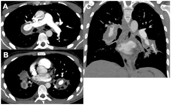
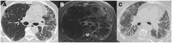
Behçet Disease (BD) and Hughes–Stovin Syndrome (HSS)
6. Secondary Vasculitis
7. Vasculitis Associated with Systemic Disease
8. Vasculitis Associated with Probable Etiology
9. Pulmonary Angiitis and Granulomatosis
10. Conclusions
Author Contributions
Funding
Conflicts of Interest
Abbreviations
References
- Jennette, J.C.; Falk, R.J.; Bacon, P.A.; Basu, N.; Cid, M.C.; Ferrario, F.; Flores-Suarez, L.F.; Gross, W.L.; Guillevin, L.; Hagen, E.C.; et al. 2012 revised International Chapel Hill Consensus Conference Nomenclature of Vasculitides. Arthritis Rheum. 2013, 65, 180–186. [Google Scholar] [CrossRef] [PubMed]
- Yunt, Z.X.; Frankel, S.K.; Brown, K.K. Diagnosis and management of pulmonary vasculitis. Ther. Adv. Respir. Dis. 2012, 6, 375–390. [Google Scholar] [CrossRef]
- Ruaro, B.; Baratella, E.; Confalonieri, P.; Wade, B.; Marrocchio, C.; Geri, P.; Busca, A.; Pozzan, R.; Andrisano, A.G.; Cova, M.A.; et al. High-Resolution Computed Tomography: Lights and Shadows in Improving Care for SSc-ILD Patients. Diagnostics 2021, 11, 1960. [Google Scholar] [CrossRef] [PubMed]
- Palmucci, S.; Inì, C.; Cosentino, S.; Fanzone, L.; Di Pietro, S.; Di Mari, A.; Galioto, F.; Tiralongo, F.; Vignigni, G.; Toscano, S.; et al. Pulmonary Vasculitides: A Radiological Review Emphasizing Parenchymal HRCT Features. Diagnostics 2021, 11, 2318. [Google Scholar] [CrossRef] [PubMed]
- Cozzi, D.; Moroni, C.; Cavigli, E.; Bindi, A.; Bonini, M.C.; Fattorini, C.; Miele, V. Bechet disease in emergency department: A rare case presenting with haemoptysis and massive pulmonary arterial aneurysms. Sarcoidosis Vasc. Diff Lung Dis. 2021, 38, e2021014. [Google Scholar]
- Gaudin, P.B.; Askin, F.B.; Falk, R.J.; Jennette, J.C. The pathologic spectrum of pulmonary lesions in patients with anti-neutrophil cytoplasmic autoantibodies specific for anti-proteinase 3 and anti-myeloperoxidase. Am. J. Clin. Pathol. 1995, 104, 7–16. [Google Scholar] [CrossRef]
- Sebastiani, M.; Manfredi, A.; Vacchi, C.; Cassone, G.; Faveiro, P.; Cavazza, A.; Sverzellati, N.; Salvarani, C.; Luppi, F. Epidemiology and management of interstitial lung disease in ANCA-associated vasculitis. Clin. Exp. Rheumatol. 2020, 124, 221–231. [Google Scholar]
- Sacoto, G.; Boukhlal, S.; Specks, U.; Flores-Suárez, L.F.; Cornec, D. Lung involvement in ANCA-associated vasculitis. Presse Med. 2020, 49, 104039. [Google Scholar] [CrossRef]
- Gozzi, L.; Cozzi, D.; Cavigli, E.; Moroni, C.; Zantonelli, G.; Smorchkova, O.; Ruzga, R.; Danti, G.; Bertelli, E.; Luzzi, V. Primary lymphoproliferative lung diseases: Imaging and multidisciplinary approach. Diagnostics 2023, 13, 1360. [Google Scholar] [CrossRef]
- Taylor, S.C.; Clayburgh, D.R.; Rosenbaum, J.T.; Schindler, J.S. Progression and management of Wegener’s granulomatosis in the head and neck. Laryngoscope 2012, 122, 1695–1700. [Google Scholar] [CrossRef]
- Moroni, C.; Bindi, A.; Cavigli, E.; Cozzi, D.; Luvarà, S.; Smorchkova, O.; Zantonelli, G.; Miele, V.; Bartolucci, M. CT findings of non-neoplastic central airways diseases. Jpn. J. Radiol. 2022, 40, 107–119. [Google Scholar] [CrossRef] [PubMed]
- Ingegnoli, A.; Corsi, A.; Verardo, E.; De Filippo, M.; Sverzellati, N.; Zompatori, M. Uncommon causes of tracheobronchial stenosis and wall thickening: MDCT imaging. Radiol. Med. 2007, 112, 1132–1141. [Google Scholar] [CrossRef]
- Guzman-Soto, M.I.; Kimura, Y.; Romero-Sanchez, G.; Cienfuegos-Alvear, J.A.; Candanedo-Gonzalez, F.; Kimura-Sandoval, Y.; Sanchez-Nava, D.A.; Alonso-Ramon, I.; Hinojosa-Azaola, A. From Head to Toe: Granulomatosis with Polyangiitis. Radiographics 2021, 41, 1973–1991. [Google Scholar] [CrossRef]
- Cozzi, D.; Cavigli, E.; Moroni, C.; Smorchkova, O.; Zantonelli, G.; Pradella, S.; Miele, V. Ground-glass opacity (GGO): A review of the differential diagnosis in the era of COVID-19. Jpn. J. Radiol. 2021, 39, 721–732. [Google Scholar] [CrossRef] [PubMed]
- Cortese, G.; Nicali, R.; Placido, R.; Gariazzo, G.; Anrò, P. Radiological aspects of diffuse alveolar haemorrhage. Radiol. Med. 2008, 113, 16–28. [Google Scholar] [CrossRef] [PubMed]
- Magkanas, E.; Detorakis, E.; Nikolakopoulos, I.; Gourtsoyianni, S.; Linardakis, M.; Sidiropoulos, P.; Boumpas, D.; Gourtsoyiannis, N. Air trapping in Wegener’s granulomatosis: An additional finding on expiratory chest HRCT. Radiol. Med. 2011, 116, 858–867. [Google Scholar] [CrossRef] [PubMed]
- Jain, P.; Ruchin, P.; Suttie, J. Proximal pulmonary artery stenosis: A rare manifestation of granulomatosis with polyangiitis. Lancet. 2016, 387, 2349–2350. [Google Scholar] [CrossRef] [PubMed]
- Kawaguchi, M.; Kato, H.; Nagasawa, T.; Kaneko, Y.; Taguchi, K.; Ikeda, T.; Morita, H.; Miyazaki, T.; Matsuo, M. MR imaging findings of musculoskeletal involvement in microscopic polyangiitis: A comparison with inflammatory myopathy. Radiol. Med. 2021, 126, 1601–1608. [Google Scholar] [CrossRef]
- Dalpiaz, G.; Nassetti, C.; Stasi, G. Diffuse alveolar haemorrhage from a rare primary renal-pulmonary syndrome: Micropolyangiitis. Case report and differential diagnosis. Radiol. Med. 2003, 106, 114–119. [Google Scholar]
- Saraya, T., Sr.; Ogawa, Y.; Nakamoto, K.; Fujiwara, M.; Ishii, H. Pulmonary Involvement in Microscopic Polyangiitis: Computed Tomography Findings in 55 Patients with Analysis of Risk Factors for Recurrence. Cureus 2022, 14, e21285. [Google Scholar] [CrossRef]
- Suzuki, A.; Sakamoto, S.; Kurosaki, A.; Kurihara, Y.; Setoh, K.; Usui, Y.; Nanki, T.; Arimura, Y.; Makino, H.; Okada, Y.; et al. Chest High-Resolution CT Findings of Microscopic Polyangiitis: A Japanese First Nationwide Prospective Cohort Study. Am. J. Roentgenol. 2019, 213, 104–114. [Google Scholar] [CrossRef]
- Kim, M.J.; Shin, K. Interstitial Lung Disease and Diffuse Alveolar Hemorrhage, the Two Key Pulmonary Manifestations in Microscopic Polyangiitis. Tuberc. Respir. Dis. 2021, 84, 255–262. [Google Scholar] [CrossRef] [PubMed]
- Comarmond, C.; Crestani, B.; Tazi, A.; Hervier, B.; Adam-Marchand, S.; Nunes, H.; Cohen-Aubart, F.; Wislez, M.; Cadranel, J.; Housset, B.; et al. Pulmonary fibrosis in antineutrophil cytoplasmic antibodies (ANCA)-associated vasculitis: A series of 49 patients and review of the literature. Medicine 2014, 93, 340–349. [Google Scholar] [CrossRef]
- Ishimaru, N.; Ohnishi, H.; Fujii, M.; Yumura, M.; Yoshimura, S.; Kinami, S. Microscopic polyangiitis presented with biopsy-confirmed pleuritis. Monaldi Arch. Chest Dis. 2018, 88, 897. [Google Scholar] [CrossRef] [PubMed]
- Emmi, G.; Bettiol, A.; Gelain, E.; Bajema, I.M.; Berti, A.; Burns, S.; Cid, M.C.; Tervaert, J.W.C.; Cottin, V.; Durante, E.; et al. Evidence-Based Guideline for the diagnosis and management of eosinophilic granulomatosis with polyangiitis. Nat. Rev. Rheumatol. 2023, 19, 378–393. [Google Scholar] [CrossRef]
- Lin, X.; Lin, Y.; Lai, Z.; Wei, S.; Qiu, M.; Li, J.; Liu, Q.; Chung, K.F.; Zeng, Q.; Zhang, Q. Retrospective comparison of high-resolution computed tomography of eosinophilic granulomatosis with polyangiitis with severe asthma. Ann. Transl. Med. 2021, 9, 983. [Google Scholar] [CrossRef] [PubMed]
- Buschman, D.L.; Waldron, J.A., Jr.; King, T.E., Jr. Churg-Strauss pulmonary vasculitis. High-resolution computed tomography scanning and pathologic findings. Am. Rev. Respir. Dis. 1990, 142, 458–461. [Google Scholar] [CrossRef]
- Schwarz, M.I.; Brown, K.K. Small vessel vasculitis of the lung. Thorax 2000, 55, 502–510. [Google Scholar] [CrossRef]
- Mehrotra, A.K.; Gupta, P.R.; Khublani, T.K.; Anupam; Soni, S.; Feroz, A. Isolated pauci-immune pulmonary capillaritis. Lung India 2015, 32, 56–59. [Google Scholar]
- Pillebout, E.; Sunderkötter, C. IgA vasculitis. Semin. Immunopathol. 2021, 43, 729–738. [Google Scholar] [CrossRef] [PubMed]
- Di Pietro, G.M.; Castellazzi, M.L.; Mastrangelo, A.; Montini, G.; Marchisio, P.; Tagliabue, C. Henoch-Schönlein Purpura in children: Not only kidney but also lung. Pediatr. Rheumatol. Online J. 2019, 17, 75. [Google Scholar] [CrossRef] [PubMed]
- Miyoshi, S.; Nagao, T.; Kukida, M.; Miyoshi, K.I.; Namba, C.; Kitazawa, S.; Nakamura, Y.; Hamaguchi, N.; Higaki, J. Pulmonary Hemorrhaging as a Fatal Complication of IgA Vasculitis. Intern. Med. 2018, 57, 3141–3147. [Google Scholar] [CrossRef]
- Zheng, C.; Childers, J.; Rabinovich, E.; Nazareth-Pidgeon, K. Recurrent Henoch-Schönlein Purpura with bullous rash and pulmonary nodules. Pediatr. Rheumatol. Online J. 2020, 18, 40. [Google Scholar] [CrossRef] [PubMed]
- Grabska-Kobylecka, I.; Nowak, D.; Wlodarczyk, A.; Bialasiewicz, P. No impairment of pulmonary function in children with Henoch-Schonlein purpura after 4-year follow-up. Clin. Rheumatol. 2016, 35, 2847–2850. [Google Scholar] [CrossRef]
- Bogdanović, R.; Minić, P.; Marković-Lipkovski, J.; Stajić, N.; Savić, N.; Rodić, M. Pulmonary renal syndrome in a child with coexistence of anti-neutrophil cytoplasmic antibodies and anti-glomerular basement membrane disease: Case report and literature review. BMC Nephrol. 2013, 14, 66. [Google Scholar] [CrossRef] [PubMed]
- Kim, Y.O.; Choi, J.Y.; Park, J.I.; Yoon, S.A.; Wang, C.W.; Hyoung, K.; Bang, B.K. A case of Goodpasture’s syndrome with massive pulmonary hemorrhage. J. Korean Med. Sci. 2000, 15, 99–102. [Google Scholar] [CrossRef] [PubMed]
- Peachell, M.B.; Müller, N.L. Pulmonary vasculitis. Semin. Respir. Crit. Care Med. 2004, 25, 483–489. [Google Scholar] [CrossRef] [PubMed][Green Version]
- Gu, S.L.; Jorizzo, J.L. Urticarial vasculitis. Int. J. Womens Dermatol. 2021, 7, 290–297. [Google Scholar] [CrossRef] [PubMed]
- Chen, H.J.; Bloch, K.J. Hypocomplementemic urticarial vasculitis, jaccoud’s arthropathy, valvular heart disease, and reversible tracheal stenosis: A surfeit of syndromes. J. Rheumatol. 2001, 28, 383–386. [Google Scholar]
- Alomari, M.; Al Momani, L.; Khazaaleh, S.; Almomani, S.; Yaseen, K.; Alhaddad, B. Exceptional association of hypocomplementemic urticarial vasculitis syndrome (HUVS) and symptomatic pulmonary histoplasmosis: A case-based literature review. Clin. Rheumatol. 2019, 38, 1691–1697. [Google Scholar] [CrossRef]
- Javed, A.; Anees, F. An unexpected case of Cryoglobulinemia Vasculitis that presented as respiratory failure. Clin. Med. 2024, 24, 100041. [Google Scholar] [CrossRef]
- Palumbo, P.; Cannizzaro, E.; Bracci, A.; Bruno, F.; Arrigoni, F.; Splendiani, A.; Danti, G.; Cozzi, D.; Pradella, S.; Grassi, F.; et al. Thoracic non-traumatic cardiovascular diseases: Current perspective and multi-detectors Computed Tomography protocols optimization in the emergency setting. Eur. Rev. Med. Pharmacol. Sci. 2022, 26, 3621–3641. [Google Scholar] [PubMed]
- Alfraji, N.; Upadhyaya, V.D.; Bekampis, C.; Kuzyshyn, H. Mixed Cryoglobulinemia Syndrome (MCS) due to untreated hepatitis B with uncommon presentation: Case report and literature review. BMC Rheumatol. 2020, 4, 58. [Google Scholar] [CrossRef]
- Bicci, E.; Cozzi, D.; Cavigli, E.; Ruzga, R.; Bertelli, E.; Danti, G.; Bettarini, S.; Tortoli, P.; Mazzoni, L.N.; Busoni, S.; et al. Reproducibility of CT radiomic features in lung neuroendocrine tumours (NETs) patients: Analysis in a heterogeneous population. Radiol. Med. 2023, 128, 203–211. [Google Scholar] [CrossRef]
- Matsumoto, T.; Homma, S.; Okada, M.; Kuwubara, N.; Kira, S.; Hoshi, T.; Uekusa, T.; Saiki, S. The lung in polyarteritis nodosa: A pathologic study of 10 cases. Hum. Pathol. 1993, 24, 717–724. [Google Scholar] [CrossRef]
- Navab, R.; Yeragudi Jangamareddy, V.R.; Midthala, N.V.; Kamalakannan, T. A Young Female Case of Polyarteritis Nodosa Presenting with Multisystem Involvement and Acute Abdomen: A Case Report. Cureus 2021, 13, e20778. [Google Scholar] [CrossRef] [PubMed]
- Marten, K.; Schnyder, P.; Schirg, E.; Prokop, M.; Rummeny, E.J.; Engelke, C. Pattern-based differential diagnosis in pulmonary vasculitis using volumetric CT. Am. J. Roentgenol. 2005, 184, 720–733. [Google Scholar] [CrossRef]
- Bardi, M.; Diamantopoulos, A.P. EULAR recommendations for the use of imaging in large vessel vasculitis in clinical practice summary. Radiol. Med. 2019, 124, 965–972. [Google Scholar] [CrossRef] [PubMed]
- Maennlin, S.; Wessling, D.; Herrmann, J.; Almansour, H.; Nickel, D.; Kannengiesser, S.; Afat, S.; Gassenmaier, S. Application of deep-learnig-based super-resolution to T1-weighted postcontrast gradient echo imaging of the chest. Radiol. Med. 2023, 128, 184–190. [Google Scholar] [CrossRef]
- Mukoyama, H.; Shirakashi, M.; Tanaka, N.; Iwasaki, T.; Nakajima, T.; Onizawa, H.; Tsuji, H.; Kitagori, K.; Akizuki, S.; Nakashima, R.; et al. The clinical features of pulmonary artery involvement in Takayasu arteritis and its relationship with ischemic heart diseases and infection. Arthritis Res. Ther. 2021, 23, 293. [Google Scholar] [CrossRef]
- Kong, X.; Zhang, J.; Lin, J.; Lv, P.; Chen, H.; Ji, Z.; Dai, X.; Jin, X.; Ma, L.; Jiang, L. Pulmonary findings on high-resolution computed tomography in Takayasu arteritis. Rheumatology 2021, 60, 5659–5667. [Google Scholar] [CrossRef]
- Wang, X.; Dang, A.; Chen, B.; Lv, N.; Liu, Q. Takayasu arteritis-associated pulmonary hypertension. J. Rheumatol. 2015, 42, 495–503. [Google Scholar] [CrossRef] [PubMed]
- Grayson, P.C.; Alehashemi, S.; Bagheri, A.A.; Civelek, A.C.; Cupps, T.R.; Kaplan, M.J.; Malayeri, A.A.; Merkel, P.A.; Novakovich, E.; Bluemke, D.A.; et al. 18F-Fluorodeoxyglucose-Positron Emission Tomography as an Imaging Biomarker in a Prospective, Longitudinal Cohort of Patients with Large Vessel Vasculitis. Arthritis Rheumatol. 2018, 70, 439–449. [Google Scholar] [CrossRef]
- Ling, M.L.; Yosar, J.; Lee, B.W.; Shah, S.A.; Jiang, I.W.; Finniss, A.; Allende, A.; Francis, I.C. The diagnosis and management of temporal arteritis. Clin. Exp. Optom. 2020, 103, 572–582. [Google Scholar] [CrossRef] [PubMed]
- Castañer, E.; Alguersuari, A.; Gallardo, X.; Andreu, M.; Pallardò, Y.; Mata, J.M.; Ramírez, J. When to suspect pulmonary vasculitis: Radiologic and clinical clues. RadioGraphics 2010, 30, 33–53. [Google Scholar] [CrossRef]
- Sendino, A.; Barbado, F.J.; González-Anglada, I.; Antón, E.; López-Barea, F.; Vázquez, J.J. Temporal arteritis: A form of systemic panarteritis. Ann. Rheum. Dis. 1992, 51, 1082–1084. [Google Scholar] [CrossRef]
- Kramer, M.R.; Melzer, E.; Nesher, G.; Sonnenblick, M. Pulmonary manifestations of temporal arteritis. Eur. J. Respir. Dis. 1987, 71, 430–433. [Google Scholar] [PubMed]
- Konishi, C.; Nakagawa, K.; Nakai, E.; Nishi, K.; Ishikawa, R.; Uematsu, S.; Nakao, S.; Taki, M.; Morita, K.; Hee, H.M.; et al. Interstitial Lung Disease as an Initial Manifestation of Giant Cell Arteritis. Intern. Med. 2017, 56, 2633–2637. [Google Scholar] [CrossRef][Green Version]
- Watts, R.A.; Hatemi, G.; Burns, J.C.; Mohammad, A.J. Global epidemiology of vasculitis. Nat. Rev. Rheumatol. 2022, 18, 22–34. [Google Scholar] [CrossRef]
- Chen, J.; Yao, X. A Contemporary Review of Behcet’s Syndrome. Clin. Rev. Allergy Immunol. 2021, 61, 363–376. [Google Scholar] [CrossRef] [PubMed]
- Tazi Mezalek, Z.; Khibri, H.; Chadli, S.; El Fari, S.; Ammouri, W.; Harmouche, H.; Maamar, M.; Adnaoui, M. Vascular complications of Behçet disease. Minerva Med. 2021, 112, 767–778. [Google Scholar] [CrossRef]
- Uysal, H.; Balevi, S.; Okudan, N.; Gökbel, H. The relationship between HRCT and pulmonary function in Behcet’s disease. Lung 2004, 182, 9–14. [Google Scholar] [CrossRef]
- Giannessi, C.; Smorchkova, O.; Cozzi, D.; Zantonelli, G.; Bertelli, E.; Moroni, C.; Cavigli, E.; Miele, V. Behçet’s Disease: A Radiological Review of Vascular and Parenchymal Pulmonary Involvement. Diagnostics 2022, 12, 2868. [Google Scholar] [CrossRef] [PubMed]
- Uzun, O.; Erkan, L.; Akpolat, I.; Findik, S.; Atici, A.G.; Akpolat, T. Pulmonary involvement in Behçet’s disease. Respiration 2008, 75, 310–321. [Google Scholar] [CrossRef] [PubMed]
- Valente, T.; Pignatiello, M.; Sica, G.; Bocchini, G.; Rea, G.; Cappabianca, S.; Scaglione, M. Hemopericardium in the acute clinical setting: Are we ready for a tailored management approach on the basis of MDCT findings? Radiol. Med. 2021, 126, 527–543. [Google Scholar] [CrossRef] [PubMed]
- Khalid, U.; Saleem, T. Hughes-Stovin syndrome. Orphanet J. Rare Dis. 2011, 6, 15. [Google Scholar] [CrossRef]
- Emad, Y.; Ragab, Y.; Robinson, C.; Pankl, S.; Young, P.; Fabi, M.; Bawaskar, P.; Ibrahim, O.; Erkan, D.; Barman, B.; et al. Pulmonary vasculitis in Hughes-Stovin syndrome (HSS): A reference atlas and computed tomography pulmonary angiography guide-a report by the HSS International Study Group. Clin. Rheumatol. 2021, 40, 4993–5008. [Google Scholar] [CrossRef] [PubMed]
- Emad, Y.; Ragab, Y.; Ibrahim, O.; Saad, A.; Rasker, J.J. Pattern of pulmonary vasculitis and major vascular involvement in Hughes-Stovin syndrome (HSS): Brief report of eight cases. Clin. Rheumatol. 2020, 39, 1223–1228. [Google Scholar] [CrossRef] [PubMed]
- Valdés-Corona, L.F.; Kimura-Hayama, E.; Méndez-Cano, V.H.; Hernández-Villegas, C.A.; Hernández-Molina, G. Hughes-Stovin syndrome: An uncommon cause of pulmonary aneurysms. Rheumatology 2020, 59, 2183–2184. [Google Scholar] [CrossRef] [PubMed]
- Nasser, M.; Cottin, V. Alveolar Hemorrhage in Vasculitis (Primary and Secondary). Semin. Respir. Crit. Care Med. 2018, 39, 482–493. [Google Scholar] [CrossRef]
- Feragalli, B.; Mantini, C.; Sperandeo, M.; Galluzzo, M.; Belcaro, G.; Tartaro, A.; Cotroneo, A.R. The lung in systemic vasculitis: Radiological patterns and differential diagnosis. Br. J. Radiol. 2016, 89, 20150992. [Google Scholar] [CrossRef] [PubMed]
- Lokineni, S.; Amr, M.; Boppana, L.K.T.; Garg, M. Rheumatoid Vasculitis as an Initial Presentation of Rheumatoid Arthritis. Eur. J. Case Rep. Intern. Med. 2021, 8, 002561. [Google Scholar] [CrossRef] [PubMed]
- Tourin, O.; de la Torre Carazo, S.; Smith, D.R.; Fischer, A. Pulmonary vasculitis as the first manifestation of rheumatoid arthritis. Respir. Med. Case Rep. 2013, 8, 40–42. [Google Scholar] [CrossRef][Green Version]
- Gamal, S.M.; Mohamed, S.S.; Tantawy, M.; Siam, I.; Soliman, A.; Niazy, M.H. Lupus-related vasculitis in a cohort of systemic lupus erythematosus patients. Arch. Rheumatol. 2021, 36, 595–692. [Google Scholar] [CrossRef]
- Leone, P.; Prete, M.; Malerba, E.; Bray, A.; Susca, N.; Ingravallo, G.; Racanelli, V. Lupus Vasculitis: An Overview. Biomedicines 2021, 9, 1626. [Google Scholar] [CrossRef] [PubMed]
- Hannah, J.R.; D’Cruz, D.P. Pulmonary Complications of Systemic Lupus Erythematosus. Semin. Respir. Crit. Care Med. 2019, 40, 227–234. [Google Scholar] [CrossRef] [PubMed]
- Judson, M.A. Granulomatous Sarcoidosis Mimics. Front. Med. 2021, 8, 680989. [Google Scholar] [CrossRef]
- Fernandes, S.R.; Singsen, B.H.; Hoffman, G.S. Sarcoidosis and systemic vasculitis. Semin. Arthritis Rheum. 2000, 30, 33–46. [Google Scholar] [CrossRef] [PubMed]
- Rosen, Y. Four decades of necrotizing sarcoid granulomatosis: What do we know now? Arch. Pathol. Lab. Med. 2015, 139, 252–262. [Google Scholar] [CrossRef] [PubMed]
- Kim, J.H.; Nam, B.D.; Hwang, J.H.; Kim, D.W.; Kim, K.U.; Park, Y.W. Necrotizing sarcoid granulomatosis simulating pulmonary malignancy: A case report. Medicine 2021, 100, e28208. [Google Scholar] [CrossRef]
- Chittock, D.R.; Joseph, M.G.; Paterson, N.A.; McFadden, R.G. Necrotizing sarcoid granulomatosis with pleural involvement. Clinical and radiographic features. Chest 1994, 106, 672–676. [Google Scholar] [CrossRef]
- Becker, R.C. COVID-19-associated vasculitis and vasculopathy. J. Thromb. Thrombolysis 2020, 50, 499–511. [Google Scholar] [CrossRef] [PubMed]
- Giryes, S.; Bragazzi, N.L.; Bridgewood, C.; De Marco, G.; McGonagle, D. COVID-19 Vasculitis and vasculopathy-Distinct immunopathology emerging from the close juxtaposition of Type II Pneumocytes and Pulmonary Endothelial Cells. Semin. Immunopathol. 2022, 44, 375–390. [Google Scholar] [CrossRef] [PubMed]
- Albanesi, M.; Cozzi, D.; Cavigli, E.; Moroni, C.; Frezzetti, G.; Bartolini, L.; Miele, V. Systemic Emergencies in COVID-19 Patient: A Pictorial Review. Tomography 2022, 8, 1041–1051. [Google Scholar] [CrossRef] [PubMed]
- Morris, D.; Patel, K.; Rahimi, O.; Sanyurah, O.; Iardino, A.; Khan, N. ANCA vasculitis: A manifestation of Post-COVID-19 Syndrome. Respir. Med. Case Rep. 2021, 34, 101549. [Google Scholar] [CrossRef]
- Zhao, W.; Zhong, Z.; Xie, X.; Yu, Q.; Liu, J. Relation Between Chest CT Findings and Clinical Conditions of Coronavirus Disease (COVID-19) Pneumonia: A Multicenter Study. Am. J. Roentgenol. 2020, 214, 1072–1077. [Google Scholar] [CrossRef] [PubMed]
- Palmisano, A.; Scotti, G.M.; Ippolito, D.; Morelli, M.J.; Vignale, D.; Gandola, D.; Sironi, S.; De Cobelli, F.; Ferrante, L.; Spessot, M.; et al. Chest CT in the emergency department for suspected COVID-19 pneumonia. Radiol. Med. 2021, 126, 498–502. [Google Scholar] [CrossRef] [PubMed]
- Salvatore, C.; Roberta, F.; Angela, L.; Cesare, P.; Alfredo, C.; Giuliano, G.; Giulio, L.; Giuliana, G.; Maria, R.G.; Paola, B.M.; et al. Clinical and laboratory data, radiological structured report findings and quantitative evaluation of lung involvement on baseline chest CT in COVID-19 patients to predict prognosis. Radiol. Med. 2021, 126, 29–39. [Google Scholar] [CrossRef] [PubMed]
- Caruso, D.; Zerunian, M.; Polici, M.; Pucciarelli, F.; Guido, G.; Polidori, T.; Rucci, C.; Bracci, B.; Tremamunno, G.; Laghi, A. Diagnostic performance of CT lung severity score and quantitative chest CT for stratification of COVID-19 patients. Radiol. Med. 2022, 127, 309–317. [Google Scholar] [CrossRef] [PubMed]
- Ierardi, A.M.; Gaibazzi, N.; Tuttolomondo, D.; Fusco, S.; La Mura, V.; Peyvandi, F.; Aliberti, S.; Blasi, F.; Cozzi, D.; Carrafiello, G.; et al. Deep vein thrombosis in COVID-19 patients in general wards: Prevalence and association with clinical and laboratory variables. Radiol. Med. 2021, 126, 722–728. [Google Scholar] [CrossRef] [PubMed]
- Fogarty, H.; Townsend, L.; Ni Cheallaigh, C.; Bergin, C.; Martin-Loeches, I.; Browne, P.; Bacon, C.L.; Gaule, R.; Gillett, A.; Byrne, M.; et al. COVID19 coagulopathy in Caucasian patients. Br. J. Haematol. 2020, 189, 1044–1049. [Google Scholar] [CrossRef] [PubMed]
- Filograna, L.; Manenti, G.; Ampanozi, G.; Calcagni, A.; Ryan, C.P.; Floris, R.; Thali, M.J. Potentials of post-mortem CT investigations during SARS-COV-2 pandemic: A narrative review. Radiol. Med. 2022, 127, 383–390. [Google Scholar] [CrossRef]
- Kumar, B.; Strouse, J.; Swee, M.; Lenert, P.; Suneja, M. Hydralazine-associated vasculitis: Overlapping features of drug-induced lupus and vasculitis. Semin. Arthritis Rheum. 2018, 48, 283–287. [Google Scholar] [CrossRef]
- Melani, C.; Jaffe, E.S.; Wilson, W.H. Pathobiology and treatment of lymphomatoid granulomatosis, a rare EBV-driven disorder. Blood 2020, 135, 1344–1352. [Google Scholar] [CrossRef] [PubMed]
- Dimitriades, V.R.; Devlin, V.; Pittaluga, S.; Su, H.C.; Holland, S.M.; Wilson, W.; Dunleavy, K.; Shah, N.N.; Freeman, A.F. DOCK 8 Deficiency, EBV+ Lymphomatoid Granulomatosis, and Intrafamilial Variation in Presentation. Front. Pediatr. 2017, 5, 38. [Google Scholar] [CrossRef]
- Cortese, G.; Fauciglietti, P.; Bertero, M.; Savoia, P. Lymphomatoid granulomatosis. Radiologic features of a case with lung and brain involvement. Radiol. Med. 1997, 94, 125–127. [Google Scholar] [PubMed]
- Naeem, M.; Ballard, D.H.; Jawad, H.; Raptis, C.; Bhalla, S. Noninfectious Granulomatous Diseases of the Chest. Radiographics 2020, 40, 1003–1019. [Google Scholar] [CrossRef] [PubMed]
- Lee, J.S.; Tuder, R.; Lynch, D.A. Lymphomatoid granulomatosis: Radiologic features and pathologic correlations. Am. J. Roentgenol. 2000, 175, 1335–1339. [Google Scholar] [CrossRef] [PubMed]
- Periwal, P.; Khanna, A.; Gothi, R.; Talwar, D. Bronchocentric granulomatosis with extensive cystic lung disease in tuberculosis: An unusual presentation. Lung India 2016, 33, 320–322. [Google Scholar] [PubMed]
- Pitsilka, D.A.; Kampolis, C.F.; Rontogianni, D.; Zisis, C.; Loukeri, A.A.; Vlachoyiannopoulos, P.G. Bronchocentric granulomatosis in rheumatoid arthritis: Case report and literature review. Bronchocentric granulomatosis in rheumatoid arthritis: Case report and literature review. Acta Reumatol. Port. 2020, 45, 214–219. [Google Scholar]
- Bes, C.; Kılıçgün, A.; Talay, F.; Yılmaz, F.; Soy, M. Bronchocentric granulomatosis in a patient with rheumatoid arthritis. Rheumatol. Int. 2012, 32, 3261–3263. [Google Scholar] [CrossRef] [PubMed]
- Ward, S.; Heyneman, L.E.; Flint, J.D.; Leung, A.N.; Kazerooni, E.A.; Müller, N.L. Bronchocentric granulomatosis: Computed tomographic findings in five patients. Clin. Radiol. 2000, 55, 296–300. [Google Scholar] [CrossRef] [PubMed]







| Primary Vasculitis | |||
|---|---|---|---|
| Small vessel vasculitis | ANCA-associated vasculitis:
| Isolated Pauci-immune pulmonary capillaritis | Immune-complex small vessel vasculitis:
|
| Medium vessel vasculitis | Polyarteritis nodosa | ||
| Large vessel vasculitis | Takayasu arteritis | Giant cell arteritis | |
| Variable vessel vasculitis | Behçet disease | (Hughes–Stovin syndrome) | |
| Secondary Vasculitis | |||
| Vasculitis associated with systemic disease | Rheumatoid Pulmonary vasculitis | Lupus vasculitis | Sarcoid vasculitis |
| Vasculitis associated with probable etiology | |||
| Lower Airway Manifestations | Pulmonary Manifestations | Pleural Manifestations | Vascular Manifestations | |
|---|---|---|---|---|
| GPA | Tracheobronchial involvement (15–55%); bronchiectasis | Nodules (up to 50%); consolidations; GGO (25–50%) and a “crazy-paving” appearance; diffuse alveolar hemorrhage (22–30%) | Pleural effusion (15%); pleuritis; pneumothorax | Pulmonary artery stenosis |
| MPA | Bronchiectasis (40%) | GGO (23–94%); reticular changes (UIP, NSIP, and DIP patterns); consolidations; diffuse alveolar hemorrhage (25–60%) | Pleural effusion; pleuritis | |
| EGPA | Bronchial wall thickening; mucoid impaction, bronchiectasis | Tree-in-bud opacities; GGO; consolidations; diffuse alveolar hemorrhage (4%) | Pleural effusion | Dilatation of peripheral pulmonary arteries |
| Pulmonary Involvement | ||
|---|---|---|
| Solid nodules |
|
|
| Cavitated nodules |
|
|
| Tree-in-bud |
| |
| GGO |
|
|
| Consolidations |
|
|
| Reticulations |
|
|
| Crazy-paving |
|
|
| Bronchial thickening |
| |
| Pleural effusion |
|
|
| Most Common Pulmonary Vasculitis | Main Differential Diagnoses |
|---|---|
| Granulomatosis with polyangiitis (GPA) |
|
| Eosinophilic granulomatosis with polyangiitis (EGPA) |
|
| Microscopic polyangiitis (MPA) |
|
| Behçet disease (BD) |
|
Disclaimer/Publisher’s Note: The statements, opinions and data contained in all publications are solely those of the individual author(s) and contributor(s) and not of MDPI and/or the editor(s). MDPI and/or the editor(s) disclaim responsibility for any injury to people or property resulting from any ideas, methods, instructions or products referred to in the content. |
© 2024 by the authors. Licensee MDPI, Basel, Switzerland. This article is an open access article distributed under the terms and conditions of the Creative Commons Attribution (CC BY) license (https://creativecommons.org/licenses/by/4.0/).
Share and Cite
Gozzi, L.; Cozzi, D.; Zantonelli, G.; Giannessi, C.; Giovannelli, S.; Smorchkova, O.; Grazzini, G.; Bertelli, E.; Bindi, A.; Moroni, C.; et al. Lung Involvement in Pulmonary Vasculitis: A Radiological Review. Diagnostics 2024, 14, 1416. https://doi.org/10.3390/diagnostics14131416
Gozzi L, Cozzi D, Zantonelli G, Giannessi C, Giovannelli S, Smorchkova O, Grazzini G, Bertelli E, Bindi A, Moroni C, et al. Lung Involvement in Pulmonary Vasculitis: A Radiological Review. Diagnostics. 2024; 14(13):1416. https://doi.org/10.3390/diagnostics14131416
Chicago/Turabian StyleGozzi, Luca, Diletta Cozzi, Giulia Zantonelli, Caterina Giannessi, Simona Giovannelli, Olga Smorchkova, Giulia Grazzini, Elena Bertelli, Alessandra Bindi, Chiara Moroni, and et al. 2024. "Lung Involvement in Pulmonary Vasculitis: A Radiological Review" Diagnostics 14, no. 13: 1416. https://doi.org/10.3390/diagnostics14131416
APA StyleGozzi, L., Cozzi, D., Zantonelli, G., Giannessi, C., Giovannelli, S., Smorchkova, O., Grazzini, G., Bertelli, E., Bindi, A., Moroni, C., Cavigli, E., & Miele, V. (2024). Lung Involvement in Pulmonary Vasculitis: A Radiological Review. Diagnostics, 14(13), 1416. https://doi.org/10.3390/diagnostics14131416

