Whole-Exome Sequencing Revealed a Pathogenic Germline Variant in the Fumarate Hydratase Gene, Leading to the Diagnosis of Hereditary Leiomyomatosis and Renal Cell Cancer
Abstract
1. Introduction
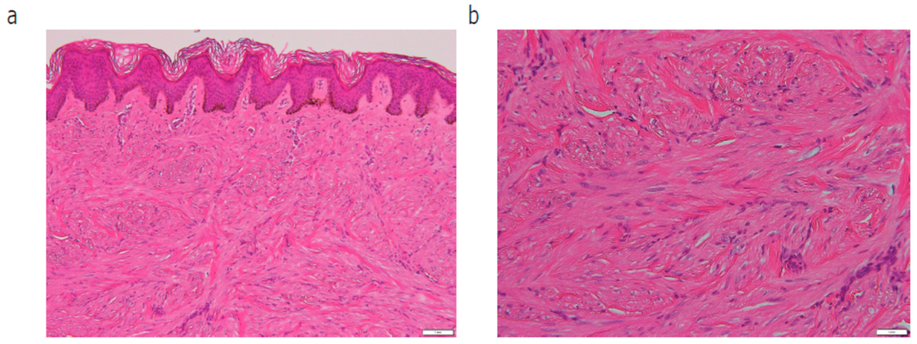
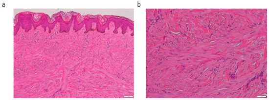
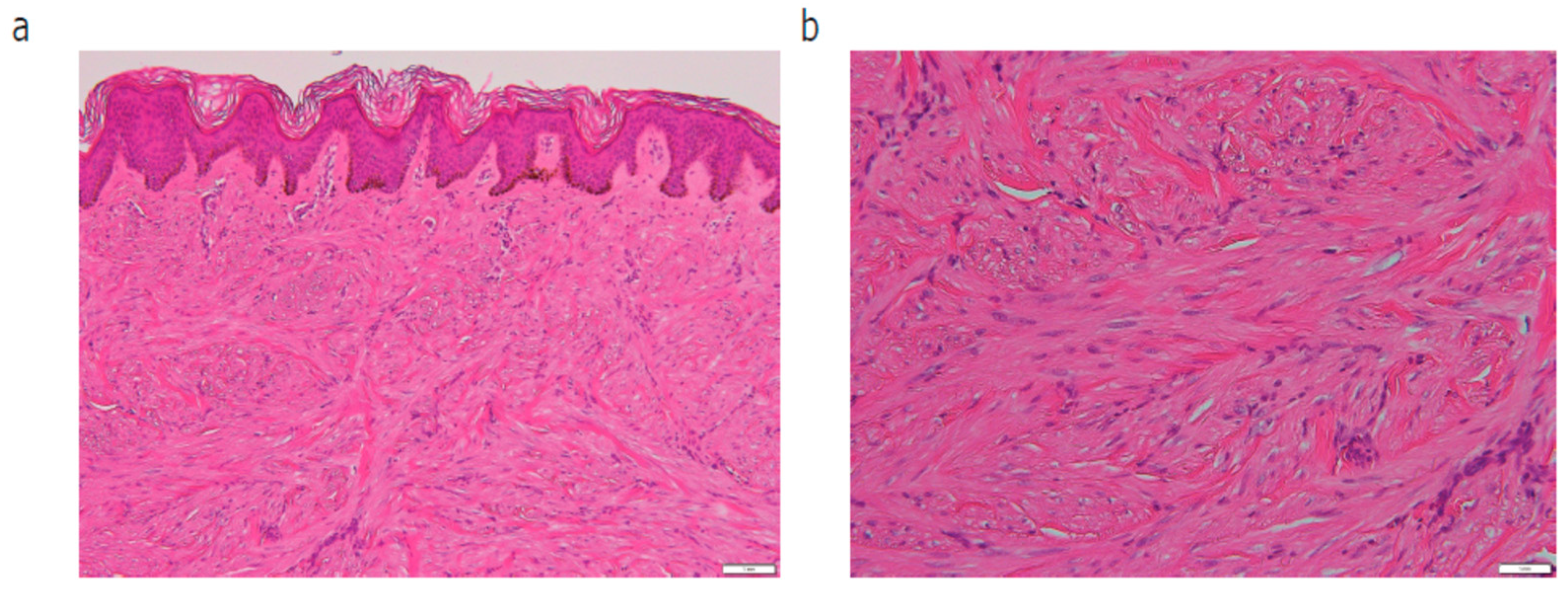
2. Case Report
3. Whole-Exome Sequencing Analysis
4. Results
5. Discussion
Author Contributions
Funding
Institutional Review Board Statement
Informed Consent Statement
Data Availability Statement
Conflicts of Interest
References
- Kloepfer, H.W.; Krafchuk, J.; Derbes, V.; Burks, J. Hereditary multiple leiomyoma of the skin. Am. J. Hum. Genet. 1958, 10, 48–52. [Google Scholar] [PubMed]
- Reed, W.B.; Walker, R.; Horowitz, R. Cutaneous leiomyomata with uterine leiomyomata. Acta Derm. Venereol. 1973, 53, 409–416. [Google Scholar] [CrossRef]
- Launonen, V.; Vierimaa, O.; Kiuru, M.; Isola, J.; Roth, S.; Pukkala, E.; Sistonen, P.; Herva, R.; Aaltonen, L.A. Inherited susceptibility to uterine leiomyomas and renal cell cancer. Proc. Natl. Acad. Sci. USA 2001, 98, 3387–3392. [Google Scholar] [CrossRef]
- Tomlinson, I.P.; Alam, N.A.; Rowan, A.J.; Barclay, E.; Jaeger, E.E.; Kelsell, D.; Leigh, I.; Gorman, P.; Lamlum, H.; Rahman, S.; et al. Germline mutations in FH predispose to dominantly inherited uterine fibroids, skin leiomyomata and papillary renal cell cancer. Nat. Genet. 2002, 30, 406–410. [Google Scholar] [PubMed]
- Muller, M.; Ferlicot, S.; Guillaud-Bataille, M.; Le Teuff, G.; Genestie, C.; Deveaux, S.; Slama, A.; Poulalhon, N.; Escudier, B.; Albiges, L.; et al. Reassessing the clinical spectrum associated with hereditary leiomyomatosis and renal cell carcinoma syndrome in French FH mutation carriers. Clin. Genet. 2017, 92, 606–615. [Google Scholar] [CrossRef] [PubMed]
- Schmidt, L.S.; Linehan, W.M. Hereditary leiomyomatosis and renal cell carcinoma. Int. J. Nephrol. Renovasc. Dis. 2014, 7, 253–260. [Google Scholar] [CrossRef] [PubMed]
- Alrashdi, I.; Levine, S.; Paterson, J.; Saxena, R.; Patel, S.R.; Depani, S.; Hargrave, D.R.; Pritchard-Jones, K.; Hodgson, S.V. Hereditary leiomyomatosis and renal cell carcinoma: Very early diagnosis of renal cancer in a paediatric patient. Fam. Cancer 2010, 9, 239–243. [Google Scholar] [CrossRef] [PubMed]
- Chen, Y.B.; Xu, J.; Skanderup, A.J.; Dong, Y.; Brannon, A.R.; Wang, L.; Won, H.H.; Wang, P.I.; Nanjangud, G.J.; Jungbluth, A.A.; et al. Molecular analysis of aggressive renal cell carcinoma with unclassified histology reveals distinct subsets. Nat. Commun. 2016, 7, 13131. [Google Scholar] [CrossRef] [PubMed]
- Marcoval, J.; Llobera-Ris, C.; Moreno-Vílchez, C.; Penín, R.M. Cutaneous Leiomyoma: A Clinical Study of 152 Patients. Dermatology 2022, 238, 587–593. [Google Scholar] [CrossRef] [PubMed]
- Uimari, O.; Ahtikoski, A.; Kämpjärvi, K.; Butzow, R.; Järvelä, I.Y.; Ryynänen, M.; Aaltonen, L.A.; Vahteristo, P.; Kuismin, O. Uterine leiomyomas in hereditary leiomyomatosis and renal cell cancer (HLRCC) syndrome can be identified through distinct clinical characteristics and typical morphology. Acta Obstet. Gynecol. Scand. 2021, 100, 2066–2075. [Google Scholar] [CrossRef] [PubMed]
- Chen, Y.B.; Brannon, A.R.; Toubaji, A.; Dudas, M.E.; Won, H.H.; Al-Ahmadie, H.A.; Fine, S.W.; Gopalan, A.; Frizzell, N.; Voss, M.H.; et al. Hereditary leiomyomatosis and renal cell carcinoma syndrome-associated renal cancer: Recognition of the syndrome by pathologic features and the utility of detecting aberrant succination by immunohistochemistry. Am. J. Surg. Pathol. 2014, 38, 627–637. [Google Scholar] [CrossRef]
- Zheng, L.; Zhu, Z.R.; Sneh, T.; Zhang, W.T.; Wang, Z.Y.; Wu, G.Y.; He, W.; Qi, H.G.; Wang, H.; Wu, X.Y.; et al. Circulating succinate-modifying metabolites accurately classify and reflect the status of fumarate hydratase-deficient renal cell carcinoma. J. Clin. Investig. 2023, 133, e165028. [Google Scholar] [CrossRef]
- Kancherla, P.; Daneshvar, M.; Sager, R.A.; Mollapour, M.; Bratslavsky, G. Fumarate hydratase as a therapeutic target in renal cancer. Expert Opin. Ther. Targets 2020, 24, 923–936. [Google Scholar] [CrossRef] [PubMed]
- Ge, X.; Li, M.; Yin, J.; Shi, Z.; Fu, Y.; Zhao, N.; Chen, H.; Meng, L.; Li, X.; Hu, Z.; et al. Fumarate inhibits PTEN to promote tumorigenesis and therapeutic resistance of type2 papillary renal cell carcinoma. Mol. Cell 2022, 82, 1249–1260.e1247. [Google Scholar] [CrossRef] [PubMed]
- Pollard, P.J.; Spencer-Dene, B.; Shukla, D.; Howarth, K.; Nye, E.; El-Bahrawy, M.; Deheragoda, M.; Joannou, M.; McDonald, S.; Martin, A.; et al. Targeted inactivation of fh1 causes proliferative renal cyst development and activation of the hypoxia pathway. Cancer Cell 2007, 11, 311–319. [Google Scholar] [CrossRef] [PubMed]




Disclaimer/Publisher’s Note: The statements, opinions and data contained in all publications are solely those of the individual author(s) and contributor(s) and not of MDPI and/or the editor(s). MDPI and/or the editor(s) disclaim responsibility for any injury to people or property resulting from any ideas, methods, instructions or products referred to in the content. |
© 2024 by the authors. Licensee MDPI, Basel, Switzerland. This article is an open access article distributed under the terms and conditions of the Creative Commons Attribution (CC BY) license (https://creativecommons.org/licenses/by/4.0/).
Share and Cite
Nagashima, A.; Morimura, S.; Hamada, T.; Shiomi, T.; Mori, I.; Sato, N.; Nomoto, J.; Tanaka, M.; Tsuji, S.; Sugaya, M. Whole-Exome Sequencing Revealed a Pathogenic Germline Variant in the Fumarate Hydratase Gene, Leading to the Diagnosis of Hereditary Leiomyomatosis and Renal Cell Cancer. Diagnostics 2024, 14, 1279. https://doi.org/10.3390/diagnostics14121279
Nagashima A, Morimura S, Hamada T, Shiomi T, Mori I, Sato N, Nomoto J, Tanaka M, Tsuji S, Sugaya M. Whole-Exome Sequencing Revealed a Pathogenic Germline Variant in the Fumarate Hydratase Gene, Leading to the Diagnosis of Hereditary Leiomyomatosis and Renal Cell Cancer. Diagnostics. 2024; 14(12):1279. https://doi.org/10.3390/diagnostics14121279
Chicago/Turabian StyleNagashima, Akari, Sohshi Morimura, Toshihisa Hamada, Takayuki Shiomi, Ichiro Mori, Naoko Sato, Junko Nomoto, Masaki Tanaka, Shoji Tsuji, and Makoto Sugaya. 2024. "Whole-Exome Sequencing Revealed a Pathogenic Germline Variant in the Fumarate Hydratase Gene, Leading to the Diagnosis of Hereditary Leiomyomatosis and Renal Cell Cancer" Diagnostics 14, no. 12: 1279. https://doi.org/10.3390/diagnostics14121279
APA StyleNagashima, A., Morimura, S., Hamada, T., Shiomi, T., Mori, I., Sato, N., Nomoto, J., Tanaka, M., Tsuji, S., & Sugaya, M. (2024). Whole-Exome Sequencing Revealed a Pathogenic Germline Variant in the Fumarate Hydratase Gene, Leading to the Diagnosis of Hereditary Leiomyomatosis and Renal Cell Cancer. Diagnostics, 14(12), 1279. https://doi.org/10.3390/diagnostics14121279

