The Impact of AI on Metal Artifacts in CBCT Oral Cavity Imaging
Abstract
1. Introduction
2. Materials and Methods
2.1. Population and Sample Size Calculations
2.2. CBCT Scanning Protocol and Image Reconstruction
2.3. Objective Image Quality Assessment
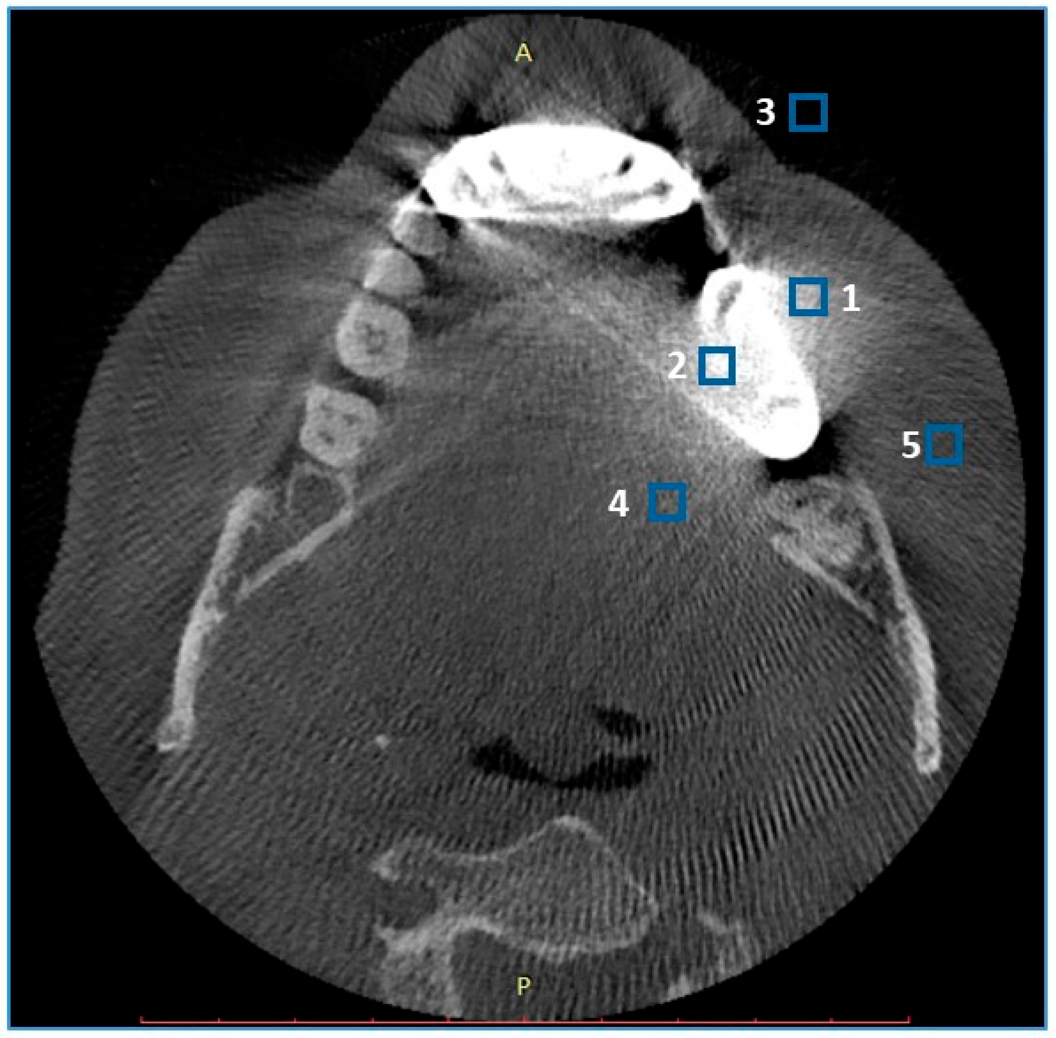
- -
- ROIs 1 and 2 in the near field (<10 mm) of the metal object, anterior and posterior to the object, preferable to homogenous bone tissue (spongious bone, dentine);
- -
- ROI 3 in the air anterior to the skin;
- -
- ROI 4 within the tongue musculature;
- -
- ROI 5 within the subcutaneous adipose tissue of the cheek closest to the metal object.
2.4. Subjective Image Quality Assessment
2.5. Inter- and Intrareader Agreement
2.6. Statistical Analysis
3. Results
3.1. Patient Population and Sample Size
3.2. Objective Image Quality
3.3. Subjective Image Quality
3.4. Intrareader and Inter-Reader Reliability
4. Discussion
5. Conclusions
Author Contributions
Funding
Institutional Review Board Statement
Informed Consent Statement
Data Availability Statement
Conflicts of Interest
References
- Dawood, A.; Patel, S.; Brown, J. Cone Beam CT in Dental Practice. Br. Dent. J. 2009, 207, 23–28. [Google Scholar] [CrossRef] [PubMed]
- Gaêta-Araujo, H.; Leite, A.F.; de Faria Vasconcelos, K.; Jacobs, R. Two Decades of Research on CBCT Imaging in DMFR—An Appraisal of Scientific Evidence. Dentomaxillofac. Radiol. 2021, 50, 20200367. [Google Scholar] [CrossRef] [PubMed]
- Kaasalainen, T.; Ekholm, M.; Siiskonen, T.; Kortesniemi, M. Dental Cone Beam CT: An Updated Review. Phys. Med. 2021, 88, 193–217. [Google Scholar] [CrossRef] [PubMed]
- Machado, A.H.; Fardim, K.A.C.; de Souza, C.F.; Sotto-Maior, B.S.; Assis, N.M.S.P.; Devito, K.L. Effect of Anatomical Region on the Formation of Metal Artefacts Produced by Dental Implants in Cone Beam Computed Tomographic Images. Dentomaxillofac. Radiol. 2018, 47, 20170281. [Google Scholar] [CrossRef] [PubMed]
- Schulze, R.; Heil, U.; Groß, D.; Bruellmann, D.D.; Dranischnikow, E.; Schwanecke, U.; Schoemer, E. Artefacts in CBCT: A Review. Dentomaxillofac. Radiol. 2011, 40, 265–273. [Google Scholar] [CrossRef] [PubMed]
- Terrabuio, B.R.; Carvalho, C.G.; Peralta-Mamani, M.; da Silva Santos, P.S.; Rubiran Bullen, I.R.F.; Fische Rubira, C.M. Cone-Beam Computed Tomography Artifacts in the Presence of Dental Implants and Associated Factors: An Integrative Review. Imaging Sci. Dent. 2021, 51, 93. [Google Scholar] [CrossRef] [PubMed]
- Demirturk Kocasarac, H.; Helvacioglu Yigit, D.; Bechara, B.; Sinanoglu, A.; Noujeim, M. Contrast-to-Noise Ratio with Different Settings in a CBCT Machine in Presence of Different Root-End Filling Materials: An in Vitro Study. Dentomaxillofac. Radiol. 2016, 45, 20160012. [Google Scholar] [CrossRef] [PubMed]
- De Man, B.; Nuyts, J.; Dupont, P.; Marchal, G.; Suetens, P. Metal Streak Artifacts in X-ray Computed Tomography: A Simulation Study. IEEE Trans. Nucl. Sci. 1999, 46, 691–696. [Google Scholar] [CrossRef]
- Bechara, B.; McMahan, C.A.; Moore, W.S.; Noujeim, M.; Geha, H.; Teixeira, F.B. Contrast-to-Noise Ratio Difference in Small Field of View Cone Beam Computed Tomography Machines. J. Oral Sci. 2012, 54, 227–232. [Google Scholar] [CrossRef] [PubMed]
- Kalender, W.A.; Hebel, R.; Ebersberger, J. Reduction of CT Artifacts Caused by Metallic Implants. Radiology 1987, 164, 576–577. [Google Scholar] [CrossRef] [PubMed]
- Gardner, S.J.; Mao, W.; Liu, C.; Aref, I.; Elshaikh, M.; Lee, J.K.; Pradhan, D.; Movsas, B.; Chetty, I.J.; Siddiqui, F. Improvements in CBCT Image Quality Using a Novel Iterative Reconstruction Algorithm: A Clinical Evaluation. Adv. Radiat. Oncol. 2019, 4, 390–400. [Google Scholar] [CrossRef] [PubMed]
- Washio, H.; Ohira, S.; Funama, Y.; Morimoto, M.; Wada, K.; Yagi, M.; Shimamoto, H.; Koike, Y.; Ueda, Y.; Karino, T.; et al. Metal Artifact Reduction Using Iterative CBCT Reconstruction Algorithm for Head and Neck Radiation Therapy: A Phantom and Clinical Study. Eur. J. Radiol. 2020, 132, 109293. [Google Scholar] [CrossRef] [PubMed]
- Tang, H.; Lin, Y.B.; Jiang, S.D.; Li, Y.; Li, T.; Bao, X.D. A New Dental CBCT Metal Artifact Reduction Method Based on a Dual-Domain Processing Framework. Phys. Med. Biol. 2023, 68, 175016. [Google Scholar] [CrossRef] [PubMed]
- Zhang, Y.; Yu, H. Convolutional Neural Network Based Metal Artifact Reduction in X-ray Computed Tomography. IEEE Trans. Med. Imaging 2018, 37, 1370–1381. [Google Scholar] [CrossRef] [PubMed]
- Kazimierczak, N.; Kazimierczak, W.; Serafin, Z.; Nowicki, P.; Nożewski, J.; Janiszewska-Olszowska, J. AI in Orthodontics: Revolutionizing Diagnostics and Treatment Planning—A Comprehensive Review. J. Clin. Med. 2024, 13, 344. [Google Scholar] [CrossRef] [PubMed]
- Ren, R.; Luo, H.; Su, C.; Yao, Y.; Liao, W. Machine Learning in Dental, Oral and Craniofacial Imaging: A Review of Recent Progress. PeerJ 2021, 9, e11451. [Google Scholar] [CrossRef] [PubMed]
- Abesi, F.; Jamali, A.S.; Zamani, M. Accuracy of Artificial Intelligence in the Detection and Segmentation of Oral and Maxillofacial Structures Using Cone-Beam Computed Tomography Images: A Systematic Review and Meta-Analysis. Pol. J. Radiol. 2023, 88, e256. [Google Scholar] [CrossRef] [PubMed]
- Koetzier, L.R.; Mastrodicasa, D.; Szczykutowicz, T.P.; van der Werf, N.R.; Wang, A.S.; Sandfort, V.; van der Molen, A.J.; Fleischmann, D.; Willemink, M.J. Deep Learning Image Reconstruction for CT: Technical Principles and Clinical Prospects. Radiology 2023, 306, e221257. [Google Scholar] [CrossRef] [PubMed]
- Nam, J.G.; Hong, J.H.; Kim, D.S.; Oh, J.; Goo, J.M. Deep Learning Reconstruction for Contrast-Enhanced CT of the Upper Abdomen: Similar Image Quality with Lower Radiation Dose in Direct Comparison with Iterative Reconstruction. Eur. Radiol. 2021, 31, 5533–5543. [Google Scholar] [CrossRef] [PubMed]
- Choi, H.; Chang, W.; Kim, J.H.; Ahn, C.; Lee, H.; Kim, H.Y.; Cho, J.; Lee, Y.J.; Kim, Y.H. Dose Reduction Potential of Vendor-Agnostic Deep Learning Model in Comparison with Deep Learning–Based Image Reconstruction Algorithm on CT: A Phantom Study. Eur. Radiol. 2022, 32, 1247–1255. [Google Scholar] [CrossRef] [PubMed]
- Hong, J.H.; Park, E.-A.; Lee, W.; Ahn, C.; Kim, J.-H. Incremental Image Noise Reduction in Coronary CT Angiography Using a Deep Learning-Based Technique with Iterative Reconstruction. Korean J. Radiol. 2020, 21, 1165–1177. [Google Scholar] [CrossRef] [PubMed]
- Brady, S.L.; Trout, A.T.; Somasundaram, E.; Anton, C.G.; Li, Y.; Dillman, J.R. Improving Image Quality and Reducing Radiation Dose for Pediatric CT by Using Deep Learning Reconstruction. Radiology 2020, 298, 180–188. [Google Scholar] [CrossRef] [PubMed]
- Racine, D.; Brat, H.G.; Dufour, B.; Steity, J.M.; Hussenot, M.; Rizk, B.; Fournier, D.; Zanca, F. Image Texture, Low Contrast Liver Lesion Detectability and Impact on Dose: Deep Learning Algorithm Compared to Partial Model-Based Iterative Reconstruction. Eur. J. Radiol. 2021, 141, 109808. [Google Scholar] [CrossRef] [PubMed]
- Kazimierczak, W.; Kędziora, K.; Janiszewska-Olszowska, J.; Kazimierczak, N.; Serafin, Z. Noise-Optimized CBCT Imaging of Temporomandibular Joints—The Impact of AI on Image Quality. J. Clin. Med. 2024, 13, 1502. [Google Scholar] [CrossRef] [PubMed]
- Kazimierczak, W.; Kazimierczak, N.; Wilamowska, J.; Wojtowicz, O.; Nowak, E.; Serafin, Z. Enhanced Visualization in Endoleak Detection through Iterative and AI-Noise Optimized Spectral Reconstructions. Sci. Rep. 2024, 14, 3845. [Google Scholar] [CrossRef] [PubMed]
- Nam, J.G.; Ahn, C.; Choi, H.; Hong, W.; Park, J.; Kim, J.H.; Goo, J.M. Image Quality of Ultralow-Dose Chest CT Using Deep Learning Techniques: Potential Superiority of Vendor-Agnostic Post-Processing over Vendor-Specific Techniques. Eur. Radiol. 2021, 31, 5139–5147. [Google Scholar] [CrossRef] [PubMed]
- Schneider, C.; Rasband, W.; Eliceiri, K. NIH Image to ImageJ: 25 Years of Image Analysis. Nat. Methods 2012, 9, 671–675. [Google Scholar] [CrossRef] [PubMed]
- Zhu, L.; Chen, Y.; Yang, J.; Tao, X.; Xi, Y. Evaluation of the Dental Spectral Cone Beam CT for Metal Artefact Reduction. Dentomaxillofac. Radiol. 2019, 48, 20180044. [Google Scholar] [CrossRef] [PubMed]
- Fontenele, R.C.; Nascimento, E.H.L.; Vasconcelos, T.V.; Noujeim, M.; Freitas, D.Q. Magnitude of Cone Beam CT Image Artifacts Related to Zirconium and Titanium Implants: Impact on Image Quality. Dentomaxillofac. Radiol. 2018, 47, 20180021. [Google Scholar] [CrossRef] [PubMed]
- Kazimierczak, W.; Kazimierczak, N.; Serafin, Z. Review of Clinical Applications of Dual-Energy CT in Patients after Endovascular Aortic Repair. J. Clin. Med. 2023, 12, 7766. [Google Scholar] [CrossRef] [PubMed]
- Große Hokamp, N.; Hellerbach, A.; Gierich, A.; Jordan, D.W.; Visser-Vandewalle, V.; Maintz, D.; Haneder, S. Reduction of Artifacts Caused by Deep Brain Stimulating Electrodes in Cranial Computed Tomography Imaging by Means of Virtual Monoenergetic Images, Metal Artifact Reduction Algorithms, and Their Combination. Investig. Radiol. 2018, 53, 424–431. [Google Scholar] [CrossRef] [PubMed]
- Neuhaus, V.; Große Hokamp, N.; Abdullayev, N.; Rau, R.; Mpotsaris, A.; Maintz, D.; Borggrefe, J. Metal Artifact Reduction by Dual-Layer Computed Tomography Using Virtual Monoenergetic Images. Eur. J. Radiol. 2017, 93, 143–148. [Google Scholar] [CrossRef] [PubMed]
- Li, B.; Spronk, D.; Luo, Y.; Puett, C.; Inscoe, C.R.; Tyndall, D.A.; Lee, Y.Z.; Lu, J.; Zhou, O. Feasibility of Dual-Energy CBCT by Spectral Filtration of a Dual-Focus CNT X-ray Source. PLoS ONE 2022, 17, e0262713. [Google Scholar] [CrossRef] [PubMed]
- Wang, G.; Snyder, D.L.; O’Sullivan, J.A.; Vannier, M.W. Iterative Deblurring for CT Metal Artifact Reduction. IEEE Trans. Med. Imaging 1996, 15, 657–664. [Google Scholar] [CrossRef] [PubMed]
- Boas, F.E.; Fleischmann, D. Evaluation of Two Iterative Techniques for Reducing Metal Artifacts in Computed Tomography. Radiology 2011, 259, 894–902. [Google Scholar] [CrossRef] [PubMed]
- de Crop, A.; Casselman, J.; van Hoof, T.; Dierens, M.; Vereecke, E.; Bossu, N.; Pamplona, J.; D’Herde, K.; Thierens, H.; Bacher, K. Analysis of Metal Artifact Reduction Tools for Dental Hardware in CT Scans of the Oral Cavity: KVp, Iterative Reconstruction, Dual-Energy CT, Metal Artifact Reduction Software: Does It Make a Difference? Neuroradiology 2015, 57, 841–849. [Google Scholar] [CrossRef] [PubMed]
- Fang, J.; Zhang, D.; Wilcox, C.; Heidinger, B.; Raptopoulos, V.; Brook, A.; Brook, O.R. Metal Implants on CT: Comparison of Iterative Reconstruction Algorithms for Reduction of Metal Artifacts with Single Energy and Spectral CT Scanning in a Phantom Model. Abdom. Radiol. 2017, 42, 742–748. [Google Scholar] [CrossRef] [PubMed]
- Wayer, D.R.; Kim, N.Y.; Otto, B.J.; Grayev, A.M.; Kuner, A.D. Unintended Consequences: Review of New Artifacts Introduced by Iterative Reconstruction CT Metal Artifact Reduction in Spine Imaging. Am. J. Neuroradiol. 2019, 40, 1973–1975. [Google Scholar] [CrossRef] [PubMed]
- Kazimierczak, W.; Nowak, E.; Kazimierczak, N.; Jankowski, T.; Jankowska, A.; Serafin, Z. The Value of Metal Artifact Reduction and Iterative Algorithms in Dual Energy CT Angiography in Patients after Complex Endovascular Aortic Aneurysm Repair. Heliyon 2023, 9, e20700. [Google Scholar] [CrossRef] [PubMed]
- Gjesteby, L.; Yang, Q.; Xi, Y.; Claus, B.E.H.; Jin, Y.; De Man, B.; Wang, G.; Shan, H. Deep Learning Methods for CT Image-Domain Metal Artifact Reduction. In Developments in X-ray Tomography XI; SPIE: Bellingham, WA, USA, 2017. [Google Scholar]
- Park, H.S.; Seo, J.K.; Hyun, C.M.; Lee, S.M.; Jeon, K. A Fidelity-Embedded Learning for Metal Artifact Reduction in Dental CBCT. Med. Phys. 2022, 49, 5195–5205. [Google Scholar] [CrossRef] [PubMed]
- Song, Y.; Yao, T.; Peng, S.; Zhu, M.; Meng, M.Q.; Ma, J.; Zeng, D.; Huang, J.; Wang, Y.; Bian, Z. b-MAR: Bidirectional artifact representations learning framework for metal artifact reduction in dental CBCT. Phys. Med. Biol. 2024. Epub ahead of print. [Google Scholar] [CrossRef] [PubMed]
- Rohleder, M.; Gottschalk, T.M.; Maier, A.; Kreher, B.W. Cross-domain metal segmentation for CBCT metal artifact reduction. In Proceedings of the SPIE 12304, 7th International Conference on Image Formation in X-ray Computed Tomography, 123040K, Baltimore, MD, USA, 17 October 2022. [Google Scholar] [CrossRef]
- Hu, Z.; Jiang, C.; Sun, F.; Zhang, Q.; Ge, Y.; Yang, Y.; Liu, X.; Zheng, H.; Liang, D. Artifact Correction in Low-Dose Dental CT Imaging Using Wasserstein Generative Adversarial Networks. Med. Phys. 2019, 46, 1686–1696. [Google Scholar] [CrossRef] [PubMed]
- Ramage, A.; Lopez Gutierrez, B.; Fischer, K.; Sekula, M.; Santaella, G.M.; Scarfe, W.; Brasil, D.M.; de Oliveira-Santos, C. Filtered Back Projection vs. Iterative Reconstruction for CBCT: Effects on Image Noise and Processing Time. Dentomaxillofac. Radiol. 2023, 52, 20230109. [Google Scholar] [CrossRef] [PubMed]
- Hegazy, M.A.A.; Cho, M.H.; Lee, S.Y. Image Denoising by Transfer Learning of Generative Adversarial Network for Dental CT. Biomed. Phys. Eng. Express 2020, 6, 055024. [Google Scholar] [CrossRef] [PubMed]
- Hegazy, M.A.A.; Cho, M.H.; Lee, S.Y. Half-Scan Artifact Correction Using Generative Adversarial Network for Dental CT. Comput. Biol. Med. 2021, 132, 104313. [Google Scholar] [CrossRef] [PubMed]
- Zhang, J.; He, B.; Yang, Z.; Kang, W. A Novel Reconstruction of the Sparse-View CBCT Algorithm for Correcting Artifacts and Reducing Noise. Mathematics 2023, 11, 2127. [Google Scholar] [CrossRef]
- Choi, K.; Kim, S.H.; Kim, S. Self-Supervised Denoising of Projection Data for Low-Dose Cone-Beam CT. Med. Phys. 2023, 50, 6319–6333. [Google Scholar] [CrossRef] [PubMed]
- Chen, L.; Liang, X.; Shen, C.; Jiang, S.; Wang, J. Synthetic CT Generation from CBCT Images via Deep Learning. Med. Phys. 2020, 47, 1115–1125. [Google Scholar] [CrossRef] [PubMed]
- Lee, D.; Park, C.; Lim, Y.; Cho, H. A Metal Artifact Reduction Method Using a Fully Convolutional Network in the Sinogram and Image Domains for Dental Computed Tomography. J. Digit. Imaging 2020, 33, 538–546. [Google Scholar] [CrossRef] [PubMed]
- Codari, M.; de Faria Vasconcelos, K.; Ferreira Pinheiro Nicolielo, L.; Haiter Neto, F.; Jacobs, R. Quantitative Evaluation of Metal Artifacts Using Different CBCT Devices, High-Density Materials and Field of Views. Clin. Oral Implants Res. 2017, 28, 1509–1514. [Google Scholar] [CrossRef] [PubMed]
- Pauwels, R.; Stamatakis, H.; Bosmans, H.; Bogaerts, R.; Jacobs, R.; Horner, K.; Tsiklakis, K. Quantification of Metal Artifacts on Cone Beam Computed Tomography Images. Clin. Oral Implants Res. 2013, 24, 94–99. [Google Scholar] [CrossRef] [PubMed]




| Parameter | Measurement | Mean | SD | Median | Min | Max | Q1 | Q3 | p |
|---|---|---|---|---|---|---|---|---|---|
| ΔVV | Native | 174.41 | 266.69 | 73.25 | 0.0 | 1534.30 | 27.75 | 178.62 | p = 0.094 |
| DLM | 174.07 | 263.69 | 71.75 | 0.1 | 1506.00 | 30.47 | 177.12 | ||
| AIx | Native | 166.65 | 218.96 | 73.89 | 0.0 | 1426.54 | 27.05 | 204.14 | p = 0.001 * |
| DLM | 158.31 | 199.10 | 68.23 | 0.0 | 1215.26 | 25.48 | 205.84 | ||
| CNR | Native | 0.79 | 1.05 | 0.52 | 0.0 | 14.13 | 0.23 | 1.07 | p < 0.001 * |
| DLM | 0.93 | 1.52 | 0.61 | 0.0 | 23.11 | 0.26 | 1.15 |
| Parameter | Measurement | Mean | SD | Median | Min | Max | Q1 | Q3 | p |
|---|---|---|---|---|---|---|---|---|---|
| ΔVV | Native | 339.64 | 341.88 | 205.95 | 3.60 | 1534.30 | 104.20 | 462.15 | p = 0.785 |
| DLM | 341.04 | 335.61 | 214.25 | 7.90 | 1506.00 | 106.07 | 449.28 | ||
| AIx | Native | 379.50 | 342.29 | 280.71 | 0.00 | 2374.64 | 159.29 | 491.80 | p = 0.214 |
| DLM | 350.92 | 254.12 | 281.25 | 35.19 | 1301.66 | 170.38 | 469.82 | ||
| CNR | Native | 0.70 | 0.62 | 0.54 | 0.00 | 3.83 | 0.23 | 1.01 | p = 0.001 * |
| DLM | 0.72 | 0.63 | 0.55 | 0.01 | 3.72 | 0.25 | 1.04 |
| Parameter | Type of Object | Reconstruction | Mean | SD | Median | Min | Max | Q1 | Q3 | p |
|---|---|---|---|---|---|---|---|---|---|---|
| ΔVV | Implants | Native | 119.70 | 164.77 | 53.30 | 4.60 | 919.40 | 23.98 | 135.80 | p = 0.125 |
| DLM | 121.27 | 165.82 | 53.60 | 2.10 | 939.00 | 26.15 | 138.43 | |||
| Amalgam fillings | Native | 215.32 | 276.75 | 108.90 | 9.40 | 1231.40 | 49.00 | 274.40 | p = 0.699 | |
| DLM | 213.79 | 281.48 | 105.90 | 7.90 | 1233.30 | 46.30 | 314.50 | |||
| Orthodontic appliances | Native | 224.82 | 352.62 | 70.25 | 0.30 | 1505.00 | 24.45 | 222.58 | p = 0.567 | |
| DLM | 230.54 | 352.02 | 68.50 | 0.20 | 1506.00 | 33.37 | 357.38 | |||
| Root canal fillings | Native | 161.16 | 212.14 | 82.75 | 1.10 | 1177.90 | 29.70 | 186.93 | p = 0.356 | |
| DLM | 160.54 | 209.45 | 85.25 | 0.90 | 1177.50 | 31.80 | 185.95 | |||
| Crown | Native | 227.84 | 389.47 | 64.00 | 0.00 | 1534.30 | 15.90 | 160.25 | p = 0.195 | |
| DLM | 222.89 | 379.95 | 63.70 | 0.10 | 1486.80 | 22.60 | 157.65 | |||
| CNR | Implants | Native | 0.97 | 1.72 | 0.60 | 0.05 | 14.13 | 0.26 | 1.15 | p = 0.350 |
| DLM | 1.22 | 2.76 | 0.74 | 0.03 | 23.11 | 0.31 | 1.33 | |||
| Amalgam fillings | Native | 0.81 | 0.65 | 0.62 | 0.01 | 2.87 | 0.42 | 1.03 | p = 0.156 | |
| DLM | 0.90 | 0.80 | 0.64 | 0.01 | 3.44 | 0.38 | 1.12 | |||
| Orthodontic appliances | Native | 0.60 | 0.77 | 0.38 | 0.00 | 3.83 | 0.08 | 0.71 | p = 0.656 | |
| DLM | 0.64 | 0.76 | 0.44 | 0.00 | 3.72 | 0.13 | 0.74 | |||
| Root canal fillings | Native | 0.74 | 0.69 | 0.52 | 0.02 | 4.59 | 0.28 | 1.03 | p = 0.003 * | |
| DLM | 0.85 | 0.80 | 0.60 | 0.01 | 4.47 | 0.31 | 1.11 | |||
| Crown | Native | 0.78 | 0.84 | 0.41 | 0.00 | 3.82 | 0.18 | 1.14 | p = 0.097 | |
| DLM | 0.89 | 0.99 | 0.55 | 0.02 | 4.24 | 0.18 | 1.21 | |||
| AIx | Implants | Native | 105.00 | 172.18 | 34.19 | 5.17 | 852.14 | 17.23 | 133.07 | p = 0.641 |
| DLM | 105.73 | 168.95 | 39.54 | 2.64 | 842.48 | 18.77 | 128.38 | |||
| Amalgam fillings | Native | 178.87 | 165.61 | 146.87 | 8.01 | 570.81 | 59.14 | 233.52 | p = 0.474 | |
| DLM | 168.42 | 165.18 | 128.50 | 0.00 | 550.87 | 43.39 | 222.61 | |||
| Orthodontic appliances | Native | 285.51 | 355.50 | 138.01 | 20.56 | 1426.54 | 61.63 | 338.19 | p = 0.157 | |
| DLM | 242.02 | 282.87 | 123.68 | 9.54 | 1215.26 | 47.12 | 356.00 | |||
| Root canal fillings | Native | 167.04 | 199.54 | 65.43 | 0.00 | 996.37 | 30.91 | 221.97 | p = 0.155 | |
| DLM | 162.46 | 191.93 | 71.11 | 4.14 | 1025.77 | 30.29 | 234.94 | |||
| Crown | Native | 173.85 | 217.91 | 103.15 | 0.57 | 972.66 | 25.05 | 204.70 | p = 0.247 | |
| DLM | 165.63 | 198.34 | 85.15 | 1.31 | 796.04 | 25.27 | 204.76 |
| Parameter | Measurement | N | Mean | SD | Median | Min | Max | Q1 | Q3 | p |
|---|---|---|---|---|---|---|---|---|---|---|
| Overall image quality | Native | 244 | 3.16 | 0.63 | 3 | 2 | 5 | 3 | 4 | p < 0.001 * |
| DLM | 244 | 3.86 | 0.82 | 4 | 2 | 5 | 3 | 4 | ||
| Intensity of artifacts | Native | 244 | 3.55 | 0.67 | 4 | 1 | 4 | 3 | 4 | p < 0.001 * |
| DLM | 244 | 3.22 | 0.76 | 3 | 1 | 4 | 3 | 4 |
| Reconstruction | Parameter | ICC | 95% CI | Agreement (Cicchetti) | |
|---|---|---|---|---|---|
| Native | Overall image quality | 0.515 | 0.371 | 0.634 | Fair |
| Intensity of artifacts | 0.757 | 0.670 | 0.824 | Excellent | |
| DLM | Overall image quality | 0.515 | 0.372 | 0.634 | Fair |
| Intensity of artifacts | 0.681 | 0.572 | 0.767 | Good | |
| Reconstruction | Parameter | ICC | 95% CI | Agreement (Cicchetti) | |
|---|---|---|---|---|---|
| Native | Overall image quality | 0.477 | 0.326 | 0.604 | Fair |
| Intensity of artifacts | 0.721 | 0.624 | 0.797 | Good | |
| DLM | Overall image quality | 0.478 | 0.330 | 0.604 | Fair |
| Intensity of artifacts | 0.573 | 0.429 | 0.686 | Fair | |
Disclaimer/Publisher’s Note: The statements, opinions and data contained in all publications are solely those of the individual author(s) and contributor(s) and not of MDPI and/or the editor(s). MDPI and/or the editor(s) disclaim responsibility for any injury to people or property resulting from any ideas, methods, instructions or products referred to in the content. |
© 2024 by the authors. Licensee MDPI, Basel, Switzerland. This article is an open access article distributed under the terms and conditions of the Creative Commons Attribution (CC BY) license (https://creativecommons.org/licenses/by/4.0/).
Share and Cite
Wajer, R.; Wajer, A.; Kazimierczak, N.; Wilamowska, J.; Serafin, Z. The Impact of AI on Metal Artifacts in CBCT Oral Cavity Imaging. Diagnostics 2024, 14, 1280. https://doi.org/10.3390/diagnostics14121280
Wajer R, Wajer A, Kazimierczak N, Wilamowska J, Serafin Z. The Impact of AI on Metal Artifacts in CBCT Oral Cavity Imaging. Diagnostics. 2024; 14(12):1280. https://doi.org/10.3390/diagnostics14121280
Chicago/Turabian StyleWajer, Róża, Adrian Wajer, Natalia Kazimierczak, Justyna Wilamowska, and Zbigniew Serafin. 2024. "The Impact of AI on Metal Artifacts in CBCT Oral Cavity Imaging" Diagnostics 14, no. 12: 1280. https://doi.org/10.3390/diagnostics14121280
APA StyleWajer, R., Wajer, A., Kazimierczak, N., Wilamowska, J., & Serafin, Z. (2024). The Impact of AI on Metal Artifacts in CBCT Oral Cavity Imaging. Diagnostics, 14(12), 1280. https://doi.org/10.3390/diagnostics14121280

