ML Models Built Using Clinical Parameters and Radiomic Features Extracted from 18F-Choline PET/CT for the Prediction of Biochemical Recurrence after Metastasis-Directed Therapy in Patients with Oligometastatic Prostate Cancer
Abstract
1. Introduction
2. Materials and Methods
2.1. Study Population and Data Collection
2.2. MDT and Follow-Up
2.3. 18F-Choline PET/CT Acquisition Protocol and Analysis
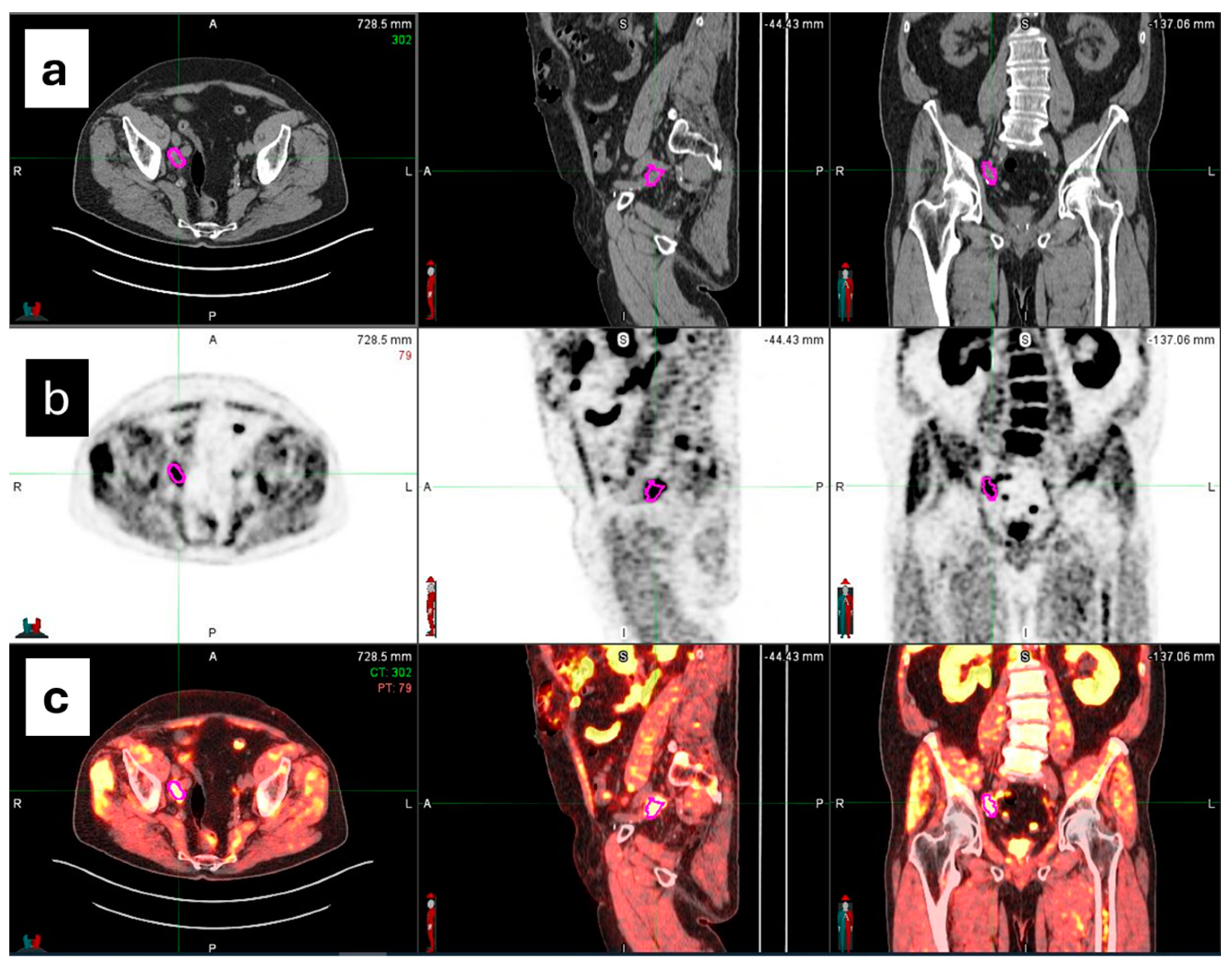
2.4. Image Segmentation and Feature Extraction
2.5. Statistical Analysis and Model Building
3. Results
3.1. Population Analysis
3.2. 18F-Choline PET/CT Parameters and PSA Analysis
3.3. Radiomic Analysis and Model Building
4. Discussion
5. Conclusions
Supplementary Materials
Author Contributions
Funding
Institutional Review Board Statement
Informed Consent Statement
Data Availability Statement
Conflicts of Interest
References
- Shore, N.D.; Moul, J.W.; Pienta, K.J.; Czernin, J.; King, M.T.; Freedland, S.J. Biochemical Recurrence in Patients with Prostate Cancer after Primary Definitive Therapy: Treatment Based on Risk Stratification. Prostate Cancer Prostatic Dis. 2023. [Google Scholar] [CrossRef] [PubMed]
- Miszczyk, M.; Rajwa, P.; Yanagisawa, T.; Nowicka, Z.; Shim, S.R.; Laukhtina, E.; Kawada, T.; von Deimling, M.; Pradere, B.; Rivas, J.G.; et al. The Efficacy and Safety of Metastasis-Directed Therapy in Patients with Prostate Cancer: A Systematic Review and Meta-Analysis of Prospective Studies. Eur. Urol. 2024, 85, 125–138. [Google Scholar] [CrossRef] [PubMed]
- Shore, N.D.; Morgans, A.K.; El-Haddad, G.; Srinivas, S.; Abramowitz, M. Addressing Challenges and Controversies in the Management of Prostate Cancer with Multidisciplinary Teams. Target Oncol. 2022, 17, 709. [Google Scholar] [CrossRef] [PubMed]
- Ost, P.; Reynders, D.; Decaestecker, K.; Fonteyne, V.; Lumen, N.; De Bruycker, A.; Lambert, B.; Delrue, L.; Bultijnck, R.; Claeys, T.; et al. Surveillance or Metastasis-Directed Therapy for Oligometastatic Prostate Cancer Recurrence: A Prospective, Randomized, Multicenter Phase II Trial. J. Clin. Oncol. 2017, 36, 446–453. [Google Scholar] [CrossRef] [PubMed]
- Phillips, R.; Shi, W.Y.; Deek, M.; Radwan, N.; Lim, S.J.; Antonarakis, E.S.; Rowe, S.P.; Ross, A.E.; Gorin, M.A.; Deville, C.; et al. Outcomes of Observation vs Stereotactic Ablative Radiation for Oligometastatic Prostate Cancer: The ORIOLE Phase 2 Randomized Clinical Trial. JAMA Oncol. 2020, 6, 650–659. [Google Scholar] [CrossRef] [PubMed]
- Urological Infections EAU Guidelines On 2023. EAU Guidelines Office: Arnhem, The Netherlands. Available online: http://uroweb.org/guidelines/compilations-of-all-guidelines/ (accessed on 15 May 2024).
- Giannarini, G.; Fossati, N.; Gandaglia, G.; Cucchiara, V.; Ficarra, V.; Mirone, V.; Montorsi, F.; Briganti, A. Will Image-Guided Metastasis-Directed Therapy Change the Treatment Paradigm of Oligorecurrent Prostate Cancer? Eur. Urol. 2018, 74, 131–133. [Google Scholar] [CrossRef] [PubMed]
- Eiber, M.; Maurer, T.; Souvatzoglou, M.; Beer, A.J.; Ruffani, A.; Haller, B.; Graner, F.P.; Kübler, H.; Haberhorn, U.; Eisenhut, M.; et al. Evaluation of Hybrid 68Ga-PSMA Ligand PET/CT in 248 Patients with Biochemical Recurrence after Radical Prostatectomy. J. Nucl. Med. 2015, 56, 668–674. [Google Scholar] [CrossRef] [PubMed]
- Morigi, J.J.; Stricker, P.D.; Van Leeuwen, P.J.; Tang, R.; Ho, B.; Nguyen, Q.; Hruby, G.; Fogarty, G.; Jagavkar, R.; Kneebone, A.; et al. Prospective Comparison of 18F-Fluoromethylcholine Versus 68Ga-PSMA PET/CT in Prostate Cancer Patients Who Have Rising PSA after Curative Treatment and Are Being Considered for Targeted Therapy. J. Nucl. Med. 2015, 56, 1185–1190. [Google Scholar] [CrossRef] [PubMed]
- Filippi, L.; Urso, L.; Bianconi, F.; Palumbo, B.; Marzola, M.C.; Evangelista, L.; Schillaci, O. Radiomics and Theranostics with Molecular and Metabolic Probes in Prostate Cancer: Toward a Personalized Approach. Expert Rev. Mol. Diagn. 2023, 23, 243–255. [Google Scholar] [CrossRef]
- Urso, L.; Filippi, L.; Castello, A.; Marzola, M.C.; Bartolomei, M.; Cittanti, C.; Florimonte, L.; Castellani, M.; Zucali, P.; Bruni, A.; et al. PSMA PET/CT in Castration-Resistant Prostate Cancer: Myth or Reality? J. Clin. Med. 2023, 12, 7130. [Google Scholar] [CrossRef]
- Lambin, P.; Leijenaar, R.T.H.; Deist, T.M.; Peerlings, J.; De Jong, E.E.C.; Van Timmeren, J.; Sanduleanu, S.; Larue, R.T.H.M.; Even, A.J.G.; Jochems, A.; et al. Radiomics: The Bridge between Medical Imaging and Personalized Medicine. Nat. Rev. Clin. Oncol. 2017, 14, 749–762. [Google Scholar] [CrossRef] [PubMed]
- Manco, L.; Maffei, N.; Strolin, S.; Vichi, S.; Bottazzi, L.; Strigari, L. Basic of Machine Learning and Deep Learning in Imaging for Medical Physicists. Phys. Medica 2021, 83, 194–205. [Google Scholar] [CrossRef] [PubMed]
- Nieri, A.; Manco, L.; Bauckneht, M.; Urso, L.; Caracciolo, M.; Donegani, M.I.; Borgia, F.; Vega, K.; Colella, A.; Ippolito, C.; et al. [18F]FDG PET-TC Radiomics and Machine Learning in the Evaluation of Prostate Incidental Uptake. Expert Rev. Med. Devices 2023, 20, 1183–1191. [Google Scholar] [CrossRef] [PubMed]
- Evangelista, L.; Fiz, F.; Laudicella, R.; Bianconi, F.; Castello, A.; Guglielmo, P.; Liberini, V.; Manco, L.; Frantellizzi, V.; Giordano, A.; et al. PET Radiomics and Response to Immunotherapy in Lung Cancer: A Systematic Review of the Literature. Cancers 2023, 15, 3258. [Google Scholar] [CrossRef] [PubMed]
- Guglielmo, P.; Marturano, F.; Bettinelli, A.; Gregianin, M.; Paiusco, M.; Evangelista, L. Additional Value of PET Radiomic Features for the Initial Staging of Prostate Cancer: A Systematic Review from the Literature. Cancers 2021, 13, 6026. [Google Scholar] [CrossRef] [PubMed]
- Alongi, P.; Laudicella, R.; Stefano, A.; Caobelli, F.; Comelli, A.; Vento, A.; Sardina, D.; Ganduscio, G.; Toia, P.; Ceci, F.; et al. Choline PET/CT Features to Predict Survival Outcome in High-Risk Prostate Cancer Restaging: A Preliminary Machine-Learning Radiomics Study. Q. J. Nucl. Med. Mol. Imaging Off. Publ. Ital. Assoc. Nucl. Med. (AIMN) Int. Assoc. Radiopharmacol. (IAR) Sect. Soc. 2022, 66, 352–360. [Google Scholar] [CrossRef] [PubMed]
- Mastella, E.; Epile, J.E.; De Guglielmo, E.; Fabbri, S.; Calderoni, F.; Manco, L.; Szilagyi, K.E.; Malorgio, A.; Turra, A.; Stefanelli, A. Stereotactic Body Radiation Therapy (SBRT) for Prostate Cancer: Improving Treatment Delivery Efficiency and Accuracy. Tech. Innov. Patient Support Radiat. Oncol. 2024, 30, 100253. [Google Scholar] [CrossRef]
- Fedorov, A.; Beichel, R.; Kalpathy-Cramer, J.; Finet, J.; Fillion-Robin, J.C.; Pujol, S.; Bauer, C.; Jennings, D.; Fennessy, F.; Sonka, M.; et al. 3D Slicer as an Image Computing Platform for the Quantitative Imaging Network. Magn. Reson. Imaging 2012, 30, 1323–1341. [Google Scholar] [CrossRef] [PubMed]
- Triggiani, L.; Alongi, F.; Buglione, M.; Detti, B.; Santoni, R.; Bruni, A.; Maranzano, E.; Lohr, F.; D’Angelillo, R.; Magli, A.; et al. Efficacy of Stereotactic Body Radiotherapy in Oligorecurrent and in Oligoprogressive Prostate Cancer: New Evidence from a Multicentric Study. Br. J. Cancer 2017, 116, 1520–1525. [Google Scholar] [CrossRef]
- Decaestecker, K.; De Meerleer, G.; Ameye, F.; Fonteyne, V.; Lambert, B.; Joniau, S.; Delrue, L.; Billiet, I.; Duthoy, W.; Junius, S.; et al. Surveillance or Metastasis-Directed Therapy for OligoMetastatic Prostate Cancer Recurrence (STOMP): Study Protocol for a Randomized Phase II Trial. BMC Cancer 2014, 14, 671. [Google Scholar] [CrossRef]
- Triggiani, L.; Mazzola, R.; Tomasini, D.; Bruni, A.; Alicino, G.; Matrone, F.; Bortolus, R.; Francolini, G.; Detti, B.; Magli, A.; et al. Upfront Metastasis-Directed Therapy in Oligorecurrent Prostate Cancer Does Not Decrease the Time from Initiation of Androgen Deprivation Therapy to Castration Resistance. Med. Oncol. 2021, 38, 72. [Google Scholar] [CrossRef] [PubMed]
- Connor, M.J.; Smith, A.; Miah, S.; Shah, T.T.; Winkler, M.; Khoo, V.; Ahmed, H.U. Targeting Oligometastasis with Stereotactic Ablative Radiation Therapy or Surgery in Metastatic Hormone-Sensitive Prostate Cancer: A Systematic Review of Prospective Clinical Trials. Eur. Urol. Oncol. 2020, 3, 582–593. [Google Scholar] [CrossRef] [PubMed]
- De Kouchkovsky, I.; Aggarwal, R.; Hope, T.A. Prostate-Specific Membrane Antigen (PSMA)-Based Imaging in Localized and Advanced Prostate Cancer: A Narrative Review. Transl. Androl. Urol. 2021, 10, 3130. [Google Scholar] [CrossRef] [PubMed]
- Oprea-Lager, D.E.; MacLennan, S.; Bjartell, A.; Briganti, A.; Burger, I.A.; de Jong, I.; De Santis, M.; Eberlein, U.; Emmett, L.; Fizazi, K.; et al. European Association of Nuclear Medicine Focus 5: Consensus on Molecular Imaging and Theranostics in Prostate Cancer. Eur. Urol. 2024, 85, 49–60. [Google Scholar] [CrossRef] [PubMed]
- Ponti, E.; Ingrosso, G.; Carosi, A.; Di Murro, L.; Lancia, A.; Pietrasanta, F.; Santoni, R. Salvage Stereotactic Body Radiotherapy for Patients with Prostate Cancer with Isolated Lymph Node Metastasis: A Single-Center Experience. Clin. Genitourin. Cancer 2015, 13, e279–e284. [Google Scholar] [CrossRef] [PubMed]
- Franzese, C.; Lopci, E.; Di Brina, L.; D’Agostino, G.R.; Navarria, P.; Mancosu, P.; Tomatis, S.; Chiti, A.; Scorsetti, M. 11C-Choline-Pet Guided Stereotactic Body Radiation Therapy for Lymph Node Metastases in Oligometastatic Prostate Cancer. Cancer Investig. 2017, 35, 586–593. [Google Scholar] [CrossRef] [PubMed]
- Cysouw, M.; Bouman-Wammes, E.; Hoekstra, O.; van den Eertwegh, A.; Piet, M.; van Moorselaar, J.; Boellaard, R.; Dahele, M.; Oprea-Lager, D. Prognostic Value of [ 18 F]-Fluoromethylcholine Positron Emission Tomography/Computed Tomography Before Stereotactic Body Radiation Therapy for Oligometastatic Prostate Cancer. Int. J. Radiat. Oncol. Biol. Phys. 2018, 101, 406–410. [Google Scholar] [CrossRef] [PubMed]
- Ghezzo, S.; Bezzi, C.; Presotto, L.; Mapelli, P.; Bettinardi, V.; Savi, A.; Neri, I.; Preza, E.; Samanes Gajate, A.M.; De Cobelli, F.; et al. State of the Art of Radiomic Analysis in the Clinical Management of Prostate Cancer: A Systematic Review. Crit. Rev. Oncol. Hematol. 2022, 169, 103544. [Google Scholar] [CrossRef] [PubMed]
- Urso, L.; Lancia, F.; Ortolan, N.; Frapoli, M.; Rauso, M.; Artioli, P.; Cittanti, C.; Uccelli, L.; Frassoldati, A.; Evangelista, L.; et al. 18F-Choline PET/CT or PET/MR and the Evaluation of Response to Systemic Therapy in Prostate Cancer: Are We Ready? Clin. Transl. Imaging 2022, 10, 687–695. [Google Scholar] [CrossRef]
- Zilli, T.; Achard, V.; Dal Pra, A.; Schmidt-Hegemann, N.; Jereczek-Fossa, B.A.; Lancia, A.; Ingrosso, G.; Alongi, F.; Aluwini, S.; Arcangeli, S.; et al. Recommendations for Radiation Therapy in Oligometastatic Prostate Cancer: An ESTRO-ACROP Delphi Consensus. Radiother. Oncol. 2022, 176, 199–207. [Google Scholar] [CrossRef]



| Patients Characteristics | BCR0 | BCR1 | Total |
|---|---|---|---|
| Number of patients | 9 | 20 | 29 |
| AGE [years] | |||
| Mean ± St.dev. | 71 ± 6 | 71 ± 7 | 71 ± 7 |
| Range | 61–81 | 60–81 | 60–81 |
| PSA [ng/mL] | |||
| Mean ± St.dev. | 2.63 ± 3.90 | 2.17 ± 2.68 | 2.31 ± 3.05 |
| Range | 0.01–12.06 | 0.24–9.00 | 0.01–12.06 |
| ISUP grade | |||
| 1 | 0 (0%) | 4 (20.0%) | 4 (13.8%) |
| 2 | 2 (22.2%) | 5 (25.0%) | 7 (24.1%) |
| 3 | 3 (33.3%) | 3 (15.0%) | 6 (20.7%) |
| 4 | 3 (33.3%) | 4 (20.0%) | 7 (24.2%) |
| 5 | 0 (0%) | 2 (10.0%) | 2 (6.9%) |
| nd | 1 (11.2%) | 2 (10.0%) | 3 (10.3%) |
| N. lesions per patient | |||
| 1 | 7 (78.8%) | 8 (40.0%) | 17 (51.7%) |
| 2 | 2 (22.2%) | 10 (50.0%) | 10 (41.3%) |
| 3 | 0% | 1 (5%) | 1 (3.5%) |
| 4 | 0% | 1 (5%) | 1 (3.5%) |
| 5 | 0% | 0% | 0% |
| Per-Patient Analysis | BCR0 | BCR1 | Total | p | rs |
|---|---|---|---|---|---|
| Number of patients | 9 | 20 | 29 | ||
| AGE [years] | 0.94 | 0.34 | |||
| Mean ± St.dev. | 71 ± 6 | 71 ± 7 | 71 ± 7 | ||
| Range | 61–81 | 60–81 | 60–81 | ||
| PSA [ng/mL] | 0.85 | 0.38 | |||
| Mean ± St.dev. | 2.63 ± 3.90 | 2.17 ± 2.68 | 2.31 ± 3.05 | ||
| Range | 0.01–12.06 | 0.24–9.00 | 0.01–12.06 | ||
| ISUP grade | 0.22 | ||||
| 1–3 | 5 (55.6%) | 12 (60.0%) | 17 (58.6%) | ||
| 4–5 | 4 (44.4%) | 8 (40.0%) | 12 (41.4%) |
| Per-Lesion Analysis | BCR0 | BCR1 | Total | p | rs |
|---|---|---|---|---|---|
| Number of lesions | 11 (23.9%) | 35 (76.1%) | 46 | ||
| SUVmax | 0.09 | 0.09 | |||
| Mean ± St.dev. | 14.42 ± 10.79 | 9.31 ± 7.31 | 10.53 ± 8.43 | ||
| Range | 3.6–40.4 | 1.7–30.0 | 1.7–40.4 | ||
| MTV | 0.10 | 0.18 | |||
| Mean ± St.dev. | 0.95 ± 0.87 | 1.27 ± 1.02 | 1.19 ± 0.99 | ||
| Range | 0.2–2.7 | 0.5–3.8 | 0.2–3.8 | ||
| TLCKA | 0.54 | 0.53 | |||
| Mean ± St.dev. | 8.28 ± 7.94 | 8.82 ± 11.75 | 8.63 ± 10.89 | ||
| Range | 1.7–24.3 | 0.2–46.4 | 0.2–46.4 | ||
| MDT Dose per fraction [Gy] | 0.20 | 0.31 | |||
| Mean ± St.dev. | 30.91 ± 3.16 | 32.93 ± 3.67 | 32.42 ± 3.60 | ||
| Range | 24–36 | 27–38 | 24–38 | ||
| Number of fractions (occurrence) | 0.33 | 0.28 | |||
| 3 (73%) 4(27%) | 3 (77%) 4 (17%) 5(6%) | 3 (76%) 4 (19%) 5 (5%) | |||
| BED [Gy] | 0.12 | 0.41 | |||
| Mean ± St.dev. | 126.56 ± 24.15 | 147.95 ± 30.65 | 140.95 ± 30.09 | ||
| Range | 88–180 | 108–180 | 88–180 |
| CT Model | AUC | CA | Precision | Sensitivity | PPV | NPV |
|---|---|---|---|---|---|---|
| GB | 0.87 | 0.80 | 0.82 | 0.84 | 0.85 | 0.83 |
| RF | 0.92 | 0.85 | 0.88 | 0.85 | 0.91 | 0.74 |
| SGD | 0.71 | 0.75 | 0.75 | 0.75 | 0.89 | 0.75 |
| SVMs | 0.44 | 0.45 | 0.44 | 0.45 | 0.34 | 0.67 |
| Tree | 0.65 | 0.65 | 0.79 | 0.65 | 0.34 | 0.91 |
| PET Model | ||||||
| GB | 0.53 | 0.57 | 0.50 | 0.50 | 0.48 | 0.64 |
| RF | 0.79 | 0.70 | 0.70 | 0.70 | 0.71 | 0.73 |
| SGD | 0.95 | 0.90 | 0.90 | 0.90 | 0.94 | 0.93 |
| SVMs | 0.90 | 0.75 | 0.77 | 0.75 | 0.91 | 0.63 |
| Tree | 0.62 | 0.65 | 0.67 | 0.65 | 0.54 | 0.81 |
Disclaimer/Publisher’s Note: The statements, opinions and data contained in all publications are solely those of the individual author(s) and contributor(s) and not of MDPI and/or the editor(s). MDPI and/or the editor(s) disclaim responsibility for any injury to people or property resulting from any ideas, methods, instructions or products referred to in the content. |
© 2024 by the authors. Licensee MDPI, Basel, Switzerland. This article is an open access article distributed under the terms and conditions of the Creative Commons Attribution (CC BY) license (https://creativecommons.org/licenses/by/4.0/).
Share and Cite
Urso, L.; Cittanti, C.; Manco, L.; Ortolan, N.; Borgia, F.; Malorgio, A.; Scribano, G.; Mastella, E.; Guidoboni, M.; Stefanelli, A.; et al. ML Models Built Using Clinical Parameters and Radiomic Features Extracted from 18F-Choline PET/CT for the Prediction of Biochemical Recurrence after Metastasis-Directed Therapy in Patients with Oligometastatic Prostate Cancer. Diagnostics 2024, 14, 1264. https://doi.org/10.3390/diagnostics14121264
Urso L, Cittanti C, Manco L, Ortolan N, Borgia F, Malorgio A, Scribano G, Mastella E, Guidoboni M, Stefanelli A, et al. ML Models Built Using Clinical Parameters and Radiomic Features Extracted from 18F-Choline PET/CT for the Prediction of Biochemical Recurrence after Metastasis-Directed Therapy in Patients with Oligometastatic Prostate Cancer. Diagnostics. 2024; 14(12):1264. https://doi.org/10.3390/diagnostics14121264
Chicago/Turabian StyleUrso, Luca, Corrado Cittanti, Luigi Manco, Naima Ortolan, Francesca Borgia, Antonio Malorgio, Giovanni Scribano, Edoardo Mastella, Massimo Guidoboni, Antonio Stefanelli, and et al. 2024. "ML Models Built Using Clinical Parameters and Radiomic Features Extracted from 18F-Choline PET/CT for the Prediction of Biochemical Recurrence after Metastasis-Directed Therapy in Patients with Oligometastatic Prostate Cancer" Diagnostics 14, no. 12: 1264. https://doi.org/10.3390/diagnostics14121264
APA StyleUrso, L., Cittanti, C., Manco, L., Ortolan, N., Borgia, F., Malorgio, A., Scribano, G., Mastella, E., Guidoboni, M., Stefanelli, A., Turra, A., & Bartolomei, M. (2024). ML Models Built Using Clinical Parameters and Radiomic Features Extracted from 18F-Choline PET/CT for the Prediction of Biochemical Recurrence after Metastasis-Directed Therapy in Patients with Oligometastatic Prostate Cancer. Diagnostics, 14(12), 1264. https://doi.org/10.3390/diagnostics14121264

