Image-Guided Minimally Invasive Treatment Options for Degenerative Lumbar Spine Disease: A Practical Overview of Current Possibilities
Abstract
1. Introduction
1.1. Epidemiology and Economic Impact
1.2. Pathogenesis and Main Causes
1.3. Indication for Surgery and Conservative Treatments
2. Image-Guided Minimally Invasive Treatments
2.1. Patient Preparation and Management
- (i)
- Target anatomical site of injection;
- (ii)
- Patient’s age and body mass index;
- (iii)
- Type of treatment;
- (iv)
- Operator’s experience.
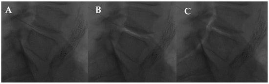
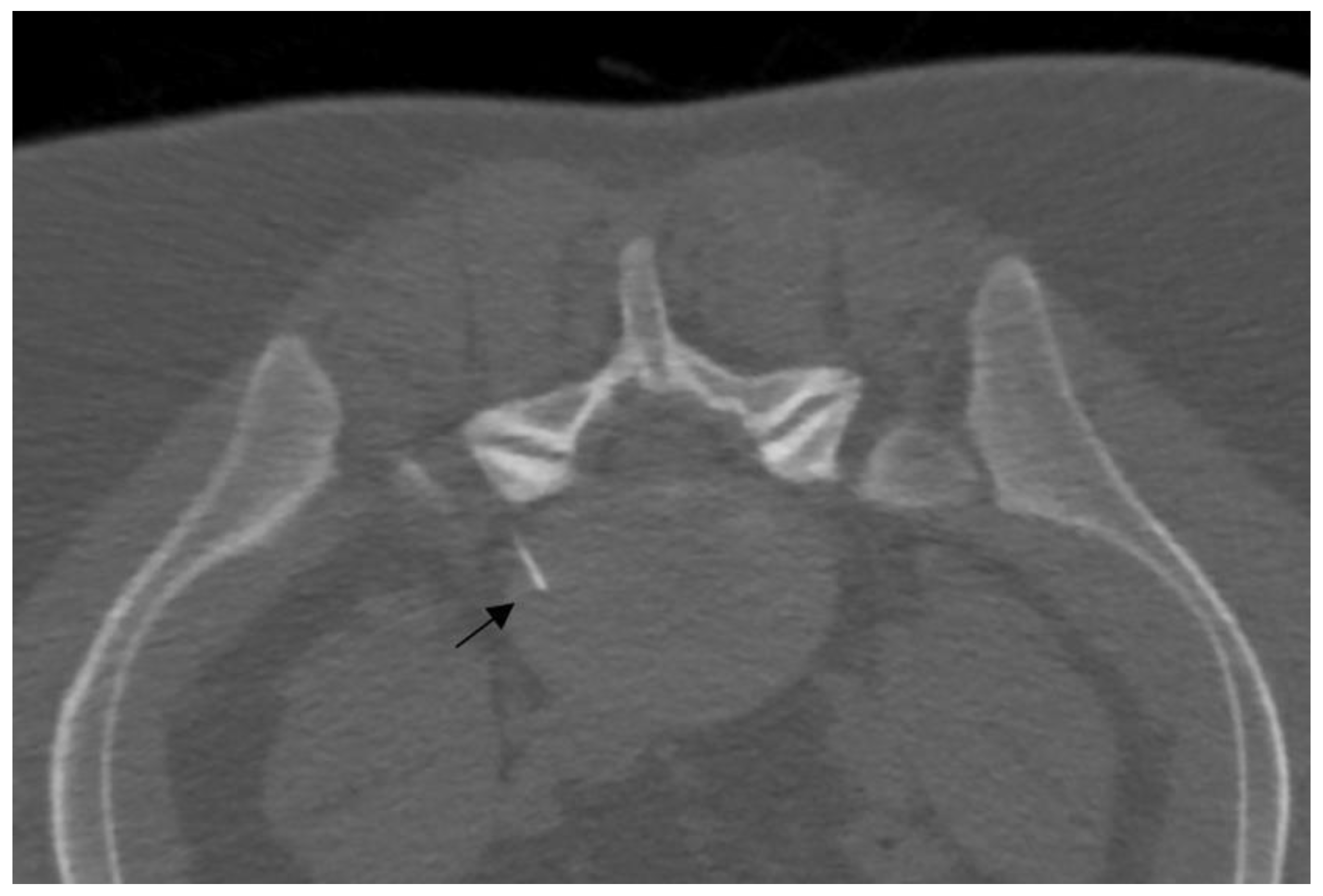
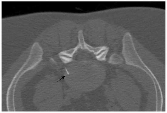
2.2. Image-Guided Approaches
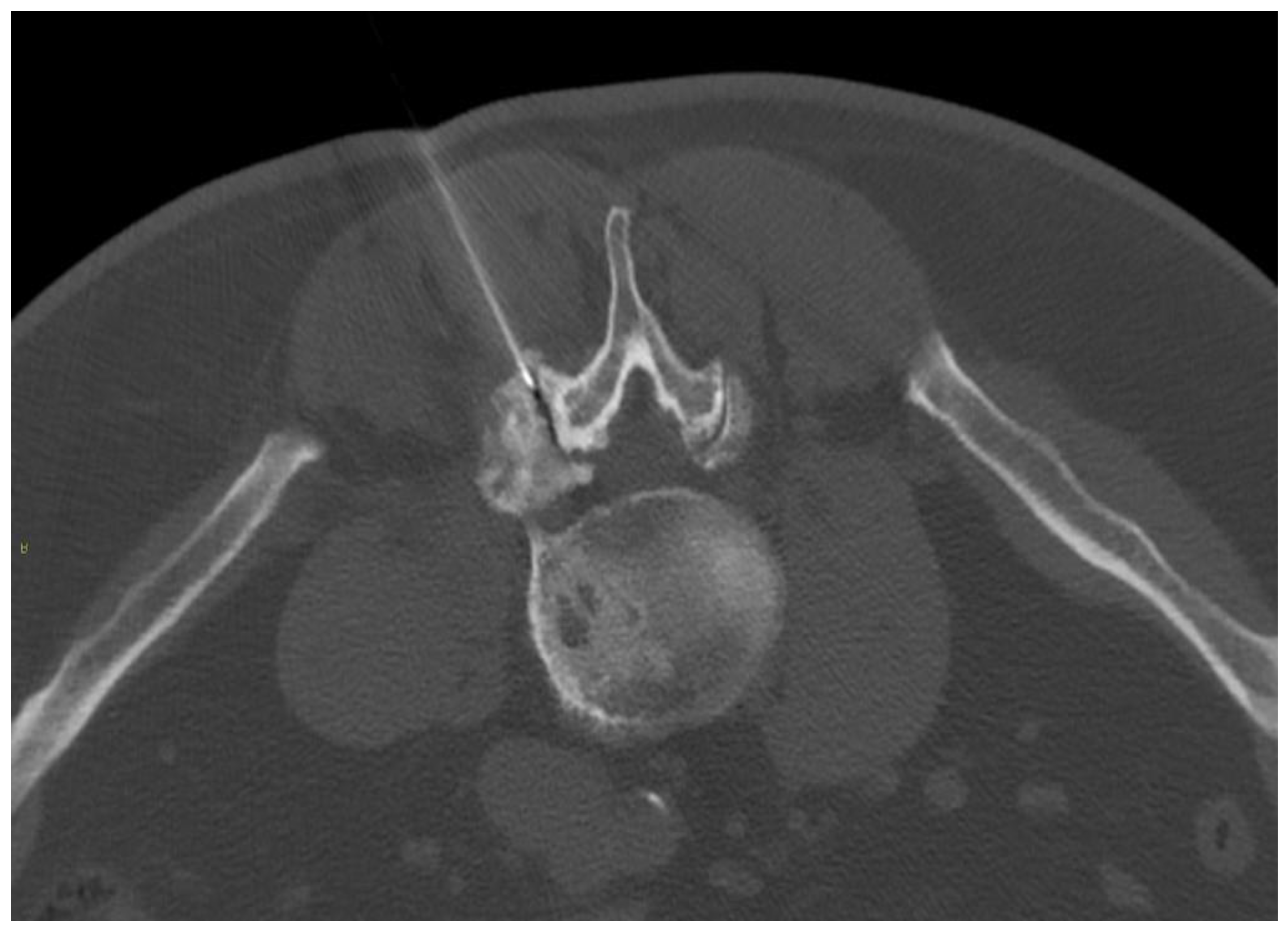
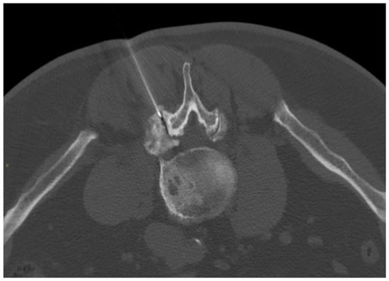
2.2.1. Intradiscal Approach
2.2.2. Transforaminal Approach
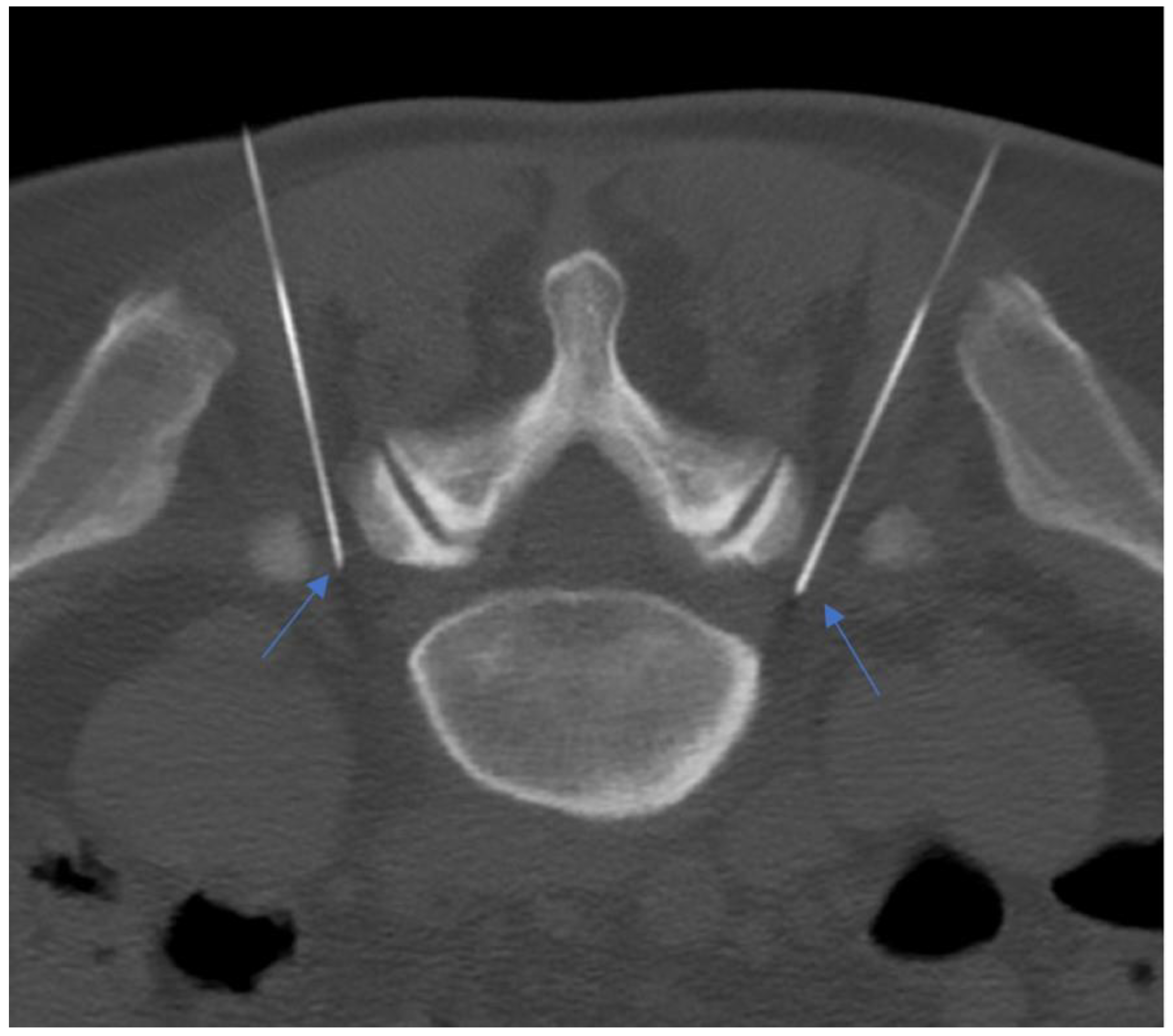
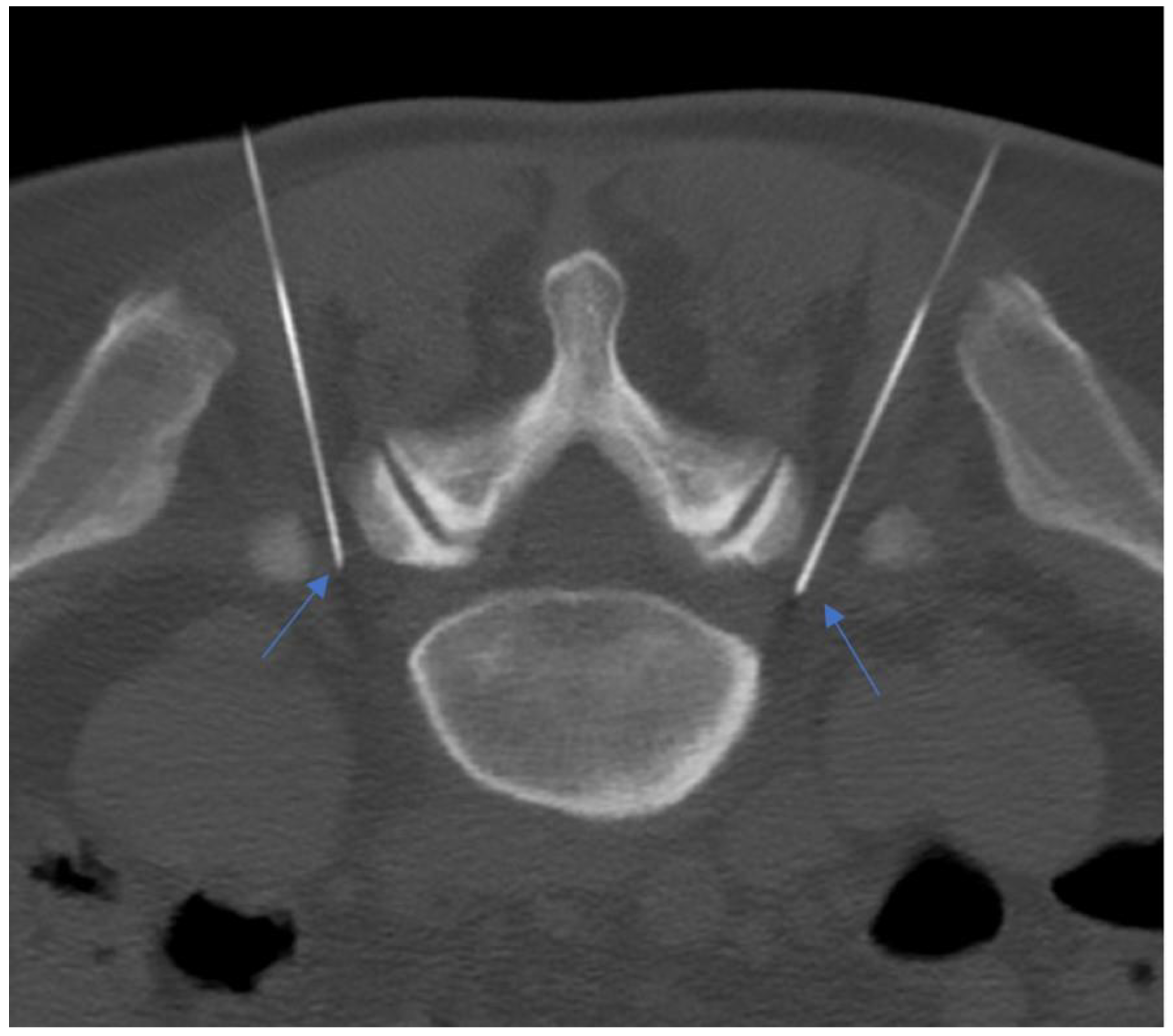
2.2.3. Facet Joint Approach
2.3. First-Level Image-Guided Procedures (Drug Injections)
2.3.1. Injectable Materials
Glucocorticoids
Methylene-Blue
Biologic Agents (Platelet-Rich Plasma, Mesenchymal Stem Cells, Hydrogel, and Hyaluronic Acid)
2.4. Second-Level Image-Guided Procedures
2.4.1. Oxygen–Ozone Therapy
2.4.2. Image-Guided Radiofrequency
Continuous Radiofrequency
Pulsed Radiofrequency
2.4.3. Magnetic Resonance Imaging (MRI)-Guided Focused Ultrasound
3. Future Directions and Limitations
4. Conclusions
Author Contributions
Funding
Institutional Review Board Statement
Informed Consent Statement
Data Availability Statement
Acknowledgments
Conflicts of Interest
References
- Borenstein, D. Does osteoarthritis of the lumbar spine cause chronic low back pain? Curr. Rheumatol. Rep. 2004, 6, 14–19. [Google Scholar] [CrossRef] [PubMed]
- Goode, A.P.; Carey, T.S.; Jordan, J.M. Low back pain and lumbar spine osteoarthritis: How are they related? Curr. Rheumatol. Rep. 2013, 15, 305. [Google Scholar] [CrossRef] [PubMed]
- Rubin, D.I. Epidemiology and risk factors for spine pain. Neurol. Clin. 2007, 25, 353–371. [Google Scholar] [CrossRef] [PubMed]
- Hoy, D.; March, L.; Brooks, P.; Blyth, F.; Woolf, A.; Bain, C.; Williams, G.; Smith, E.; Vos, T.; Barendregt, J.; et al. The global burden of low back pain: Estimates from the Global Burden of Disease 2010 study. Ann. Rheum. Dis. 2014, 73, 968–974. [Google Scholar] [CrossRef] [PubMed]
- Vos, T.; Barber, R.M.; Bell, B.; Bertozzi-Villa, A.; Biryukov, S.; Bolliger, I.; Charlson, F.; Davis, A.; Degenhardt, L.; Dicker, D.; et al. Global, Regional, and National Incidence, Prevalence, and Years Lived with Disability for 301 Acute and Chronic Diseases and Injuries in 188 Countries, 1990–2013: A Systematic Analysis for the Global Burden of Disease Study 2013. Lancet 2015, 386, 743–800. [Google Scholar] [CrossRef] [PubMed]
- Maher, C.; Underwood, M.; Buchbinder, R. Non-specific low back pain. Lancet 2017, 389, 736–747. [Google Scholar] [CrossRef] [PubMed]
- Katz, J.N. Lumbar disc disorders and low-back pain: Socioeconomic factors and consequences. J. Bone Jt. Surg. Am. 2006, 88 (Suppl. 2), 21–24. [Google Scholar] [CrossRef]
- Wenig, C.M.; Schmidt, C.O.; Kohlmann, T.; Schweikert, B. Costs of back pain in Germany. Eur. J. Pain. Lond. Engl. 2009, 13, 280–286. [Google Scholar] [CrossRef] [PubMed]
- Dixon, A.S.J. Progress and problems in back pain research. Rheumatology 1973, 12, 165–175. [Google Scholar] [CrossRef]
- Hestbaek, L.; Leboeuf-Yde, C.; Manniche, C. Low back pain: What is the long-term course? A review of studies of general patient populations. Eur. Spine J. Off. Publ. Eur. Spine Soc. Eur. Spinal Deform. Soc. Eur. Sect. Cerv. Spine Res. Soc. 2003, 12, 149–165. [Google Scholar] [CrossRef]
- Violante, F.S.; Mattioli, S.; Bonfiglioli, R. Low-back pain. In Handbook of Clinical Neurology; Elsevier: Amsterdam, The Netherlands, 2015; pp. 397–410. [Google Scholar]
- Hancock, M.J.; Maher, C.G.; Latimer, J.; Spindler, M.F.; McAuley, J.H.; Laslett, M.; Bogduk, N. Systematic Review of Tests to Identify the Disc, SIJ or Facet Joint as the Source of Low Back Pain. Eur. Spine J. 2007, 16, 1539–1550. [Google Scholar] [CrossRef] [PubMed]
- Manchikanti, L.; Singh, V.; Pampati, V.; Damron, K.S.; Barnhill, R.C.; Beyer, C.; Cash, K.A. Evaluation of the Rela-tive Contributions of Various Structures in Chronic Low Back Pain. Pain Physician 2001, 4, 308–316. [Google Scholar] [CrossRef] [PubMed]
- Perolat, R.; Kastler, A.; Nicot, B.; Pellat, J.-M.; Tahon, F.; Attye, A.; Heck, O.; Boubagra, K.; Grand, S.; Krainik, A. Facet Joint Syndrome: From Diagnosis to Interventional Management. Insights Imaging 2018, 9, 773–789. [Google Scholar] [CrossRef]
- Saravanakumar, K.; Harvey, A. Lumbar Zygapophyseal (Facet) Joint Pain. Rev. Pain 2008, 2, 8–13. [Google Scholar] [CrossRef] [PubMed]
- Dowdell, J.; Erwin, M.; Choma, T.; Vaccaro, A.; Iatridis, J.; Cho, S.K. Intervertebral Disk Degeneration and Repair. Neurosurgery 2017, 80, S46–S54. [Google Scholar] [CrossRef] [PubMed]
- Nachemson, A.; Lewin, T.; Maroudas, A.; Freeman, M.A. In vitro diffusion of dye through the end-plates and the annulus fibrosus of human lumbar inter-vertebral discs. Acta Orthop. Scand. 1970, 41, 589–607. [Google Scholar] [CrossRef] [PubMed]
- Livshits, G.; Popham, M.; Malkin, I.; Sambrook, P.N.; Macgregor, A.J.; Spector, T.; Williams, F.M.K. Lumbar Disc Degeneration and Genetic Factors Are the Main Risk Factors for Low Back Pain in Women: The UK Twin Spine Study. Ann. Rheum. Dis. 2011, 70, 1740–1745. [Google Scholar] [CrossRef] [PubMed]
- Kalichman, L.; Hunter, D.J. The genetics of intervertebral disc degeneration. Familial predisposition and heritability estimation. Jt. Bone Spine 2008, 75, 383–387. [Google Scholar] [CrossRef] [PubMed]
- Videman, T.; Sarna, S.; Battié, M.C.; Koskinen, S.; Gill, K.; Paananen, H.; Gibbons, L. The Long-Term Effects of Physical Loading and Exercise Lifestyles on Back-Related Symptoms, Disability, and Spinal Pathology among Men. Spine 1995, 20, 699–709. [Google Scholar] [CrossRef]
- Liuke, M.; Solovieva, S.; Lamminen, A.; Luoma, K.; Leino-Arjas, P.; Luukkonen, R.; Riihimäki, H. Disc Degeneration of the Lumbar Spine in Relation to Overweight. Int. J. Obes. 2005, 29, 903–908. [Google Scholar] [CrossRef]
- Risbud, M.V.; Shapiro, I.M. Role of cytokines in intervertebral disc degeneration: Pain and disc content. Nat. Rev. Rheumatol. 2014, 10, 44–56. [Google Scholar] [CrossRef] [PubMed]
- Kepler, C.K.; Ponnappan, R.K.; Tannoury, C.A.; Risbud, M.V.; Anderson, D.G. The molecular basis of intervertebral disc degeneration. Spine J. Off. J. N. Am. Spine Soc. 2013, 13, 318–330. [Google Scholar] [CrossRef] [PubMed]
- Panjabi, M.M. Clinical spinal instability and low back pain. J. Electromyogr. Kinesiol. 2003, 13, 371–379. [Google Scholar] [CrossRef]
- Walker, P.B.; Sark, C.; Brennan, G.; Smith, T.; Sherman, W.F.; Kaye, A.D. Spinal Epidural Lipomatosis: A Comprehensive Review. Orthop. Rev. 2021, 13, 25571. [Google Scholar] [CrossRef] [PubMed]
- Patel, E.; Perloff, M. Radicular Pain Syndromes: Cervical, Lumbar, and Spinal Stenosis. Semin. Neurol. 2018, 38, 634–639. [Google Scholar] [CrossRef] [PubMed]
- Last, A.R.; Hulbert, K. Chronic low back pain: Evaluation and management. Am. Fam. Physician 2009, 79, 1067–1074. [Google Scholar] [CrossRef][Green Version]
- Karppinen, J.; Shen, F.H.; Luk, K.D.K.; Andersson, G.B.J.; Cheung, K.M.C.; Samartzis, D. Management of Degenerative Disk Disease and Chronic Low Back Pain. Orthop. Clin. N. Am. 2011, 42, 513–528. [Google Scholar] [CrossRef]
- Zaina, F.; Côté, P.; Cancelliere, C.; Di Felice, F.; Donzelli, S.; Rauch, A.; Verville, L.; Negrini, S.; Nordin, M. A Sys-tematic Review of Clinical Practice Guidelines for Persons With Non-Specific Low Back Pain With and Without Radicu-lopathy: Identification of Best Evidence for Rehabilitation to Develop the WHO’s Package of Interventions for Rehabilita-tion. Arch. Phys. Med. Rehabil. 2023, 104, 1913–1927. [Google Scholar] [CrossRef] [PubMed]
- Hayden, J.A.; van Tulder, M.W.; Tomlinson, G. Systematic Review: Strategies for Using Exercise Therapy To Improve Outcomes in Chronic Low Back Pain. Ann. Intern. Med. 2005, 142, 776. [Google Scholar] [CrossRef]
- Lambeek, L.C.; van Mechelen, W.; Knol, D.L.; Loisel, P.; Anema, J.R. Randomised controlled trial of integrated care to reduce disability from chronic low back pain in working and private life. BMJ 2010, 340, c1035. [Google Scholar] [CrossRef]
- Baliga, S.; Treon, K.; Craig, N.J.A. Low Back Pain: Current Surgical Approaches. Asian Spine J. 2015, 9, 645. [Google Scholar] [CrossRef] [PubMed]
- Barrey, C.Y.; Le Huec, J.-C. Chronic low back pain: Relevance of a new classification based on the injury pattern. Orthop. Traumatol. Surg. Res. 2019, 105, 339–346. [Google Scholar] [CrossRef] [PubMed]
- Siebert, E.; Prüss, H.; Klingebiel, R.; Failli, V.; Einhäupl, K.M.; Schwab, J.M. Lumbar spinal stenosis: Syndrome, diagnostics and treatment. Nat. Rev. Neurol. 2009, 5, 392–403. [Google Scholar] [CrossRef] [PubMed]
- Wong, A.X.J.; Tang, D.H.; Kaliya-Perumal, A.-K.; Oh, J.Y.-L. The Evolution of Lateral Lumbar Interbody Fusion: A Journey from Past to Present. Medicina 2024, 60, 378. [Google Scholar] [CrossRef] [PubMed]
- Saadeh, Y.S.; Joseph, J.R.; Smith, B.W.; Kirsch, M.J.; Sabbagh, A.M.; Park, P. Comparison of Segmental Lordosis and Global Spinopelvic Alignment After Single-Level Lateral Lumbar Interbody Fusion or Transforaminal Lumbar Interbody Fusion. World Neurosurg. 2019, 126, e1374–e1378. [Google Scholar] [CrossRef] [PubMed]
- Jain, D.; Verma, K.; Mulvihill, J.; Mizutani, J.; Tay, B.; Burch, S.; Deviren, V. Comparison of Stand-Alone, Transpsoas Lateral Interbody Fusion at L3-4 and Cranial vs Transforaminal Interbody Fusion at L3-4 and L4-5 for the Treatment of Lumbar Adjacent Segment Disease. Int. J. Spine Surg. 2018, 12, 469–474. [Google Scholar] [CrossRef] [PubMed]
- Xu, D.S.; Bach, K.; Uribe, J.S. Minimally invasive anterior and lateral transpsoas approaches for closed reduction of grade II spondylolisthesis: Initial clinical and radiographic experience. Neurosurg. Focus. 2018, 44, E4. [Google Scholar] [CrossRef] [PubMed]
- Ye, Y.-P.; Hu, J.-W.; Zhang, Y.-G.; Xu, H. Impact of lumbar interbody fusion surgery on postoperative outcomes in patients with recurrent lumbar disc herniation: Analysis of the US national inpatient sample. J. Clin. Neurosci. 2019, 70, 20–26. [Google Scholar] [CrossRef] [PubMed]
- Hrabalek, L.; Sternbersky, J.; Adamus, M. Risk of sympathectomy after anterior and lateral lumbar interbody fusion procedures. Biomed. Pap. 2015, 159, 318–326. [Google Scholar] [CrossRef]
- Sembrano, J.; Tohmeh, A.; Isaacs, R. Two-year Comparative Outcomes of MIS Lateral and MIS Transforaminal Interbody Fusion in the Treatment of Degenerative Spondylolisthesis. Part. I: Clinical Findings. Spine 2016, 41, S133–S144. [Google Scholar] [CrossRef]
- Walker, C.T.; Farber, S.H.; Cole, T.S.; Xu, D.S.; Godzik, J.; Whiting, A.C.; Hartman, C.; Porter, R.W.; Turner, J.D.; Uribe, J. Complications for Minimally Invasive Lateral Interbody Arthrodesis: A Systematic Review and Meta-Analysis Comparing Prepsoas and Transpsoas Approaches. J. Neurosurg. Spine 2019, 30, 446–460. [Google Scholar] [CrossRef] [PubMed]
- Emami, A.; Patel, N.; Coban, D.; Saela, S.; Sinha, K.; Faloon, M.; Hwang, K.S. Comparing Clinical and Radiological Outcomes between Single-Level OLIF and XLIF: A Systematic Review and Meta-Analysis. N. Am. Spine Soc. J. NASSJ 2023, 14, 100216. [Google Scholar] [CrossRef] [PubMed]
- Zhang, F.; Wang, S.; Li, B.; Tian, W.; Zhou, Z.; Liu, S. Intradiscal injection for the management of low back pain. JOR Spine 2022, 5, e1186. [Google Scholar] [CrossRef] [PubMed]
- Mekhail, N.; Eldabe, S.; Templeton, E.; Costandi, S.; Rosenquist, R. Pain Management Interventions for the Treatment of Chronic Low Back Pain: A Systematic Review and Meta-Analysis. Clin. J. Pain 2023, 39, 349–364. [Google Scholar] [CrossRef] [PubMed]
- Daste, C.; Laclau, S.; Boisson, M.; Segretin, F.; Feydy, A.; Lefèvre-Colau, M.-M.; Rannou, F.; Nguyen, C. Interverte-bral Disc Therapies for Non-Specific Chronic Low Back Pain: A Systematic Review and Meta-Analysis. Ther. Adv. Musculoskelet. Dis. 2021, 13, 1759720X2110280. [Google Scholar] [CrossRef] [PubMed]
- Helm Ii, S.; Harmon, P.C.; Noe, C.; Calodney, A.K.; Abd-Elsayed, A.; Knezevic, N.N.; Racz, G.B. Transforaminal Epidural Steroid Injections: A Systematic Review and Meta-Analysis of Efficacy and Safety. Pain Physician 2021, 24, S209–S232. [Google Scholar] [PubMed]
- Migliore, A.; Sorbino, A.; Bacciu, S.; Bellelli, A.; Frediani, B.; Tormenta, S.; Pirri, C.; Foti, C. The Technique of In-tradiscal Injection: A Narrative Review. Ther. Clin. Risk Manag. 2020, 16, 953–968. [Google Scholar] [CrossRef]
- Spinnato, P.; Petrera, M.R.; Parmeggiani, A.; Manzetti, M.; Ruffilli, A.; Faldini, C.; D’Agostino, V.; Di Carlo, M.; Cumani, M.P.; Crombé, A.; et al. A New Comprehensive MRI Classification and Grading System for Lumbosacral Cen-tral and Lateral Stenosis: Clinical Application and Comparison with Previous Systems. Radiol. Med. 2023, 129, 93–106. [Google Scholar] [CrossRef]
- Spinnato, P.; Ponti, F.; De Pasqua, S. MRI Diagnosis of Obesity-Related Spinal Epidural Lipomatosis. Can. J. Neurol. Sci. J. Can. Sci. Neurol. 2020, 47, 124–125. [Google Scholar] [CrossRef]
- D’Agostino, V.; Petrera, M.R.; Tedesco, G.; Pipola, V.; Ponti, F.; Spinnato, P. Could Spinal Epidural Lipomatosis Be the Hallmark of Metabolic Syndrome on the Spine? A Literature Review with Emphasis on Etiology. Diagnostics 2023, 13, 322. [Google Scholar] [CrossRef]
- Spinnato, P.; D’Agostino, V.; Fiorenzo, D.; Barakat, M.; Vara, G.; Ponti, F.; Filonzi, G.; Crombé, A.; Tetta, C.; Miceli, M. Underreporting of Spinal Epidural Lipomatosis: A Retrospective Analysis of Lumbosacral MRI Examinations from Different Radiological Settings. Diagn. Interv. Imaging 2022, 103, 251–257. [Google Scholar] [CrossRef] [PubMed]
- Cohen, S.P.; Bhaskar, A.; Bhatia, A.; Buvanendran, A.; Deer, T.; Garg, S.; Hooten, W.M.; Hurley, R.W.; Kennedy, D.J.; McLean, B.C.; et al. Consensus Practice Guidelines on Interventions for Lumbar Facet Joint Pain from a Multispecialty, International Working Group. Reg. Anesth. Pain Med. 2020, 45, 424–467. [Google Scholar] [CrossRef] [PubMed]
- Helm Ii, S.; Simopoulos, T.T.; Stojanovic, M.; Abdi, S.; El Terany, M.A. Effectiveness of Thermal Annular Procedures in Treating Discogenic Low Back Pain. Pain Physician 2017, 20, 447–470. [Google Scholar] [CrossRef] [PubMed]
- Xin, J.; Wang, Y.; Zheng, Z.; Wang, S.; Na, S.; Zhang, S. Treatment of Intervertebral Disc Degeneration. Orthop. Surg. 2022, 14, 1271–1280. [Google Scholar] [CrossRef] [PubMed]
- Gallucci, M.; Limbucci, N.; Zugaro, L.; Barile, A.; Stavroulis, E.; Ricci, A.; Galzio, R.; Masciocchi, C. Sciatica: Treatment with Intradiscal and Intraforaminal Injections of Steroid and Oxygen-Ozone versus Steroid Only. Radiology 2007, 242, 907–913. [Google Scholar] [CrossRef] [PubMed]
- Oder, B.; Loewe, M.; Reisegger, M.; Lang, W.; Ilias, W.; Thurnher, S.A. CT-guided ozone/steroid therapy for the treatment of degenerative spinal disease—Effect of age, gender, disc pathology and multi-segmental changes. Neuroradiology 2008, 50, 777–785. [Google Scholar] [CrossRef] [PubMed]
- Johnson, B.A.; Staats, P.S.; Wetzel, F.T.; Mathis, J.M. (Eds.) Image-Guided Spine Interventions; Springer: New York, NY, USA, 2004. [Google Scholar]
- Peckham, M.E.; Hutchins, T.A.; Shah, L.M. Conventional Image-Guided Procedures for Painful Spine. Neuroimaging Clin. N. Am. 2019, 29, 539–551. [Google Scholar] [CrossRef] [PubMed]
- Latini, E.; Curci, E.; Nusca, S.; Lacopo, A.; Musa, F.; Santoboni, F.; Trischitta, D.; Vetrano, M.; Vulpiani, M. Medical Ozone Therapy in Facet Joint Syndrome: An Overview of Sonoanatomy, Ultrasound-Guided Injection Techniques and Potential Mechanism of Action. Med. Gas Res. 2021, 11, 145. [Google Scholar] [CrossRef] [PubMed]
- Svanbergsson, G.; Ingvarsson, Þ.; Arnardóttir, R.H. Segulómun við greiningu lendahryggsverkja: Nýting, samband við einkenni og áhrif á meðferð. Læknablaðið 2017, 2017, 17–22. [Google Scholar] [CrossRef]
- Kvistad, K.; Espeland, A. Bildediagnostikk ved nakke-og ryggsmerter. Tidsskr. Den. Nor. Legeforening 2010, 130, 2256–2259. [Google Scholar] [CrossRef]
- Muto, M.; Avella, F. Percutaneous treatment of herniated lumbar disc by intradiscal oxygen-ozone injection. Interv. Neuroradiol. J. Perither. Neuroradiol. Surg. Proced. Relat. Neurosci. 1998, 4, 279–286. [Google Scholar] [CrossRef]
- Ezeldin, M.; Leonardi, M.; Princiotta, C.; Dall’olio, M.; Tharwat, M.; Zaki, M.; Abdel-Wanis, M.E.; Cirillo, L. Percutaneous Ozone Nucleolysis for Lumbar Disc Herniation. Neuroradiology 2018, 60, 1231–1241. [Google Scholar] [CrossRef] [PubMed]
- Cao, P.; Jiang, L.; Zhuang, C.; Yang, Y.; Zhang, Z.; Chen, W.; Zheng, T. Intradiscal Injection Therapy for Degenerative Chronic Discogenic Low Back Pain with End Plate Modic Changes. Spine J. Off. J. N. Am. Spine Soc. 2011, 11, 100–106. [Google Scholar] [CrossRef] [PubMed]
- Nguyen, C.; Boutron, I.; Baron, G.; Sanchez, K.; Palazzo, C.; Benchimol, R.; Paris, G.; James-Belin, É.; Lefèvre-Colau, M.-M.; Beaudreuil, J.; et al. Intradiscal Glucocorticoid Injection for Patients With Chronic Low Back Pain Associated With Active Discopathy: A Randomized Trial. Ann. Intern. Med. 2017, 166, 547–556. [Google Scholar] [CrossRef] [PubMed]
- Tavares, I.; Thomas, E.; Cyteval, C.; Picot, M.-C.; Manna, F.; Macioce, V.; Laffont, I.; Thouvenin, Y.; Viala, P.; Larbi, A.; et al. Intradiscal Glucocorticoids Injection in Chronic Low Back Pain with Active Discopathy: A Randomized Controlled Study. Ann. Phys. Rehabil. Med. 2021, 64, 101396. [Google Scholar] [CrossRef] [PubMed]
- Stout, A.; Friedly, J.; Standaert, C.J. Systemic Absorption and Side Effects of Locally Injected Glucocorticoids. PM&R 2019, 11, 409–419. [Google Scholar]
- Dickson, R.R.; Reid, J.M.; Nicholson, W.T.; Lamer, T.J.; Hooten, W.M. Corticosteroid and Cortisol Serum Levels Following Intra-articular Triamcinolone Acetonide Lumbar Facet Joint Injections. Pain Pract. 2018, 18, 864–870. [Google Scholar] [CrossRef] [PubMed]
- Twu, J.; Patel, N.; Wolf, J.M.; Conti Mica, M. Impact of Variation of Corticosteroid Dose, Injection Site, and Multiple Injections on Blood Glucose Measurement in Diabetic Patients. J. Hand Surg. 2018, 43, 738–744. [Google Scholar] [CrossRef] [PubMed]
- Habib, G.S.; Miari, W. The Effect of Intra-Articular Triamcinolone Preparations on Blood Glucose Levels in Diabetic Patients: A Controlled Study. J. Clin. Rheumatol. 2011, 17, 302–305. [Google Scholar] [CrossRef]
- Ribeiro, L.H.; Furtado, R.N.V.; Konai, M.S.; Andreo, A.B.; Rosenfeld, A.; Natour, J. Effect of Facet Joint Injection Versus Systemic Steroids in Low Back Pain: A Randomized Controlled Trial. Spine 2013, 38, 1995–2002. [Google Scholar] [CrossRef]
- Annaswamy, T.M.; Armstead, C.; Carlson, L.; Elkins, N.J.; Kocak, D.; Bierner, S.M. Intra-articular Triamcinolone Versus Hyaluronate Injections for Low Back Pain With Symptoms Suggestive of Lumbar Zygapophyseal Joint Arthropathy: A Pragmatic, Double-Blind Randomized Controlled Trial. Am. J. Phys. Med. Rehabil. 2018, 97, 278–284. [Google Scholar] [CrossRef] [PubMed]
- Manchikanti, L.; Singh, V.; Falco, F.J.E.; Cash, K.A.; Pampati, V. Lumbar facet joint nerve blocks in managing chronic facet joint pain: One-year follow-up of a randomized, double-blind controlled trial: Clinical Trial NCT00355914. Pain Physician 2008, 11, 121–132. [Google Scholar] [CrossRef] [PubMed]
- Sae-Jung, S.; Jirarattanaphochai, K. Outcomes of lumbar facet syndrome treated with oral diclofenac or methylprednisolone facet injection: A randomized trial. Int. Orthop. 2016, 40, 1091–1098. [Google Scholar] [CrossRef] [PubMed]
- Wainwright, M.; Crossley, K.B. Methylene Blue—A therapeutic dye for all seasons? J. Chemother. 2002, 14, 431–443. [Google Scholar] [CrossRef] [PubMed]
- Guo, X.; Ding, W.; Liu, L.; Yang, S. Intradiscal Methylene Blue Injection for Discogenic Low Back Pain: A Meta-Analysis. Pain. Pract. Off. J. World Inst. Pain 2019, 19, 118–129. [Google Scholar] [CrossRef]
- Li, J.-W.; Wang, R.-L.; Xu, J.; Sun, K.-Y.; Jiang, H.-M.; Sun, Z.-Y.; Lv, Z.-Y.; Xu, X.-Q.; Wu, R.; Guo, H.; et al. Methylene Blue Prevents Osteoarthritis Progression and Relieves Pain in Rats via Upregulation of Nrf2/PRDX1. Acta Pharmacol. Sin. 2022, 43, 417–428. [Google Scholar] [CrossRef] [PubMed]
- Deng, M.; Huang, H.; Ma, Y.-G.; Zhou, Y.; Chen, Q.; Xie, P. Intradiskal Injection of Methylene Blue for Discogenic Back Pain: A Meta-Analysis of Randomized Controlled Trials. J. Neurol. Surg. Part Cent. Eur. Neurosurg. 2021, 82, 161–165. [Google Scholar] [CrossRef] [PubMed]
- Kim, S.-H.; Ahn, S.-H.; Cho, Y.-W.; Lee, D.-G. Effect of Intradiscal Methylene Blue Injection for the Chronic Discogenic Low Back Pain: One Year Prospective Follow-up Study. Ann. Rehabil. Med. 2012, 36, 657–664. [Google Scholar] [CrossRef] [PubMed]
- Kallewaard, J.W.; Wintraecken, V.M.; Geurts, J.W.; Willems, P.C.; van Santbrink, H.; Terwiel, C.T.M.; van Kleef, M.; van Kuijk, S.M.J. A Multicenter Randomized Controlled Trial on the Efficacy of Intradiscal Methylene Blue Injection for Chronic Discogenic Low Back Pain: The IMBI Study. Pain 2019, 160, 945–953. [Google Scholar] [CrossRef]
- Schneider, B.J.; Hunt, C.; Conger, A.; Qu, W.; Maus, T.P.; Vorobeychik, Y.; Cheng, J.; Duszynski, B.; McCormick, Z.L. The Effectiveness of Intradiscal Biologic Treatments for Discogenic Low Back Pain: A Systematic Review. Spine J. Off. J. N. Am. Spine Soc. 2022, 22, 226–237. [Google Scholar] [CrossRef]
- Cao, Y.; Zhu, X.; Zhou, R.; He, Y.; Wu, Z.; Chen, Y. A narrative review of the research progress and clinical application of platelet-rich plasma. Ann. Palliat. Med. 2021, 10, 4823–4829. [Google Scholar] [CrossRef] [PubMed]
- Akeda, K.; Yamada, J.; Linn, E.T.; Sudo, A.; Masuda, K. Platelet-rich plasma in the management of chronic low back pain: A critical review. J. Pain Res. 2019, 12, 753–767. [Google Scholar] [CrossRef] [PubMed]
- Alves, R.; Grimalt, R. A Review of Platelet-Rich Plasma: History, Biology, Mechanism of Action, and Classification. Skin. Appendage Disord. 2018, 4, 18–24. [Google Scholar] [CrossRef] [PubMed]
- Vadalà, G.; Ambrosio, L.; Russo, F.; Papalia, R.; Denaro, V. Interaction between Mesenchymal Stem Cells and Intervertebral Disc Microenvironment: From Cell Therapy to Tissue Engineering. Stem Cells Int. 2019, 2019, 2376172. [Google Scholar] [CrossRef] [PubMed]
- Croft, A.S.; Illien-Jünger, S.; Grad, S.; Guerrero, J.; Wangler, S.; Gantenbein, B. The Application of Mesenchymal Stromal Cells and Their Homing Capabilities to Regenerate the Intervertebral Disc. Int. J. Mol. Sci. 2021, 22, 3519. [Google Scholar] [CrossRef] [PubMed]
- Pang, X.; Yang, H.; Peng, B. Human umbilical cord mesenchymal stem cell transplantation for the treatment of chronic discogenic low back pain. Pain Physician 2014, 17, E525–E530. [Google Scholar] [CrossRef]
- Pettine, K.A.; Suzuki, R.K.; Sand, T.T.; Murphy, M.B. Autologous bone marrow concentrate intradiscal injection for the treatment of degenerative disc disease with three-year follow-up. Int. Orthop. 2017, 41, 2097–2103. [Google Scholar] [CrossRef]
- Centeno, C.; Markle, J.; Dodson, E.; Stemper, I.; Williams, C.J.; Hyzy, M.; Ichim, T.; Freeman, M. Treatment of Lumbar Degenerative Disc Disease-Associated Radicular Pain with Culture-Expanded Autologous Mesenchymal Stem Cells: A Pilot Study on Safety and Efficacy. J. Transl. Med. 2017, 15, 197. [Google Scholar] [CrossRef] [PubMed]
- Levi, D.; Horn, S.; Tyszko, S.; Levin, J.; Hecht-Leavitt, C.; Walko, E. Intradiscal Platelet-Rich Plasma Injection for Chronic Discogenic Low Back Pain: Preliminary Results from a Prospective Trial. Pain Med. Malden Mass. 2016, 17, 1010–1022. [Google Scholar] [CrossRef]
- Tuakli-Wosornu, Y.A.; Terry, A.; Boachie-Adjei, K.; Harrison, J.R.; Gribbin, C.K.; LaSalle, E.E.; Nguyen, J.T.; Solomon, J.L.; Lutz, G.E. Lumbar Intradiskal Platelet-Rich Plasma (PRP) Injections: A Prospective, Double-Blind, Randomized Controlled Study. PM&R 2016, 8, 1–10; quiz 10. [Google Scholar]
- Cheng, J.; Santiago, K.A.; Nguyen, J.T.; Solomon, J.L.; Lutz, G.E. Treatment of symptomatic degenerative intervertebral discs with autologous platelet-rich plasma: Follow-up at 5–9 years. Regen. Med. 2019, 14, 831–840. [Google Scholar] [CrossRef] [PubMed]
- Hirase, T.; Jack, R.A.; Sochacki, K.R.; Harris, J.D.; Weiner, B.K. Systematic Review: Is Intradiscal Injection of Bone Marrow Concentrate for Lumbar Disc Degeneration Effective? Cureus 2020, 12, e9045. [Google Scholar] [CrossRef] [PubMed]
- Hirase, T.; Jack Ii, R.A.; Sochacki, K.R.; Harris, J.D.; Weiner, B.K. Systemic Review: Is an Intradiscal Injection of Platelet-Rich Plasma for Lumbar Disc Degeneration Effective? Cureus 2020, 12, e8831. [Google Scholar] [CrossRef] [PubMed]
- Zheng, K.; Du, D. Recent advances of hydrogel-based biomaterials for intervertebral disc tissue treatment: A literature review. J. Tissue Eng. Regen. Med. 2021, 15, 299–321. [Google Scholar] [CrossRef] [PubMed]
- Amirdelfan, K.; Bae, H.; McJunkin, T.; DePalma, M.; Kim, K.; Beckworth, W.J.; Ghiselli, G.; Bainbridge, J.S.; Dryer, R.; Deer, T.R.; et al. Allogeneic Mesenchymal Precursor Cells Treatment for Chronic Low Back Pain Associated with Degenerative Disc Disease: A Prospective Randomized, Placebo-Controlled 36-Month Study of Safety and Efficacy. Spine J. Off. J. N. Am. Spine Soc. 2021, 21, 212–230. [Google Scholar] [CrossRef] [PubMed]
- Kumar, H.; Ha, D.-H.; Lee, E.-J.; Park, J.H.; Shim, J.H.; Ahn, T.-K.; Kim, K.-T.; Ropper, A.E.; Sohn, S.; Kim, C.-H.; et al. Safety and Tolerability of Intradiscal Implantation of Combined Autologous Adipose-Derived Mesenchymal Stem Cells and Hyaluronic Acid in Patients with Chronic Discogenic Low Back Pain: 1-Year Follow-up of a Phase I Study. Stem Cell Res. Ther. 2017, 8, 262. [Google Scholar] [CrossRef]
- Fuchs, S.; Erbe, T.; Fischer, H.-L.; Tibesku, C.O. Intraarticular Hyaluronic Acid versus Glucocorticoid Injections for Nonradicular Pain in the Lumbar Spine. J. Vasc. Interv. Radiol. 2005, 16, 1493–1498. [Google Scholar] [CrossRef] [PubMed]
- Freemont, A.J.; Peacock, T.E.; Goupille, P.; Hoyland, J.A.; O’Brien, J.; Jayson, M.I. Nerve ingrowth into diseased intervertebral disc in chronic back pain. Lancet Lond. Engl. 1997, 350, 178–181. [Google Scholar] [CrossRef] [PubMed]
- de Sire, A.; Agostini, F.; Lippi, L.; Mangone, M.; Marchese, S.; Cisari, C.; Bernetti, A.; Invernizzi, M. Oxygen-Ozone Therapy in the Rehabilitation Field: State of the Art on Mechanisms of Action, Safety and Effectiveness in Patients with Musculoskeletal Disorders. Biomolecules 2021, 11, 356. [Google Scholar] [CrossRef]
- Hidalgo-Tallón, F.J.; Torres-Morera, L.M.; Baeza-Noci, J.; Carrillo-Izquierdo, M.D.; Pinto-Bonilla, R. Updated Review on Ozone Therapy in Pain Medicine. Front. Physiol. 2022, 13, 840623. [Google Scholar] [CrossRef]
- Seyam, O.; Smith, N.L.; Reid, I.; Gandhi, J.; Jiang, W.; Khan, S.A. Clinical utility of ozone therapy for musculoskeletal disorders. Med. Gas. Res. 2018, 8, 103–110. [Google Scholar] [PubMed]
- Murphy, K.; Elias, G.; Steppan, J.; Boxley, C.; Balagurunathan, K.; Victor, X.; Meaders, T.; Muto, M. Percutaneous Treatment of Herniated Lumbar Discs with Ozone: Investigation of the Mechanisms of Action. J. Vasc. Interv. Radiol. JVIR 2016, 27, 1242–1250.e3. [Google Scholar] [CrossRef] [PubMed]
- Lehnert, T.; Naguib, N.N.N.; Wutzler, S.; Nour-Eldin, N.-E.A.; Bauer, R.W.; Kerl, J.M.; Vogl, T.J.; Balzer, J.O. Analysis of Disk Volume before and after CT-Guided Intradiscal and Periganglionic Ozone-Oxygen Injection for the Treatment of Lumbar Disk Herniation. J. Vasc. Interv. Radiol. JVIR 2012, 23, 1430–1436. [Google Scholar] [CrossRef] [PubMed]
- Buric, J.; Rigobello, L.; Hooper, D. Five and ten year follow-up on intradiscal ozone injection for disc herniation. Int. J. Spine Surg. 2014, 8, 17. [Google Scholar] [CrossRef] [PubMed]
- Bruno, F.; Smaldone, F.; Varrassi, M.; Arrigoni, F.; Barile, A.; Di Cesare, E.; Masciocchi, C.; Splendiani, A. MRI Findings in Lumbar Spine Following O2-O3 Chemiodiscolysis: A Long-Term Follow-Up. Interv. Neuroradiol. J. Perither. Neuroradiol. Surg. Proced. Relat. Neurosci. 2017, 23, 444–450. [Google Scholar] [CrossRef] [PubMed]
- Blanco, F.J.; Ochs, R.L.; Schwarz, H.; Lotz, M. Chondrocyte apoptosis induced by nitric oxide. Am. J. Pathol. 1995, 146, 75–85. [Google Scholar] [PubMed]
- Migliorini, F.; Maffulli, N.; Eschweiler, J.; Bestch, M.; Tingart, M.; Baroncini, A. Ozone injection therapy for intervertebral disc herniation. Br. Med. Bull. 2020, 136, 88–106. [Google Scholar] [CrossRef]
- Giurazza, F.; Guarnieri, G.; Murphy, K.J.; Muto, M. Intradiscal O2O3: Rationale, Injection Technique, Short- and Long-term Outcomes for the Treatment of Low Back Pain Due to Disc Herniation. Can. Assoc. Radiol. J. 2017, 68, 171–177. [Google Scholar] [CrossRef] [PubMed]
- Muto, M.; Ambrosanio, G.; Guarnieri, G.; Capobianco, E.; Piccolo, G.; Annunziata, G.; Rotondo, A. Low Back Pain and Sciatica: Treatment with Intradiscal-Intraforaminal O(2)-O(3) Injection. Our Experience. Radiol. Med. 2008, 113, 695–706. [Google Scholar] [CrossRef]
- Bonetti, M.; Fontana, A.; Cotticelli, B.; Volta, G.D.; Guindani, M.; Leonardi, M. Intraforaminal O(2)-O(3) versus periradicular steroidal infiltrations in lower back pain: Randomized controlled study. Am. J. Neuroradiol. 2005, 26, 996–1000. [Google Scholar]
- Andreula, C.F.; Simonetti, L.; De Santis, F.; Agati, R.; Ricci, R.; Leonardi, M. Minimally invasive oxygen-ozone therapy for lumbar disk herniation. Am. J. Neuroradiol. 2003, 24, 996–1000. [Google Scholar] [PubMed]
- Ercalik, T.; Kilic, M. Efficacy of Intradiscal Ozone Therapy with or without Periforaminal Steroid Injection on Lumbar Disc Herniation: A Double-Blinded Controlled Study. Pain Physician 2020, 23, 477–484. [Google Scholar] [CrossRef] [PubMed]
- Zhang, Y.; Ma, Y.; Jiang, J.; Ding, T.; Wang, J. Treatment of the lumbar disc herniation with intradiscal and intraforaminal injection of oxygen-ozone. J. Back. Musculoskelet. Rehabil. 2013, 26, 317–322. [Google Scholar] [CrossRef]
- Muto, M.; Andreula, C.; Leonardi, M. Treatment of herniated lumbar disc by intradiscal and intraforaminal oxygen-ozone (O2-O3) injection. J. Neuroradiol. 2004, 31, 183–189. [Google Scholar] [CrossRef] [PubMed]
- Clavo, B.; Robaina, F.; Urrutia, G.; Bisshopp, S.; Ramallo, Y.; Szolna, A.; Caramés, M.A.; Fiuza, M.D.; Linertová, R. Ozone Therapy versus Surgery for Lumbar Disc Herniation: A Randomized Double-Blind Controlled Trial. Complement. Ther. Med. 2021, 59, 102724. [Google Scholar] [CrossRef] [PubMed]
- Kelekis, A.; Bonaldi, G.; Cianfoni, A.; Filippiadis, D.; Scarone, P.; Bernucci, C.; Hooper, D.M.; Benhabib, H.; Murphy, K.; Buric, J. Intradiscal Oxygen-Ozone Chemonucleolysis versus Microdiscectomy for Lumbar Disc Herniation Radiculopathy: A Non-Inferiority Randomized Control Trial. Spine J. Off. J. N. Am. Spine Soc. 2022, 22, 895–909. [Google Scholar] [CrossRef]
- Steppan, J.; Meaders, T.; Muto, M.; Murphy, K.J. A metaanalysis of the effectiveness and safety of ozone treatments for herniated lumbar discs. J. Vasc. Interv. Radiol. 2010, 21, 534–548. [Google Scholar] [CrossRef]
- Facchini, G.; Spinnato, P.; Guglielmi, G.; Albisinni, U.; Bazzocchi, A. A comprehensive review of pulsed radiofrequency in the treatment of pain associated with different spinal conditions. Br. J. Radiol. 2017, 90, 20150406. [Google Scholar] [CrossRef]
- Wood, B.J.; Ramkaransingh, J.R.; Fojo, T.; Walther, M.M.; Libutti, S.K. Percutaneous tumor ablation with radiofrequency. Cancer 2002, 94, 443–451. [Google Scholar] [CrossRef]
- Marliana, A.; Setyopranoto, I.; Setyaningsih, I.; Rhatomy, S. The Effect of Pulsed Radiofrequency on Radicular Pain in Lumbal Herniated Nucleus Pulposus: A Systematic Review and Meta-analysis. Anesthesiol. Pain Med. 2021, 11, e111420. [Google Scholar] [CrossRef]
- Trinidad, J.M.; Carnota, A.I.; Failde, I.; Torres, L.M. Radiofrequency for the Treatment of Lumbar Radicular Pain: Impact on Surgical Indications. Pain Res. Treat. 2015, 2015, 392856. [Google Scholar] [CrossRef]
- Zeng, Z.; Yan, M.; Dai, Y.; Qiu, W.; Deng, S.; Gu, X. Percutaneous bipolar radiofrequency thermocoagulation for the treatment of lumbar disc herniation. J. Clin. Neurosci. 2016, 30, 39–43. [Google Scholar] [CrossRef] [PubMed]
- Imani, F. Using Pulsed Radiofrequency for Chronic Pain. Anesthesiol. Pain Med. 2012, 1, 155–156. [Google Scholar] [CrossRef]
- Imani, F.; Gharaei, H.; Rezvani, M. Pulsed Radiofrequency of Lumbar Dorsal Root Ganglion for Chronic Postamputation Phantom Pain. Anesthesiol. Pain Med. 2012, 1, 194–197. [Google Scholar] [CrossRef]
- Böning, G.; Hartwig, T.; Freyhardt, P.; de Bucourt, M.; Teichgräber, U.; Streitparth, F. MR-guided lumbar facet radiofrequency denervation for treatment of patients with chronic low back pain in an open 1.0 Tesla MRI system. Ann. Transl. Med. 2021, 9, 1056. [Google Scholar] [CrossRef]
- Sansone, P.; Giaccari, L.G.; Lippiello, A.; Aurilio, C.; Paladini, A.; Passavanti, M.B.; Pota, V.; Pace, M.C. Pulsed Radiofrequency for Lumbar Facet Joint Pain: A Viable Therapeutic Option? A Retrospective Observational Study. Pain Ther. 2020, 9, 573–582. [Google Scholar] [CrossRef] [PubMed]
- Baron, R.; Binder, A.; Attal, N.; Casale, R.; Dickenson, A.H.; Treede, R. Neuropathic low back pain in clinical practice. Eur. J. Pain 2016, 20, 861–873. [Google Scholar] [CrossRef] [PubMed]
- Leggett, L.E.; Soril, L.J.; Lorenzetti, D.L.; Noseworthy, T.; Steadman, R.; Tiwana, S.; Clement, F. Radiofrequency Ablation for Chronic Low Back Pain: A Systematic Review of Randomized Controlled Trials. Pain Res. Manag. 2014, 19, e146–e153. [Google Scholar] [CrossRef]
- Çetin, A.; Yektaş, A. Evaluation of the Short- and Long-Term Effectiveness of Pulsed Radiofrequency and Conventional Radiofrequency Performed for Medial Branch Block in Patients with Lumbar Facet Joint Pain. Pain. Res. Manag. 2018, 2018, 7492753. [Google Scholar] [CrossRef]
- Cohen, S.P.; Hurley, R.W.; Buckenmaier, C.C.; Kurihara, C.; Morlando, B.; Dragovich, A. Randomized Placebo-controlled Study Evaluating Lateral Branch Radiofrequency Denervation for Sacroiliac Joint Pain. Anesthesiology 2008, 109, 279–288. [Google Scholar] [CrossRef]
- Patel, N.; Gross, A.; Brown, L.; Gekht, G. A Randomized, Placebo-Controlled Study to Assess the Efficacy of Lateral Branch Neurotomy for Chronic Sacroiliac Joint Pain. Pain Med. 2012, 13, 383–398. [Google Scholar] [CrossRef] [PubMed]
- Erdine, S.; Ozyalcin, N.S.; Cimen, A.; Celik, M.; Talu, G.K.; Disci, R. Comparison of pulsed radiofrequency with conventional radiofrequency in the treatment of idiopathic trigeminal neuralgia. Eur. J. Pain 2007, 11, 309–313. [Google Scholar] [CrossRef] [PubMed]
- Aurilio, C.; Pota, V.; Pace, M.C.; Passavanti, M.B.; Barbarisi, M. Ionic channels and neuropathic pain: Phisiopatology and applications. J. Cell Physiol. 2008, 215, 8–14. [Google Scholar] [CrossRef] [PubMed]
- Chua, N.H.L.; Vissers, K.C.; Sluijter, M.E. Pulsed radiofrequency treatment in interventional pain management: Mechanisms and potential indications—A review. Acta Neurochir. 2011, 153, 763–771. [Google Scholar] [CrossRef] [PubMed]
- Park, C.H.; Lee, S.H.; Lee, P.B. Intradiscal Pulsed Radiofrequency Application Duration Effect on Lumbar Discogenic Low Back Pain. Pain Physician 2020, 23, E535–E540. [Google Scholar] [CrossRef] [PubMed]
- Napoli, A.; Alfieri, G.; Scipione, R.; Andrani, F.; Leonardi, A.; Catalano, C. Pulsed radiofrequency for low-back pain and sciatica. Expert. Rev. Med. Devices 2020, 17, 83–86. [Google Scholar] [CrossRef] [PubMed]
- Kaye, E.A.; Monette, S.; Srimathveeravalli, G.; Maybody, M.; Solomon, S.B.; Gulati, A. MRI-guided focused ultrasound ablation of lumbar medial branch nerve: Feasibility and safety study in a swine model. Int. J. Hyperth. 2016, 32, 786–794. [Google Scholar] [CrossRef]
- Harnof, S.; Zibly, Z.; Shay, L.; Dogadkin, O.; Hanannel, A.; Inbar, Y.; Goor-Aryeh, I.; Caspi, I. Magnetic Resonance-Guided Focused Ultrasound Treatment of Facet Joint Pain: Summary of Preclinical Phase. J. Ther. Ultrasound 2014, 2, 9. [Google Scholar] [CrossRef]
- Weeks, E.M.; Platt, M.W.; Gedroyc, W. MRI-guided focused ultrasound (MRgFUS) to treat facet joint osteoarthritis low back pain—Case series of an innovative new technique. Eur. Radiol. 2012, 22, 2822–2835. [Google Scholar] [CrossRef]
- Dupuy, D.E.; Hong, R.; Oliver, B.; Goldberg, S.N. Radiofrequency Ablation of Spinal Tumors: Temperature Distribution in the Spinal Canal. Am. J. Roentgenol. 2000, 175, 1263–1266. [Google Scholar] [CrossRef]
- Vanderschueren, G.M.; Obermann, W.R.; Dijkstra, S.P.D.; Taminiau, A.H.M.; Bloem, J.L.; van Erkel, A.R. Radiofrequency Ablation of Spinal Osteoid Osteoma: Clinical Outcome. Spine 2009, 34, 901–903. [Google Scholar] [CrossRef] [PubMed]
- van der Linden, E.; Kroft, L.J.M.; Dijkstra, P.D.S. Treatment of Vertebral Tumor with Posterior Wall Defect Using Image-guided Radiofrequency Ablation Combined with Vertebroplasty: Preliminary Results in 12 Patients. J. Vasc. Interv. Radiol. 2007, 18, 741–747. [Google Scholar] [CrossRef] [PubMed]
- Napoli, A.; Alfieri, G.; De Maio, A.; Panella, E.; Scipione, R.; Facchini, G.; Albisinni, U.; Spinnato, P.; Nardis, P.G.; Tramutoli, R.; et al. CT-Guided Pulsed Radiofrequency Combined with Steroid Injection for Sciatica from Herniated Disk: A Randomized Trial. Radiology 2023, 307, e221478. [Google Scholar] [CrossRef] [PubMed]
- Onggo, J.R.; Nambiar, M.; Maingard, J.T.; Phan, K.; Marcia, S.; Manfrè, L.; Hirsch, J.A.; Chandra, R.V.; Buckland, A.J. The Use of Minimally Invasive Interspinous Process Devices for the Treatment of Lumbar Canal Stenosis: A Narrative Literature Review. J. Spine Surg. 2021, 7, 394–412. [Google Scholar] [CrossRef] [PubMed]
- Phan, K.; Rao, P.J.; Ball, J.R.; Mobbs, R.J. Interspinous process spacers versus traditional decompression for lumbar spinal stenosis: Systematic review and meta-analysis. J. Spine Surg. 2016, 2, 31–40. [Google Scholar] [CrossRef] [PubMed]
- Poetscher, A.W.; Gentil, A.F.; Ferretti, M.; Lenza, M. Interspinous process devices for treatment of degenerative lumbar spine stenosis: A systematic review and meta-analysis. Bekelis K, editor. PLoS ONE 2018, 13, e0199623. [Google Scholar] [CrossRef] [PubMed]
- Filippiadis, D.K.; Kelekis, A. A review of percutaneous techniques for low back pain and neuralgia: Current trends in epidural infiltrations, intervertebral disk and facet joint therapies. Br. J. Radiol. 2016, 89, 20150357. [Google Scholar] [CrossRef] [PubMed]
- Marcia, S.; Saba, L.; Anselmetti, G.C.; Marini, S.; Piras, E.; Marras, M.; Masala, S.; Georgy, B. Effectiveness of Percutaneous Screws for Treatment of Degenerative Lumbar Low Back Pain. Cardiovasc. Intervent. Radiol. 2014, 37, 1329–1335. [Google Scholar] [CrossRef] [PubMed]
- Amoretti, N.; Amoretti, M.-E.; Hovorka, I.; Hauger, O.; Boileau, P.; Huwart, L. Percutaneous Facet Screw Fixation of Lumbar Spine with CT and Fluoroscopic Guidance: A Feasibility Study. Radiology 2013, 268, 548–555. [Google Scholar] [CrossRef]
- Lilius, G.; Laasonen, E.; Myllynen, P.; Harilainen, A.; Gronlund, G. Lumbar facet joint syndrome. A randomised clinical trial. J. Bone Jt. Surg. Br. 1989, 71-B, 681–684. [Google Scholar] [CrossRef]
- Carette, S.; Marcoux, S.; Truchon, R.; Grondin, C.; Gagnon, J.; Allard, Y.; Latulippe, M. A Controlled Trial of Corticosteroid Injections into Facet Joints for Chronic Low Back Pain. N. Engl. J. Med. 1991, 325, 1002–1007. [Google Scholar] [CrossRef] [PubMed]
- Maas, E.T.; Ostelo, R.W.; Niemisto, L.; Jousimaa, J.; Hurri, H.; Malmivaara, A.; Van Tulder, M.W. Radiofrequency Denervation for Chronic Low Back Pain. Cochrane Database Syst. Rev. 2015, 2015, CD008572. [Google Scholar] [CrossRef] [PubMed]
- Cazzato, R.L.; De Rubeis, G.; De Marini, P.; Auloge, P.; Dalili, D.; Weiss, J.; Koch, G.; Rao, P.P.; Boatta, E.; Garnon, J.; et al. Interventional Radiology Outpatient Clinics (IROC): Clinical Impact and Patient Satisfaction. Cardiovasc. Interv. Radiol. 2021, 44, 118–126. [Google Scholar] [CrossRef] [PubMed]












| Imaging Guidance | Advantages | Disadvantages | Uses |
|---|---|---|---|
| Ultrasound |
|
|
|
| MRI |
|
|
|
| CT |
|
|
|
| Fluoroscopy |
|
|
|
| Drug/Material | Advantages | Disadvantages | Indications |
|---|---|---|---|
| Glucocorticoids [66,67] |
|
|
|
| Methylene Blue [76,77,78,79,80,81,100] |
|
|
|
| Platelet-rich plasma (PRP) [82,83,84,85] |
|
|
|
| Mesenchymal Stem cells (MSCs) [86,87] |
|
|
|
| Hydrogel [96] |
|
|
|
| Second Level Procedures | Advantages | Disadvantages | Main Indication |
|---|---|---|---|
| Radiofrequency | Relatively less expensive; Can be US-guided, MR or CT guided | Non-target ablation: skin burns | Continuous: Facet joint OA Pulsed: Discogenic pain |
| Ozone therapy | Can be a curable option | Higher rate of complications in inexperienced operators; the necessity of CT or MR guidance | Discogenic pain |
| MRgFUS | Non-invasive option with optimal real-time monitoring | High cost and long procedure with inexperienced operators | Facet joint OA |
Disclaimer/Publisher’s Note: The statements, opinions and data contained in all publications are solely those of the individual author(s) and contributor(s) and not of MDPI and/or the editor(s). MDPI and/or the editor(s) disclaim responsibility for any injury to people or property resulting from any ideas, methods, instructions or products referred to in the content. |
© 2024 by the authors. Licensee MDPI, Basel, Switzerland. This article is an open access article distributed under the terms and conditions of the Creative Commons Attribution (CC BY) license (https://creativecommons.org/licenses/by/4.0/).
Share and Cite
Taninokuchi Tomassoni, M.; Braccischi, L.; Russo, M.; Adduci, F.; Calautti, D.; Girolami, M.; Vita, F.; Ruffilli, A.; Manzetti, M.; Ponti, F.; et al. Image-Guided Minimally Invasive Treatment Options for Degenerative Lumbar Spine Disease: A Practical Overview of Current Possibilities. Diagnostics 2024, 14, 1147. https://doi.org/10.3390/diagnostics14111147
Taninokuchi Tomassoni M, Braccischi L, Russo M, Adduci F, Calautti D, Girolami M, Vita F, Ruffilli A, Manzetti M, Ponti F, et al. Image-Guided Minimally Invasive Treatment Options for Degenerative Lumbar Spine Disease: A Practical Overview of Current Possibilities. Diagnostics. 2024; 14(11):1147. https://doi.org/10.3390/diagnostics14111147
Chicago/Turabian StyleTaninokuchi Tomassoni, Makoto, Lorenzo Braccischi, Mattia Russo, Francesco Adduci, Davide Calautti, Marco Girolami, Fabio Vita, Alberto Ruffilli, Marco Manzetti, Federico Ponti, and et al. 2024. "Image-Guided Minimally Invasive Treatment Options for Degenerative Lumbar Spine Disease: A Practical Overview of Current Possibilities" Diagnostics 14, no. 11: 1147. https://doi.org/10.3390/diagnostics14111147
APA StyleTaninokuchi Tomassoni, M., Braccischi, L., Russo, M., Adduci, F., Calautti, D., Girolami, M., Vita, F., Ruffilli, A., Manzetti, M., Ponti, F., Matcuk, G. R., Mosconi, C., Cirillo, L., Miceli, M., & Spinnato, P. (2024). Image-Guided Minimally Invasive Treatment Options for Degenerative Lumbar Spine Disease: A Practical Overview of Current Possibilities. Diagnostics, 14(11), 1147. https://doi.org/10.3390/diagnostics14111147

