Radiological Features of Male Breast Neoplasms: How to Improve the Management of a Rare Disease
Abstract
1. Introduction
2. Materials and Methods
- -
- Type of lesion (mass, mass with microcalcifications);
- -
- Morphology of microcalcifications if present (amorphous, round and punctate);
- -
- Distribution of microcalcifications (clustered, scattered);
- -
- Relationship of the lesion to the nipple (eccentric, subareolar). The lesion was defined as eccentric if assuming an imaginary line from the center of the nipple that does not fall within the lesion;
- -
- Shape of the lesion (oval, round, spiculated);
- -
- Density lesion (high, low);
- -
- Margins (regular, poorly defined, irregular);
- -
- Associated findings (skin thickening, nipple involvement).
- -
- Type of lesion (mixed, partly liquid–partly solid nodule, solid nodule);
- -
- Margins (spiculated, smooth, poorly defined);
- -
- Lesion taller than wide (yes, no);
- -
- Echogenicity (homogeneous, inhomogeneous);
- -
- Color Doppler (absent, predominantly in the rim, internal);
- -
- Posterior acoustic enhancement (yes, no).
3. Results
3.1. Overall Summary (Data Not Related to Imaging)
3.2. DM Features
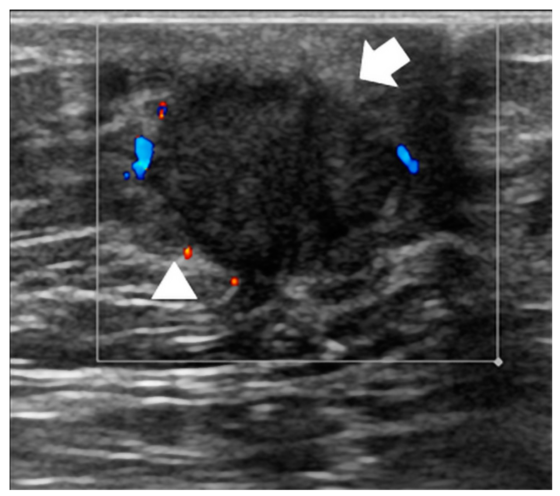
3.3. US Features
3.4. Disease-Free Survival
4. Discussion
5. Conclusions
Author Contributions
Funding
Institutional Review Board Statement
Informed Consent Statement
Data Availability Statement
Conflicts of Interest
References
- Giaquinto, A.N.; Sung, H.; Miller, K.D.; Kramer, J.L.; Newman, L.A.; Minihan, A.; Jemal, A.; Siegel, R.L. Breast Cancer Statistics, 2022. CA Cancer J. Clin. 2022, 72, 524–541. [Google Scholar] [CrossRef] [PubMed]
- Fentiman, I.S.; Fourquet, A.; Hortobagyi, G.N. Male breast cancer. Lancet 2006, 367, 595–604, Erratum in: Lancet 2006, 367, 1818. [Google Scholar] [CrossRef] [PubMed]
- Steinitz, R.; Katz, L.; Ben-Hur, M. Male breast cancer in Israel: Selected epidemiological aspects. Isr. Med. Assoc. J. 1981, 17, 816–821. [Google Scholar]
- Waterhouse, J.; Muir, C.; Correa, P.; Powell, J.R. (Eds.) Cancer Incidence in Five Continents; IARC Scientific Publications: Lyon, France, 1976; Volume 3, p. 15. [Google Scholar]
- SEER*Explorer: An Interactive Website for SEER Cancer Statistics [Internet]. Surveillance Research Program, National Cancer Institute. Available online: https://seer.cancer.gov/explorer (accessed on 15 April 2021).
- Joshi, M.G.; Lee, A.K.; Loda, M.; Camus, M.G.; Pedersen, C.; Heatley, G.J.; Hughes, K.S. Male breast carcinoma: An evaluation of prognostic factors contributing to a poorer outcome. Cancer 1996, 77, 490–498. [Google Scholar] [CrossRef]
- Woods, R.W.; Salkowski, L.R.; Elezaby, M.; Burnside, E.S.; Strigel, R.M.; Fowler, A.M. Image-based screening for men at high risk for breast cancer: Benefits and drawbacks. Clin. Imaging 2020, 60, 84–89. [Google Scholar] [CrossRef] [PubMed]
- Önder, Ö.; Azizova, A.; Durhan, G.; Elibol, F.D.; Akpınar, M.G.; Demirkazık, F. Imaging findings and classification of the common and uncommon male breast diseases. Insights Imaging 2020, 11, 27. [Google Scholar] [CrossRef] [PubMed]
- American College of Radiology (ACR). ACR BI-RADS, mammography. In ACR Breast Imaging Reporting and Data System: Breast Imaging Atlas, 4th ed.; American College of Radiology: Reston, VA, USA, 2003. [Google Scholar]
- American College of Radiology (ACR). ACR BI-RADS, ultrasound. In ACR Breast Imaging Reporting and Data System: Breast Imaging Atlas, 4th ed.; American College of Radiology: Reston, VA, USA, 2003. [Google Scholar]
- Nicosia, L.; Lissidini, G.; Sargenti, M.; Bozzini, A.C.; Farante, G.; Vila, J.; Oriecuia, C.; Pagan, E.; Bagnardi, V.; Lazzeroni, M.; et al. Ductal carcinoma in situ of the male breast: Clinical radiological features and management in a cancer referral center. Breast Cancer Res. Treat. 2022, 196, 371–377. [Google Scholar] [CrossRef]
- Lombardi, A.; Lazzeroni, R.; Bersigotti, L.; Vitale, V.; Amanti, C. The Proper Ki-67 Cut-Off in Hormone Responsive Breast Cancer: A Monoinstitutional Analysis with Long-Term Follow-Up. Breast Cancer 2021, 13, 213–217. [Google Scholar] [CrossRef]
- Elston, C.W.; Falck, A.K.; Forsare, C.; Grabau, D.; Rydén, L.; Stål, O.; Fernö, M.; South and South-East Swedish Breast Cancer Groups. Histological grade provides significant prognostic information in addition to breast cancer subtypes defined according to St Gallen 2013. Acta Oncol. 2017, 56, 68–74. [Google Scholar]
- Ménard, S.; Fortis, S.; Castiglioni, F.; Agresti, R.; Balsari, A. HER2 as a prognostic factor in breast cancer. Oncology 2001, 61 (Suppl. S2), 67–72. [Google Scholar] [CrossRef]
- Siegel, R.L.; Miller, K.D.; Jemal, A. Cancer statistics, 2018. CA Cancer J. Clin. 2018, 68, 7–30. [Google Scholar] [CrossRef] [PubMed]
- Cutuli, B.; Le-Nir, C.C.; Serin, D.; Kirova, Y.; Gaci, Z.; Lemanski, C.; De Lafontan, B.; Zoubir, M.; Maingon, P.; Mignotte, H.; et al. Male breast cancer. Evolution of treatment and prognostic factors. Analysis of 489 cases. Crit. Rev. Oncol. Hematol. 2010, 73, 246–254. [Google Scholar] [CrossRef] [PubMed]
- Lale Atahan, I.; Yildiz, F.; Ozyigit, G.; Sari, S.; Gurkaynak, M.; Selek, U.; Hayran, M. Percent positive axillary lymph node metastasis predicts survival in patients with non-metastatic breast cancer. Acta Oncol. 2008, 47, 232–238. [Google Scholar] [CrossRef] [PubMed]
- Truong, P.T.; Berthelet, E.; Lee, J.; Kader, H.A.; Olivotto, I.A. The prognostic significance of the percentage of positive/dissected axillary lymph nodes in breast cancer recurrence and survival in patients with one to three positive axillary lymph nodes. Cancer 2005, 103, 2006–2014. [Google Scholar] [CrossRef] [PubMed]
- Gucalp, A.; Leithner, D.; Keating, D.; Avendano, D.; Bernard-Davila, B.; Morris, E.A.; Pinker, K.; Jochelson, M.S. Mammographic screening in male patients at high risk for breast cancer: Is it worth it? Breast Cancer Res. Treat. 2019, 177, 705–711. [Google Scholar] [CrossRef]
- Guirguis, M.S.; Adrada, B.; Santiago, L.; Candelaria, R.; Arribas, E. Mimickers of breast malignancy: Imaging findings, pathologic concordance and clinical management. Insights Imaging 2021, 12, 53. [Google Scholar] [CrossRef] [PubMed]
- Bagnera, S.; Campanino, P.; Barisone, F.; Mariscotti, G.; Gandini, G. Imaging, histology and hormonal features of five cases of male breast cancer observed in a single year: Comparison with the literature. Radiol. Med. 2008, 113, 1096–1109. [Google Scholar] [CrossRef]
- Mathew, J.; Perkins, G.H.; Stephens, T.; Middleton, L.P.; Yang, W.T. Primary breast cancer in men: Clinical, imaging, and pathologic findings in 57 patients. AJR Am. J. Roentgenol. 2008, 191, 1631–1639. [Google Scholar] [CrossRef]
- Yang, W.T.; Whitman, G.J.; Yuen, E.H.; Tse, G.M.; Stelling, C.B. Sonographic features of primary breast cancer in men. AJR Am. J. Roentgenol. 2001, 176, 413–416. [Google Scholar] [CrossRef]
- Sahin, C.; Ucpinar, B.A.; Mut, D.T.; Yilmaz, O.; Ucak, R.; Kaya, C.; Tanik, C. Male Breast Cancer with Radiological and Histopathological Findings. Sisli Etfal Hastan. Tip Bul. 2020, 54, 375–379. [Google Scholar] [CrossRef]
- Nguyen, C.; Kettler, M.D.; Swirsky, M.E.; Miller, V.I.; Scott, C.; Krause, R.; Hadro, J.A. Male breast disease: Pictorial review with radiologic-pathologic correlation. Radiographics 2013, 33, 763–779. [Google Scholar] [CrossRef] [PubMed]
- Muñoz Carrasco, R.; Alvarez Benito, M.; Muñoz Gomariz, E.; Raya Povedano, J.L.; Martínez Paredes, M. Mammography and ultrasound in the evaluation of male breast disease. Eur. Radiol. 2010, 20, 2797–2805. [Google Scholar] [CrossRef] [PubMed]
- Hanavadi, S.; Monypenny, I.J.; Mansel, R.E. Is mammography overused in male patients? Breast 2006, 15, 123–126. [Google Scholar] [CrossRef] [PubMed]
- Tari, D.U.; Morelli, L.; Guida, A.; Pinto, F. Male Breast Cancer Review. A Rare Case of Pure DCIS: Imaging Protocol, Radiomics and Management. Diagnostics 2021, 11, 2199. [Google Scholar] [CrossRef]
- Niell, B.L.; Lourenco, A.P.; Moy, L.; Baron, P.; Didwania, A.D.; di Florio-Alexander, R.M.; Heller, S.L.; Holbrook, A.I.; Le-Petross, H.T.; Lewin, A.A.; et al. ACR Appropriateness Criteria® Evaluation of the Symptomatic Male Breast. J. Am. Coll. Radiol. JACR 2018, 15, S313–S320. [Google Scholar] [CrossRef]
- Durand, M.A.; Wang, S.; Hooley, R.J.; Raghu, M.; Philpotts, L.E. Tomosynthesis-detected architectural distortion: Management algorithm with radiologic-pathologic correlation. Radiographics 2016, 36, 311–321. [Google Scholar] [CrossRef]
- Ray, K.M.; Turner, E.; Sickles, E.A.; Joe, B.N. Suspicious findings at digital breast Tomosynthesis occult to conventional digital mammography: Imaging features and pathology findings. Breast J. 2015, 21, 538–542. [Google Scholar] [CrossRef]
- Skaane, P.; Bandos, A.I.; Gullien, R.; Eben, E.B.; Ekseth, U.; Haakenaasen, U.; Izadi, M.; Jebsen, I.N.; Jahr, G.; Krager, M.; et al. Comparison of digital mammography alone and digital mammography plus tomosynthesis in a population-based screening program. Radiology 2013, 267, 47–56. [Google Scholar] [CrossRef]
- Schmidt, S.; Huang, Z.; Duric, N.; Li, C.; Roy, O. Modification of Kirchhoff migration with variable sound speed and attenuation for acoustic imaging of media and application to tomographic imaging of the breast. Med. Phys. 2011, 38, 998. [Google Scholar] [CrossRef]
- Entrekin, R.R.; Porter, B.A.; Sillesen, H.H.; Wong, A.D.; Cooperberg, P.L.; Fix, C.H. Real-time spatial compound imaging application to breast, vascular, and musculoskeletal ultrasound. Semin. Ultrasound CT MR 2001, 22, 50–64. [Google Scholar] [CrossRef]
- Stavros, A.T.; Thickman, D.; Rapp, C.L.; Dennis, M.A.; Parker, S.H.; Sisney, G. Solid breast nodules: Use of sonography to distinguish between benign and malignant lesions. Radiology 1995, 196, 123–134. [Google Scholar] [CrossRef] [PubMed]
- Greenleaf, J.F.; Johnson, S.A.; Bahn, R.C.; Rajagopalan, B. Quantitative cross-sectional imaging of ultrasound parameters. In Proceedings of the 1977 Ultrasonics Symposium Proceedings, Phoenix, AZ, USA, 26–28 October 1977; pp. 989–995. [Google Scholar]
- Weiwad, W.; Heinig, A.; Goetz, L.; Hartmann, H.; Lampe, D.; Buchman, J.; Millner, R.; Spielmann, R.P.; Heywang-Koebrunner, S.H. Direct measurement of sound velocity in various specimens of breast tissue. Investig. Radiol. 2000, 35, 721–726. [Google Scholar] [CrossRef] [PubMed]
- O’Flynn, E.A.M.; Fromageau, J.; Ledger, A.E.; Messa, A.; D’Aquino, A.; Schoemaker, M.J.; Schmidt, M.; Duric, N.; Swerdlow, A.J.; Bamber, J.C. Ultrasound Tomography Evaluation of Breast Density: A Comparison With Noncontrast Magnetic Resonance Imaging. Investig. Radiol. 2017, 52, 343–348. [Google Scholar] [CrossRef] [PubMed]








| Variable | Level | Overall (N = 56) |
|---|---|---|
| Familiarity, N (%) | No | 22 (47) |
| Yes | 25 (53) | |
| Missing | 9 | |
| BRCA mutations, N (%) | No | 12 (67) |
| Yes | 6 (33) | |
| Missing | 38 | |
| Prostatic/testicular diseases, N (%) | Prostatic hyperplasia | 8 (44) |
| Prostate adenoma | 1 (6) | |
| Prostate cancer | 4 (22) | |
| Testicular cancer | 3 (17) | |
| Bladder cancer | 1 (6) | |
| Varicocele | 1 (6) | |
| Missing | 38 | |
| Pre-operative mammography, N (%) | No | 28 (50) |
| Yes | 28 (50) | |
| Pre-operative ultrasound, N (%) | No | 10 (18) |
| Yes | 46 (82) | |
| Size of the lesion (mm), median (min–max) | 18 (5–70) | |
| Pre-operative assessment, N (%) | Cytology | 33 (59) |
| Core biopsy | 23 (41) | |
| Year of surgery, N (%) | 2008–2010 | 9 (16) |
| 2011–2013 | 10 (18) | |
| 2014–2016 | 15 (27) | |
| 2017–2019 | 14 (25) | |
| 2020–2023 | 8 (14) | |
| Age at surgery (y), median (min–max) | 69 (35–81) | |
| Type of surgery, N (%) | Lumpectomy | 2 (4) |
| Mastectomy | 54 (96) | |
| Side, N (%) | Right | 29 (52) |
| Left | 27 (48) | |
| Finding of lymph node mets at surgery, N (%) | No | 38 (68) |
| Yes | 18 (32) | |
| Histological result, N (%) | Invasive ductal carcinoma | 46 (82) |
| Papillary invasive carcinoma | 7 (13) | |
| Invasive ductal and papillary carcinoma | 2 (4) | |
| Invasive ductal and cribriform carcinoma | 1 (2) | |
| ER (Estrogen Receptor), N (%) | <1% | 0 (0) |
| ≥1% | 56 (100) | |
| PgR (Progesterone Receptor), N (%) | <1% | 4 (7) |
| ≥1% | 52 (93) | |
| Ki-67, N (%) | <20% | 26 (46) |
| ≥20% | 30 (54) | |
| HER2 status, N (%) | 0/1+/2+ | 54 (96) |
| 3+ | 2 (4) | |
| Grading, N (%) | G1 | 4 (7) |
| G2 | 35 (64) | |
| G3 | 16 (29) | |
| Missing | 1 |
| Variable | Level | Overall (N = 28) |
|---|---|---|
| BI-RADS, N (%) | 4a | 1 (4) |
| 4b | 5 (18) | |
| 4c | 17 (61) | |
| 5 | 5 (18) | |
| Type of mammographic lesion, N (%) | Mass | 19 (68) |
| Mass with microcalcifications | 9 (32) | |
| Relation of the mass to the nipple, N (%) | Eccentric | 18 (64) |
| Subareolar | 10 (36) | |
| Shape of the mass, N (%) | Oval | 5 (18) |
| Round | 5 (18) | |
| Spiculated | 18 (64) | |
| Density of the mass, N (%) | Low | 3 (11) |
| High | 25 (89) | |
| Margins of the mass, N (%) | Irregular | 15 (54) |
| Poorly defined | 4 (14) | |
| Regular | 9 (32) | |
| Associated findings, N (%) | No | 20 (71) |
| Nipple retraction | 2 (7) | |
| Skin thickening | 5 (18) | |
| Skin thickening and nipple involvement | 1 (4) |
| Variable | Level | Overall (N = 46) |
|---|---|---|
| BI-RADS, N (%) | 4a | 8 (17) |
| 4b | 3 (7) | |
| 4c | 31 (67) | |
| 5 | 4 (9) | |
| Type of ultrasound lesion, N (%) | Solid mass | 41 (89) |
| Mixed mass | 5 (11) | |
| Margins of the mass, N (%) | Poorly defined | 18 (39) |
| Smooth | 15 (33) | |
| Spiculated | 13 (28) | |
| Mass taller than wide, N (%) | No | 29 (63) |
| Yes | 17 (37) | |
| Echogenity, N (%) | Inhomogeneous | 44 (96) |
| Homogeneous | 2 (4) | |
| Color Doppler, N (%) | Absent | 3 (7) |
| Internal | 14 (33) | |
| Predominantly in the rim | 26 (60) | |
| Missing | 3 | |
| Posterior acoustic enhancement, N (%) | No | 41 (89) |
| Yes | 5 (11) |
| Variable | Level | Ki-67 | p-Value | Grading | p-Value | ||
|---|---|---|---|---|---|---|---|
| <20% | ≥20% | G1/G2 | G3 | ||||
| Mammographic variables among patients with pre-operative mammography (N = 28) | |||||||
| Overall, N (%) | 14 (50) | 14 (50) | 18 (64) | 10 (36) | |||
| BI-RADS, N (%) | 4a/4b/4c | 12 (52) | 11 (48) | 1.00 | 15 (65) | 8 (35) | 1.00 |
| 5 | 2 (40) | 3 (60) | 3 (60) | 2 (40) | |||
| Type of mammographic lesion, N (%) | Mass | 9 (47) | 10 (53) | 1.00 | 13 (68) | 6 (32) | 0.68 |
| Mass with microcalcifications | 5 (56) | 4 (44) | 5 (56) | 4 (44) | |||
| Relation of the mass to the nipple, N (%) | Eccentric | 9 (50) | 9 (50) | 1.00 | 13 (72) | 5 (28) | 0.41 |
| Subareolar | 5 (50) | 5 (50) | 5 (50) | 5 (50) | |||
| Shape of the mass, N (%) | Oval | 2 (40) | 3 (60) | 0.76 | 4 (80) | 1 (20) | 0.53 |
| Round | 2 (40) | 3 (60) | 2 (40) | 3 (60) | |||
| Spiculated | 10 (56) | 8 (44) | 12 (67) | 6 (33) | |||
| Margins of the mass, N (%) | Irregular | 8 (53) | 7 (47) | 0.34 | 9 (60) | 6 (40) | 0.36 |
| Poorly defined | 3 (75) | 1 (25) | 4 (100) | 0 (0) | |||
| Regular | 3 (33) | 6 (67) | 5 (56) | 4 (44) | |||
| Associated findings, N (%) | No | 9 (45) | 11 (55) | 0.68 | 13 (65) | 7 (35) | 1.00 |
| Yes | 5 (63) | 3 (38) | 5 (63) | 3 (38) | |||
| Ultrasound variables among patients with pre-operative ultrasound (N = 46) | |||||||
| Overall, N (%) | 20 (43) | 26 (57) | 31 (69) | 14 (31) | |||
| BI-RADS, N (%) | 4a/4b/4c | 18 (43) | 24 (57) | 1.00 | 29 (71) | 12 (29) | 0.58 |
| 5 | 2 (50) | 2 (50) | 2 (50) | 2 (50) | |||
| Type of ultrasound lesion, N (%) | Solid mass | 17 (41) | 24 (59) | 0.64 | 27 (68) | 13 (33) | 1.00 |
| Mixed mass | 3 (60) | 2 (40) | 4 (80) | 1 (20) | |||
| Margins of the mass, N (%) | Poorly defined | 8 (44) | 10 (56) | 0.61 | 12 (71) | 5 (29) | 0.85 |
| Smooth | 5 (33) | 10 (67) | 11 (73) | 4 (27) | |||
| Spiculated | 7 (54) | 6 (46) | 8 (62) | 5 (38) | |||
| Mass taller than wide, N (%) | No | 12 (41) | 17 (59) | 0.76 | 20 (69) | 9 (31) | 1.00 |
| Yes | 8 (47) | 9 (53) | 11 (69) | 5 (31) | |||
| Color Doppler, N (%) | Absent | 2 (67) | 1 (33) | 0.63 | 2 (100) | 0 (0) | 0.62 |
| Internal | 5 (36) | 9 (64) | 11 (79) | 3 (21) | |||
| Predominantly in the rim | 12 (46) | 14 (54) | 17 (65) | 9 (35) | |||
Disclaimer/Publisher’s Note: The statements, opinions and data contained in all publications are solely those of the individual author(s) and contributor(s) and not of MDPI and/or the editor(s). MDPI and/or the editor(s) disclaim responsibility for any injury to people or property resulting from any ideas, methods, instructions or products referred to in the content. |
© 2024 by the authors. Licensee MDPI, Basel, Switzerland. This article is an open access article distributed under the terms and conditions of the Creative Commons Attribution (CC BY) license (https://creativecommons.org/licenses/by/4.0/).
Share and Cite
Nicosia, L.; Mariano, L.; Bozzini, A.C.; Pesapane, F.; Bagnardi, V.; Frassoni, S.; Oriecuia, C.; Dominelli, V.; Latronico, A.; Palma, S.; et al. Radiological Features of Male Breast Neoplasms: How to Improve the Management of a Rare Disease. Diagnostics 2024, 14, 104. https://doi.org/10.3390/diagnostics14010104
Nicosia L, Mariano L, Bozzini AC, Pesapane F, Bagnardi V, Frassoni S, Oriecuia C, Dominelli V, Latronico A, Palma S, et al. Radiological Features of Male Breast Neoplasms: How to Improve the Management of a Rare Disease. Diagnostics. 2024; 14(1):104. https://doi.org/10.3390/diagnostics14010104
Chicago/Turabian StyleNicosia, Luca, Luciano Mariano, Anna Carla Bozzini, Filippo Pesapane, Vincenzo Bagnardi, Samuele Frassoni, Chiara Oriecuia, Valeria Dominelli, Antuono Latronico, Simone Palma, and et al. 2024. "Radiological Features of Male Breast Neoplasms: How to Improve the Management of a Rare Disease" Diagnostics 14, no. 1: 104. https://doi.org/10.3390/diagnostics14010104
APA StyleNicosia, L., Mariano, L., Bozzini, A. C., Pesapane, F., Bagnardi, V., Frassoni, S., Oriecuia, C., Dominelli, V., Latronico, A., Palma, S., Venturini, M., Fontana, F., Priolo, F., Abiuso, I., Sangalli, C., & Cassano, E. (2024). Radiological Features of Male Breast Neoplasms: How to Improve the Management of a Rare Disease. Diagnostics, 14(1), 104. https://doi.org/10.3390/diagnostics14010104

