Cardiac MRI: An Alternative Method to Determine the Left Ventricular Function
Abstract
1. Introduction
2. Materials and Methods
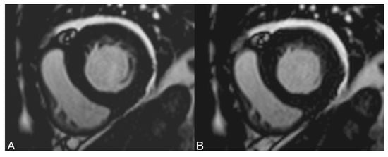
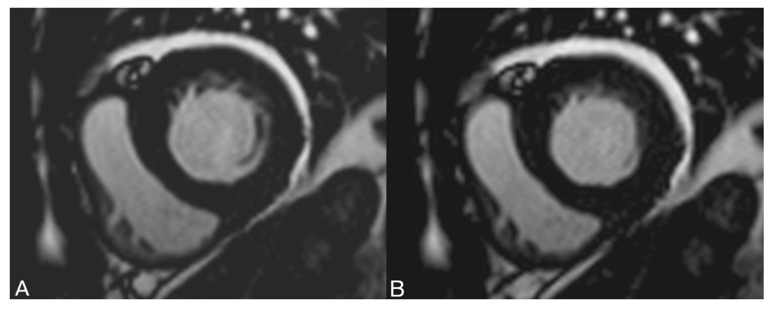
2.1. Patients Studied
2.2. Examination Technique
2.2.1. MR Parameters
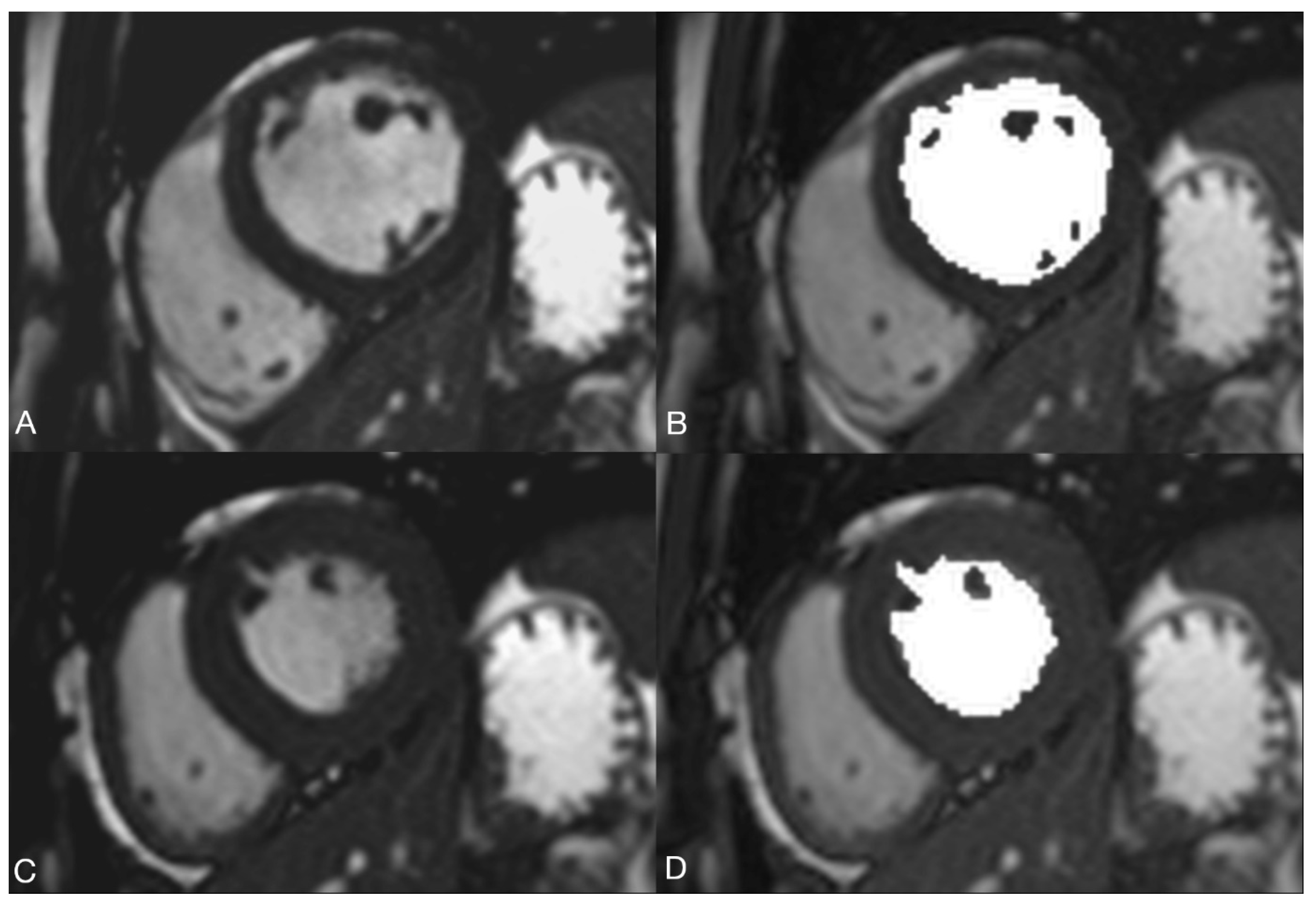
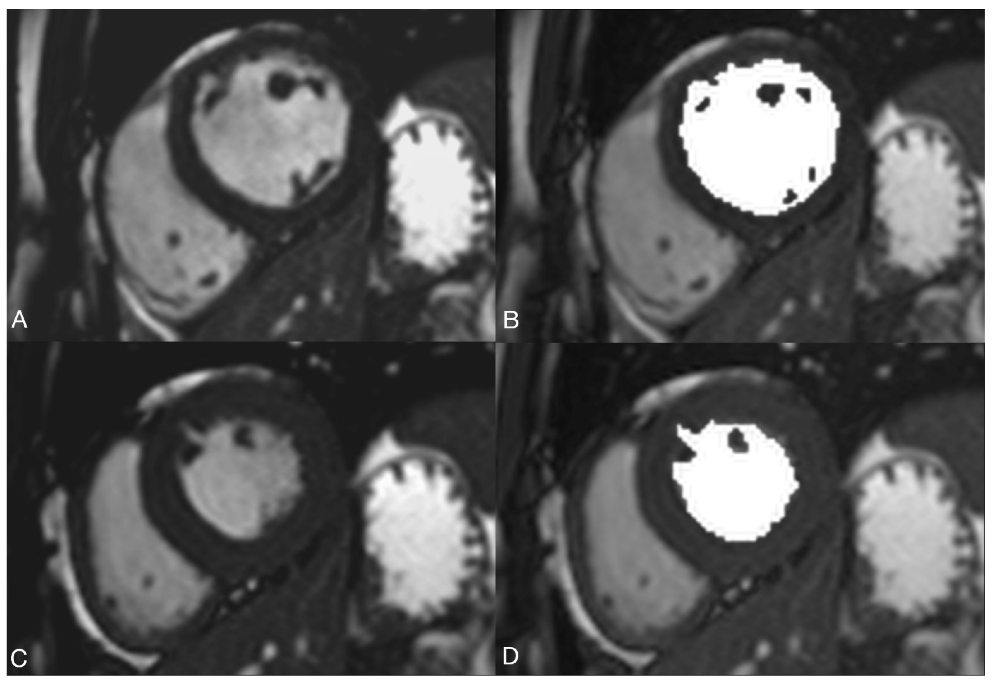
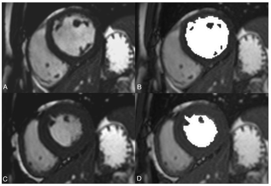
2.2.2. Volume Determination with the Pixel-Based Method (PbM)
2.2.3. Volume Determination According to the Contour Surface Method (=KfM) with SyngoVia
2.2.4. Volume Determination according to the Contour Area Method (=KfM) with cvi42
2.2.5. Relationship between the Volume Area Method and the Pixel-Based Method
3. Results
4. Discussion
5. Conclusions
Author Contributions
Funding
Institutional Review Board Statement
Informed Consent Statement
Data Availability Statement
Acknowledgments
Conflicts of Interest
References
- Achenbach, S.; Barkhausen, J.; Beer, M.; Beerbaum, P.; Dill, T.; Eichhorn, J.; Fratz, S.; Gutberlet, M.; Hoffmann, M.; Huber, A.; et al. Konsensusempfehlungen der DRG/DGK/DGPK zum Einsatz der Herzbildgebung mit Computertomographie und Magnetresonanztomographie. Der Kardiologe 2012, 6, 105–125. [Google Scholar] [CrossRef]
- Hundley, W.G.; Bluemke, D.A.; Finn, J.P.; Flamm, S.D.; Fogel, M.A.; Friedrich, M.G.; Ho, V.B.; Jerosch-Herold, M.; Kramer, C.M.; Manning, W.J.; et al. ACCF/ACR/AHA/NASCI/SCMR 2010 Expert Consensus Document on Cardiovascular Magnetic Resonance: A Report of the American College of Cardiology Foundation Task Force on Expert Consensus Documents. J. Am. Coll. Cardiol. 2010, 55, 2614–2662. [Google Scholar] [CrossRef]
- Thiele, H.; Nagel, E.; Paetsch, I.; Schnackenburg, B.; Bornstedt, A.; Kouwenhoven, M.; Wahl, A.; Schuler, G.; Fleck, E. Functional cardiac MR imaging with steady-state free precession (SSFP) significantly improves endocardial border delineation without contrast agents. J. Magn. Reson. Imaging 2001, 14, 362–367. [Google Scholar] [CrossRef]
- Thiele, H.; Paetsch, I.; Schnackenburg, B.; Bornstedt, A.; Grebe, O.; Wellnhofer, E.; Schuler, G.; Fleck, E.; Nagel, E. Improved accuracy of quantitative assessment of left ventricular volume and ejection fraction by geometric models with steady-state free precession. J. Cardiovasc. Magn. Reson. 2002, 4, 327–339. [Google Scholar] [CrossRef]
- Buser, P.T.; Auffermann, W.; Holt, W.W.; Wagner, S.; Kircher, B.; Wolfe, C.; Higgins, C.B. Noninvasive evaluation of global left ventricular function with use of cine nuclear magnetic resonance. J. Am. Coll. Cardiol. 1989, 13, 1294–1300. [Google Scholar] [CrossRef]
- Matsumura, K.; Nakase, E.; Haiyama, T.; Takeo, K.; Shimizu, K.; Yamasaki, K.; Kohno, K. Determination of cardiac ejection fraction and left ventricular volume: Contrast-enhanced ultrafast cine MR imaging vs IV digital subtraction ventriculography. Am. J. Roentgenol. 1993, 160, 979–985. [Google Scholar] [CrossRef] [PubMed]
- Sechtem, U.; Pflugfelder, P.W.; Gould, R.G.; Cassidy, M.M.; Higgins, C.B. Measurement of right and left ventricular volumes in healthy individuals with cine MR imaging. Radiology 1987, 163, 697–702. [Google Scholar] [CrossRef]
- Stamm, H.H. Parallele Echtzeitbildgebung zur Quantifizierung der Linksventrikulären Herzfunktion bei Freier Atmung Mittels MRT. Ph.D. Thesis, Julius-Maximilians-Universität Würzburg, Würzburg, Germany, 2010. Available online: https://opus.bibliothek.uni-wuerzburg.de/files/3965/TSENSE.pdf (accessed on 18 December 2018).
- Mahnken, A.H.; Günther, R.W.; Krombach, G.A. Grundlagen der linksventrikulären Funktionsanalyse mittels MRT und MSCT. Rofo 2004, 176, 1365–1379. [Google Scholar] [CrossRef]
- Vahanian, A.; Alfieri, O.; Andreotti, F.; Antunes, M.J.; Barón-Esquivias, G.; Baumgartner, H.; Borger, M.A.; Carrel, T.P.; De Bonis, M.; Evangelista, A.; et al. Guidelines on the management of valvular heart disease (version 2012). Eur. Heart J. 2012, 33, 2451–2496. [Google Scholar] [CrossRef]
- Ehlermann, P.; Katus, H.A. Dilatative Kardiomyopathie. Herzschrittmacherther. Elektrophysiol. 2012, 23, 196–200. [Google Scholar] [CrossRef]
- Hammon, M.; Janka, R.; Dankerl, P.; Glöckler, M.; Kammerer, F.J.; Dittrich, S.; Uder, M.; Rompel, O. Pediatric cardiac MRI: Automated left-ventricular volumes and function analysis and effects of manual adjustments. Pediatr. Radiol. 2014, 45, 651–657. [Google Scholar] [CrossRef] [PubMed]
- Mahnken, A.H.; Mühlenbruch, G.; Koos, R.; Stanzel, S.; Busch, P.S.; Niethammer, M.; Günther, R.W.; Wildberger, J.E. Automated vs. manual assessment of left ventricular function in cardiac multidetector row computed tomography: Comparison with magnetic resonance imaging. Eur. Radiol. 2006, 16, 1416–1423. [Google Scholar] [CrossRef] [PubMed]
- Francois, C.; Fieno, D.S.; Shors, S.M.; Finn, J.P. Left Ventricular Mass: Manual and Automatic Segmentation of True FISP and FLASH Cine MR Images in Dogs and Pigs. Radiology 2004, 230, 389–395. [Google Scholar] [CrossRef] [PubMed]
- Bailly, A.; Lipiecki, J.; Chabrot, P.; Alfidja, A.; Garcier, J.M.; Ughetto, S.; Ponsonnaille, J.; Boyer, L. Assessment of left ventricular volumes and function by cine-MR imaging depending on the investigator’s experience. Surg. Radiol. Anat. 2008, 31, 113–120. [Google Scholar] [CrossRef] [PubMed]
- Grothues, F.; Smith, G.C.; Moon, J.C.; Bellenger, N.G.; Collins, P.; Klein, H.U.; Pennell, D.J. Comparison of interstudy reproducibility of cardiovascular magnetic resonance with two-dimensional echocardiography in normal subjects and in patients with heart failure or left ventricular hypertrophy. Am. J. Cardiol. 2002, 90, 29–34. [Google Scholar] [CrossRef]
- Semelka, R.C.; Tomei, E.; Wagner, S.; Mayo, J.; Kondo, C.; Suzuki, J.; Caputo, G.R.; Higgins, C.B. Normal left ventricular dimensions and function: Interstudy reproducibility of measurements with cine MR imaging. Radiology 1990, 174, 763–768. [Google Scholar] [CrossRef]
- Riffel, J.H.; Schmucker, K.; Andre, F.; Ochs, M.; Hirschberg, K.; Schaub, E.; Fritz, T.; Mueller-Hennessen, M.; Giannitsis, E.; Katus, H.A.; et al. Cardiovascular magnetic resonance of cardiac morphology and function: Impact of different strategies of contour drawing and indexing. Clin. Res. Cardiol. 2018, 108, 411–429. [Google Scholar] [CrossRef]
- Baumgartner, H.; Falk, V.; Bax, J.J.; De Bonis, M.; Hamm, C.; Holm, P.J.; Iung, B.; Lancellotti, P.; Lansac, E.; Rodriguez Muñoz, D.; et al. 2017 ESC/EACTS Guidelines for the management of valvular heart disease. Eur. J. Cardio-Thorac. Surg. 2017, 52, 616–664, Correction: Eur. J. Cardio-Thorac. Surg. 2017, 52, 832. [Google Scholar] [CrossRef]
- McMurray, J.J.; Adamopoulos, S.; Anker, S.D.; Auricchio, A.; Böhm, M.; Dickstein, K.; Falk, V.; Filippatos, G.; Fonseca, C.; Gomez-Sanchez, M.A.; et al. ESC Guidelines for the diagnosis and treatment of acute and chronic heart failure 2012: The Task Force for the Diagnosis and Treatment of Acute and Chronic Heart Failure 2012 of the European Society of Cardiology. Developed in collaboration with the Heart Failure Association (HFA) of the ESC. Eur. Heart J. 2012, 33, 1787–1847. [Google Scholar] [CrossRef]
- Gage, B.F.; Waterman, A.D.; Shannon, W.; Boechler, M.; Rich, M.W.; Radford, M.J. Validation of Clinical Classification Schemes for Predicting Stroke: Results from the National Registry of Atrial Fibrillation. JAMA 2001, 285, 2864–2870. [Google Scholar] [CrossRef]
- January, C.T.; Wann, L.S.; Alpert, J.S.; Calkins, H.; Cigarroa, J.E.; Cleveland, J.C., Jr.; Conti, J.B.; Ellinor, P.T.; Ezekowitz, M.D.; Field, M.E.; et al. 2014 AHA/ACC/HRS Guideline for the Management of Patients With Atrial Fibrillation: A report of the American College of Cardiology/American Heart Association Task Force on Practice Guidelines and the Heart Rhythm Society. J. Am. Coll. Cardiol. 2014, 64, e1–e76. [Google Scholar] [CrossRef]
- Kawel-Boehm, N.; Maceira, A.; Valsangiacomo-Buechel, E.R.; Vogel-Claussen, J.; Turkbey, E.B.; Williams, R.; Plein, S.; Tee, M.; Eng, J.; Bluemke, D.A. Normal values for cardiovascular magnetic resonance in adults and children. J. Cardiovasc. Magn. Reson. 2015, 17, 1–33. [Google Scholar] [CrossRef] [PubMed]
- He, B.; Kwan, A.C.; Cho, J.H.; Yuan, N.; Pollick, C.; Shiota, T.; Ebinger, J.; Bello, N.A.; Wei, J.; Josan, K.; et al. Blinded, randomized trial of sonographer versus AI cardiac function assessment. Nature 2023, 1–5. [Google Scholar] [CrossRef]
- Rominger, M.B.; Dinkel, H.-P.; Bachmann, G.F. Vergleich von schneller MR-Flussmessung in Atemanhaltetechnik in Aorta ascendens und Truncus pulmonalis mit rechts- und linksventrikulärer Cine MR-Bildgebung zur Schlagvoluminabestimmung bei Probanden. RöFo-Fortschr. Auf Dem Geb. Der Röntgenstrahlen Und Der Bildgeb. Verfahr. 2002, 174, 196–201. [Google Scholar] [CrossRef] [PubMed]
- Kondo, G.R.C.C.; Caputo, G.R.; Semelka, R.; Foster, E.; Shimakawa, A.; Higgins, C.B.; Srichai, M.B.; Lim, R.P.; Wong, S.; Lee, V.S.; et al. Right and left ventricular stroke volume measurements with velocity-encoded cine MR imaging: In vitro and in vivo validation. Am. J. Roentgenol. 1991, 157, 9–16. [Google Scholar] [CrossRef]
- Bertozzi, G.; Cafarelli, F.P.; Ferrara, M.; Di Fazio, N.; Guglielmi, G.; Cipolloni, L.; Manetti, F.; La Russa, R.; Fineschi, V. Sudden Cardiac Death and Ex-Situ Post-Mortem Cardiac Magnetic Resonance Imaging: A Morphological Study Based on Diagnostic Correlation Methodology. Diagnostics 2022, 12, 218. [Google Scholar] [CrossRef]





| Average PbM | Average KfM | Average cvi42 | |
|---|---|---|---|
| EDV [mL] | 177 | 188 | 193 |
| ESV [mL] | 87 | 99 | 101 |
| SV [mL] | 88 *** | 89 *** | 90 *** |
| EF [%] | 50 | 47 *** | 45 *** |
| PMV [mL] | — | 14.2 * | 5.5 ** |
| Formula | (6) | (7) | (8) | (9) | Mean |
|---|---|---|---|---|---|
| KfM syngo.via [mL] | 13.4 | 15.4 | 12.4 | 13.5 | 13.6 |
| KfM cvi42 [mL] | 15.7 | 16.3 | 13.9 | 13.3 | 14.8 |
| Mean [mL] | 14.5 | 15.8 | 13.1 | 13.4 | 14.2 |
Disclaimer/Publisher’s Note: The statements, opinions and data contained in all publications are solely those of the individual author(s) and contributor(s) and not of MDPI and/or the editor(s). MDPI and/or the editor(s) disclaim responsibility for any injury to people or property resulting from any ideas, methods, instructions or products referred to in the content. |
© 2023 by the authors. Licensee MDPI, Basel, Switzerland. This article is an open access article distributed under the terms and conditions of the Creative Commons Attribution (CC BY) license (https://creativecommons.org/licenses/by/4.0/).
Share and Cite
Michler, K.; Hessman, C.; Prümmer, M.; Achenbach, S.; Uder, M.; Janka, R. Cardiac MRI: An Alternative Method to Determine the Left Ventricular Function. Diagnostics 2023, 13, 1437. https://doi.org/10.3390/diagnostics13081437
Michler K, Hessman C, Prümmer M, Achenbach S, Uder M, Janka R. Cardiac MRI: An Alternative Method to Determine the Left Ventricular Function. Diagnostics. 2023; 13(8):1437. https://doi.org/10.3390/diagnostics13081437
Chicago/Turabian StyleMichler, Kerstin, Christopher Hessman, Marcus Prümmer, Stephan Achenbach, Michael Uder, and Rolf Janka. 2023. "Cardiac MRI: An Alternative Method to Determine the Left Ventricular Function" Diagnostics 13, no. 8: 1437. https://doi.org/10.3390/diagnostics13081437
APA StyleMichler, K., Hessman, C., Prümmer, M., Achenbach, S., Uder, M., & Janka, R. (2023). Cardiac MRI: An Alternative Method to Determine the Left Ventricular Function. Diagnostics, 13(8), 1437. https://doi.org/10.3390/diagnostics13081437

