Blockchain-Based Deep CNN for Brain Tumor Prediction Using MRI Scans
Abstract
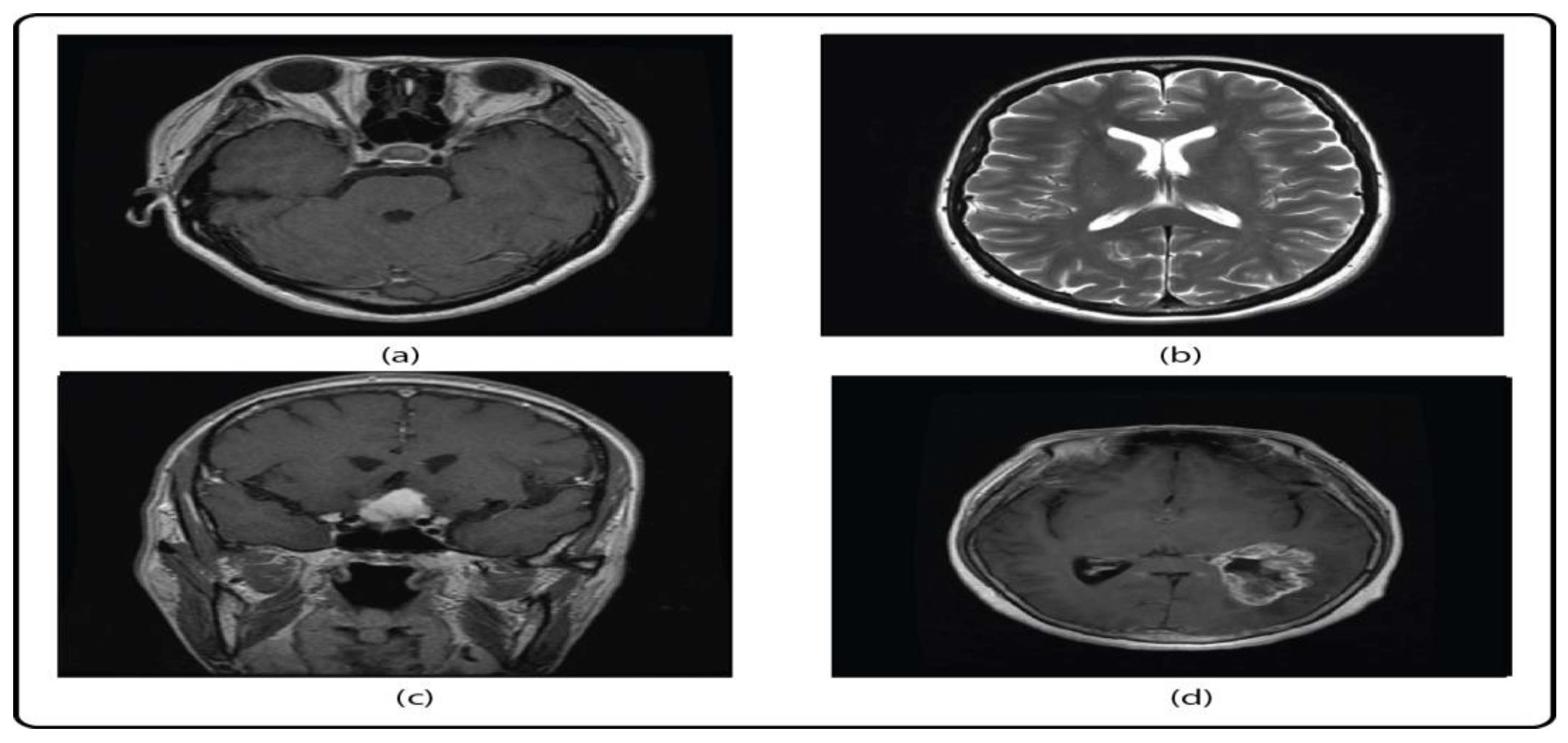
1. Introduction
- Blockchain layers have been added to the CNN models to secure the input and output.
- Blockchain-based secure CNN models have been fine tuned for feature engineering.
- The derived features are fused and optimized using a finetuned genetic algorithm.
2. Related Work
3. Proposed Methodology
3.1. Blockchain
3.2. Deep Learning Architecture Using Secure CNN
Convolutional Neural Networks
3.3. Tampering Attack on Secure CNN
| Algorithm 1: Model Parameter Tampering |
| Input: CNNmodel, parameters |
| Output: SecureModel t |
| 1: j ← 0 |
| 2: layers ← CNNmodel. layers |
| 3: attacktype ← [0, 1, 2] |
| 4: if (attacktype == 0) |
| Classes ← findfullyConnectedLayer (CNNmodel. layers) |
| Classes new ← interchange (Classes) |
| findSoftmaxLayer (CNNmodel. layers) = Classesnew |
| End if |
| 5: else if (attacktype == 1) |
| attackname ← average |
| Perform Attack1 |
| Layersoutput = FindDenseLayers(CNNmodel) |
| Layershape ← LayersOutput.shape |
| noise ← GaussianNoise(ρ, Layershape) |
| w ← weights (Layersoutput) |
| wnew ← w + noise |
| weights (Layersoutput) = wnew |
| End if |
| 6: else if (attacktype == 2) |
| attackname ← severe |
| Perform Attack2 |
| for j ← 0 to size (Layers) |
| Layershape ← Layersi.shape |
| noise ← GaussianNoise(ρ, Layershape) |
| w ← weights (Layersi) |
| wnew ← w + noise |
| weights (Layersi) = wnew |
| end for |
| end if |
| 7: Securemodelt = trainMod(CNNmodel) |
3.4. Features Concatenation and Optimization
| Algorithm 2: G-A based Feature Selection |
| Input: 4048 |
| Output: 2988 |
| Class Label: y |
| Laplace smoothing constant: λ |
| Maximum entropy threshold: τ |
| 1: Initialized Parameters |
|
| 2: Fitness function calculation |
| Calculate the class probabilities for each class y |
| Calculate the entropy H(y) of the class distribution using the following formula: |
| (Where is the proportion of samples extracted from a population) |
| If > τ, set the fitness score to 0 |
| If ≦ τ set the fitness score to the initial population |
| 3: Uniform Cross-Over Implementation |
| 4: Features extraction using Roulette Wheel |
| 5: Mutation_Implementation |
| 6: Populations_Merger |
| 7: Population_Sorting |
| 8: Robust_Chromosomes |
4. Experimental Results
4.1. Brain Tumor Prediction Results Using Secure CNN Feature Fusion
4.2. Brain Tumor Prediction Results Using Secure CNN Feature Optimization
5. Discussion
6. Conclusions
Author Contributions
Funding
Institutional Review Board Statement
Informed Consent Statement
Data Availability Statement
Acknowledgments
Conflicts of Interest
References
- Bondy, M.L.; Scheurer, M.E.; Malmer, B.; Barnholtz-Sloan, J.S.; Davis, F.G.; Il’Yasova, D.; Kruchko, C.; McCarthy, B.J.; Rajaraman, P.; Schwartzbaum, J.A. Brain tumor epidemiology: Consensus from the Brain Tumor Epidemiology Consortium. Cancer 2008, 113, 1953–1968. [Google Scholar] [CrossRef] [PubMed]
- Bellavite, P. Neuroprotective Potentials of Flavonoids: Experimental Studies and Mechanisms of Action. Antioxidants 2023, 12, 280. [Google Scholar] [CrossRef] [PubMed]
- Yee, A.M. Durable medication-free remission of sarcoidosis following discontinuation of anti-tumor necrosis factor-α therapy. Respir. Med. 2023, 206, 107055. [Google Scholar] [CrossRef] [PubMed]
- Musallam, A.S.; Sherif, A.S.; Hussein, M.K. A new convolutional neural network architecture for automatic detection of brain tumors in magnetic resonance imaging images. IEEE Access 2022, 10, 2775–2782. [Google Scholar] [CrossRef]
- Taşcı, B. Attention Deep Feature Extraction from Brain MRIs in Explainable Mode: DGXAINet. Diagnostics 2023, 13, 859. [Google Scholar] [CrossRef]
- Komori, T. The 2021 WHO classification of tumors, central nervous system tumors: The 10 basic principles. Brain Tumor Pathol. 2022, 39, 47–50. [Google Scholar] [CrossRef]
- Louis, D.N.; Perry, A.; Reifenberger, G.; Von Deimling, A.; Figarella-Branger, D.; Cavenee, W.K.; Ohgaki, H.; Wiestler, O.D.; Kleihues, P.; Ellison, D.W. The 2016 World Health Organization classification of tumors of the central nervous system: A summary. Acta Neuropathol. 2016, 131, 803–820. [Google Scholar] [CrossRef]
- Tiwari, A.; Srivastava, S.; Pant, M. Brain tumor segmentation and classification from magnetic resonance images: Review of selected methods from 2014 to 2019. Pattern Recognit. Lett. 2020, 131, 244–260. [Google Scholar] [CrossRef]
- Kumar, V.V.; Prince, P.G.K. Deep belief network Assisted quadratic logit boost classifier for brain tumor detection using MR images. Biomed. Signal Process. Control 2023, 81, 104415. [Google Scholar] [CrossRef]
- Shayeste, H.; Asl, B.M. Automatic seizure detection based on Gray Level Co-occurrence Matrix of STFT imaged-EEG. Biomed. Signal Process. Control 2023, 79, 104109. [Google Scholar] [CrossRef]
- Zhu, H.; Wang, J.; Wang, S.-H.; Raman, R.; Gorriz, J.M.; Zhang, Y.-D. An Evolutionary Attention-Based Network for Medical Image Classification. Int. J. Neural Syst. 2022, 2350010. [Google Scholar] [CrossRef] [PubMed]
- Cao, Y.; Zhou, W.; Zang, M.; An, D.; Feng, Y.; Yu, B. MBANet: A 3D convolutional neural network with multi-branch attention for brain tumor segmentation from MRI images. Biomed. Signal Process. Control 2023, 80, 104296. [Google Scholar] [CrossRef]
- Kaur, P.; Singh, R.K. A review on optimization techniques for medical image analysis. Concurr. Comput. Pract. Exp. 2023, 35, e7443. [Google Scholar] [CrossRef]
- Shemanto, T.H.; Billah, L.B.; Ibtesham, M.A. A Novel Method of Thresholding for Brain Tumor Segmentation and Detection. In Proceedings of the International Conference on Information and Communication Technology for Development: ICICTD 2022, Khulna, Bangladesh, 29–30 July 2022; pp. 277–289. [Google Scholar]
- Jayade, S.; Ingole, D.; Ingole, M.D. Review of Brain Tumor Detection Concept using MRI Images. In Proceedings of the 2019 International Conference on Innovative Trends and Advances in Engineering and Technology (ICITAET), Shegaon, India, 27–28 December 2019; pp. 206–209. [Google Scholar]
- Saladi, S.; Karuna, Y.; Koppu, S.; Reddy, G.R.; Mohan, S.; Mallik, S.; Qin, H. Segmentation and Analysis Emphasizing Neonatal MRI Brain Images Using Machine Learning Techniques. Mathematics 2023, 11, 285. [Google Scholar] [CrossRef]
- Cargnelutti, E.; Tomasino, B. Pre-Operative Functional Mapping in Patients with Brain Tumors by fMRI and MEG: Advantages and Disadvantages in the Use of One Technique over the Other. Life 2023, 13, 609. [Google Scholar] [CrossRef]
- Kalyani, B.; Meena, K.; Murali, E.; Jayakumar, L.; Saravanan, D. Analysis of MRI brain tumor images using deep learning techniques. Soft Comput. 2023, 1–8. [Google Scholar] [CrossRef]
- Vidhya, C.; Loganathan, M.; Meenatchi, R. 12 Challenges and Future Scopes in Current Applications of Deep. In Current Applications of Deep Learning in Cancer Diagnostics; CRC Press: Boca Raton, FL, USA, 2023; p. 157. [Google Scholar]
- Satyanarayana, G.; Naidu, P.A.; Desanamukula, V.S.; Rao, B.C. A mass correlation based deep learning approach using deep Convolutional neural network to classify the brain tumor. Biomed. Signal Process. Control 2023, 81, 104395. [Google Scholar] [CrossRef]
- Capra, M.; Bussolino, B.; Marchisio, A.; Shafique, M.; Masera, G.; Martina, M. An updated survey of efficient hardware architectures for accelerating deep convolutional neural networks. Future Internet 2020, 12, 113. [Google Scholar] [CrossRef]
- Farouq, M.W.; Boulila, W.; Abdel-Aal, M.; Hussain, A.; Salem, A.-B. A novel multi-stage fusion based approach for gene expression profiling in non-small cell lung cancer. IEEE Access 2019, 7, 37141–37150. [Google Scholar] [CrossRef]
- Khan, M.A.; Hussain, N.; Majid, A.; Alhaisoni, M.; Bukhari, S.A.C.; Kadry, S.; Nam, Y.; Zhang, Y.-D. Classification of positive COVID-19 CT scans using deep learning. Comput. Mater. Contin. 2021, 66, 2923–2938. [Google Scholar]
- Khan, M.A.; Majid, A.; Hussain, N.; Alhaisoni, M.; Zhang, Y.-D.; Kadry, S.; Nam, Y. Multiclass stomach diseases classification using deep learning features optimization. Comput. Mater. Contin. 2021, 67, 3381–3399. [Google Scholar]
- Ben Atitallah, S.; Driss, M.; Boulila, W.; Koubaa, A.; Ben Ghezala, H. Fusion of convolutional neural networks based on Dempster–Shafer theory for automatic pneumonia detection from chest X-ray images. Int. J. Imaging Syst. Technol. 2022, 32, 658–672. [Google Scholar] [CrossRef]
- Cheng, X.; Chen, F.; Xie, D.; Sun, H.; Huang, C. Design of a secure medical data sharing scheme based on blockchain. J. Med. Syst. 2020, 44, 52. [Google Scholar] [CrossRef]
- Khawaldeh, S.; Pervaiz, U.; Rafiq, A.; Alkhawaldeh, R.S. Noninvasive grading of glioma tumor using magnetic resonance imaging with convolutional neural networks. Appl. Sci. 2017, 8, 27. [Google Scholar] [CrossRef]
- Krizhevsky, A.; Sutskever, I.; Hinton, G.E. Imagenet classification with deep convolutional neural networks. Commun. ACM 2017, 60, 84–90. [Google Scholar] [CrossRef]
- Özyurt, F.; Sert, E.; Avci, E.; Dogantekin, E. Brain tumor detection based on Convolutional Neural Network with neutrosophic expert maximum fuzzy sure entropy. Measurement 2019, 147, 106830. [Google Scholar] [CrossRef]
- Sajjad, M.; Khan, S.; Muhammad, K.; Wu, W.; Ullah, A.; Baik, S.W. Multi-grade brain tumor classification using deep CNN with extensive data augmentation. J. Comput. Sci. 2019, 30, 174–182. [Google Scholar] [CrossRef]
- Kumar, K.S.; Bansal, A.; Singh, N.P. Brain Tumor Classification Using Deep Learning Techniques. In Proceedings of the Machine Learning, Image Processing, Network Security and Data Sciences: 4th International Conference, MIND 2022, Online, 19–20 January 2023; pp. 68–81. [Google Scholar]
- Waghmare, V.K.; Kolekar, M.H. Brain tumor classification using deep learning. In Internet of Things for Healthcare Technologies; Springer: Berlin/Heidelberg, Germany, 2021; pp. 155–175. [Google Scholar]
- Rinesh, S.; Maheswari, K.; Arthi, B.; Sherubha, P.; Vijay, A.; Sridhar, S.; Rajendran, T.; Waji, Y.A. Investigations on brain tumor classification using hybrid machine learning algorithms. J. Healthc. Eng. 2022, 2022, 2761847. [Google Scholar] [CrossRef]
- Almalki, Y.E.; Ali, M.U.; Kallu, K.D.; Masud, M.; Zafar, A.; Alduraibi, S.K.; Irfan, M.; Basha, M.A.A.; Alshamrani, H.A.; Alduraibi, A.K. Isolated Convolutional-Neural-Network-Based Deep-Feature Extraction for Brain Tumor Classification Using Shallow Classifier. Diagnostics 2022, 12, 1793. [Google Scholar] [CrossRef]
- Younis, A.; Qiang, L.; Nyatega, C.O.; Adamu, M.J.; Kawuwa, H.B. Brain tumor analysis using deep learning and VGG-16 ensembling learning approaches. Appl. Sci. 2022, 12, 7282. [Google Scholar] [CrossRef]
- Asiri, A.A.; Khan, B.; Muhammad, F.; Alshamrani, H.A.; Alshamrani, K.A.; Irfan, M.; Alqhtani, F.F. Machine Learning-Based Models for Magnetic Resonance Imaging (MRI)-Based Brain Tumor Classification. Intell. Autom. Soft Comput. 2023, 36, 299–312. [Google Scholar] [CrossRef]
- Habiba, S.U.; Islam, M.K.; Nahar, L.; Tasnim, F.; Hossain, M.S.; Andersson, K. Brain-DeepNet: A Deep Learning Based Classifier for Brain Tumor Detection and Classification. In Proceedings of the Intelligent Computing & Optimization: Proceedings of the 5th International Conference on Intelligent Computing and Optimization 2022 (ICO2022), Prachuap Khiri Khan, Thailand, 27–28 April 2022; pp. 550–560. [Google Scholar]
- Ølnes, S.; Ubacht, J.; Janssen, M. Blockchain in government: Benefits and implications of distributed ledger technology for information sharing. Gov. Inf. Q. 2017, 34, 355–364. [Google Scholar] [CrossRef]
- Taha, M.S.; Rahim, M.S.M.; Lafta, S.A.; Hashim, M.M.; Alzuabidi, H.M. Combination of steganography and cryptography: A short survey. In Proceedings of the IOP Conference Series: Materials Science and Engineering, Wuhan, China, 10–12 October 2019; p. 052003. [Google Scholar]
- Sasi, S.B.; Dixon, D.; Wilson, J.; No, P. A general comparison of symmetric and asymmetric cryptosystems for WSNs and an overview of location based encryption technique for improving security. IOSR J. Eng. 2014, 4, 1. [Google Scholar] [CrossRef]
- Khan, M.A.; Nasir, I.M.; Sharif, M.; Alhaisoni, M.; Kadry, S.; Bukhari, S.A.C.; Nam, Y. A blockchain based framework for stomach abnormalities recognition. Comput. Mater. Contin. 2021, 67, 141–158. [Google Scholar]
- Namasudra, S.; Roy, P. Time saving protocol for data accessing in cloud computing. IET Commun. 2017, 11, 1558–1565. [Google Scholar] [CrossRef]
- Zhang, J.; Peng, G.; Yang, H.; Tan, C.; Tan, Y.; Bai, H. Real-Time Finger-Writing Character Recognition via ToF Sensors on Edge Deep Learning. Electronics 2023, 12, 685. [Google Scholar] [CrossRef]
- LeCun, Y.; Bengio, Y. Convolutional networks for images, speech, and time series. Handb. Brain Theory Neural Netw. 1995, 3361, 1995. [Google Scholar]
- Szegedy, C.; Liu, W.; Jia, Y.; Sermanet, P.; Reed, S.; Anguelov, D.; Erhan, D.; Vanhoucke, V.; Rabinovich, A. Going deeper with convolutions. In Proceedings of the IEEE Conference on Computer Vision and Pattern Recognition, Boston, MA, USA, 7–12 June 2015; pp. 1–9. [Google Scholar]
- Szegedy, C.; Vanhoucke, V.; Ioffe, S.; Shlens, J.; Wojna, Z. Rethinking the inception architecture for computer vision. In Proceedings of the IEEE Conference on Computer Vision and Pattern Recognition, Las Vegas, NV, USA, 27–30 June 2016; pp. 2818–2826. [Google Scholar]
- Simonyan, K.; Zisserman, A. Very deep convolutional networks for large-scale image recognition. arXiv 2014, arXiv:1409.1556. [Google Scholar]
- Huang, G.; Liu, Z.; Van Der Maaten, L.; Weinberger, K.Q. Densely connected convolutional networks. In Proceedings of the IEEE Conference on Computer Vision and Pattern Recognition, Honolulu, HI, USA, 21–26 July 2017; pp. 4700–4708. [Google Scholar]
- Kumar, J.S.; Jyothi, G.S.; Indira, D.; Nagamani, T. Secured Cloud Application for Detection of Brain Tumor using Deep Learning Algorithms. In Proceedings of the 2022 4th International Conference on Inventive Research in Computing Applications (ICIRCA), Coimbatore, India, 21–23 September 2022; pp. 656–663. [Google Scholar]
- Rasool, M.; Ismail, N.A.; Boulila, W.; Ammar, A.; Samma, H.; Yafooz, W.M.; Emara, A.-H.M. A Hybrid Deep Learning Model for Brain Tumour Classification. Entropy 2022, 24, 799. [Google Scholar] [CrossRef]
- Rasool, M.; Ismail, N.A.; Al-Dhaqm, A.; Yafooz, W.; Alsaeedi, A. A Novel Approach for Classifying Brain Tumours Combining a SqueezeNet Model with SVM and Fine-Tuning. Electronics 2023, 12, 149. [Google Scholar] [CrossRef]
- Alyami, J.; Rehman, A.; Almutairi, F.; Fayyaz, A.M.; Roy, S.; Saba, T.; Alkhurim, A. Tumor Localization and Classification from MRI of Brain using Deep Convolution Neural Network and Salp Swarm Algorithm. Cogn. Comput. 2023, 1–11. [Google Scholar] [CrossRef]
- Nanda, A.; Barik, R.C.; Bakshi, S. SSO-RBNN driven brain tumor classification with Saliency-K-means segmentation technique. Biomed. Signal Process. Control 2023, 81, 104356. [Google Scholar] [CrossRef]






| Classifier | Blockchain | Acc (%) | Pre (%) | Rec (%) | F1 (%) | TT (s) | PT (s) | |
|---|---|---|---|---|---|---|---|---|
| No | Yes | |||||||
| F-KNN | ✓ | 41.39 | 41.75 | 40.95 | 42.94 | 247 | 1.54 | |
| ✓ | 73.64 | 71.66 | 72.54 | 72.04 | 253 | 1.29 | ||
| C-KNN | ✓ | 33.16 | 33.13 | 32.22 | 32.56 | 249 | 0.77 | |
| ✓ | 67.47 | 67.47 | 66.83 | 67.89 | 216 | 1.09 | ||
| C-SVM | ✓ | 46.81 | 43.19 | 48.64 | 46.47 | 343 | 2.52 | |
| ✓ | 81.84 | 80.16 | 81.85 | 82.77 | 378 | 2.08 | ||
| Q-SVM | ✓ | 49.01 | 50.99 | 47.95 | 48.45 | 249 | 1.41 | |
| ✓ | 79.91 | 80.09 | 81.91 | 80.73 | 292 | 1.89 | ||
| W-KNN | ✓ | 33.16 | 32.84 | 32.22 | 32.56 | 245 | 0.88 | |
| ✓ | 72.27 | 71.88 | 73.45 | 73.34 | 203 | 0.94 | ||
| C-KNN | ✓ | 52.87 | 53.13 | 51.05 | 54.53 | 147 | 0.71 | |
| ✓ | 82.57 | 83.43 | 81.38 | 83.57 | 133 | 0.54 | ||
| LD | ✓ | 57.21 | 57.69 | 55.84 | 57.18 | 193 | 0.35 | |
| ✓ | 86.66 | 87.99 | 85.14 | 85.83 | 172 | 0.41 | ||
| Classifier | Blockchain | Acc (%) | Pre (%) | Rec (%) | F1 (%) | TT (s) | PT (s) | |
|---|---|---|---|---|---|---|---|---|
| No | Yes | |||||||
| F-KNN | ✓ | 54.34 | 53.77 | 51.78 | 51.94 | 228 | 1.29 | |
| ✓ | 83.84 | 81.86 | 82.44 | 82.58 | 238 | 1.05 | ||
| C-KNN | ✓ | 53.16 | 53.82 | 52.22 | 52.56 | 229 | 0.66 | |
| ✓ | 77.47 | 77.56 | 76.93 | 77.19 | 189 | 1.09 | ||
| C-SVM | ✓ | 46.81 | 43.19 | 48.64 | 46.47 | 343 | 1.82 | |
| ✓ | 84.84 | 84.78 | 83.95 | 84.77 | 359 | 1.05 | ||
| Q-SVM | ✓ | 79.86 | 78.99 | 77.98 | 79.45 | 219 | 1.21 | |
| ✓ | 89.91 | 88.09 | 80.91 | 88.73 | 282 | 1.39 | ||
| W-KNN | ✓ | 73.06 | 72.64 | 72.78 | 72.99 | 245 | 0.76 | |
| ✓ | 83.92 | 81.83 | 83.74 | 83.64 | 203 | 0.94 | ||
| C-KNN | ✓ | 79.77 | 78.93 | 78.05 | 78.95 | 138 | 0.75 | |
| ✓ | 82.57 | 83.43 | 81.38 | 83.57 | 125 | 0.48 | ||
| LD | ✓ | 85.21 | 84.96 | 84.74 | 84.98 | 178 | 0.33 | |
| ✓ | 99.75 | 98.97 | 97.94 | 98.73 | 135 | 0.31 | ||
| Attack | Blockchain | Accuracy (%) | |
|---|---|---|---|
| Yes | No | ||
| Mild | ✓ | 74.8 | |
| ✓ | 96.8 | ||
| Average | ✓ | 62.1 | |
| ✓ | 96.9 | ||
| Severe | ✓ | 40.3 | |
| ✓ | 97.0 | ||
Disclaimer/Publisher’s Note: The statements, opinions and data contained in all publications are solely those of the individual author(s) and contributor(s) and not of MDPI and/or the editor(s). MDPI and/or the editor(s) disclaim responsibility for any injury to people or property resulting from any ideas, methods, instructions or products referred to in the content. |
© 2023 by the authors. Licensee MDPI, Basel, Switzerland. This article is an open access article distributed under the terms and conditions of the Creative Commons Attribution (CC BY) license (https://creativecommons.org/licenses/by/4.0/).
Share and Cite
Mohammad, F.; Al Ahmadi, S.; Al Muhtadi, J. Blockchain-Based Deep CNN for Brain Tumor Prediction Using MRI Scans. Diagnostics 2023, 13, 1229. https://doi.org/10.3390/diagnostics13071229
Mohammad F, Al Ahmadi S, Al Muhtadi J. Blockchain-Based Deep CNN for Brain Tumor Prediction Using MRI Scans. Diagnostics. 2023; 13(7):1229. https://doi.org/10.3390/diagnostics13071229
Chicago/Turabian StyleMohammad, Farah, Saad Al Ahmadi, and Jalal Al Muhtadi. 2023. "Blockchain-Based Deep CNN for Brain Tumor Prediction Using MRI Scans" Diagnostics 13, no. 7: 1229. https://doi.org/10.3390/diagnostics13071229
APA StyleMohammad, F., Al Ahmadi, S., & Al Muhtadi, J. (2023). Blockchain-Based Deep CNN for Brain Tumor Prediction Using MRI Scans. Diagnostics, 13(7), 1229. https://doi.org/10.3390/diagnostics13071229

