Next Article in Journal
miRNAs as a Potential Biomarker in the COVID-19 Infection and Complications Course, Severity, and Outcome
Next Article in Special Issue
In Vivo Fibroblast Activation of Systemic Sarcoidosis: A 68Ga-FAPI-04 PET/CT Imaging Study
Previous Article in Journal
Methods of Visualizing the Results of an Artificial-Intelligence-Based Computer-Aided Detection System for Chest Radiographs: Effect on the Diagnostic Performance of Radiologists
Previous Article in Special Issue
Orbital Metastases of Breast Cancer in Males
 
 
Font Type:
Arial Georgia Verdana
Font Size:
Aa Aa Aa
Line Spacing:
Column Width:
Background:
Interesting Images

Transarterial Embolization of Ruptured Pancreaticoduodenal Artery Pseudoaneurysm Related to Chronic Pancreatitis

by
Lucian Mărginean
1,2,
Adrian Vasile Mureșan
3,4,
Emil Marian Arbănași
2,3,4,
Cătălin Mircea Coșarcă
3,5,
Eliza Mihaela Arbănași
6,*,
Eliza Russu
3,4,
Rares Cristian Filep
1 and
Réka Kaller
2,3,4
1
Department of Radiology, Mureș County Emergency Hospital, 540136 Targu Mures, Romania
2
Doctoral School of Medicine and Pharmacy, George Emil Palade University of Medicine, Pharmacy, Sciences and Technology of Targu Mures, 540142 Targu Mures, Romania
3
Clinic of Vascular Surgery, Mures County Emergency Hospital, 540136 Targu Mures, Romania
4
Department of Vascular Surgery, George Emil Palade University of Medicine, Pharmacy, Science, and Technology of Targu Mures, 540139 Targu Mures, Romania
5
Department of Anatomy, George Emil Palade University of Medicine, Pharmacy, Science, and Technology of Targu Mures, 540139 Targu Mures, Romania
6
Faculty of Pharmacy, George Emil Palade University of Medicine, Pharmacy, Science, and Technology of Targu Mures, 540139 Targu Mures, Romania
*
Author to whom correspondence should be addressed.
Diagnostics 2023, 13(6), 1090; https://doi.org/10.3390/diagnostics13061090
Submission received: 9 February 2023 / Revised: 9 March 2023 / Accepted: 10 March 2023 / Published: 14 March 2023
(This article belongs to the Collection Interesting Images)

Abstract

We presented a 67-year-old woman with lightheadedness, diaphoresis, and acute epigastric and right hypochondrium pain, with a past medical history including stage 2 essential hypertension, chronic ischemic cardiomyopathy, and class 1 obesity. An abdominal contrast-enhanced CT scan showed an extensive hematoma (3 × 4 cm2 in size) located intra-abdominally, adjacent to the duodenojejunal area, with hyperdensity around the duodenum, positioned inferior to the pancreas (30–59 HU). Moreover, the CT scan also revealed an enhancing lesion as a pseudoaneurysm of the inferior pancreaticoduodenal artery, measuring 5 × 8 × 8 mm3 with active bleeding and associated hematoma. Following these investigations of the abdominal area, a decision was made to proceed with an endovascular intervention within the interventional radiology department. With the patient under conscious sedation, via a right common femoral artery approach, the superior mesenteric artery was catheterized. While injecting the contrast agent to obtain a better working projection, the pseudoaneurysm ruptured, and acute extravasation of the contrast agent was noted, followed by injection of a mixture of 1 mL Glubran 2 with 2 mL Lipiodol until complete obliteration of the pseudoaneurysm was obtained. The patient was hemodynamically stable at the end of the procedure and was discharged 6 days later in a good condition without active bleeding signs.

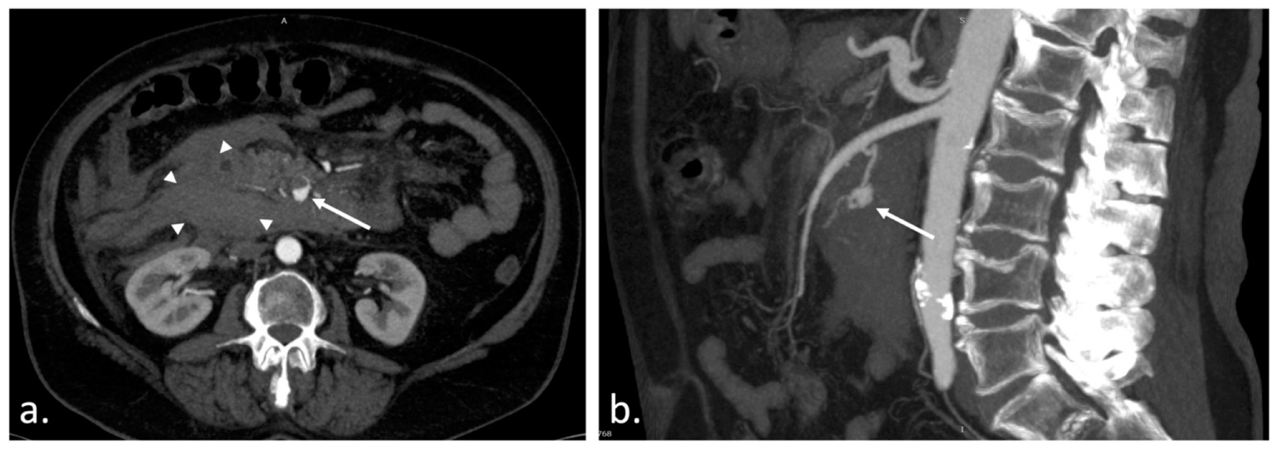
Figure 1. Aneurysmal dilatation of visceral arteries occurs in less than 1% of arterial aneurysm cases [1,2], primarily affecting the splenic artery, hepatic artery, and superior mesenteric artery; in only 1–2% of visceral aneurysms, it is found in the pancreaticoduodenal or gastroduodenal artery [1], with a high mortality rate in untreated cases [2,3,4]. Arterial aneurysmal dilatation develops as a result of damage to the collagen structure at the arterial wall caused by atherosclerosis or hypertension, and is found with the highest incidence at the level of the abdominal aorta [5,6,7,8,9]. In contrast, arterial pseudoaneurysms are connected with trauma, surgical treatments, or the presence of malignancies, but in the case of the pancreaticoduodenal artery, the main reason is the association with chronic pancreatitis [9,10,11,12,13,14,15,16]. Although it is a rare pathology, it is lethal in the absence of intervention. Endovascular treatment is currently the primary approach in the event of these pathologies, with a high success rate and excellent patient progression [4,9,13,14,15,16,17,18,19,20,21,22,23]. A 67-year-old woman presented with lightheadedness, diaphoresis, and acute epigastric and right hypochondrium pain. Along with other antecedents, her past medical history includes stage 2 essential hypertension, chronic ischemic cardiomyopathy, and class 1 obesity. Furthermore, three weeks before her current admission, she experienced a SARS-CoV-2 infection. She has no history of alcohol abuse, smoking, or abdominal trauma. An abdominal contrast-enhanced CT scan showed an extensive hematoma (3 × 4 cm2 in size) located intra-abdominally, adjacent to the duodenojejunal area, with hyperdensity around the duodenum and inferior to the pancreas (30–59 HU). Moreover, the CT scan also revealed an enhancing lesion as a pseudoaneurysm of the inferior pancreaticoduodenal artery measuring 5 × 8 × 8 mm3 with active bleeding and an associated hematoma. Additionally, the pancreas showed multiple hyperdense hemorrhagic structures anteriorly and superiorly under the aspect of possible acute hemorrhagic-ulcerative pancreatitis. Following these investigations of the abdominal area, a decision was made to proceed with an endovascular intervention within the interventional radiology department. (a) Transverse CT angiogram image shows a 12 mm enhancing lesion (white arrow) and a large intraperitoneal hematoma (arrowheads); (b) Sagittal MIP image depicts the enhancing lesion as a pseudoaneurysm (white arrow) of the inferior pancreaticoduodenal artery, responsible for the bleeding.
Figure 1. Aneurysmal dilatation of visceral arteries occurs in less than 1% of arterial aneurysm cases [1,2], primarily affecting the splenic artery, hepatic artery, and superior mesenteric artery; in only 1–2% of visceral aneurysms, it is found in the pancreaticoduodenal or gastroduodenal artery [1], with a high mortality rate in untreated cases [2,3,4]. Arterial aneurysmal dilatation develops as a result of damage to the collagen structure at the arterial wall caused by atherosclerosis or hypertension, and is found with the highest incidence at the level of the abdominal aorta [5,6,7,8,9]. In contrast, arterial pseudoaneurysms are connected with trauma, surgical treatments, or the presence of malignancies, but in the case of the pancreaticoduodenal artery, the main reason is the association with chronic pancreatitis [9,10,11,12,13,14,15,16]. Although it is a rare pathology, it is lethal in the absence of intervention. Endovascular treatment is currently the primary approach in the event of these pathologies, with a high success rate and excellent patient progression [4,9,13,14,15,16,17,18,19,20,21,22,23]. A 67-year-old woman presented with lightheadedness, diaphoresis, and acute epigastric and right hypochondrium pain. Along with other antecedents, her past medical history includes stage 2 essential hypertension, chronic ischemic cardiomyopathy, and class 1 obesity. Furthermore, three weeks before her current admission, she experienced a SARS-CoV-2 infection. She has no history of alcohol abuse, smoking, or abdominal trauma. An abdominal contrast-enhanced CT scan showed an extensive hematoma (3 × 4 cm2 in size) located intra-abdominally, adjacent to the duodenojejunal area, with hyperdensity around the duodenum and inferior to the pancreas (30–59 HU). Moreover, the CT scan also revealed an enhancing lesion as a pseudoaneurysm of the inferior pancreaticoduodenal artery measuring 5 × 8 × 8 mm3 with active bleeding and an associated hematoma. Additionally, the pancreas showed multiple hyperdense hemorrhagic structures anteriorly and superiorly under the aspect of possible acute hemorrhagic-ulcerative pancreatitis. Following these investigations of the abdominal area, a decision was made to proceed with an endovascular intervention within the interventional radiology department. (a) Transverse CT angiogram image shows a 12 mm enhancing lesion (white arrow) and a large intraperitoneal hematoma (arrowheads); (b) Sagittal MIP image depicts the enhancing lesion as a pseudoaneurysm (white arrow) of the inferior pancreaticoduodenal artery, responsible for the bleeding.
Diagnostics 13 01090 g001
Figure 2. With the patient under conscious sedation, via a right common femoral artery approach, the superior mesenteric artery was catheterized with a 5F Cobra catheter and a Terumo 35 guidewire (Figure 2a). While injecting the contrast agent to obtain a better working projection, the pseudoaneurysm ruptured, and acute extravasation of the contrast agent was noted (Figure 2b). A Direxion microcatheter (Boston Scientific, Marlborough, MA, USA) with a 14 guidewire was selectively advanced in the inferior pancreaticoduodenal artery and another small pancreatic branch (Figure 2c–e), followed by injection of a mixture of 1 mL Glubran 2 (GEM, Viareggio, Italy) with 2 mL Lipiodol (Guerbet, Villepinte, France) until complete obliteration of the pseudoaneurysm was obtained (Figure 2f). The patient was hemodynamically stable at the end of the procedure and was discharged 6 days later in a good condition without any active bleeding signs. (a) Superior mesenteric artery contrast injection reveals an oval-shaped pseudoaneurysm; (b) Acute contrast extravasation during contrast injection; (c) Residual filling of the pseudoaneurysm through collaterals, despite IPD artery occlusion with glue; (d) Collateral branch responsible for residual filling; (e) Microcatheter in the inferior pancreaticoduodenal artery; (f) Complete obliteration of the pseudoaneurysm with the glue cast visible. Given the high morbidity and fatality rates associated with pancreaticoduodenal pseudoaneurysm rupture [23], immediate treatment is vital. Several recent studies in the literature demonstrate promising outcomes for endovascular embolization. Suzuki et al. [24] showed a series of seven patients embolized using micro-coils, with a 100% success rate and no long-term (28 months average, range 5–65 months) recurrence of symptoms or bleeding. Waguri et al. [23] also reported effective embolization of an anterior inferior pancreaticoduodenal artery pseudoaneurysm that perforated in the portal system. Furthermore, Krishna et al. [20] described a 60-year-old female patient who presented with melena and hematemesis caused by a rupture of the lower pancreaticoduodenal artery pseudoaneurysm at the level of the intestinal wall. Ren et al. [21] reported on their endovascular treatment of 159 patients with visceral artery aneurysms and pseudoaneurysms, with 96.9% of patients successfully treated and a 1.9% mortality rate at 30 days. Similar to our case, Mitrovic et al. [13,14,15] reported successful endovascular resolution of a posterior inferior pancreaticoduodenal artery pseudoaneurysm using the sandwich technique, in which the pseudoaneurysm inflow and outflow were embolized with coils. Jang et al. [16], on the other hand, embolized the pseudoaneurysm with an N-Butyl-Cyanoacrylate-lipiodol composition. Gurala et al. [17] also reported an effective embolization of a pseudoaneurysm from the gastro-duodenal artery, using coils. Inferior pancreaticoduodenal artery pseudoaneurysms may be diagnosed using ultrasound, CT, or visceral angiography with sensitivities of 50%, 67%, and 100%, respectively. An abdominal contrast-enhanced CT scan is usually sufficient for the appropriate identification of visceral pseudoaneurysms, but it should be confirmed through angiography and treated if necessary [13,14]. Treatments may involve direct thrombin injections, occlusive balloon catheters, surgical ligation, or percutaneous transcatheter embolization with coils or synthetic particles [9]. Vascular embolization with NBCA should proceed with extensive and careful evaluation of the vascular anatomy and close attention to technical details. NBCA is typically mixed with iodized oil (Lipiodol) for visualization under X-rays and to adjust the polymerization rate. Interventional radiologists should become more familiarized with these types of embolic agents, as they can be used as first-line treatment for various peripheral abnormalities [25]. Pseudoaneurysms of the visceral arteries are identified in up to 60% of cases at the level of the splenic artery, 25% of cases at the level of the renal arteries, and up to 20% of cases at the level of the hepatic artery. Additionally, with a considerably lower frequency of just under 5%, they are seen at the level of the celiac trunk, the mesenteric arteries, and in the smallest proportion at the level of the gastroduodenal and pancreaticoduodenal arteries [26,27,28,29,30,31,32,33,34,35,36,37,38,39,40,41,42]. Each patient with a visceral artery aneurysm should be treated individually and followed by a multidisciplinary team involving vascular and general surgeons, gastroenterologists, and radiologists for the best management choice. Endovascular therapy is the first option for these patients, based on our expertise and research published in the literature.
Figure 2. With the patient under conscious sedation, via a right common femoral artery approach, the superior mesenteric artery was catheterized with a 5F Cobra catheter and a Terumo 35 guidewire (Figure 2a). While injecting the contrast agent to obtain a better working projection, the pseudoaneurysm ruptured, and acute extravasation of the contrast agent was noted (Figure 2b). A Direxion microcatheter (Boston Scientific, Marlborough, MA, USA) with a 14 guidewire was selectively advanced in the inferior pancreaticoduodenal artery and another small pancreatic branch (Figure 2c–e), followed by injection of a mixture of 1 mL Glubran 2 (GEM, Viareggio, Italy) with 2 mL Lipiodol (Guerbet, Villepinte, France) until complete obliteration of the pseudoaneurysm was obtained (Figure 2f). The patient was hemodynamically stable at the end of the procedure and was discharged 6 days later in a good condition without any active bleeding signs. (a) Superior mesenteric artery contrast injection reveals an oval-shaped pseudoaneurysm; (b) Acute contrast extravasation during contrast injection; (c) Residual filling of the pseudoaneurysm through collaterals, despite IPD artery occlusion with glue; (d) Collateral branch responsible for residual filling; (e) Microcatheter in the inferior pancreaticoduodenal artery; (f) Complete obliteration of the pseudoaneurysm with the glue cast visible. Given the high morbidity and fatality rates associated with pancreaticoduodenal pseudoaneurysm rupture [23], immediate treatment is vital. Several recent studies in the literature demonstrate promising outcomes for endovascular embolization. Suzuki et al. [24] showed a series of seven patients embolized using micro-coils, with a 100% success rate and no long-term (28 months average, range 5–65 months) recurrence of symptoms or bleeding. Waguri et al. [23] also reported effective embolization of an anterior inferior pancreaticoduodenal artery pseudoaneurysm that perforated in the portal system. Furthermore, Krishna et al. [20] described a 60-year-old female patient who presented with melena and hematemesis caused by a rupture of the lower pancreaticoduodenal artery pseudoaneurysm at the level of the intestinal wall. Ren et al. [21] reported on their endovascular treatment of 159 patients with visceral artery aneurysms and pseudoaneurysms, with 96.9% of patients successfully treated and a 1.9% mortality rate at 30 days. Similar to our case, Mitrovic et al. [13,14,15] reported successful endovascular resolution of a posterior inferior pancreaticoduodenal artery pseudoaneurysm using the sandwich technique, in which the pseudoaneurysm inflow and outflow were embolized with coils. Jang et al. [16], on the other hand, embolized the pseudoaneurysm with an N-Butyl-Cyanoacrylate-lipiodol composition. Gurala et al. [17] also reported an effective embolization of a pseudoaneurysm from the gastro-duodenal artery, using coils. Inferior pancreaticoduodenal artery pseudoaneurysms may be diagnosed using ultrasound, CT, or visceral angiography with sensitivities of 50%, 67%, and 100%, respectively. An abdominal contrast-enhanced CT scan is usually sufficient for the appropriate identification of visceral pseudoaneurysms, but it should be confirmed through angiography and treated if necessary [13,14]. Treatments may involve direct thrombin injections, occlusive balloon catheters, surgical ligation, or percutaneous transcatheter embolization with coils or synthetic particles [9]. Vascular embolization with NBCA should proceed with extensive and careful evaluation of the vascular anatomy and close attention to technical details. NBCA is typically mixed with iodized oil (Lipiodol) for visualization under X-rays and to adjust the polymerization rate. Interventional radiologists should become more familiarized with these types of embolic agents, as they can be used as first-line treatment for various peripheral abnormalities [25]. Pseudoaneurysms of the visceral arteries are identified in up to 60% of cases at the level of the splenic artery, 25% of cases at the level of the renal arteries, and up to 20% of cases at the level of the hepatic artery. Additionally, with a considerably lower frequency of just under 5%, they are seen at the level of the celiac trunk, the mesenteric arteries, and in the smallest proportion at the level of the gastroduodenal and pancreaticoduodenal arteries [26,27,28,29,30,31,32,33,34,35,36,37,38,39,40,41,42]. Each patient with a visceral artery aneurysm should be treated individually and followed by a multidisciplinary team involving vascular and general surgeons, gastroenterologists, and radiologists for the best management choice. Endovascular therapy is the first option for these patients, based on our expertise and research published in the literature.
Diagnostics 13 01090 g002

Author Contributions

Conceptualization, L.M., R.K. and R.C.F.; methodology, A.V.M.; software, E.M.A. (Emil Marian Arbănași); resources, C.M.C.; writing—original draft preparation, R.C.F.; writing—review and editing, E.M.A. (Eliza Mihaela Arbănași); visualization, supervision, E.R.; validation, all authors. All authors have read and agreed to the published version of the manuscript.

Funding

This research received no external funding.

Institutional Review Board Statement

The study was conducted in accordance with the Declaration of Helsinki and approved by the Ethics Committee of Targu Mures Emergency County Hospital, Romania (protocol code 26368, on 26 October 2022).

Informed Consent Statement

Informed consent was obtained from the subject involved in the study.

Acknowledgments

This paper was published with the support of the George Emil Palade University of Medicine, Pharmacy, Sciences and Technology of Targu Mures, having the approval of all authors.

Conflicts of Interest

The authors declare no conflict of interest.

References

  1. Jesinger, R.A.; Thoreson, A.A.; Lamba, R. Abdominal and Pelvic Aneurysms and Pseudoaneurysms: Imaging Review with Clinical, Radiologic, and Treatment Correlation. Radiogr. Rev. Publ. Radiol. Soc. N. Am. Inc. 2013, 33, E71–E96. [Google Scholar] [CrossRef] [PubMed]
  2. Bradley, S.; Quenzer, F.; Wittler, M. Ruptured Visceral Artery Aneurysms: A Deadly Cause of Epigastric Pain. Clin. Pract. Cases Emerg. Med. 2019, 3, 132–136. [Google Scholar] [CrossRef] [PubMed]
  3. Kiviluoto, T.; Kivisaari, L.; Kivilaakso, E.; Lempinen, M. Pseudocysts in Chronic Pancreatitis. Surgical Results in 102 Consecutive Patients. Arch. Surg. Chic. Ill 1960 1989, 124, 240–243. [Google Scholar] [CrossRef]
  4. Novacic, K.; Vidjak, V.; Suknaic, S.; Skopljanac, A. Embolization of a Large Pancreatic Pseudoaneurysm Converted from Pseudocyst (Hemorrhagic Pseudocyst). JOP J. Pancreas 2008, 9, 317–321. [Google Scholar]
  5. Arbănași, E.M.; Mureșan, A.V.; Coșarcă, C.M.; Arbănași, E.M.; Niculescu, R.; Voidăzan, S.T.; Ivănescu, A.D.; Hălmaciu, I.; Filep, R.C.; Mărginean, L.; et al. Computed Tomography Angiography Markers and Intraluminal Thrombus Morphology as Predictors of Abdominal Aortic Aneurysm Rupture. Int. J. Environ. Res. Public Health 2022, 19, 15961. [Google Scholar] [CrossRef]
  6. Russu, E.; Mureșan, A.V.; Kaller, R.; Toma, L.; Coșarcă, C.M.; Chibelean, C.B.; Arbănași, E.M.; Arbănași, E.M. Innovative Technical Solution Using the Renal Artery Stump after Nephrectomy as an Inflow Artery for Lower Limb Revascularization—A Case Report. Front. Surg. 2022, 9, 864846. [Google Scholar] [CrossRef]
  7. Arbănași, E.-M.; Russu, E.; Mureșan, A.V.; Arbănași, E.-M. Late Rupture of a Thrombosed Aortic Abdominal Aneurysm—A Case Report. J. Cardiovasc. Emerg. 2021, 7, 84–87. [Google Scholar] [CrossRef]
  8. Kaller, R.; Mureșan, A.V.; Popa, D.G.; Arbănași, E.-M.; Russu, E. Fatal Aortoduodenal Fistula Caused by a Ruptured Abdominal Aortic Aneurysm—A Case Report. J. Cardiovasc. Emerg. 2021, 7, 129–132. [Google Scholar] [CrossRef]
  9. Dallara, H.; Habboushe, J. Spontaneous Inferior Pancreaticoduodenal Artery Pseudoaneurysm Rupture. Intern. Emerg. Med. 2017, 12, 1319–1321. [Google Scholar] [CrossRef]
  10. Carr, S.C.; Pearce, W.H.; Vogelzang, R.L.; McCarthy, W.J.; Nemcek, A.A.; Yao, J.S.T. Current Management of Visceral Artery Aneurysms. Surgery 1996, 120, 627–634. [Google Scholar] [CrossRef] [PubMed]
  11. Fukami, Y.; Saito, T.; Arikawa, T.; Osawa, T.; Komatsu, S.; Kaneko, K.; Suzuki, K.; Takahashi, E.; Tsuzuki, T.; Sano, T. Inferior Pancreaticoduodenal Artery Pseudoaneurysm Rupture Caused by the Pancreatic Neuroendocrine Tumor. Surgery 2020, 168, e1–e2. [Google Scholar] [CrossRef]
  12. Pitton, M.B.; Dappa, E.; Jungmann, F.; Kloeckner, R.; Schotten, S.; Wirth, G.M.; Mittler, J.; Lang, H.; Mildenberger, P.; Kreitner, K.-F.; et al. Visceral Artery Aneurysms: Incidence, Management, and Outcome Analysis in a Tertiary Care Center over One Decade. Eur. Radiol. 2015, 25, 2004–2014. [Google Scholar] [CrossRef] [PubMed]
  13. Mitrovic, M.; Tadic, B.; Jankovic, A.; Rankovic, I.; Kovac, J.D. Fatal Gastrointestinal Bleeding Associated with Acute Pancreatitis as a Complication of COVID-19: A Case Report. J. Int. Med. Res. 2022, 50, 3000605221098179. [Google Scholar] [CrossRef] [PubMed]
  14. Mitrovic, M.; Dugalic, V.; Kovac, J.; Tadic, B.; Milosevic, S.; Lukic, B.; Lekic, N.; Cvetic, V. Successful Embolization of Posterior Inferior Pancreaticoduodenal Artery Pseudoaneurysm on the Grounds of Chronic Pancreatitis—Case Report and Literature Review. Medicina 2020, 56, 617. [Google Scholar] [CrossRef] [PubMed]
  15. Mitrovic Jovanovic, M.; Tadic, B.; Jankovic, A.; Stosic, K.; Lukic, B.; Cvetic, V.; Knezevic, D. Endovascular Treatment of a Pseudoaneurysm of the Posterior Inferior Pancreaticoduodenal Artery as a Complication of Chronic Pancreatitis: A Case Report. J. Int. Med. Res. 2022, 50, 03000605221083441. [Google Scholar] [CrossRef]
  16. Jang, J.Y.; Kim, J.H.; Kim, T.U.; Ryu, H.; Lee, T.B.; Ryu, J.H.; Jeon, U.B. Percutaneous N-Butyl-Cyanoacrylate Embolization for Treating Ruptured Pancreaticoduodenal Aneurysm: A Case Report. Medicina 2022, 58, 1320. [Google Scholar] [CrossRef]
  17. Gurala, D.; Polavarapu, A.D.; Idiculla, P.S.; Daoud, M.; Gumaste, V. Pancreatic Pseudoaneurysm from a Gastroduodenal Artery. Case Rep. Gastroenterol. 2019, 13, 450–455. [Google Scholar] [CrossRef]
  18. Ushijima, T.; Izumo, A.; Matsumoto, T.; Taniguchi, K.; Uchida, T. Pancreaticoduodenal Artery Pseudoaneurysm Caused by Segmental Arterial Mediolysis: A Case Report of Surgical Treatment. Ann. Vasc. Dis. 2013, 6, 198–201. [Google Scholar] [CrossRef]
  19. George, J.; Besant, S.; Cleveland, T.; Al-Mukhtar, A. Pseudoaneurysm of the Inferior Pancreaticoduodenal Artery Due to Cholecystitis. Y Rep. 2019, 2, 11. [Google Scholar] [CrossRef]
  20. Kasturi, K.S.; Mummadi, R.R.; Sugumar, A. Inferior PancreaticoDuodenal Artery Pseudoaneurysm: A Rare Cause of Massive GI Hemorrhage: 464. Off. J. Am. Coll. Gastroenterol. ACG 2007, 102, S286. [Google Scholar] [CrossRef]
  21. Ren, Y.; Wang, Z.; Zhu, L.; Kan, X.; Chen, L.; Liu, Y.; Song, S.; Guo, X.; Dong, X.; Zheng, C. Endovascular Repair of Visceral Artery Aneurysms and Pseudoaneurysms in 159 Patients: Twelve Years’ Experience of Clinical Technique. Abdom. Radiol. 2022, 47, 443–451. [Google Scholar] [CrossRef]
  22. Xu, Q.-D.; Gu, S.-G.; Liang, J.-H.; Zheng, S.-D.; Lin, Z.-H.; Zhang, P.-D.; Yan, J. Inferior Pancreaticoduodenal Artery Pseudoaneurysm in a Patient with Calculous Cholecystitis: A Case Report. World J. Clin. Cases 2019, 7, 2851–2856. [Google Scholar] [CrossRef] [PubMed]
  23. Waguri, N.; Azumi, R.; Osaki, A.; Sato, M.; Aiba, T.; Furukawa, K. Ruptured Pancreaticoduodenal Pseudoaneurysm Causing Arterioportal Fistula: Combined Transarterial and Transportal Embolization. CVIR Endovasc. 2020, 3, 72. [Google Scholar] [CrossRef] [PubMed]
  24. Suzuki, K.; Tachi, Y.; Ito, S.; Maruyama, K.; Mori, Y.; Komada, T.; Matsushima, M.; Ota, T.; Naganawa, S. Endovascular Management of Ruptured Pancreaticoduodenal Artery Aneurysms Associated with Celiac Axis Stenosis. Cardiovasc. Intervent. Radiol. 2008, 31, 1082–1087. [Google Scholar] [CrossRef]
  25. Comby, P.-O.; Guillen, K.; Chevallier, O.; Lenfant, M.; Pellegrinelli, J.; Falvo, N.; Midulla, M.; Loffroy, R. Endovascular Use of Cyanoacrylate-Lipiodol Mixture for Peripheral Embolization: Properties, Techniques, Pitfalls, and Applications. J. Clin. Med. 2021, 10, 4320. [Google Scholar] [CrossRef]
  26. Zhang, W.; Fu, Y.-F.; Wei, P.-L.; Bei, E.; Li, D.-C.; Xu, J. Endovascular Repair of Celiac Artery Aneurysm with the Use of Stent Grafts. J. Vasc. Interv. Radiol. 2016, 27, 514–518. [Google Scholar] [CrossRef]
  27. Coskun, B.; Rozanes, I.; Erkan, M.; Ates, S.; Akpek, S. Giant Celiac Arteri Aneurysm Treated with a Flow-Divertıng Multilayer Stent: Early Rupture as a Fatal Complication. J. Vasc. Interv. Radiol. 2017, 28, 468–470. [Google Scholar] [CrossRef]
  28. Gorsi, U.; Agarwal, V.; Nair, V.; Kang, M.; Kalra, N.; Sreedhara, B.C.; Gupta, R.; Rana, S.S.; Dutta, U.; Sandhu, M.S. Endovascular and Percutaneous Transabdominal Embolisation of Pseudoaneurysms in Pancreatitis: An Experience from a Tertiary-Care Referral Centre. Clin. Radiol. 2021, 76, 314.e17–314.e23. [Google Scholar] [CrossRef] [PubMed]
  29. Yamamoto, S.; Hirota, S.; Maeda, H.; Achiwa, S.; Arai, K.; Kobayashi, K.; Nakao, N. Transcatheter Coil Embolization of Splenic Artery Aneurysm. Cardiovasc. Intervent. Radiol. 2008, 31, 527–534. [Google Scholar] [CrossRef] [PubMed]
  30. Wojtaszek, M.; Lamparski, K.; Wnuk, E.; Ostrowski, T.; Maciąg, R.; Rix, T.; Maj, E.; Milczarek, K.; Korzeniowski, K.; Rowiński, O. Selective Occlusion of Splenic Artery Aneurysms with the Coil Packing Technique: The Impact of Packing Density on Aneurysm Reperfusion Correlated between Contrast-Enhanced MR Angiography and Digital Subtraction Angiography. Radiol. Med. 2019, 124, 450–459. [Google Scholar] [CrossRef]
  31. Yoon, T.; Kwon, T.; Kwon, H.; Han, Y.; Cho, Y. Transcatheter Arterial Embolization of Splenic Artery Aneurysms: A Single-Center Experience. Vasc. Spec. Int. 2014, 30, 120–124. [Google Scholar] [CrossRef] [PubMed]
  32. Kawasaki, R.; Miyamoto, N.; Oki, H.; Okada, T.; Yamaguchi, M.; Gomi, T.; Higashino, T.; Washio, T.; Maruta, T.; Sugimura, K.; et al. Flow-Preserved Coil Embolization Using a Side-Holed Indwelling Catheter for Common Hepatic Artery Pseudoaneurysm: Report of Three Cases. Surg. Today 2015, 45, 772–776. [Google Scholar] [CrossRef] [PubMed]
  33. Erben, Y.; De Martino, R.R.; Bjarnason, H.; Duncan, A.A.; Kalra, M.; Oderich, G.S.; Bower, T.C.; Gloviczki, P. Operative Management of Hepatic Artery Aneurysms. J. Vasc. Surg. 2015, 62, 610–615. [Google Scholar] [CrossRef] [PubMed]
  34. Kim, S.K.; Lee, J.; Duncan, J.R.; Picus, D.D.; Darcy, M.D.; Sauk, S. Endovascular Treatment of Superior Mesenteric Artery Pseudoaneurysms Using Covered Stents in Six Patients. Am. J. Roentgenol. 2014, 203, 432–438. [Google Scholar] [CrossRef]
  35. Ozaki, T.; Kimura, M.; Yoshimura, N.; Hori, Y.; Takano, T.; Kamura, T.; Yamamoto, S.; Sasai, K. Endovascular Treatment of Spontaneous Isolated Dissecting Aneurysm of the Superior Mesenteric Artery Using Stent-Assisted Coil Embolization. Cardiovasc. Intervent. Radiol. 2006, 29, 435–437. [Google Scholar] [CrossRef]
  36. Kim, S.H.; Lee, M.-S.; Han, H.Y.; Lee, H.M. Endovascular Management of Ruptured Middle Colic Artery Aneurysm and Review of the Literature. Ann. Vasc. Surg. 2019, 59, 310.e13–310.e16. [Google Scholar] [CrossRef]
  37. Gandini, R.; Abrignani, S.; Perrone, O.; Lauretti, D.L.; Merolla, S.; Scaggiante, J.; Vasili, E.; Floris, R.; Cioni, R. Retrograde Endovascular Stenting of Preocclusive Celiac Artery Stenosis with Loop Technique Associated with Pancreaticoduodenal Artery Aneurysm Embolization. J. Vasc. Interv. Radiol. 2017, 28, 1607–1609. [Google Scholar] [CrossRef]
  38. Sadek, M.; Rockman, C.B.; Berland, T.L.; Maldonado, T.S.; Jacobowitz, G.R.; Adelman, M.A.; Mussa, F.F. Coil Embolization of a Gastroduodenal Artery Pseudoaneurysm Secondary to Cholangitis: Technical Aspects and Review of the Literature. Vasc. Endovasc. Surg. 2012, 46, 550–554. [Google Scholar] [CrossRef]
  39. Sharma, M.; Somani, P.; Sunkara, T.; Prajapati, R.; Talele, R. Endoscopic Ultrasound-Guided Coil Embolization and Thrombin Injection of a Bleeding Gastroduodenal Artery Pseudoaneurysm. Endoscopy 2019, 51, E36–E37. [Google Scholar] [CrossRef]
  40. Bains, L.; Kori, R.; Sharma, R.; Kaur, D. Replaced Right Hepatic Artery Pseudoaneurysm Managed with Coil Embolisation. BMJ Case Rep. CP 2019, 12, e227921. [Google Scholar] [CrossRef]
  41. Nagarajan, K.; Sunilkumar, D.; Ramakrishnaiah, V.P.N.; Amuthabarathi, M. Left Gastric Pseudoaneurysm in a Case of Chronic Pancreatitis: A Case Report with Review of Literature. Vasc. Endovasc. Surg. 2021, 55, 73–76. [Google Scholar] [CrossRef] [PubMed]
  42. Vargas, H.A.; Cousins, C.; Higgins, J.N.; See, T.C. Left Gastric Artery Aneurysm: Successful Embolization with Ethylene Vinyl Alcohol Copolymer (Onyx). Cardiovasc. Intervent. Radiol. 2008, 31, 418–421. [Google Scholar] [CrossRef] [PubMed]
Disclaimer/Publisher’s Note: The statements, opinions and data contained in all publications are solely those of the individual author(s) and contributor(s) and not of MDPI and/or the editor(s). MDPI and/or the editor(s) disclaim responsibility for any injury to people or property resulting from any ideas, methods, instructions or products referred to in the content.

Share and Cite

MDPI and ACS Style

Mărginean, L.; Mureșan, A.V.; Arbănași, E.M.; Coșarcă, C.M.; Arbănași, E.M.; Russu, E.; Filep, R.C.; Kaller, R. Transarterial Embolization of Ruptured Pancreaticoduodenal Artery Pseudoaneurysm Related to Chronic Pancreatitis. Diagnostics 2023, 13, 1090. https://doi.org/10.3390/diagnostics13061090

AMA Style

Mărginean L, Mureșan AV, Arbănași EM, Coșarcă CM, Arbănași EM, Russu E, Filep RC, Kaller R. Transarterial Embolization of Ruptured Pancreaticoduodenal Artery Pseudoaneurysm Related to Chronic Pancreatitis. Diagnostics. 2023; 13(6):1090. https://doi.org/10.3390/diagnostics13061090

Chicago/Turabian Style

Mărginean, Lucian, Adrian Vasile Mureșan, Emil Marian Arbănași, Cătălin Mircea Coșarcă, Eliza Mihaela Arbănași, Eliza Russu, Rares Cristian Filep, and Réka Kaller. 2023. "Transarterial Embolization of Ruptured Pancreaticoduodenal Artery Pseudoaneurysm Related to Chronic Pancreatitis" Diagnostics 13, no. 6: 1090. https://doi.org/10.3390/diagnostics13061090

APA Style

Mărginean, L., Mureșan, A. V., Arbănași, E. M., Coșarcă, C. M., Arbănași, E. M., Russu, E., Filep, R. C., & Kaller, R. (2023). Transarterial Embolization of Ruptured Pancreaticoduodenal Artery Pseudoaneurysm Related to Chronic Pancreatitis. Diagnostics, 13(6), 1090. https://doi.org/10.3390/diagnostics13061090

Note that from the first issue of 2016, this journal uses article numbers instead of page numbers. See further details here.

Article Metrics

Back to TopTop