Next-Generation Sequencing Analysis of Pancreatic Cancer Using Residual Liquid Cytology Specimens from Endoscopic Ultrasound—Guided Fine-Needle Biopsy: A Prospective Comparative Study with Tissue Specimens
Abstract
1. Introduction
2. Materials and Methods
2.1. Patient Population and Study Design
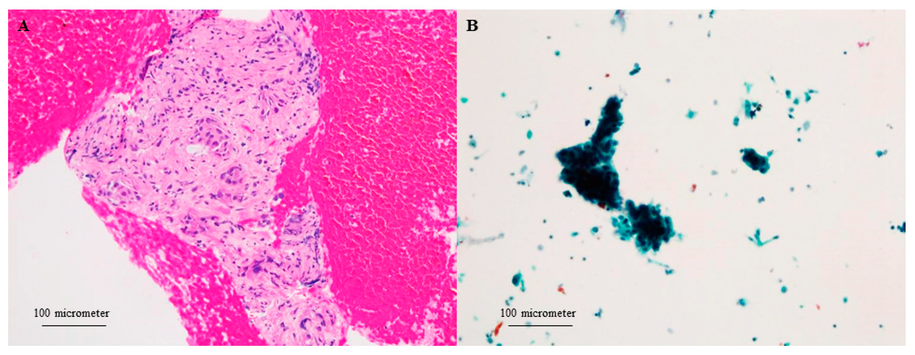
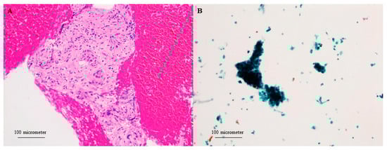
2.2. EUS-FNB and Sampling Methods
2.3. DNA Extraction and Quality Assessment
2.4. Targeted Sequencing and Analysis
2.5. Statistical Analysis
3. Results
3.1. Patient Characteristics
3.2. Quality of DNA Extracted from EUS-FNB Samples
3.3. Gene Alteration Profiles
3.4. KRAS and TP53 VAF
4. Discussion
5. Conclusions
Author Contributions
Funding
Institutional Review Board Statement
Informed Consent Statement
Data Availability Statement
Acknowledgments
Conflicts of Interest
References
- Malvezzi, M.; Carioli, G.; Bertuccio, P.; Boffetta, P.; Levi, F.; la Vecchia, C.; Negri, E. European cancer mortality predictions for the year 2018 with focus on colorectal cancer. Ann. Oncol. 2018, 29, 1016–1022. [Google Scholar] [CrossRef] [PubMed]
- Rahib, L.; Smith, B.D.; Aizenberg, R.; Rosenzweig, A.B.; Fleshman, J.M.; Matrisian, L.M. Projecting cancer incidence and deaths to 2030: The unexpected burden of thyroid, liver, and pancreas cancers in the United States. Cancer Res. 2014, 74, 2913–2921. [Google Scholar] [CrossRef] [PubMed]
- Golan, T.; Hammel, P.; Reni, M.; Van Cutsem, E.; Macarulla, T.; Hall, M.J.; Park, J.O.; Hochhauser, D.; Arnold, D.; Oh, D.Y.; et al. Maintenance Olaparib for Germline BRCA-Mutated Metastatic Pancreatic Cancer. N. Engl. J. Med. 2019, 381, 317–327. [Google Scholar] [CrossRef]
- Motoi, F.; Satoi, S.; Honda, G.; Wada, K.; Shinchi, H.; Matsumoto, I.; Sho, M.; Tsuchida, A.; Unno, M. A single-arm, phase II trial of neoadjuvant gemcitabine and S1 in patients with resectable and borderline resectable pancreatic adenocarcinoma: PREP-01 study. J. Gastroenterol. 2019, 54, 194–203. [Google Scholar] [CrossRef]
- Bailey, P.; Chang, D.K.; Nones, K.; Johns, A.L.; Patch, A.M.; Gingras, M.C.; Miller, D.K.; Christ, A.N.; Bruxner, T.J.; Quinn, M.C.; et al. Genomic analyses identify molecular subtypes of pancreatic cancer. Nature 2016, 531, 47–52. [Google Scholar] [CrossRef] [PubMed]
- Siroy, A.E.; Boland, G.M.; Milton, D.R.; Roszik, J.; Frankian, S.; Malke, J.; Haydu, L.; Prieto, V.G.; Tetzlaff, M.; Ivan, D.; et al. Beyond BRAF(V600): Clinical mutation panel testing by next-generation sequencing in advanced melanoma. J. Investig. Dermatol. 2015, 135, 508–515. [Google Scholar] [CrossRef] [PubMed]
- Paniz-Mondolfi, A.; Singh, R.; Jour, G.; Mahmoodi, M.; Diwan, A.H.; Barkoh, B.A.; Cason, R.; Huttenbach, Y.; Benaim, G.; Galbincea, J.; et al. Cutaneous carcinosarcoma: Further insights into its mutational landscape through massive parallel genome sequencing. Virchows Arch. 2014, 465, 339–350. [Google Scholar] [CrossRef]
- Doebele, R.C.; Drilon, A.; Paz-Ares, L.; Siena, S.; Shaw, A.T.; Farago, A.F.; Blakely, C.M.; Seto, T.; Cho, B.C.; Tosi, D.; et al. Entrectinib in patients with advanced or metastatic NTRK fusion-positive solid tumours: Integrated analysis of three phase 1–2 trials. Lancet Oncol. 2020, 21, 271–282. [Google Scholar] [CrossRef]
- Pishvaian, M.J.; Blais, E.M.; Brody, J.R.; Lyons, E.; DeArbeloa, P.; Hendifar, A.; Mikhail, S.; Chung, V.; Sahai, V.; Sohal, D.P.S.; et al. Overall survival in patients with pancreatic cancer receiving matched therapies following molecular profiling: A retrospective analysis of the Know Your Tumor registry trial. Lancet Oncol. 2020, 21, 508–518. [Google Scholar] [CrossRef]
- Singhi, A.D.; George, B.; Greenbowe, J.R.; Chung, J.; Suh, J.; Maitra, A.; Klempner, S.J.; Hendifar, A.; Milind, J.M.; Golan, T.; et al. Real-Time Targeted Genome Profile Analysis of Pancreatic Ductal Adenocarcinomas Identifies Genetic Alterations That Might Be Targeted with Existing Drugs or Used as Biomarkers. Gastroenterology 2019, 156, 2242–2253.e4. [Google Scholar] [CrossRef]
- Tempero, M.A.; Malafa, M.P.; Al-Hawary, M.; Behrman, S.W.; Benson, A.B.; Cardin, D.B.; Chiorean, E.G.; Chung, V.; Czito, B.; Del Chiaro, M.; et al. Pancreatic Adenocarcinoma, Version 2.2021, NCCN Clinical Practice Guidelines in Oncology. J. Natl. Compr. Cancer Netw. 2021, 19, 439–457. [Google Scholar] [CrossRef]
- Inagaki, C.; Maeda, D.; Hatake, K.; Sato, Y.; Hashimoto, K.; Sakai, D.; Yachida, S.; Nonomura, N.; Satoh, T. Clinical Utility of Next-Generation Sequencing-Based Panel Testing under the Universal Health-Care System in Japan: A Retrospective Analysis at a Single University Hospital. Cancers 2021, 13, 1121. [Google Scholar] [CrossRef] [PubMed]
- Nagahashi, M.; Shimada, Y.; Ichikawa, H.; Kameyama, H.; Takabe, K.; Okuda, S.; Wakai, T. Next generation sequencing-based gene panel tests for the management of solid tumors. Cancer Sci. 2019, 110, 6–15. [Google Scholar] [CrossRef] [PubMed]
- Goswami, R.S.; Luthra, R.; Singh, R.R.; Patel, K.P.; Routbort, M.J.; Aldape, K.D.; Yao, H.; Dang, H.D.; Barkoh, B.A.; Manekia, J.; et al. Identification of Factors Affecting the Success of Next-Generation Sequencing Testing in Solid Tumors. Am. J. Clin. Pathol. 2016, 145, 222–237. [Google Scholar] [CrossRef]
- Gleeson, F.C.; Kerr, S.E.; Kipp, B.R.; Voss, J.S.; Minot, D.M.; Tu, Z.J.; Henry, M.R.; Graham, R.P.; Vasmatzis, G.; Cheville, J.C.; et al. Targeted next generation sequencing of endoscopic ultrasound acquired cytology from ampullary and pancreatic adenocarcinoma has the potential to aid patient stratification for optimal therapy selection. Oncotarget 2016, 7, 54526–54536. [Google Scholar] [CrossRef] [PubMed]
- Hewitt, M.J.; McPhail, M.J.; Possamai, L.; Dhar, A.; Vlavianos, P.; Monahan, K.J. EUS-guided FNA for diagnosis of solid pancreatic neoplasms: A meta-analysis. Gastrointest. Endosc. 2012, 75, 319–331. [Google Scholar] [CrossRef] [PubMed]
- Bang, J.Y.; Hawes, R.; Varadarajulu, S. A meta-analysis comparing ProCore and standard fine-needle aspiration needles for endoscopic ultrasound-guided tissue acquisition. Endoscopy 2016, 48, 339–349. [Google Scholar] [CrossRef]
- Kandel, P.; Tranesh, G.; Nassar, A.; Bingham, R.; Raimondo, M.; Woodward, T.A.; Gomez, V.; Wallace, M.B. EUS-guided fine needle biopsy sampling using a novel fork-tip needle: A case-control study. Gastrointest. Endosc. 2016, 84, 1034–1039. [Google Scholar] [CrossRef]
- Oh, D.; Kong, J.; Ko, S.W.; Hong, S.M.; So, H.; Hwang, J.S.; Song, T.J.; Lee, S.K.; Kim, M.H.; Lee, S.S. A comparison between 25-gauge and 22-gauge Franseen needles for endoscopic ultrasound-guided sampling of pancreatic and peripancreatic masses: A randomized non-inferiority study. Endoscopy 2021, 53, 1122–1129. [Google Scholar] [CrossRef]
- Kandel, P.; Nassar, A.; Gomez, V.; Raimondo, M.; Woodward, T.A.; Crook, J.E.; Fares, N.S.; Wallace, M.B. Comparison of endoscopic ultrasound-guided fine-needle biopsy versus fine-needle aspiration for genomic profiling and DNA yield in pancreatic cancer: A randomized crossover trial. Endoscopy 2020, 53, 376–382. [Google Scholar] [CrossRef]
- Yokoyama, S.; Iwaya, H.; Akahane, T.; Hamada, T.; Higashi, M.; Hashimoto, S.; Tanoue, S.; Ohtsuka, T.; Ido, A.; Tanimoto, A. Sequential evaluation of MUC promoter methylation using next-generation sequencing-based custom-made panels in liquid-based cytology specimens of pancreatic cancer. Diagn. Cytopathol. 2022, 50, 499–507. [Google Scholar] [CrossRef]
- Hisada, Y.; Hijioka, S.; Ikeda, G.; Maehara, K.; Hashimoto, T.; Kitamura, H.; Harai, S.; Yoshinari, M.; Kawasaki, Y.; Murashima, Y.; et al. Proportion of unresectable pancreatic cancer specimens obtained by endoscopic ultrasound-guided tissue acquisition meeting the OncoGuideTM NCC Oncopanel System analysis suitability criteria: A single-arm, phase II clinical trial. J. Gastroenterol. 2022, 57, 990–998. [Google Scholar] [CrossRef]
- Hashimoto, S.; Taguchi, H.; Higashi, M.; Hatanaka, K.; Fujita, T.; Iwaya, H.; Nakazawa, J.; Arima, S.; Iwashita, Y.; Sasaki, F.; et al. Diagnostic efficacy of liquid-based cytology for solid pancreatic lesion samples obtained with endoscopic ultrasound-guided fine-needle aspiration: Propensity score-matched analysis. Dig. Endosc. 2017, 29, 608–616. [Google Scholar] [CrossRef] [PubMed]
- Chun, J.W.; Lee, K.; Lee, S.H.; Kim, H.; You, M.S.; Hwang, Y.J.; Paik, W.H.; Ryu, J.K.; Kim, Y.T. Comparison of liquid-based cytology with conventional smear cytology for EUS-guided FNA of solid pancreatic masses: A prospective randomized noninferiority study. Gastrointest. Endosc. 2020, 91, 837–846. [Google Scholar] [CrossRef]
- Zhou, W.; Gao, L.; Wang, S.M.; Li, F.; Li, J.; Li, S.Y.; Wang, P.; Jia, F.Z.; Xu, J.J.; Zhou, C.H.; et al. Comparison of smear cytology and liquid-based cytology in EUS-guided FNA of pancreatic lesions: Experience from a large tertiary center. Gastrointest. Endosc. 2020, 91, 932–942. [Google Scholar] [CrossRef] [PubMed]
- Akahane, T.; Kitazono, I.; Yanazume, S.; Kamio, M.; Togami, S.; Sakamoto, I.; Nohara, S.; Yokoyama, S.; Kobayashi, H.; Hiraki, T.; et al. Next-generation sequencing analysis of endometrial screening liquid-based cytology specimens: A comparative study to tissue specimens. BMC Med. Genom. 2020, 13, 101. [Google Scholar] [CrossRef]
- Akahane, T.; Yamaguchi, T.; Kato, Y.; Yokoyama, S.; Hamada, T.; Nishida, Y.; Higashi, M.; Nishihara, H.; Suzuki, S.; Ueno, S.; et al. Comprehensive validation of liquid-based cytology specimens for next-generation sequencing in cancer genome analysis. PLoS ONE 2019, 14, e0217724. [Google Scholar] [CrossRef]
- Hwang, D.H.; Garcia, E.P.; Ducar, M.D.; Cibas, E.S.; Sholl, L.M. Next-generation sequencing of cytologic preparations: An analysis of quality metrics. Cancer Cytopathol. 2017, 125, 786–794. [Google Scholar] [CrossRef] [PubMed]
- Esagian, S.M.; Grigoriadou, G.; Nikas, I.P.; Boikou, V.; Sadow, P.M.; Won, J.K.; Economopoulos, K.P. Comparison of liquid-based to tissue-based biopsy analysis by targeted next generation sequencing in advanced non-small cell lung cancer: A comprehensive systematic review. J. Cancer. Res. Clin. Oncol. 2020, 146, 2051–2066. [Google Scholar] [CrossRef] [PubMed]
- Yamaguchi, T.; Akahane, T.; Harada, O.; Kato, Y.; Aimono, E.; Takei, H.; Tasaki, T.; Noguchi, H.; Nishihara, H.; Kamata, H.; et al. Next-generation sequencing in residual liquid-based cytology specimens for cancer genome analysis. Diagn. Cytopathol. 2020, 48, 965–971. [Google Scholar] [CrossRef]
- Polkowski, M.; Jenssen, C.; Kaye, P.; Carrara, S.; Deprez, P.; Gines, A.; Fernández-Esparrach, G.; Eisendrath, P.; Aithal, G.P.; Arcidiacono, P.; et al. Technical aspects of endoscopic ultrasound (EUS)-guided sampling in gastroenterology: European Society of Gastrointestinal Endoscopy (ESGE) Technical Guideline—March 2017. Endoscopy 2017, 49, 989–1006. [Google Scholar] [CrossRef] [PubMed]
- Mangiavillano, B.; Frazzoni, L.; Togliani, T.; Fabbri, C.; Tarantino, I.; De Luca, L.; Staiano, T.; Binda, C.; Signoretti, M.; Eusebi, L.H.; et al. Macroscopic on-site evaluation (MOSE) of specimens from solid lesions acquired during EUS-FNB: Multicenter study and comparison between needle gauges. Endosc. Int. Open 2021, 9, E901–E906. [Google Scholar] [CrossRef] [PubMed]
- Gkolfakis, P.; Crinò, S.F.; Tziatzios, G.; Ramai, D.; Papaefthymiou, A.; Papanikolaou, I.S.; Triantafyllou, K.; Arvanitakis, M.; Lisotti, A.; Fusaroli, P.; et al. Comparative diagnostic performance of end-cutting fine-needle biopsy needles for EUS tissue sampling of solid pancreatic masses: A network meta-analysis. Gastrointest. Endosc. 2022, 95, 1067–1077.e15. [Google Scholar] [CrossRef]
- Facciorusso, A.; Crinò, S.F.; Ramai, D.; Madhu, D.; Fugazza, A.; Carrara, S.; Spadaccini, M.; Mangiavillano, B.; Gkolfakis, P.; Mohan, B.P.; et al. Comparative Diagnostic Performance of Different Techniques for Endoscopic Ultrasound-Guided Fine-Needle Biopsy of Solid Pancreatic Masses: A Network Meta-analysis. Gastrointest. Endosc. 2023. [Google Scholar] [CrossRef]
- Ikeda, G.; Hijioka, S.; Nagashio, Y.; Maruki, Y.; Ohba, A.; Hisada, Y.; Yoshinari, M.; Harai, S.; Kitamura, H.; Koga, T.; et al. Fine-needle biopsy with 19G needle is effective in combination with endoscopic ultrasound-guided tissue acquisition for genomic profiling of unresectable pancreatic cancer. Dig. Endosc. 2022, 35, 124–133. [Google Scholar] [CrossRef]
- Carrara, S.; Soldà, G.; Di Leo, M.; Rahal, D.; Peano, C.; Giunta, M.; Lamonaca, L.; Auriemma, F.; Anderloni, A.; Fugazza, A.; et al. Side-by-side comparison of next-generation sequencing, cytology, and histology in diagnosing locally advanced pancreatic adenocarcinoma. Gastrointest. Endosc. 2021, 93, 597–604.e5. [Google Scholar] [CrossRef] [PubMed]
- Elhanafi, S.; Mahmud, N.; Vergara, N.; Kochman, M.L.; Das, K.K.; Ginsberg, G.G.; Rajala, M.; Chandrasekhara, V. Comparison of endoscopic ultrasound tissue acquisition methods for genomic analysis of pancreatic cancer. J. Gastroenterol. Hepatol. 2019, 34, 907–913. [Google Scholar] [CrossRef]
- Hayashi, H.; Tanishima, S.; Fujii, K.; Mori, R.; Okamura, Y.; Yanagita, E.; Matsuoka, R.; Amano, T.; Kinoshita, I.; Komatsu, Y.; et al. Genomic testing for pancreatic cancer in clinical practice as real-world evidence. Pancreatology 2018, 18, 647–654. [Google Scholar] [CrossRef]
- Larson, B.K.; Tuli, R.; Jamil, L.H.; Lo, S.K.; Deng, N.; Hendifar, A.E. Utility of Endoscopic Ultrasound-Guided Biopsy for Next-Generation Sequencing of Pancreatic Exocrine Malignancies. Pancreas 2018, 47, 990–995. [Google Scholar] [CrossRef]
- Jennings, L.J.; Arcila, M.E.; Corless, C.; Kamel-Reid, S.; Lubin, I.M.; Pfeifer, J.; Temple-Smolkin, R.L.; Voelkerding, K.V.; Nikiforova, M.N. Guidelines for Validation of Next-Generation Sequencing-Based Oncology Panels: A Joint Consensus Recommendation of the Association for Molecular Pathology and College of American Pathologists. J. Mol. Diagn. 2017, 19, 341–365. [Google Scholar] [CrossRef]
- Yane, K.; Kuwatani, M.; Yoshida, M.; Goto, T.; Matsumoto, R.; Ihara, H.; Okuda, T.; Taya, Y.; Ehira, N.; Kudo, T.; et al. Non-negligible rate of needle tract seeding after endoscopic ultrasound-guided fine-needle aspiration for patients undergoing distal pancreatectomy for pancreatic cancer. Dig. Endosc. 2019, 32, 801–811. [Google Scholar] [CrossRef] [PubMed]
- Kanai, Y.; Nishihara, H.; Miyagi, Y.; Tsuruyama, T.; Taguchi, K.; Katoh, H.; Takeuchi, T.; Gotoh, M.; Kuramoto, J.; Arai, E.; et al. The Japanese Society of Pathology Guidelines on the handling of pathological tissue samples for genomic research: Standard operating procedures based on empirical analyses. Pathol. Int. 2018, 68, 63–90. [Google Scholar] [CrossRef] [PubMed]
- Strom, S.P. Current practices and guidelines for clinical next-generation sequencing oncology testing. Cancer Biol. Med. 2016, 13, 3–11. [Google Scholar] [CrossRef] [PubMed]
- Reynolds, J.P.; Zhou, Y.; Jakubowski, M.A.; Wang, Z.; Brainard, J.A.; Klein, R.D.; Farver, C.F.; Almeida, F.A.; Cheng, Y.W. Next-generation sequencing of liquid-based cytology non-small cell lung cancer samples. Cancer Cytopathol. 2017, 125, 178–187. [Google Scholar] [CrossRef]
- Sunami, K.; Ichikawa, H.; Kubo, T.; Kato, M.; Fujiwara, Y.; Shimomura, A.; Koyama, T.; Kakishima, H.; Kitami, M.; Matsushita, H.; et al. Feasibility and utility of a panel testing for 114 cancer-associated genes in a clinical setting: A hospital-based study. Cancer Sci. 2019, 110, 1480–1490. [Google Scholar] [CrossRef]
- Yatabe, Y.; Sunami, K.; Goto, K.; Nishio, K.; Aragane, N.; Ikeda, S.; Inoue, A.; Kinoshita, I.; Kimura, H.; Sakamoto, T.; et al. Multiplex gene-panel testing for lung cancer patients. Pathol. Int. 2020, 70, 921–931. [Google Scholar] [CrossRef]
- Ishizawa, T.; Makino, N.; Matsuda, A.; Kakizaki, Y.; Kobayashi, T.; Ikeda, C.; Sugahara, S.; Tsunoda, M.; Ueno, Y. Usefulness of rapid on-site evaluation specimens from endoscopic ultrasound-guided fine-needle aspiration for cancer gene panel testing: A retrospective study. PLoS ONE 2020, 15, e0228565. [Google Scholar] [CrossRef]




| Patients (n = 31) | |
|---|---|
| Sex, n (%) | |
| Male | 18 (58.1) |
| Female | 13 (41.9) |
| Age, years, median (range) | 69 (36–89) |
| Location, n (%) | |
| Head | 16 (51.6) |
| Body and tail | 15 (48.4) |
| Pathological diagnosis, n (%) | |
| Pancreatic ductal adenocarcinoma | 30 (96.8) |
| Acinar cell carcinoma | 1 (3.2) |
| Tumor size, mm, median (range) | 28.5 (15–61) |
| Resectability classification, n (%) | |
| Resectable | 11 (35.5) |
| Borderline resectable | 3 (9.7) |
| Unresectable, locally advanced | 7 (22.6) |
| Distant metastasis | 10 (32.2) |
| Lesion of metastasis, n (%) | 14 (45.2) |
| Liver | 9 (29) |
| Lymph node | 9 (29) |
| Peritoneum | 2 (6.5) |
| Tumor marker level | |
| Carcinoembryonic antigen, median (range), ng/mL | 2.8 (1.2–176) |
| Carbohydrate antigen 19-9, median (range), U/mL | 203.6 (1.5–36,898) |
| Union for International Cancer Control stage, n (%) | |
| I | 8 (25.8) |
| II | 10 (32.3) |
| III | 2 (6.6) |
| Ⅳ | 35.5 |
| Amplifiable DNA (ng/µL) | QC Score | |||||
|---|---|---|---|---|---|---|
| Patient | FFPE | LBC | Frozen | FFPE | LBC | Frozen |
| 1 | 8.756 | 5.651 | 11.661 | 0.004 | 0.004 | 0.002 |
| 2 | 10.943 | 17.171 | 5 | 0.005 | 0.003 | 0.001 |
| 3 | 8.706 | 28.679 | 13.287 | 0.004 | 0.004 | 0.001 |
| 4 | 11.29 | 25.082 | 12.628 | 0.008 | 0.001 | 0.002 |
| 5 | 14.29 | 15.298 | 8.796 | 0.006 | 0.002 | 0.004 |
| 6 | 17.654 | 22.064 | 7.855 | 0.004 | 0.006 | 0.006 |
| 7 | 5.093 | 14.489 | 6.484 | 0.006 | 0.001 | 0 |
| 8 | 0.063 | 22.947 | 5.029 | 0.152 | 0.002 | 0 |
| 9 | 8.971 | 4.348 | 10.718 | 0.006 | 0.007 | 0.001 |
| 10 | 12.044 | 17.921 | 11.29 | 0.006 | 0.006 | 0.003 |
| 11 | 13.426 | 16.04 | 12.998 | 0.005 | 0.001 | 0.002 |
| 12 | 11.251 | 15.333 | 13.503 | 0.008 | 0.003 | 0.002 |
| 13 | 3.568 | 2.959 | 14.983 | 0.048 | 0.006 | −0.001 |
| 14 | 18.618 | 6.659 | 15.263 | 0.002 | 0.002 | −0.001 |
| 15 | 3.05 | 5.224 | 9.783 | 0.011 | 0.006 | 0.001 |
| 16 | 8 | 4 | 10.425 | 0.008 | 0.008 | 0.005 |
| 17 | 8.645 | 14.845 | 7.535 | 0.008 | 0.005 | 0.003 |
| 18 | 7.228 | 17.151 | 10.012 | 0.006 | 0.003 | 0 |
| 19 | 6.514 | 15.819 | 10.842 | 0.011 | 0.008 | 0.005 |
| 20 | 12.585 | 9.526 | 10.449 | 0.007 | 0.003 | 0.001 |
| 21 | 11.303 | 17.512 | 10.656 | 0.005 | 0.002 | −0.001 |
| 22 | 5.135 | 10.956 | 9.908 | 0.007 | 0.002 | 0.001 |
| 23 | 6.582 | 13.272 | 10.401 | 0.008 | 0.004 | 0.003 |
| 24 | 14.126 | 25.315 | 12.226 | 0.007 | 0.005 | 0.003 |
| 25 | 4.954 | 6.807 | 12.716 | 0.011 | 0.005 | 0.002 |
| 26 | 4.59 | 10.83 | 13.195 | 0.011 | 0.008 | 0.005 |
| 27 | 7.261 | 15.07 | 6.697 | 0.006 | 0.001 | 0 |
| 28 | 14.709 | 12.178 | 11.865 | 0.008 | 0.006 | 0.003 |
| 29 | 8.448 | 12.687 | 11.906 | 0.007 | 0.002 | 0.002 |
| 30 | 8.576 | 13.287 | 11.554 | 0.008 | 0.004 | 0.003 |
| 31 | 7.693 | 15.674 | 11.225 | 0.01 | 0.003 | 0 |
| Rate of VAF (n = 30) | |||
|---|---|---|---|
| >10% | >20% | >30% | |
| FFPE | 76.7% (n = 23) | 50.0% (n = 15) | 26.7% (n = 8) |
| LBC | 83.3% (n = 25) | 50.0% (n = 15) | 36.7% (n = 11) |
| Frozen | 76.7% (n = 23) | 53.3% (n = 16) | 23.3% (n = 7) |
| FFPE or LBC or frozen | 86.7% (n = 26) | 70.0% (n = 21) | 43.3% (n = 13) |
| KRAS | TP53 | |||
|---|---|---|---|---|
| Median | Range | Median | Range | |
| FFPE | 17.43% | 10.12–85.86% | 21.96% | 10.64–48.3% |
| LBC | 23.95% | 10.16–85.78% | 25.04% | 10.58–64.49% |
| Frozen | 21.27% | 10.38–81.61% | 20.78% | 8.26–45.35% |
| VAF > 30% | ||
|---|---|---|
| KRAS | TP53 | |
| FFPE | 27.3% (6/22) | 31.6% (6/19) |
| LBC | 25% (6/24) | 47.6% (10/21) |
| Frozen | 27.3% (6/22) | 15% (3/20) |
Disclaimer/Publisher’s Note: The statements, opinions and data contained in all publications are solely those of the individual author(s) and contributor(s) and not of MDPI and/or the editor(s). MDPI and/or the editor(s) disclaim responsibility for any injury to people or property resulting from any ideas, methods, instructions or products referred to in the content. |
© 2023 by the authors. Licensee MDPI, Basel, Switzerland. This article is an open access article distributed under the terms and conditions of the Creative Commons Attribution (CC BY) license (https://creativecommons.org/licenses/by/4.0/).
Share and Cite
Iwaya, H.; Tanimoto, A.; Toyodome, K.; Kojima, I.; Hinokuchi, M.; Tanoue, S.; Hashimoto, S.; Kawahira, M.; Arima, S.; Kanmura, S.; et al. Next-Generation Sequencing Analysis of Pancreatic Cancer Using Residual Liquid Cytology Specimens from Endoscopic Ultrasound—Guided Fine-Needle Biopsy: A Prospective Comparative Study with Tissue Specimens. Diagnostics 2023, 13, 1078. https://doi.org/10.3390/diagnostics13061078
Iwaya H, Tanimoto A, Toyodome K, Kojima I, Hinokuchi M, Tanoue S, Hashimoto S, Kawahira M, Arima S, Kanmura S, et al. Next-Generation Sequencing Analysis of Pancreatic Cancer Using Residual Liquid Cytology Specimens from Endoscopic Ultrasound—Guided Fine-Needle Biopsy: A Prospective Comparative Study with Tissue Specimens. Diagnostics. 2023; 13(6):1078. https://doi.org/10.3390/diagnostics13061078
Chicago/Turabian StyleIwaya, Hiromichi, Akihide Tanimoto, Koshiro Toyodome, Issei Kojima, Makoto Hinokuchi, Shiroh Tanoue, Shinichi Hashimoto, Machiko Kawahira, Shiho Arima, Shuji Kanmura, and et al. 2023. "Next-Generation Sequencing Analysis of Pancreatic Cancer Using Residual Liquid Cytology Specimens from Endoscopic Ultrasound—Guided Fine-Needle Biopsy: A Prospective Comparative Study with Tissue Specimens" Diagnostics 13, no. 6: 1078. https://doi.org/10.3390/diagnostics13061078
APA StyleIwaya, H., Tanimoto, A., Toyodome, K., Kojima, I., Hinokuchi, M., Tanoue, S., Hashimoto, S., Kawahira, M., Arima, S., Kanmura, S., Akahane, T., Higashi, M., Suzuki, S., Ueno, S., Ohtsuka, T., & Ido, A. (2023). Next-Generation Sequencing Analysis of Pancreatic Cancer Using Residual Liquid Cytology Specimens from Endoscopic Ultrasound—Guided Fine-Needle Biopsy: A Prospective Comparative Study with Tissue Specimens. Diagnostics, 13(6), 1078. https://doi.org/10.3390/diagnostics13061078

