The Tomographic Study and the Phenotype of Wormian Bones
Abstract
1. Introduction
2. Materials and Methods
3. Results
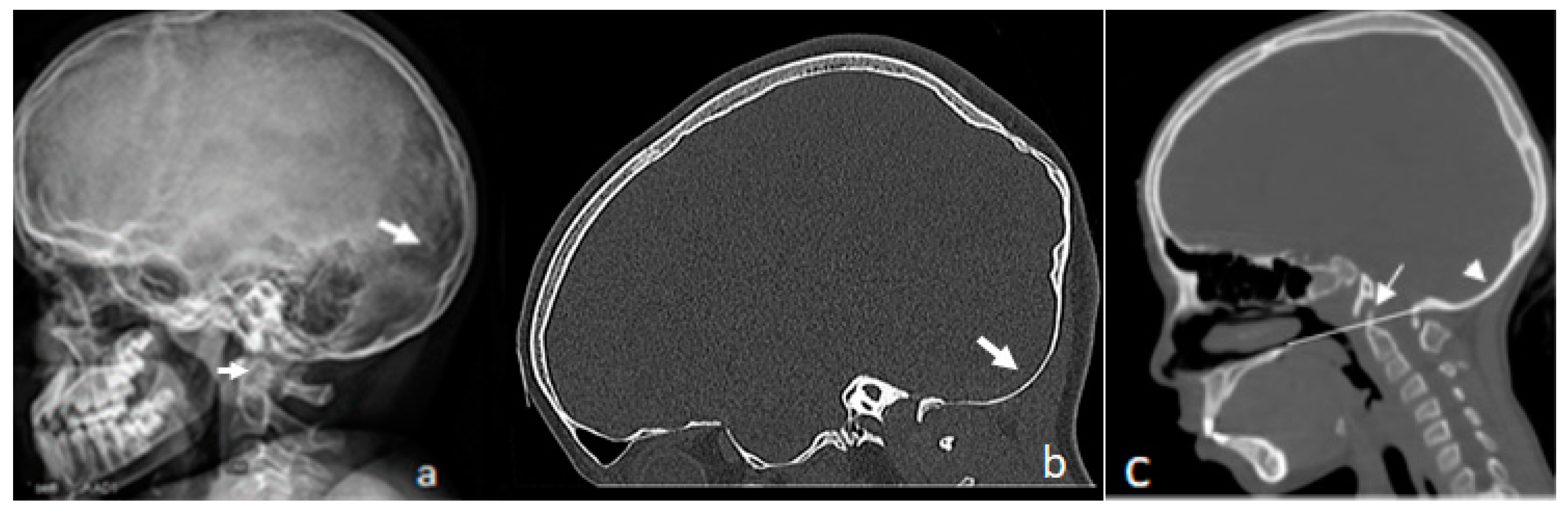
3.1. Patients with Osteogenesis Imperfecta Type I
Patients with Osteogenesis Imperfecta Type IVB
4. Multicentric Carpotarsal Osteolysis Syndrome
5. Discussion
6. Conclusions
Author Contributions
Funding
Institutional Review Board Statement
Informed Consent Statement
Acknowledgments
Conflicts of Interest
References
- Bellary, S.S.; Steinberg, A.; Mirzayan, N.; Shirak, M.; Tubbs, R.S.; Cohen-Gadol, A.A.; Loukas, M. Wormian bones: A review. Clin. Anat. 2013, 26, 922–927. [Google Scholar] [CrossRef]
- Cirpan, S.; Asku, F.; Mas, N. The incidence and topographic distribution of sutures including wormian bones in human skulls. J. Craniofac. Surg. 2015, 26, 1687–1690. [Google Scholar] [CrossRef]
- Sanchez-Lara, P.A.; Graham, J.M., Jr.; Hing, A.V.; Lee, J.; Cunningham, M. The morphogenesis of wormian bones: A study of crani-osynostosis and purposeful cranial deformation. Am. J. Med. Genet. Part A 2007, 143, 3243–3251. [Google Scholar] [CrossRef]
- Weissbach, T.; Gabis, L.V.; Peretz-Machluf, R.; Reign, C.; Pekar Zlotin, M.; Spira, M.; Shapira, M.; Lev, S.; Elkan Miller, T.; Leon-Attia, O.; et al. Clinical and neurodevelopmental outcome of prenatally diagnosed Wormian bones. Am. J. Obstet. Gynecol. 2022, 226, 420–428. [Google Scholar] [CrossRef]
- Weissbach, T.; Sharon, R.; Tovi, S.M.; Weisz, B.; Kassif, E. Fetal Wormian bones: A curious congenital finding. Am. J. Obstet. Gynecol. 2021, 226, 415–416. [Google Scholar] [CrossRef]
- Sillence, D.O.; Senn, A.; Danks, D.M. Genetic heterogeneity in osteogenesis imperfects. J. Med. Genet. 1979, 16, 110–116. [Google Scholar] [CrossRef]
- Shapiro, J.R. Osteogenesis Imperfecta; Chapter 2—Clinical and Genetic Classification of Osteogenesis Imperfecta and Epidemiology; Academic Press (Elsevier): Cambridge, MA, USA, 2014; pp. 15–22. [Google Scholar]
- Patterson, C.R.; McAllion, S.J.; Shaw, J.W. Clinical and radiological features of osteogenesis imperfecta type IV A. Acta Paediatr. 1987, 76, 548–552. [Google Scholar] [CrossRef]
- Al Kaissi, A.; Windpassinger, C.; Chehida, F.B.; Ghachem, M.B.; Nassib, N.M.; Kenis, V.; Melchenko, E.; Morenko, E.; Ryabykh, S.; Hofstaetter, J.G.; et al. How frequent is osteogenesis imperfecta in patients with idiopathic osteoporosis? Case reports. Medicine 2017, 96, e7863. [Google Scholar] [CrossRef]
- Semler, O.; Cheung, M.S.; Glorieux, F.H.; Rauch, F. Wormian Bones in Osteogenesis Imperfecta: Correlation to Clinical Findings and Genotype. Am. J. Med. Genet. Part A 2010, 152, 1681–1687. [Google Scholar] [CrossRef]
- Sykes, B.; Ogilvie, D.; Wordsworth, P.; Wallis, G.; Mathew, C.; Beighton, P.; Nicholls, A.; Pope, F.M.; Thompson, E.; Tsipouras, P. Consistent linkage of dominantly inherited osteogenesis imperfecta to the type I collagen loci: COL1A1 and COL1A2. Am. J. Hum. Genet. 1990, 46, 293–307. [Google Scholar]
- Lund, A.M.; Nicholls, A.C.; Schwartz, M.; Skovby, F. Parental mosaicism and autosomal dominant mutations causing structural abnormalities of collagen I are frequent in families with osteogenesis imperfecta type III/IV. Acta Paediatr. 1997, 86, 711–718. [Google Scholar] [CrossRef]
- Cremin, B.; Goodman, H.; Beighton, P. Wormian bones in osteogenesis imperfecta and other disorders. Skelet. Radiol. 1982, 8, 35–38. [Google Scholar] [CrossRef]
- Kim, K.; Kim, J.H.; Lee, J.; Jin, H.M.; Kook, H.; Kim, K.K.; Lee, S.Y.; Kim, N. MafB negatively regulates RANKL-mediated osteoclast differentiation. Blood 2006, 109, 3253–3259. [Google Scholar] [CrossRef]
- Zankl, A.; Duncan, E.L.; Leo, P.J.; Clark, G.R.; Glazov, E.A.; Addor, M.C.; Herlin, T.; Kim, C.A.; Leheup, B.P.; McGill, J.; et al. Multicentric carpotarsal osteolysis is caused by mutations clustering in the ami-no-terminal transcriptional activation domain of MAFB. Am. J. Hum. Genet. 2012, 90, 494–501. [Google Scholar] [CrossRef]
- Arnould-Taylor, W. A Textbook of Anatomy and Physiology; Nelson Thornes: Cheltenham, UK, 1998; p. 52. ISBN 9780748736348. [Google Scholar]
- Svennerholm, L.; Boström, K.; Jungbjer, B. Changes in weight and compositions of major membrane components of human brain during the span of adult human life of Swedes. Acta Neuropathol. 1997, 94, 345–352. [Google Scholar] [CrossRef]
- Riveiro, M.E.; Von Tschudi, J.J. Peruvian Antiquities; Bibliographical Center for Research: Aurora, CO, USA, 1851; pp. 38–39. [Google Scholar]
- White, C.D. Sutural effects of fronto-occipital cranial modification. Am. J. Phys. Anthropol. 1996, 100, 397–410. [Google Scholar] [CrossRef]
- White, T.; Black, M.; Folkens, P. Human Osteology, 3rd ed.; Chapter 4 skull (cranium and mandible); Academia: Hemel Hempstead, UK, 2011; pp. 43–100. [Google Scholar]
- Schijman, E. Artificial cranial deformation in the pre-columbian andes. Academia. Childs Nerv. Syst. 2005, 21, 939. [Google Scholar] [CrossRef]
- Ell-Najjar, K.A.; Dawson, G.L. The effect of cranial deformations on the incidence of Wormian bones in the lambdoid suture. Am. J. Phys. Anthropol. 1977, 46, 155–160. [Google Scholar] [CrossRef]
- Sanchez, P.; Graham, J.M., Jr. Congenital Anomalies of the Skull. In Swaiman’s Pediatric Neurology, 6th ed.; Elsevier: Amsterdam, The Netherlands, 2015; pp. 233–241. [Google Scholar]
- Bergman, R.A.; Afifi, A.K.; Miyauchi, R. Skeletal Systems: Cranium Compendium of Human Anatomical Variations; Urban and Schwarzenberg: Baltimore, MD, USA, 1988; pp. 197–205. [Google Scholar]
- Pryles, C.V.; Khan, A.J. Wormian bones. A marker of CNS abnormality? Am. J. Dis. Child. 1979, 133, 380–382. [Google Scholar] [CrossRef]
- Marti, B.; Sirinelli, D.; Maurin, L.; Carpentier, E. Les os wormiens dans une population pédiatrique générale. J. Radiol. Diagn. Interv. 2013, 94, 444–448. [Google Scholar] [CrossRef]
- Shinohara, O.; Kubota, C.; Kimura, M.; Nishimura, G.; Takahashi, S. Essential osteolysis associated with nephropathy, corneal opacity, and pulmonary stenosis. Am. J. Med. Genet. 1991, 41, 482–486. [Google Scholar] [CrossRef]
- Beals, R.; Bird, C. Carpal and tarsal osteolysis. A case report and review of the literature. J. Bone Jt. Surg. 1975, 57, 681–686. [Google Scholar] [CrossRef]
- Malecha, M.A.; Wilroy, R., Jr. Bilateral corneal opacities associated with idiopathic multicentric osteolysis. Cornea 2003, 22, 377–378. [Google Scholar] [CrossRef]
- Chamberlain, W.E. Basilar Impression (Platybasia): A Bizarre Developmental Anomaly of the Occipital Bone and Upper Cervical Spine with Striking and Misleading Neurologic Manifestations. Yale J. Biol. Med. 1939, 11, 487–496. [Google Scholar]
- Goel, A. Treatment of basilar invagination by atlantoaxial joint distraction and direct lateral mass fixation. J. Neurosurg. Spine 2004, 1, 281–286. [Google Scholar] [CrossRef]






Disclaimer/Publisher’s Note: The statements, opinions and data contained in all publications are solely those of the individual author(s) and contributor(s) and not of MDPI and/or the editor(s). MDPI and/or the editor(s) disclaim responsibility for any injury to people or property resulting from any ideas, methods, instructions or products referred to in the content. |
© 2023 by the authors. Licensee MDPI, Basel, Switzerland. This article is an open access article distributed under the terms and conditions of the Creative Commons Attribution (CC BY) license (https://creativecommons.org/licenses/by/4.0/).
Share and Cite
Al Kaissi, A.; Ryabykh, S.; Ben Chehida, F.; Al Kaissi, H.; Kircher, S.G.; Stransky, M.J.; Grill, F. The Tomographic Study and the Phenotype of Wormian Bones. Diagnostics 2023, 13, 874. https://doi.org/10.3390/diagnostics13050874
Al Kaissi A, Ryabykh S, Ben Chehida F, Al Kaissi H, Kircher SG, Stransky MJ, Grill F. The Tomographic Study and the Phenotype of Wormian Bones. Diagnostics. 2023; 13(5):874. https://doi.org/10.3390/diagnostics13050874
Chicago/Turabian StyleAl Kaissi, Ali, Sergey Ryabykh, Farid Ben Chehida, Hamza Al Kaissi, Susanne Gerit Kircher, Martin J. Stransky, and Franz Grill. 2023. "The Tomographic Study and the Phenotype of Wormian Bones" Diagnostics 13, no. 5: 874. https://doi.org/10.3390/diagnostics13050874
APA StyleAl Kaissi, A., Ryabykh, S., Ben Chehida, F., Al Kaissi, H., Kircher, S. G., Stransky, M. J., & Grill, F. (2023). The Tomographic Study and the Phenotype of Wormian Bones. Diagnostics, 13(5), 874. https://doi.org/10.3390/diagnostics13050874

