[18F]FDG PET-MR in the Evaluation and Follow-Up of Incidental Bone Ischemic Lesions in a Mono-Center Cohort of Pediatric Patients Affected by Hodgkin’s Lymphoma
Abstract
:1. Introduction
2. Materials and Methods
2.1. Study Design
2.2. PET-MR Protocol and Image Analysis
2.3. Data Analysis
3. Results
3.1. Patients
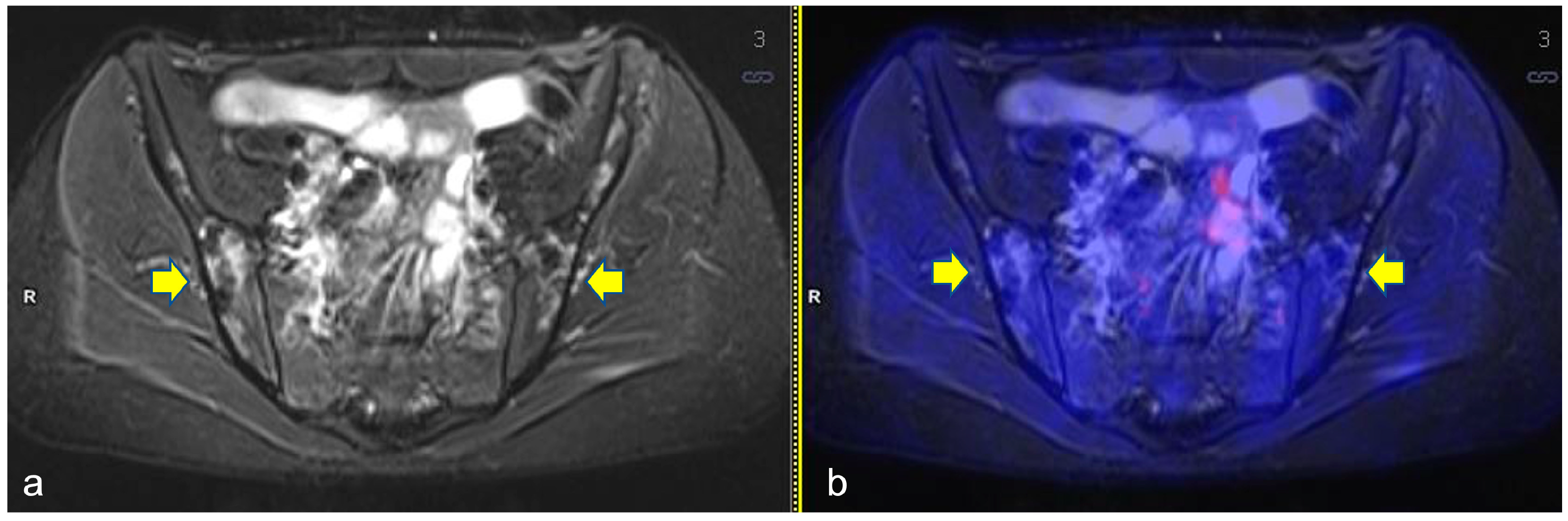
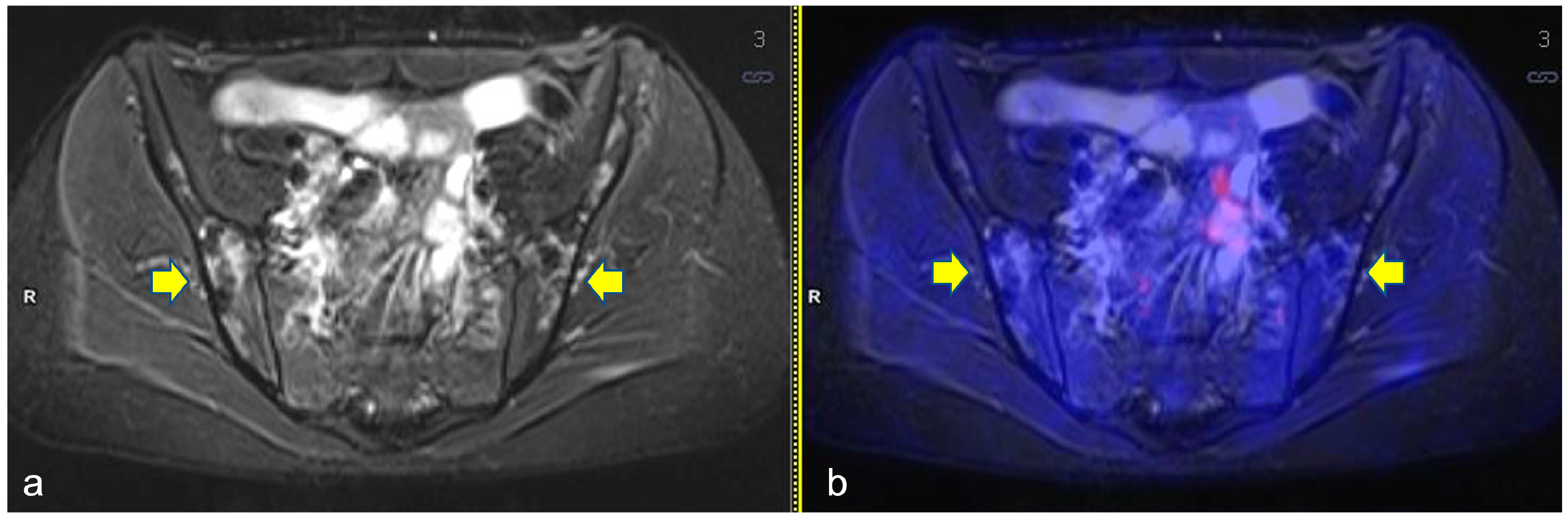
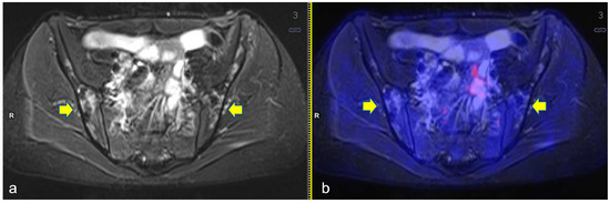
3.2. Bone Ischemic Lesions
4. Discussion
5. Conclusions
Author Contributions
Funding
Institutional Review Board Statement
Informed Consent Statement
Data Availability Statement
Acknowledgments
Conflicts of Interest
References
- Garaventa, A.; Parodi, S.; Guerrini, G.; Farruggia, P.; Sala, A.; Pillon, M.; Buffardi, S.; Rossi, F.; Bianchi, M.; Zecca, M.; et al. Outcome of Children and Adolescents with Recurrent Classical Hodgkin Lymphoma: The Italian Experience. Cancers 2022, 14, 1471. [Google Scholar] [CrossRef]
- Voss, S.D.; Chen, L.; Constine, L.S.; Chauvenet, A.; Fitzgerald, T.J.; Kaste, S.C.; Slovis, T.; Schwartz, C.L. Surveillance Computed Tomography Imaging and Detecting of Relapse in Intermediate-and Advanced-Stage Pediatric Hodgkin’s Lymphoma: A Report from the Children’s Oncology Group. J. Clin. Oncol. 2012, 30, 2635–2640. [Google Scholar] [CrossRef]
- Flerlage, J.E.; Metzger, M.L.; Bhakta, N. The management of Hodgkin lymphoma in adolescents and young adults: Burden of disease or burden of choice? Blood 2018, 132, 376–384. [Google Scholar] [CrossRef]
- Castellino, S.M.; Geiger, A.M.; Mertens, A.C.; Leisenring, W.M.; Tooze, J.A.; Goodman, P.; Stovall, M.; Robison, L.L.; Hudson, M.M. Morbidity and mortality in long-term survivors of Hodgkin lymphoma: A report from the Childhood Cancer Survivor Study. Blood 2011, 117, 1806–1816. [Google Scholar] [CrossRef]
- Mauz-Körholz, C.; Metzger, M.L.; Kelly, K.M.; Schwartz, C.L.; Castellanos, M.E.; Dieckmann, K.; Kluge, R.; Körholz, D. Pediatric Hodgkin Lymphoma. J. Clin. Oncol. 2015, 33, 2975–2985. [Google Scholar] [CrossRef] [PubMed]
- Theruvath, A.J.; Ilivitzki, A.; Muehe, A.; Theruvath, J.; Gulaka, P.; Kim, C.; Luna-Fineman, S.; Sakamoto, K.M.; Yeom, K.W.; Yang, P.; et al. A PET/MR Imaging Approach for the Integrated Assessment of Chemotherapy-induced Brain, Heart, and Bone Injuries in Pediatric Cancer Survivors: A Pilot Study. Radiology 2017, 285, 971–979. [Google Scholar] [CrossRef] [PubMed]
- Cistaro, A.; Cassalia, L.; Ferrara, C.; Quartuccio, N.; Evangelista, L.; Bianchi, M.; Fagioli, F.; Bisi, G.; Baldari, S.; Zanella, A.; et al. Italian Multicenter Study on Accuracy of 18F-FDG PET/CT in Assessing Bone Marrow Involvement in Pediatric Hodgkin Lymphoma. Clin. Lymphoma Myeloma Leuk. 2018, 18, e267–e273. [Google Scholar] [CrossRef] [PubMed]
- Raissaki, M.; Demetriou, S.; Spanakis, K.; Skiadas, C.; Katzilakis, N.; Velivassakis, E.G.; Stiakaki, E.; Karantanas, A.H. Multifocal bone and bone marrow lesions in children—MRI findings. Pediatr. Radiol. 2017, 47, 342–360. [Google Scholar] [CrossRef]
- Karimova, E.J.; Kaste, S.C. MR imaging of osteonecrosis of the knee in children with acute lymphocytic leukemia. Pediatr. Radiol. 2007, 37, 1140–1146. [Google Scholar] [CrossRef]
- Littooij, A.S.; Kwee, T.C.; Enríquez, G.; Verbeke, J.I.; Granata, C.; Beishuizen, A.; de Lange, C.; Zennaro, F.; Bruin, M.C.; Nievelstein, R.A. Whole-body MRI reveals high incidence of osteonecrosis in children treated for Hodgkin lymphoma. Br. J. Haematol. 2017, 176, 637–642. [Google Scholar] [CrossRef]
- Beer, M.; Stenzel, M.; Girschick, H.; Schlegel, P.G.; Darge, K. Whole-body MR imaging in children with suspected osteonecrosis after intensive chemotherapy: Preliminary results. Rofo 2008, 180, 238–245. [Google Scholar] [CrossRef]
- Vali, R.; Alessio, A.; Balza, R.; Borgwardt, L.; Bar-Sever, Z.; Czachowski, M.; Jehanno, N.; Kurch, L.; Pandit-Taskar, N.; Parisi, M.; et al. SNMMI Procedure Standard/EANM Practice Guideline on Pediatric 18F-FDG PET/CT for Oncology 1.0. J. Nucl. Med. 2021, 62, 99–110. [Google Scholar] [CrossRef]
- Olweny, C.L. Cotswolds modification of the Ann Arbor staging system for Hodgkin’s disease. J. Clin. Oncol. 1990, 8, 1598. [Google Scholar]
- Tomasi, G.; Rosso, L. PET imaging: Implications for the future of therapy monitoring with PET/CT in oncology. Curr. Opin. Pharmacol. 2012, 12, 569–575. [Google Scholar] [CrossRef] [PubMed]
- Gatidis, S.; Schmidt, H.; Gücke, B.; Bezrukov, I.; Seitz, G.; Ebinger, M.; Reimold, M.; Pfannenberg, C.A.; Nikolaou, K.; Schwenzer, N.F.; et al. Comprehensive Oncologic Imaging in Infants and Preschool Children with Substantially Reduced Radiation Exposure Using Combined Simultaneous 18F-Fluorodeoxyglucose Positron Emission Tomography/Magnetic Resonance Imaging. Investig. Radiol. 2016, 51, 7–14. [Google Scholar] [CrossRef] [PubMed]
- Schäfer, J.F.; Gatidis, S.; Schmidt, H.; Gückel, B.; Bezrukov, I.; Pfannenberg, C.A.; Reimold, M.; Ebinger, M.; Fuchs, J.; Claussen, C.D.; et al. Simultaneous whole-body PET/MR imaging in comparison to PET/CT in pediatric oncology: Initial results. Radiology 2014, 273, 220–231. [Google Scholar] [CrossRef]
- Spijkers, S.; Littooij, A.S.; Kwee, T.C.; Tolboom, N.; Beishuizen, A.; Bruin, M.C.A.; Enríquez, G.; Sábado, C.; Miller, E.; Granata, C.; et al. Whole-body MRI versus an [18F]FDG-PET/CT-based reference standard for early response assessment and restaging of paediatric Hodgkin’s lymphoma: A prospective multicentre study. Eur. Radiol. 2021, 31, 8925–8936. [Google Scholar] [CrossRef] [PubMed]
- Lafforgue, P.; Trijau, S. Bone infarcts: Unsuspected gray areas? Jt. Bone Spine 2016, 83, 495–499. [Google Scholar] [CrossRef]
- Hara, H.; Akisue, T.; Fujimoto, T.; Kishimoto, K.; Imabori, M.; Kishimoto, S.; Kawamoto, T.; Yamamoto, T.; Kuroda, R.; Fujioka, H.; et al. Magnetic resonance imaging of medullary bone infarction in the early stage. Clin. Imaging 2008, 32, 47–51. [Google Scholar] [CrossRef]
- Barakat, E.; Guischer, N.; Dé Ric Houssiau, F.; Lecouvet, F.E. The “birth of death”: MRI step-by-step reveals the early appearance of a bone marrow infarct. Acta Radiol. Open 2019, 8, 2058460119834691. [Google Scholar] [CrossRef]
- Kunstreich, M.; Kummer, S.; Laws, H.J.; Borkhardt, A.; Kuhlen, M. Osteonecrosis in children with acute lymphoblastic leukemia. Haematologica 2016, 101, 1295–1305. [Google Scholar] [CrossRef] [PubMed]
- Parashari, U.; Khanduri, S.; Bhadury, S.; Sarkar, P. MRI Manifestation and Early Diagnosis of Bone Infarct: A Rare Complication of Steroid Therapy for Pemphigus. Malays. Orthop. J. 2011, 5, 50–53. [Google Scholar] [CrossRef]
- Bhojwani, N.; Szpakowski, P.; Partovi, S.; Maurer, M.H.; Grosse, U.; von Tengg-Kobligk, H.; Zipp-Partovi, L.; Fergus, N.; Kosmas, C.; Nikolaou, K.; et al. Diffusion-weighted imaging in musculoskeletal radiology-clinical applications and future directions. Quant. Imaging Med. Surg. 2015, 5, 740–753. [Google Scholar] [CrossRef] [PubMed]
- Ahmed, N.; Sriskandarajah, P.; Burd, C.; Riddell, A.; Boyd, K.; Kaiser, M.; Messiou, C. Detection of avascular necrosis on routine diffusion-weighted whole body MRI in patients with multiple myeloma. Br. J. Radiol. 2019, 92, 20180822. [Google Scholar] [CrossRef]
- Hong, N.; Du, X.; Nie, Z.; Li, S. Diffusion-weighted MR study of femoral head avascular necrosis in severe acute respiratory syndrome patients. J. Magn. Reson. Imaging 2005, 22, 661–664. [Google Scholar] [CrossRef] [PubMed]
- Johnson, C.P.; Wang, L.; Tóth, F.; Aruwajoye, O.; Carlson, C.S.; Kim, H.K.W.; Ellermann, J.M. Quantitative MRI Helps to Detect Hip Ischemia: Preclinical Model of Legg-Calvé-Perthes Disease. Radiology 2018, 289, 386–395. [Google Scholar] [CrossRef]
- Cultot, A.; Norberciak, L.; Coursier, R.; Putman, S.; Cortet, B.; Paccou, J.; Pascart, T.; Budzik, J.F. Bone perfusion and adiposity beyond the necrotic zone in femoral head osteonecrosis: A quantitative MRI study. Eur. J. Radiol. 2020, 131, 109206. [Google Scholar] [CrossRef]



| Patients with BILs | Patients without BILs | p-Value | ||||
|---|---|---|---|---|---|---|
| N | % | N | % | |||
| Gender | Male | 6 | 60% | 14 | 33% | 0.15 |
| Female | 4 | 40% | 29 | 67% | ||
| Age at diagnosis | Median | 16.3 | 15 | 0.45 | ||
| Range | 9.4–17.9 | 9.4–17.9 | ||||
| Body mass index | Normal | 8 | 80% | 40 | 93% | 0.43 |
| Overweight | 1 | 10% | 3 | 7% | ||
| Obese | 1 | 10% | 0 | 0% | ||
| Agonistic sport | Yes | 1 | 10% | 11 | 26% | 0.42 |
| No | 9 | 90% | 32 | 74% | ||
| I [A/B] | 0 | 0% | 0 | 0% | 0.79 | |
| Stage | II [A/B] | 5 | 50% | 26 | 60% | |
| III [A/B] | 2 | 20% | 8 | 19% | ||
| IV [A/B] | 3 | 30% | 9 | 21% | ||
| TL1 | 0 | 0% | 5 | 11% | 0.92 | |
| Treatment level | TL2 | 5 | 50% | 21 | 49% | |
| TL3 | 5 | 50% | 17 | 40% | ||
| Lymph node | 10 | 100% | 43 | 100% | 1.0 | |
| Spleen | 1 | 10% | 10 | 23% | ||
| Primary site of disease | Extra-lymphatic | 5 | 50% | 13 | 30% | |
| Lung | 2 | 20% | 8 | 19% | ||
| Liver | 1 | 10% | 1 | 2% | ||
| Bone | 2 | 20% | 4 | 9% | ||
| B symptoms | Yes | 2 | 20% | 12 | 28% | 1.0 |
| No | 8 | 80% | 31 | 72% | ||
| Scleronodular | 9 | 90% | 41 | 95% | 0.45 | |
| Histological subtype | Lymphocyte-rich | 1 | 10% | 0 | 0% | |
| Mixed cellularity | 0 | 0% | 2 | 5% | ||
| Bulky disease | Yes | 5 | 50% | 17 | 40% | 0.72 |
| No | 5 | 50% | 26 | 60% | ||
| Disease involvement | Yes | 2 | 20% | 4 | 9% | 0.32 |
| No | 8 | 80% | 39 | 91% | ||
| Thrombosis | Yes | 0 | 0% | 4 | 9% | 1.0 |
| No | 10 | 100% | 39 | 91% | ||
| Event | Yes | 1 | 10% | 2 | 5% | 0.47 |
| No | 9 | 90% | 41 | 95% | ||
| Radiotherapy | Yes | 4 | 40% | 6 | 14% | 0.19 |
| No | 6 | 60% | 36 | 84% | ||
| AR at ERA-PET-MR | Yes | 6 | 60% | 32 | 74% | 0.27 |
| No | 4 | 40% | 11 | 26% | ||
| Pts | TL | HL Disease Bone Involvement at Diagnosis | BILs Site Involvement | N. of Lesions | PET-MR Time-Point |
|---|---|---|---|---|---|
| 1 | 3 | Yes | bilateral distal femur diaphysis; right proximal tibia metaphysis and left proximal tibia diaphysis | 4 | ERA PET-MR |
| 2 | 2 | No | right iliac wing; proximal humerus epiphysis; bilateral proximal femurs epiphysis | 5 | ERA PET-MR |
| 3 | 3 | No | right iliac wing; sacrum; bilateral proximal femoral metaphysis | 4 | ERA PET-MR |
| 4 | 3 | No | left proximal humerus epiphysis; iliac wings; S2 vertebrae | 5 | Follow-up (+9 months from diagnosis) |
| 5 | 2 | No | right iliac wing | 1 | Follow-up (+7 months from diagnosis) |
| 6 | 3 | Yes | left proximal tibia epiphysis; left proximal femur diaphysis | 2 | ERA PET-MR |
| 7 | 2 | No | right proximal humerus epiphysis; bilateral proximal femur epiphysis; right scapula | 4 | Follow-up (+6 months from diagnosis) |
| 8 | 2 | No | left distal femoral diaphysis | 1 | ERA PET-MR |
| 9 | 2 | No | mid-proximal left femur diaphysis; left proximal humerus metaphysis | 2 | ERA PET-MR |
| 10 | 3 | No | bilateral proximal femur epiphysis | 2 | Follow-up (11 months from diagnosis) |
Disclaimer/Publisher’s Note: The statements, opinions and data contained in all publications are solely those of the individual author(s) and contributor(s) and not of MDPI and/or the editor(s). MDPI and/or the editor(s) disclaim responsibility for any injury to people or property resulting from any ideas, methods, instructions or products referred to in the content. |
© 2023 by the authors. Licensee MDPI, Basel, Switzerland. This article is an open access article distributed under the terms and conditions of the Creative Commons Attribution (CC BY) license (https://creativecommons.org/licenses/by/4.0/).
Share and Cite
Giraudo, C.; Carraro, E.; Cavallaro, E.; Zuliani, M.; Spampinato Gotsyak, L.; Massano, D.; Modugno, A.; Mussolin, L.; Biffi, A.; Cecchin, D.; et al. [18F]FDG PET-MR in the Evaluation and Follow-Up of Incidental Bone Ischemic Lesions in a Mono-Center Cohort of Pediatric Patients Affected by Hodgkin’s Lymphoma. Diagnostics 2023, 13, 565. https://doi.org/10.3390/diagnostics13030565
Giraudo C, Carraro E, Cavallaro E, Zuliani M, Spampinato Gotsyak L, Massano D, Modugno A, Mussolin L, Biffi A, Cecchin D, et al. [18F]FDG PET-MR in the Evaluation and Follow-Up of Incidental Bone Ischemic Lesions in a Mono-Center Cohort of Pediatric Patients Affected by Hodgkin’s Lymphoma. Diagnostics. 2023; 13(3):565. https://doi.org/10.3390/diagnostics13030565
Chicago/Turabian StyleGiraudo, Chiara, Elisa Carraro, Elena Cavallaro, Monica Zuliani, Liliya Spampinato Gotsyak, Davide Massano, Antonella Modugno, Lara Mussolin, Alessandra Biffi, Diego Cecchin, and et al. 2023. "[18F]FDG PET-MR in the Evaluation and Follow-Up of Incidental Bone Ischemic Lesions in a Mono-Center Cohort of Pediatric Patients Affected by Hodgkin’s Lymphoma" Diagnostics 13, no. 3: 565. https://doi.org/10.3390/diagnostics13030565
APA StyleGiraudo, C., Carraro, E., Cavallaro, E., Zuliani, M., Spampinato Gotsyak, L., Massano, D., Modugno, A., Mussolin, L., Biffi, A., Cecchin, D., Pillon, M., & Zucchetta, P. (2023). [18F]FDG PET-MR in the Evaluation and Follow-Up of Incidental Bone Ischemic Lesions in a Mono-Center Cohort of Pediatric Patients Affected by Hodgkin’s Lymphoma. Diagnostics, 13(3), 565. https://doi.org/10.3390/diagnostics13030565

