Custom-Made 3D-Printed Prosthesis after Resection of a Voluminous Giant Cell Tumour Recurrence in Pelvis
Abstract
1. Introduction
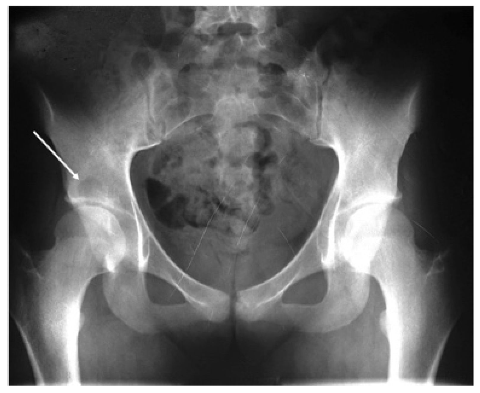
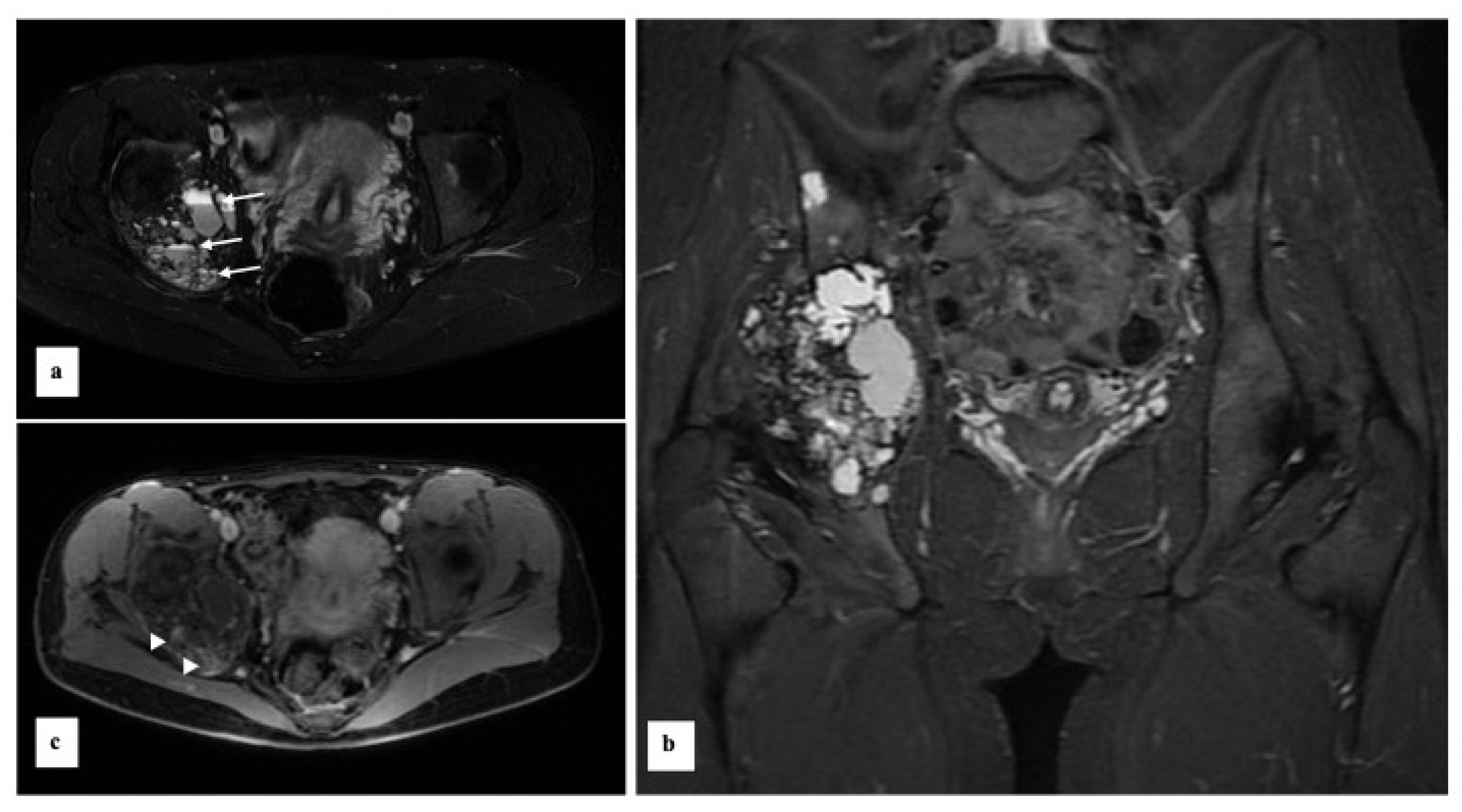
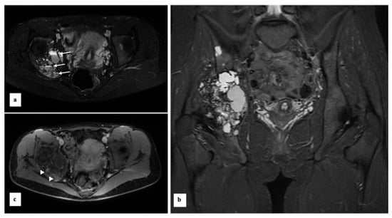
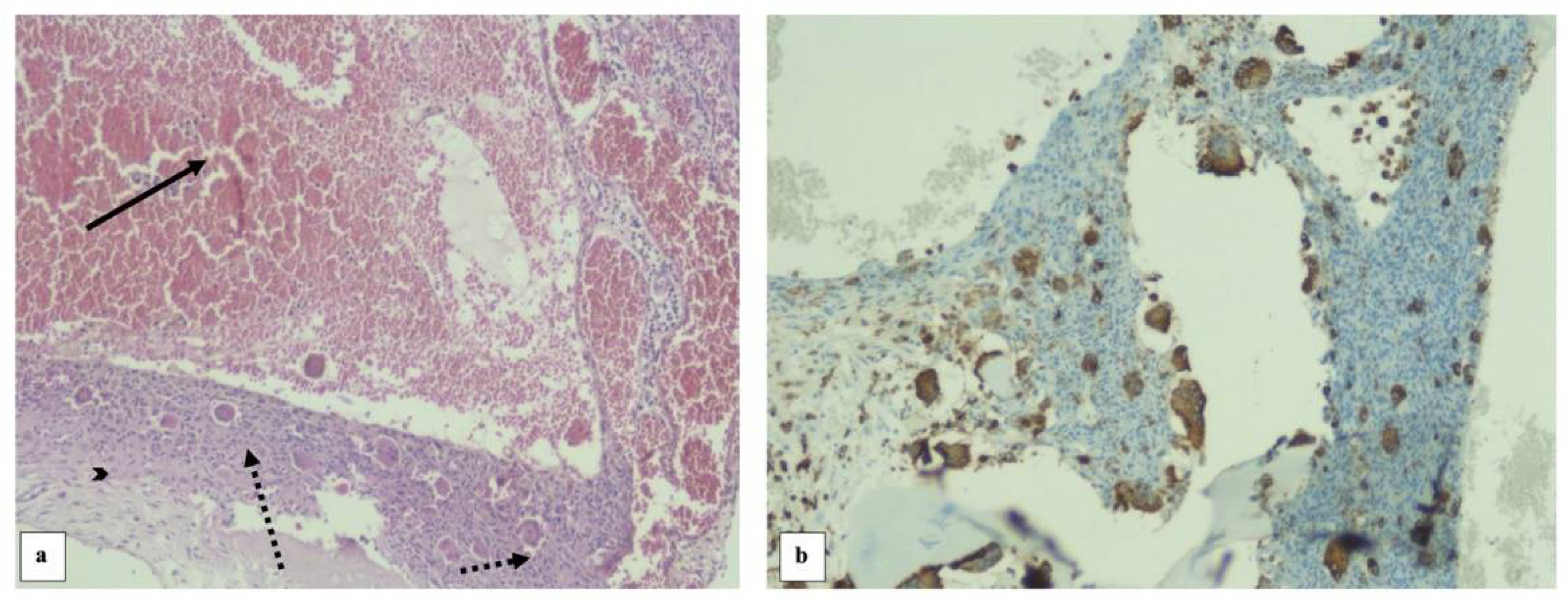
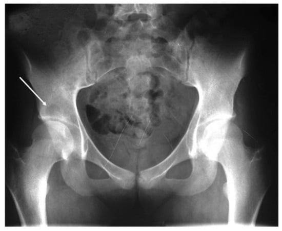
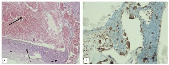
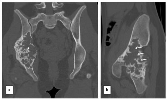
2. Case Presentation
3. Discussion
4. Conclusions
Author Contributions
Funding
Institutional Review Board Statement
Informed Consent Statement
Data Availability Statement
Acknowledgments
Conflicts of Interest
References
- Manfrini, M. Giant Cell Tumor. In Atlas of Musculoskeletal Tumors and Tumorlike Lesions; Springer International Publishing: Cham, Switzerland, 2014; pp. 91–94. [Google Scholar] [CrossRef]
- Errani, C.; Ruggieri, P.; Asenzio, M.A.N.; Toscano, A.; Colangeli, S.; Rimondi, E.; Rossi, G.; Longhi, A.; Mercuri, M. Giant cell tumor of the extremity: A review of 349 cases from a single institution. Cancer Treat. Rev. 2010, 36, 1–7. [Google Scholar] [CrossRef] [PubMed]
- Benassi, M.S. Biology of Giant Cell Tumor. In Atlas of Musculoskeletal Tumors and Tumorlike Lesions; Springer International Publishing: Cham, Switzerland, 2014; pp. 95–97. [Google Scholar] [CrossRef]
- The WHO Classification of Tumours Editorial Board. WHO Classification of Tumours Soft Tissue and Bone Tumours, 5th ed.; IARC Press: Lyon, France, 2020. [Google Scholar]
- Enneking, W.F.; Spanier, S.S.; Goodman, M.A. A system for the surgical staging of musculoskeletal sarcoma. Clin. Orthop. Relat. Res. 1980, 153, 106–120. [Google Scholar] [CrossRef]
- Park, J.W.; Kang, H.G.; Lim, K.M.; Park, D.W.; Kim, J.H.; Kim, H.S. Bone tumor resection guide using three-dimensional printing for limb salvage surgery. J. Surg. Oncol. 2018, 118, 898–905. [Google Scholar] [CrossRef] [PubMed]
- Enneking, W.F.; Dunham, W.K. Resection and reconstruction for primary neoplasms involving the innominate bone. J. Bone Jt. Surg. Am. 1978, 60, 731–746. [Google Scholar] [CrossRef]
- Angelini, A.; Calabrò, T.; Pala, E.; Trovarelli, G.; Maraldi, M.; Ruggieri, P. Resection and reconstruction of pelvic bone tumors. Orthopedics 2015, 38, 87–93. [Google Scholar] [CrossRef]
- Brown, J.M.; Rakoczy, K.; Tokson, J.H.; Jones, K.B.; Groundland, J.S. Ewing sarcoma of the pelvis: Clinical features and overall survival. Cancer Treat. Res. Commun. 2022, 33, 100634. [Google Scholar] [CrossRef]
- Zoccali, C.; Baldi, J.; Attala, D.; Scotto di Uccio, A.; Cannavò, L.; Scotto, G.; Luzzati, A. 3D-Printed Titanium Custom-Made Prostheses in Reconstruction after Pelvic Tumor Resection: Indications and Results in a Series of 14 Patients at 42 Months of Average Follow-Up. J. Clin. Med. 2021, 10, 3539. [Google Scholar] [CrossRef]
- Evrard, R.; Schubert, T.; Paul, L.; Docquier, P.L. Resection margins obtained with patient-specific instruments for resecting primary pelvic bone sarcomas: A case-control study. Orthop. Traumatol. Surg. Res. 2019, 105, 781–787. [Google Scholar] [CrossRef]
- Hennessy, D.W.; Anderson, M.E.; Lozano-Calderón, S.A. Complex Pelvic Reconstruction using Patient-Specific Instrumentation and a 3D-Printed Custom Implant following Tumor Resection. J. Hip Surg. 2018, 2, 061–067. [Google Scholar] [CrossRef]
- Liu, X.; Liu, Y.; Lu, W.; Liao, S.; Du, Q.; Deng, Z.; Lu, W. Combined Application of Modified Three-Dimensional Printed Anatomic Templates and Customized Cutting Blocks in Pelvic Reconstruction After Pelvic Tumor Resection. J. Arthroplast. 2019, 34, 338–345.e1. [Google Scholar] [CrossRef]
- Fujiwara, T.; Medellin Rincon, M.R.; Sambri, A.; Tsuda, Y.; Clark, R.; Stevenson, J.; Parry, M.C.; Grimer, R.J.; Jeys, L. Limb-salvage reconstruction following resection of pelvic bone sarcomas involving the acetabulum. Bone Jt. J. 2021, 103, 795–803. [Google Scholar] [CrossRef] [PubMed]
- Enneking, W.F.; Dunham, W.; Gebhardt, M.C.; Malawar, M.; Pritchard, D.J. A system for the functional evaluation of reconstructive procedures after surgical treatment of tumors of the musculoskeletal system. Clin. Orthop. Relat. Res. 1993, 286, 241–246. [Google Scholar] [CrossRef]
- Zheng, K.; Yu, X.; Hu, Y.; Wang, Z.; Wu, S.; Ye, Z. Surgical treatment for pelvic giant cell tumor: A multi-center study. World J. Surg. Oncol. 2016, 14, 1–9. [Google Scholar] [CrossRef]
- Chawla, S.; Henshaw, R.; Seeger, L.; Choy, E.; Blay, J.Y.; Ferrari, S.; Kroep, J.; Grimer, R.; Reichardt, P.; Rutkowski, P.; et al. Safety and efficacy of denosumab for adults and skeletally mature adolescents with giant cell tumour of bone: Interim analysis of an open-label, parallel-group, phase 2 study. Lancet Oncol. 2013, 14, 901–908. [Google Scholar] [CrossRef]
- Zheng, K.; Yu, X.C.; Hu, Y.C.; Wang, Z.; Wu, S.J.; Ye, Z.M. How to Fill the Cavity after Curettage of Giant Cell Tumors around the Knee? A Multicenter Analysis. Chin. Med. J. 2017, 130, 2541–2546. [Google Scholar] [CrossRef] [PubMed]
- Tsukamoto, S.; Hindiskere, S.; Honoki, K.; Mavrogenis, A.F.; Tanaka, Y.; Chinder, P.S.; Donati, D.M.; Errani, C. Outcome of re-operation for local recurrence following pre-operative denosumab administration and curettage for giant cell tumour of bone with difficult joint preservation. Int. Orthop. 2022, 47, 265–273. [Google Scholar] [CrossRef] [PubMed]
- Errani, C.; Tsukamoto, S.; Mavrogenis, A.F. How safe and effective is denosumab for bone giant cell tumour? Int. Orthop. 2017, 41, 2397–2400. [Google Scholar] [CrossRef]
- Tsukamoto, S.; Tanaka, Y.; Mavrogenis, A.F.; Kido, A.; Kawaguchi, M.; Errani, C. Is Treatment with Denosumab Associated with Local Recurrence in Patients with Giant Cell Tumor of Bone Treated with Curettage? A Systematic Review. Clin. Orthop. Relat. Res. 2020, 478, 1076–1085. [Google Scholar] [CrossRef]
- Errani, C.; Tsukamoto, S.; Leone, G.; Righi, A.; Akahane, M.; Tanaka, Y.; Donati, D.M. Denosumab May Increase the Risk of Local Recurrence in Patients with Giant-Cell Tumor of Bone Treated with Curettage. J. Bone Jt. Surg. Am. 2018, 100, 496–504. [Google Scholar] [CrossRef]
- Tsukamoto, S.; Mavrogenis, A.F.; Tanaka, Y.; Kido, A.; Kawaguchi, M.; Errani, C. Denosumab Does Not Decrease Local Recurrence in Giant Cell Tumor of Bone Treated With En Bloc Resection. Orthopedics 2021, 44, 326–332. [Google Scholar] [CrossRef] [PubMed]
- Tsukamoto, S.; Mavrogenis, A.F.; Hindiskere, S.; Honoki, K.; Kido, A.; Fujii, H.; Masunaga, T.; Tanaka, Y.; Chinder, P.S.; Donati, D.M.; et al. Outcome of Reoperation for Local Recurrence Following En Bloc Resection for Bone Giant Cell Tumor of the Extremity. Curr. Oncol. 2022, 29, 6383–6399. [Google Scholar] [CrossRef]
- Grimer, R.J.; Taminiau, A.M.; Cannon, S.R. Surgical outcomes in osteosarcoma. J. Bone Jt. Surg. Ser. B 2002, 84, 395–400. [Google Scholar] [CrossRef]
- Puri, A.; Pruthi, M.; Gulia, A. Outcomes after limb sparing resection in primary malignant pelvic tumors. Eur. J. Surg. Oncol. 2014, 40, 27–33. [Google Scholar] [CrossRef]
- Kawai, A.; Healey, J.H.; Boland, P.J.; Lin, P.P.; Huvos, A.G.; Meyers, P.A. Prognostic factors for patients with sarcomas of the pelvic bones. Cancer 1998, 82, 851–859. [Google Scholar] [CrossRef]
- Ogura, K.; Sakuraba, M.; Miyamoto, S.; Fujiwara, T.; Chuman, H.; Kawai, A. Pelvic ring reconstruction with a double-barreled free vascularized fibula graft after resection of malignant pelvic bone tumor. Arch. Orthop. Trauma Surg. 2015, 135, 619–625. [Google Scholar] [CrossRef] [PubMed]
- Khal, A.; Zucchini, R.; Sambri, A.; Leucuta, D.C.; Mariotti, F.; Donati, D.M.; De Paolis, M. Reconstruction of the pelvic ring in iliac or iliosacral resections: Allograft or autograft? Musculoskelet. Surg. 2020, 106, 1–7. [Google Scholar] [CrossRef] [PubMed]
- Jansen, J.A.; Van de Sande, M.A.J.; Dijkstra, P.D.S. Poor long-term clinical results of saddle prosthesis after resection of periacetabular tumors. Clin. Orthop. Relat. Res. 2013, 471, 324–331. [Google Scholar] [CrossRef]
- Hillmann, A.; Hoffmann, C.; Gosheger, G.; Rödl, R.; Winkelmann, W.; Ozaki, T. Tumors of the pelvis: Complications after reconstruction. Arch. Orthop. Trauma Surg. 2003, 123, 340–344. [Google Scholar] [CrossRef]
- Gebert, C.; Wessling, M.; Hoffmann, C.; Roedl, R.; Winkelmann, W.; Gosheger, G.; Hardes, J. Hip transposition as a limb salvage procedure following the resection of periacetabular tumors. J. Surg. Oncol. 2011, 103, 269–275. [Google Scholar] [CrossRef]
- Durastanti, G.; Belvedere, C.; Ruggeri, M.; Donati, D.M.; Spazzoli, B.; Leardini, A. A Pelvic Reconstruction Procedure for Custom-Made Prosthesis Design of Bone Tumor Surgical Treatments. Appl. Sci. 2022, 12, 1654. [Google Scholar] [CrossRef]
- Dong, C.; Beglinger, I.; Krieg, A.H. Personalized 3D-printed guide in malignant bone tumor resection and following reconstruction-17 cases in pelvic and extremities. Surg. Oncol. 2022, 42, 101733. [Google Scholar] [CrossRef] [PubMed]
- Wang, J.; Min, L.; Lu, M.; Zhang, Y.; Wang, Y.; Luo, Y.; Zhou, Y.; Duan, H.; Tu, C. Three-dimensional-printed custom-made hemipelvic endoprosthesis for the revision of the aseptic loosening and fracture of modular hemipelvic endoprosthesis: A pilot study. BMC Surg. 2021, 21, 1–12. [Google Scholar] [CrossRef] [PubMed]









Disclaimer/Publisher’s Note: The statements, opinions and data contained in all publications are solely those of the individual author(s) and contributor(s) and not of MDPI and/or the editor(s). MDPI and/or the editor(s) disclaim responsibility for any injury to people or property resulting from any ideas, methods, instructions or products referred to in the content. |
© 2023 by the authors. Licensee MDPI, Basel, Switzerland. This article is an open access article distributed under the terms and conditions of the Creative Commons Attribution (CC BY) license (https://creativecommons.org/licenses/by/4.0/).
Share and Cite
KHAL, A.-A.; APOSTU, D.; SCHIAU, C.; BEJINARIU, N.; PESENTI, S.; JOUVE, J.-L. Custom-Made 3D-Printed Prosthesis after Resection of a Voluminous Giant Cell Tumour Recurrence in Pelvis. Diagnostics 2023, 13, 485. https://doi.org/10.3390/diagnostics13030485
KHAL A-A, APOSTU D, SCHIAU C, BEJINARIU N, PESENTI S, JOUVE J-L. Custom-Made 3D-Printed Prosthesis after Resection of a Voluminous Giant Cell Tumour Recurrence in Pelvis. Diagnostics. 2023; 13(3):485. https://doi.org/10.3390/diagnostics13030485
Chicago/Turabian StyleKHAL, Adyb-Adrian, Dragos APOSTU, Calin SCHIAU, Nona BEJINARIU, Sebastien PESENTI, and Jean-Luc JOUVE. 2023. "Custom-Made 3D-Printed Prosthesis after Resection of a Voluminous Giant Cell Tumour Recurrence in Pelvis" Diagnostics 13, no. 3: 485. https://doi.org/10.3390/diagnostics13030485
APA StyleKHAL, A.-A., APOSTU, D., SCHIAU, C., BEJINARIU, N., PESENTI, S., & JOUVE, J.-L. (2023). Custom-Made 3D-Printed Prosthesis after Resection of a Voluminous Giant Cell Tumour Recurrence in Pelvis. Diagnostics, 13(3), 485. https://doi.org/10.3390/diagnostics13030485

