Large-Vessel Giant Cell Arteritis following COVID-19—What Can HLA Typing Reveal?
Abstract
1. Introduction
2. Materials and Methods
Search Strategy
3. Results
3.1. Presentation of Cases
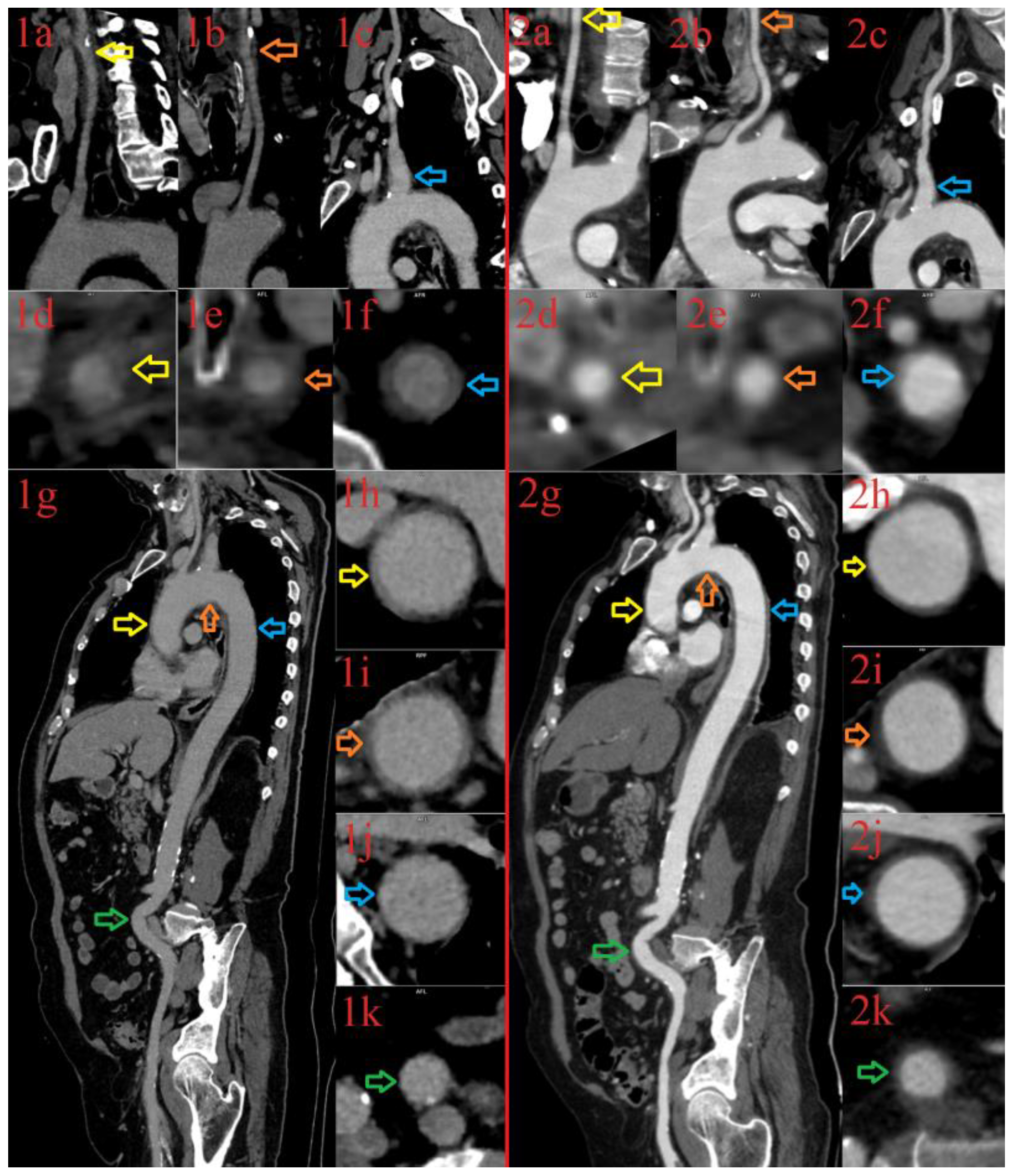
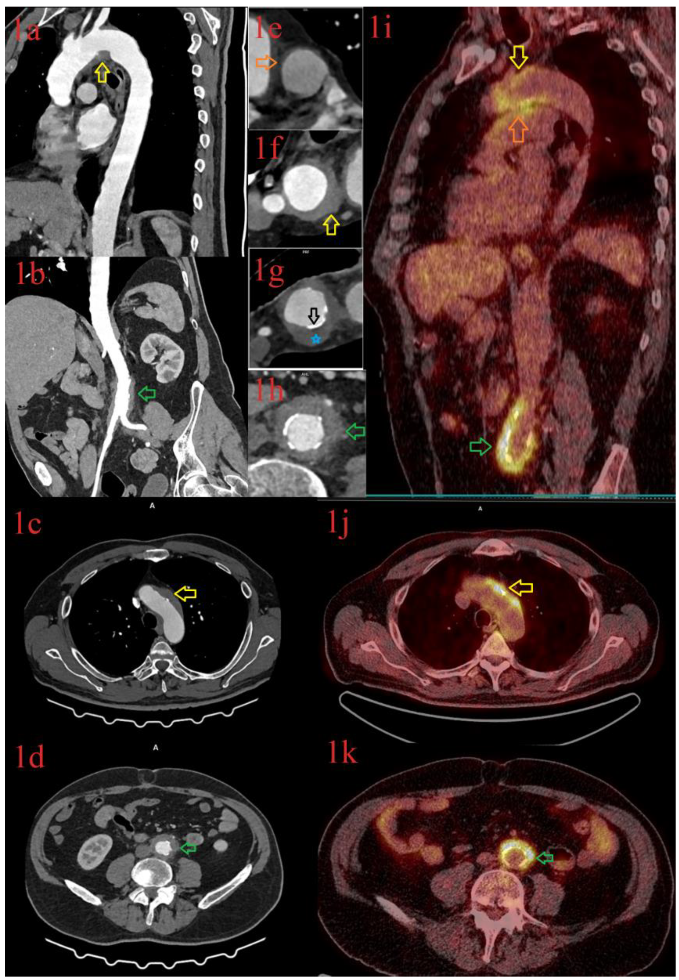
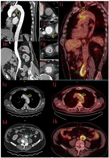
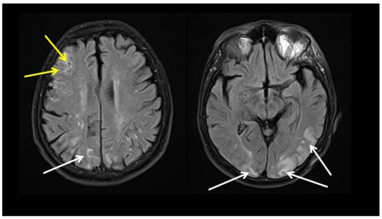
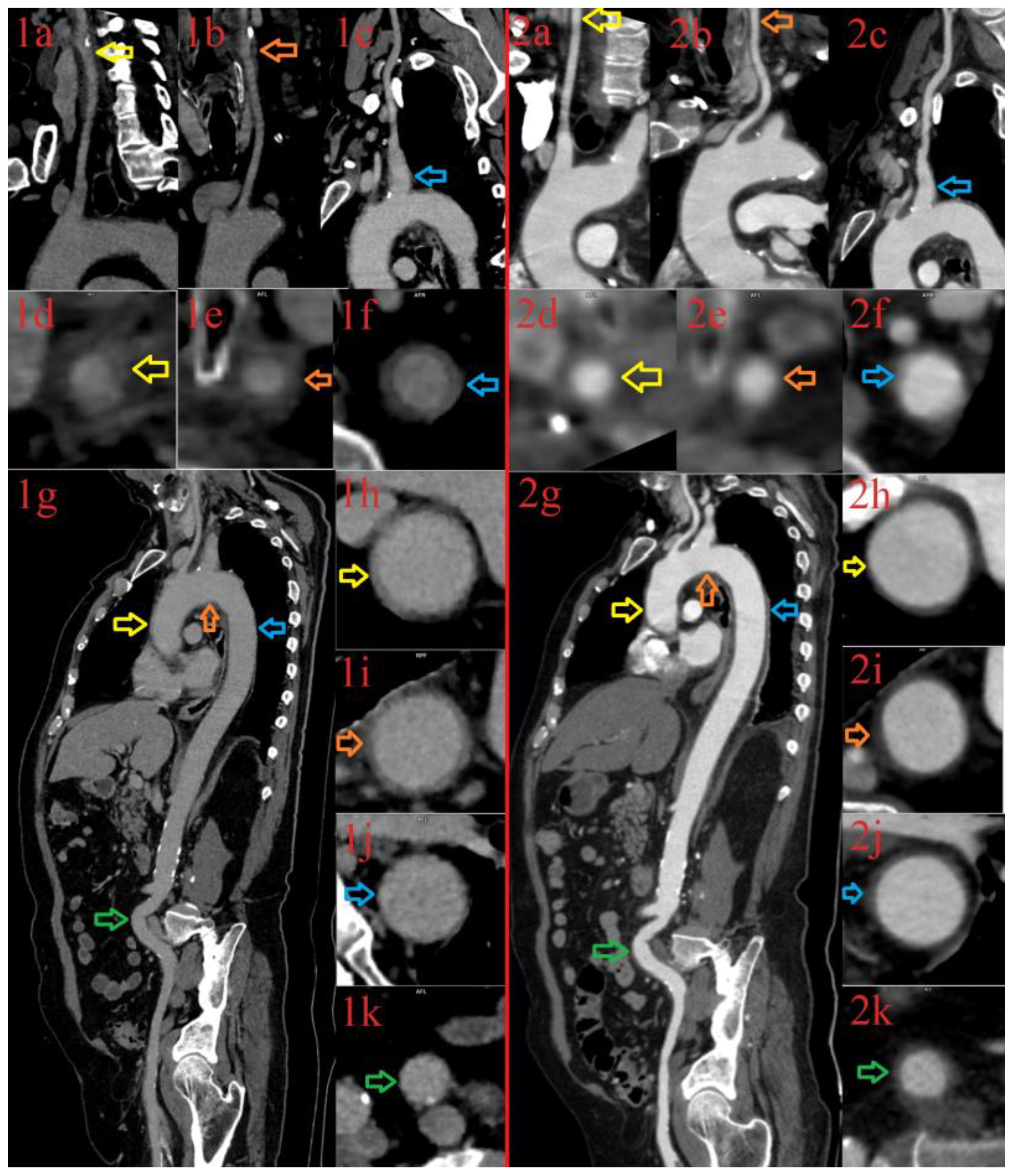
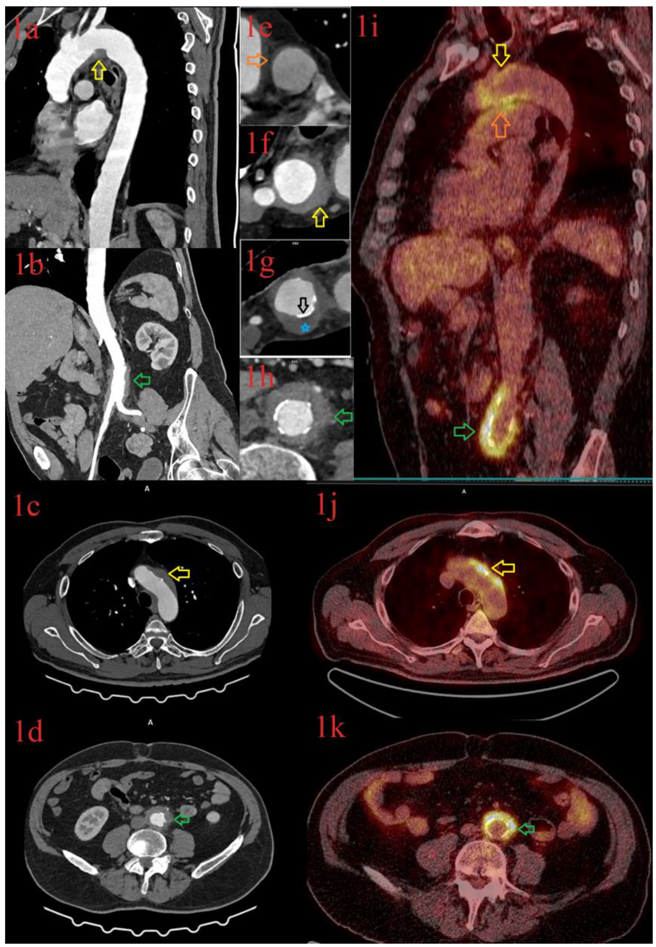
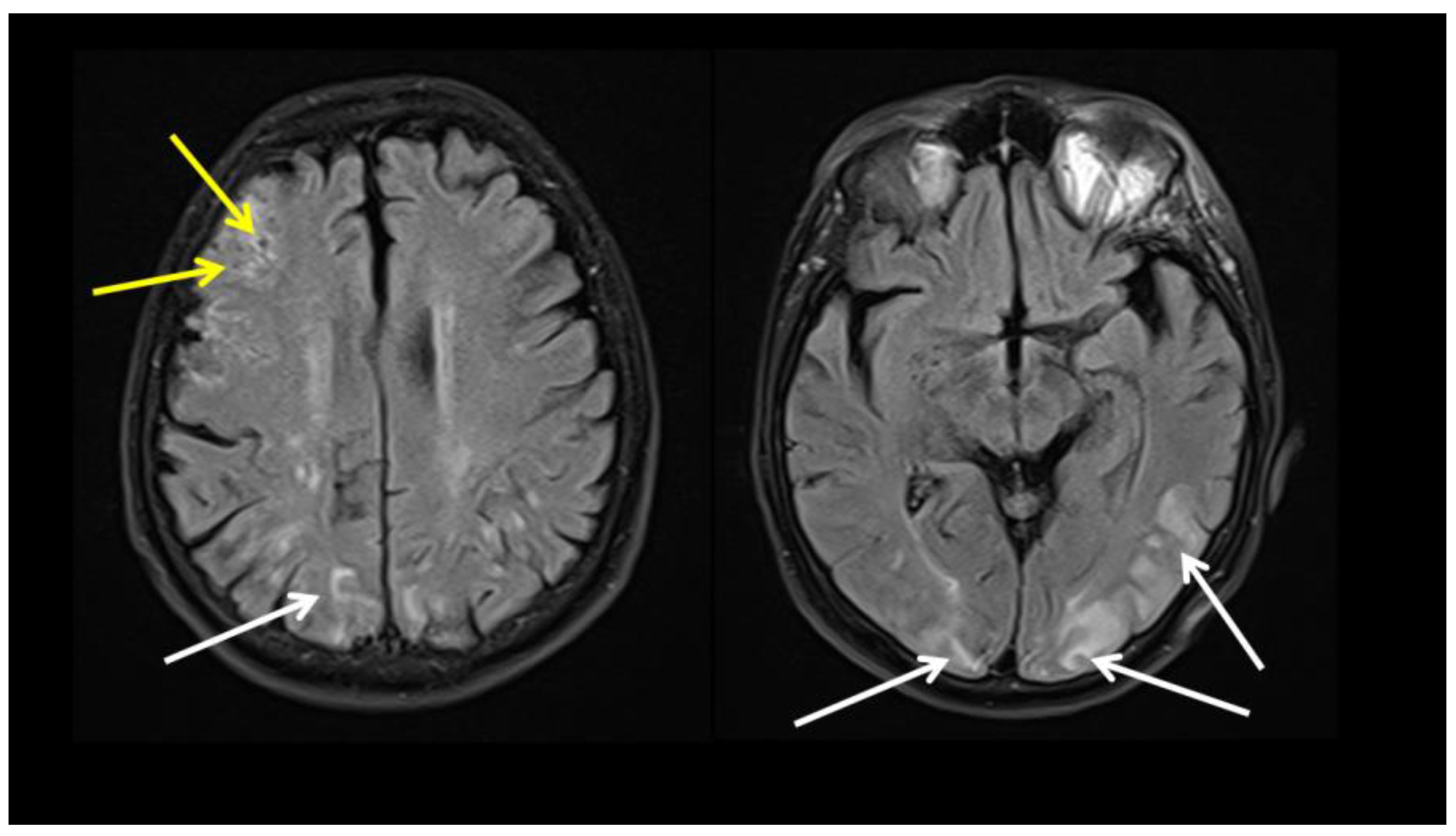
3.1.1. Patient 1
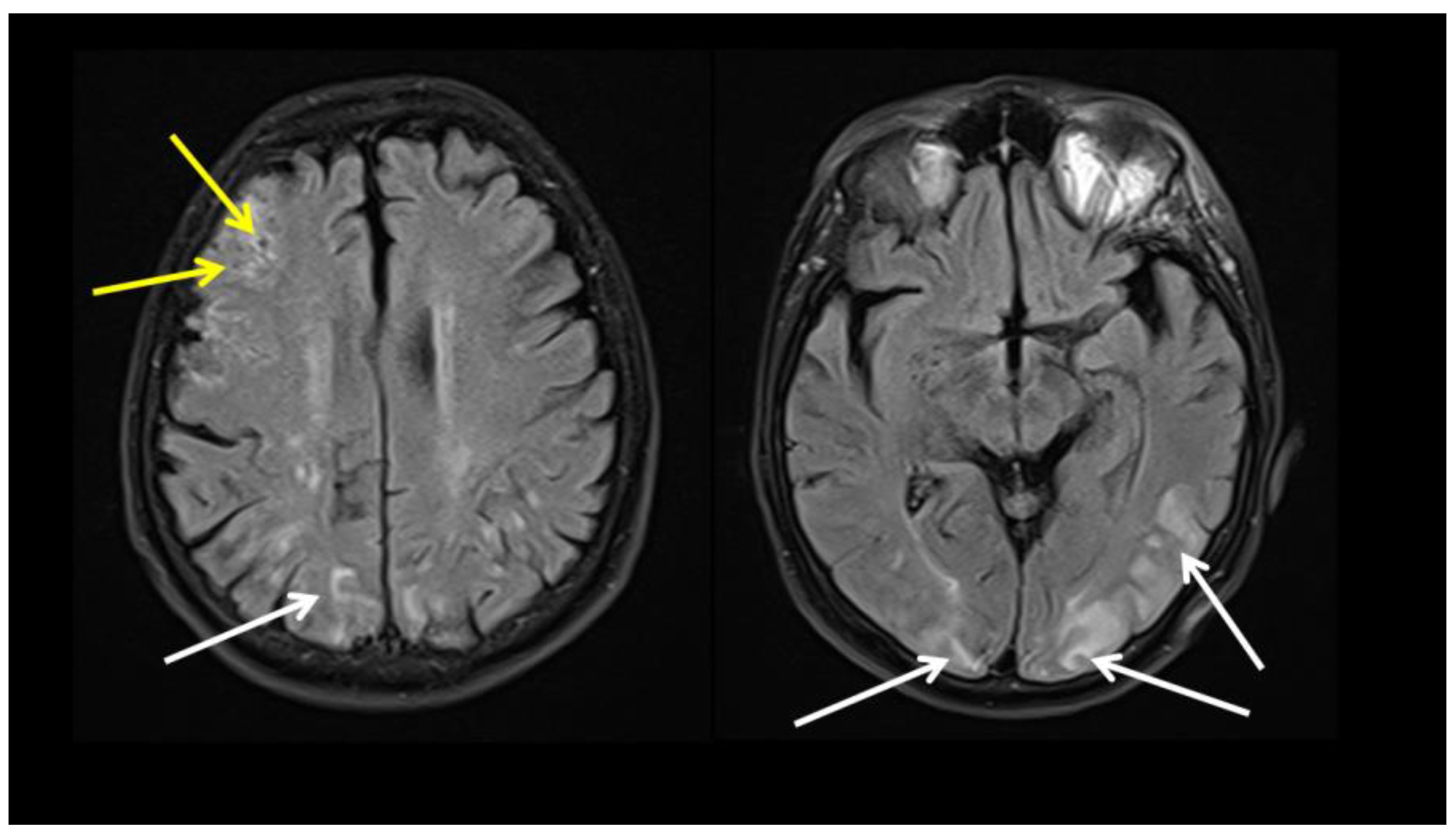
3.1.2. Patient 2
3.1.3. Patient 3
4. Discussion
5. Conclusions
Author Contributions
Funding
Institutional Review Board Statement
Informed Consent Statement
Data Availability Statement
Conflicts of Interest
References
- Guan, W.J.; Ni, Z.Y.; Hu, Y.; Liang, W.H.; Qu, C.Q.; He, J.X.; Liu, L.; Shan, H.; Lei, C.L.; Hui, D.S.C.; et al. Clinical Characteristics of coronavirus disease 2019 in China. N. Engl. J. Med. 2020, 382, 1708–1720. [Google Scholar] [CrossRef] [PubMed]
- Zacharias, H.; Dubey, S.; Koduri, G.; D’Cruz, D. Rheumatological complications of Covid 19. Autoimmun. Rev. 2021, 20, 102883. [Google Scholar] [CrossRef] [PubMed]
- Stjepanovic, M.I.; Stojanovic, M.R.; Stankovic, S.; Cvejic, J.; Dimic-Janjic, S.; Popevic, S.; Buha, I.; Belic, S.; Djurdjevic, N.; Stjepanovic, M.M.; et al. Autoimmune and immunoserological markers of COVID-19 pneumonia: Can they help in the assessment of disease severity. Front. Med. 2022, 9, 934270. [Google Scholar] [CrossRef] [PubMed]
- Sollini, M.; Ciccarelli, M.; Cecconi, M.; Aghemo, A.; Morelli, P.; Gelardi, F.; Chiti, A. Vasculitis changes in COVID-19 survivors with persistent symptoms: An [18F]FDG-PET/CT study. Eur. J. Nucl. Med. 2020, 48, 1460–1466. [Google Scholar] [CrossRef]
- Oda, R.; Inagaki, T.; Ishikane, M.; Hotta, M.; Shimomura, A.; Sato, M.; Nakamoto, T.; Akiyama, Y.; Yamamoto, K.; Minamimoto, R.; et al. Case of adult large vessel vasculitis after SARS-CoV-2 infection. Ann. Rheum. Dis. 2020, 82, e25. [Google Scholar] [CrossRef]
- Szydełko-Paśko, U.; Przeździecka-Dołyk, J.; Kręcicka, J.; Małecki, R.; Misiuk-Hojło, M.; Turno-Kręcicka, A. Arteritic Anterior Ischemic Optic Neuropathy in the Course of Giant Cell Arteritis After COVID-19. Am. J. Case Rep. 2021, 23, 1–5. [Google Scholar] [CrossRef] [PubMed]
- Jonathan, G.L.; Scott, F.M.; Matthew, K.D. A Case of Post-COVID-19–Associated Paracentral Acute Middle Maculopathy and Giant Cell Arteritis-Like Vasculitis. J. Neuro-Ophthalmol. 2021, 41, 351–355. [Google Scholar] [CrossRef] [PubMed]
- Ivanovic, J.; Stojanovic, M.; Ristic, A.; Sokic, D.; Vojvodic, N. Post-acute COVID-19 syndrome presented as a cerebral and systemic vasculitis: A case report. Acta Neurol. Belg. 2022, 122, 1377–1379. [Google Scholar] [CrossRef]
- Mendes, J.L.; Venade, G.; Manuel, P.; Matos, L.C.; Nascimento, E. Virus and Autoimmunity: Can SARS-CoV-2 Trigger Large Vessel Vasculitis? Eur. J. Case Rep. Intern. Med. 2022, 9, 003486. [Google Scholar]
- Nordborg, E.; Nordborg, C. Giant cell arteritis: Epidemiological clues to its pathogenesis and an update on its treatment. Rheumatology 2003, 42, 413–421. [Google Scholar] [CrossRef]
- Koster, M.J.; Matteson, E.L.; Warrington, K.J. Large-vessel giant cell arteritis: Diagnosis, monitoring and management. Rheumatology 2018, 57, ii32–ii42. [Google Scholar] [CrossRef] [PubMed]
- Weyand, C.M.; Hicok, K.C.; Hunder, G.G.; Goronzy, J.J. The HLA-DRB1 locus as a genetic component in giant cell arteritis. Mapping of a disease-linked sequence motif to the antigen binding site of the HLA-DR molecule. J. Clin. Investig. 1992, 90, 2355–2361. [Google Scholar] [CrossRef] [PubMed]
- Weyand, C.M.; Martinez-Taboada, V.M.; Goronzy, J.J. Current Ideas on the Role of HLA Molecules Diseases in Human. Clin. Immunol. Newsl. 1996, 16, 14–21. [Google Scholar] [CrossRef]
- Prieto-Peña, D.; Remuzgo-Martínez, S.; Ocejo-Vinyals, J.G.; Atienza-Mateo, B.; Genre, F.; Muñoz-Jimenez, A.; Ortiz-Sanjuán, F.; Romero-Yuste, S.; Moriano, C.; Galindez-Agirregoikoa, E.; et al. The presence of both HLA-DRB1[*]04:01 and HLA-B[*]15:01 increases the susceptibility to cranial and extracranial giant cell arteritis. Ann. Rheum. Dis. 2021, 39, 21–26. [Google Scholar] [CrossRef] [PubMed]
- Mackie, S.L.; Taylor, J.C.; Haroon-Rashid, L.; Martin, S.; Dasgupta, B.; Gough, A.; Green, M.; Hordon, L.; Jarrett, S.; Pease, C.T.; et al. Association of HLA-DRB1 amino acid residues with giant cell arteritis: Genetic association study, meta-analysis and geo-epidemiological investigation. Arthritis Res. Ther. 2015, 17, 195. [Google Scholar] [CrossRef]
- Gandhi, R.T.; Lynch, J.B.; del Rio, C. Mild or Moderate Covid-19. N. Engl. J. Med. 2020, 383, 1757–1766. [Google Scholar] [CrossRef]
- Knight, J.S.; Caricchio, R.; Casanova, J.-L.; Combes, A.J.; Diamond, B.; Fox, S.E.; Hanauer, D.A.; James, J.A.; Kanthi, Y.; Ladd, V.; et al. The intersection of COVID-19 and autoimmunity. J. Clin. Investig. 2021, 131, e154886. [Google Scholar] [CrossRef]
- Akiyama, M.; Ohtsuki, S.; Berry, G.J.; Liang, D.H.; Goronzy, J.J.; Weyand, C.M. Innate and Adaptive Immunity in Giant Cell Arteritis. Front. Immunol. 2021, 11, 621098. [Google Scholar] [CrossRef]
- Varga, Z.; Flammer, A.J.; Steiger, P.; Haberecker, M.; Andermatt, R.; Zinkernagel, A. Endothelial cell infection and endothelitis in COVID-19. Lancet 2020, 395, 1417–1418. [Google Scholar] [CrossRef]
- Aryal, B.; Kadakia, N.; Baniya, A.; Chowdhury, T.; Adhikari, S.; Gousy, N. Overlapping Symptoms of COVID-19 and Giant Cell Arteritis: The Need for a Higher Degree of Suspicion for Diagnostic Differentiation. Cureus 2022, 14, e25660. [Google Scholar] [CrossRef]
- Mehta, P.; Sattui, S.E.; Van Der Geest, K.S.; Brouwer, E.; Conway, R.; Putman, M.S.; Robinson, P.C.; Mackie, S.L. Giant Cell Arteritis and COVID-19: Similarities and Discriminators. A Systematic Literature Review. J. Rheumathol. 2021, 48, 1053–1059. [Google Scholar] [CrossRef] [PubMed]
- Riera-Marti, N.; Romani, J.; Calvet, J. SARS-CoV-2 infection triggering a giant cell arteritis. Med. Clin. 2021, 156, 253–254. [Google Scholar] [CrossRef] [PubMed]
- Weyand, C.; Goronzy, J.J. Medium- and Large-Vessel Vasculitis. N. Engl. J. Med. 2003, 349, 160–169. [Google Scholar] [CrossRef]
- Muratore, F.; Kermani, T.A.; Crowson, C.S.; Green, A.B.; Salvarani, C.; Matteson, E.L.; Warrington, K.J. Original article Large-vessel giant cell arteritis: A cohort study. Rheumatology 2015, 54, 463–470. [Google Scholar] [CrossRef]
- Hunder, G.G.; Bloch, D.A.; Michel, B.A.; Stevens, M.B.; Arend, W.P.; Calabrese, L.H.; Edworthy, S.M.; Fauci, A.S.; Leavitt, R.Y.; Lie, J.T.; et al. The American College of Rheumatology 1990 criteria for classicfication of giant cell arteritis. Arthritis Rheum. 1990, 33, 1122–1128. [Google Scholar] [CrossRef] [PubMed]
- Ponte, C.; Grayson, P.C.; Robson, J.C.; Suppiah, R.; Gribbons, K.B.; Judge, A.; Craven, A.; Khalid, S.; Hutchings, A.; Watts, R.A.; et al. 2022 American College of Rheumatology / EULAR classification criteria for giant cell arteritis. Ann. Rheum. Dis. 2022, 81, 1647–1653. [Google Scholar] [CrossRef]
- Hellmich, B.; Agueda, A.; Monti, S.; Buttgereit, F.; De Boysson, H.; Brouwer, E.; Cassie, R.; Cid, M.C.; Dasgupta, B.; Dejaco, C.; et al. 2018 Update of the EULAR recommendations for the management of large vessel vasculitis. Ann. Rheum. Dis. 2020, 79, 19–30. [Google Scholar] [CrossRef]
- Dejaco, C.; Ramiro, S.; Duftner, C.; Besson, F.L.; Bley, T.A.; Blockmans, D.; Brouwer, E.; Cimmino, M.A.; Clark, E.; Dasgupta, B.; et al. EULAR recommendations for the use of imaging in large vessel vasculitis in clinical practice. Ann. Rheum. Dis. 2018, 77, 636–643. [Google Scholar] [CrossRef]
- Dávila, C.S.; Fernández, J.P.S.; Grande, M.L.D.; Díaz, C.V.; Llana, B.F.; Fernández, N.M.; García, F.J.G. SARS-CoV-2 (COVID-19) pneumonia: Incidental finding on 18F-FDG PET/CT study for vasculitis diagnosis. Rev. Esp. Med. Nucl. Imagen Mol. 2021, 40, 251–252. [Google Scholar]
- Dhakal, P.; Khadka, S.; Clowes, J.A.; Chakinala, R.C. Aortitis in COVID-19. IDCases 2021, 24, e01063. [Google Scholar] [CrossRef]
- Carmona, F.D.; Martín, J.; González-Gay, M.A. Genetics of vasculitis. Curr. Opin. Rheumatol. 2015, 27, 10–17. [Google Scholar] [CrossRef] [PubMed]
- Dávila, C.S.; Fernández, J.P.S.; Grande, M.L.D.; Díaz, C.V.; Llana, B.F.; Fernández, N.M.; García, F.J.G. Analysis of the common genetic component of large-vessel vasculitides through a meta-Immunochip strategy. Sci. Rep. 2017, 7, 43953. [Google Scholar]
- Rauzy, O.; Fort, M.; Nourhashemi, F.; Alric, L.; Juchet, H.; Ecoiffier, M.; Abbal, M.; Adoue, D. Relation between HLA DRB1 alleles and corticosteroid resistance in giant cell arteritis. Ann. Rheum. Dis. 1998, 57, 380–382. [Google Scholar] [CrossRef] [PubMed]
- Carmona, F.D.; Martín, J.; A González-Gay, M. New insights into the pathogenesis of giant cell arteritis and hopes for the clinic. Expert Rev. Clin. Immunol. 2015, 12, 57–66. [Google Scholar] [CrossRef] [PubMed]
- González-Gay, M.A.; García-Porrúa, C.; Llorca, J.; Hajeer, A.H.; Brañas, F.; Dababneh, A.; González-Louzao, C.; Rodriguez-Gil, E.; Rodríguez-Ledo, P.; Ollier, W.E. Visual Manifestation of Giant Cell Arteritis. Medicine 2000, 79, 283–292. [Google Scholar] [CrossRef] [PubMed]
- Repac, J.; Mandić, M.; Lunić, T.; Božić, B.; Božić Nedeljković, B. Mining the capacity of human-associated microorganisms to trigger rheumatoid arthritis—A systematic immunoinformatics analysis of T cell epitopes. PLoS ONE 2021, 16, e0253918. [Google Scholar] [CrossRef]




| Author | Age/Sex | Clinical Presentation, Laboratory Findings | Timing of Symptoms after COVID-19 | Diagnosis | Treatment | Testing | Outcome |
|---|---|---|---|---|---|---|---|
| Oda R, et al., 2020 [5] | 73 years, male | Persistent spiking fever, elevated ESR and CRP | concomitantly | LV-GCA | NSAID | CTA, FDG PET-CT | Recovered without treatment |
| Riera-Marti N, et al., 2021 [22] | 50 years, male | High fever, headache, temporal artery thickening, TM joint pain | concomitantly | c/LV-GCA | No treatment | Doppler US FDG PET-CT | Recovered without treatment |
| Jonathan G, et al., 2021 [7] | 47 years, male | PAAM, headache, jaw claudication | 8 weeks | PAMM TAB–negative GCA | High dose CS Tocilizumab | Ophthalmic diagnostic tests, TAB | Improvement on treatment |
| Ivanovic J, et al., 2022 * [8] | 69 years, male | Headache, fever, elevated ESR, CRP, Fib, IL-6 | 6 weeks | LV-GCA Cerebral vasculitis | High dose CS, TPE Tocilizumab, IVIG, AZA | FDG PET CT Brain MRI | Improvement on treatment |
| Aryal B, et al., 2022 [20] | 72 years, female | Headache, blurred vision, transient vision loss, abdominal pain | 8 weeks | TAB-negative GCA | High dose CS, AZA, MTX | Clinical presentation Laboratory tests | Improvement on treatment |
| Szydełko-Paśko U, et al., 2022 [6] | 69 years, female | Vision loss [left eye] Headache | 2.5 weeks | AAION c-GCA | High dose CS, MTX | Ophthalmic diagnostic tests | Improvement In treatment |
Disclaimer/Publisher’s Note: The statements, opinions and data contained in all publications are solely those of the individual author(s) and contributor(s) and not of MDPI and/or the editor(s). MDPI and/or the editor(s) disclaim responsibility for any injury to people or property resulting from any ideas, methods, instructions or products referred to in the content. |
© 2023 by the authors. Licensee MDPI, Basel, Switzerland. This article is an open access article distributed under the terms and conditions of the Creative Commons Attribution (CC BY) license (https://creativecommons.org/licenses/by/4.0/).
Share and Cite
Stojanovic, M.; Barac, A.; Petkovic, A.; Vojvodic, N.; Odalovic, S.; Andric, Z.; Miskovic, R.; Jovanovic, D.; Dimic-Janjic, S.; Dragasevic, S.; et al. Large-Vessel Giant Cell Arteritis following COVID-19—What Can HLA Typing Reveal? Diagnostics 2023, 13, 484. https://doi.org/10.3390/diagnostics13030484
Stojanovic M, Barac A, Petkovic A, Vojvodic N, Odalovic S, Andric Z, Miskovic R, Jovanovic D, Dimic-Janjic S, Dragasevic S, et al. Large-Vessel Giant Cell Arteritis following COVID-19—What Can HLA Typing Reveal? Diagnostics. 2023; 13(3):484. https://doi.org/10.3390/diagnostics13030484
Chicago/Turabian StyleStojanovic, Maja, Aleksandra Barac, Ana Petkovic, Nikola Vojvodic, Strahinja Odalovic, Zorana Andric, Rada Miskovic, Dragana Jovanovic, Sanja Dimic-Janjic, Sanja Dragasevic, and et al. 2023. "Large-Vessel Giant Cell Arteritis following COVID-19—What Can HLA Typing Reveal?" Diagnostics 13, no. 3: 484. https://doi.org/10.3390/diagnostics13030484
APA StyleStojanovic, M., Barac, A., Petkovic, A., Vojvodic, N., Odalovic, S., Andric, Z., Miskovic, R., Jovanovic, D., Dimic-Janjic, S., Dragasevic, S., Raskovic, S., & Stjepanovic, M. I. (2023). Large-Vessel Giant Cell Arteritis following COVID-19—What Can HLA Typing Reveal? Diagnostics, 13(3), 484. https://doi.org/10.3390/diagnostics13030484

