Abstract
Pylephlebitis, defined as infective thrombophlebitis of the portal vein, is a rare condition with an incidence of 0.37–2.7 cases per 100,000 person-years, which can virtually complicate any intra-abdominal or pelvic infections that develop within areas drained by the portal venous circulation. The current systematic review aimed to investigate the etiology behind pylephlebitis in terms of pathogens involved and causative infective processes, and to report the most common symptoms at clinical presentation. We included 220 individuals derived from published cases between 1971 and 2022. Of these, 155 (70.5%) were male with a median age of 50 years. There were 27 (12.3%) patients under 18 years of age, 6 (2.7%) individuals younger than one year, and the youngest reported case was only 20 days old. The most frequently reported symptoms on admission were fever (75.5%) and abdominal pain (66.4%), with diverticulitis (26.5%) and acute appendicitis (22%) being the two most common causes. Pylephlebitis was caused by a single pathogen in 94 (42.8%) cases and polymicrobial in 60 (27.2%) cases. However, the responsible pathogen was not identified or not reported in 30% of the included patients. The most frequently isolated bacteria were Escherichia coli (25%), Bacteroides spp. (17%), and Streptococcus spp. (15%). The treatment of pylephlebitis consists initially of broad-spectrum antibiotics that should be tailored upon bacterial identification and continued for at least four to six weeks after symptom presentation. There is no recommendation for prescribing anticoagulants to all patients with pylephlebitis. However, they should be administered in patients with thrombosis progression on repeat imaging or persistent fever despite proper antibiotic therapy to increase the rates of thrombus resolution or decrease the overall mortality, which is approximately 14%.
1. Introduction
Pylephlebitis, defined as infective suppurative thrombosis of the portal vein, is a severe condition characterized by significant morbidity and mortality, which develops as a complication of intra-abdominal suppurative processes. Pylephlebitis was first described by William Osler in 1882, who reported the case of a 28-year old patient who died of complications of septic pylethrombosis [1]. The condition, universally fatal in the pre-antibiotic era [2], has become treatable in most cases due to the advent of new diagnostic/therapeutic strategies and increased awareness of the condition.
Due to the low incidence of pylephlebitis, no current randomized controlled trials or prospective studies describe the risk factors, diagnosis, and, most importantly, therapeutic strategies. Hence, the present systematic review aimed to investigate the etiology behind pylephlebitis in terms of pathogens involved and causative infective processes, and to report the most common symptoms at clinical presentation by analyzing data derived from case reports and series systematically as defined by Preferred Reporting Items for Systematic Reviews and Meta-Analyses (PRISMA) guidelines [3].
We performed a systematic review of the literature following the PRISMA guidelines [3] by searching the MedLine/Pubmed database for articles reporting cases of pylephlebitis using the following search terms: “septic portal vein thrombosis”, “pylephlebitis”, “suppurative portal vein thrombosis”, “portal pyemia”. All case reports and case series published in English from 1970 to 30 September 2022 were analyzed. We included all the reports in which a definitive diagnosis (PVT on imaging and positive cultures) or highly probable diagnosis (PVT on imaging and identifiable infectious focus) was present. We excluded those reports that did not include sufficient information or cases involving animals.
The final number of articles included was 201, which resulted in a total number of 220 patients [4,5,6,7,8,9,10,11,12,13,14,15,16,17,18,19,20,21,22,23,24,25,26,27,28,29,30,31,32,33,34,35,36,37,38,39,40,41,42,43,44,45,46,47,48,49,50,51,52,53,54,55,56,57,58,59,60,61,62,63,64,65,66,67,68,69,70,71,72,73,74,75,76,77,78,79,80,81,82,83,84,85,86,87,88,89,90,91,92,93,94,95,96,97,98,99,100,101,102,103,104,105,106,107,108,109,110,111,112,113,114,115,116,117,118,119,120,121,122,123,124,125,126,127,128,129,130,131,132,133,134,135,136,137,138,139,140,141,142,143,144,145,146,147,148,149,150,151,152,153,154,155,156,157,158,159,160,161,162,163,164,165,166,167,168,169,170,171,172,173,174,175,176,177,178,179,180,181,182,183,184,185,186,187,188,189,190,191,192,193,194,195,196,197,198,199,200,201,202,203,204] as shown in Figure 1. The yearly publication rates of the included records are displayed in Figure 2.
Figure 1.
Identification of studies via databases and registers following Preferred Reporting Items for Systematic Reviews and Meta-Analyses (PRISMA) guidelines.
Figure 2.
Yearly distribution of published case reports or case series involving pylephlebitis between 1971 and 2022.
2. Epidemiology and Etiology
Pylephlebitis has a low incidence of approximately 0.37–2.7 cases per 100,000 person-years [205,206]. Interestingly, the number of reported cases has increased over time (Figure 2), with only 43 patients (19.5%) reported between 1971 and 1999, 60 cases (27.3%) between 2000 and 2009, and 117 cases (53.2%) between 2010 and 2022. Of the 220 included individuals, 155 (70.5%) were male with a median age of 50 years, as reported in Table 1. There were 27 (12.3%) patients under 18 years of age, 6 (2.7%) individuals younger than 1 year, and the youngest reported case was only 20 days old. The diagnosis of liver cirrhosis was never reported in patients published before 2010 [207] but was present in approximately 4.9% of cases published between 2010 and 2022 [208].
Table 1.
Reported patients’ general characteristics, clinical presentation, mortality, detection of infective source, and pathogen isolation.
Pylephlebitis can virtually complicate any intra-abdominal or pelvic infections that develop within areas drained by the portal venous circulation. The portal vein usually originates from the union of the superior mesenteric vein with the splenic veins. It drains most of the gastrointestinal tract’s intra-abdominal portions, except the rectum’s lower part. The process behind pylephlebitis starts with localized thrombophlebitis of small veins surrounding an infected area, which then extend or migrate to the main branches of the portal vein.
The anatomy of the portal system explains why diverticulitis (26.5%) and acute appendicitis (22%) are the two most common causes of pylephlebitis. Patients with diverticulitis had a median age of 58 years, while patients with acute appendicitis had a median age of 22.5 years, suggesting that acute appendicitis is the most prevalent cause of pylephlebitis in younger patients, while diverticulitis is the most prevalent cause in elderly patients.
Contiguous infection can also lead to pylephlebitis, such as cholangitis/cholecystitis (3.5%) or pancreatitis (5.5%). Hepatic abscesses were found in 17 (8.5%) of cases. However, in these cases is challenging to determine whether hepatic abscesses are the cause or the consequence of pylephlebitis. It is worth highlighting that in 11.5% of cases, an apparent source of infection has not been identified or reported. Other less common causes of pylephlebitis are summarized in Table 1.
Previous studies have discussed the role of a hypercoagulable state in the onset of pylephlebitis. For example, in a case series of 44 patients, 18 (40.9%) presented a hypercoagulable state due to clotting factor deficiency, malignancy, or HIV infection [116,209]. In contrast, only 11% of patients tested for coagulation disorders were found to have a hereditary coagulation disorder [210].
Microbiology
Pylephlebitis was caused by a single pathogen in 94 (42.8%) cases and polymicrobial in 60 (27.2%) cases as shown in Table 1. A pathogen was not identified or not reported in 30% of the included cases. Previous studies reported positive blood cultures in 23–62.1% of cases [205,207,208]. Even though infections caused by multiple pathogens can present worse clinical outcomes [211], a recent study failed to demonstrate worse clinical course, duration of hospitalization, therapy, and outcomes in patients with polymicrobial infection [212]. In addition, Jevtic et al. reported that polymicrobial infection did not increase mortality risk [208].
The most frequently isolated bacteria were Escherichia coli (25%), Bacteroides spp. (17%), and Streptococcus spp. (15%). Previous studies with fewer included patients show conflicting results with the three species of bacteria isolated in equal numbers [205,206,207]. E. coli, in particular, is a commensal bacterium of the gastrointestinal system and is often isolated in patients with acute diverticulitis, thus resulting in a not surprisingly higher prevalence in pylephlebitis. Moreover, as reported in Table 1, pylephlebitis can be caused by fungal infections (3.5%), all caused by Candida spp., or parasitic infections (2%), caused by intestinal worms or amoebas.
3. Clinical Manifestation
The most frequently reported symptoms on admission were fever (75.5%) and abdominal pain (66.4%), as shown in Table 1. In a case series of 44 patients, all reported these two symptoms [209]. However, in a smaller series of 19 patients, 100% had a fever, while only 74% presented with abdominal pain. In another study of 67 individuals, 87% had abdominal pain, and 70% had a fever. Other common symptoms include nausea or vomiting (25.5%) and diarrhea (17.3%). Clinical signs may include right upper quadrant or generalized abdominal tenderness, hepatomegaly, and splenomegaly. Jaundice is reported in 12.7% of patients with pylephlebitis and is considered unusual in this clinical context unless there is concomitant cholangitis or liver abscesses. However, all these symptoms are common in intra-abdominal infections, which are the causative factor for the development of pylephlebitis, thus resulting in challenges to differentiate between symptoms caused by pylephlebitis or by the original infective process that caused pylephlebitis in the first place. Interestingly, in most of the reported cases, imaging leading to pylephlebitis diagnosis was performed to investigate the presence of intra-abdominal infective foci, with physicians not suspecting pylephlebitis and incidentally discovering portal vein involvement [208].
Laboratory Findings
Leukocytosis is a common finding (80–89.7%) in pylephlebitis [207,208], even if both a normal leucocyte count [44,48,65] and neutropenia [213] were reported. Besides, most patients show high C-Reactive Protein (CRP) and erythrocyte sedimentation rate (ESR), 90.9% and 85.7%, respectively [207,208]. Elevated serum transaminases are detected in 69–71.6% of individuals [207,208], together with three- to fourfold increases in alkaline phosphatase [2,41,98,213] or five- to tenfold increases in gamma-glutamyl transferase [86,98], that can be detected in up 40% of patients. Hyperbilirubinemia, with values of total bilirubin that could reach a six-fold increase, is present in 55–74.6% of patients [207,208]. Other common laboratory findings include anemia, hypoalbuminemia, and thrombocytopenia [207,208].
4. Diagnosis
Pylephlebitis diagnosis requires the confirmation of portal vein thrombosis in patients with fever and bacteremia [44]. The diagnosis is often delayed due to the rare incidence of pylephlebitis and presentation with nonspecific symptoms. Especially in the past, the diagnosis was made by laparotomic detection of portal vein thrombosis [67,72,85] or in postmortem studies [19,79,90]. However, due to the high accessibility of modern imaging techniques, portal vein thrombosis can be promptly detected.
4.1. Pathogen Identification
Cultures were positive in 70% of patients with pylephebitis, as reported in Table 1. However, the high rate of undetected or not reported data accounting for 30% of cases, suggests that negative blood cultures should not automatically rule out the diagnosis of pylephlebitis, especially in the presence of suppurative intra-abdominal processes and the new detection of portal vein thrombosis. Previous data showed significantly different bacteremia rates in approximately 42–62.1% of cases [205,207,208]. Consequently, blood cultures should be promptly obtained in any febrile patient with abdominal pain before starting antimicrobial therapy. However, blood culture sensitivity usually shows a maximum sensitivity of 60%, with results being laboratory dependent and available after several days. Alternative techniques, such as polymerase chain reactions (PCR) based on the prokaryote-specific 16s ribosomal RNA gene, can be used on whole blood to increase the detection rates of microorganisms in patients with bacteremia [214]. Despite there being no evidence of this technique being used in patients with pylephlebitis, it has been shown to increase the detection rates of microorganisms in patients with bacteremia [215,216]. Furthermore, in the presence of persistently negative blood cultures, pathogens can be isolated from the primary site of infection (e.g., abscesses, fluid collection, etc.).
4.2. Imaging Studies
The demonstration of thrombus in the portal vein is the central finding leading to a pylephlebitis diagnosis. Both computed tomography (CT) scanning and abdominal ultrasonography can detect the presence of thrombi in the portal vein as shown in Figure 3 and Figure 4. Ultrasonography can detect the presence of echogenic material in the portal vein lumen, which can be confirmed by flow alterations on Doppler analyses [2,213]. CT scan should be preferred because of its higher definition and the additional investigative ability to identify possible abdominal or pelvic infective foci [2,39,65]. According to a recent systematic review, which enrolled studies between 2010 and 2021, the diagnosis was determined with a CT scan in 89.3% of patients and an ultrasound examination in 38.8% of patients [208]. In contrast, a previous review which included studies before 2010, found that CT scan was used only in 51% of patients. Magnetic resonance imaging (MRI) [44,210], angiography [69,91,217], endoscopic ultrasound [81], or positron emission tomography (PET) [5,42] can also be used to demonstrate portal vein thrombosis; however, their application remains limited to selected cases.
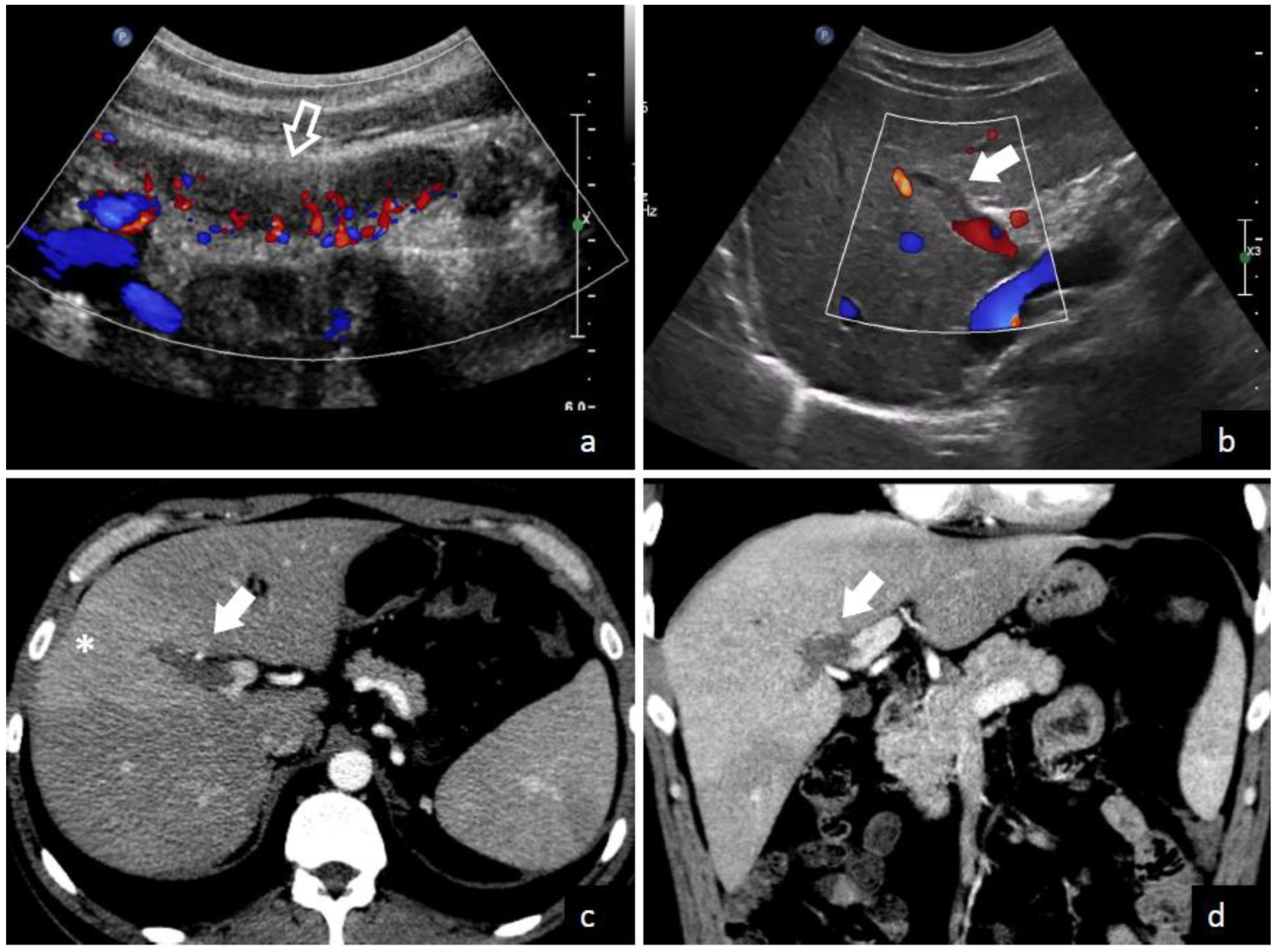
Figure 3.
A 35-year-old male with fever and severe abdominal pain was admitted to the emergency department of Trieste University Hospital. Ultrasound with color flow Doppler images (a,b) shows acute inflammation of the appendix (empty arrow in (a)) and echogenic material inside an intrahepatic branch of the portal vein without color flow signal (solid arrow), due to thrombosis. Contrast-enhanced CT images in axial (c) and coronal (d) plains confirm a filling defect in a right intrahepatic portal vein branch (solid arrows), with transient hepatic attenuation differences—THAD—(* in c) due to hepatic arterial compensatory flow in the corresponding segment.
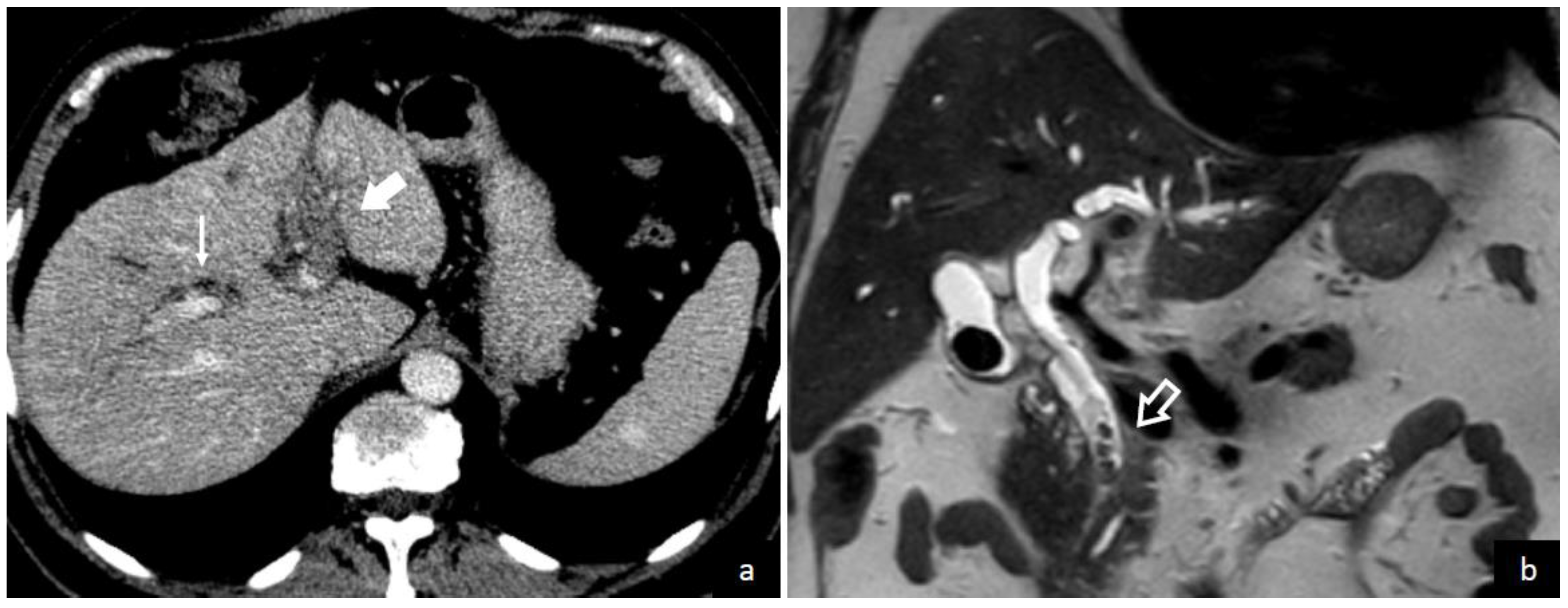
Figure 4.
A 68-year-old male was admitted to the emergency department of Trieste University Hospital with symptoms and laboratory tests consistent with hepato-cholangitis. Contrast-enhanced CT image (a) shows the absence of opacification of the left intrahepatic portal vein branch (solid arrow) due to portal vein thrombosis and mild biliary dilation (thin arrow). Coronal T2 weighted MR image (b) demonstrates multiple filling defects (empty arrow) in the distal common bile duct consistent with choledocholithiasis and biliary sludge.
In terms of thrombus extension, localization in the main portal vein branch was detected in 57.3%, with involvement of intrahepatic branches in approximately 39% of cases (portal vein right branch in 29.1% and left branch in 24.3% of cases) [207,208], with occlusive thrombosis reported in 25.2% of patients [208]. Extension to the superior mesenteric, splenic, and inferior mesenteric veins was detected in 38–42%, 12–12.6%, and 2–9.7% of cases, respectively [207,208]. Intravascular air can be visualized in the portal system of 18% of patients [207], and its detection may precede thrombus formation. In some cases, thrombosis may not initially be evident and may result in repeated imaging from 48 h [138] to two weeks [170] after symptoms onset.
5. Treatment
The treatment of pylephlebitis consists of broad-spectrum antibiotics, with the choice of empiric antibiotics depending on the most probable source of infection and the most likely involved organisms, regardless of the presence of bacteriemia. Pylephlebitis is often a polymicrobial infection, with gram-negative and gram-positive, aerobes and anaerobes bacteria, especially E. Coli, Streptococcus spp., and Bacteroides spp. According to previous reports, antibiotics were administered in almost all patients (94.6–100%) [205,207,208,210]. However, pylephlebitis being an uncommon infection, no randomized control studies have investigated the preferred empiric antibiotic regimens.
Patients should be initially treated with parental antibiotics. Appropriate antibiotic regimens are reported in Table 2 [218]. These wide-spectrum regimens should be adjusted upon culture results after antimicrobial susceptibility tests are available. The duration of antibiotic therapy should at least be continued from four to six weeks after symptom presentation, continuing intravenous administration until there is a significant clinical response [48]. The remaining therapy can be administered orally with a combination of metronidazole and fluoroquinolones.
Table 2.
Suggested broad-spectrum antibiotic regimens in pylephlebitis.
In addition to antibiotic therapy, no prospective randomized control trial establishes the utility of anticoagulants in pylephlebitis, with most of the available evidence originating from small observational studies. The rationale behind anticoagulation in pylephlebitis is to prevent thrombus extension and favor thrombus resolution. Moreover, some highly prevalent bacteria in pylephlebitis, such as Bacteroides spp., seem to promote coagulation by producing enzymes that degrade heparin or by promoting fibrin clotting by bacterial surface components [219]. Administration rates of anticoagulant therapy in pylephlebitis have increased in recent years, being prescribed approximately in 76.7–82% of patients [205,208], compared to previous lower rates ranging from 35% to 70% of patients [207,210]. Previous studies have found that anticoagulant administration can increase the rates of portal vein recanalization (58% vs. 21%) and reduce complications associated with chronic portal hypertension [205,207,210]. In addition, one report of 100 patients showed that anticoagulant therapy had lower mortality rates (6%) if compared to those without anticoagulant administration (22%) [207]. Similarly, Baril et al. reported that none of the patients treated with anticoagulants died compared to those who were not anticoagulated [209].
There is also no recommendation for prescribing anticoagulants in all patients with pylephlebitis [218]. However, they should be administered in patients with thrombosis progression on repeat imaging or persistent fever despite proper antibiotic therapy [218]. In addition, the presence of thrombosis extension beyond the portal vein main branch during the initial evaluation or confirmed hypercoagulable state are possible indications for anticoagulation [218]. No clear indications are provided in terms of the anticoagulation therapeutical approach. Usually, anticoagulation should be initiated with low-molecular-weight heparin (LMWH), and, if needed, the patient can be discharged by switching to an oral anticoagulant. The actual duration of anticoagulation therapy varies amongst studies, ranging from 128 to 143 days [205,208] to life-long treatment [116,195].
More invasive therapeutical approaches were performed in a relatively small portion of patients, including intraportal antibiotic administration [4,89], aspiration/drainages of pus [4,61,62,95,99], and interventional vascular procedures (such as thrombectomy or vascular bypass) [40,104,220].
6. Complications and Mortality
Thrombosis can persist, resolve, or result in a cavernous portal vein transformation characterized by veins forming within or around the thrombotic segment [117,142]. The primary complications of pylephlebites are caused by hematogenous dissemination of the pyogenic portal infection, causing metastatic abscesses. Pyogenic liver abscesses can complicate up to 37% of cases of pylephlebitis [2,102,104,207]. Other rarer sites include metastatic abscesses in the lung [145] and the brain [114].
Intestinal ischemia has also been rarely described, with one case of intestinal infarction requiring bowel resection [195,207]. Long-term complications include portal hypertension [207,213] with dilated splenic veins and the development of venous collaterals in the hepatoduodenal ligament [65].
As shown in Table 1, 28 patients (14%) of the 220 enrolled individuals died. Previous systematic reviews showed that mortality rates could range from 8.7% to 19% [205,207,208,210], with overall mortality < 10% for patients diagnosed after 2010 [208]. This significant decrease in mortality might suggest that the identification and treatment of pylephlebitis have improved over time. Sepsis has been found to be the cause of death in approximately 88.9% of patients [221], increasing the risk of death 17-fold [208]. Positive blood cultures were also found to be an independent risk factor for death (approximately 2.2-fold) [208]. These data confirm the fact that the primary therapy for pylephlebitis is related to antibiotic administration to prevent bacteremia and sepsis consequences.
7. Conclusions
As summarized in Figure 5, pylephlebitis is a rare condition with an incidence of 0.37–2.7 cases per 100,000 person-years, which can virtually complicate any intra-abdominal or pelvic infections that develop within areas drained by the portal venous circulation. It seems to affect mostly male individuals (70.5%) with a median age of 50. However, children and infants are not spared, considering that the youngest reported case was only 20 days old. The most frequently reported symptoms on admission were fever (75.5%) and abdominal pain (66.4%), with diverticulitis (26.5%) and acute appendicitis (22%) being the two most common causes. Pylephlebitis was caused by a single pathogen in 94 (42.8%) cases and polymicrobial in 60 (27.2%) cases. However, any pathogen was not identified or not reported in 30% of the included patients. The most frequently isolated bacteria were Escherichia coli (25%), Bacteroides spp. (17%), and Streptococcus spp. (15%). The imaging test of choice is abdominal contrast-enhanced CT. The treatment of pylephlebitis consists initially of broad-spectrum antibiotics that should be tailored upon bacterial identification and continued for at least four to six weeks after symptom presentation. There is no recommendation for prescribing anticoagulants to all patients with pylephlebitis. However, they should be administered in patients with thrombosis progression on repeat imaging or persistent fever despite proper antibiotic therapy to increase the rates of thrombus resolution or decrease the overall mortality, which is approximately 14%. Sepsis was the cause of death in 88.9% of cases, thus implying that prompt treatment is imperative.
Figure 5.
Summary of main findings on pylephlebitis in terms of incidence, pathogens, symptoms, underlying cause, and treatment.
Author Contributions
Conceptualization, L.F., S.D.B., P.M., L.S.C. and M.G.; formal analysis, L.F., M.G.; investigation, L.F., S.D.B., P.M., L.S.C. and M.G.; data curation, L.S.C.; writing—original draft preparation, L.S.C. and M.G.; writing—review and editing, L.F., S.D.B., P.M., L.S.C. and M.G.; supervision, L.S.C. and M.G.; project administration, L.S.C. and M.G. All authors have read and agreed to the published version of the manuscript.
Funding
This research received no external funding.
Institutional Review Board Statement
Not applicable.
Informed Consent Statement
Not applicable.
Data Availability Statement
Data are available online from each case report used in the analysis (check references).
Conflicts of Interest
The authors declare no conflict of interest.
References
- Osler, W. Case of Obliteration of the Portal Vein (Pylephlebitis Adhesiva). J. Anat. Physiol. 1882, 16, 208. [Google Scholar] [PubMed]
- Saxena, R.; Adolph, M.; Ziegler, J.R.; Murphy, W.; Rutecki, G.W. Pylephlebitis: A case report and review of outcome in the antibiotic era. Am. J. Gastroenterol. 1996, 91, 1251–1253. [Google Scholar] [PubMed]
- Page, M.J.; McKenzie, J.E.; Bossuyt, P.M.; Boutron, I.; Hoffmann, T.C.; Mulrow, C.D.; Shamseer, L.; Tetzlaff, J.M.; Akl, E.A.; Brennan, S.E.; et al. The PRISMA 2020 statement: An updated guideline for reporting systematic reviews. BMJ 2021, 372, n71. [Google Scholar] [CrossRef]
- Takahashi, H.; Sakata, I.; Adachi, Y. Treatment of portal vein septic thrombosis by infusion of antibiotics and an antifungal agent into portal vein and superior mesenteric artery: A case report. Hepatogastroenterology 2003, 50, 1133–1135. [Google Scholar]
- Mannaerts, L.; Bleeker-Rovers, C.P.; Koopman, M.; Punt, C.J.A.; Van Herpen, C.M.L. Pylephlebitis after a duodenal ulcer in a patient with metastasised colon carcinoma treated with chemotherapy and bevacizumab: A case report. Neth. J. Med. 2009, 67, 69–71. [Google Scholar] [PubMed]
- Chau, T.N.; Loke, T.K.L.; Leung, V.K.S.; Law, S.T.; Lai, M.H.Y.; Ho, Y.W. Hepatic portal venous gas complicating septic thrombophlebitis of the superior mesenteric vein. Hong Kong Med. J. 2007, 13, 69–72. [Google Scholar] [PubMed]
- van de Wauwer, C.; Irvin, T.T. Pylephlebitis due to perforated diverticulitis. Acta Chir. Belg. 2005, 105, 229–230. [Google Scholar] [CrossRef]
- Aggarwal, S.; Mathur, N.B.; Garg, A. Portal vein thrombosis complicating neonatal hepatic abscess. Indian Pediatr. 2003, 40, 997–1001. [Google Scholar]
- Pitcher, R.; McKenzie, C. Simultaneous ultrasound identification of acute appendicitis, septic thrombophlebitis of the portal vein and pyogenic liver abscess. South Afr. Med. J. 2003, 93, 426–428. [Google Scholar]
- Stitzenberg, K.B.; Piehl, M.D.; Monahan, P.E.; Phillips, J.D. Interval laparoscopic appendectomy for appendicitis complicated by pylephlebitis. J. Soc. Laparosc. Robot. Surg. 2006, 10, 108–113. [Google Scholar]
- de Jong, I.M.; Muller, M.C.A.; Peterson, G.M.; Polle, S.W. An uncommon cause of portal vein thrombosis. Neth. J. Med. 2013, 71, 431. [Google Scholar] [PubMed]
- Mailleux, P.; Maldague, P.; Coulier, B. Pylephlebitis complicating peridiverticulitis without hepatic abscess: Early detection with contrast-enhanced ct of the abdomen. J. Belg. Soc. Radiol. 2012, 95, 13–14. [Google Scholar] [CrossRef]
- Tulsidas, H.; Ong, Y.Y.; Chan, K.C. Aeromonas hydrophila bacteraemia and portal pyaemia. Singapore Med. J. 2008, 49, 346–348. [Google Scholar] [PubMed]
- Güz, G.; Yegyn, Z.A.; Dogan, I.; Kizel, K.; Bali, M.; Sindel, Ş. Portal vein thrombosis and liver abscess due to Lactococcus lactis. Turkis J. Gastroenterol. 2006, 17, 144–147. [Google Scholar]
- Ferkolj, I.; Vrh-Jermancic, J.; Štabuc, B. Fatal hemorrhage due to thrombosis and rupture of the portal vein and hepatic artery. Wien. Klin. Wochenschr. 2009, 121, 537–539. [Google Scholar] [CrossRef] [PubMed]
- Watanabe, H.; Muguruma, T.; Idoguchi, K.; Matsuoka, T. Percutaneous drainage for suppurative pylethrombophlebitis developing in a patient with chronic pancreatitis. J. Gastroenterol. 2007, 42, 589–592. [Google Scholar] [CrossRef]
- Ibiş, M.; Odemiş, B.; Başar, O.; Cakal, B.; Beyazt, F.; Köklü, S. Postpartum severe portal vein thrombosis and pyogenic liver abscess. J. Clin. Gastroenterol. 2005, 39, 646. [Google Scholar] [CrossRef]
- von Bertele, M.J. Late presentation of portal vein thrombosis as a complication of appendicitis. J. R. Army Med. Corps 1993, 139, 135–136. [Google Scholar] [CrossRef]
- Knockaert, D.; Robaeys, G.; Cox, E.; Marchal, G. Suppurative pylethrombosis: A changing clinical picture. Gastroenterology 1989, 97, 1028–1030. [Google Scholar] [CrossRef]
- Castillo, M.; Murphy, B. Septic portal vein thrombophlebitis: Computed tomography appearance. Case report. Comput. Radiol. 1986, 10, 289–292. [Google Scholar] [CrossRef]
- Walsh, M.; Moriarity, J.; Peterson, J.; Friend, G.; Chodock, R.; Rogan, M. Portal Venous Thrombosis in a Backpacker. Phys. Sportsmed 1996, 24, 75–81. [Google Scholar] [CrossRef]
- Díaz-Cuervo, F.; Posada-Calderon, L.; Ramirez-Rodríguez, N.; Perdomo, C.F.; Duran-Rehbein, G.A. Pylephlebitis with splenic abscess following transrectal prostate biopsy: Rare complications of intra-abdominal infection. J. Surg. Case Rep. 2017, 2017, rjw075. [Google Scholar] [CrossRef] [PubMed]
- Jadrijević, S.; Sef, D.; Kocman, B.; Mrzljak, A.; Matasic, H.; Škegro, D. Right hepatectomy due to portal vein thrombosis in vasculobiliary injury following laparoscopic cholecystectomy: A case report. J. Med. Case Rep. 2014, 8, 412. [Google Scholar] [CrossRef] [PubMed]
- Pohl, J.F.; Murarka, P.; Farrell, M.K.; Bezerra, J. Insights. Pylephlebitis. J. Pediatr. 1999, 135, 529. [Google Scholar] [CrossRef] [PubMed]
- Slovis, T.L.; Haller, J.O.; Cohen, H.; Berdon, W.E.; Watts, F.B. Complicated appendiceal inflammatory disease in children: Pylephlebitis and liver abscess. Radiology 1989, 171, 823–825. [Google Scholar] [CrossRef] [PubMed]
- Knobel, B.; Sommer, I.; Menashes, Z. A rare presentation of systemic salmonellosis. Infection 1985, 13, 70–72. [Google Scholar] [CrossRef] [PubMed]
- Doklestić, K.; Dobrić, M.; Mijović, K.; Mišković, B.; Maričić, B.; Vasin, D. Case report of falciform ligament abscess-The importance of early diagnosis. Radiol. Case Rep. 2022, 17, 4608–4612. [Google Scholar] [CrossRef] [PubMed]
- Nasir, S.A.; Chambers, E.; Wojkiewicz, S. Pylephlebitis With Splenic and Mesenteric Vein Thrombosis in a Patient With Diverticulitis. Cureus 2022, 14, e28524. [Google Scholar] [CrossRef] [PubMed]
- Dalmau, M.; Petrola, C.; Lopez, P.; Vilallonga, R.; de Gordejuela, A.G.R.; Armengol, M. A case of pylephlebitis complicating an acute appendicitis: Uncommon cholangitis-like situation. Int. J. Surg. Case Rep. 2022, 99, 107657. [Google Scholar] [CrossRef]
- Mohammadian, M.; Rath, P.; Dikhtyar, A.; Jesani, S.; Alyacoub, R. Portal Vein Thrombosis Associated With Fusobacterium nucleatum Bacteremia: A Rare Abdominal Variant of Lemierre’s Syndrome. Cureus 2022, 14, e27918. [Google Scholar] [CrossRef]
- Ali, J.S.; Kinden, R.H.; Emsley, J.G. A Case of Septic Portal Vein Thrombosis in a 71-Year-Old Female. Cureus 2022, 14, e27256. [Google Scholar] [CrossRef] [PubMed]
- Tsuji, R.; Motohashi, I.; Suyama, Y. Pylephlebitis due to Listeria monocytogenes. BMJ Case Rep. 2022, 15, e250014. [Google Scholar] [CrossRef]
- Yoshikawa, S.; Ueda, T.; Fujiwara, T. Use of intravascular hypo- and hyper-attenuation on non-contrast-enhanced computed tomography in diagnosing acute septic thrombophlebitis. J. Radiol. Case Rep. 2022, 16, 1–14. [Google Scholar] [CrossRef] [PubMed]
- Trad, G.; Sheikhan, N.; Nguyen, A.; Valenta, J.; Iraninezhad, H. Portal Vein Thrombosis and Pyogenic Liver Abscess With Concomitant Bacteroides Bacteremia in a Patient With COVID-19 Infection: A Case Report and Brief Review. J. Investig. Med. High Impact Case Rep. 2022, 10. [Google Scholar] [CrossRef]
- Mehta, S.J.; Malhotra, S.; Panwar, A.; Sibal, A. Complicated Pylephlebitis Secondary to Perforated Appendicitis in an Adolescent. J. Indian Assoc. Pediatr. Surg. 2022, 27, 115–117. [Google Scholar] [CrossRef] [PubMed]
- Adidam, S.; Leys, L.; Mahgoub, S. An Interesting Case of Klebsiella Pneumoniae Pylephlebitis. Cureus 2022, 14, e21297. [Google Scholar] [CrossRef] [PubMed]
- Talwar, D.; Acharya, S.; Shukla, S.; Kumar, S.; Annadatha, A. Pylephlebitis With Hepatic Abscess Complicating a Case of Acute Pancreatitis in a Young Male: Startling Complication of Intra-Abdominal Sepsis. Cureus 2022, 14, e21288. [Google Scholar] [CrossRef]
- Abbas, M.; Constantin, M.I.; Narendra, A. Pylephlebitis Caused by Fusobacterium nucleatum in a Septuagenarian Healthy Caucasian Male: Atypical Presentation of Lemierre’s Syndrome. Case Rep. Infect. Dis. 2022, 2022, 5160408. [Google Scholar] [CrossRef]
- Balthazar, E.J.; Gollapudi, P. Septic thrombophlebitis of the mesenteric and portal veins: CT imaging. J. Comput. Assist. Tomogr. 2000, 24, 755–760. [Google Scholar] [CrossRef]
- Gasparri, M.G.; Pipinos, I.I.; Bleza, D.A.; Shepard, A.D. Pylephlebitis secondary to intestinal ischemia. J. Am. Coll. Surg. 2000, 190, 265. [Google Scholar] [CrossRef]
- Sakamoto, H.; Suga, M.; Ozeki, I.; Kobayashi, T.; Sugaya, T.; Sasaki, Y.; Azuma, N.; Itoh, F.; Sakamoto, S.-I.; Yachi, A.; et al. Subcapsular hematoma of the liver and pylethrombosis in the setting of cholestatic liver injury. J. Gastroenterol. 1996, 31, 880–884. [Google Scholar] [CrossRef] [PubMed]
- Bleeker-Rovers, C.P.; Jager, G.; Tack, C.J.; Van Der Meer, J.W.M.; Oyen, W.J.G. F-18-fluorodeoxyglucose positron emission tomography leading to a diagnosis of septic thrombophlebitis of the portal vein: Description of a case history and review of the literature. J. Intern. Med. 2004, 255, 419–423. [Google Scholar] [CrossRef]
- Arakura, N.; Ozaki, Y.; Yamazaki, S.; Ueda, K.; Maruyama, M.; Chou, Y.; Kodama, R.; Takayama, M.; Hamano, H.; Tanaka, E.; et al. Abscess of the round ligament of the liver associated with acute obstructive cholangitis and septic thrombosis. Intern. Med. 2009, 48, 1885–1888. [Google Scholar] [CrossRef]
- Dean, J.W.; Trerotola, S.O.; Harris, V.J.; Snidow, J.J.; Hawes, D. Percutaneous management of suppurative pylephlebitis. J. Vasc. Interv. Radiol. 1995, 6, 585–588. [Google Scholar] [CrossRef] [PubMed]
- Maeshima, K.; Ishii, K.; Inoue, M.; Himeno, K.; Seike, M. Behçet’s disease complicated by multiple aseptic abscesses of the liver and spleen. World J. Gastroenterol. 2013, 19, 3165–3168. [Google Scholar] [CrossRef] [PubMed]
- Huurman, V.A.; Visser, L.G.; Steens, S.C.; Terpstra, O.T.; Schaapherder, A.F. Persistent portal venous gas. J. Gastrointest. Surg. 2006, 10, 783–785. [Google Scholar] [CrossRef]
- Drabick, J.J.; Landry, C.F.J. Suppurative pylephlebitis. South Med. J. 1991, 84, 1396–1398. [Google Scholar] [CrossRef]
- Plemmons, R.M.; Dooley, D.P.; Longfield, R.N. Septic thrombophlebitis of the portal vein (pylephlebitis): Diagnosis and management in the modern era. Clin. Infect. Dis. 1995, 21, 1114–1120. [Google Scholar] [CrossRef]
- Soo, R.; Gosbell, I.; Gallo, J.; Pokorny, C.S. Septic portal vein thrombosis due to Fusobacterium necrophorum. Aust. N. Z. J. Med. 1999, 29, 569–570. [Google Scholar] [CrossRef]
- Tsao, Y.-T.; Lin, S.-H.; Cheng, C.-J.; Chang, F.-Y. Pylephlebitis associated with acute infected choledocholithiasis. Am. J. Med. Sci. 2006, 332, 85–87. [Google Scholar] [CrossRef]
- Palacios, E.J.; White, H.J.; Read, R.C. Suppurative pylephlebitis with multiple liver abscesses secondary to incarcerated incisional abdominal hernia. Report of one case. Review of literature. J. Ark. Med. Soc. 1971, 68, 73–74. [Google Scholar]
- Gold, R.P.; Seaman, W.B. Splenic flexure carcinoma as a source of hepatic portal venous gas. Radiology 1977, 122, 329–330. [Google Scholar] [CrossRef]
- Peters, T.G.; Locke, J.R.; Weight, G.R. Suppurative pylephlebitis caused by toothpick perforation. South Med. J. 1988, 81, 414–415. [Google Scholar] [CrossRef]
- Kasper, D.L.; Sahani, D.; Misdraji, J. Case records of the Massachusetts General Hospital. Case 25-2005. A 40-year-old man with prolonged fever and weight loss. N. Engl. J. Med. 2005, 353, 713–722. [Google Scholar] [CrossRef] [PubMed]
- Mendez-Sanchez, N.; Sánchez-Gómez, H.; Rojas, E.; Uribe, M. Pylephlebitis of portal venous system associated with urinary infection. Dig. Dis. Sci. 2003, 48, 834–836. [Google Scholar] [CrossRef] [PubMed]
- Kim, D.Y.; Sedlack, R.E.; Brandhagen, D.J.; Nyberg, S.L. Late presentation of pylephlebitis after orthotopic liver transplantation. Liver Transplant. 2003, 9, 776–777. [Google Scholar] [CrossRef]
- Tandon, R.; Davidoff, A.; Worthington, M.G.; Ross, J.J. Pylephlebitis after CT-guided percutaneous liver biopsy. AJR Am. J. Roentgenol. 2005, 184, S70–S72. [Google Scholar] [CrossRef] [PubMed]
- Wireko, M.; Berry, P.A.; Brennan, J.; Aga, R. Unrecognized pylephlebitis causing life-threatening septic shock: A case report. World J. Gastroenterol. 2005, 11, 614–615. [Google Scholar] [CrossRef] [PubMed]
- De Roover, A.; Detry, O.; Coimbra, C.; Hamoir, E.; Honoré, P.; Meurisse, M. Pylephlebitis of the portal vein complicating intragastric migration of an adjustable gastric band. Obes. Surg. 2006, 16, 369–371. [Google Scholar] [CrossRef]
- Wakisaka, M.; Mori, H.; Kiyosue, H.; Kamegawa, T.; Uragami, S. Septic thrombosis of the portal vein due to peripancreatic ligamental abscess. Eur. Radiol. 1999, 9, 90–92. [Google Scholar] [CrossRef]
- Pelsang, R.E.; Johlin, F.; Dhadha, R.; Bogdanowicz, M.; Schweiger, G.D. Management of suppurative pylephlebitis by percutaneous drainage: Placing a drainage catheter into the portal vein. Am. J. Gastroenterol. 2001, 96, 3192–3194. [Google Scholar] [CrossRef]
- Nouira, K.; Bedioui, H.; Azaiez, O.; Belhiba, H.; Ben Messaoud, M.; Ksantini, R.; Jouini, M.; Menif, E. Percutaneous drainage of suppurative pylephlebitis complicating acute pancreatitis. Cardiovasc. Interv. Radiol. 2007, 30, 1242–1244. [Google Scholar] [CrossRef] [PubMed]
- Ajzen, S.A.; Gibney, R.G.; Cooperberg, P.L.; Scudamore, C.H.; Miller, R.R. Enterovenous fistula: Unusual complication of Crohn disease. Radiology 1988, 166, 745–746. [Google Scholar] [CrossRef]
- Aguas, M.; Bastida, G.; Nos, P.; Beltrán, B.; Grueso, J.L.; Grueso, J. Septic thrombophlebitis of the superior mesenteric vein and multiple liver abscesses in a patient with Crohn’s disease at onset. BMC Gastroenterol. 2007, 7, 22. [Google Scholar] [CrossRef] [PubMed]
- Farin, P.; Paajanen, H.; Miettinen, P. Intraoperative US diagnosis of pylephlebitis (portal vein thrombosis) as a complication of appendicitis: A case report. Abdom. Imaging 1997, 22, 401–403. [Google Scholar] [CrossRef]
- Chang, Y.S.; Min, S.Y.; Joo, S.H.; Lee, S.-H. Septic thrombophlebitis of the porto-mesenteric veins as a complication of acute appendicitis. World J. Gastroenterol. 2008, 14, 4580–4582. [Google Scholar] [CrossRef]
- Cambria, R.P.; Margolies, M.N. Hepatic portal venous gas in diverticulitis: Survival in a steroid-treated patient. Arch. Surg. 1982, 117, 834–835. [Google Scholar] [CrossRef]
- Rodning, C.B.; Williams, L. Suppurative pylephlebitis due to pseudodiverticulosis coli. South Med. J. 1984, 77, 1164–1167. [Google Scholar] [CrossRef] [PubMed]
- Witte, C.L.; Brewer, M.L.; Witte, M.H.; Pond, G.B. Protean manifestations of pylethrombosis. A review of thirty-four patients. Ann. Surg. 1985, 202, 191–202. [Google Scholar] [CrossRef]
- Gage, T.P.; Eagan, J.; Gagnier, M. Diverticulitis complicated by candidal pylephlebitis. South Med. J. 1985, 78, 1265–1266. [Google Scholar] [CrossRef]
- Topiel, M.S.; Simon, G.L. Peptococcaceae bacteremia. Diagn. Microbiol. Infect. Dis. 1986, 4, 109–117. [Google Scholar] [CrossRef]
- Draghetti, M.J.; Salvo, A.F. Gas in the mesenteric veins as a nonfatal complication of diverticulitis: Report of a case. Dis. Colon. Rectum. 1999, 42, 1497–1498. [Google Scholar] [CrossRef] [PubMed]
- Liappis, A.P.; Roberts, A.D.; Simon, G.L.; Schwartz, A.M. Thrombosis and infection: A case of transient anti-cardiolipin antibody associated with pylephlebitis. Am. J. Med. Sci. 2003, 325, 365–368. [Google Scholar] [CrossRef] [PubMed]
- El Braks, R.; Harnois, F.; Boutros, N.; Fallik, D.; Roudie, J.; Smadja, C.; De Laveaucoupet, J.; Chaput, J.-C.; Naveau, S.; Mathurin, P. Mesenteric adenitis and portal vein thrombosis due to Fusobacterium nucleatum. Eur. J. Gastroenterol. Hepatol. 2004, 16, 1063–1066. [Google Scholar] [CrossRef]
- Dourakis, S.P.; Tsochatzis, E.; Alexopoulou, A.; Archimandritis, A.J. Pylephlebitis complicating silent diverticulitis. Lancet 2006, 368, 422. [Google Scholar] [CrossRef]
- Sellner, F.; Sobhian, B.; Baur, M.; Sellner, S.; Horvath, B.; Mostegel, M.; Karner, J.; Stättner, S. Intermittent hepatic portal vein gas complicating diverticulitis--a case report and literature review. Int. J. Color. Dis. 2007, 22, 1395–1399. [Google Scholar] [CrossRef] [PubMed]
- Mohammed, A.H.; Khot, U.P.; Thomas, D. Portal venous gas--case report and review of the literature. Anaesthesia 2007, 62, 400–404. [Google Scholar] [CrossRef]
- Jaber, M.R.; Holland, C. Septic pylephlebitis mimicking biliary obstruction. Am. J. Gastroenterol. 2008, 103, 807–808. [Google Scholar] [CrossRef]
- Perez-Cruet, M.J.; Grable, E.; Drapkin, M.S.; Jablons, D.M.; Cano, G. Pylephlebitis associated with diverticulitis. South Med. J. 1993, 86, 578–580. [Google Scholar] [CrossRef]
- Cheong, H.J.; Woo, H.J.; Kim, W.J.; Kim, M.J.; Lee, C.H.; Park, S.C.; Lim, H.E. Pylephlebitis associated with appendicitis. Korean J. Intern. Med. 1999, 14, 73–76. [Google Scholar] [CrossRef]
- Wildi, S.M.; Wallace, M.B.; Hunter, B.; Noone, T.C.; Hoffman, B.J. EUS diagnosis of an unusual case of pylephlebitis mimicking metastatic pancreatic cancer. Dig. Dis. Sci. 2005, 50, 2255–2258. [Google Scholar] [CrossRef] [PubMed]
- Ng, S.S.-M.; Yiu, R.Y.-C.; Lee, J.F.-Y.; Li, J.C.-M.; Leung, K.-L. Portal venous gas and thrombosis in a Chinese patient with fulminant Crohn’s colitis: A case report with literature review. World J. Gastroenterol. 2006, 12, 5582–5586. [Google Scholar] [CrossRef]
- Nobili, C.; Uggeri, F.; Romano, F.; Degrate, L.; Caprotti, R.; Perego, P.; Franciosi, C. Pylephlebitis and mesenteric thrombophlebitis in sigmoid diverticulitis: Medical approach, delayed surgery. Dig. Liver Dis. 2007, 39, 1088–1090. [Google Scholar] [CrossRef] [PubMed]
- Waxman, B.P.; Cavanagh, L.L.; Nayman, J. Suppurative pyephlebitis and multiple hepatic abscesses with silent colonic diverticulitis. Med. J. Aust. 1979, 2, 376–378. [Google Scholar] [CrossRef] [PubMed]
- Hall, R.I.; Venables, C.W.; Lendrum, R. ERCP diagnosis of multiple hepatic abscesses due to portal pylephlebitis. Br. J. Surg. 1985, 72, 439. [Google Scholar] [CrossRef] [PubMed]
- Joly, V.; Belmatoug, N.; Sibert, A.; Carbon, C.; Yeni, P. Septic thrombophlebitis of the portal vein. Clin. Infect. Dis. 1996, 23, 417–418. [Google Scholar] [CrossRef]
- Baddley, J.W.; Singh, D.; Correa, P.; Persich, N.J. Crohn’s disease presenting as septic thrombophlebitis of the portal vein (pylephlebitis): Case report and review of the literature. Am. J. Gastroenterol. 1999, 94, 847–849. [Google Scholar] [CrossRef]
- Loi, T.-H.; See, J.-Y.; Diddapur, R.K.; Issac, J.R. Emphysematous gastritis: A case report and a review of literature. Ann. Acad. Med. Singap. 2007, 36, 72–73. [Google Scholar] [CrossRef]
- Juler, G.L.; Dietrick, W.R.; Eisenman, J.I. Intramesenteric perforation of sigmoid diverticulitis with nonfatal venous intravasation. Am. J. Surg. 1976, 132, 653–656. [Google Scholar] [CrossRef]
- Saltzman, D.A.; Smithline, N.; Davis, J.R. Fulminant hepatic failure secondary to amebic abscesses. Am. J. Dig. Dis. 1978, 23, 561–567. [Google Scholar] [CrossRef] [PubMed]
- Navarro, C.; Clain, D.J.; Kondlapoodi, P. Perforated diverticulum of the terminal ileum. A previously unreported cause of suppurative pylephlebitis and multiple hepatic abscesses. Dig. Dis. Sci. 1984, 29, 171–177. [Google Scholar] [CrossRef] [PubMed]
- Sillero, J.M.; Calvet, X.; Musulen, E.; Diaz-Ruiz, M.J.; Tolosa, C.; Pardo, A.; Corcuera, A.; Malet, A.; Font, J. Idiopathic pylephlebitis and idiopathic sclerosing peritonitis in a man with protein S deficiency. J. Clin. Gastroenterol. 2001, 32, 262–265. [Google Scholar] [CrossRef] [PubMed]
- Etienne, M.; Gueit, I.; Abboud, P.; Pons, J.-L.; Jacquot, S.; Caron, F. Fusobacterium nucleatum hepatic abscess with pylephlebitis associated with idiopathic CD4(+) T lymphocytopenia. Clin. Infect. Dis. 2001, 32, 326–328. [Google Scholar] [CrossRef] [PubMed]
- Sherigar, R.; Amir, K.A.; Bobba, R.K.; Arsura, E.L.; Srinivas, N. Abdominal pain secondary to pylephlebitis: An uncommon disease of the portal venous system, treated with local thrombolytic therapy. Dig. Dis. Sci. 2005, 50, 983–987. [Google Scholar] [CrossRef]
- Shah, I.; Bhatnagar, S. Liver abscess in a newborn leading to portal vein thrombosis. Indian J. Pediatr. 2009, 76, 1268–1269. [Google Scholar] [CrossRef] [PubMed]
- Shaw, P.J.; Saunders, A.J.; Drake, D.P. Case report: Ultrasonographic demonstration of portal vein thrombosis in the acute abdomen. Clin. Radiol. 1986, 37, 101–102. [Google Scholar] [CrossRef] [PubMed]
- Casals, S.; Enriquez, G.; Gomez, J.M.; Cabot, A. Sonographic diagnosis of pylephlebitis in children. Pediatr. Radiol. 1993, 23, 567–568. [Google Scholar] [CrossRef]
- Tung, J.Y.; Johnson, J.L.; Liacouras, C.A. Portal-mesenteric pylephlebitis with hepatic abscesses in a patient with Crohn’s disease treated successfully with anticoagulation and antibiotics. J. Pediatr. Gastroenterol. Nutr. 1996, 23, 474–478. [Google Scholar] [CrossRef]
- Ohtake, H.; Urayama, H.; Nozaki, Z.; Harada, T.; Kawasuji, M.; Wantanabe, Y. Surgical drainage for idiopathic suppurative pylephlebitis. Ann. Vasc. Surg. 1998, 12, 83–85. [Google Scholar] [CrossRef]
- Kader, H.; Baldassano, R.N.; Harty, M.P.; Nicotra, J.J.; Von Allmen, D.; Finn, L.; Markowitz, J.; Carrier, M.; Piccoli, D.A. Ruptured retrocecal appendicitis in an adolescent presenting as portal-mesenteric thrombosis and pylephlebitis. J. Pediatr. Gastroenterol. Nutr. 1998, 27, 584–588. [Google Scholar] [CrossRef]
- Vanamo, K.; Kiekara, O. Pylephlebitis after appendicitis in a child. J. Pediatr. Surg. 2001, 36, 1574–1576. [Google Scholar] [CrossRef] [PubMed]
- Chang, T.N.; Tang, L.; Keller, K.; Harrison, M.R.; Farmer, D.L.; Albanese, C.T. Pylephlebitis, portal-mesenteric thrombosis, and multiple liver abscesses owing to perforated appendicitis. J. Pediatr. Surg. 2001, 36, 19. [Google Scholar] [CrossRef] [PubMed]
- Pacifico, L.; Panero, A.; Colarizi, P.; Matrunola, M.; Simonetti, A.F.; Chiesa, C. Neonatal Candida albicans septic thrombosis of the portal vein followed by cavernous transformation of the vessel. J. Clin. Microbiol. 2004, 42, 4379–4382. [Google Scholar] [CrossRef] [PubMed]
- Nishimori, H.; Ezoe, E.; Ura, H.; Imaizumi, H.; Meguro, M.; Furuhata, T.; Katsuramaki, T.; Hata, F.; Yasoshima, T.; Hirata, K.; et al. Septic thrombophlebitis of the portal and superior mesenteric veins as a complication of appendicitis: Report of a case. Surg. Today 2004, 34, 173–176. [Google Scholar] [CrossRef]
- Muorah, M.; Hinds, R.; Verma, A.; Yu, D.; Samyn, M.; Mieli-Vergani, G.; Hadžić, N. Liver abscesses in children: A single center experience in the developed world. J. Pediatr. Gastroenterol. Nutr. 2006, 42, 201–206. [Google Scholar] [CrossRef]
- Bogue, C.O.; Leahy, T.R.; Rea, D.J.; Bitnun, A.; Brandão, L.R.; Kahr, W.H.A.; Jacobson, S.; Amaral, J.; Connolly, B.L. Idiopathic suppurative pylephlebitis: Interventional radiological diagnosis and management. Cardiovasc. Interv. Radiol. 2009, 32, 1304–1307. [Google Scholar] [CrossRef]
- Patel, A.J.; Ong, P.V.; Higgins, J.P.; Kerner, J.A. Liver abscesses, pylephlebitis, and appendicitis in an adolescent male. Dig. Dis. Sci. 2009, 54, 2546–2548. [Google Scholar] [CrossRef]
- Levin, C.; Koren, A.; Miron, D.; Lumelsky, D.; Nussinson, E.; Siplovich, L.; Horovitz, Y. Pylephlebitis due to perforated appendicitis in a teenager. Eur. J. Pediatr. 2009, 168, 633–635. [Google Scholar] [CrossRef]
- Shyam, V.; Rana, S.; Kumar, B.V.; Choudhury, A.; Mukund, A. Suppurative Pylephlebitis With Portal Vein Abscess Mimicking Portal Vein Thrombosis: A Report of Two Cases. J. Clin. Exp. Hepatol. 2022, 12, 208–211. [Google Scholar] [CrossRef]
- Serracant-Barrera, A.; Llaquet-Bayo, H.; Sánchez-Delgado, J.; Romaguera-Monzonis, A.; Dalmau-Obrador, B.; Bejarano-González, N.; Navas-Pérez, A.M.; Llopart-Valdor, E.; García-Borobia, F.J.; Navarro-Soto, S. Pylephlebitis and liver abscesses secondary to acute advanced appendicitis. Rev. Esp. Enferm. Dig. 2015, 107, 397–398. [Google Scholar]
- Menclová, K.; Parobková, H.; Murinova, I.; Pudil, J.; Langer, D.; Ryska, M. Pylephlebitis in patient with covered perforated rectosigmoid cancer. Rozhl. Chir. 2014, 93, 507–511. [Google Scholar]
- Al Hajjar, N.; Crişan, D.; Grigorescu, M.; Boruah, P. Acute diverticulitis--an unusual cause of liver abcesses in a young man: A case report. Chirurgia 2012, 107, 267–272. [Google Scholar] [PubMed]
- Furuncuoğlu, Y.; Oven, B.B.; Mert, B.; Yılmaz, E.; Demir, M.K. Abdominal Variant of Lemierre’s Syndrome in a Patient with Pancreatic Adenocarcinoma. Medeni. Med. J. 2021, 6, 58–62. [Google Scholar] [CrossRef]
- Nigussie, B.; Woredekal, D.; Abaleka, F.I.; Gizaw, M.; Tharu, B. A Sporadic Case of Disseminated Fusobacterium Causing Pylephlebitis and Intracranial and Hepatic Abscesses in a Healthy Young Patient. Cureus 2020, 12, e9229. [Google Scholar] [CrossRef]
- Lawler, C.; King, B.; Milliron, M.L. Portomesenteric Venous Thrombosis in an Emergency Department Patient After Laparoscopic Sleeve Gastrectomy. Cureus 2021, 13, e19872. [Google Scholar] [CrossRef] [PubMed]
- Zardi, E.M.; Giorgi, C.; Zardi, D.M. Pylephlebitis as a Complication of Cholangitis and Sepsis in an HIV-Positive Patient. Dig. Dis. Sci. 2019, 64, 1719–1721. [Google Scholar] [CrossRef]
- Al Akhrass, F.; Abdallah, L.; Berger, S.; Sartawi, R. Gastrointestinal variant of Lemierre’s syndrome complicating ruptured appendicitis. Idcases 2015, 2, 72–76. [Google Scholar] [CrossRef] [PubMed]
- Yazgan, C.; Akkas, M.; Ozmen, M.M. Inferior mesenteric vein pylephlebitis due to sigmoid diverticulitis. BMJ Case Rep. 2015, 2015, 1–2. [Google Scholar] [CrossRef] [PubMed]
- Adnan, M.M.; Gavin, M.; Eberhardt, S.C.; McCarthy, D.M. Pylephlebitis: Through These Portals Pass Bad Bugs. Dig. Dis. Sci. 2016, 61, 2807–2811. [Google Scholar] [CrossRef]
- Falkowski, A.L.; Cathomas, G.; Zerz, A.; Rasch, H.; Tarr, P.E. Pylephlebitis of a variant mesenteric vein complicating sigmoid diverticulitis. J. Radiol. Case Rep. 2014, 8, 37–45. [Google Scholar] [CrossRef] [PubMed]
- Pinto, S.; Lerner, T.; Lingamaneni, G.; Richards, K. Superior mesenteric vein thrombosis as a complication of cecal diverticulitis: A case report. Int. J. Surg. Case Rep. 2016, 25, 71–74. [Google Scholar] [CrossRef] [PubMed]
- Ufuk, F.; Herek, D.; Karabulut, N. Pylephlebitis Complicating Acute Appendicitis: Prompt Diagnosis with Contrast-Enhanced Computed Tomography. J. Emerg. Med. 2016, 50, e147–e149. [Google Scholar] [CrossRef] [PubMed]
- Abdallah, M.; Gohar, A.; Gowda, S.N.; Abdullah, H.M.; Al-Hajjaj, A. Pylephlebitis Associated with Inferior Mesenteric Vein Thrombosis Treated Successfully with Anticoagulation and Antibiotics in a 37-Year-Old Male. Case Rep. Gastrointest. Med. 2020, 2020, 3918080. [Google Scholar] [CrossRef]
- Altamirano, J.; Zapata, L.; Poblano, M.; Rodriguez, A.; Camargo, L.; Martinez, B.; Bataller, R. Acute pylephlebitis following gastrointestinal infection: An unrecognized cause of septic shock. South Med. J. 2010, 103, 956–959. [Google Scholar] [CrossRef]
- Lee, B.K.; Ryu, H.H. A case of pylephlebitis secondary to cecal diverticulitis. J. Emerg. Med. 2012, 42, e81–e85. [Google Scholar] [CrossRef]
- Kashiura, M.; Sugiyama, K.; Akashi, A.; Hamabe, Y. Diverticulitis-induced pylephlebitis possibly misdiagnosed as biliary duct obstruction. Acute Med. Surg. 2016, 3, 404–406. [Google Scholar] [CrossRef] [PubMed]
- Greene, B.; Jones, D.; Sarrazin, J.; Coburn, N.G. Porta hepatis abscess and portal vein thrombosis following ingestion of a fishbone. BMJ Case Rep. 2019, 12, e227271. [Google Scholar] [CrossRef]
- Kaenkumchorn, T.; Kesavan, A. A Rare Complication of Campylobacter Sepsis in an Infant. Clin. Pediatr. 2018, 57, 484–487. [Google Scholar] [CrossRef]
- Anand, S.; Umeh, C.A.; Giberson, C.; Wassel, E.; Nguyen, A.; Porter, H.; Choday, P.; Kaur, H.; Kundu, A.; Penaherrera, J. Septic Portal Vein Thrombosis, Clinical Presentation, and Management. Cureus 2021, 13, e19840. [Google Scholar] [CrossRef]
- Kalbitz, S.; Ermisch, J.; Schmidt, J.M.; Wallstabe, I.; Lübbert, C. Unhappy Triad: Infection with Leptospira spp. Escherichia coli and Bacteroides uniformis Associated with an Unusual Manifestation of Portal Vein Thrombosis. Case Rep. Gastroenterol. 2021, 15, 598–602. [Google Scholar] [CrossRef] [PubMed]
- Wakui, N.; Takayama, R.; Matsukiyo, Y.; Shinohara, M.; Kobayashi, S.; Kanekawa, T.; Nakano, S.; Nagai, H.; Kudo, T.; Maruyama, K.; et al. Visualization of segmental arterialization with arrival time parametric imaging using Sonazoid-enhanced ultrasonography in portal vein thrombosis: A case report. Exp. Ther. Med. 2013, 5, 673–677. [Google Scholar] [CrossRef]
- Radovanovic, N.; Dumic, I.; Veselinovic, M.; Burger, S.; Milovanovic, T.; Nordstrom, C.W.; Niendorf, E.; Ramanan, P. Fusobacterium necrophorum subsp. necrophorum Liver Abscess with Pylephlebitis: An Abdominal Variant of Lemierre’s Syndrome. Case Rep. Infect. Dis. 2020, 2020, 9237267. [Google Scholar] [CrossRef] [PubMed]
- Hadano, Y.; Iwata, H. Septic thrombophlebitis of the superior mesenteric vein with bacteraemia caused by Bacteroides fragilis and Streptococcus intermedius as a complication of diverculitis. BMJ Case Rep. 2013, 2013, bcr2013008661. [Google Scholar] [CrossRef] [PubMed]
- Meersseman, W. Candida tropicalis pylephlebitis with persistent fungaemia in a 72-year-old lady with severe pancreatitis. Mycoses 2011, 54, 28–30. [Google Scholar] [CrossRef] [PubMed]
- Coyne, C.J.; Jain, A. Pylephlebitis in a previously healthy emergency department patient with appendicitis. West. J. Emerg. Med. 2013, 14, 428–430. [Google Scholar] [CrossRef]
- Warren, L.R.; Chandrasegaram, M.D.; Madigan, D.J.; Dolan, P.M.; Neo, E.L.; Worthley, C.S. Falciform ligament abscess from left sided portal pyaemia following malignant obstructive cholangitis. World J. Surg. Oncol. 2012, 10, 278. [Google Scholar] [CrossRef]
- Queiroz, R.M.; Sampaio, F.D.C.; Marques, P.E.; Ferez, M.A.; Febronio, E.M. Pylephlebitis and septic thrombosis of the inferior mesenteric vein secondary to diverticulitis. Radiol. Bras. 2018, 51, 336–337. [Google Scholar] [CrossRef]
- De Zylva, J.; Padley, J.; Badbess, R.; Dedigama, M. Multiorgan failure following gastroenteritis: A case report. J. Med. Case Rep. 2020, 14, 74. [Google Scholar] [CrossRef]
- Zia, A.; Sohal, S.; Costas, C. Pylephlebitis: A Case of Inferior Mesenteric Vein Thrombophlebitis in a Patient with Acute Sigmoid Diverticulitis—A Case Report and Clinical Management Review. Case Rep. Infect. Dis. 2019, 2019, 5341281. [Google Scholar] [CrossRef]
- Wong, C.S.; Cho, G.; Godfrey, E.M.; Harper, S. Portal pyaemia secondary to colonic perforation. BMJ Case Rep. 2019, 12, e228400. [Google Scholar] [CrossRef]
- Granero-Castro, P.; Raposo-Rodríguez, L.; Moreno-Gijón, M.; Prieto-Fernández, A.; Granero-Trancón, J.; González-González, J.J.; Barneo-Serra, L. Pylephlebitis as a complication of acute appendicitis. Rev. Esp. Enferm. Dig. 2010, 102, 217–218. [Google Scholar] [CrossRef]
- Rahmati, E.; She, R.C.; Kazmierski, B.; Geiseler, P.J.; Wong, D. A case of liver abscess and fusobacterium septicemia. IDCases 2017, 9, 98–100. [Google Scholar] [CrossRef]
- Zamora, J.A.G.; Alvarez, M.R.; Henry, Z.; Baracco, G.J.; Dickinson, G.; Lichtenberger, P. Liver abscess caused by Lawsonella clevelandensis in a patient with rheumatoid arthritis: A case report and literature review. IDCases 2020, 20, e00734. [Google Scholar] [CrossRef]
- Cho, E.; Jun, C.H.; Yoon, J.H.; Wi, J.W.; Shin, S.S.; Cho, S.B.; Park, C.H.; Kim, H.S.; Choi, S.K.; Rew, J.S. A rare case of portal biliopathy and pylephlebitis following the injection of cyanoacrylate into the duodenal varix. J. Clin. Gastroenterol. 2016, 50, 897. [Google Scholar] [CrossRef]
- Chaudhary, H.; Jindal, P.; Pandiarajan, V.; Kumar, J.; Sudhakar, M.; Ezhumalai, G.; Nada, R.; Gupta, K. Portal vein thrombosis, livedo reticularis, polymicrobial sepsis and high antiphospholipid antibody titers in a newborn: A clinicopathological conference of antiphospholipid-associated neonatal syndrome. Lupus 2021, 30, 141–148. [Google Scholar] [CrossRef] [PubMed]
- Krzak, A.M.; Townson, A.; Malam, Y.; Mathews, J. Diverticulitis complicated by colovenous fistula formation and pylephlebitis. J. Surg. Case Rep. 2022, 2022, rjab591. [Google Scholar] [CrossRef]
- James, T.W.; Sheikh, S.Z.; McGowan, C.E. Perigastric abscess as a delayed adverse event in endoscopic sleeve gastroplasty. Gastrointest. Endosc. 2019, 89, 890–891. [Google Scholar] [CrossRef]
- Lee, H.; Sung, K.; Cho, J. Retroperitoneal abscess with pylephlebitis caused by lumbar acupuncture: A case report. BMC Surg. 2019, 19, 145. [Google Scholar] [CrossRef] [PubMed]
- Lazar, N.; Sardarli, K.; Imam, Z.; Khasawneh, M.; Hader, I. A Rare Twist of the Forgotten Disease: A Case of Fusobacterium necrophorum Sepsis with Portomesenteric Thrombosis and a Review of the Literature. Case Rep. Gastrointest. Med. 2021, 2021, 6699867. [Google Scholar] [CrossRef]
- Hamera, L.; Abraham, S.; Jordan, J. Pylephlebitis as a Rare Complication of Ulcerative Colitis: A Case Report. Cureus 2019, 11, e4792. [Google Scholar] [CrossRef] [PubMed]
- al Bshabshe, A.; Joseph, M.R.; Battayah, E.S.; Hamid, M.E. Fungal peritonitis caused by Pichia kudriavzevii following sleeve gastrectomy. Ann. Saudi Med. 2019, 39, 205–208. [Google Scholar] [CrossRef] [PubMed]
- Kashiura, M.; Tanabe, T.; Akashi, A.; Hamabe, Y. Pylephlebitis: A severe complication of intra-abdominal infection. Intern. Med. 2014, 53, 2829. [Google Scholar] [CrossRef] [PubMed]
- Wong, K.; Weisman, D.S.; Patrice, K.-A. Pylephlebitis: A rare complication of an intra-abdominal infection. J. Community Hosp. Intern. Med. Perspect. 2013, 3, 20732. [Google Scholar] [CrossRef] [PubMed]
- Tang, R.; Tian, X.; Xie, X.; Yang, Y. Intestinal Infarction Caused by Thrombophlebitis of the Portomesenteric Veins as a Complication of Acute Gangrenous Appendicitis after Appendectomy. Medicine 2015, 94, e1033. [Google Scholar] [CrossRef]
- Stone, N.R.H.; Barrett, J.; Hickish, T.; Dasgupta, D.; Newsholme, W.; Biswas, J.; Martin, T. Case report: Bacteroides-associated pylephlebitis in a patient with strongyloidiasis. Am. J. Trop. Med. Hyg. 2015, 92, 340–341. [Google Scholar] [CrossRef]
- Abughanimeh, O.; Tahboub, M.; Zafar, Y.; Abu Ghanimeh, M. Pylephlebitis Caused by Actinomyces Bacteremia. Cureus 2018, 10, e2887. [Google Scholar] [CrossRef]
- Shahani, L.; Khardori, N. Fusobacterium necrophorum—Beyond Lemierres syndrome. BMJ Case Rep. 2011, 2011, bcr0720114527. [Google Scholar] [CrossRef]
- Fukahori, M.; Shirayama, S.; Kawasaki, A.; Takasugi, T.; Sano, H.; Iwasaki, H. A case of silent perforated diverticulitis in the ascending colon combined with pylephlebitis resulting in complete occlusion of the portal trunk. Clin. J. Gastroenterol. 2015, 8, 172–178. [Google Scholar] [CrossRef] [PubMed]
- Hale, G.R.; Sakkal, L.A.; Galanis, T. Pylephlebitis treated with apixaban. Hosp. Pr. 2019, 47, 192–195. [Google Scholar] [CrossRef] [PubMed]
- Gallinger, Z.R.; May, G.; Kortan, P.; Bayoumi, A.M. Pylephlebitis After Colonic Polypectomy Causing Fever and Abdominal Pain. ACG Case Rep. J. 2015, 2, 142–145. [Google Scholar] [CrossRef]
- Mellor, T.E.; Mitchell, N.; Logan, J. Lemierre’s syndrome variant of the gut. BMJ Case Rep. 2017, 2017, bcr221567. [Google Scholar] [CrossRef]
- Milner, D.A.; Chatterjee, A. A case of portal vein thrombosis caused by ingestion of a foreign body. Gastrointest. Endosc. 2011, 74, 1168–1170. [Google Scholar] [CrossRef] [PubMed]
- Ram, P.; Lapumnuaypol, K.; Punjabi, C. Diverticular Pylephlebitis and Polymicrobial Septicemia. Case Rep. Infect. Dis. 2017, 2017, 6819474. [Google Scholar] [CrossRef] [PubMed]
- Řezáč, T.; Zbořil, P.; Vomáčková, K.; Špička, P. A biliary tract obstruction complicated by acute appendicitis and portal vein thrombosis-a case report and review of literature. Int. J. Surg. Case Rep. 2021, 84, 106140. [Google Scholar] [CrossRef] [PubMed]
- Garrett, A.; Carnish, E.; Das, N.; Slome, M.; Measley, R. Once universally fatal: Pylephlebitis. Am. J. Med. 2014, 127, 595–597. [Google Scholar] [CrossRef]
- Prabhu, R.; Natarajan, A.; Krishna, S.; Thangavelu, S. Portal pyaemia secondary to open haemorrhoidectomy: Need for prophylactic broad spectrum antibiotics. BMJ Case Rep. 2013, 2013, bcr2013200222. [Google Scholar] [CrossRef]
- Wang, W.; Chen, S.; Li, W.; Qu, J. An unusual increase of D-dimer level-pylephlebitis caused by acute appendicitis: A case report. Ann. Palliat. Med. 2021, 10, 4917–4921. [Google Scholar] [CrossRef] [PubMed]
- Rustagi, T.; Uy, E.M.; Rai, M. Pyogenic liver abscesses secondary to pylephlebitis complicating acute on chronic pancreatitis. J. Dig. Dis. 2012, 13, 439–443. [Google Scholar] [CrossRef]
- Kim, J.H.; Kwon, H.Y.; Durey, A. Thrombophlebitis of superior mesenteric vein with bacteremia of Gemella sanguinis and Streptococcus gordonii. J. Microbiol. Immunol. Infect. 2019, 52, 672–673. [Google Scholar] [CrossRef] [PubMed]
- Bezerra, S.; França, N.J.; Mineiro, F.; Capela, G.; Duarte, C.; Mendes, A.R. Pylephlebitis—A rare complication of a fish bone migration mimicking metastatic pancreatic cancer: A case report. World J. Clin. Cases 2021, 9, 6768–6774. [Google Scholar] [CrossRef]
- Wali, L.; Shah, A.; Sleiman, S.; Hogsand, T.; Humphries, S. Acute pylephlebitis secondary to perforated sigmoid diverticulitis: A case report. Radiol. Case Rep. 2021, 16, 1504–1507. [Google Scholar] [CrossRef]
- Gajendran, M.; Muniraj, T.; Yassin, M. Diverticulitis complicated by pylephlebitis: A case report. J. Med. Case Rep. 2011, 5, 514. [Google Scholar] [CrossRef] [PubMed]
- Rea, J.D.; Jundt, J.P.; Jamison, R.L. Pylephlebitis: Keep it in your differential diagnosis. Am. J. Surg. 2010, 200, e69–e71. [Google Scholar] [CrossRef]
- Khandwala, K.; Ahmed, A.; Abid, S. Migration of Fish Bone Into the Portal Vein Resulting in Pylephlebitis and Pyogenic Liver Abscesses. Am. J. Gastroenterol. 2019, 114, 1414. [Google Scholar] [CrossRef]
- Bakti, N.; Hussain, A.; El-Hasani, S. A rare complication of acute appendicitis: Superior mesenteric vein thrombosis. Int. J. Surg. Case Rep. 2011, 2, 250–252. [Google Scholar] [CrossRef] [PubMed]
- L’Ollivier, C.; Eldin, C.; Lambourg, E.; Brouqui, P.; Lagier, J.C. Case report: First Molecular Diagnosis of Liver Abscesses Due to Fasciola hepatica Acute Infection Imported from Vietnam. Am. J. Trop. Med. Hyg. 2020, 102, 106–109. [Google Scholar] [CrossRef] [PubMed]
- Kenny, C.; Sohan, O.; Murray, L.; Fox, T.P. Branch portal vein pyaemia secondary to amoebic liver abscess. BMJ Case Rep. 2015, 2015, bcr2014209098. [Google Scholar] [CrossRef]
- Szanto, P.; Vasile, T.; Ciobanu, L.; Munteanu, D.; Badea, R. Ingested foreign body causing pylephlebitis identified by trans-abdominal ultrasound. Balk. Med. J. 2016, 33, 587–588. [Google Scholar] [CrossRef]
- Chao, G.F.; Hirji, S.; Shikora, S.A. Extensive thrombus and brain microabscesses after sleeve gastrectomy. J. Radiol. Case Rep. 2018, 12, 10–17. [Google Scholar] [CrossRef]
- Tamaki, I.; Kami, K.; Yamamoto, E.; Morimoto, T. Catheter-directed thrombolysis through the operatively recanalized umbilical vein for acute extensive portal vein thrombosis: Report of a case. Clin. J. Gastroenterol. 2014, 7, 376–380. [Google Scholar] [CrossRef]
- Nazir, S.; Jehangir, A.; Siddiqui, A.; Tachamo, N.; Lohani, S.; York, E. A rare case of pylephlebitis after colonic polypectomy. J. Community Hosp. Intern. Med. Perspect. 2017, 7, 40–42. [Google Scholar] [CrossRef] [PubMed]
- Lim, E.Y.T.; Taneja, R. Thrombophlebitis of abdominal veins as an unusual cause for acute abdomen: Avoiding the diagnostic pitfalls. Emerg. Radiol. 2021, 28, 187–192. [Google Scholar] [CrossRef]
- Mouat, S.; Bishop, J.; Glamuzina, E.; Chin, S.; Best, E.J.; Evans, H.M. Fatal hyperammonemia associated with disseminated Serratia marcescens infection in a pediatric liver transplant recipient. Pediatr. Transplant. 2018, 22, e13180. [Google Scholar] [CrossRef] [PubMed]
- Ogah, K.; Sethi, K.; Karthik, V. Clostridium clostridioforme liver abscess complicated by portal vein thrombosis in childhood. J. Med. Microbiol. 2012, 61, 297–299. [Google Scholar] [CrossRef] [PubMed]
- Davarpanah, A.H.; Eberhardt, L.W. Case 282: Fishbone pylephlebitis. Radiology 2020, 297, 239–243. [Google Scholar] [CrossRef]
- Castro, R.; Fernandes, T.; Oliveira, M.I.; Castro, M. Acute Appendicitis Complicated by Pylephlebitis: A Case Report. Case Rep. Radiol. 2013, 2013, 627521. [Google Scholar] [CrossRef]
- Ozawa, K.; Shikino, K. Pylephlebitis due to acute cholecystitis and cholangitis. BMJ Case Rep. 2021, 14, e244912. [Google Scholar] [CrossRef] [PubMed]
- Ackermann, T.; D’Souza, D.; Varma, P.; Burnes, J.; Croagh, D. A minimally invasive solution for a complication of minimally invasive treatment. ANZ J. Surg. 2018, 88, 1079–1081. [Google Scholar] [CrossRef]
- Bockmeyer, J.; Taha-Mehlitz, S.; Heeren, N.; Ristic, S.; Metzger, J.; Gass, J.-M. Jejunal Diverticulosis Probably Leading to Pylephlebitis of the Superior Mesenteric Vein. Case Rep. Surg. 2020, 2020, 2343218. [Google Scholar] [CrossRef] [PubMed]
- Zimhony, O.; Katz, M. A patient with fever and jaundice. QJM 2012, 105, 381–382. [Google Scholar] [CrossRef] [PubMed]
- Shin, A.R.; Lee, C.K.; Kim, H.J.; Shim, J.-J.; Jang, J.Y.; Dong, S.H.; Kim, B.H.; Chang, Y.W. Septic pylephlebitis as a rare complication of Crohn’s disease. Korean J. Gastroenterol. 2013, 61, 219–224. [Google Scholar] [CrossRef]
- El Mouhadi, S.; Ait-Oufella, H.; Maury, E.; Menu, Y.; Arrivé, L. Ileal diverticulitis complicated by portal-mesenteric pylephlebitis and pulmonary septic foci. Diagn. Interv. Imaging 2012, 93, 57–59. [Google Scholar] [CrossRef]
- Hakeem, A.R.; Nasim, N.; Raza, S.S.; Ahmad, N. Portal pyaemia following renal transplantation. BMJ Case Rep. 2014, 2014, bcr2014204026. [Google Scholar] [CrossRef]
- Sapmaz, F.; Kalkan, I.H.; Guliter, S.; Bilgili, Y.K. Acute cholecystitis complicated by pylephlebitis. Turk. J. Gastroenterol. 2014, 25, 266–267. [Google Scholar] [CrossRef]
- Pradka, S.P.; Trankiem, C.T.; Ricotta, J.J. Pylephlebitis and acute mesenteric ischemia in a young man with inherited thrombophilia and suspected foodborne illness. J. Vasc. Surg. 2012, 55, 1769–1772. [Google Scholar] [CrossRef]
- Karam, M.M.; Abdalla, M.F.; Bedair, S. Isolated superior mesenteric venous thrombophlebitis with acute appendicitis. Int. J. Surg. Case Rep. 2013, 4, 432–434. [Google Scholar] [CrossRef]
- Figueiras, R.G.; Paz, M.L.; González, S.B.; Martín, C.V. Case 158: Pylephlebitis. Radiology 2010, 255, 1003–1007. [Google Scholar] [CrossRef]
- Santosh, D.; Low, G. Pylephlebitis with Liver Abscess Secondary to Chronic Appendicitis: A Radiological Conundrum. J. Clin. Imaging Sci. 2016, 6, 37. [Google Scholar] [CrossRef]
- Kubo, H.; Asai, G.; Haraguchi, K.; Shibahara, Y.; Kihara, T.; Yamakawa, G.; Kira, F.; Higashi, H.; Morishita, S.; Fujie, H.; et al. Liver abscess and portal vein thrombosis due to ileal diverticulitis mediated by barium fluoroscopy. Intern. Med. 2017, 56, 3255–3259. [Google Scholar] [CrossRef]
- Imaoka, K.; Fukuda, S.; Tazawa, H.; Fukuhara, S.; Hirata, Y.; Fujisaki, S.; Takahashi, M.; Sakimoto, H. A Rare Case of Pylephlebitis as a Complication of Cholecystocolonic Fistula. Case Rep. Surg. 2018, 2018, 3931674. [Google Scholar] [CrossRef]
- Giuffrè, M.; Verso, C.L.; Serra, G.; Moceri, G.; Cimador, M.; Corsello, G. Portal Vein Thrombosis in a Preterm Newborn with Mutation of the MTHFR and PAI-1 Genes and Sepsis by Candida parapsilosis. Am. J. Perinatol. 2016, 33, 1099–1103. [Google Scholar] [CrossRef] [PubMed]
- Moore, J.A.; Rambally, S. Fusobacterium nucleatum Bacteremia Presenting with Portal Vein Thrombosis: An Abdominal Lemierre Syndrome? Am. J. Med. 2017, 130, e255–e256. [Google Scholar] [CrossRef]
- Lauretta, A.; Almoudaris, A.M.; Jiao, L.R. Septic thrombophlebitis of portal vein: Unusual presentation of appendicitis. Am. Surg. 2011, 77, 206–207. [Google Scholar] [CrossRef]
- Phoompoung, P.; Chayakulkeeree, M.; Ngamskulrungroj, P.; Pongpaibul, A. Asymptomatic Histoplasma Pylephlebitis in an Orthotopic Liver Transplant Recipient: A Case Report and Literature Review. Mycopathologia 2019, 184, 177–180. [Google Scholar] [CrossRef]
- Choudhry, A.J.; Baghdadi, Y.M.K.; Amr, M.A.; Alzghari, M.J.; Jenkins, D.; Zielinski, M.D. Pylephlebitis: A Review of 95 Cases. J. Gastrointest. Surg. 2016, 20, 656–661. [Google Scholar] [CrossRef]
- Belhassen-García, M.; Gomez-Munuera, M.; Pardo-Lledias, J.; Velasco-Tirado, V.; Perez-Persona, E.; Galindo-Perez, I.; Alvela-Suárez, L.; Romero-Alegría, Á.; Muñoz-Bellvis, L.; Cordero-Sánchez, M. Pylephlebitis: Incidence and prognosis in a tertiary hospital. Enferm. Infecc Microbiol. Clin. 2014, 32, 350–354. [Google Scholar] [CrossRef]
- Kanellopoulou, T.; Alexopoulou, A.; Theodossiades, G.; Koskinas, J.; Archimandritis, A.J. Pylephlebitis: An overview of non-cirrhotic cases and factors related to outcome. Scand. J. Infect. Dis. 2010, 42, 804–811. [Google Scholar] [CrossRef]
- Jevtic, D.; Gavrancic, T.; Pantic, I.; Nordin, T.; Nordstrom, C.W.; Antic, M.; Pantic, N.; Kaljevic, M.; Joksimovic, B.; Jovanovic, M.; et al. Suppurative Thrombosis of the Portal Vein (Pylephlebits): A Systematic Review of Literature. J. Clin. Med. 2022, 11, 4992. [Google Scholar] [CrossRef]
- Baril, N.; Wren, S.; Radin, R.; Ralls, P.; Stain, S. The role of anticoagulation in pylephlebitis. Am. J. Surg. 1996, 172, 449–453. [Google Scholar] [CrossRef]
- Naymagon, L.; Tremblay, D.; Schiano, T.; Mascarenhas, J. The role of anticoagulation in pylephlebitis: A retrospective examination of characteristics and outcomes. J. Thromb. Thrombolysis 2020, 49, 325–331. [Google Scholar] [CrossRef]
- Murray, J.L.; Connell, J.L.; Stacy, A.; Turner, K.H.; Whiteley, M. Mechanisms of synergy in polymicrobial infections. J. Microbiol. 2014, 52, 188. [Google Scholar] [CrossRef]
- Shah, P.M.; Edwards, B.L.; Dietch, Z.C.; Guidry, C.A.; Davies, S.W.; Hennessy, S.A.; Duane, T.M.; O’Neill, P.J.; Coimbra, R.; Cook, C.H.; et al. Do Polymicrobial Intra-Abdominal Infections Have Worse Outcomes than Monomicrobial Intra-Abdominal Infections? Surg. Infect. 2016, 17, 27. [Google Scholar] [CrossRef]
- Duffy, F.J.; Millan, M.T.; Schoetz, D.J.; Larsen, C.R. Suppurative pylephlebitis and pylethrombosis: The role of anticoagulation. Am. Surg. 1995, 61, 1041–1044. [Google Scholar]
- Decuypere, S.; Meehan, C.J.; Van Puyvelde, S.; De Block, T.; Maltha, J.; Palpouguini, L.; Tahita, M.; Tinto, H.; Jacobs, J.; Deborggraeve, S. Diagnosis of Bacterial Bloodstream Infections: A 16S Metagenomics Approach. PLoS Negl. Trop. Dis. 2016, 10, e0004470. [Google Scholar] [CrossRef]
- Gyarmati, P.; Kjellander, C.; Aust, C.; Kalin, M.; Öhrmalm, L.; Giske, C.G. Bacterial Landscape of Bloodstream Infections in Neutropenic Patients via High Throughput Sequencing. PLoS ONE 2015, 10, e0135756. [Google Scholar] [CrossRef] [PubMed]
- Faria, M.M.P.; Conly, J.M.; Surette, M.M.G. The development and application of a molecular community profiling strategy to identify polymicrobial bacterial DNA in the whole blood of septic patients. BMC Microbiol. 2015, 15, 215. [Google Scholar] [CrossRef] [PubMed]
- Schwarz, W.; Honickman, S.; Ohki, S.; Buckman, R.; Warner, E. Percutaneous diagnosis and drainage of pylephlebitis: A case report. Surgery 1987, 101, 244–249. [Google Scholar] [CrossRef] [PubMed]
- Pylephlebitis—UpToDate. Available online: https://www.uptodate.com/contents/pylephlebitis (accessed on 7 November 2022).
- Case 25-2005: A 40-Year-Old Man with Prolonged Fever and Weight Loss. N. Engl. J. Med. 2005, 353, 2827. [CrossRef]
- Riccabona, M.; Kuttnig-Haim, M.; Dacar, D.; Urlesberger, B.; Reiterer, F.; Maurer, U.; Zobel, G. Venous thrombosis in and after extracorporeal membrane oxygenation: Detection and follow-up by color Doppler sonography. Eur. Radiol. 1997, 7, 1383–1386. [Google Scholar] [CrossRef] [PubMed]
- Yamashita, T.; Yamanaka, K.; Izumi, A.; Matsui, J.; Kurimoto, M.; Aoki, H.; Tamura, J. Endovascular repair using a covered stent for a ruptured infected aneurysm of the superior mesenteric artery after pancreaticoduodenectomy: A case report. Surg. Case Rep. 2020, 6, 270. [Google Scholar] [CrossRef]
Disclaimer/Publisher’s Note: The statements, opinions and data contained in all publications are solely those of the individual author(s) and contributor(s) and not of MDPI and/or the editor(s). MDPI and/or the editor(s) disclaim responsibility for any injury to people or property resulting from any ideas, methods, instructions or products referred to in the content. |
© 2023 by the authors. Licensee MDPI, Basel, Switzerland. This article is an open access article distributed under the terms and conditions of the Creative Commons Attribution (CC BY) license (https://creativecommons.org/licenses/by/4.0/).




