Review on Pediatric Malignant Focal Liver Lesions with Imaging Evaluation: Part II
Abstract
1. Introduction
2. Undifferentiated Embryonal Sarcoma of the Liver (UESL)
2.1. Epidemiology, Clinical Features, and Pathological Features
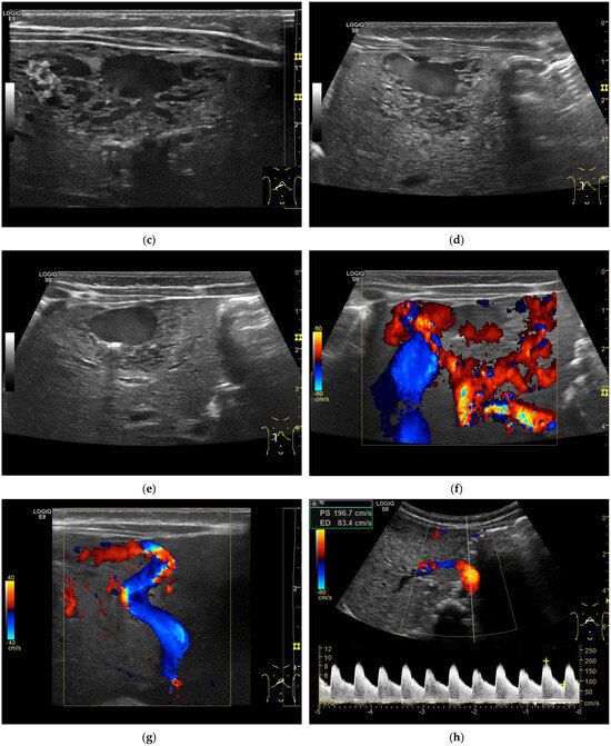
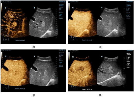
2.2. Imaging Features
2.3. Management and Prognosis
3. Biliary Rhabdomyosarcoma (BRMS)
3.1. Epidemiology, Clinical Features, and Pathological Features
3.2. Imaging Features
3.3. Management and Prognosis
4. Hepatic Epithelioid Hemangioendothelioma (HEHE)
4.1. Epidemiology, Clinical Features, and Pathological Features
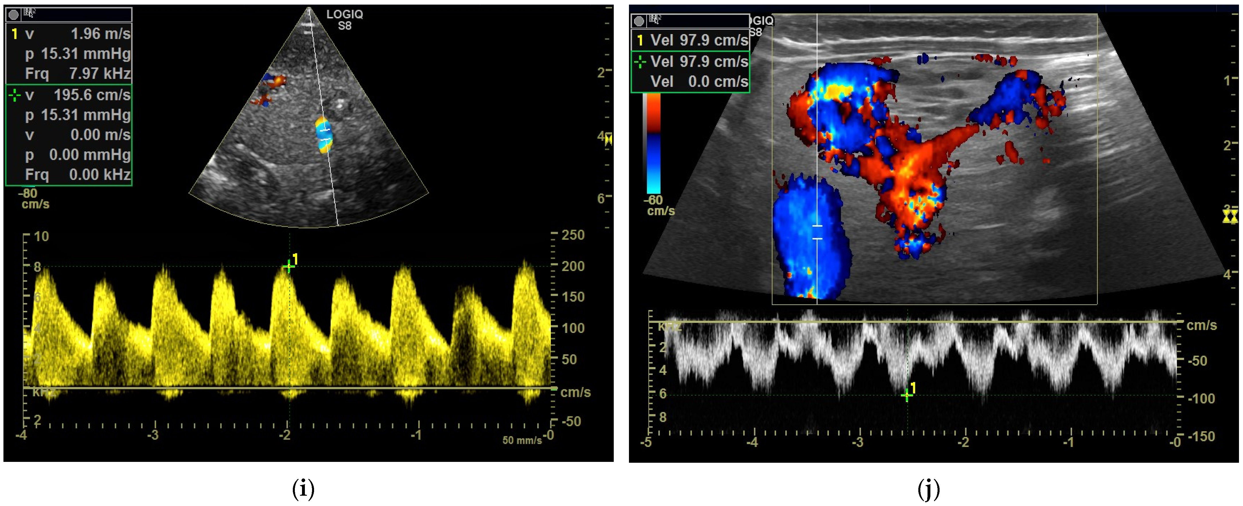
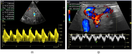
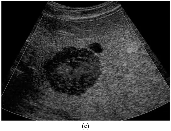
4.2. Imaging Features
4.3. Management and Prognosis
5. Hepatic Angiosarcoma (HAS)
5.1. Epidemiology, Clinical Features, and Pathological Features
5.2. Imaging Features
5.3. Management and Prognosis
6. Malignant Rhabdoid Tumor of the Liver (MRTL)
6.1. Epidemiology, Clinical Features, and Pathological Features
6.2. Imaging Features
6.3. Management and Prognosis
7. Conclusions
Funding
Institutional Review Board Statement
Informed Consent Statement
Data Availability Statement
Conflicts of Interest
References
- Meyers, R.L. Tumors of the liver in children. Surg. Oncol. 2007, 16, 195–203. [Google Scholar] [CrossRef] [PubMed]
- Ng, K.; Mogul, D.B. Pediatric Liver Tumors. Clin. Liver Dis. 2018, 22, 753–772. [Google Scholar] [CrossRef] [PubMed]
- Jha, P.; Chawla, S.C.; Tavri, S.; Patel, C.; Gooding, C.; Daldrup-Link, H. Pediatric liver tumors—A pictorial review. Eur. Radiol. 2009, 19, 209–219. [Google Scholar] [CrossRef] [PubMed]
- Dong, Y.; Cekuolis, A.; Schreiber-Dietrich, D.; Augustiniene, R.; Schwarz, S.; Moller, K.; Nourkami-Tutdibi, N.; Chen, S.; Cao, J.Y.; Huang, Y.L.; et al. Review on Pediatric Malignant Focal Liver Lesions with Imaging Evaluation: Part I. Diagnostics 2023, 13, 3568. [Google Scholar] [CrossRef] [PubMed]
- Von Schweinitz, D. Management of liver tumors in childhood. Semin. Pediatr. Surg. 2006, 15, 17–24. [Google Scholar] [CrossRef] [PubMed]
- Chung, E.M.; Lattin, G.E., Jr.; Cube, R.; Lewis, R.B.; Marichal-Hernandez, C.; Shawhan, R.; Conran, R.M. From the archives of the AFIP: Pediatric liver masses: Radiologic-pathologic correlation. Part 2. Malignant tumors. Radiographics 2011, 31, 483–507. [Google Scholar] [CrossRef] [PubMed]
- Meier, C.M.; Furtwangler, R.; von Schweinitz, D.; Stein, R.; Welter, N.; Wagenpfeil, S.; Kager, L.; Schenk, J.P.; Vokuhl, C.; Melchior, P.; et al. Vena Cava Thrombus in Patients with Wilms Tumor. Cancers 2022, 14, 3924. [Google Scholar] [CrossRef]
- Towbin, A.J.; Meyers, R.L.; Woodley, H.; Miyazaki, O.; Weldon, C.B.; Morland, B.; Hiyama, E.; Czauderna, P.; Roebuck, D.J.; Tiao, G.M. 2017 PRETEXT: Radiologic staging system for primary hepatic malignancies of childhood revised for the Paediatric Hepatic International Tumour Trial (PHITT). Pediatr. Radiol. 2018, 48, 536–554. [Google Scholar] [CrossRef]
- Pugmire, B.S.; Towbin, A.J. Magnetic resonance imaging of primary pediatric liver tumors. Pediatr. Radiol. 2016, 46, 764–777. [Google Scholar] [CrossRef]
- Trojan, J.; Hammerstingl, R.; Engels, K.; Schneider, A.R.; Zeuzem, S.; Dietrich, C.F. Contrast-enhanced ultrasound in the diagnosis of malignant mesenchymal liver tumors. J. Clin. Ultrasound JCU 2010, 38, 227–231. [Google Scholar] [CrossRef]
- Kim, K.A.; Kim, K.W.; Park, S.H.; Jang, S.J.; Park, M.S.; Kim, P.N.; Lee, M.G.; Ha, H.K. Unusual mesenchymal liver tumors in adults: Radiologic-pathologic correlation. AJR Am. J. Roentgenol. 2006, 187, W481–W489. [Google Scholar] [CrossRef] [PubMed]
- Dietrich, C.F.; Mertens, J.C.; Braden, B.; Schuessler, G.; Ott, M.; Ignee, A. Contrast-enhanced ultra-sound of histologically proven liver hemangiomas. Hepatology 2007, 45, 1139–1145. [Google Scholar] [CrossRef] [PubMed]
- Scheimann, A.O.; Barrios, J.M.; Al-Tawil, Y.S.; Gray, K.M.; Gilger, M.A. Percutaneous liver biopsy in children: Impact of ultrasonography and spring-loaded biopsy needles. J. Pediatr. Gastroenterol. Nutr. 2000, 31, 536–539. [Google Scholar] [CrossRef]
- Ismail, H.; Dembowska-Bagińska, B.; Broniszczak, D.; Kaliciński, P.; Maruszewski, P.; Kluge, P.; Swięszkowska, E.; Kościesza, A.; Lembas, A.; Perek, D. Treatment of undifferentiated embryonal sarcoma of the liver in children-single center experience. J. Pediatr. Surg. 2013, 48, 2202–2206. [Google Scholar] [CrossRef] [PubMed]
- Techavichit, P.; Masand, P.M.; Himes, R.W.; Abbas, R.; Goss, J.A.; Vasudevan, S.A.; Finegold, M.J.; Heczey, A. Undifferentiated Embryonal Sarcoma of the Liver (UESL): A Single-Center Experience and Review of the Literature. J. Pediatr. Hematol. Oncol. 2016, 38, 261–268. [Google Scholar] [CrossRef] [PubMed]
- López-Terrada, D.; Alaggio, R.; de Dávila, M.T.; Czauderna, P.; Hiyama, E.; Katzenstein, H.; Leuschner, I.; Malogolowkin, M.; Meyers, R.; Ranganathan, S.; et al. Towards an international pediatric liver tumor consensus classification: Proceedings of the Los Angeles COG liver tumors symposium. Mod. Pathol. 2014, 27, 472–491. [Google Scholar] [CrossRef]
- Lack, E.E.; Schloo, B.L.; Azumi, N.; Travis, W.D.; Grier, H.E.; Kozakewich, H.P. Undifferentiated (embryonal) sarcoma of the liver. Clinical and pathologic study of 16 cases with emphasis on immunohistochemical features. Am. J. Surg. Pathol. 1991, 15, 1–16. [Google Scholar] [CrossRef]
- Martins-Filho, S.N.; Putra, J. Hepatic mesenchymal hamartoma and undifferentiated embryonal sarcoma of the liver: A pathologic review. Hepatic Oncol. 2020, 7, Hep19. [Google Scholar] [CrossRef]
- Bisogno, G.; Pilz, T.; Perilongo, G.; Ferrari, A.; Harms, D.; Ninfo, V.; Treuner, J.; Carli, M. Undifferentiated sarcoma of the liver in childhood: A curable disease. Cancer 2002, 94, 252–257. [Google Scholar] [CrossRef]
- Wei, Z.G.; Tang, L.F.; Chen, Z.M.; Tang, H.F.; Li, M.J. Childhood undifferentiated embryonal liver sarcoma: Clinical features and immunohistochemistry analysis. J. Pediatr. Surg. 2008, 43, 1912–1919. [Google Scholar] [CrossRef]
- Thombare, P.; Verma, M.; Shah, K.; Doshi, H.; Verma, G.; Patkar, D. Undifferentiated embryonal sarcoma of liver: Paradoxical imaging appearance. Radiol. Case Rep. 2020, 15, 1095–1098. [Google Scholar] [CrossRef]
- Shi, Y.; Rojas, Y.; Zhang, W.; Beierle, E.A.; Doski, J.J.; Goldfarb, M.; Goldin, A.B.; Gow, K.W.; Langer, M.; Meyers, R.L.; et al. Characteristics and outcomes in children with undifferentiated embryonal sarcoma of the liver: A report from the National Cancer Database. Pediatr. Blood Cancer 2017, 64, e26272. [Google Scholar] [CrossRef] [PubMed]
- Putra, J.; Ornvold, K. Undifferentiated embryonal sarcoma of the liver: A concise review. Arch. Pathol. Lab. Med. 2015, 139, 269–273. [Google Scholar] [CrossRef] [PubMed]
- Zheng, J.M.; Tao, X.; Xu, A.M.; Chen, X.F.; Wu, M.C.; Zhang, S.H. Primary and recurrent embryonal sarcoma of the liver: Clinicopathological and immunohistochemical analysis. Histopathology 2007, 51, 195–203. [Google Scholar] [CrossRef] [PubMed]
- Agaram, N.P.; Baren, A.; Antonescu, C.R. Pediatric and adult hepatic embryonal sarcoma: A comparative ultrastructural study with morphologic correlations. Ultrastruct. Pathol. 2006, 30, 403–408. [Google Scholar] [CrossRef] [PubMed]
- Buetow, P.C.; Buck, J.L.; Pantongrag-Brown, L.; Marshall, W.H.; Ros, P.R.; Levine, M.S.; Goodman, Z.D. Undifferentiated (embryonal) sarcoma of the liver: Pathologic basis of imaging findings in 28 cases. Radiology 1997, 203, 779–783. [Google Scholar] [CrossRef] [PubMed]
- Ros, P.R.; Olmsted, W.W.; Dachman, A.H.; Goodman, Z.D.; Ishak, K.G.; Hartman, D.S. Undifferentiated (embryonal) sarcoma of the liver: Radiologic-pathologic correlation. Radiology 1986, 161, 141–145. [Google Scholar] [CrossRef]
- Gabor, F.; Franchi-Abella, S.; Merli, L.; Adamsbaum, C.; Pariente, D. Imaging features of undifferentiated embryonal sarcoma of the liver: A series of 15 children. Pediatr. Radiol. 2016, 46, 1694–1704. [Google Scholar] [CrossRef]
- Pachera, S.; Nishio, H.; Takahashi, Y.; Yokoyama, Y.; Oda, K.; Ebata, T.; Igami, T.; Nagino, M. Undifferentiated embryonal sarcoma of the liver: Case report and literature survey. J. Hepato-Biliary-Pancreat. Surg. 2008, 15, 536–544. [Google Scholar] [CrossRef]
- Qiu, L.L.; Yu, R.S.; Chen, Y.; Zhang, Q. Sarcomas of abdominal organs: Computed tomography and magnetic resonance imaging findings. Semin. Ultrasound CT MRI 2011, 32, 405–421. [Google Scholar] [CrossRef]
- Yu, R.S.; Chen, Y.; Jiang, B.; Wang, L.H.; Xu, X.F. Primary hepatic sarcomas: CT findings. Eur. Radiol. 2008, 18, 2196–2205. [Google Scholar] [CrossRef]
- Yoon, W.; Kim, J.K.; Kang, H.K. Hepatic undifferentiated embryonal sarcoma: MR findings. J. Comput. Assist. Tomogr. 1997, 21, 100–102. [Google Scholar] [CrossRef] [PubMed]
- Iqbal, K.; Xian, Z.M.; Yuan, C. Undifferentiated liver sarcoma—Rare entity: A case report and review of the literature. J. Med. Case Rep. 2008, 2, 20. [Google Scholar] [CrossRef] [PubMed][Green Version]
- Okajima, H.; Ohya, Y.; Lee, K.J.; Yamamoto, H.; Asonuma, K.; Nagaoki, Y.; Ohama, K.; Korogi, M.; Anan, T.; Hashiyama, M.; et al. Management of undifferentiated sarcoma of the liver including living donor liver transplantation as a backup procedure. J. Pediatr. Surg. 2009, 44, e33–e38. [Google Scholar] [CrossRef] [PubMed]
- Dry, S.M.; Kumarasinghe, M.P. Rhabdomyosarcoma. In Mesenchymal Tumours of the Digestive System, 5th ed.; Fukayama, M., Goldblum, J.R., Miettinen, M., Lazar, A.J., Eds.; WHO Classification of Tumours: Geneva, Switzerland, 2019. [Google Scholar]
- Malkan, A.D.; Fernandez-Pineda, I. The Evolution of Diagnosis and Management of Pediatric Biliary Tract Rhabdomyosarcoma. Curr. Pediatr. Rev. 2016, 12, 190–198. [Google Scholar] [CrossRef]
- Fuchs, J.; Murtha-Lemekhova, A.; Kessler, M.; Günther, P.; Fichtner, A.; Pfeiffenberger, J.; Probst, P.; Hoffmann, K. Biliary Rhabdomyosarcoma in Pediatric Patients: A Systematic Review and Meta-Analysis of Individual Patient Data. Front. Oncol. 2021, 11, 701400. [Google Scholar] [CrossRef] [PubMed]
- Aye, J.M.; Xue, W.; Palmer, J.D.; Walterhouse, D.O.; Arnold, M.A.; Heaton, T.E.; Venkatramani, R. Suboptimal outcome for patients with biliary rhabdomyosarcoma treated on low-risk clinical trials: A report from the Children’s Oncology Group. Pediatr. Blood Cancer 2021, 68, e28914. [Google Scholar] [CrossRef] [PubMed]
- Spunt, S.L.; Lobe, T.E.; Pappo, A.S.; Parham, D.M.; Wharam, M.D., Jr.; Arndt, C.; Anderson, J.R.; Crist, W.M.; Paidas, C.; Wiener, E.; et al. Aggressive surgery is unwarranted for biliary tract rhabdomyosarcoma. J. Pediatr. Surg. 2000, 35, 309–316. [Google Scholar] [CrossRef] [PubMed]
- Ruymann, F.B.; Raney, R.B., Jr.; Crist, W.M.; Lawrence, W., Jr.; Lindberg, R.D.; Soule, E.H. Rhabdomyosarcoma of the biliary tree in childhood. A report from the Intergroup Rhabdomyosarcoma Study. Cancer 1985, 56, 575–581. [Google Scholar]
- Thampy, R.; Elsayes, K.M.; Menias, C.O.; Pickhardt, P.J.; Kang, H.C.; Deshmukh, S.P.; Ahmed, K.; Korivi, B.R. Imaging features of rare mesenychmal liver tumours: Beyond haemangiomas. Br. J. Radiol. 2017, 90, 20170373. [Google Scholar] [CrossRef]
- Roebuck, D.J.; Yang, W.T.; Lam, W.W.; Stanley, P. Hepatobiliary rhabdomyosarcoma in children: Diagnostic radiology. Pediatr. Radiol. 1998, 28, 101–108. [Google Scholar] [CrossRef] [PubMed]
- Donnelly, L.F.; Bisset, G.S., 3rd; Frush, D.P. Diagnosis please. Case 2: Embryonal rhabdomyosarcoma of the biliary tree. Radiology 1998, 208, 621–623. [Google Scholar] [CrossRef] [PubMed]
- Kitagawa, N.; Aida, N. Biliary rhabdomyosarcoma. Pediatr. Radiol. 2007, 37, 1059. [Google Scholar] [CrossRef] [PubMed]
- Nemade, B.; Talapatra, K.; Shet, T.; Banavali, S.; Muckaden, M.A.; Laskar, S. Embryonal rhabdomyosarcoma of the biliary tree mimicking a choledochal cyst. J. Cancer Res. Ther. 2007, 3, 40–42. [Google Scholar] [PubMed]
- Mathew, D.; de Lima, H.; Mahomed, N. Embryonal rhabdomyosarcoma of the biliary tree in a paediatric patient-A rare cause of obstructive jaundice. SA J. Radiol. 2019, 23, 1662. [Google Scholar] [CrossRef] [PubMed]
- Kinariwala, D.J.; Wang, A.Y.; Melmer, P.D.; McCullough, W.P. Embryonal rhabdomyosarcoma of the biliary tree: A rare cause of obstructive jaundice in children which can mimic choledochal cysts. Indian J. Radiol. Imaging 2017, 27, 306–309. [Google Scholar] [CrossRef] [PubMed]
- Van Ewijk, R.; Schoot, R.A.; Sparber-Sauer, M.; Ter Horst, S.A.J.; Jehanno, N.; Borgwardt, L.; de Keizer, B.; Merks, J.H.M.; de Luca, A.; McHugh, K.; et al. European guideline for imaging in paediatric and adolescent rhabdomyosarcoma-joint statement by the European Paediatric Soft Tissue Sarcoma Study Group, the Cooperative Weichteilsarkom Studiengruppe and the Oncology Task Force of the European Society of Paediatric Radiology. Pediatr. Radiol. 2021, 51, 1940–1951. [Google Scholar]
- Fernandez-Pineda, I.; Cabello-Laureano, R. Differential diagnosis and management of liver tumors in infants. World J. Hepatol. 2014, 6, 486–495. [Google Scholar] [CrossRef]
- Namgoong, J.M.; Hwang, S.; Park, G.C.; Kwon, H.; Ha, S.; Oh, S.H.; Kim, K.M. Pediatric living donor liver transplantation for biliary embryonal rhabdomyosarcoma: A case report of a case showing disease-free survival over 2 years. Korean J. Transplant. 2022, 36, 148–153. [Google Scholar] [CrossRef]
- Shen, C.H.; Dong, K.R.; Tao, Y.F.; Chen, G.; Li, R.D.; Zhang, Q.B.; Zhang, X.F.; Zheng, S.; Wang, Z.X. Liver Transplantation for Biliary Rhabdomyosarcoma With Liver Metastasis: Report of One Case. Transplant. Proc. 2017, 49, 185–187. [Google Scholar] [CrossRef]
- Paganelli, M.; Beaunoyer, M.; Samson, Y.; Dal Soglio, D.; Dubois, J.; Lallier, M.; Alvarez, F. A child with unresectable biliary rhabdomyosarcoma: 48-month disease-free survival after liver transplantation. Pediatr. Transplant. 2014, 18, E146–E151. [Google Scholar] [CrossRef] [PubMed]
- Nicol, K.; Savell, V.; Moore, J.; Teot, L.; Spunt, S.L.; Qualman, S. Distinguishing undifferentiated embryonal sarcoma of the liver from biliary tract rhabdomyosarcoma: A Children’s Oncology Group study. Pediatr. Dev. Pathol. 2007, 10, 89–97. [Google Scholar] [CrossRef] [PubMed]
- Urla, C.; Warmann, S.W.; Sparber-Sauer, M.; Schuck, A.; Leuschner, I.; Klingebiel, T.; Blumenstock, G.; Seitz, G.; Koscielniak, E.; Fuchs, J. Treatment and outcome of the patients with rhabdomyosarcoma of the biliary tree: Experience of the Cooperative Weichteilsarkom Studiengruppe (CWS). BMC Cancer 2019, 19, 945. [Google Scholar] [CrossRef] [PubMed]
- Rosenberg, A.; Agulnik, M. Epithelioid Hemangioendothelioma: Update on Diagnosis and Treatment. Curr. Treat. Options Oncol. 2018, 19, 19. [Google Scholar] [CrossRef] [PubMed]
- Hettmer, S.; Andrieux, G.; Hochrein, J.; Kurz, P.; Rössler, J.; Lassmann, S.; Werner, M.; von Bubnoff, N.; Peters, C.; Koscielniak, E.; et al. Epithelioid hemangioendotheliomas of the liver and lung in children and adolescents. Pediatr. Blood Cancer 2017, 64, e26675. [Google Scholar] [CrossRef] [PubMed]
- McGuire, A.; Fernandez-Pineda, I.; Fishman, S.J.; Dickie, B.H. Pediatric hepatic vascular tumors. Semin. Pediatr. Surg. 2020, 29, 150970. [Google Scholar] [CrossRef] [PubMed]
- Studer, L.L.; Selby, D.M. Hepatic Epithelioid Hemangioendothelioma. Arch. Pathol. Lab. Med. 2018, 142, 263–267. [Google Scholar] [CrossRef]
- Bannoura, S.; Putra, J. Primary malignant vascular tumors of the liver in children: Angiosarcoma and epithelioid hemangioendothelioma. World J. Gastrointest. Oncol. 2021, 13, 223–230. [Google Scholar] [CrossRef]
- Flucke, U.; Vogels, R.J.; de Saint Aubain Somerhausen, N.; Creytens, D.H.; Riedl, R.G.; van Gorp, J.M.; Milne, A.N.; Huysentruyt, C.J.; Verdijk, M.A.; van Asseldonk, M.M.; et al. Epithelioid Hemangioendothelioma: Clinicopathologic, immunhistochemical, and molecular genetic analysis of 39 cases. Diagn. Pathol. 2014, 9, 131. [Google Scholar] [CrossRef]
- Makhlouf, H.R.; Ishak, K.G.; Goodman, Z.D. Epithelioid hemangioendothelioma of the liver: A clinicopathologic study of 137 cases. Cancer 1999, 85, 562–582. [Google Scholar] [CrossRef]
- Zhou, L.; Cui, M.Y.; Xiong, J.; Dong, Z.; Luo, Y.; Xiao, H.; Xu, L.; Huang, K.; Li, Z.P.; Feng, S.T. Spectrum of appearances on CT and MRI of hepatic epithelioid hemangioendothelioma. BMC Gastroenterol. 2015, 15, 69. [Google Scholar] [CrossRef]
- Dong, Y.; Wang, W.P.; Cantisani, V.; D’Onofrio, M.; Ignee, A.; Mulazzani, L.; Saftoiu, A.; Sparchez, Z.; Sporea, I.; Dietrich, C.F. Contrast-enhanced ultrasound of histologically proven hepatic epithelioid hemangioendothelioma. World J. Gastroenterol. 2016, 22, 4741–4749. [Google Scholar] [CrossRef]
- Miller, W.J.; Dodd, G.D., 3rd; Federle, M.P.; Baron, R.L. Epithelioid hemangioendothelioma of the liver: Imaging findings with pathologic correlation. AJR. Am. J. Roentgenol. 1992, 159, 53–57. [Google Scholar] [CrossRef] [PubMed]
- Fröhlich, E.; Jenssen, C.; Schuler, A.; Dietrich, C.F. Contrast-enhanced ultrasound for characterisation of focal liver lesions, practical advice. Z. Gastroenterol. 2015, 53, 1099–1107. [Google Scholar] [PubMed]
- Ren, L.; Fei, X.; Zhu, Y.; Luo, Y. Ultrasound and contrast-enhanced ultrasound imaging in hepatic epithelioid hemangioendothelioma: A retrospective study of 13 patients. Med. Ultrason. 2022, 24, 414–420. [Google Scholar] [CrossRef] [PubMed]
- Qiu, T.; Zhu, D.; Fu, R.; Luo, Y.; Ling, W. Conventional Ultrasound and Contrast-Enhanced Ultrasound in Hepatic Epithelioid Hemangioendothelioma: Retrospective Evaluation in 20 Cases. Front. Oncol. 2022, 12, 686650. [Google Scholar] [CrossRef] [PubMed]
- Mulazzani, L.; Alvisi, M. Imaging findings of hepatic epithelioid hemangioendothelioma and fibrolamellar hepatocellular carcinoma: A critical appraisal of current literature about imaging features of two rare liver cancers. Transl. Cancer Res. 2019, 8 (Suppl. 3), S297–S310. [Google Scholar] [CrossRef]
- Bruegel, M.; Muenzel, D.; Waldt, S.; Specht, K.; Rummeny, E.J. Hepatic epithelioid hemangioendothelioma: Findings at CT and MRI including preliminary observations at diffusion-weighted echo-planar imaging. Abdom. Imaging 2011, 36, 415–424. [Google Scholar] [CrossRef]
- Alomari, A.I. The lollipop sign: A new cross-sectional sign of hepatic epithelioid hemangioendothelioma. Eur. J. Radiol. 2006, 59, 460–464. [Google Scholar] [CrossRef]
- Amin, S.; Chung, H.; Jha, R. Hepatic epithelioid hemangioendothelioma: MR imaging findings. Abdom. Imaging 2011, 36, 407–414. [Google Scholar] [CrossRef]
- Nguyen, B.D. Epithelioid hemangioendothelioma of the liver with F-18 FDG PET imaging. Clin. Nucl. Med. 2004, 29, 828–830. [Google Scholar] [CrossRef] [PubMed]
- Da Ines, D.; Petitcolin, V.; Joubert-Zakeyh, J.; Demeocq, F.; Garcier, J.M. Epithelioid hemangioendothelioma of the liver with metastatic coeliac lymph nodes in an 11-year-old boy. Pediatr. Radiol. 2010, 40, 1293–1296. [Google Scholar] [CrossRef] [PubMed]
- Sharif, K.; English, M.; Ramani, P.; Alberti, D.; Otte, J.B.; McKiernan, P.; Gosseye, S.; Jenney, M.; de Ville de Goyet, J. Management of hepatic epithelioid haemangio-endothelioma in children: What option? Br. J. Cancer 2004, 90, 1498–1501. [Google Scholar] [CrossRef][Green Version]
- Grimaldi, C.; de Ville de Goyet, J.; Bici, K.; Cianci, M.C.; Callea, F.; Morabito, A. The role of liver transplantation in the care of primary hepatic vascular tumours in children. Front. Oncol. 2022, 12, 1026232. [Google Scholar] [CrossRef] [PubMed]
- Taege, C.; Holzhausen, H.; Günter, G.; Flemming, P.; Rodeck, B.; Rath, F.W. Malignant epithelioid hemangioendothelioma of the liver-a very rare tumor in children. Pathologe 1999, 20, 345–350. [Google Scholar] [CrossRef] [PubMed]
- Samuk, I.; Tekin, A.; Tryphonopoulos, P.; Pinto, I.G.; Garcia, J.; Weppler, D.; Levi, D.M.; Nishida, S.; Selvaggi, G.; Ruiz, P.; et al. Abdominal transplantation for unresectable tumors in children: The zooming out principle. Pediatr. Surg. Int. 2016, 32, 337–346. [Google Scholar] [CrossRef] [PubMed]
- Guiteau, J.J.; Cotton, R.T.; Karpen, S.J.; O’Mahony, C.A.; Goss, J.A. Pediatric liver transplantation for primary malignant liver tumors with a focus on hepatic epithelioid hemangioendothelioma: The UNOS experience. Pediatr. Transplant. 2010, 14, 326–331. [Google Scholar] [CrossRef]
- Lau, K.; Massad, M.; Pollak, C.; Rubin, C.; Yeh, J.; Wang, J.; Edelman, G.; Yeh, J.; Prasad, S.; Weinberg, G. Clinical patterns and outcome in epithelioid hemangioendothelioma with or without pulmonary involvement: Insights from an internet registry in the study of a rare cancer. Chest 2011, 140, 1312–1318. [Google Scholar] [CrossRef]
- Awan, S.; Davenport, M.; Portmann, B.; Howard, E.R. Angiosarcoma of the liver in children. J. Pediatr. Surg. 1996, 31, 1729–1732. [Google Scholar] [CrossRef]
- Grassia, K.L.; Peterman, C.M.; Iacobas, I.; Margolin, J.F.; Bien, E.; Padhye, B.; Meyers, R.L.; Adams, D.M. Clinical case series of pediatric hepatic angiosarcoma. Pediatr. Blood Cancer 2017, 64, e26627. [Google Scholar] [CrossRef]
- Kamath, S.M.; Mysorekar, V.V.; Kadamba, P. Hepatic angiosarcoma developing in an infantile hemangioendothelioma: A rare case report. J. Cancer Res. Ther. 2015, 11, 1022. [Google Scholar] [CrossRef] [PubMed]
- Falk, H.; Herbert, J.T.; Edmonds, L.; Heath, C.W., Jr.; Thomas, L.B.; Popper, H. Review of four cases of childhood hepatic angiosarcoma-elevated environmental arsenic exposure in one case. Cancer 1981, 47, 382–391. [Google Scholar] [CrossRef] [PubMed]
- Nord, K.M.; Kandel, J.; Lefkowitch, J.H.; Lobritto, S.J.; Morel, K.D.; North, P.E.; Garzon, M.C. Multiple cutaneous infantile hemangiomas associated with hepatic angiosarcoma: Case report and review of the literature. Pediatrics 2006, 118, e907–e913. [Google Scholar] [CrossRef] [PubMed]
- Al Dhaybi, R.; Agoumi, M.; Powell, J.; Dubois, J.; Kokta, V. Lymphangiosarcoma complicating extensive congenital mixed vascular malformations. Lymphat. Res. Biol. 2010, 8, 175–179. [Google Scholar] [CrossRef] [PubMed]
- Olson, T.S.; Chan, E.S.; Paessler, M.E.; Sullivan, K.E.; Frantz, C.N.; Russo, P.; Bessler, M. Liver failure due to hepatic angiosarcoma in an adolescent with dyskeratosis congenita. J. Pediatr. Hematol. Oncol. 2014, 36, 312–315. [Google Scholar] [CrossRef] [PubMed]
- Dimashkieh, H.H.; Mo, J.Q.; Wyatt-Ashmead, J.; Collins, M.H. Pediatric hepatic angiosarcoma: Case report and review of the literature. Pediatr. Dev. Pathol. 2004, 7, 527–532. [Google Scholar] [CrossRef] [PubMed]
- Park, Y.S.; Kim, J.H.; Kim, K.W.; Lee, I.S.; Yoon, H.K.; Ko, G.Y.; Sung, K.B. Primary hepatic angiosarcoma: Imaging findings and palliative treatment with transcatheter arterial chemoembolization or embolization. Clin. Radiol. 2009, 64, 779–785. [Google Scholar] [CrossRef] [PubMed]
- Koyama, T.; Fletcher, J.G.; Johnson, C.D.; Kuo, M.S.; Notohara, K.; Burgart, L.J. Primary hepatic angiosarcoma: Findings at CT and MR imaging. Radiology 2002, 222, 667–673. [Google Scholar] [CrossRef]
- Selby, D.M.; Stocker, J.T.; Ishak, K.G. Angiosarcoma of the liver in childhood: A clinicopathologic and follow-up study of 10 cases. Pediatr. Pathol. 1992, 12, 485–498. [Google Scholar] [CrossRef]
- Maeda, T.; Tateishi, U.; Hasegawa, T.; Ojima, H.; Arai, Y.; Sugimura, K. Primary hepatic angiosarcoma on coregistered FDG PET and CT images. AJR. Am. J. Roentgenol. 2007, 188, 1615–1617. [Google Scholar] [CrossRef]
- Seo, J.W.; Kim, S.H.; Kim, A.Y.; Jeong, W.K.; Woo, J.Y.; Park, W.J. Differentiating primary hepatic angiosarcomas from hemangiomatosis and epithelioid hemangioendotheliomas using gadoxetic acid-enhanced and diffusion-weighted MR imaging. Jpn. J. Radiol. 2017, 35, 655–663. [Google Scholar] [CrossRef] [PubMed]
- Kim, B.; Byun, J.H.; Lee, J.H.; Park, B.J.; Kwon, H.J.; Lee, J.H.; Lee, S.J.; Won, H.J.; Shin, Y.M.; Kim, P.N. Imaging findings of primary hepatic angiosarcoma on gadoxetate disodium-enhanced liver MRI: Comparison with hepatic haemangiomas of similar size. Clin. Radiol. 2018, 73, 244–253. [Google Scholar] [CrossRef] [PubMed]
- Pilbeam, K.; Eidenschink, B.; Sulciner, M.; Luquette, M.; Neglia, J.; Chinnakotla, S. Success of chemotherapy and a liver transplant in a pediatric patient with hepatic angiosarcoma: A case report. Pediatr. Transplant. 2019, 23, e13410. [Google Scholar] [CrossRef] [PubMed]
- Xue, M.; Masand, P.; Thompson, P.; Finegold, M.; Leung, D.H. Angiosarcoma successfully treated with liver transplantation and sirolimus. Pediatr. Transplant. 2014, 18, E114–E119. [Google Scholar] [CrossRef] [PubMed]
- Nguyen, H.; Stelling, A.; Kuramoto, A.; Patel, C.; Keller, J. Malignant rhabdoid tumor of the liver: Findings at US, CT, and MRI, with histopathologic correlation. Radiol. Case Rep. 2014, 9, e00031. [Google Scholar] [CrossRef] [PubMed]
- Fuchs, J.; Murtha-Lemekhova, A.; Kessler, M.; Ruping, F.; Günther, P.; Fichtner, A.; Sturm, D.; Hoffmann, K. A Systematic Review and Meta-Analysis of Malignant Rhabdoid and Small Cell Undifferentiated Liver Tumors: A Rational for a Uniform Classification. Cancers 2022, 14, 272. [Google Scholar] [CrossRef]
- Abe, T.; Oguma, E.; Nozawa, K.; Sato, Y.; Arakawa, A.; Kikuchi, A.; Kishimoto, H.; Minami, M. Malignant rhabdoid tumor of the liver: A case report with US and CT manifestation. Jpn. J. Radiol. 2009, 27, 462–465. [Google Scholar] [CrossRef]
- Nemes, K.; Frühwald, M.C. Emerging therapeutic targets for the treatment of malignant rhabdoid tumors. Expert Opin. Ther. Targets 2018, 22, 365–379. [Google Scholar] [CrossRef]
- Trobaugh-Lotrario, A.D.; Finegold, M.J.; Feusner, J.H. Rhabdoid tumors of the liver: Rare, aggressive, and poorly responsive to standard cytotoxic chemotherapy. Pediatr. Blood Cancer 2011, 57, 423–428. [Google Scholar] [CrossRef]
- Liu, H.; Bruner, E.T.; Yang, J. Cytologic features of malignant rhabdoid tumor of the liver: A case report and literature review. Diagn. Cytopathol. 2021, 49, E364–E369. [Google Scholar] [CrossRef]
- Trobaugh-Lotrario, A.D.; Tomlinson, G.E.; Finegold, M.J.; Gore, L.; Feusner, J.H. Small cell undifferentiated variant of hepatoblastoma: Adverse clinical and molecular features similar to rhabdoid tumors. Pediatr. Blood Cancer 2009, 52, 328–334. [Google Scholar] [CrossRef] [PubMed]
- Al Nassan, A.; Sughayer, M.; Matalka, I.; Ghandour, K.; Masarweh, M.; Zimmermann, A.; Sultan, I. INI1 (BAF 47) immunohistochemistry is an essential diagnostic tool for children with hepatic tumors and low alpha fetoprotein. J. Pediatr. Hematol. Oncol. 2010, 32, e79–e81. [Google Scholar] [CrossRef] [PubMed]
- Agarwala, S.; Jindal, B.; Jana, M.; Bhatnagar, V.; Gupta, A.K.; Iyer, V.K. Malignant rhabdoid tumor of liver. J. Indian Assoc. Pediatr. Surg. 2014, 19, 38–40. [Google Scholar] [CrossRef]
- Ivana, D.; Sofija, C.; Polina, P.; Smilja, R. Malignant rhabdoid tumor-The great mimicker: Two case reports. Radiol. Case Rep. 2021, 16, 815–818. [Google Scholar] [CrossRef] [PubMed]
- Jayaram, A.; Finegold, M.J.; Parham, D.M.; Jasty, R. Successful management of rhabdoid tumor of the liver. J. Pediatr. Hematol. Oncol. 2007, 29, 406–408. [Google Scholar] [CrossRef]
- Algar, E.M.; Muscat, A.; Dagar, V.; Rickert, C.; Chow, C.W.; Biegel, J.A.; Ekert, P.G.; Saffery, R.; Craig, J.; Johnstone, R.W.; et al. Imprinted CDKN1C is a tumor suppressor in rhabdoid tumor and activated by restoration of SMARCB1 and histone deacetylase inhibitors. PLoS ONE 2009, 4, e4482. [Google Scholar] [CrossRef]
- Gadd, S.; Sredni, S.T.; Huang, C.C.; Perlman, E.J. Rhabdoid tumor: Gene expression clues to pathogenesis and potential therapeutic targets. Lab. Investig. 2010, 90, 724–738. [Google Scholar] [CrossRef]









Disclaimer/Publisher’s Note: The statements, opinions and data contained in all publications are solely those of the individual author(s) and contributor(s) and not of MDPI and/or the editor(s). MDPI and/or the editor(s) disclaim responsibility for any injury to people or property resulting from any ideas, methods, instructions or products referred to in the content. |
© 2023 by the authors. Licensee MDPI, Basel, Switzerland. This article is an open access article distributed under the terms and conditions of the Creative Commons Attribution (CC BY) license (https://creativecommons.org/licenses/by/4.0/).
Share and Cite
Dong, Y.; Cekuolis, A.; Schreiber-Dietrich, D.; Augustiniene, R.; Schwarz, S.; Möller, K.; Nourkami-Tutdibi, N.; Chen, S.; Cao, J.-Y.; Huang, Y.-L.; et al. Review on Pediatric Malignant Focal Liver Lesions with Imaging Evaluation: Part II. Diagnostics 2023, 13, 3659. https://doi.org/10.3390/diagnostics13243659
Dong Y, Cekuolis A, Schreiber-Dietrich D, Augustiniene R, Schwarz S, Möller K, Nourkami-Tutdibi N, Chen S, Cao J-Y, Huang Y-L, et al. Review on Pediatric Malignant Focal Liver Lesions with Imaging Evaluation: Part II. Diagnostics. 2023; 13(24):3659. https://doi.org/10.3390/diagnostics13243659
Chicago/Turabian StyleDong, Yi, Andrius Cekuolis, Dagmar Schreiber-Dietrich, Rasa Augustiniene, Simone Schwarz, Kathleen Möller, Nasenien Nourkami-Tutdibi, Sheng Chen, Jia-Ying Cao, Yun-Lin Huang, and et al. 2023. "Review on Pediatric Malignant Focal Liver Lesions with Imaging Evaluation: Part II" Diagnostics 13, no. 24: 3659. https://doi.org/10.3390/diagnostics13243659
APA StyleDong, Y., Cekuolis, A., Schreiber-Dietrich, D., Augustiniene, R., Schwarz, S., Möller, K., Nourkami-Tutdibi, N., Chen, S., Cao, J.-Y., Huang, Y.-L., Wang, Y., Taut, H., Grevelding, L., & Dietrich, C. F. (2023). Review on Pediatric Malignant Focal Liver Lesions with Imaging Evaluation: Part II. Diagnostics, 13(24), 3659. https://doi.org/10.3390/diagnostics13243659

