Diffusion-Weighted MR Imaging of the Thymus in Children with Non-Thymic Neoplasms
Abstract
:1. Introduction
2. Materials and Methods
2.1. Study Population
2.2. Image Analysis
2.3. Imaging Techniques
2.4. Statistical Analysis
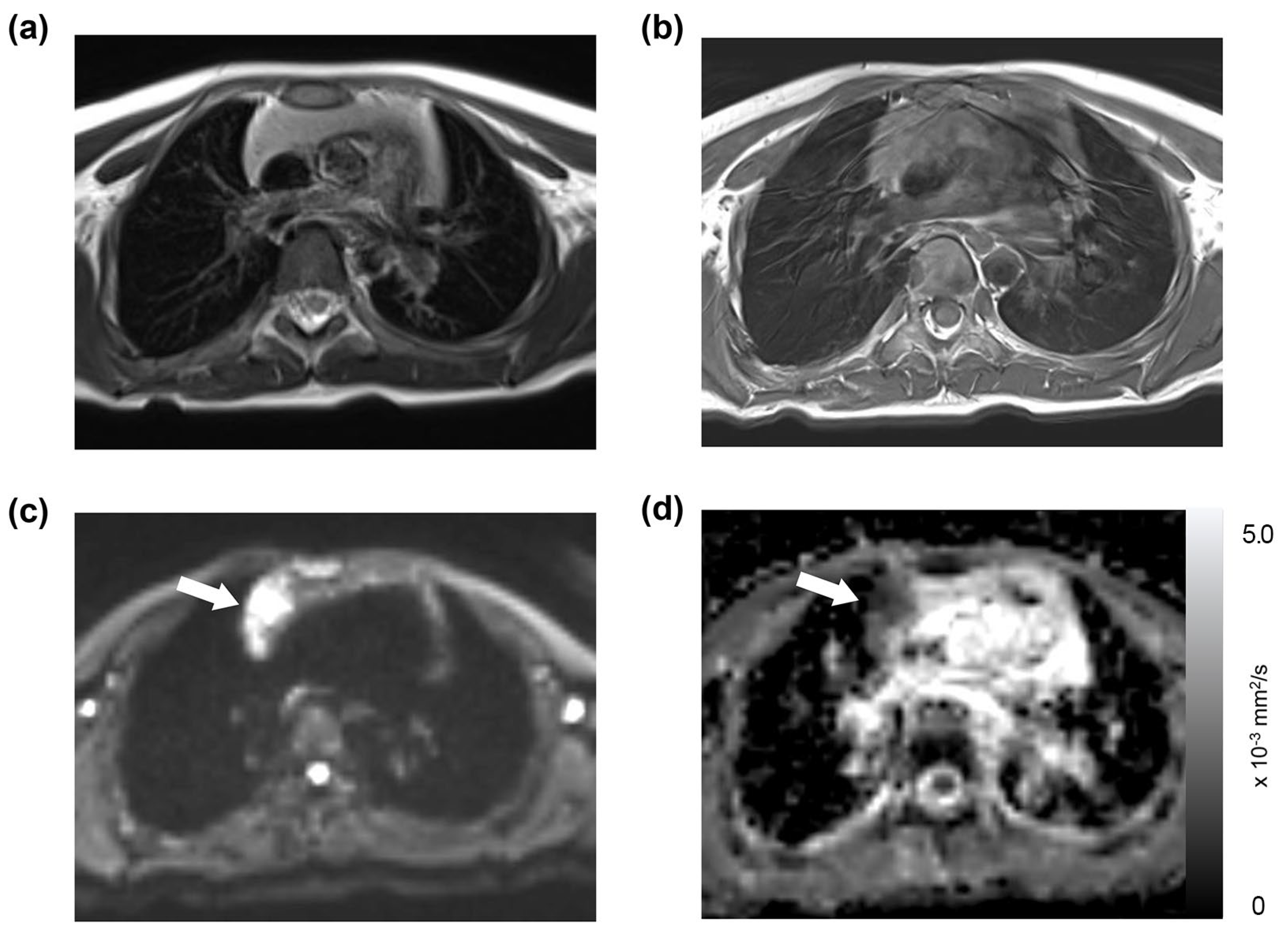
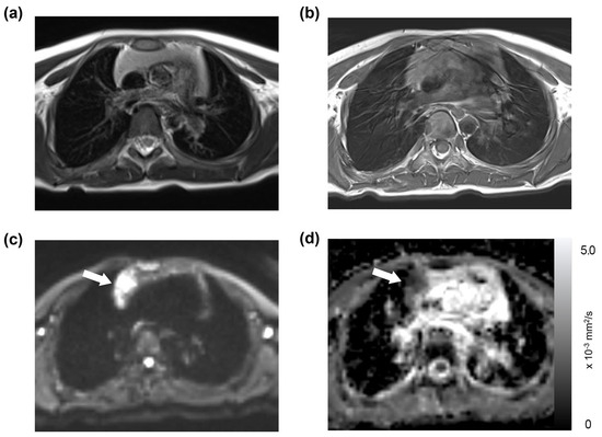
3. Results
4. Discussion
Supplementary Materials
Author Contributions
Funding
Institutional Review Board Statement
Informed Consent Statement
Data Availability Statement
Conflicts of Interest
Abbreviations
| ADC | Apparent diffusion coefficient |
| DWI | Diffusion-weighted imaging |
| ROI | Region of interest |
References
- Koh, D.M.; Collins, D.J. Diffusion-weighted MRI in the body: Applications and challenges in oncology. AJR Am. J. Roentgenol. 2007, 188, 1622–1635. [Google Scholar] [CrossRef] [PubMed]
- Padhani, A.R.; Koh, D.M.; Collins, D.J. Whole-body diffusion-weighted MR imaging in cancer: Current status and research directions. Radiology 2011, 261, 700–718. [Google Scholar] [CrossRef] [PubMed]
- Leonidas, J.C. The thymus: From past misconception to present recognition. Pediatr. Radiol. 1998, 28, 275–282. [Google Scholar] [CrossRef] [PubMed]
- Heiberg, E.; Wolverson, M.K.; Sundaram, M.; Nouri, S. Normal thymus: CT characteristics in subjects under age 20. AJR Am. J. Roentgenol. 1982, 138, 491–494. [Google Scholar] [CrossRef] [PubMed]
- Rini, J.N.; Leonidas, J.C.; Tomas, M.B.; Chen, B.; Karaylcin, G.; Palestro, C.J. 18F-FDG Uptake in the Anterior Mediastinum. Physiologic Thymic Uptake or Disease? Clin. Positron Imaging 2000, 3, 115–125. [Google Scholar] [CrossRef] [PubMed]
- Farley, A.M.; Morris, L.X.; Vroegindeweij, E.; Depreter, M.L.; Vaidya, H.; Stenhouse, F.H.; Tomlinson, S.R.; Anderson, R.A.; Cupedo, T.; Cornelissen, J.J.; et al. Dynamics of thymus organogenesis and colonization in early human development. Development 2013, 140, 2015–2026. [Google Scholar] [CrossRef]
- Hale, L.P. Histologic and molecular assessment of human thymus. Ann. Diagn. Pathol. 2004, 8, 50–60. [Google Scholar] [CrossRef]
- Francis, I.R.; Glazer, G.M.; Bookstein, F.L.; Gross, B.H. The thymus: Reexamination of age-related changes in size and shape. AJR Am. J. Roentgenol. 1985, 145, 249–254. [Google Scholar] [CrossRef]
- Priola, A.M.; Priola, S.M.; Gned, D.; Giraudo, M.T.; Veltri, A. Nonsuppressing normal thymus on chemical-shift MR imaging and anterior mediastinal lymphoma: Differentiation with diffusion-weighted MR imaging by using the apparent diffusion coefficient. Eur. Radiol. 2018, 28, 1427–1437. [Google Scholar] [CrossRef]
- Priola, A.M.; Priola, S.M.; Ciccone, G.; Evangelista, A.; Cataldi, A.; Gned, D.; Paze, F.; Ducco, L.; Moretti, F.; Brundu, M.; et al. Differentiation of rebound and lymphoid thymic hyperplasia from anterior mediastinal tumors with dual-echo chemical-shift MR imaging in adulthood: Reliability of the chemical-shift ratio and signal intensity index. Radiology 2015, 274, 238–249. [Google Scholar] [CrossRef]
- Takahashi, K.; Inaoka, T.; Murakami, N.; Hirota, H.; Iwata, K.; Nagasawa, K.; Yamada, T.; Mineta, M.; Aburano, T. Characterization of the normal and hyperplastic thymus on chemical-shift MR imaging. AJR Am. J. Roentgenol. 2003, 180, 1265–1269. [Google Scholar] [CrossRef] [PubMed]
- Inaoka, T.; Takahashi, K.; Iwata, K.; Fajardo, L.; VanBeek, E.; Sato, Y.; Yamada, T.; Nagasawa, K.; Shuke, N.; Aburano, T. Evaluation of normal fatty replacement of the thymus with chemical-shift MR imaging for identification of the normal thymus. J. Magn. Reson. Imaging 2005, 22, 341–346. [Google Scholar] [CrossRef] [PubMed]
- Wee, T.; Lee, A.F.; Nadel, H.; Bray, H. The paediatric thymus: Recognising normal and ectopic thymic tissue. Clin. Radiol. 2021, 76, 477–487. [Google Scholar] [CrossRef] [PubMed]
- Liu, D.; Kitajima, M.; Awai, K.; Nakayama, Y.; Tamura, Y.; Suda, H.; Asonuma, K.; Inomata, Y.; Yamashita, Y. Ectopic cervical thymus in an infant. Radiat. Med. 2006, 24, 452–455. [Google Scholar] [CrossRef] [PubMed]
- Baron, R.L.; Lee, J.K.; Sagel, S.S.; Peterson, R.R. Computed tomography of the normal thymus. Radiology 1982, 142, 121–125. [Google Scholar] [CrossRef] [PubMed]
- Li, Y.R.; Zuniga-Pflucker, J.C. Thymus aging and immune reconstitution, progresses and challenges. Semin. Immunol. 2023, 70, 101837. [Google Scholar] [CrossRef] [PubMed]
- Nakahara, T.; Fujii, H.; Ide, M.; Nishiumi, N.; Takahashi, W.; Yasuda, S.; Shohtsu, A.; Kubo, A. FDG uptake in the morphologically normal thymus: Comparison of FDG positron emission tomography and CT. Br. J. Radiol. 2001, 74, 821–824. [Google Scholar] [CrossRef] [PubMed]
- St. Amour, T.E.; Siegel, M.J.; Glazer, H.S.; Nadel, S.N. CT appearances of the normal and abnormal thymus in childhood. J. Comput. Assist. Tomogr. 1987, 11, 645–650. [Google Scholar] [CrossRef]
- Siegel, M.J.; Glazer, H.S.; Wiener, J.I.; Molina, P.L. Normal and abnormal thymus in childhood: MR imaging. Radiology 1989, 172, 367–371. [Google Scholar] [CrossRef]
- McInnis, M.C.; Flores, E.J.; Shepard, J.A.; Ackman, J.B. Pitfalls in the Imaging and Interpretation of Benign Thymic Lesions: How Thymic MRI Can Help. AJR Am. J. Roentgenol. 2016, 206, W1–W8. [Google Scholar] [CrossRef]
- Priola, A.M.; Galetto, G.; Priola, S.M. Diagnostic and functional imaging of thymic and mediastinal involvement in lymphoproliferative disorders. Clin. Imaging 2014, 38, 771–784. [Google Scholar] [CrossRef] [PubMed]
- Nasseri, F.; Eftekhari, F. Clinical and radiologic review of the normal and abnormal thymus: Pearls and pitfalls. Radiographics 2010, 30, 413–428. [Google Scholar] [CrossRef] [PubMed]
- Thuy, T.T.M.; Trang, N.T.H.; Vy, T.T.; Duc, V.T.; Nam, N.H.; Chien, P.C.; Nhi, L.H.H.; Minh, L.H.N. Role of diffusion-weighted MRI in differentiation between benign and malignant anterior mediastinal masses. Front. Oncol. 2022, 12, 985735. [Google Scholar] [CrossRef] [PubMed]
- Moore, A.V.; Korobkin, M.; Olanow, W.; Heaston, D.K.; Ram, P.C.; Dunnick, N.R.; Silverman, P.M. Age-related changes in the thymus gland: CT-pathologic correlation. AJR Am. J. Roentgenol. 1983, 141, 241–246. [Google Scholar] [CrossRef] [PubMed]
- De Geer, G.; Webb, W.R.; Gamsu, G. Normal thymus: Assessment with MR and CT. Radiology 1986, 158, 313–317. [Google Scholar] [CrossRef] [PubMed]
- Priola, A.M.; Priola, S.M.; Giraudo, M.T.; Gned, D.; Giardino, R.; Marci, V.; Errico, L.; Veltri, A. Chemical-shift and diffusion-weighted magnetic resonance imaging of thymus in myasthenia gravis: Usefulness of quantitative assessment. Investig. Radiol. 2015, 50, 228–238. [Google Scholar] [CrossRef] [PubMed]
- Choyke, P.L.; Zeman, R.K.; Gootenberg, J.E.; Greenberg, J.N.; Hoffer, F.; Frank, J.A. Thymic atrophy and regrowth in response to chemotherapy: CT evaluation. AJR Am. J. Roentgenol. 1987, 149, 269–272. [Google Scholar] [CrossRef]
- Araki, T.; Sholl, L.M.; Gerbaudo, V.H.; Hatabu, H.; Nishino, M. Imaging characteristics of pathologically proven thymic hyperplasia: Identifying features that can differentiate true from lymphoid hyperplasia. AJR Am. J. Roentgenol. 2014, 202, 471–478. [Google Scholar] [CrossRef]
- Suster, D.; Ronen, N.; Pierce, D.C.; Suster, S. Thymic Parenchymal Hyperplasia. Mod. Pathol. 2023, 36, 100207. [Google Scholar] [CrossRef]
- Ricci, C.; Pescarmona, E.; Rendina, E.A.; Venuta, F.; Ruco, L.P.; Baroni, C.D. True thymic hyperplasia: A clinicopathological study. Ann. Thorac. Surg. 1989, 47, 741–745. [Google Scholar] [CrossRef]
- Hasselbalch, H.; Ersboll, A.K.; Jeppesen, D.L.; Nielsen, M.B. Thymus size in infants from birth until 24 months of age evaluated by ultrasound. A longitudinal prediction model for the thymic index. Acta Radiol. 1999, 40, 41–44. [Google Scholar] [CrossRef]
- Jeppesen, D.L.; Hasselbalch, H.; Lisse, I.M.; Ersboll, A.K.; Engelmann, M.D. T-lymphocyte subsets, thymic size and breastfeeding in infancy. Pediatr. Allergy Immunol. 2004, 15, 127–132. [Google Scholar] [CrossRef] [PubMed]
- Jerushalmi, J.; Frenkel, A.; Bar-Shalom, R.; Khoury, J.; Israel, O. Physiologic thymic uptake of 18F-FDG in children and young adults: A PET/CT evaluation of incidence, patterns, and relationship to treatment. J. Nucl. Med. 2009, 50, 849–853. [Google Scholar] [CrossRef] [PubMed]
- Kivrak, A.S.; Paksoy, Y.; Erol, C.; Koplay, M.; Ozbek, S.; Kara, F. Comparison of apparent diffusion coefficient values among different MRI platforms: A multicenter phantom study. Diagn. Interv. Radiol. 2013, 19, 433–437. [Google Scholar] [CrossRef] [PubMed]
- Rosenkrantz, A.B.; Oei, M.; Babb, J.S.; Niver, B.E.; Taouli, B. Diffusion-weighted imaging of the abdomen at 3.0 Tesla: Image quality and apparent diffusion coefficient reproducibility compared with 1.5 Tesla. J. Magn. Reson. Imaging 2011, 33, 128–135. [Google Scholar] [CrossRef] [PubMed]
- Zhang, J.L.; Sigmund, E.E.; Chandarana, H.; Rusinek, H.; Chen, Q.; Vivier, P.H.; Taouli, B.; Lee, V.S. Variability of renal apparent diffusion coefficients: Limitations of the monoexponential model for diffusion quantification. Radiology 2010, 254, 783–792. [Google Scholar] [CrossRef]
- Donati, O.F.; Chong, D.; Nanz, D.; Boss, A.; Froehlich, J.M.; Andres, E.; Seifert, B.; Thoeny, H.C. Diffusion-weighted MR imaging of upper abdominal organs: Field strength and intervendor variability of apparent diffusion coefficients. Radiology 2014, 270, 454–463. [Google Scholar] [CrossRef]








| Philips | Siemens A | Siemens B | ||||||||||
|---|---|---|---|---|---|---|---|---|---|---|---|---|
| DWI | Axial T2-WI | Coronal T2-WI | Axial T1-WI | DWI | Axial T2-WI | Coronal T2-WI | Axial T1-WI | DWI | Axial T2-WI | Coronal T2-WI | Axial T1-WI | |
| Imaging technique | EPI | TSE | TSE | TSE | EPI | BLADE | BLADE | TSE | EPI | BLADE | BLADE | TSE |
| B-values (mm2/s) | 0 and 800 | 0 and 800 | 0 and 800 | |||||||||
| TR/TE (ms) | 1672/60 | 2118/65 | 2118/65 | 700/5 | 7500/56 | 3690/95 | 5160/95 | 100/8.4 | 7300/64 | 3710/91 | 2760/90 | 413/8.4 |
| Flip angle (°) | 90 | 90 | 90 | 90 | 90 | 106 | 102 | 120 | 90 | 113 | 113 | 120 |
| NEX | 2 | 2 | 2 | 1 | 2 and 8 | 1 | 1 | 1 | 2 and 4 | 1 | 1 | 1 |
| Matrix size | 192 × 192 | 512 × 512 | 512 × 512 | 512 × 512 | 260 × 260 | 380 × 380 | 380 × 380 | 380 × 380 | 360 × 360 | 360 × 360 | 400 × 400 | 360 × 360 |
| FOV (mm) | 260 | 250 | 250 | 250 | 340 | 320 | 320 | 320 | 360 | 360 | 400 | 360 |
| Slice thickness (mm) | 5 | 5 | 5 | 5 | 5 | 5 | 4 | 5 | 5 | 5 | 4 | 5 |
| Acquisition time (min:s) | 1:30 | 5:18 | 3:15 | 2:20 | 1:42 | 1:30 | 1:10 | 1:40 | 2:04 | 1:40 | 00:50 | 01:22 |
| Variable | Patients (N = 67) |
|---|---|
| Age (y) a,b | 5.5 ± 3.7 |
| Male-to-female ratio | 32:35 |
| Underlying disease c | |
| Neuroblastoma | 33 (49%) |
| Ganglioneuroblastoma | 18 (27%) |
| Congenital vascular malformation | 9 (13%) |
| Ganglioneuroma | 2 (3%) |
| Undifferentiated pleomorphic sarcoma | 1 (1%) |
| Pulmonary sequestration | 1 (1%) |
| Duplication cyst | 1 (1%) |
| Ewing sarcoma | 1 (1%) |
| Lipoblastoma | 1 (1%) |
| Variable | Total | Restricted Diffusion (n = 86) | Unrestricted Diffusion (n = 105) | p-Value |
|---|---|---|---|---|
| Age (y) a | 4.8 (2.5, 8.4) | 4.8 (2.6, 8.4) | 4.8 (2.3, 8.4) | 0.777 |
| Sex, male | 81 (42%) | 37 (43%) | 44 (42%) | 0.897 |
| Underlying disease | 0.842 | |||
| Benign | 19 (10%) | 9 (10%) | 10 (10%) | |
| Malignant | 172 (90%) | 77 (90%) | 95 (90%) | |
| MRI vendor | 0.258 | |||
| Philips | 84 (44%) | 43 (50%) | 41 (39%) | |
| Siemens A | 60 (31%) | 21 (24%) | 39 (37%) | |
| Siemens B | 47 (25%) | 22 (26%) | 25 (24%) | |
| Laboratory data a,b | ||||
| WBC count (×103/μL) | 5.41 (4.08, 6.67) | 5.63 (4.56, 6.96) | 5.21 (3.41, 6.38) | 0.130 |
| Absolute neutrophil count (×103/μL) | 2.2 (1.6, 3.1) | 2.2 (1.65, 2.89) | 2.2 (1.59, 3.4) | 0.144 |
| Absolute lymphocyte count (×103/μL) | 2.36 (0.91, 3.16) | 2.74 (2.14, 3.67) | 2.01 (0.60, 2.63) | <0.001 |
| Platelet count (×103/μL) | 250 (198, 314) | 251 (215, 304) | 241 (164, 317) | 0.530 |
| Thymus size | <0.001 | |||
| Diminished | 61 (32%) | 6 (7%) | 55 (52%) | |
| Prominent | 130 (68%) | 80 (93%) | 50 (48%) | |
| Thymus signal intensity | ||||
| Slightly hyperintense on T2-WI | 191 (100%) | 86 (100%) | 105 (100%) | 1 |
| Slightly hyperintense on T1-WI | 58 (30%) | 31 (36%) | 27 (26%) | 0.171 |
| Isointense on T1-WI | 133 (70%) | 55 (64%) | 78 (74%) | |
| Treatment status c | <0.001 | |||
| On-treatment | 47 (25%) | 5 (6%) | 42 (40%) | |
| Non-treatment | 144 (75%) | 81 (94%) | 63 (60%) | |
| Treatment status subtype c | ||||
| Chemotherapy | 41 (21%) | 3 (3%) | 38 (36%) | <0.001 |
| Radiation therapy | 3 (2%) | 1 (1%) | 2 (2%) | 0.571 |
| Surgery | 3 (2%) | 1 (1%) | 2 (2%) | 0.571 |
| Post-treatment | 110 (58%) | 65 (76%) | 45 (43%) | 0.493 |
| Before treatment initiation | 19 (10%) | 8 (9%) | 11 (10%) | 0.808 |
| Under observation without treatment | 15 (8%) | 8 (9%) | 7 (7%) | 0.890 |
Disclaimer/Publisher’s Note: The statements, opinions and data contained in all publications are solely those of the individual author(s) and contributor(s) and not of MDPI and/or the editor(s). MDPI and/or the editor(s) disclaim responsibility for any injury to people or property resulting from any ideas, methods, instructions or products referred to in the content. |
© 2023 by the authors. Licensee MDPI, Basel, Switzerland. This article is an open access article distributed under the terms and conditions of the Creative Commons Attribution (CC BY) license (https://creativecommons.org/licenses/by/4.0/).
Share and Cite
Hwang, S.M.; Park, J.E.; Yoo, S.-Y.; Kim, J.H.; Baek, S.-Y.; Moon, S.-H.; Jeon, T.Y. Diffusion-Weighted MR Imaging of the Thymus in Children with Non-Thymic Neoplasms. Diagnostics 2023, 13, 3654. https://doi.org/10.3390/diagnostics13243654
Hwang SM, Park JE, Yoo S-Y, Kim JH, Baek S-Y, Moon S-H, Jeon TY. Diffusion-Weighted MR Imaging of the Thymus in Children with Non-Thymic Neoplasms. Diagnostics. 2023; 13(24):3654. https://doi.org/10.3390/diagnostics13243654
Chicago/Turabian StyleHwang, Sook Min, Ji Eun Park, So-Young Yoo, Ji Hye Kim, Sun-Young Baek, Sung-Hoon Moon, and Tae Yeon Jeon. 2023. "Diffusion-Weighted MR Imaging of the Thymus in Children with Non-Thymic Neoplasms" Diagnostics 13, no. 24: 3654. https://doi.org/10.3390/diagnostics13243654
APA StyleHwang, S. M., Park, J. E., Yoo, S.-Y., Kim, J. H., Baek, S.-Y., Moon, S.-H., & Jeon, T. Y. (2023). Diffusion-Weighted MR Imaging of the Thymus in Children with Non-Thymic Neoplasms. Diagnostics, 13(24), 3654. https://doi.org/10.3390/diagnostics13243654

