Hereditary Transthyretin Amyloidosis: How to Differentiate Carriers and Patients Using Speckle-Tracking Echocardiography
Abstract
:1. Introduction
2. Material and Methods
- TTR gene mutation able to cause ATTRv amyloidosis;
- Age between 18 and 80 years old;
- Any stage of cardiac amyloidosis;
- Any stage of polyneuropathy.
- Patients with ATTRwt cardiac amyloidosis;
- Patients with AL cardiac amyloidosis and multiple myeloma;
- Bad acoustic window to perform STE.
- Group A: patients with both cardiac amyloidosis and neurological involvement.
- Group B: patients with only polyneuropathy.
- Group C: carriers.
Statistical Analysis
3. Results
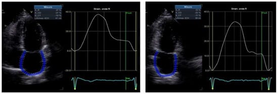
3.1. Echocardiographic Characteristics
- The population with cardiac amyloidosis vs. that with amyloid polyneuropathy (group A vs. group B)
- The population with amyloid polyneuropathy vs. carriers (groups B vs. group C).
3.2. Population with Amyloid Polyneuropathy vs. Carriers
3.3. Population with Cardiac Amyloidosis vs. Amyloid Polyneuropathy
4. Discussion
5. Conclusions
Study Limitations
Author Contributions
Funding
Institutional Review Board Statement
Informed Consent Statement
Data Availability Statement
Conflicts of Interest
References
- Gertz, M.; Adams, D.; Ando, Y.; Beirão, J.M.; Bokhari, S.; Coelho, T.; Comenzo, R.L.; Damy, T.; Dorbala, S.; Drachman, B.M.; et al. Avoiding misdiagnosis: Expert consensus recommendations for the suspicion and diagnosis of transthyretin amyloidosis for the general practitioner. BMC Fam. Pract. 2020, 21, 198. [Google Scholar] [CrossRef]
- Kwok, C.S.; Farzaneh-Far, A.; Mamas, M.A. Red flags in cardiac amyloidosis. Eur. J. Prev. Cardiol. 2020, 27, 1804–1805. [Google Scholar] [CrossRef]
- Di Stefano, V.; Lupica, A.; Alonge, P.; Pignolo, A.; Augello, S.M.; Gentile, F.; Gagliardo, A.; Giglia, F.; Brinch, D.; Cappello, M.; et al. Genetic screening for hereditary transthyretin amyloidosis with polyneuropathy in western Sicily: Two years of experience in a neurological clinic. Eur. J. Neurol. 2023; early view. [Google Scholar] [CrossRef]
- Griffin, J.M.; Rosenthal, J.L.; Grodin, J.L.; Maurer, M.S.; Grogan, M.; Cheng, R.K. ATTR Amyloidosis: Current and Emerging Management Strategies: JACC: CardioOncology State-of-the-Art Review. JACC CardioOncol. 2021, 3, 488–505. [Google Scholar] [CrossRef] [PubMed]
- Falk, R.H.; Alexander, K.M.; Liao, R.; Dorbala, S. AL (Light-Chain) Cardiac Amyloidosis: A Review of Diagnosis and Therapy. J. Am. Coll. Cardiol. 2016, 68, 1323–1341. [Google Scholar] [CrossRef] [PubMed]
- Benson, M.D.; Buxbaum, J.N.; Eisenberg, D.S.; Merlini, G.; Saraiva, M.J.M.; Sekijima, Y.; Sipe, J.D. Amyloid nomenclature 2018: Recommendations by the International Society of Amyloidosis (ISA) nomenclature committee. Amyloid 2018, 25, 215–219. [Google Scholar] [CrossRef] [PubMed]
- Adams, D.; Koike, H.; Slama, M.; Coelho, T. Hereditary transthyretin amyloidosis: A model of medical progress for a fatal disease. Nat. Rev. Neurol. 2019, 15, 387–404. [Google Scholar] [CrossRef] [PubMed]
- Wechalekar, A.D.; Gillmore, J.D.; Hawkins, P.N. Systemic amyloidosis. Lancet 2016, 387, 2641–2654. [Google Scholar] [CrossRef]
- Smiseth, O.A.; A Morris, D.; Cardim, N.; Cikes, M.; Delgado, V.; Donal, E.; A Flachskampf, F.; Galderisi, M.; Gerber, B.L.; Gimelli, A.; et al. Multimodality imaging in patients with heart failure and preserved ejection fraction: An expert consensus document of the European Association of Cardiovascular Imaging. Eur. Heart J. Cardiovasc. Imaging 2022, 23, e34–e61. [Google Scholar] [CrossRef]
- Ternacle, J.; Krapf, L.; Mohty, D.; Magne, J.; Nguyen, A.; Galat, A.; Gallet, R.; Teiger, E.; Côté, N.; Clavel, M.-A.; et al. Aortic Stenosis and Cardiac Amyloidosis: JACC Review Topic of the Week. J. Am. Coll. Cardiol. 2019, 74, 2638–2651. [Google Scholar] [CrossRef] [PubMed]
- Aimo, A.; Rapezzi, C.; Vergaro, G.; Giannoni, A.; Spini, V.; Passino, C.; Emdin, M. Management of complications of cardiac amyloidosis: 10 questions and answers. Eur. J. Prev. Cardiol. 2021, 28, 1000–1005. [Google Scholar] [CrossRef] [PubMed]
- Rowczenio, D.M.; Noor, I.; Gillmore, J.D.; Lachmann, H.; Whelan, C.; Hawkins, P.N.; Obici, L.; Westermark, P.; Grateau, G.; Wechalekar, A.D. Online registry for mutations in hereditary amyloidosis including nomenclature recommendations. Hum. Mutat. 2014, 35, E2403–E2412. [Google Scholar] [CrossRef]
- Rapezzi, C.; Quarta, C.C.; Obici, L.; Perfetto, F.; Longhi, S.; Salvi, F.; Biagini, E.; Lorenzini, M.; Grigioni, F.; Leone, O.; et al. Disease profile and differential diagnosis of hereditary transthyretin-related amyloidosis with exclusively cardiac phenotype: An Italian perspective. Eur. Heart J. 2013, 34, 520–528. [Google Scholar] [CrossRef]
- Garcia-Pavia, P.; Rapezzi, C.; Adler, Y.; Arad, M.; Basso, C.; Brucato, A.; Burazor, I.; Caforio, A.L.P.; Damy, T.; Eriksson, U.; et al. Diagnosis and treatment of cardiac amyloidosis: A position statement of the ESC Working Group on Myocardial and Pericardial Diseases. Eur. Heart J. 2021, 42, 1554–1568. [Google Scholar] [CrossRef] [PubMed]
- Boldrini, M.; Cappelli, F.; Chacko, L.; Restrepo-Cordoba, M.A.; Lopez-Sainz, A.; Giannoni, A.; Aimo, A.; Baggiano, A.; Martinez-Naharro, A.; Whelan, C.; et al. Multiparametric Echocardiography Scores for the Diagnosis of Cardiac Amyloidosis. JACC Cardiovasc. Imaging 2020, 13, 909–920. [Google Scholar] [CrossRef] [PubMed]
- Phelan, D.; Collier, P.; Thavendiranathan, P.; Popović, Z.B.; Hanna, M.; Plana, J.C.; Marwick, T.H.; Thomas, J.D. Relative apical sparing of longitudinal strain using two-dimensional speckle-tracking echocardiography is both sensitive and specific for the diagnosis of cardiac amyloidosis. Heart 2012, 98, 1442–1448. [Google Scholar] [CrossRef] [PubMed]
- Mandoli, G.E.; Cameli, M.; Pastore, M.C.; Benfari, G.; Malagoli, A.; D’Andrea, A.; Sperlongano, S.; Bandera, F.; Esposito, R.; Santoro, C.; et al. Speckle tracking echocardiography in early disease stages: A therapy modifier? J. Cardiovasc. Med. 2023, 24 (Suppl. 1), e55–e66. [Google Scholar] [CrossRef]
- Delgado, V.; Ajmone Marsan, N. Global and Regional Longitudinal Strain Assessment in Hypertrophic Cardiomyopathy. Circ. Cardiovasc. Imaging 2019, 12, e009586. [Google Scholar] [CrossRef]
- Rapezzi, C.; Fontana, M. Relative Left Ventricular Apical Sparing of Longitudinal Strain in Cardiac Amyloidosis: Is it Just Amyloid Infiltration? JACC Cardiovasc. Imaging 2019, 12, 1174–1176. [Google Scholar] [CrossRef]
- Pagourelias, E.D.; Mirea, O.; Duchenne, J.; Van Cleemput, J.; Delforge, M.; Bogaert, J.; Kuznetsova, T.; Voigt, J.-U. Echo Parameters for Differential Diagnosis in Cardiac Amyloidosis: A Head-to-Head Comparison of Deformation and Nondeformation Parameters. Circ. Cardiovasc. Imaging 2017, 10, e005588. [Google Scholar] [CrossRef] [PubMed]
- Geenty, P.; Sivapathan, S.; Stefani, L.D.; Boyd, A.; Richards, D.; Kwok, F.; Taylor, M.S.; Stewart, G.; Thomas, L. Left Ventricular Mass-To-Strain Ratio Predicts Cardiac Amyloid Subtype. JACC Cardiovasc. Imaging 2021, 14, 690–692. [Google Scholar] [CrossRef]
- Gillmore, J.D.; Maurer, M.S.; Falk, R.H.; Merlini, G.; Damy, T.; Dispenzieri, A.; Wechalekar, A.D.; Berk, J.L.; Quarta, C.C.; Grogan, M.; et al. Nonbiopsy Diagnosis of Cardiac Transthyretin Amyloidosis. Circulation 2016, 133, 2404–2412. [Google Scholar] [CrossRef] [PubMed]
- Roginić, S.; Vinter, O.; Trbušić, M.; Roginić, M.; Ćatić Ćuti, E. Cardiac Amyloidosis Detected on Imaging of Patients with Heart Failure. Am. J. Case Rep. 2020, 21, e926290. [Google Scholar] [CrossRef]
- Di Lisi, D.; Di Stefano, V.; Brighina, F.; Galassi, A.R.; Novo, G. Therapy of ATTR Cardiac Amyloidosis: Current Indications. Curr. Probl. Cardiol. 2023, 48, 101487. [Google Scholar] [CrossRef] [PubMed]
- Nagueh, S.F.; Smiseth, O.A.; Appleton, C.P.; Byrd, B.F., 3rd; Dokainish, H.; Edvardsen, T.; Flachskampf, F.A.; Gillebert, T.C.; Klein, A.L.; Lancellotti, P.; et al. Recommendations for the Evaluation of Left Ventricular Diastolic Function by Echocardiography: An Update from the American Society of Echocardiography and the European Association of Cardiovascular Imaging. Eur. Heart J. Cardiovasc. Imaging 2016, 17, 1321–1360. [Google Scholar] [CrossRef] [PubMed]
- Lang, R.M.; Badano, L.P.; Mor-Avi, V.; Afilalo, J.; Armstrong, A.; Ernande, L.; Flachskampf, F.A.; Foster, E.; Goldstein, S.A.; Kuznetsova, T.; et al. Recommendations for cardiac chamber quantification by echocardiography in adults: An update from the American Society of Echocardiography and the European Association of Cardiovascular Imaging. J. Am. Soc. Echocardiogr. 2015, 28, 39.e14. [Google Scholar] [CrossRef]
- Mondillo, S.; Galderisi, M.; Mele, D.; Cameli, M.; Lomoriello, V.S.; Zacà, V.; Ballo, P.; D’Andrea, A.; Muraru, D.; Losi, M.; et al. Speckle-tracking echocardiography: A new technique for assessing myocardial function. J. Ultrasound Med. 2011, 30, 71–83. [Google Scholar] [CrossRef]
- Voigt, J.-U.; Pedrizzetti, G.; Lysyansky, P.; Marwick, T.H.; Houle, H.; Baumann, R.; Pedri, S.; Ito, Y.; Abe, Y.; Metz, S.; et al. Definitions for a common standard for 2D speckle tracking echocardiography: Consensus document of the EACVI/ASE/Industry Task Force to standardize deformation imaging. J. Am. Soc. Echocardiogr. 2015, 28, 183–193. [Google Scholar] [CrossRef] [PubMed]
- Cameli, M.; Mondillo, S.; Galderisi, M.; Mandoli, G.E.; Ballo, P.; Nistri, S.; Capo, V.; D’Ascenzi, F.; D’Andrea, A.; Esposito, R.; et al. L’ecocardiografia speckle tracking: Roadmap per la misurazione e l’utilizzo clinico [Speckle tracking echocardiography: A practical guide]. G. Ital. Di Cardiol. 2017, 18, 253–269. [Google Scholar]
- Aimo, A.; Fabiani, I.; Giannoni, A.; Mandoli, G.E.; Pastore, M.C.; Vergaro, G.; Spini, V.; Chubuchny, V.; Pasanisi, E.M.; Petersen, C.; et al. Multi-chamber speckle tracking imaging and diagnostic value of left atrial strain in cardiac amyloidosis. Eur. Heart J. Cardiovasc. Imaging 2022, 24, 130–141. [Google Scholar] [CrossRef]
- Yogeswaran, V.; Singulane, C.C.; Slivnick, J.A.; Kirkpatrick, J.N.; Addetia, K.; Lang, R.M.; Vasbinder, A.; Liu, J.E.; Maurer, M.S.; Cheng, R.K. Multichamber Strain Predicts Atrial Fibrillation in Cardiac Amyloidosis. J. Am. Soc. Echocardiogr. 2023, 36, 257–259. [Google Scholar] [CrossRef]
- Bandera, F.; Martone, R.; Chacko, L.; Ganesananthan, S.; Gilbertson, J.A.; Ponticos, M.; Lane, T.; Martinez-Naharro, A.; Whelan, C.; Quarta, C.; et al. Clinical Importance of Left Atrial Infiltration in Cardiac Transthyretin Amyloidosis. JACC Cardiovasc. Imaging 2022, 15, 17–29. [Google Scholar] [CrossRef] [PubMed]
- Brand, A.; Frumkin, D.; Hübscher, A.; Dreger, H.; Stangl, K.; Baldenhofer, G.; Knebel, F. Phasic left atrial strain analysis to discriminate cardiac amyloidosis in patients with unclear thick heart pathology. Eur. Heart J. Cardiovasc. Imaging 2021, 22, 680–687. [Google Scholar] [CrossRef] [PubMed]
- Di Lisi, D.; Di Caccamo, L.; Damerino, G.; Portelli, M.C.; Comparato, F.; Di Stefano, V.; Brighina, F.; Corrado, E.; Novo, G. Effectiveness and Safety of Oral Anticoagulants in Cardiac Amyloidosis: Lights and Shadows. Curr. Probl. Cardiol. 2023, 48, 101188. [Google Scholar] [CrossRef]
- Conceição, I.; Damy, T.; Romero, M.; Galán, L.; Attarian, S.; Luigetti, M.; Sadeh, M.; Sarafov, S.; Tournev, I.; Ueda, M. Early diagnosis of ATTR amyloidosis through targeted follow-up of identified carriers of TTR gene mutations. Amyloid 2019, 26, 3–9. [Google Scholar] [CrossRef]
- Russo, M.; Gentile, L.; Di Stefano, V.; Di Bella, G.; Minutoli, F.; Toscano, A.; Brighina, F.; Vita, G.; Mazzeo, A. Use of Drugs for ATTRv Amyloidosis in the Real World: How Therapy Is Changing Survival in a Non-Endemic Area. Brain Sci 2021, 11, 545. [Google Scholar] [CrossRef] [PubMed]
- Obici, L.; Berk, J.L.; González-Duarte, A.; Coelho, T.; Gillmore, J.; Schmidt, H.H.-J.; Schilling, M.; Yamashita, T.; Labeyrie, C.; Brannagan, T.H.; et al. Quality of life outcomes in APOLLO, the phase 3 trial of the RNAi therapeutic patisiran in patients with hereditary transthyretin-mediated amyloidosis. Amyloid 2020, 27, 153–162. [Google Scholar] [CrossRef] [PubMed]



| Group C Carriers (11 Patients) | Group B Amyloid Polyneuropathy (13 Patients) | Group A Cardiac Amyloidosi s (7 Patients) | Unaffected Carrier vs. Amyloid Polyneuropathy | Amyloid Polyneuropathy vs. Cardiac Amyloidosis | |
|---|---|---|---|---|---|
| Age | 54 ± 11 | 65 ± 7.8 | 66 ± 8.4 | p = 0.009 | p = 0.79 |
| Male | 9 (91%) | 4 (30%) | 7 (100%) | p = 0.003 | p = 0.003 |
| BSA (mq) | 1.9 ± 0.2 | 1.7 ± 0.3 | 1.8 ± 0.2 | p = 0.07 | p = 0.44 |
| Arterial hypertension | 3 (27%) | 6 (46%) | 3 (43%) | p = 0.34 | p = 0.9 |
| Diabetes | 1 (9%) | 1 (7%) | 0 | p = 0.85 | p = 0.48 |
| Smoking | 2 (19%) | 2 (15%) | 1 (14%) | p = 0.79 | p = 0.95 |
| Dyslipidae mia | 4 (36%) | 6 (46%) | 2 (28%) | p = 0.62 | p = 0.44 |
| NYHA (I/II) | 0 | 2 (15%) | 6 (86%) | p = 0.18 | p = 0.0026 |
| NYHA (III/IV) | 0 | 0 | 1 (14%) | / | p = 0.17 |
| NT-PROBNP ng/L | 14.03 ± 3.13 | 285 ± 379 | 1168.8 ± 513.7 | p = 0.02 | p = 0.0003 |
| TROPONIN-HS ng/L | 2.10 ± 3.25 | 4.47 ± 5.40 | 26.7 ± 5 | p = 0.21 | p < 0.0001 |
| EGFR (CKD-EPI) mL/min | 107.87 ± 3930 | 67.53 ± 21.27 | 88.33 ± 16.26 | p = 0.004 | p = 0.03 |
| Echocardiographic Parameters | Group C Carriers (11 Patients) | Group B Amyloid Polyneuropathy (13 Patients) | Group A Cardiac Amyloidosi s (7 Patients) | Unaffected Carrier vs. Amyloid Polyneuropathy | Amyloid Polyneuropathy vs. Cardiac Amyloidosis |
|---|---|---|---|---|---|
| IVS (mm) | 10.3 ± 1.6 | 10.5 ± 2.1 | 16.9 ± 4.1 | p = 0.79 | p = 0.0002 |
| PW (mm) | 8.6 ± 1.3 | 9.1 ± 1.7 | 14.4 ± 3 | p = 0.43 | p = 0.0001 |
| LVEF 2D (%) | 61.6 ± 3 | 59.8 ± 5 | 51.9 ± 6.7 | p = 0.30 | p = 0.007 |
| LA VOL (mL) | 54.2 ± 15.6 | 56.9 ± 14 | 86.1 ± 29.4 | p = 0.65 | p = 0.007 |
| LA vol indexed (mL/mq) | 30 ± 4 | 33.4 ± 5 | 50 ± 8 | p = 0.08 | p < 0.0001 |
| Septal E′ (cm/s) | 10.8 ± 3.6 | 8 ± 1.8 | 4.7 ± 1.9 | p = 0.02 | p = 0.001 |
| Septal S′ (cm/s) | 10.3 ± 2.3 | 9.5 ± 3.2 | 5.3 ± 1.6 | p = 0.49 | p = 0.004 |
| Lateral E′ (cm/s) | 15 ± 3.8 | 9.7 ± 2.5 | 5.3 ± 1.3 | p = 0.0005 | p = 0.0004 |
| Lateral S′ (cm/s) | 13.4 ± 3.6 | 10.5 ± 3.4 | 6.6 ± 1.8 | p = 0.05 | p = 0.01 |
| E/e′ average | 5.3 ± 1 | 7.6 ± 3 | 16.4 ± 4.8 | p = 0.02 | p = 0.0001 |
| TAPSE (mm) | 23.7 ± 4 | 21.9 ± 3.4 | 16.3 ± 5.4 | p = 0.24 | p = 0.01 |
| LV GLS 2D (%) | 19.7 ± 1.6 | 17.6 ± 4 | 12.5 ± 3.9 | p = 0.11 | p = 0.01 |
| sPAP | 21.3 ± 4.8 | 22 ± 8.8 | 36.2 ± 18.5 | p = 0.81 | p = 0.03 |
| Apical–basal strain ratio | 1.33 ± 0.20 | 1.58 ± 0.25 | 3.3 ± 2.1 | p = 0.001 | p = 0.008 |
| Relative apical sparing | 0.62 ± 0.07 | 0.72 ± 0.08 | 1.3 ± 0.6 | p = 0.0039 | p = 0.002 |
| PALS | 23.64 ± 10.06 | 23.63 ± 11.2 | 9.8 ± 3 | p = 0.99 | p = 0.005 |
| Atrial stiffness | 0.29 ± 0.21 | 0.58 ± 0.2 | 1.6 ± 0.30 0.58 ± 0.2 | p = 0.002 | p< 0.0001 |
Disclaimer/Publisher’s Note: The statements, opinions and data contained in all publications are solely those of the individual author(s) and contributor(s) and not of MDPI and/or the editor(s). MDPI and/or the editor(s) disclaim responsibility for any injury to people or property resulting from any ideas, methods, instructions or products referred to in the content. |
© 2023 by the authors. Licensee MDPI, Basel, Switzerland. This article is an open access article distributed under the terms and conditions of the Creative Commons Attribution (CC BY) license (https://creativecommons.org/licenses/by/4.0/).
Share and Cite
Di Lisi, D.; Brighina, F.; Manno, G.; Comparato, F.; Di Stefano, V.; Macaione, F.; Damerino, G.; Di Caccamo, L.; Cannizzo, N.; Ortello, A.; et al. Hereditary Transthyretin Amyloidosis: How to Differentiate Carriers and Patients Using Speckle-Tracking Echocardiography. Diagnostics 2023, 13, 3634. https://doi.org/10.3390/diagnostics13243634
Di Lisi D, Brighina F, Manno G, Comparato F, Di Stefano V, Macaione F, Damerino G, Di Caccamo L, Cannizzo N, Ortello A, et al. Hereditary Transthyretin Amyloidosis: How to Differentiate Carriers and Patients Using Speckle-Tracking Echocardiography. Diagnostics. 2023; 13(24):3634. https://doi.org/10.3390/diagnostics13243634
Chicago/Turabian StyleDi Lisi, Daniela, Filippo Brighina, Girolamo Manno, Francesco Comparato, Vincenzo Di Stefano, Francesca Macaione, Giuseppe Damerino, Leandro Di Caccamo, Noemi Cannizzo, Antonella Ortello, and et al. 2023. "Hereditary Transthyretin Amyloidosis: How to Differentiate Carriers and Patients Using Speckle-Tracking Echocardiography" Diagnostics 13, no. 24: 3634. https://doi.org/10.3390/diagnostics13243634
APA StyleDi Lisi, D., Brighina, F., Manno, G., Comparato, F., Di Stefano, V., Macaione, F., Damerino, G., Di Caccamo, L., Cannizzo, N., Ortello, A., Galassi, A. R., & Novo, G. (2023). Hereditary Transthyretin Amyloidosis: How to Differentiate Carriers and Patients Using Speckle-Tracking Echocardiography. Diagnostics, 13(24), 3634. https://doi.org/10.3390/diagnostics13243634

