Expression of Preferentially Expressed Antigen in Melanoma, a Cancer/Testis Antigen, in Carcinoma In Situ of the Urinary Tract
Abstract
:1. Introduction
2. Materials and Methods
2.1. Patient Selection
2.2. Histopathological Analysis
2.3. Immunohistochemical Analyses
2.4. Statistical Analysis
3. Results
3.1. Patient Characteristics
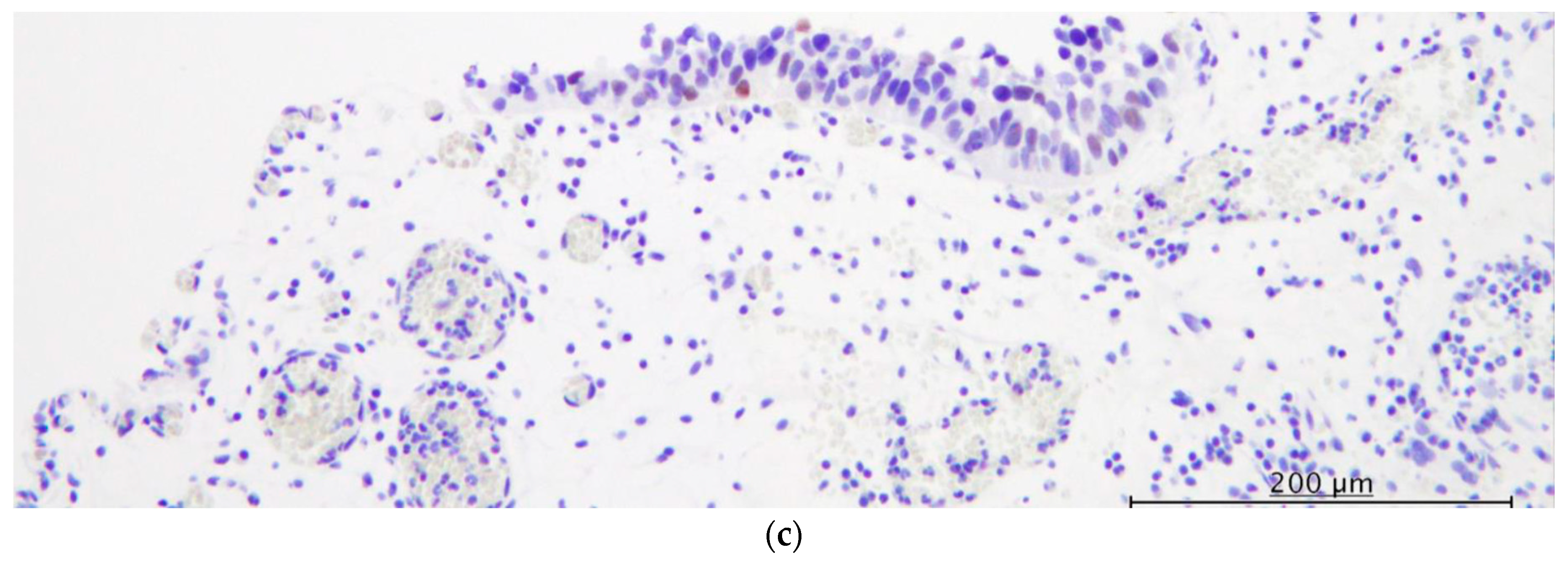
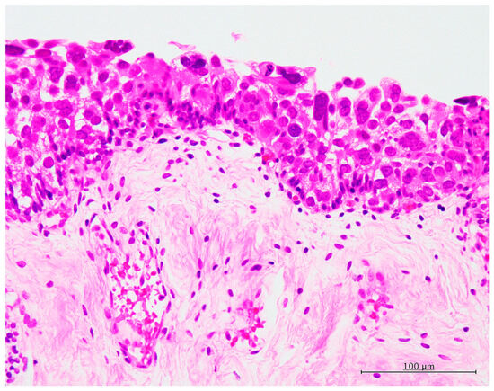
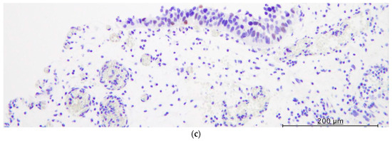
3.2. Histopathological and Immunohistochemical Features
4. Discussion
5. Conclusions
Author Contributions
Funding
Institutional Review Board Statement
Informed Consent Statement
Data Availability Statement
Acknowledgments
Conflicts of Interest
References
- Williamson, S.R.; Magi-Galluzzi, C.; Matoso, A.; Montironi, R.; Raspollini, M.R.; WHO Classification of Tumours. Urinary and Male Genital Tumours, 5th ed.; The WHO Classification of Tumors Editorial Board, Ed.; IARC: Lyon, France, 2022; pp. 147–149. [Google Scholar]
- Subiela, J.D.; Rodríguez Faba, O.; Guerrero Ramos, F.; Vila Reyes, H.; Pisano, F.; Breda, A.; Palou, J. Carcinoma in situ of the urinary bladder: A systematic review of current knowledge regarding detection, treatment, and outcomes. Eur. Urol. Focus 2020, 6, 674–682. [Google Scholar] [CrossRef]
- Subiela, J.D.; Palou, J.; Esquinas, C.; Fernández Gómez, J.M.; Rodríguez Faba, O. Clinical usefulness of random biopsies in diagnosis and treatment of non-muscle invasive bladder cancer: Systematic review and meta-analysis. Actas Urol. Esp. 2018, 42, 285–298. [Google Scholar] [CrossRef]
- Zang, Z.; Kesavan, N.R.; Esuvaranathan, K. UBC®Rapid Is Sensitive in Detecting High-Grade Bladder Urothelial Carcinoma and Carcinoma in situ in Asian Population. Urol. Int. 2023, 107, 29–34. [Google Scholar] [CrossRef] [PubMed]
- Pierconti, F.; Martini, M.; Fiorentino, V.; Cenci, T.; Capodimonti, S.; Straccia, P.; Sacco, E.; Pugliese, D.; Cindolo, L.; Larocca, L.M.; et al. The combination cytology/epichek test in non muscle invasive bladder carcinoma follow-up: Effective tool or useless expence? Urol. Oncol. 2021, 39, 131.e17–131.e21. [Google Scholar] [CrossRef] [PubMed]
- Pierconti, F.; Martini, M.; Fiorentino, V.; Cenci, T.; Racioppi, M.; Foschi, N.; Di Gianfrancesco, L.; Sacco, E.; Rossi, E.; Larocca, L.M.; et al. Upper urothelial tract high-grade carcinoma: Comparison of urine cytology and DNA methylation analysis in urinary samples. Hum. Pathol. 2021, 118, 42–48. [Google Scholar] [CrossRef] [PubMed]
- Peña, K.B.; Riu, F.; Hernandez, A.; Guilarte, C.; Badia, J.; Parada, D. Usefulness of the Urine Methylation Test (Bladder EpiCheck®) in Follow-Up Patients with Non-Muscle Invasive Bladder Cancer and Cytological Diagnosis of Atypical Urothelial Cells-An Institutional Study. J. Clin. Med. 2022, 11, 3855. [Google Scholar] [CrossRef]
- Ikeda, H.; Lethé, B.; Lehmann, F.; van Baren, N.; Baurain, J.F.; de Smet, C.; Chambost, H.; Vitale, M.; Moretta, A.; Boon, T.; et al. Characterization of an antigen that is recognized on a melanoma showing partial HLA loss by CTL expressing an NK inhibitory receptor. Immunity 1997, 6, 199–208. [Google Scholar] [CrossRef] [PubMed]
- Wadelin, F.; Fulton, J.; McEwan, P.A.; Spriggs, K.A.; Emsley, J.; Heery, D.M. Leucine-rich repeat protein PRAME: Expression, potential functions and clinical implications for leukaemia. Mol. Cancer 2010, 9, 226. [Google Scholar] [CrossRef] [PubMed]
- Epping, M.T.; Wang, L.; Edel, M.J.; Carlée, L.; Hernandez, M.; Bernards, R. The human tumor antigen PRAME is a dominant repressor of retinoic acid receptor signaling. Cell 2005, 122, 835–847. [Google Scholar] [CrossRef]
- Kern, C.H.; Yang, M.; Liu, W.S. The PRAME family of cancer testis antigens is essential for germline development and gametogenesis. Biol. Reprod. 2021, 105, 290–304. [Google Scholar] [CrossRef] [PubMed]
- Xu, Y.; Zou, R.; Wang, J.; Wang, Z.W.; Zhu, X. The role of the cancer testis antigen PRAME in tumorigenesis and immunotherapy in human cancer. Cell Prolif. 2020, 53, e12770. [Google Scholar] [CrossRef]
- Kaczorowski, M.; Chłopek, M.; Kruczak, A.; Ryś, J.; Lasota, J.; Miettinen, M. PRAME expression in cancer. A systematic immuno-histochemical study of >5800 epithelial and nonepithelial tumors. Am. J. Surg. Pathol. 2022, 46, 1467–1476. [Google Scholar] [CrossRef]
- Lezcano, C.; Jungbluth, A.A.; Busam, K.J. Comparison of immunohistochemistry for PRAME with cytogenetic test results in the evaluation of challenging melanocytic tumors. Am. J. Surg. Pathol. 2020, 44, 893–900. [Google Scholar] [CrossRef]
- Kim, J.C.; Choi, J.W.; Kim, Y.C. Comparison of melanocyte-associated immunohistochemical markers in acral lentiginous melanoma and acral benign nevi. Am. J. Dermatopathol. 2023, 45, 748–752. [Google Scholar] [CrossRef]
- Rasic, D.; Korsgaard, N.; Marcussen, N.; Precht Jensen, E.M. Diagnostic utility of combining PRAME and HMB-45 stains in primary melanocytic tumors. Ann. Diagn. Pathol. 2023, 67, 152211. [Google Scholar] [CrossRef] [PubMed]
- Bahmad, H.F.; Oh, K.S.; Alexis, J. Potential diagnostic utility of PRAME and p16 immunohistochemistry in melanocytic nevi and malignant melanoma. J. Cutan. Pathol. 2023, 50, 763–772. [Google Scholar] [CrossRef] [PubMed]
- Kunc, M.; Żemierowska, N.; Skowronek, F.; Biernat, W. Diagnostic test accuracy meta-analysis of PRAME in distinguishing primary cutaneous melanomas from benign melanocytic lesions. Histopathology 2023, 83, 3–14. [Google Scholar] [CrossRef] [PubMed]
- Ricci, C.; Altavilla, M.V.; Corti, B.; Pasquini, E.; Presutti, L.; Baietti, A.M.; Amorosa, L.; Balbi, T.; Baldovini, C.; Ambrosi, F.; et al. PRAME expression in mucosal melanoma of the head and neck region. Am. J. Surg. Pathol. 2023, 47, 599–610. [Google Scholar] [CrossRef] [PubMed]
- Miao, Q.J.; Zang, J.; Shao, X.B.; Sun, J.F.; Chen, Y.P.; Chen, H. Analysis of PRAME immunocytochemistry in 109 acral malignant melanoma in situ. J. Clin. Pathol. 2023; online ahead of print. [Google Scholar] [CrossRef]
- Cazzato, G.; Cascardi, E.; Colagrande, A.; Belsito, V.; Lospalluti, L.; Foti, C.; Arezzo, F.; Dellino, M.; Casatta, N.; Lupo, C.; et al. PRAME Immunoexpression in 275 Cutaneous Melanocytic Lesions: A Double Institutional Experience. Diagnostics 2022, 12, 2197. [Google Scholar] [CrossRef]
- Koh, S.S.; Lau, S.K.; Scapa, J.V. Cassarino DS. PRAME immunohistochemistry of spitzoid neoplasms. J. Cutan. Pathol. 2022, 49, 709–716. [Google Scholar] [CrossRef]
- Ronchi, A.; Zito Marino, F.; Moscarella, E.; Brancaccio, G.; Argenziano, G.; Troiani, T.; Napolitano, S.; Franco, R.; Cozzolino, I. PRAME Immunocytochemistry for the diagnosis of melanoma metastases in cytological samples. Diagnostics 2022, 12, 646. [Google Scholar] [CrossRef] [PubMed]
- Lezcano, C.; Jungbluth, A.A.; Nehal, K.S.; Hollmann, T.J.; Busam, K.J. PRAME expression in melanocytic tumors. Am. J. Surg. Pathol. 2018, 42, 1456–1465. [Google Scholar] [CrossRef] [PubMed]
- Lezcano, C.; Müller, A.M.; Frosina, D.; Hernandez, E.; Geronimo, J.A.; Busam, K.J.; Jungbluth, A.A. Immunohistochemical detection of cancer-testis antigen PRAME. Int. J. Surg. Pathol. 2021, 29, 826–835. [Google Scholar] [CrossRef] [PubMed]
- Iura, K.; Kohashi, K.; Hotokebuchi, Y.; Ishii, T.; Maekawa, A.; Yamada, Y.; Yamamoto, H.; Iwamoto, Y.; Oda, Y. Cancer-testis antigens PRAME and NY-ESO-1 correlate with tumour grade and poor prognosis in myxoid liposarcoma. J. Pathol. Clin. Res. 2015, 1, 144–159. [Google Scholar] [CrossRef] [PubMed]
- Iura, K.; Maekawa, A.; Kohashi, K.; Ishii, T.; Bekki, H.; Otsuka, H.; Yamada, Y.; Yamamoto, H.; Harimaya, K.; Iwamoto, Y.; et al. Cancer-testis antigen expression in synovial sarcoma: NY-ESO-1, PRAME, MAGEA4, and MAGEA1. Hum. Pathol. 2017, 61, 130–139. [Google Scholar] [CrossRef]
- Oberthuer, A.; Hero, B.; Spitz, R.; Berthold, F.; Fischer, M. The tumor-associated antigen PRAME is universally expressed in high-stage neuroblastoma and associated with poor outcome. Clin. Cancer Res. 2004, 10, 4307–4313. [Google Scholar] [CrossRef] [PubMed]
- Neumann, E.; Engelsberg, A.; Decker, J.; Störkel, S.; Jaeger, E.; Huber, C.; Seliger, B. Heterogeneous expression of the tumor-associated antigens RAGE-1, PRAME, and glycoprotein 75 in human renal cell carcinoma: Candidates for T-cell-based immunotherapies? Cancer Res. 1998, 58, 4090–4095. [Google Scholar]
- Taniguchi, Y.; Ishida, M.; Saito, T.; Ryota, H.; Utsumi, T.; Maru, N.; Matsui, H.; Hino, H.; Tsuta, K.; Murakawa, T. Preferentially expressed antigen in melanoma as a novel diagnostic marker differentiating thymic squamous cell carcinoma from thymoma. Sci. Rep. 2020, 10, 12286. [Google Scholar] [CrossRef]
- Hodgson, A.; Jungbluth, A.A.; Katabi, N.; Xu, B.; Downes, M.R. Evaluation of cancer testis antigen (CT10, PRAME) and MHC I expression in high-grade urothelial carcinoma of the bladder. Virchows Arch. 2020, 476, 535–542. [Google Scholar] [CrossRef]
- Dyrskjøt, L.; Zieger, K.; Kissow Lildal, T.; Reinert, T.; Gruselle, O.; Coche, T.; Borre, M.; Ørntoft, T.F. Expression of MAGE-A3, NY-ESO-1, LAGE-1 and PRAME in urothelial carcinoma. Br. J. Cancer 2012, 107, 116–122. [Google Scholar] [CrossRef]
- Gezgin, G.; Luk, S.J.; Cao, J.; Dogrusöz, M.; van der Steen, D.M.; Hagedoorn, R.S.; Krijgsman, D.; van der Velden, P.A.; Field, M.G.; Luyten, G.P.M.; et al. PRAME as a potential target for immunotherapy in metastatic uveal melanoma. JAMA Ophthalmol. 2017, 135, 541–549. [Google Scholar] [CrossRef] [PubMed]
- Pujol, J.L.; De Pas, T.; Rittmeyer, A.; Vallières, E.; Kubisa, B.; Levchenko, E.; Wiesemann, S.; Masters, G.A.; Shen, R.; Tjulandin, S.A.; et al. Safety and immunogenicity of the PRAME cancer immunotherapeutic in patients with resected non-small cell lung cancer: A Phase I dose escalation study. J. Thorac. Oncol. 2016, 11, 2208–2217. [Google Scholar] [CrossRef]
- Nguyen, J.K.; Przybycin, C.G.; McKenney, J.K.; Magi-Galluzzi, C. Immunohistochemical staining patterns of Ki-67 and p53 in florid reactive urothelial atypia and urothelial carcinoma in situ demonstrate significant overlap. Hum. Pathol. 2020, 98, 81–88. [Google Scholar] [CrossRef] [PubMed]
- Cammareri, C.; Beltzung, F.; Michal, M.; Vanhersecke, L.; Coindre, J.M.; Velasco, V.; Le Loarer, F.; Vergier, B.; Perret, R. PRAME immunohistochemistry in soft tissue tumors and mimics: A study of 350 cases highlighting its imperfect specificity but potentially useful diagnostic applications. Virchows Arch. 2023, 483, 145–156. [Google Scholar] [CrossRef] [PubMed]
- Ricci, C.; Franceschini, T.; Giunchi, F.; Grillini, M.; Ambrosi, F.; Massari, F.; Mollica, V.; Colecchia, M.; Fiorentino, M. Immunohistochemical expression of preferentially expressed antigen in melanoma (PRAME) in the uninvolved background testis, germ cell neoplasia in situ, and germ cell tumors of the testis. Am. J. Clin. Pathol. 2022, 157, 644–648. [Google Scholar] [CrossRef]
- Mitsuhashi, K.; Masuda, A.; Wang, Y.H.; Shiseki, M.; Motoji, T. Prognostic significance of PRAME expression based on immunohistochemistry for diffuse large B-cell lymphoma patients treated with R-CHOP therapy. Int. J. Hematol. 2014, 100, 88–95. [Google Scholar] [CrossRef] [PubMed]
- Le, M.K.; Vuong, H.G.; Dunn, I.F.; Kondo, T. Molecular and clinicopathological implications of PRAME expression in adult glioma. PLoS ONE 2023, 18, e0290542. [Google Scholar] [CrossRef]
- Pan, S.H.; Su, K.Y.; Spiessens, B.; Kusuma, N.; Delahaye, N.F.; Gruselle, O.; Myo, A.; de Creus, A.; Louahed, J.; Chang, G.C.; et al. Gene expression of MAGE-A3 and PRAME tumor antigens and EGFR mutational status in Taiwanese non-small cell lung cancer patients. Asia Pac. J. Clin. Oncol. 2017, 13, e212–e223. [Google Scholar] [CrossRef]
- Thongprasert, S.; Yang, P.C.; Lee, J.S.; Soo, R.; Gruselle, O.; Myo, A.; Louahed, J.; Lehmann, F.F.; Brichard, V.G.; Coche, T. The prevalence of expression of MAGE-A3 and PRAME tumor antigens in East and South East Asian non-small cell lung cancer patients. Lung Cancer 2016, 101, 137–144. [Google Scholar] [CrossRef]
- See, S.H.C.; Smith, S.H.; Finkelman, B.S.; LaBoy, C.; Novo, J.E.; Siziopikou, K.P.; Blanco, L.Z., Jr. The role of PRAME and NY-ESO-1 as potential therapeutic and prognostic biomarkers in triple-negative breast carcinomas. Pathol. Res. Pract. 2023, 241, 154299. [Google Scholar] [CrossRef]
- Tessari, A.; Pilla, L.; Silvia, D.; Duca, M.; Paolini, B.; Carcangiu, M.L.; Mariani, L.; de Braud, F.G.; Cresta, S. Expression of NY-ESO-1, MAGE-A3, PRAME and WT1 in different subgroups of breast cancer: An indication to immunotherapy? Breast 2018, 42, 68–73. [Google Scholar] [CrossRef] [PubMed]
- Doolan, P.; Clynes, M.; Kennedy, S.; Mehta, J.P.; Crown, J.; O’Driscoll, L. Prevalence and prognostic and predictive relevance of PRAME in breast cancer. Breast Cancer Res. Treat. 2008, 109, 359–365. [Google Scholar] [CrossRef] [PubMed]
- Vlasenkova, R.; Konysheva, D.; Nurgalieva, A.; Kiyamova, R. Characterization of Cancer/Testis Antigens as Prognostic Markers of Ovarian Cancer. Diagnostics 2023, 13, 3092. [Google Scholar] [CrossRef]
- Šafanda, A.; KendallBártů, M.; Michálková, R.; Stružinská, I.; Drozenová, J.; Fabián, P.; Hausnerová, J.; Laco, J.; Matěj, R.; Škapa, P.; et al. Immunohistochemical expression of PRAME in 485 cases of epithelial tubo-ovarian tumors. Virchows Arch. 2023, 483, 509–516. [Google Scholar] [CrossRef] [PubMed]
- Ogul, A.; Paydas, S.; Doran, F.; Erdogan, K.E.; Tohumcuoglu, M.; Buyuksimsek, M.; Mirili, C.; Yetisir, A.E. The effect of preferentially expressed antigen in melanoma (PRAME) expression status on survival in stage II and stage III colon cancer. J. BUON 2021, 26, 992–1001. [Google Scholar]
- Oyama, K.; Kanki, K.; Shimizu, H.; Kono, Y.; Azumi, J.; Toriguchi, K.; Hatano, E.; Shiota, G. Impact of preferentially expressed antigen of melanoma on the prognosis of hepatocellular carcinoma. Gastrointest. Tumors 2017, 3, 128–135. [Google Scholar] [CrossRef]
- Lee, Y.K.; Park, U.H.; Kim, E.J.; Hwang, J.T.; Jeong, J.C.; Um, S.J. Tumor antigen PRAME is up-regulated by MZF1 in cooperation with DNA hypomethylation in melanoma cells. Cancer Lett. 2017, 403, 144–151. [Google Scholar] [CrossRef]
- Nettersheim, D.; Arndt, I.; Sharma, R.; Riesenberg, S.; Jostes, S.; Schneider, S.; Hölzel, M.; Kristiansen, G.; Schorle, H. The cancer/testis-antigen PRAME supports the pluripotency network and represses somatic and germ cell differentiation programs in seminomas. Br. J. Cancer 2016, 115, 454–464. [Google Scholar] [CrossRef]
- Tajeddine, N.; Louis, M.; Vermylen, C.; Gala, J.L.; Tombal, B.; Gailly, P. Tumor associated antigen PRAME is a marker of favorable prognosis in childhood acute myeloid leukemia patients and modifies the expression of S100A4, Hsp 27, p21, IL-8 and IGFBP-2 in vitro and in vivo. Leuk. Lymphoma 2008, 49, 1123–1131. [Google Scholar] [CrossRef]
- Tanaka, N.; Wang, Y.H.; Shiseki, M.; Takanashi, M.; Motoji, T. Inhibition of PRAME expression causes cell cycle arrest and apoptosis in leukemic cells. Leuk. Res. 2011, 35, 1219–1225. [Google Scholar] [CrossRef]
- Zhang, W.; Li, L.; Cai, L.; Liang, Y.; Xu, J.; Liu, Y.; Zhou, L.; Ding, C.; Zhang, Y.; Zhao, H.; et al. Tumor-associated antigen Prame targets tumor suppressor p14/ARF for degradation as the receptor protein of CRL2Prame complex. Cell Death Differ. 2021, 28, 1926–1940. [Google Scholar] [CrossRef] [PubMed]
- Neal, D.J.; Amin, M.B.; Smith, S.C. CK20 versus AMACR and p53 immunostains in evaluation of urothelial carcinoma in situ and Reactive Atypia. Diagn. Pathol. 2020, 15, 61. [Google Scholar] [CrossRef] [PubMed]
- Wymer, K.M.; Sharma, V.; Saigal, C.S.; Chamie, K.; Litwin, M.S.; Packiam, V.T.; Mossanen, M.; Pagliaro, L.C.; Borah, B.J.; Boorjian, S.A. Cost-effectiveness analysis of pembrolizumab for Bacillus Calmette-Guérin-unresponsive carcinoma in situ of the bladder. J. Urol. 2021, 205, 1326–1335. [Google Scholar] [CrossRef] [PubMed]
- Balar, A.V.; Kamat, A.M.; Kulkarni, G.S.; Uchio, E.M.; Boormans, J.L.; Roumiguié, M.; Krieger, L.E.M.; Singer, E.A.; Bajorin, D.F.; Grivas, P.; et al. Pembrolizumab monotherapy for the treatment of high-risk non-muscle-invasive bladder cancer unresponsive to BCG (KEYNOTE-057): An open-label, single-arm, multicentre, phase 2 study. Lancet Oncol. 2021, 22, 919–930. [Google Scholar] [CrossRef]
- A Boorjian, S.; Alemozaffar, M.; Konety, B.R.; Shore, N.D.; Gomella, L.G.; Kamat, A.M.; Bivalacqua, T.J.; Montgomery, J.S.; Lerner, S.P.; E Busby, J.; et al. Intravesical nadofaragene firadenovec gene therapy for BCG-unresponsive non-muscle-invasive bladder cancer: A single-arm, open-label, repeat-dose clinical trial. Lancet Oncol. 2021, 22, 107–117. [Google Scholar] [CrossRef]
- Brohl, A.S.; Sindiri, S.; Wei, J.S.; Milewski, D.; Chou, H.-C.; Song, Y.K.; Wen, X.; Kumar, J.; Reardon, H.V.; Mudunuri, U.S.; et al. Immuno-transcriptomic profiling of extracranial pediatric solid malignancies. Cell Rep. 2021, 37, 110047. [Google Scholar] [CrossRef] [PubMed]
- Kewitz, S.; Staege, M.S. Knock-down of PRAME increases retinoic acid signaling and cytotoxic drug sensitivity of Hodgkin lymphoma cells. PLoS ONE 2013, 8, e55897. [Google Scholar] [CrossRef]




| p53 Aberrant Pattern | p53 Wild Pattern | |
|---|---|---|
| PRAME positive | 13 | 10 |
| PRAME negative | 16 | 14 |
| PRAME Expression | Detection Methods | References |
|---|---|---|
| 7% (histological grade not available) | IHC | [13] |
| 15% of muscle-invasive high-grade UC | IHC | [31] |
| 3% of non-invasive papillary UC 16% of pT1 UC 28% of pT2-4 UC | RT-PCR | [32] |
| 43.4% of CIS | IHC | Present study |
| Histological Type of Tumor | Frequency of PRAME Expression | References |
| Non-epithelial tumors | ||
| Malignant melanoma | ||
| Skin | High | [13,14,15,16,17,18,20,21,22,23,24] |
| Mucosal | High | [19,25,33] |
| Myxoid liposarcoma | High | [13,25,26,36] |
| Synovial sarcoma | High | [13,25,27,36] |
| Neuroblastoma | High | [13,25,28] |
| Seminoma | Intermediate–high | [13,25,37] |
| Rhabdomyosarcoma | Intermediate | [13,25,36] |
| Malignant peripheral nerve sheath tumor | Low–intermediate | [13,25,36] |
| Angiosarcoma | Low–intermediate | [13,25,36] |
| Malignant lymphoma | Low–intermediate | [13,38] |
| Ewing sarcoma | Low | [13,25,36] |
| Leiomyosarcoma | Low | [13,25,36] |
| Glioblastoma | Low | [13,39] |
| Osteosarcoma | Low | [13] |
| Epithelial tumors | ||
| Thymic cancer | High | [13,30] |
| Lung cancer | Intermediate–high | [13,25,40,41] |
| Breast cancer | Intermediate–high | [13,25,42,43,44] |
| Ovarian cancer | Intermediate | [13,25,45,46] |
| Renal cell carcinoma | Low–intermediate | [13,25,29] |
| Colorectal cancer | Low–intermediate | [13,47] |
| Hepatocellular carcinoma | Low | [13,48] |
| Pancreatic cancer | Low | [13] |
Disclaimer/Publisher’s Note: The statements, opinions and data contained in all publications are solely those of the individual author(s) and contributor(s) and not of MDPI and/or the editor(s). MDPI and/or the editor(s) disclaim responsibility for any injury to people or property resulting from any ideas, methods, instructions or products referred to in the content. |
© 2023 by the authors. Licensee MDPI, Basel, Switzerland. This article is an open access article distributed under the terms and conditions of the Creative Commons Attribution (CC BY) license (https://creativecommons.org/licenses/by/4.0/).
Share and Cite
Fujii, S.; Ishida, M.; Komura, K.; Nishimura, K.; Tsujino, T.; Saito, T.; Taniguchi, Y.; Murakawa, T.; Azuma, H.; Hirose, Y. Expression of Preferentially Expressed Antigen in Melanoma, a Cancer/Testis Antigen, in Carcinoma In Situ of the Urinary Tract. Diagnostics 2023, 13, 3636. https://doi.org/10.3390/diagnostics13243636
Fujii S, Ishida M, Komura K, Nishimura K, Tsujino T, Saito T, Taniguchi Y, Murakawa T, Azuma H, Hirose Y. Expression of Preferentially Expressed Antigen in Melanoma, a Cancer/Testis Antigen, in Carcinoma In Situ of the Urinary Tract. Diagnostics. 2023; 13(24):3636. https://doi.org/10.3390/diagnostics13243636
Chicago/Turabian StyleFujii, Shota, Mitsuaki Ishida, Kazumasa Komura, Kazuki Nishimura, Takuya Tsujino, Tomohito Saito, Yohei Taniguchi, Tomohiro Murakawa, Haruhito Azuma, and Yoshinobu Hirose. 2023. "Expression of Preferentially Expressed Antigen in Melanoma, a Cancer/Testis Antigen, in Carcinoma In Situ of the Urinary Tract" Diagnostics 13, no. 24: 3636. https://doi.org/10.3390/diagnostics13243636
APA StyleFujii, S., Ishida, M., Komura, K., Nishimura, K., Tsujino, T., Saito, T., Taniguchi, Y., Murakawa, T., Azuma, H., & Hirose, Y. (2023). Expression of Preferentially Expressed Antigen in Melanoma, a Cancer/Testis Antigen, in Carcinoma In Situ of the Urinary Tract. Diagnostics, 13(24), 3636. https://doi.org/10.3390/diagnostics13243636
