The Predictive Role of the Histopathological Scoring System in Adipose Tumors—Lipoma, Atypical Lipomatous Tumor, and Liposarcoma
Abstract
:1. Introduction
2. Materials and Methods
3. Results
3.1. Clinical Aspects
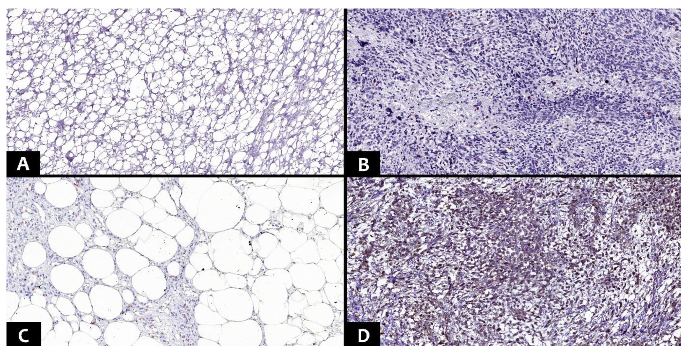
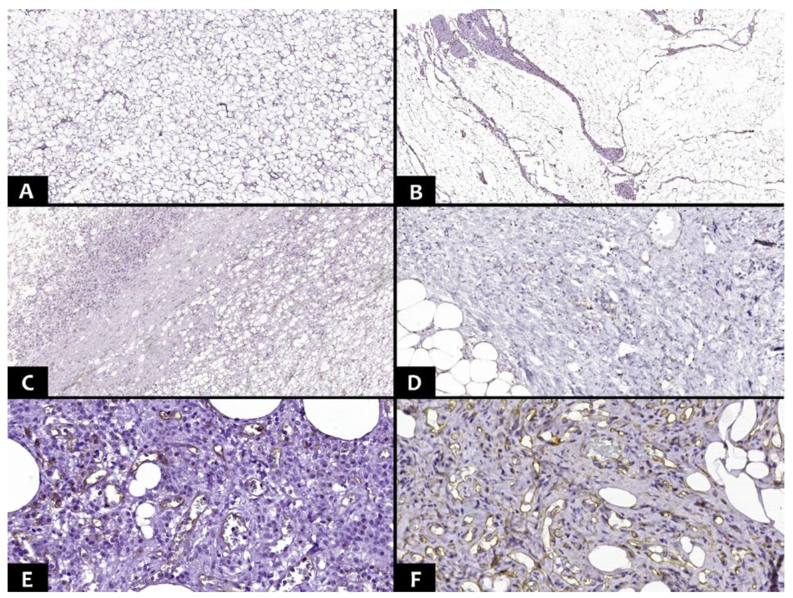
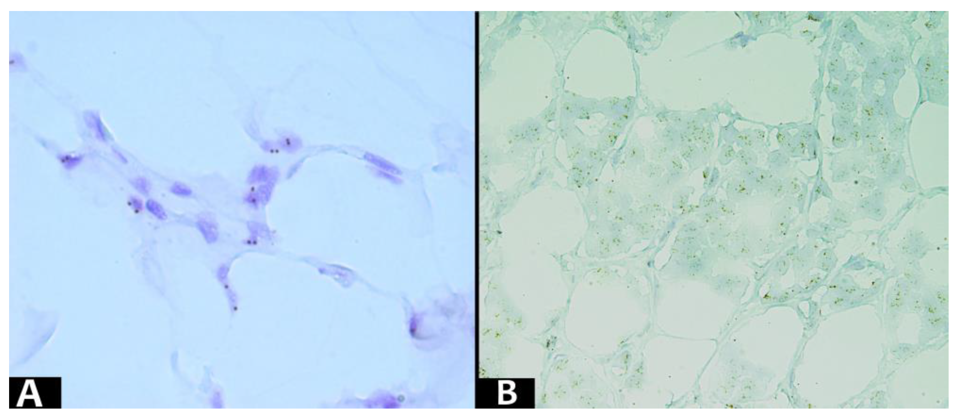
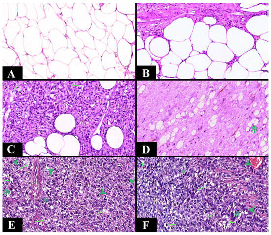
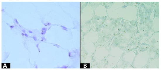
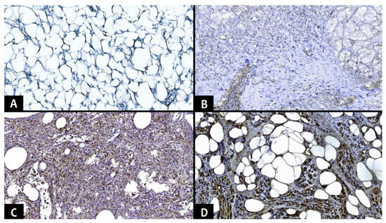
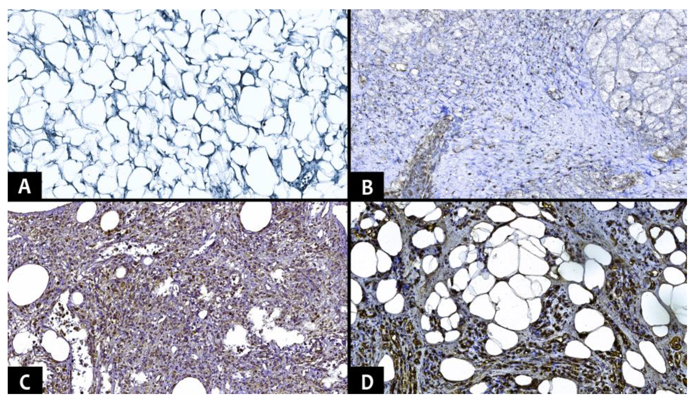
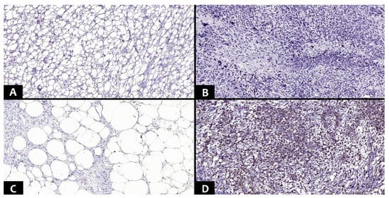
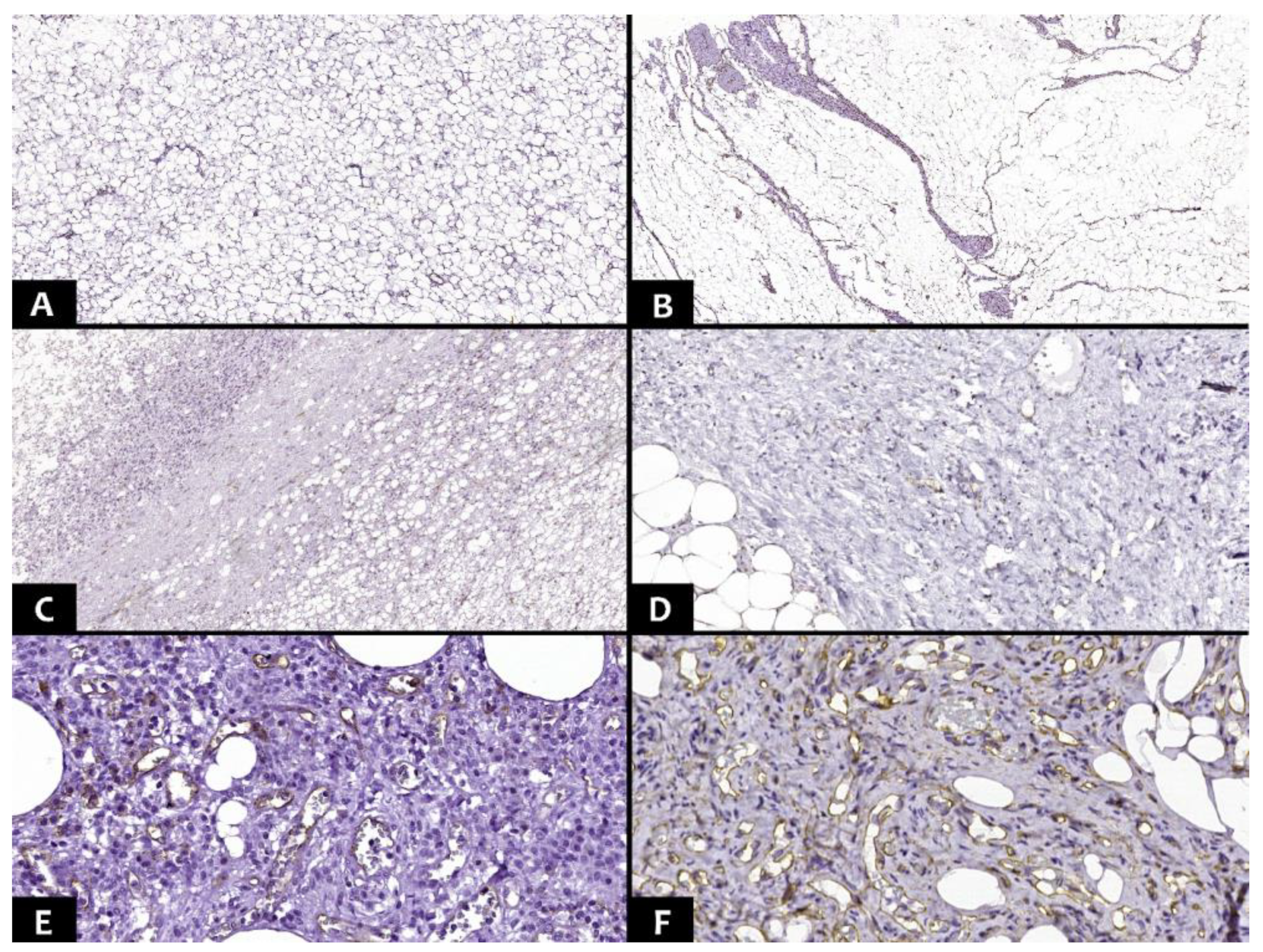
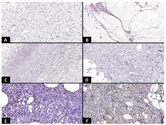
3.2. Histopathological Aspects
3.3. Histopathological Score
4. Discussion
5. Conclusions
Author Contributions
Funding
Institutional Review Board Statement
Informed Consent Statement
Data Availability Statement
Acknowledgments
Conflicts of Interest
References
- Johnson, C.N.; Ha, A.S.; Chen, E.; Davidson, D. Lipomatous Soft-tissue Tumors. J. Am. Acad. Orthop. Surg. 2018, 26, 779–788. [Google Scholar] [CrossRef] [PubMed]
- Zhan, H.; Cao, S.; Gao, T.; Zhang, B.; Yu, X.; Wang, L.; Zeng, J.; Dai, M. Giant atypical lipomatous tumor/well-differentiated liposarcoma affects lower limb activity. Medicine 2019, 98, e17619. [Google Scholar] [CrossRef] [PubMed]
- Burusapat, C.; Wongprakob, N.; Wanichjaroen, N.; Pruksapong, C.; Satayasoontorn, K. Atypical Lipomatous Tumor/Well-Differentiated Liposarcoma with Intramuscular Lipoma-Like Component of the Thigh. Case Rep. Surg. 2020, 2020, 8846932. [Google Scholar] [CrossRef] [PubMed]
- Langmans, C.; Cornillie, J.; van Cann, T.; Wozniak, A.; Hompes, D.; Sciot, R.; Debiec-Rychter, M.; Vandenbempt, I.; Schöffski, P. Retrospective Analysis of Patients with Advanced Liposarcoma in a Tertiary Referral Center. Oncol. Res. Treat. 2019, 42, 396–404. [Google Scholar] [CrossRef]
- Mardekian, S.K.; Solomides, C.C.; Gong, J.Z.; Peiper, S.C.; Wang, Z.; Bajaj, R. Comparison of Chromogenic In Situ Hybridization and Fluorescence In Situ Hybridization for the Evaluation of MDM2 Amplification in Adipocytic Tumors. J. Clin. Lab. Anal. 2015, 29, 462–468. [Google Scholar] [CrossRef]
- Nishio, J.; Nakayama, S.; Nabeshima, K.; Yamamoto, T. Biology and Management of Dedifferentiated Liposarcoma: State of the Art and Perspectives. J. Clin. Med. 2021, 10, 3230. [Google Scholar] [CrossRef]
- Marteau, E.; Le Nail, L.-R.; Rosset, P.; de Pinieux, G.; Laulan, J.; Roulet, S.; Bacle, G. Epidemiological, clinical and histological features of adipose tumors in the hand and wrist: Findings from a continuous series of 37 cases. Orthop. Traumatol. Surg. Res. 2020, 106, 329–334. [Google Scholar] [CrossRef]
- de Melo, M.J.P.; Felix, G.G.S.; DE Barros, M.G.; Figueiredo, H.C.E.S.; Denardi, J.R.F.; Neto, J.B.P.; Reganin, L.A. Epidemiological distribution of soft part tumors in a tertiary hospital. Acta Ortop. Bras. 2022, 30, 1–5. [Google Scholar] [CrossRef]
- Tabatabaei, S.A.D. Lipoma; A Common Neoplasm. J. Surg. Care 2023, 2, 35–42. [Google Scholar] [CrossRef]
- Antonescu, C.R.; Bridge, J.A.; Cunha, I.W.; Dei Tos, A.P.; Fletcher, C.D.M.; Folpe, A.L. (Eds.) Chapter 1: Soft tissue tumours. In Soft Tissue and Bone Tumours. WHO Classification of Tumours; International Agency for Research on Cancer: Lyon, France, 2020. [Google Scholar]
- Peng, R.; Chen, H.; Yang, X.; Zhang, X.; Zhang, Z.; He, X.; Zhang, H. A novel sclerosing atypical lipomatous tumor/well-differentiated liposarcoma in a 7-year-old girl: Report of a case with molecular confirmation. Hum. Pathol. 2018, 71, 41–46. [Google Scholar] [CrossRef]
- Mack, T.; Purgina, B. Updates in Pathology for Retroperitoneal Soft Tissue Sarcoma. Curr. Oncol. 2020, 29, 6400–6418. [Google Scholar] [CrossRef]
- Zafar, R.; Wheeler, Y. Liposarcoma. [Updated 2023 Mar 20]. In StatPearls [Internet]; StatPearls Publishing: Treasure Island, FL, USA, 2023. Available online: https://www.ncbi.nlm.nih.gov/books/NBK538265/ (accessed on 20 October 2023).
- Amer, K.M.; Congiusta, D.V.; Thomson, J.E.; Elsamna, S.; Chaudhry, I.; Bozzo, A.; Amer, R.; Siracuse, B.; Ghert, M.; Beebe, K.S. Epidemiology and survival of liposarcoma and its subtypes: A dual database analysis. J. Clin. Orthop. Trauma 2020, 11 (Suppl. S4), S479–S484. [Google Scholar] [CrossRef]
- Bock, S.; Hoffmann, D.G.; Jiang, Y.; Chen, H.; Il’yasova, D. Increasing Incidence of Liposarcoma: A Population-Based Study of National Surveillance Databases, 2001–2016. Int. J. Environ. Res. Public Health 2020, 17, 2710. [Google Scholar] [CrossRef]
- Gruber, L.; Kremser, C.; Zelger, B.; Schwabegger, A.; Josip, E.; Dammerer, D.; Thaler, M.; Henninger, B. Evaluation of Classic and Quantitative Imaging Features in the Differentiation of Benign and Atypical Lipomatous Soft Tissue Tumors Using a Standardized Multiparametric MRI Protocol: A Prospective Single-Centre Study in 45 Patients. Curr. Oncol. 2023, 30, 3315–3328. [Google Scholar] [CrossRef] [PubMed]
- Cairncross, L.; A Snow, H.; Strauss, D.C.; Smith, M.J.F.; Sjokvist, O.; Messiou, C.; Thway, K.; Hayes, A.J. Diagnostic performance of MRI and histology in assessment of deep lipomatous tumours. Br. J. Surg. 2019, 106, 1794–1799. [Google Scholar] [CrossRef] [PubMed]
- Brisson, M.; Kashima, T.; Delaney, D.; Tirabosco, R.; Clarke, A.; Cro, S.; Flanagan, A.M.; O’donnell, P. MRI characteristics of lipoma and atypical lipomatous tumor/well-differentiated liposarcoma: Retrospective comparison with histology and MDM2 gene amplification. Skelet. Radiol. 2013, 42, 635–647. [Google Scholar] [CrossRef] [PubMed]
- Lu, J.; Qin, Q.; Zhan, L.-L.; Yang, X.; Xu, Q.; Yu, J.; Dou, L.-N.; Zhang, H.; Yang, Y.; Chen, X.-C.; et al. Computed Tomography Manifestations of Histologic Subtypes of Retroperitoneal Liposarcoma. Asian Pac. J. Cancer Prev. 2014, 15, 6041–6046. [Google Scholar] [CrossRef]
- Peterson, J.J.; Kransdorf, M.J.; Bancroft, L.W.; O’Connor, M.I. Malignant fatty tumors: Classification, clinical course, imaging appearance and treatment. Skelet. Radiol. 2003, 32, 493–503. [Google Scholar] [CrossRef] [PubMed]
- Asano, Y.; Miwa, S.; Yamamoto, N.; Hayashi, K.; Takeuchi, A.; Igarashi, K.; Yonezawa, H.; Araki, Y.; Morinaga, S.; Nojima, T.; et al. A scoring system combining clinical, radiological, and histopathological examinations for differential diagnosis between lipoma and atypical lipomatous tumor/well-differentiated liposarcoma. Sci. Rep. 2022, 12, 237. [Google Scholar] [CrossRef]
- Nagano, S.; Yokouchi, M.; Setoguchi, T.; Ishidou, Y.; Sasaki, H.; Shimada, H.; Komiya, S. Differentiation of lipoma and atypical lipomatous tumor by a scoring system: Implication of increased vascularity on pathogenesis of liposarcoma. BMC Musculoskelet. Disord. 2015, 16, 36. [Google Scholar] [CrossRef]
- Cheng, Y.; Ko, A.-T.; Huang, J.-H.; Lee, B.-C.; Yang, R.-S.; Liang, C.-W.; Tai, H.-C.; Cheng, N.-C. Developing a clinical scoring system to differentiate deep-seated atypical lipomatous tumor from lipoma of soft tissue. Asian J. Surg. 2019, 42, 832–838. [Google Scholar] [CrossRef] [PubMed]
- Altun, E.; Yuksel, S.; Kaygusuz, G.; Yildiz, H.Y. Diagnostic importance of clinicopathologic features and p16, CD34, MDM2 expression in differential diagnosis of adipocytic tumors. Acta Orthop. Traumatol. Turc. 2020, 54, 59–65. [Google Scholar] [CrossRef] [PubMed]
- Tan, H.M.; Cheng, H.; Tang, Y.C.; Leong, S.M.; Teo, P.Y.; Lee, C.K.; Lee, V.K.M.; Hue, S.S.-S. MicroRNAs as Potential Biomarkers in the Differential Diagnosis of Lipomatous Tumors and Their Mimics. Int. J. Mol. Sci. 2022, 23, 7804. [Google Scholar] [CrossRef] [PubMed]
- Kammerer-Jacquet, S.-F.; Thierry, S.; Cabillic, F.; Lannes, M.; Burtin, F.; Henno, S.; Dugay, F.; Bouzillé, G.; Rioux-Leclercq, N.; Belaud-Rotureau, M.-A.; et al. Differential diagnosis of atypical lipomatous tumor/well-differentiated liposarcoma and dedifferentiated liposarcoma: Utility of p16 in combination with MDM2 and CDK4 immunohistochemistry. Hum. Pathol. 2017, 59, 34–40. [Google Scholar] [CrossRef]
- Thway, K.; Jones, R.L.; Noujaim, J.; Zaidi, S.; Miah, A.B.; Fisher, C. Dedifferentiated Liposarcoma: Updates on Morphology, Genetics, and Therapeutic Strategies. Adv. Anat. Pathol. 2016, 23, 30–40. [Google Scholar] [CrossRef] [PubMed]
- Tsagozis, P.; Gonzalez-Molina, J.; Georgoudaki, A.M.; Lehti, K.; Carlson, J.; Lundqvist, A.; Haglund, F.; Ehnman, M. Sarcoma Tumor Microenvironment. In Tumor Microenvironments in Organs; Birbrair, A., Ed.; Advances in Experimental Medicine and Biology; Springer: Cham, Switzerland, 2021; Volume 1296. [Google Scholar] [CrossRef]
- Forster, J.C.; Harriss-Phillips, W.M.; Douglass, M.J.; Bezak, E. A review of the development of tumor vasculature and its effects on the tumor microenvironment. Hypoxia 2017, 5, 21–32. [Google Scholar] [CrossRef] [PubMed]
- Krock, B.L.; Skuli, N.; Simon, M.C. Hypoxia-Induced Angiogenesis: Good and Evil. Genes Cancer 2011, 2, 1117–1133. [Google Scholar] [CrossRef]
- Cui, L.; Yan, L.; Guan, X.; Dong, B.; Zhao, M.; Lv, A.; Liu, D.; Wang, Z.; Liu, F.; Wu, J.; et al. Anti-Tumor Effect of Apatinib and Relevant Mechanisms in Liposarcoma. Front. Oncol. 2021, 11, 739139. [Google Scholar] [CrossRef]
- Lam, S.W.; Silva, T.M.; Traast-Kooistra, J.; Bruijn, I.B.-D.; Akker, B.v.D.; Bakker, P.A.C.; Lansu, J.; Haas, R.L.M.; Bovée, J.V.M.G. Histological response to radiotherapy is an early event in myxoid liposarcoma. Virchows Arch. 2023, 483, 487–495. [Google Scholar] [CrossRef]
- Baneth, V.; Raica, M.; Cîmpean, A.M. Assessment of Angiogenesis in Soft-Tissue Tumors. Rom. J. Morphol. Embryol. 2005, 46, 323–327. [Google Scholar]
- Smeland, E.; Kilvaer, T.K.; Sorbye, S.; Valkov, A.; Andersen, S.; Bremnes, R.M.; Busund, L.-T.; Donnem, T. Prognostic Impacts of Hypoxic Markers in Soft Tissue Sarcoma. Sarcoma 2012, 2012, 541650. [Google Scholar] [CrossRef] [PubMed]
- Lv, X.; Li, J.; Zhang, C.; Hu, T.; Li, S.; He, S.; Yan, H.; Tan, Y.; Lei, M.; Wen, M.; et al. The role of hypoxia-inducible factors in tumor angiogenesis and cell metabolism. Genes Dis. 2016, 4, 19–24. [Google Scholar] [CrossRef] [PubMed]
- Nejad, A.E.; Najafgholian, S.; Rostami, A.; Sistani, A.; Shojaeifar, S.; Esparvarinha, M.; Nedaeinia, R.; Javanmard, S.H.; Taherian, M.; Ahmadlou, M.; et al. The role of hypoxia in the tumor microenvironment and development of cancer stem cell: A novel approach to developing treatment. Cancer Cell Int. 2021, 21, 62. [Google Scholar] [CrossRef] [PubMed]
- Kim, J.I.; Choi, K.U.; Lee, I.S.; Choi, Y.J.; Kim, W.T.; Shin, D.H.; Kim, K.; Lee, J.H.; Kim, J.Y.; Sol, M.Y. Expression of hypoxic markers and their prognostic significance in soft tissue sarcoma. Oncol. Lett. 2015, 9, 1699–1706. [Google Scholar] [CrossRef]
- Yang, L.; Forker, L.; Irlam, J.J.; Pillay, N.; Choudhury, A.; West, C.M.L. Validation of a hypoxia related gene signature in multiple soft tissue sarcoma cohorts. Oncotarget 2017, 9, 3946–3955. [Google Scholar] [CrossRef]
- Idrissi, M.O.; Zerhoudi, R.; Abakka, F.; Boutakioute, B.; Guenouni, N.C.I. Rare Case of Lipoma Necrosis Mimicking Liposarcoma: Case Report. Sch. J. Med. Case Rep. 2021, 9, 67–69. [Google Scholar] [CrossRef]
- Nishio, J.; Nakayama, S.; Chijiiwa, Y.; Aoki, M. Biology and Management of Deep-seated Atypical Lipomatous Tumor of the Extremities. Anticancer. Res. 2023, 43, 4295–4301. [Google Scholar] [CrossRef]






| Lipoma (n = 79) | ALT/WDLS (n = 16) | Liposarcoma (n = 17) | |||
|---|---|---|---|---|---|
| Type | NOS | Lipoma-like | 62.50% | Pleomorphic | 17.65% |
| Sclerosing | 18.75% | Myxoid | 35.29% | ||
| Inflammatory | 6.25% | Dedifferentiated | 47.06% | ||
| Mixed | 12.50% | ||||
| Lipoma (n = 79) | ALT/WDLS (n = 16) | Liposarcoma (n = 17) | p-Value | |
|---|---|---|---|---|
| Age, years (min–max) | 51.81 (3–77) | 53.13 (30–68) | 61.19 (43–86) | p = 0.071 |
| Gender | p = 0.489 | |||
| Female | 54.43% | 37.50% | 52.94% | |
| Male | 45.57% | 62.50% | 47.06% | |
| Localization | p = 0.161 | |||
| Head | 1.27% | 0.00% | 5.88% | |
| Neck | 1.27% | 18.75% | 5.88% | |
| Upper trunk | 30.38% | 12.50% | 23.54% | |
| Lower trunk | 11.39% | 0.00% | 0.00% | |
| Perineal region | 8.86% | 6.25% | 11.76% | |
| Upper limb | 15.19% | 18.75% | 5.88% | |
| Lower limb | 17.72% | 25.00% | 29.41% | |
| Retroperitoneal | 13.92% | 18.75% | 17.65% | |
| Depth | p < 0.001 | |||
| Deep | 100.00% | 50.00% | 58.82% | |
| Superficial | 0.00% | 50.00% | 41.18% | |
| Pain | 41.77% | 68.75% | 76.47% | p = 0.010 |
| Maximal diameter, mm (min–max) | 63.92 (11–250) | 54.75 (13–140) | 76 (12–290) | p = 0.229 |
| Lipoma (n = 79) | ALT/WDLS (n = 16) | Liposarcoma (n = 17) | p-Value | |
|---|---|---|---|---|
| Nuclear atypia | 0.00% | 62.50% | 100.00% | p < 0.001 |
| Karyomegaly | 15.19 | 100.00% | 87.50% | p < 0.001 |
| Cellular pleomorphism | p < 0.001 | |||
| Low | 100.00% | 87.50% | 29.41% | |
| Moderate | 0.00% | 6.25% | 29.41% | |
| High | 0.00% | 6.25% | 41.18% | |
| Fibrous proliferation | 18.99% | 81.25% | 47.06% | p < 0.001 |
| Lipoblasts | p < 0.001 | |||
| Absent | 100.00% | 0.00% | 0.00% | |
| Rare | 0.00% | 87.50% | 41.18% | |
| Frequently | 0.00% | 12.50% | 58.82% | |
| Necrosis | p < 0.001 | |||
| Absent | 94.94% | 68.75% | 29.42% | |
| <50% | 5.06% | 31.25% | 35.29% | |
| >50% | 0.00% | 0.00% | 35.29% | |
| Mitosis/10HPF | 0.18 (0–1) | 2.19 (1–4) | 8.76 (3–19) | p < 0.001 |
| MDM2 IHC | p < 0.001 | |||
| Negative | 97.47% | 12.50% | 17.65% | |
| <25% | 2.53% | 0.00% | 17.65% | |
| 25–50% | 0.00% | 18.75% | 23.52% | |
| >50% | 0.00% | 68.75% | 41.18% | |
| CDK4 IHC | p < 0.001 | |||
| Negative | 92.41% | 6.25% | 29.41% | |
| <25% | 7.59% | 0.00% | 23.53% | |
| 25–50% | 0.00% | 18.75% | 17.65% | |
| >50% | 0.00% | 75.00% | 29.41% | |
| Amplification of MDM2 | 0.00% | 100.00% | 76.47% | p < 0.001 |
| Microvascular density (/mm2) | 5.50 (3–8.4) | 26.33 (24.1–29.7) | 48.98 (38.7–84.8) | p < 0.001 |
| Model Summary | |||||||||||
|---|---|---|---|---|---|---|---|---|---|---|---|
| Model | R | R Square | Adjusted R Square | Standard Error of the Estimate | |||||||
| 1 | 0.906 a | 0.821 | 0.803 | 0.325 | |||||||
| Coefficients b | |||||||||||
| Model | Unstandardized Coefficients | Standardized Coefficients | t | Sig. | 95.0% Confidence Interval for B | ||||||
| B | Standard Error | Beta | Lower Bound | Upper Bound | |||||||
| (Constant) | 1.999 | 0.463 | 4.313 | 0.000 | 1.079 | 2.918 | |||||
| Pain | −0.092 | 0.067 | −0.063 | −1.384 | 0.169 | −0.225 | 0.040 | ||||
| Dmax (mm) | −0.001 | 0.001 | −0.078 | −1.333 | 0.185 | −0.003 | 0.001 | ||||
| Depth | −0.021 | 0.124 | −0.010 | −0.165 | 0.869 | −0.267 | 0.226 | ||||
| Nuclear atypia | −0.303 | 0.142 | −0.178 | −2.130 | 0.036 | −0.585 | −0.021 | ||||
| Karyomegaly | −0.174 | 0.099 | −0.116 | −1.750 | 0.083 | −0.370 | 0.023 | ||||
| Cellular pleomorphism | −0.262 | 0.091 | −0.197 | −2.875 | 0.005 | −0.443 | −0.081 | ||||
| Fibrous proliferation | −0.298 | 0.091 | −0.191 | −3.269 | 0.001 | −0.478 | −0.117 | ||||
| Lipoblasts | 1.121 | 0.129 | 1.036 | 8.661 | 0.000 | 0.864 | 1.377 | ||||
| Necrosis | −0.074 | 0.093 | −0.055 | −0.797 | 0.427 | −0.259 | 0.111 | ||||
| Mitosis | −0.096 | 0.020 | −0.463 | −4.762 | 0.000 | −0.136 | −0.056 | ||||
| Variables | Points |
|---|---|
| Nuclear atypia | |
| Absent | 0 |
| Present | 1 |
| Cellular pleomorphism | |
| Low | 0 |
| Moderate | 1 |
| High | 2 |
| Fibrous proliferation | |
| Absent | 0 |
| Present | 1 |
| Lipoblasts | |
| Absent | 0 |
| Rare | 1 |
| Frequent | 2 |
| Mitosis | |
| <2 | 0 |
| 2–4 | 1 |
| >4 | 2 |
| Diagnostic | Practical Score | Score | AUC | Sensitivity | Specificity | p-Value |
|---|---|---|---|---|---|---|
| Lipoma | 0–1 | ≤1.5 | 0.997 | 100.0% | 97.0% | <0.001 |
| ALT/WDLS | 2–3 | ≥1.5 | 0.839 | 93.8% | 82.3% | <0.001 |
| Liposarcoma | 4–8 | ≥3.5 | 0.980 | 100.0% | 90.5% | <0.001 |
| Marker | Practical Score | Score | AUC | Sensitivity | Specificity | p-Value |
|---|---|---|---|---|---|---|
| MDM2 > 50% | ≥3 | ≥2.5 | 0.915 | 94.4% | 85.1% | <0.001 |
| CDK4 > 50% | ≥3 | ≥2.5 | 0.879 | 94.1% | 84.2% | <0.001 |
| MDM2 amplification | ≥2 | ≥1.5 | 0.970 | 96.6% | 95.2% | <0.001 |
Disclaimer/Publisher’s Note: The statements, opinions and data contained in all publications are solely those of the individual author(s) and contributor(s) and not of MDPI and/or the editor(s). MDPI and/or the editor(s) disclaim responsibility for any injury to people or property resulting from any ideas, methods, instructions or products referred to in the content. |
© 2023 by the authors. Licensee MDPI, Basel, Switzerland. This article is an open access article distributed under the terms and conditions of the Creative Commons Attribution (CC BY) license (https://creativecommons.org/licenses/by/4.0/).
Share and Cite
Deacu, M.; Bosoteanu, M.; Enciu, M.; Cozaru, G.C.; Cojocaru, O.; Baltatescu, G.I.; Nicolau, A.A.; Orasanu, C.I.; Caraban, B.M.; Voda, R.I. The Predictive Role of the Histopathological Scoring System in Adipose Tumors—Lipoma, Atypical Lipomatous Tumor, and Liposarcoma. Diagnostics 2023, 13, 3606. https://doi.org/10.3390/diagnostics13243606
Deacu M, Bosoteanu M, Enciu M, Cozaru GC, Cojocaru O, Baltatescu GI, Nicolau AA, Orasanu CI, Caraban BM, Voda RI. The Predictive Role of the Histopathological Scoring System in Adipose Tumors—Lipoma, Atypical Lipomatous Tumor, and Liposarcoma. Diagnostics. 2023; 13(24):3606. https://doi.org/10.3390/diagnostics13243606
Chicago/Turabian StyleDeacu, Mariana, Madalina Bosoteanu, Manuela Enciu, Georgeta Camelia Cozaru, Oana Cojocaru, Gabriela Izabela Baltatescu, Anca Antonela Nicolau, Cristian Ionut Orasanu, Bogdan Marian Caraban, and Raluca Ioana Voda. 2023. "The Predictive Role of the Histopathological Scoring System in Adipose Tumors—Lipoma, Atypical Lipomatous Tumor, and Liposarcoma" Diagnostics 13, no. 24: 3606. https://doi.org/10.3390/diagnostics13243606
APA StyleDeacu, M., Bosoteanu, M., Enciu, M., Cozaru, G. C., Cojocaru, O., Baltatescu, G. I., Nicolau, A. A., Orasanu, C. I., Caraban, B. M., & Voda, R. I. (2023). The Predictive Role of the Histopathological Scoring System in Adipose Tumors—Lipoma, Atypical Lipomatous Tumor, and Liposarcoma. Diagnostics, 13(24), 3606. https://doi.org/10.3390/diagnostics13243606

