Development of Automated Risk Stratification for Sporadic Odontogenic Keratocyst Whole Slide Images with an Attention-Based Image Sequence Analyzer
Abstract
:1. Introduction
2. Related Work
2.1. Related Work on Whole Slide Image Challenges
2.2. Related Work on Preprocessing Images and Class Imbalances
2.3. Related Work on Vision Transformer in Image Processing
2.4. Related Work on Deep Learning in OKC
3. Materials and Methods
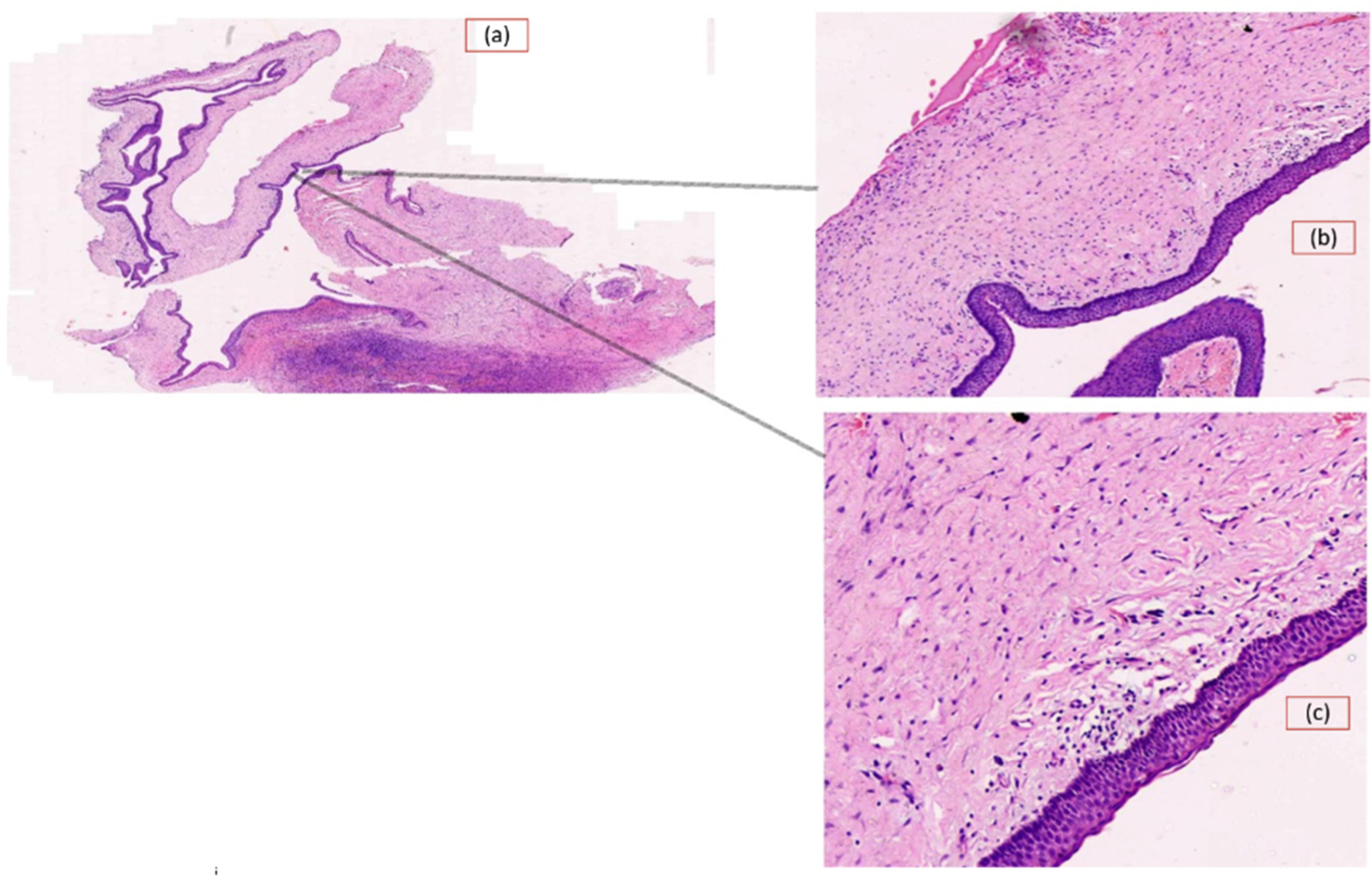
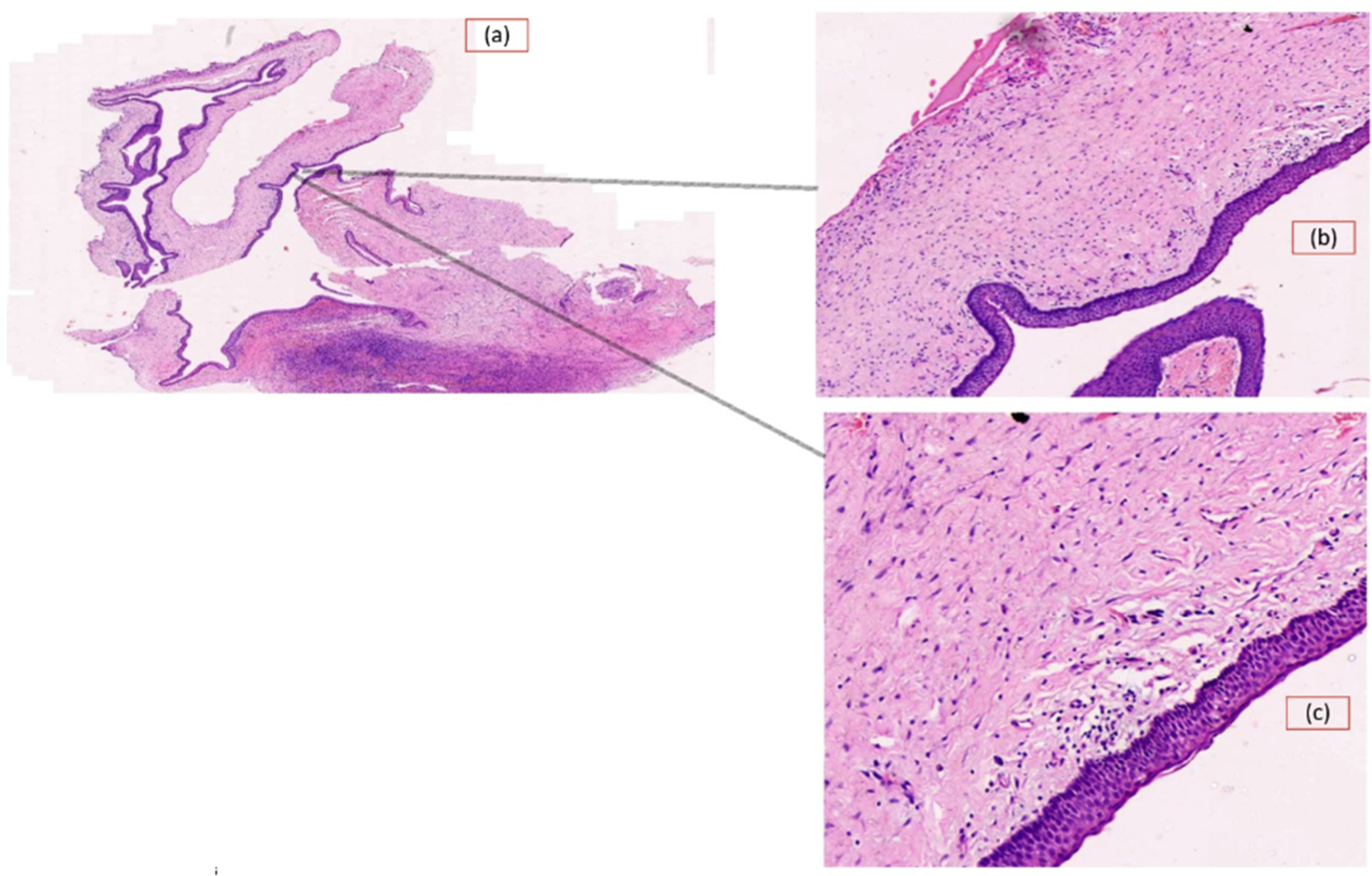
3.1. Data Collection
3.2. Data Preprocessing and Dataset Generation
3.3. Attention-Based Image Sequence Analyzer
3.4. Image Data Augmentation
3.5. Patch Extraction
3.6. Patch Encoder Layer
3.7. Multi-Head Self-Attention Mechanism
3.8. LSTM Layer
3.9. Normalization and Flattening
3.10. Dropout
3.11. Multi-Layer Perceptron (MLP)
4. Results
4.1. Confusion Matrix
4.2. ROC (Receiver Operating Characteristic) Curve
4.3. Training vs. Validation Loss Curve
4.4. Classification Report—ABISA
4.5. Log Loss
4.6. Pipeline Result
5. Discussion
6. Conclusions
7. Future Work
Author Contributions
Funding
Institutional Review Board Statement
Informed Consent Statement
Data Availability Statement
Acknowledgments
Conflicts of Interest
References
- Kuroyanagi, N.; Sakuma, H.; Miyabe, S.; Machida, J.; Kaetsu, A.; Yokoi, M.; Maeda, H.; Warnakulasuriya, S.; Nagao, T.; Shimozato, K. Prognostic factors for keratocystic odontogenic tumor (odontogenic keratocyst): Analysis of clinicopathologic and immunohistochemical findings in cysts treated by enucleation. J. Oral Pathol. Med. 2009, 38, 386–392. [Google Scholar] [CrossRef] [PubMed]
- Radhakrishnan, R.; Chandrashekar, C.; Patel, P.; Thennavan, A. Odontogenic keratocyst: Analysis of recurrence by AgNOR, p53 and MDM2 profiling. J. Oral Maxillofac. Pathol. 2020, 24, 184–185. [Google Scholar] [CrossRef] [PubMed]
- Diniz, M.G.; Borges, R.; Guimarães, A.L.S.; Moreira, P.R.; Brito, J.A.R.; Gomez, M.V.; De Marco, L.; Gomez, R.S. PTCH1 isoforms in odontogenic keratocysts. Oral Oncol. 2009, 45, 291–295. [Google Scholar] [CrossRef] [PubMed]
- Cottom, H.E.; Bshena, F.I.; Speight, P.M.; Craig, G.T.; Jones, A.V. Histopathological features that predict the recurrence of odontogenic keratocysts. J. Oral Pathol. Med. 2011, 41, 408–414. [Google Scholar] [CrossRef] [PubMed]
- Augustine, D.; Rao, R.S.; Patil, S. Hyalinization as a histomorphological risk predictor in oral pathological lesions. J. Oral Biol. Craniofacial Res. 2021, 11, 415–422. [Google Scholar] [CrossRef] [PubMed]
- Keshani, F.; Jahanshahi, G.; Mirkazemi, Z.; Mirkazemi, H. Evaluating histopathological factors of predicting the recurrence rate of odontogenic keratocyst. Dent. Res. J. 2023, 20, 12. [Google Scholar] [CrossRef]
- Hou, L.; Samaras, D.; Kurc, T.M.; Gao, Y.; Davis, J.E.; Saltz, J.H. Patch-Based Convolutional Neural Network for Whole Slide Tissue Image Classification. In Proceedings of the 2016 IEEE Conference on Computer Vision and Pattern Recognition (CVPR), Las Vegas, NV, USA, 27–30 June 2016; pp. 2424–2433. [Google Scholar] [CrossRef]
- Hossain, S.; Shahriar, G.M.; Syeed, M.M.M.; Uddin, M.F.; Hasan, M.; Shivam, S.; Advani, S. Region of interest (ROI) selection using vision transformer for automatic analysis using whole slide images. Sci. Rep. 2023, 13, 11314. [Google Scholar] [CrossRef] [PubMed]
- Rashmi, R.; Prasad, K.; Udupa, C.B.K. Breast histopathological image analysis using image processing techniques for diagnostic purposes: A methodological review. J. Med. Syst. 2021, 46, 1–24. [Google Scholar] [CrossRef] [PubMed]
- Fidele, N.; Yueyu, Z.; Zhao, Y.; Tianfu, W.; Liu, J.; Sun, Y.; Liu, B. Recurrence of odontogenic keratocysts and possible prognostic factors: Review of 455 patients. Med. Oral Patol. Oral Cir. Buccal 2019, 24, e491. [Google Scholar] [CrossRef] [PubMed]
- Aeffner, F.; Zarella, M.D.; Buchbinder, N.; Bui, M.M.; Goodman, M.R.; Hartman, D.J.; Lujan, G.M.; Molani, M.A.; Parwani, A.V.; Lillard, K.; et al. Introduction to Digital Image Analysis in Whole-slide Imaging: A White Paper from the Digital Pathology Association. J. Pathol. Inform. 2019, 10, 9. [Google Scholar] [CrossRef] [PubMed]
- Dimitriou, N.; Arandjelović, O.; Caie, P.D. Deep Learning for Whole Slide Image Analysis: An Overview. Front. Med. 2019, 6, 264. [Google Scholar] [CrossRef] [PubMed]
- Barker, J.; Hoogi, A.; Depeursinge, A.; Rubin, D.L. Automated classification of brain tumor type in whole-slide digital pathology images using local representative tiles. Med. Image Anal. 2016, 30, 60–71. [Google Scholar] [CrossRef] [PubMed]
- Shafqat, W.; Byun, Y.-C. A Hybrid GAN-Based Approach to Solve Imbalanced Data Problem in Recommendation Systems. IEEE Access 2022, 10, 11036–11047. [Google Scholar] [CrossRef]
- Han, K.; Wang, Y.; Chen, H.; Chen, X.; Guo, J.; Liu, Z.; Tang, Y.; Xiao, A.; Xu, C.; Xu, Y.; et al. A survey on vision transformer. IEEE Trans. Pattern Anal. Mach. Intell. 2022, 45, 87–110. [Google Scholar] [CrossRef] [PubMed]
- Yuan, L.; Chen, Y.; Wang, T.; Yu, W.; Shi, Y.; Jiang, Z.H.; Tay, F.E.; Feng, J.; Yan, S. Tokens-to-token vit: Training vision transformers from scratch on imagenet. In Proceedings of the IEEE/CVF International Conference on Computer Vision, Montreal, BC, Canada, 11–17 October 2021; pp. 558–567. [Google Scholar]
- Rao, R.S.; Shivanna, D.B.; Lakshminarayana, S.; Mahadevpur, K.S.; Alhazmi, Y.A.; Bakri, M.M.H.; Alharbi, H.S.; Alzahrani, K.J.; Alsharif, K.F.; Banjer, H.J.; et al. Ensemble Deep-Learning-Based Prognostic and Prediction for Recurrence of Sporadic Odontogenic Keratocysts on Hematoxylin and Eosin Stained Pathological Images of Incisional Biopsies. J. Pers. Med. 2022, 12, 1220. [Google Scholar] [CrossRef] [PubMed]
- Rao, R.S.; Shivanna, D.B.; Mahadevpur, K.S.; Shivaramegowda, S.G.; Prakash, S.; Lakshminarayana, S.; Patil, S. Deep Learning-Based Microscopic Diagnosis of Odontogenic Keratocysts and Non-Keratocysts in Haematoxylin and Eosin-Stained Incisional Biopsies. Diagnostics 2021, 11, 2184. [Google Scholar] [CrossRef] [PubMed]









| MODEL | Recall | Precision | F1-Score | AUC | Accuracy | Total Parameters |
|---|---|---|---|---|---|---|
| Standard convolution neural network (CNN) | 0.86 | 0.86 | 0.84 | 0.93 | 0.84 | 683,329 |
| VGG19 | 0.73 | 0.81 | 0.73 | 0.77 | 0.73 | 131,585 |
| VGG16 | 0.80 | 0.84 | 0.80 | 0.82 | 0.80 | 131,585 |
| Inception V3 | 0.82 | 0.82 | 0.82 | 0.78 | 0.82 | 23,901,985 |
| Standard ViT | 0.95 | 0.86 | 0.90 | 0.91 | 0.91 | 15,488,969 |
| Proposed attention-based image sequence analyzer | 1.00 | 0.96 | 0.98 | 0.98 | 0.98 | 8,947,721 |
| Component | ViT | Proposed Attention-Based Image Sequence Analyzer |
|---|---|---|
| learning_rate | 0.0001 | 0.0001 |
| Batch size | 20 | 20 |
| Epochs | 25 | 25 |
| weight_decay | 0.001 | 0.001 |
| patch_size | 6 | 6 |
| projection_dim | 64 | 64 |
| num_heads | 4 | 4 |
| transformer_layers | 4 | 4 |
| mlp_head_units | [2048, 1024] | [2048, 1024] |
| dropout_rate | 0.1 | 0.1 |
| lstm_units | NA | 32 |
| Optimizer | Adam | Adam |
| Loss function | SparseCategoricalCrossentropy | SparseCategoricalCrossentropy |
| Activation function | Gaussian Error Linear Unit | Gaussian Error Linear Unit |
| Precision | Recall | F1-Score | Support | |
|---|---|---|---|---|
| 0 | 1.00 | 0.96 | 0.98 | 50 |
| 1 | 0.96 | 1.00 | 0.98 | 52 |
| Accuracy | 0.98 | 102 | ||
| Macro average | 0.98 | 0.98 | 0.98 | 102 |
| Weighted average | 0.98 | 0.98 | 0.98 | 102 |
| Model | Log Loss |
|---|---|
| Standard CNN | 2.87 |
| VGG19 | 9.72 |
| VGG16 | 7.29 |
| Inception V3 | 6.41 |
| Standard ViT | 1.04 |
| Attention-based image sequence analyzer | 0.13 |
| Metrics | Value |
|---|---|
| Accuracy | 0.98 |
| Precision | 0.96 |
| Recall | 1.0 |
| F1-score | 0.98 |
| Matthews correlation coefficient | 0.96 |
| Cohen’s kappa | 0.96 |
| Balanced accuracy | 0.98 |
| Jaccard score | 0.96 |
| Brier score loss | 0.01 |
| Specificity (true negative rate) | 0.96 |
| Sensitivity (true positive rate) | 1.0 |
| Youden’s index (J) | 0.96 |
| G-mean | 0.97 |
| Log loss | 0.13 |
| Case No. | File Size (MB) | Base Resolution (H, W) | No. of Tiles | No. of Recurring OKC Tiles | No. of Non-Recurring OKC Tiles | Predicted Output | Actual Output |
|---|---|---|---|---|---|---|---|
| HP 68/22 | 658.6 | 126,976 × 126,976 | 3844 | 751 | 3093 | Recurring | Recurring |
| HP 86/22 | 793.3 | 126,982 × 126,982 | 4153 | 171 | 3982 | Non- recurring | Non- recurring |
Disclaimer/Publisher’s Note: The statements, opinions and data contained in all publications are solely those of the individual author(s) and contributor(s) and not of MDPI and/or the editor(s). MDPI and/or the editor(s) disclaim responsibility for any injury to people or property resulting from any ideas, methods, instructions or products referred to in the content. |
© 2023 by the authors. Licensee MDPI, Basel, Switzerland. This article is an open access article distributed under the terms and conditions of the Creative Commons Attribution (CC BY) license (https://creativecommons.org/licenses/by/4.0/).
Share and Cite
Mohanty, S.; Shivanna, D.B.; Rao, R.S.; Astekar, M.; Chandrashekar, C.; Radhakrishnan, R.; Sanjeevareddygari, S.; Kotrashetti, V.; Kumar, P. Development of Automated Risk Stratification for Sporadic Odontogenic Keratocyst Whole Slide Images with an Attention-Based Image Sequence Analyzer. Diagnostics 2023, 13, 3539. https://doi.org/10.3390/diagnostics13233539
Mohanty S, Shivanna DB, Rao RS, Astekar M, Chandrashekar C, Radhakrishnan R, Sanjeevareddygari S, Kotrashetti V, Kumar P. Development of Automated Risk Stratification for Sporadic Odontogenic Keratocyst Whole Slide Images with an Attention-Based Image Sequence Analyzer. Diagnostics. 2023; 13(23):3539. https://doi.org/10.3390/diagnostics13233539
Chicago/Turabian StyleMohanty, Samahit, Divya B. Shivanna, Roopa S. Rao, Madhusudan Astekar, Chetana Chandrashekar, Raghu Radhakrishnan, Shylaja Sanjeevareddygari, Vijayalakshmi Kotrashetti, and Prashant Kumar. 2023. "Development of Automated Risk Stratification for Sporadic Odontogenic Keratocyst Whole Slide Images with an Attention-Based Image Sequence Analyzer" Diagnostics 13, no. 23: 3539. https://doi.org/10.3390/diagnostics13233539
APA StyleMohanty, S., Shivanna, D. B., Rao, R. S., Astekar, M., Chandrashekar, C., Radhakrishnan, R., Sanjeevareddygari, S., Kotrashetti, V., & Kumar, P. (2023). Development of Automated Risk Stratification for Sporadic Odontogenic Keratocyst Whole Slide Images with an Attention-Based Image Sequence Analyzer. Diagnostics, 13(23), 3539. https://doi.org/10.3390/diagnostics13233539

