Lung Cancer Staging: Imaging and Potential Pitfalls
Abstract
:1. Introduction
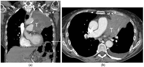
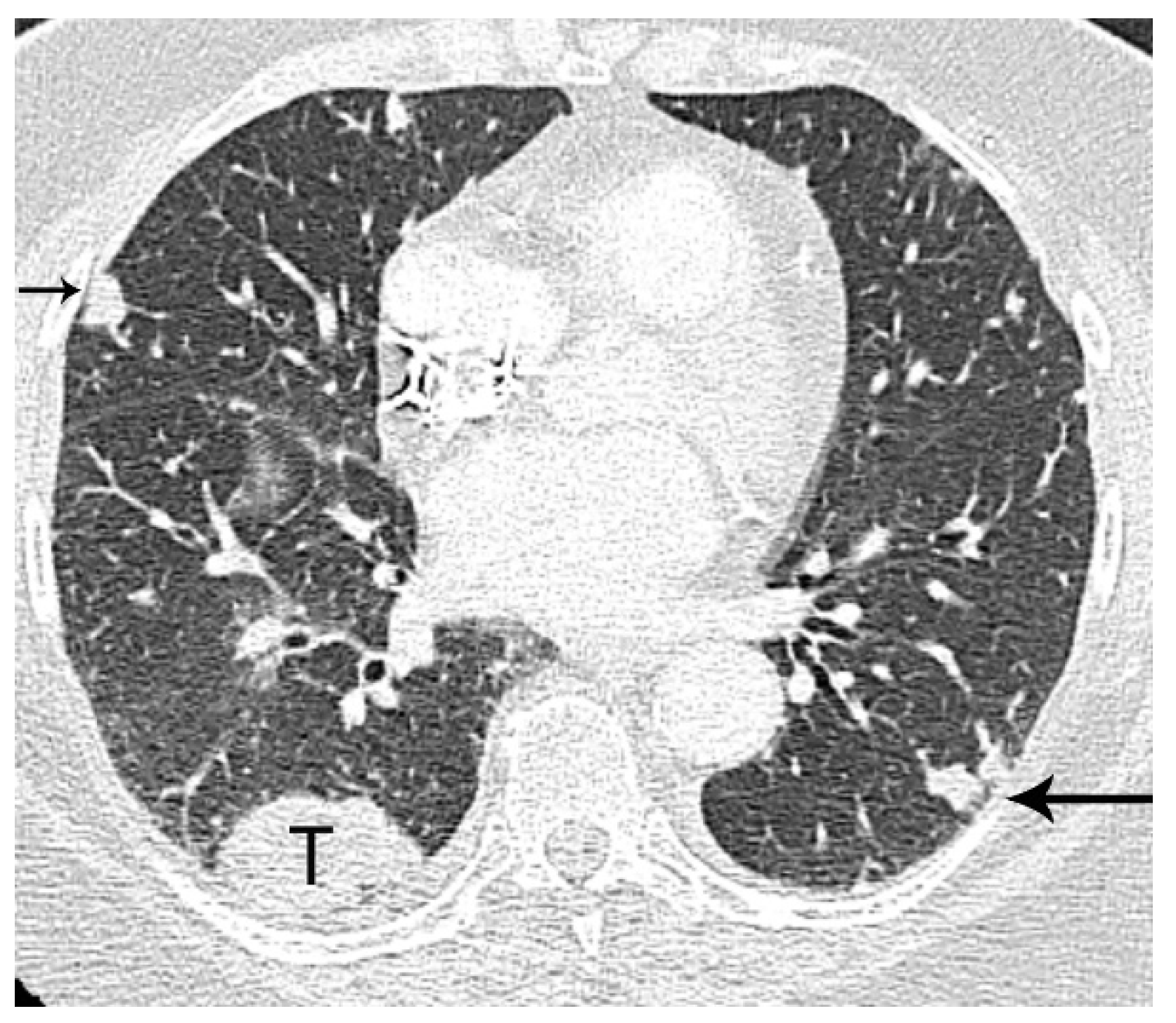
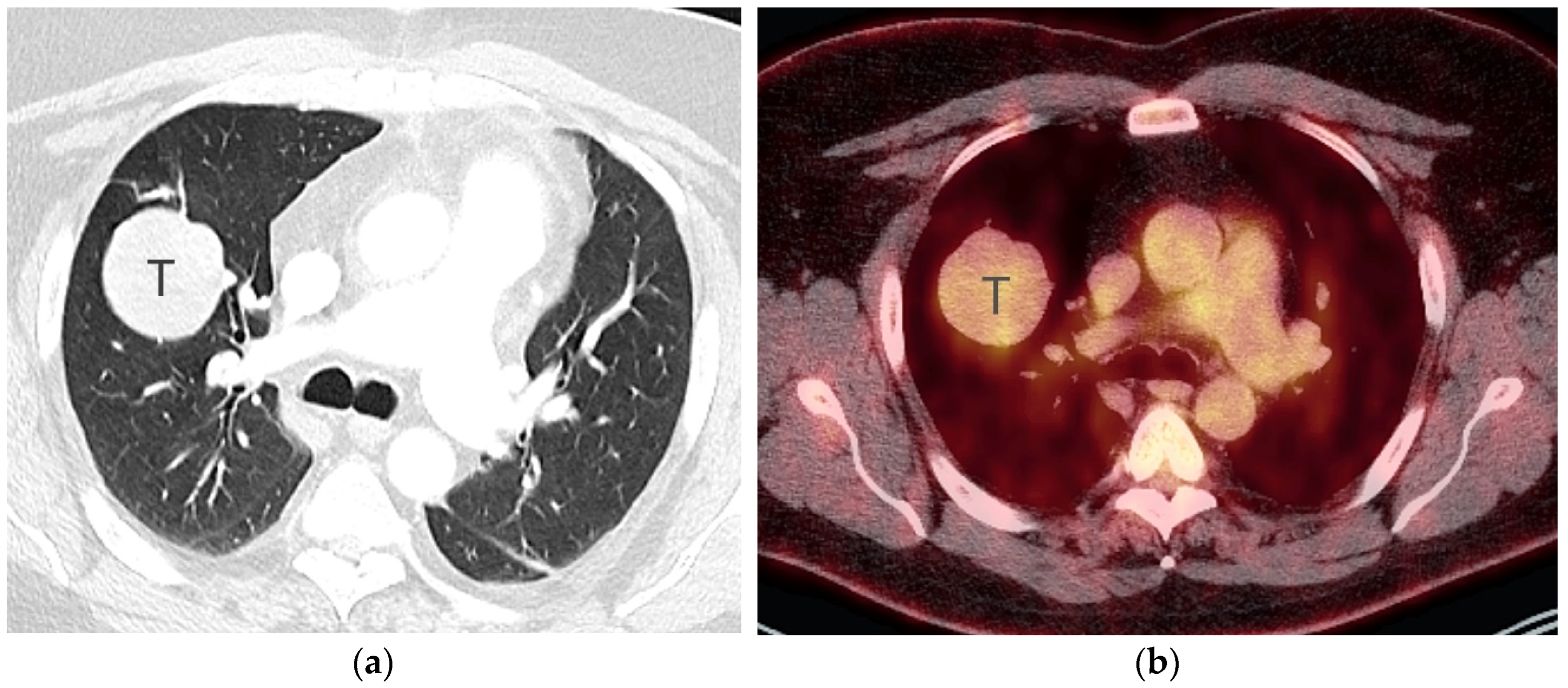
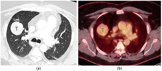
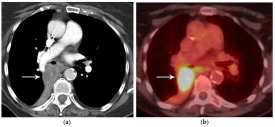
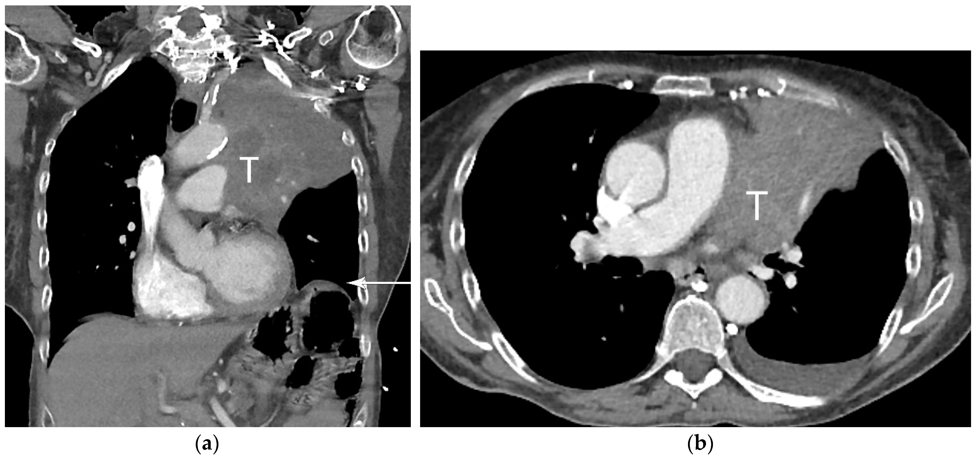
2. T Classification
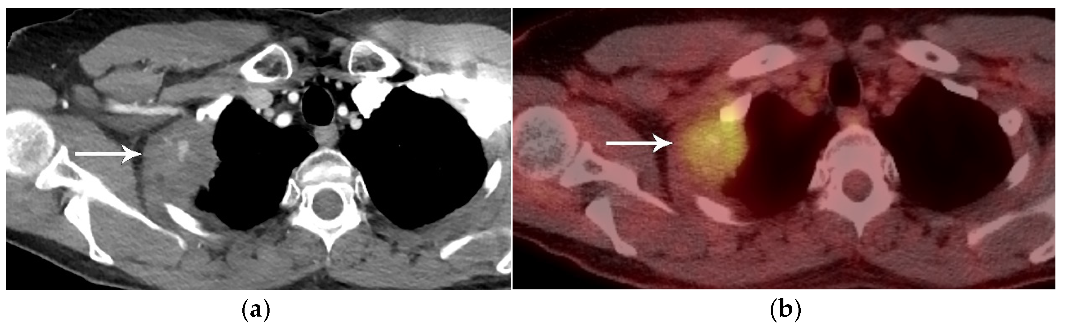
3. N Classification
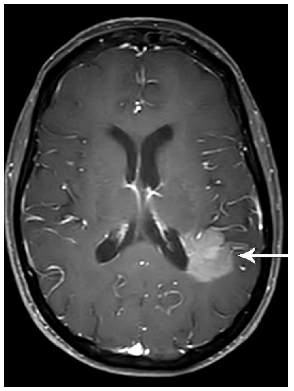
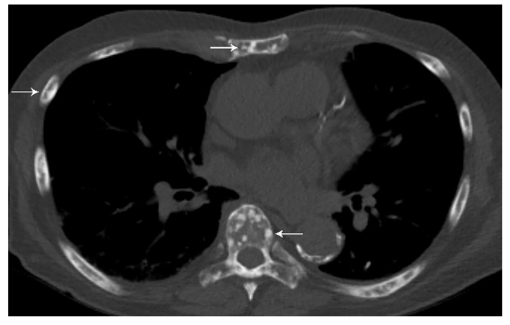
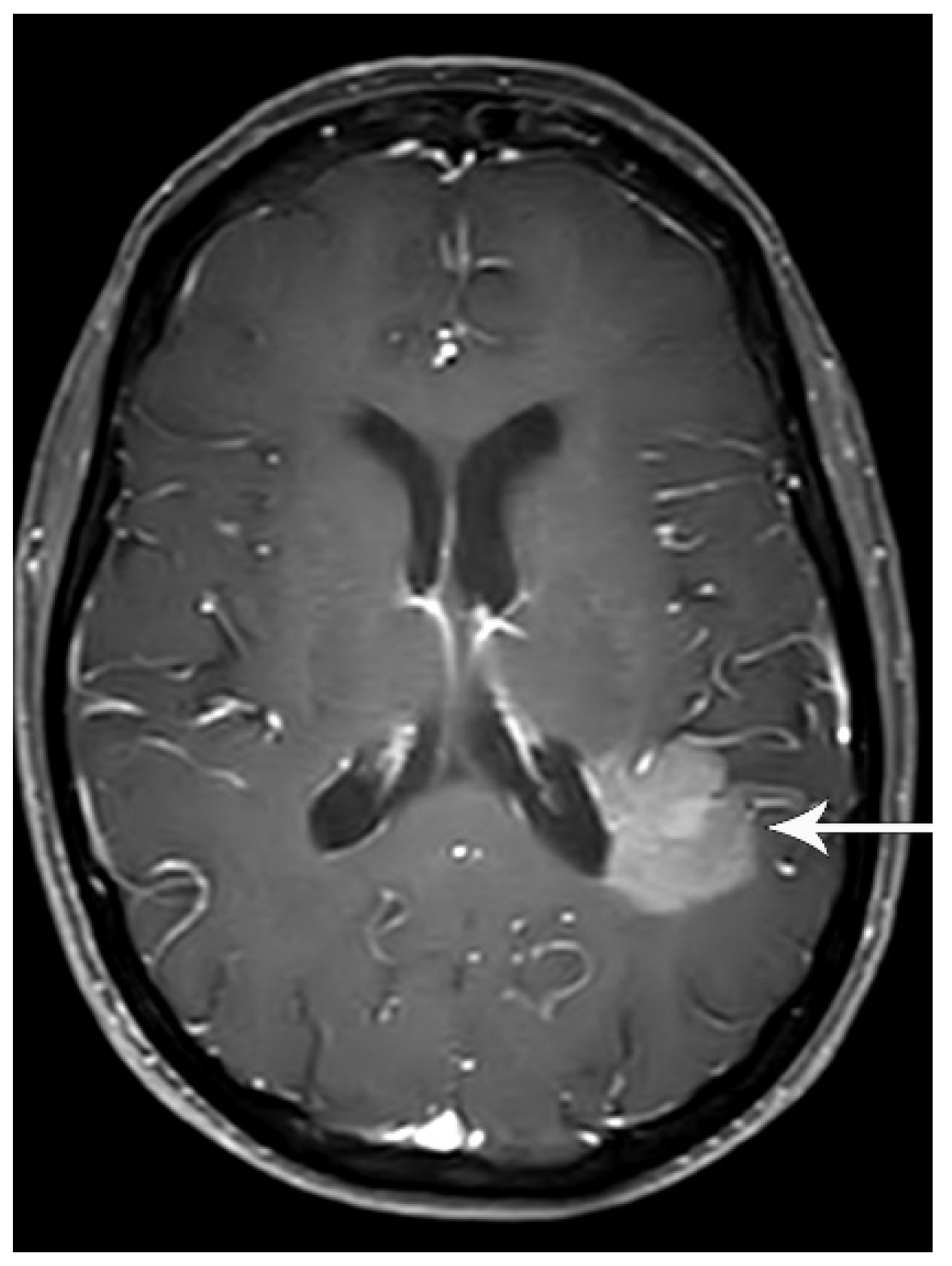
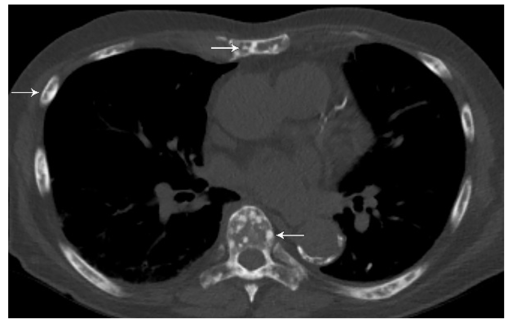
4. M Classification
5. Resectability
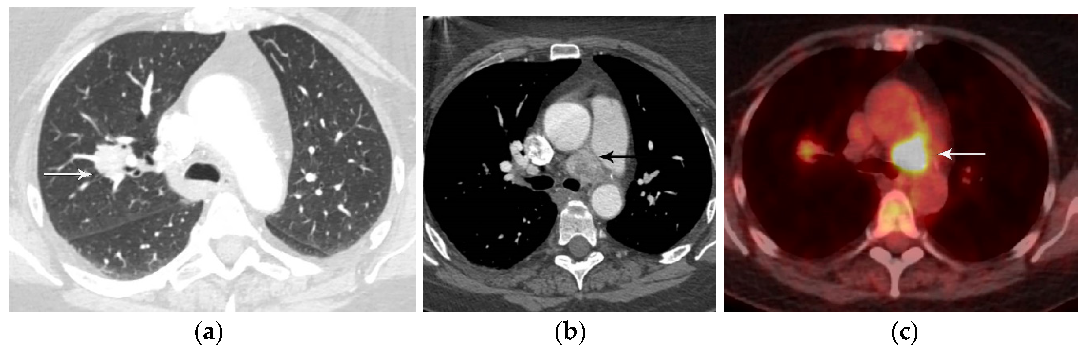
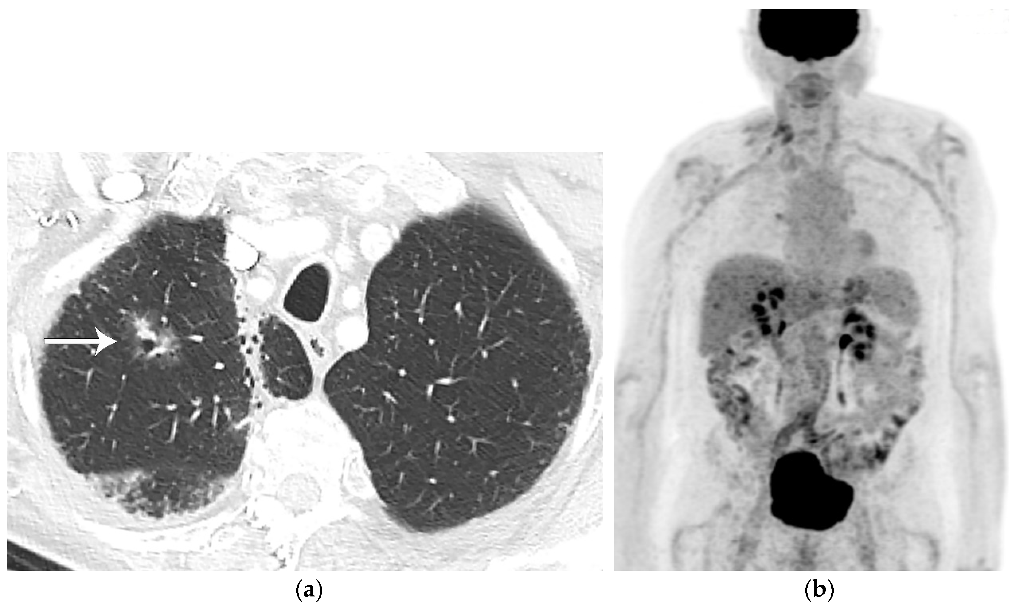
6. PET/CT for Lung Cancer
7. Conclusions
Author Contributions
Funding
Institutional Review Board Statement
Informed Consent Statement
Data Availability Statement
Acknowledgments
Conflicts of Interest
References
- NCCN Clinical Practice Guidelines in Oncology, Non-Small Cell Lung Cancer, Version 4. 2023. Available online: https://www.nccn.org/ (accessed on 20 September 2023).
- Thai, A.A.; Solomon, B.J.; Sequist, L.V.; Gainor, J.F.; Heist, R.S. Lung cancer. Lancet 2021, 398, 535–554. [Google Scholar] [CrossRef]
- Carter, B.W.; Lichtenberger, J.P., III; Benveniste, M.K.; de Groot, P.M.; Wu, C.C.; Erasmus, J.J.; Truong, M.T. Revisions to the TNM Staging of Lung Cancer: Rationale, Significance, and Clinical Application. Radiographics 2018, 38, 374–391. [Google Scholar] [CrossRef] [PubMed]
- Goldstraw, P.; Chansky, K.; Crowley, J.; Rami-Porta, R.; Asamura, H.; Eberhardt, W.E.; Nicholson, A.G.; Groome, P.; Mitchell, A.; Bolejack, V.; et al. The IASLC Lung Cancer Staging Project: Proposals for Revision of the TNM Stage Groupings in the Forthcoming (Eighth) Edition of the TNM Classification for Lung Cancer. J. Thorac. Oncol. 2016, 11, 39–51. [Google Scholar] [CrossRef] [PubMed]
- Nicholson, A.G.; Chansky, K.; Crowley, J.; Beyruti, R.; Kubota, K.; Turrisi, A.; Eberhardt, W.E.; van Meerbeeck, J.; Rami-Porta, R.; Staging and Prognostic Factors Committee; et al. The International Association for the Study of Lung Cancer Lung Cancer Staging Project: Proposals for the Revision of the Clinical and Pathologic Staging of Small Cell Lung Cancer in the Forthcoming Eighth Edition of the TNM Classification for Lung Cancer. J. Thorac. Oncol. 2016, 11, 300–311. [Google Scholar] [CrossRef] [PubMed]
- Galgano, S.J.; Wei, B.; Rose, J.B. PET Imaging of Neuroendocrine Tumors. Radiol. Clin. N. Am. 2021, 59, 789–799. [Google Scholar] [CrossRef]
- Yoon, J.Y.; Sigel, K.; Martin, J.; Jordan, R.; Beasley, M.B.; Smith, C.; Kaufman, A.; Wisnivesky, J.; Kim, M.K. Evaluation of the Prognostic Significance of TNM Staging Guidelines in Lung Carcinoid Tumors. J. Thorac. Oncol. 2019, 14, 184–192. [Google Scholar] [CrossRef] [PubMed]
- Kutob, L.; Schneider, F. Lung Cancer Staging. Surg. Pathol. Clin. 2020, 13, 57–71. [Google Scholar] [CrossRef]
- Travis, W.D.; Asamura, H.; Bankier, A.A.; Beasley, M.B.; Detterbeck, F.; Flieder, D.B.; Goo, J.M.; MacMahon, H.; Naidich, D.; Nicholson, A.G.; et al. The IASLC Lung Cancer Staging Project: Proposals for Coding T Categories for Subsolid Nodules and Assessment of Tumor Size in Part-Solid Tumors in the Forthcoming Eighth Edition of the TNM Classification of Lung Cancer. J. Thorac. Oncol. 2016, 11, 1204–1223. [Google Scholar] [CrossRef]
- Choi, Y.; Kim, S.H.; Kim, K.H.; Choi, Y.; Park, S.G.; Sohn, I.; Kim, H.S.; Um, S.W.; Lee, H.Y. Clinical T category for lung cancer staging: A pragmatic approach for real-world practice. Thorac. Cancer 2020, 11, 3555–3565. [Google Scholar] [CrossRef]
- Wu, D.Y.; de Hoyos, A.; Vo, D.T.; Hwang, H.; Spangler, A.E.; Seiler, S.J. Clinical Non-Small Cell Lung Cancer Staging and Tumor Length Measurement Results From U.S. Cancer Hospitals. Acad. Radiol. 2021, 28, 753–766. [Google Scholar] [CrossRef]
- Oh, J.; Piao, Z.; Cho, H.J.; Chong, Y.; Kim, S.S.; Kim, J.H.; Kang, M.W. CT-based three-dimensional invasiveness analysis of adenocarcinoma presenting as pure ground-glass nodules. Transl. Cancer Res. 2023, 12, 765–773. [Google Scholar] [CrossRef]
- Ridge, C.A.; Huang, J.; Cardoza, S.; Zabor, E.C.; Moskowitz, C.S.; Zakowski, M.F.; Ginsberg, M.S. Comparison of multiplanar reformatted CT lung tumor measurements to axial tumor measurement alone: Impact on maximal tumor dimension and T stage. AJR Am. J. Roentgenol. 2013, 201, 959–963. [Google Scholar] [CrossRef] [PubMed]
- Ahn, H.; Lee, K.W.; Lee, K.H.; Kim, J.; Kim, K.; Chung, J.H.; Lee, C.T. Effect of computed tomography window settings and reconstruction plane on 8th edition T-stage classification in patients with lung adenocarcinoma manifesting as a subsolid nodule. Eur. J. Radiol. 2018, 98, 130–135. [Google Scholar] [CrossRef] [PubMed]
- Rami-Porta, R.; Bolejack, V.; Crowley, J.; Ball, D.; Kim, J.; Lyons, G.; Rice, T.; Suzuki, K.; Thomas, C.F., Jr.; Travis, W.D.; et al. The IASLC Lung Cancer Staging Project: Proposals for the Revisions of the T Descriptors in the Forthcoming Eighth Edition of the TNM Classification for Lung Cancer. J. Thorac. Oncol. 2015, 10, 990–1003. [Google Scholar] [CrossRef] [PubMed]
- Mallum, A.; Mkhize, T.; Akudugu, J.M.; Ngwa, W.; Vorster, M. The Role of Positron Emission Tomography and Computed Tomographic (PET/CT) Imaging for Radiation Therapy Planning: A Literature Review. Diagnostics 2022, 13, 53. [Google Scholar] [CrossRef] [PubMed]
- Lococo, F.; Guerrera, F.; Rena, O.; Ampollini, L.; Vannucci, J.; Bertoglio, P.; Ventura, L.; Lyberis, P.; Marchese, V.; Arena, V.; et al. Accuracy of (18)F-FDG in Detecting Stage I Lung Adenocarcinomas According to IASLC/ATS/ERS Classification. Heart Lung Circ. 2022, 31, 726–732. [Google Scholar] [CrossRef] [PubMed]
- Ichinose, J.; Kohno, T.; Fujimori, S.; Harano, T.; Suzuki, S.; Fujii, T. Invasiveness and malignant potential of pulmonary lesions presenting as pure ground-glass opacities. Ann. Thorac. Cardiovasc. Surg. 2014, 20, 347–352. [Google Scholar] [CrossRef]
- Shao, X.; Niu, R.; Jiang, Z.; Shao, X.; Wang, Y. Role of PET/CT in Management of Early Lung Adenocarcinoma. AJR Am. J. Roentgenol. 2020, 214, 437–445. [Google Scholar] [CrossRef]
- Pijl, J.P.; Nienhuis, P.H.; Kwee, T.C.; Glaudemans, A.; Slart, R.; Gormsen, L.C. Limitations and Pitfalls of FDG-PET/CT in Infection and Inflammation. Semin. Nucl. Med. 2021, 51, 633–645. [Google Scholar] [CrossRef]
- Osarogiagbon, R.U.; Van Schil, P.; Giroux, D.J.; Lim, E.; Putora, P.M.; Lievens, Y.; Cardillo, G.; Kim, H.K.; Rocco, G.; Bille, A.; et al. The International Association for the Study of Lung Cancer Lung Cancer Staging Project: Overview of Challenges and Opportunities in Revising the Nodal Classification of Lung Cancer. J. Thorac. Oncol. 2023, 18, 410–418. [Google Scholar] [CrossRef]
- Daly, M.E.; Singh, N.; Ismaila, N.; Antonoff, M.B.; Arenberg, D.A.; Bradley, J.; David, E.; Detterbeck, F.; Fruh, M.; Gubens, M.A.; et al. Management of Stage III Non-Small-Cell Lung Cancer: ASCO Guideline. J. Clin. Oncol. 2022, 40, 1356–1384. [Google Scholar] [CrossRef]
- Yun, J.K.; Lee, G.D.; Choi, S.; Kim, H.R.; Kim, Y.H.; Kim, D.K.; Park, S.I. Comparison between lymph node station- and zone-based classification for the future revision of node descriptors proposed by the International Association for the Study of Lung Cancer in surgically resected patients with non-small-cell lung cancer. Eur. J. Cardiothorac. Surg. 2019, 56, 849–857. [Google Scholar] [CrossRef]
- Maniwa, T.; Ohmura, A.; Hiroshima, T.; Ike, A.; Kimura, T.; Nakamura, H.; Nakatsuka, S.I.; Okami, J.; Higashiyama, M. Number of metastatic lymph nodes and zones as prognostic factors in non-small-cell lung cancer. Interact. Cardiovasc. Thorac. Surg. 2020, 31, 305–314. [Google Scholar] [CrossRef] [PubMed]
- Ohno, Y.; Ozawa, Y.; Koyama, H.; Yoshikawa, T.; Takenaka, D.; Nagata, H.; Ueda, T.; Ikeda, H.; Toyama, H. State of the Art MR Imaging for Lung Cancer TNM Stage Evaluation. Cancers 2023, 15, 950. [Google Scholar] [CrossRef] [PubMed]
- Rogasch, J.M.M.; Michaels, L.; Baumgartner, G.L.; Frost, N.; Ruckert, J.C.; Neudecker, J.; Ochsenreither, S.; Gerhold, M.; Schmidt, B.; Schneider, P.; et al. A machine learning tool to improve prediction of mediastinal lymph node metastases in non-small cell lung cancer using routinely obtainable [(18)F]FDG-PET/CT parameters. Eur. J. Nucl. Med. Mol. Imaging 2023, 50, 2140–2151. [Google Scholar] [CrossRef]
- Quint, L.E.; Tummala, S.; Brisson, L.J.; Francis, I.R.; Krupnick, A.S.; Kazerooni, E.A.; Iannettoni, M.D.; Whyte, R.I.; Orringer, M.B. Distribution of distant metastases from newly diagnosed non-small cell lung cancer. Ann. Thorac. Surg. 1996, 62, 246–250. [Google Scholar] [CrossRef] [PubMed]
- Eberhardt, W.E.; Mitchell, A.; Crowley, J.; Kondo, H.; Kim, Y.T.; Turrisi, A., 3rd; Goldstraw, P.; Rami-Porta, R.; International Association for Study of Lung Cancer Staging; Prognostic Factors Committee; et al. The IASLC Lung Cancer Staging Project: Proposals for the Revision of the M Descriptors in the Forthcoming Eighth Edition of the TNM Classification of Lung Cancer. J. Thorac. Oncol. 2015, 10, 1515–1522. [Google Scholar] [CrossRef]
- Kandathil, A.; Kay, F.U.; Butt, Y.M.; Wachsmann, J.W.; Subramaniam, R.M. Role of FDG PET/CT in the Eighth Edition of TNM Staging of Non-Small Cell Lung Cancer. Radiographics 2018, 38, 2134–2149. [Google Scholar] [CrossRef]
- Silvestri, G.A.; Gonzalez, A.V.; Jantz, M.A.; Margolis, M.L.; Gould, M.K.; Tanoue, L.T.; Harris, L.J.; Detterbeck, F.C. Methods for staging non-small cell lung cancer: Diagnosis and management of lung cancer, 3rd ed: American College of Chest Physicians evidence-based clinical practice guidelines. Chest 2013, 143, e211S–e250S. [Google Scholar] [CrossRef]
- Wu, Y.; Li, P.; Zhang, H.; Shi, Y.; Wu, H.; Zhang, J.; Qian, Y.; Li, C.; Yang, J. Diagnostic value of fluorine 18 fluorodeoxyglucose positron emission tomography/computed tomography for the detection of metastases in non-small-cell lung cancer patients. Int. J. Cancer 2013, 132, E37–E47. [Google Scholar] [CrossRef]
- Sharma, R.; Tripathi, M.; D'Souza, M.; Jaimini, A.; Saw, S.K.; Singh, D.; Mishra, A.; Mondal, A. The importance of 18F-FDG PET/CT, CT and X-rays in detecting primary stage III A lung cancer and the incidence of extra thoracic metastases. Hell. J. Nucl. Med. 2009, 12, 22–25. [Google Scholar] [PubMed]
- Metser, U.; Miller, E.; Lerman, H.; Lievshitz, G.; Avital, S.; Even-Sapir, E. 18F-FDG PET/CT in the evaluation of adrenal masses. J. Nucl. Med. 2006, 47, 32–37. [Google Scholar] [PubMed]
- Blake, M.A.; Slattery, J.M.; Kalra, M.K.; Halpern, E.F.; Fischman, A.J.; Mueller, P.R.; Boland, G.W. Adrenal lesions: Characterization with fused PET/CT image in patients with proved or suspected malignancy—Initial experience. Radiology 2006, 238, 970–977. [Google Scholar] [CrossRef] [PubMed]
- Boland, G.W.; Dwamena, B.A.; Jagtiani Sangwaiya, M.; Goehler, A.G.; Blake, M.A.; Hahn, P.F.; Scott, J.A.; Kalra, M.K. Characterization of adrenal masses by using FDG PET: A systematic review and meta-analysis of diagnostic test performance. Radiology 2011, 259, 117–126. [Google Scholar] [CrossRef] [PubMed]
- Qu, X.; Huang, X.; Yan, W.; Wu, L.; Dai, K. A meta-analysis of (1)(8)FDG-PET-CT, (1)(8)FDG-PET, MRI and bone scintigraphy for diagnosis of bone metastases in patients with lung cancer. Eur. J. Radiol. 2012, 81, 1007–1015. [Google Scholar] [CrossRef] [PubMed]
- Milovanovic, I.S.; Stjepanovic, M.; Mitrovic, D. Distribution patterns of the metastases of the lung carcinoma in relation to histological type of the primary tumor: An autopsy study. Ann. Thorac. Med. 2017, 12, 191–198. [Google Scholar] [CrossRef] [PubMed]
- Confavreux, C.B.; Pialat, J.B.; Belliere, A.; Brevet, M.; Decroisette, C.; Tescaru, A.; Wegrzyn, J.; Barrey, C.; Mornex, F.; Souquet, P.J.; et al. Bone metastases from lung cancer: A paradigm for multidisciplinary onco-rheumatology management. Jt. Bone Spine 2019, 86, 185–194. [Google Scholar] [CrossRef]
- Rashid, R.J.; Tahir, S.H.; Kakamad, F.H.; Omar, S.S.; Salih, A.M.; Ahmed, S.F.; Abdalla, S.H.; Naqar, S.; Salih, R.Q.; Kakamad, S.H.; et al. Whole-body MRI for metastatic workup in patients diagnosed with cancer. Mol. Clin. Oncol. 2023, 18, 33. [Google Scholar] [CrossRef]
- Taylor, S.A.; Mallett, S.; Miles, A.; Morris, S.; Quinn, L.; Clarke, C.S.; Beare, S.; Bridgewater, J.; Goh, V.; Janes, S.; et al. Whole-body MRI compared with standard pathways for staging metastatic disease in lung and colorectal cancer: The Streamline diagnostic accuracy studies. Health Technol. Assess. 2019, 23, 1–270. [Google Scholar] [CrossRef]
- Diaz, M.E.; Debowski, M.; Hukins, C.; Fielding, D.; Fong, K.M.; Bettington, C.S. Non-small cell lung cancer brain metastasis screening in the era of positron emission tomography-CT staging: Current practice and outcomes. J. Med. Imaging Radiat. Oncol. 2018, 62, 383–388. [Google Scholar] [CrossRef]
- Hendriks, L.E.; Bootsma, G.P.; de Ruysscher, D.K.; Scheppers, N.A.; Hofman, P.A.; Brans, B.T.; Dingemans, A.M. Screening for brain metastases in patients with stage III non-small cell lung cancer: Is there additive value of magnetic resonance imaging above a contrast-enhanced computed tomography of the brain? Lung Cancer 2013, 80, 293–297. [Google Scholar] [CrossRef] [PubMed]
- Hochstenbag, M.M.; Twijnstra, A.; Hofman, P.; Wouters, E.F.; ten Velde, G.P. MR-imaging of the brain of neurologic asymptomatic patients with large cell or adenocarcinoma of the lung. Does it influence prognosis and treatment? Lung Cancer 2003, 42, 189–193. [Google Scholar] [CrossRef] [PubMed]
- Tsilimigras, D.I.; Brodt, P.; Clavien, P.A.; Muschel, R.J.; D’Angelica, M.I.; Endo, I.; Parks, R.W.; Doyle, M.; de Santibanes, E.; Pawlik, T.M. Liver metastases. Nat. Rev. Dis. Primers 2021, 7, 27. [Google Scholar] [CrossRef] [PubMed]
- Planchard, D.; Popat, S.; Kerr, K.; Novello, S.; Smit, E.F.; Faivre-Finn, C.; Mok, T.S.; Reck, M.; Van Schil, P.E.; Hellmann, M.D.; et al. Metastatic non-small cell lung cancer: ESMO Clinical Practice Guidelines for diagnosis, treatment and follow-up. Ann. Oncol. 2018, 29, iv192–iv237. [Google Scholar] [CrossRef] [PubMed]
- Lardinois, D.; Weder, W.; Roudas, M.; von Schulthess, G.K.; Tutic, M.; Moch, H.; Stahel, R.A.; Steinert, H.C. Etiology of solitary extrapulmonary positron emission tomography and computed tomography findings in patients with lung cancer. J. Clin. Oncol. 2005, 23, 6846–6853. [Google Scholar] [CrossRef]
- Wang, L.; Tang, G.; Hu, K.; Liu, X.; Zhou, W.; Li, H.; Huang, S.; Han, Y.; Chen, L.; Zhong, J.; et al. Comparison of (68)Ga-FAPI and (18)F-FDG PET/CT in the Evaluation of Advanced Lung Cancer. Radiology 2022, 303, 191–199. [Google Scholar] [CrossRef] [PubMed]
- Costantino, C.L.; Wright, C.D. Extended Pulmonary Resection by Sleeve Lobectomy and Carinal Pneumonectomy: Selection and Technique. Thorac. Surg. Clin. 2021, 31, 273–281. [Google Scholar] [CrossRef]
- Bang, A.; Schoenfeld, J.D.; Sun, A.Y. PACIFIC: Shifting tides in the treatment of locally advanced non-small cell lung cancer. Transl. Lung Cancer Res. 2019, 8, S139–S146. [Google Scholar] [CrossRef]
- Madariaga, M.L.L.; Geller, A.; Lanuti, M.; Ott, H.; Allan, J.S.; Donahue, D.M.; Mathisen, D.J.; Wright, C.D.; Gaissert, H.A. Pulmonary Artery Resection During Lung Resection for Malignancy. Ann. Thorac. Surg. 2019, 108, 1692–1700. [Google Scholar] [CrossRef]
- Fischer, B.; Lassen, U.; Mortensen, J.; Larsen, S.; Loft, A.; Bertelsen, A.; Ravn, J.; Clementsen, P.; Hogholm, A.; Larsen, K.; et al. Preoperative staging of lung cancer with combined PET-CT. N. Engl. J. Med. 2009, 361, 32–39. [Google Scholar] [CrossRef]
- Maziak, D.E.; Darling, G.E.; Inculet, R.I.; Gulenchyn, K.Y.; Driedger, A.A.; Ung, Y.C.; Miller, J.D.; Gu, C.S.; Cline, K.J.; Evans, W.K.; et al. Positron emission tomography in staging early lung cancer: A randomized trial. Ann. Intern. Med. 2009, 151, 221–228. [Google Scholar] [CrossRef]
- Sanli, Y.; Garg, I.; Kandathil, A.; Kendi, T.; Zanetti, M.J.B.; Kuyumcu, S.; Subramaniam, R.M. Neuroendocrine Tumor Diagnosis and Management: (68)Ga-DOTATATE PET/CT. AJR Am. J. Roentgenol. 2018, 211, 267–277. [Google Scholar] [CrossRef] [PubMed]
- Manafi-Farid, R.; Askari, E.; Shiri, I.; Pirich, C.; Asadi, M.; Khateri, M.; Zaidi, H.; Beheshti, M. [(18)F]FDG-PET/CT Radiomics and Artificial Intelligence in Lung Cancer: Technical Aspects and Potential Clinical Applications. Semin. Nucl. Med. 2022, 52, 759–780. [Google Scholar] [CrossRef] [PubMed]
- Tankyevych, O.; Tixier, F.; Antonorsi, N.; Filali Razzouki, A.; Mondon, R.; Pinto-Leite, T.; Visvikis, D.; Hatt, M.; Cheze Le Rest, C. Can alternative PET reconstruction schemes improve the prognostic value of radiomic features in non-small cell lung cancer? Methods 2021, 188, 73–83. [Google Scholar] [CrossRef]
- Mu, W.; Tunali, I.; Gray, J.E.; Qi, J.; Schabath, M.B.; Gillies, R.J. Radiomics of (18)F-FDG PET/CT images predicts clinical benefit of advanced NSCLC patients to checkpoint blockade immunotherapy. Eur. J. Nucl. Med. Mol. Imaging 2020, 47, 1168–1182. [Google Scholar] [CrossRef] [PubMed]
- Mu, W.; Tunali, I.; Qi, J.; Schabath, M.B.; Gillies, R.J. Radiomics of (18)F Fluorodeoxyglucose PET/CT Images Predicts Severe Immune-related Adverse Events in Patients with NSCLC. Radiol. Artif. Intell. 2020, 2, e190063. [Google Scholar] [CrossRef] [PubMed]
- Dissaux, G.; Visvikis, D.; Da-Ano, R.; Pradier, O.; Chajon, E.; Barillot, I.; Duverge, L.; Masson, I.; Abgral, R.; Santiago Ribeiro, M.J.; et al. Pretreatment (18)F-FDG PET/CT Radiomics Predict Local Recurrence in Patients Treated with Stereotactic Body Radiotherapy for Early-Stage Non-Small Cell Lung Cancer: A Multicentric Study. J. Nucl. Med. 2020, 61, 814–820. [Google Scholar] [CrossRef]
- Hatt, M.; Cheze Le Rest, C.; Antonorsi, N.; Tixier, F.; Tankyevych, O.; Jaouen, V.; Lucia, F.; Bourbonne, V.; Schick, U.; Badic, B.; et al. Radiomics in PET/CT: Current Status and Future AI-Based Evolutions. Semin. Nucl. Med. 2021, 51, 126–133. [Google Scholar] [CrossRef]
- Guberina, M.; Herrmann, K.; Pottgen, C.; Guberina, N.; Hautzel, H.; Gauler, T.; Ploenes, T.; Umutlu, L.; Wetter, A.; Theegarten, D.; et al. Prediction of malignant lymph nodes in NSCLC by machine-learning classifiers using EBUS-TBNA and PET/CT. Sci. Rep. 2022, 12, 17511. [Google Scholar] [CrossRef]














| T—Primary Tumor | ||
|---|---|---|
| Category | Subcategory | Descriptors |
| TX | Primary tumor cannot be assessed, or tumor is proven by the presence of malignant cells in sputum or bronchial washings but not visualized by imaging or bronchoscopy | |
| T0 | No evidence of primary tumor | |
| Tis | Carcinoma in situ: Tis(AIS): adenocarcinoma Tis(SCIS): squamous cell carcinoma | |
| T1 | Tumor 3 cm or less in greatest dimension, surrounded by lung or visceral pleura, without bronchoscopic evidence of invasion more proximal than the lobar bronchus (i.e., not in the main bronchus). The uncommon superficial spreading tumor of any size with its invasive component limited to the bronchial wall, which may extend proximal to the main bronchus, is also classified as T1a. | |
| T1mi | Minimally invasive adenocarcinoma | |
| T1a | Tumor 1 cm or less in greatest dimension | |
| T1b | Tumor more than 1 cm but not more than 2 cm in greatest dimension | |
| T1c | Tumor more than 2 cm but not more than 3 cm in greatest dimension | |
| T2 | Tumor more than 3 cm but not more than 5 cm; or tumor with any of the following features. T2 tumors with these features are classified T2a if 4 cm or less, or if size cannot be determined; and T2b if greater than 4 cm but not larger than 5 cm.
| |
| T2a | Tumor more than 3 cm but not more than 4 cm in greatest dimension | |
| T2b | Tumor more than 4 cm but not more than 5 cm in greatest dimension | |
| T3 | Tumor more than 5 cm but not more than 7 cm in greatest dimension or one that directly invades any of the following: parietal pleura (PL3), chest wall (including superior sulcus tumors), phrenic nerve, parietal pericardium; or associated separate tumor nodule(s) in the same lobe as the primary | |
| T4 | Tumors more than 7 cm or one that invades any of the following: diaphragm, mediastinum, heart, great vessels, trachea, recurrent laryngeal nerve, esophagus, vertebral body, carina; separate tumor nodule(s) in a different ipsilateral lobe to that of the primary | |
| N—Regional Lymph Nodes | ||
| NX | Regional lymph nodes cannot be assessed | |
| N0 | No regional lymph node metastasis | |
| N1 | Metastasis in ipsilateral peribronchial and/or ipsilateral hilar lymph nodes and intrapulmonary nodes, including involvement by direct extension | |
| N2 | Metastasis in ipsilateral mediastinal and/or subcarinal lymph node(s) | |
| N3 | Metastasis in contralateral mediastinal, contralateral hilar, ipsilateral or contralateral scalene, or supraclavicular lymph node(s) | |
| M—Distant Metastasis | ||
| M0 | No distant metastasis | |
| M1 | Distant metastasis | |
| M1a | Separate tumor nodule(s) in a contralateral lobe; tumor with pleural nodules or malignant pleural or pericardial effusion. Most pleural (pericardial) effusions with lung cancer are due to tumor. In a few patients, however, multiple microscopic examinations of pleural (pericardial) fluid are negative for tumor, and the fluid is non-bloody and is not an exudate. Where these elements and clinical judgment dictate that the effusion is not related to the tumor, the effusion should be excluded as a staging descriptor. | |
| M1b | Single extrathoracic metastasis in a single organ and involvement of a single distant (non-regional) node | |
| M1c | Multiple extrathoracic metastases in one or several organs | |
| T or M Stage | N0 | N1 | N2 | N3 | |
|---|---|---|---|---|---|
| T1 | T1a | IA1 | IIB | IIIA | IIIB |
| T1b | IA2 | IIB | IIIA | IIIB | |
| T1c | IA3 | IIB | IIIA | IIIB | |
| T2 | T2a | IB | IIB | IIIA | IIIB |
| T2b | IIA | IIB | IIIA | IIIB | |
| T3 | T3 | IIB | IIIA | IIIB | IIIC |
| T4 | T4 | IIIA | IIIA | IIIB | IIIC |
| M1 | M1a | IVA | IVA | IVA | IVA |
| M1b | IVA | IVA | IVA | IVA | |
| M1c | IVB | IVB | IVB | IVB |
Disclaimer/Publisher’s Note: The statements, opinions and data contained in all publications are solely those of the individual author(s) and contributor(s) and not of MDPI and/or the editor(s). MDPI and/or the editor(s) disclaim responsibility for any injury to people or property resulting from any ideas, methods, instructions or products referred to in the content. |
© 2023 by the authors. Licensee MDPI, Basel, Switzerland. This article is an open access article distributed under the terms and conditions of the Creative Commons Attribution (CC BY) license (https://creativecommons.org/licenses/by/4.0/).
Share and Cite
Erasmus, L.T.; Strange, T.A.; Agrawal, R.; Strange, C.D.; Ahuja, J.; Shroff, G.S.; Truong, M.T. Lung Cancer Staging: Imaging and Potential Pitfalls. Diagnostics 2023, 13, 3359. https://doi.org/10.3390/diagnostics13213359
Erasmus LT, Strange TA, Agrawal R, Strange CD, Ahuja J, Shroff GS, Truong MT. Lung Cancer Staging: Imaging and Potential Pitfalls. Diagnostics. 2023; 13(21):3359. https://doi.org/10.3390/diagnostics13213359
Chicago/Turabian StyleErasmus, Lauren T., Taylor A. Strange, Rishi Agrawal, Chad D. Strange, Jitesh Ahuja, Girish S. Shroff, and Mylene T. Truong. 2023. "Lung Cancer Staging: Imaging and Potential Pitfalls" Diagnostics 13, no. 21: 3359. https://doi.org/10.3390/diagnostics13213359
APA StyleErasmus, L. T., Strange, T. A., Agrawal, R., Strange, C. D., Ahuja, J., Shroff, G. S., & Truong, M. T. (2023). Lung Cancer Staging: Imaging and Potential Pitfalls. Diagnostics, 13(21), 3359. https://doi.org/10.3390/diagnostics13213359

