Optimizing Inference Distribution for Efficient Kidney Tumor Segmentation Using a UNet-PWP Deep-Learning Model with XAI on CT Scan Images
Abstract
:1. Introduction
1.1. Contribution of Our Proposed Work
- Novel Methodology: We propose a novel methodology for medical image segmentation, addressing hardware constraints through adaptive partitioning and weight pruning.
- Progressive Model Construction: Our approach allows us to incrementally deepen UNet submodels while maintaining a consistent number of parameters, maximizing the architecture’s potential.
- GCAM-Attention:GCAM-Attention Fusion contributes to a model that excels in segmentation accuracy and computational efficiency and provides transparency and interpretability.
- Enhanced Kidney Tumor Segmentation: Our work focuses on kidney tumor segmentation, significantly improving accuracy and efficiency in this medical task.
1.2. Organization of the Paper
2. Related Works
3. Materials and Methods
3.1. Data Pre-Processing
3.2. Enhancing Kidney Tumor Segmentation: UNet Partitioning, Weight Pruning, and GCAM-Attention Fusion
3.2.1. Adaptive Partitioning for Scalable Submodels
3.2.2. Weight Pruning for Efficient Resource Utilization
3.2.3. Gradient-Weighted Class Activation Mapping(Grad-CAM)
- Identify the target layer: Grad-CAM focuses on the last convolutional layer of the CNN, which contains the high-level features that are most relevant to the classification task. Let A be the activation map of this layer with dimensions , where H and W are the height and width of the map, respectively.
- Compute the gradients: Calculate the gradients of the score for the predicted class c (denoted as ) with respect to the activation map A. The gradients () represent the importance of each activation for the predicted class.
- Calculate the weights: Compute the weights by global average pooling the gradients over the height and width dimensions [6].where k is the index of the k-th feature map, and is the activation at location of the k-th feature map.
- Compute the weighted activation map: Multiply each feature map in A by its corresponding weight , and sum the weighted feature maps to obtain the weighted activation map L.
- Generate the heatmap: Apply a ReLU function to the weighted activation map L to eliminate the negative values and obtain the final heatmap H.
3.3. Generating Attention Heatmap
3.4. GCAM-Attention Fusion:
Proposed UNet-PWP with XAI (GCAM-Attention Fusion)
4. Results
4.1. Experimental Setup
4.2. Ablation Study
- UNet: The baseline UNet architecture [26] serves as our starting point, with a total of 100,000,000 trainable parameters.
- UNet (Adaptive Partitioning + Weight Pruning): In this modification, we apply adaptive partitioning and weight-pruning techniques to the initial UNet model [26]. The result is a more streamlined model with a total of 10,000,000 trainable parameters, significantly reducing computational demands.
- UNet (Adaptive Partitioning + Weight Pruning + Depth Increase): Here, we not only apply adaptive partitioning and weight pruning but also augment the UNet model [26] by increasing its depth with previously trained weights. The resulting architecture maintains the same total and trainable parameters of 10,000,000 million, which can fit with the same computational demands, albeit with enhanced capacity for intricate feature extraction.
- UNet (Adaptive Partitioning + Weight Pruning + Depth Increase + GCAM-Attention Fusion): To further enhance the interpretability and visualization aspects of our UNet-PWP model, we introduce the innovative ’GCAM-Attention Fusion’ component. This fusion technique is integrated into the UNet architecture, extending the model’s region-specific analysis and understanding capabilities.
4.3. Model Evaluation
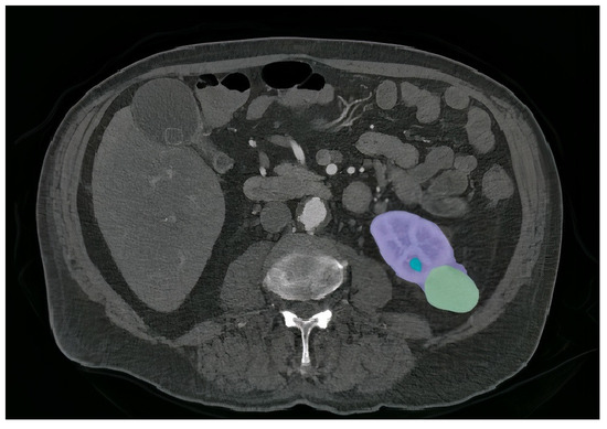
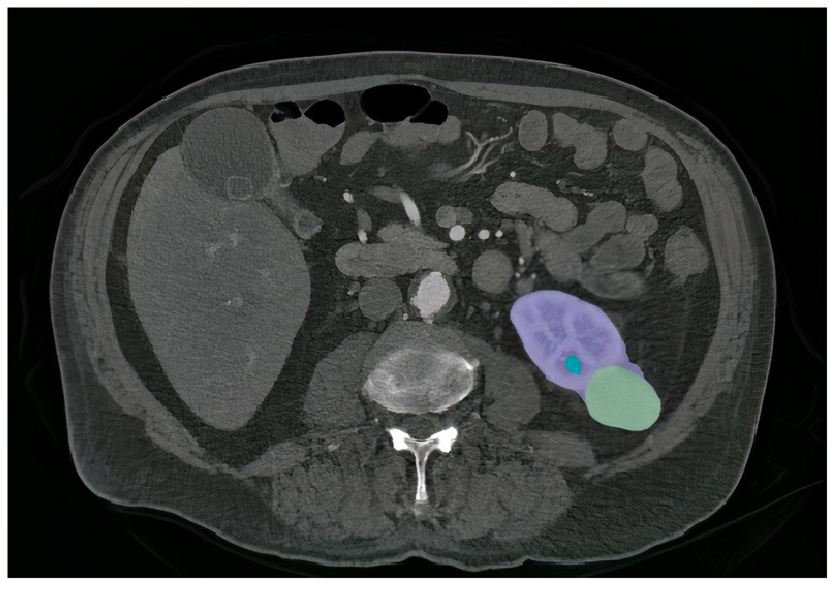
4.4. Incorporating GCAM-Attention Fusion to UNet-PWP on CT Scan
5. Conclusions
Author Contributions
Funding
Institutional Review Board Statement
Informed Consent Statement
Data Availability Statement
Acknowledgments
Conflicts of Interest
Abbreviations
| WP | Weight Pruning |
| CT | Computer Tomography |
| BN | Batch Normalization |
| FLOPs | Floating-Point Operations |
| KiTs 23 | KiTs 23 World Challenge Dataset |
| NIFTI | Neuroimaging Informatics Technology Initiative |
| ADP | Adaptive Partitioning |
| UNet-P | UNet model with Partitions |
| UNet-PWP | UNet Model with Pruned Partitions |
References
- Gharaibeh, M.; Alzu’bi, D.; Abdullah, M.; Hmeidi, I.; Al Nasar, M.R.; Abualigah, L.; Gandomi, A.H. Radiology imaging scans for early diagnosis of kidney tumors: A review of data analytics-based machine learning and deep learning approaches. Big Data Cogn. Comput. 2022, 6, 29. [Google Scholar] [CrossRef]
- Shehab, M.; Abualigah, L.; Shambour, Q.; Abu-Hashem, M.A.; Shambour, M.K.Y.; Alsalibi, A.I.; Gandomi, A.H. Machine learning in medical applications: A review of state-of-the-art methods. Comput. Biol. Med. 2022, 145, 105458. [Google Scholar] [CrossRef] [PubMed]
- Xia, K.-J.; Yin, H.-S.; Zhang, Y.-D. Deep semantic segmentation of kidney and space-occupying lesion area based on scnn and resnet models combined with sift-flow algorithm. J. Med. Syst. 2019, 43, 2–12. [Google Scholar] [CrossRef] [PubMed]
- Tanagho, E.A.; McAninch, J.W. (Eds.) Smith’s General Urology; Appleton & Lange: New York, NY, USA, 1996. [Google Scholar]
- Sasaguri, K.; Takahashi, N. Ct and mr imaging for solid renal mass characterization. Eur. J. Radiol. 2018, 99, 40–54. [Google Scholar] [CrossRef]
- American Cancer Society. Overview: Kidney Cancer. 2016. Available online: https://my.clevelandclinic.org/health/diseases/9409-kidney-cancer-overview#:%7E:text=Kidney (accessed on 10 June 2023).
- Singh, M.; Pujar, G.V.; Kumar, S.A.; Bhagyalalitha, M.; Akshatha, H.S.; Abuhaija, B.; Alsoud, A.R.; Abualigah, L.; Beeraka, N.M.; Gandomi, A.H. Evolution of machine learning in tuberculosis diagnosis: A review of deep learning-based medical applications. Electronics 2022, 11, 2634. [Google Scholar] [CrossRef]
- Gharaibeh, M.; Almahmoud, M.; Ali, M.Z.; Al-Badarneh, A.; El-Heis, M.; Abualigah, L.; Altalhi, M.; Alaiad, A.; Gandomi, A.H. Early diagnosis of alzheimer’s disease using cerebral catheter angiogram neuroimaging: A novel model based on deep learning approaches. Big Data Cogn. Comput. 2021, 6, 2. [Google Scholar] [CrossRef]
- Azizi, S.; Soleimani, R.; Ahmadi, M.; Malekan, A.; Abualigah, L.; Dashtiahangar, F. Performance enhancement of an uncertain nonlinear medical robot with optimal nonlinear robust controller. Comput. Biol. Med. 2022, 146, 105567. [Google Scholar] [CrossRef]
- Nadimi-Shahraki, M.H.; Taghian, S.; Mirjalili, S.; Abualigah, L. Binary aquila optimizer for selecting effective features from medical data: A covid-19 case study. Mathematics 2022, 10, 1929. [Google Scholar] [CrossRef]
- Hussien, A.G.; Abualigah, L.; Abu Zitar, R.; Hashim, F.A.; Amin, M.; Saber, A.; Almotairi, K.H.; Gandomi, A.H. Recent advances in Harris hawks optimization: A comparative study and applications. Electronics 2022, 11, 1919. [Google Scholar] [CrossRef]
- AlShourbaji, I.; Kachare, P.; Zogaan, W.; Muhammad, L.J.; Abualigah, L. Learning features using an optimized artificial neural network for breast cancer diagnosis. SN Comput. Sci. 2022, 3, 229–238. [Google Scholar] [CrossRef]
- Ekinci, S.; Izci, D.; Eker, E.; Abualigah, L. An effective control design approach based on novel enhanced aquila optimizer for automatic voltage regulator. Artif. Intell. Rev. 2022, 56, 1731–1762. [Google Scholar] [CrossRef]
- Shehab, M.; Mashal, I.; Momani, Z.; Shambour, M.K.Y.; AL-Badareen, A.; Al-Dabet, S.; Bataina, N.; Alsoud, A.R.; Abualigah, L. Harris hawks optimization algorithm: Variants and applications. Arch. Comput. Methods Eng. 2022, 29, 5579–5603. [Google Scholar] [CrossRef]
- Abualigah, L.; Diabat, A. Chaotic binary reptile search algorithm and its feature selection applications. J. Ambient. Intell. Humaniz. Comput. 2022, 14, 13931–13947. [Google Scholar] [CrossRef]
- Pu, Y.; Gan, Z.; Henao, R.; Yuan, X.; Li, C.; Stevens, A.; Carin, L. Variational Autoencoder for Deep Learning of Images, Labels and Captions. arXiv 2016, arXiv:1609.08976. [Google Scholar]
- Meenakshi, S.; Suganthi, M.; Sureshkumar, P. Segmentation and boundary detection of fetal kidney images in second and third trimesters using kernel-based fuzzy clustering. J. Med. Syst. 2019, 43, 203–212. [Google Scholar] [CrossRef] [PubMed]
- Lateef, F.; Ruichek, Y. Survey on Semantic Segmentation Using Deep Learning Techniques. Neurocomputing 2019, 338, 321–348. [Google Scholar] [CrossRef]
- Guo, Y.; Liu, Y.; Georgiou, T.; Lew, M.S. A Review of Semantic Segmentation Using Deep Neural Networks. Int. J. Multimed. Inf. Retr. 2018, 7, 87–93. [Google Scholar] [CrossRef]
- O’connor, J.P.; Aboagye, E.O.; Adams, J.E.; Aerts, H.J.; Barrington, S.F.; Beer, A.J.; Boellaard, R.; Bohndiek, S.E.; Brady, M.; Brown, G.; et al. Imaging biomarker roadmap for cancer studies. Nat. Rev. Clin. Oncol. 2017, 14, 169–186. [Google Scholar] [CrossRef]
- Collins, G.S.; Dhiman, P.; Navarro, C.L.A.; Ma, J.; Hooft, L.; Reitsma, J.B.; Logullo, P.; Beam, A.L.; Peng, L.; Van Calster, B.; et al. Protocol for development of a reporting guideline (TRIPOD-AI) and risk of bias tool (PROBAST-AI) for diagnostic and prognostic prediction model studies based on artificial intelligence. BMJ Open 2021, 11, e048008. [Google Scholar] [CrossRef]
- Beckers, R.; Kwade, Z.; Zanca, F. The EU medical device regulation: Implications for artificial intelligence-based medical device software in medical physics. Phys. Med. 2021, 83, 1–8. [Google Scholar] [CrossRef]
- Chen, L.-C.; Zhu, Y.; Papandreou, G.; Schroff, F.; Adam, H. Encoder-Decoder with Atrous Separable Convolution for Semantic Image Segmentation. arXiv 2018, arXiv:10.48550/arXiv.1802.02611. [Google Scholar]
- Heller, N.; Sathianathen, N.; Kalapara, A.; Walczak, E.; Moore, K.; Kaluzniak, H.; Rosenberg, J.; Blake, P.; Rengel, Z.; Oestreich, M.; et al. The KiTS19 challenge data: 300 kidney tumor cases with clinical context, CT semantic segmentations, and surgical outcomes. arXiv 2019, arXiv:1904.00445. [Google Scholar]
- Heller, N.; Isensee, F.; Maier-Hein, K.H.; Hou, X.; Xie, C.; Li, F.; Nan, Y.; Mu, G.; Lin, Z.; Han, M.; et al. The state of the art in kidney and kidney tumor segmentation in contrast-enhanced CT imaging: Results of the KiTS19 Challenge. Med. Image Anal. 2020, 67, 101821. [Google Scholar] [CrossRef] [PubMed]
- Ronneberger, O.; Fischer, P.; Brox, T. U-net: Convolutional networks for biomedical image segmentation. In Proceedings of the International Conference on Medical Image Computing and Computer-Assisted Intervention, Munich, Germany, 5–9 October 2015; pp. 234–241. [Google Scholar]
- Isensee, F.; Maier-Hein, K.H. An attempt at beating the 3D U-Net. arXiv 2019, arXiv:1908.02182. [Google Scholar]
- Kang, L.; Zhou, Z.; Huang, J.; Han, W. Renal tumors segmentation in abdomen CT images using 3D-CNN and ConvLSTM. Biomed. Signal Process Control 2022, 72, 103334. [Google Scholar] [CrossRef]
- da Cruz, L.B.; Araújo, J.D.L.; Ferreira, J.L.; Diniz, J.O.B.; Silva, A.C.; de Almeida, J.D.S.; de Paiva, A.C.; Gattass, M. Kidney segmentation from computed tomography images using deep neural network. Comput. Biol. Med. 2020, 123, 103906. [Google Scholar] [CrossRef]
- Pandey, M.; Gupta, A. Tumorous kidney segmentation in abdominal CT images using active contour and 3D-UNet. Ir. J. Med. Sci. 2023, 192, 1401–1409. [Google Scholar] [CrossRef]
- Shen, Z.; Yang, H.; Zhang, Z.; Zheng, S. Automated kidney tumor segmentation with convolution and transformer network. In Proceedings of the International Challenge on Kidney and Kidney Tumor Segmentation, Strasbourg, France, 27 September 2021; pp. 1–12. [Google Scholar]
- Adam, J.; Agethen, N.; Bohnsack, R.; Finzel, R.; Günnemann, T.; Philipp, L.; Plutat, M.; Rink, M.; Xue, T.; Thielke, F.; et al. Extraction of kidney anatomy based on a 3D U-ResNet with overlap-tile Strategy. In Proceedings of the International Challenge on Kidney and Kidney Tumor Segmentation, Strasbourg, France, 27 September 2021; pp. 13–21. [Google Scholar]
- Zhao, Z.; Chen, H.; Wang, L. A coarse-to-fine Framework for the 2021 kidney and kidney tumor segmentation Challenge. In Proceedings of the International Challenge on Kidney and Kidney Tumor Segmentation, Strasbourg, France, 27 September 2021; pp. 53–58. [Google Scholar]
- Yang, C.; Rangarajan, A.; Ranka, S. Visual explanations from deep 3D convolutional neural networks for Alzheimer’s disease classification. In Proceedings of the AMIA Annual Symposium Proceedings, San Francisco, CA, USA, 3–7 November 2018; pp. 1571–1580. [Google Scholar]
- Wickstrøm, K.; Kampffmeyer, M.; Jenssen, R. Uncertainty and interpretability in convolutional neural networks for semantic segmentation of colorectal polyps. Med. Image Anal. 2020, 60, 101619. [Google Scholar] [CrossRef]
- Esmaeili, M.; Vettukattil, R.; Banitalebi, H.; Krogh, N.R.; Geitung, J.T. Explainable artificial intelligence for human-machine interaction in brain tumor localization. J. Pers. Med. 2021, 11, 1213. [Google Scholar] [CrossRef]
- Saleem, H.; Shahid, A.R.; Raza, B. Visual interpretability in 3D brain tumor segmentation network. Comput. Biol. Med. 2021, 133, 104410. [Google Scholar] [CrossRef]
- Natekar, P.; Kori, A.; Krishnamurthi, G. Demystifying brain tumor segmentation networks: Interpretability and uncertainty analysis. Front. Comput. Neurosci. 2020, 14, 6. [Google Scholar] [CrossRef]
- Adebayo, J.; Gilmer, J.; Muelly, M.; Goodfellow, I.; Hardt, M.; Kim, B. Sanity checks for saliency maps. Adv. Neural Inf. Process. Syst. 2018, 31, 9505–9515. [Google Scholar]
- Pereira, S.; Meier, R.; Alves, V.; Reyes, M.; Silva, C.A. Automatic Brain Tumor Grading from MRI Data Using Convolutional Neural Networks and Quality Assessment. In Understanding and Interpreting Machine Learning in Medical Image Computing Applications; Springer: Berlin/Heidelberg, Germany, 2018; pp. 106–114. [Google Scholar]
- Narayanan, B.N.; De Silva, M.S.; Hardie, R.C.; Kueterman, N.K.; Ali, R. Understanding deep neural network predictions for medical imaging applications. arXiv 2019, arXiv:1912.09621. [Google Scholar]
- Wu, T.; Li, X.; Zhou, D.; Li, N.; Shi, J. Differential evolution based layer-wise weight pruning for compressing deep neural networks. Sensors 2021, 21, 880. [Google Scholar] [CrossRef] [PubMed]
- Rao, P.; Chatterjee, S.; Sharma, S. Weight pruning-UNet: Weight pruning UNet with depth-wise separable convolutions for semantic segmentation of kidney tumors. J. Med. Signals Sens. 2022, 12, 108–113. [Google Scholar] [CrossRef] [PubMed]
- Ahn, B.; Kim, T. Deeper Weight Pruning Without Accuracy Loss in Deep Neural Networks: Signed-Digit Representation-Based Approach. IEEE Trans. Comput.-Aided Des. Integr. Circuits Syst. 2022, 41, 656–668. [Google Scholar] [CrossRef]
- Chen, H.; Niu, W.; Zhao, Y.; Zhang, J.; Chi, N.; Li, Z. Adaptive deep-learning equalizer based on constellation partitioning scheme with reduced computational complexity in UVLC system. Opt. Express 2021, 29, 21773–21782. [Google Scholar] [CrossRef]
- Mariappan, G.; Satish, A.R.; Reddy PV, B.; Maram, B. Adaptive partitioning-based copy-move image forgery detection using optimal enabled deep neuro-fuzzy network. Comput. Intell. 2022, 38, 586–609. [Google Scholar] [CrossRef]
- Judith, A.M.; Priya, S.B.; Mahendran, R.K.; Gadekallu, T.R.; Ambati, L.S. Two-phase classification: ANN and A-SVM classifiers on motor imagery BCI. Asian J. Control 2022, 25, 3318–3329. [Google Scholar]
- Saab, S., Jr.; Saab, K.; Phoha, S.; Zhu, M.; Ray, A. A multivariate adaptive gradient algorithm with reduced tuning efforts. Neural Netw. 2022, 152, 499–509. [Google Scholar] [CrossRef]
- Saab, S., Jr.; Fu, Y.; Ray, A.; Hauser, M. A dynamically stabilized recurrent neural network. Neural Process. Lett. 2022, 54, 1195–1209. [Google Scholar] [CrossRef]
- Sayour, M.H.; Kozhaya, S.E.; Saab, S.S. Autonomous robotic manipulation: Real-time, deep-learning approach for grasping of unknown objects. J. Robot. 2022, 2022, 2585656. [Google Scholar] [CrossRef]
- Liu, M.; Zhang, X.; Yang, B.; Yin, Z.; Liu, S.; Yin, L.; Zheng, W. Three-Dimensional Modeling of Heart Soft Tissue Motion. Appl. Sci. 2023, 13, 2493. [Google Scholar] [CrossRef]
- Zhuang, Y.; Chen, S.; Jiang, N.; Hu, H. An Effective WSSENet-Based Similarity Retrieval Method of Large Lung CT Image Databases. KSII Trans. Internet Inf. Syst. 2022, 16, 2359–2376. [Google Scholar] [CrossRef]
- Zhuang, Y.; Jiang, N.; Xu, Y.; Xiangjie, K.; Kong, X. Progressive Distributed and Parallel Similarity Retrieval of Large CT Image Sequences in Mobile Telemedicine Networks. Wirel. Commun. Mob. Comput. 2022, 2022, 6458350. [Google Scholar] [CrossRef]
- Gao, Z.; Pan, X.; Shao, J.; Jiang, X.; Su, Z.; Jin, K.; Ye, J. Automatic interpretation and clinical evaluation for fundus fluorescein angiography images of diabetic retinopathy patients by deep learning. Br. J. Ophthalmol. 2022, 2022, 321472. [Google Scholar] [CrossRef]








| Model | Trainable Parameters | Depth | Inference Time | FLOPs |
|---|---|---|---|---|
| Deep UNet | 31,030,723 | 10 | 578,633.228 ms | 109,085,458,432 |
| Initial Submodel | 162,349 | 2 | 278,633.28 ms | 1,694,498,816 |
| Submodel 2 | 344,237 | 3 | 278,633.28 ms | 7,522,484,224 |
| Submodel 3 | 344,237 | 5 | 198,633.28 ms | 8,512,484,334 |
| Model | Dice Coefficient | Precision | Recall |
|---|---|---|---|
| Standard UNet | 0.95 | 0.92 | 0.97 |
| DeepLab V3+ | 0.94 | 0.90 | 0.96 |
| UNet with 3 Partitions + Weight Pruning (Proposed Model) | 0.97 | 0.96 | 0.98 |
| Model | Number of Parameters | FLOPs (Millions) |
|---|---|---|
| Standard UNet | 2.5 M | 150 |
| DeepLab V3+ | 3.2 M | 180 |
| UNet with 3 Partitions + Weight Pruning (Proposed Model) | 1.6 M | 100 |
Disclaimer/Publisher’s Note: The statements, opinions and data contained in all publications are solely those of the individual author(s) and contributor(s) and not of MDPI and/or the editor(s). MDPI and/or the editor(s) disclaim responsibility for any injury to people or property resulting from any ideas, methods, instructions or products referred to in the content. |
© 2023 by the authors. Licensee MDPI, Basel, Switzerland. This article is an open access article distributed under the terms and conditions of the Creative Commons Attribution (CC BY) license (https://creativecommons.org/licenses/by/4.0/).
Share and Cite
Rao, P.K.; Chatterjee, S.; Janardhan, M.; Nagaraju, K.; Khan, S.B.; Almusharraf, A.; Alharbe, A.I. Optimizing Inference Distribution for Efficient Kidney Tumor Segmentation Using a UNet-PWP Deep-Learning Model with XAI on CT Scan Images. Diagnostics 2023, 13, 3244. https://doi.org/10.3390/diagnostics13203244
Rao PK, Chatterjee S, Janardhan M, Nagaraju K, Khan SB, Almusharraf A, Alharbe AI. Optimizing Inference Distribution for Efficient Kidney Tumor Segmentation Using a UNet-PWP Deep-Learning Model with XAI on CT Scan Images. Diagnostics. 2023; 13(20):3244. https://doi.org/10.3390/diagnostics13203244
Chicago/Turabian StyleRao, P. Kiran, Subarna Chatterjee, M. Janardhan, K. Nagaraju, Surbhi Bhatia Khan, Ahlam Almusharraf, and Abdullah I. Alharbe. 2023. "Optimizing Inference Distribution for Efficient Kidney Tumor Segmentation Using a UNet-PWP Deep-Learning Model with XAI on CT Scan Images" Diagnostics 13, no. 20: 3244. https://doi.org/10.3390/diagnostics13203244
APA StyleRao, P. K., Chatterjee, S., Janardhan, M., Nagaraju, K., Khan, S. B., Almusharraf, A., & Alharbe, A. I. (2023). Optimizing Inference Distribution for Efficient Kidney Tumor Segmentation Using a UNet-PWP Deep-Learning Model with XAI on CT Scan Images. Diagnostics, 13(20), 3244. https://doi.org/10.3390/diagnostics13203244

