MRI Tumor Regression Grade Combined with T2-Weighted Volumetry May Predict Histopathological Response in Locally Advanced Rectal Cancer following Neoadjuvant Chemoradiotherapy—A New Scoring System Proposal
Abstract
:1. Introduction
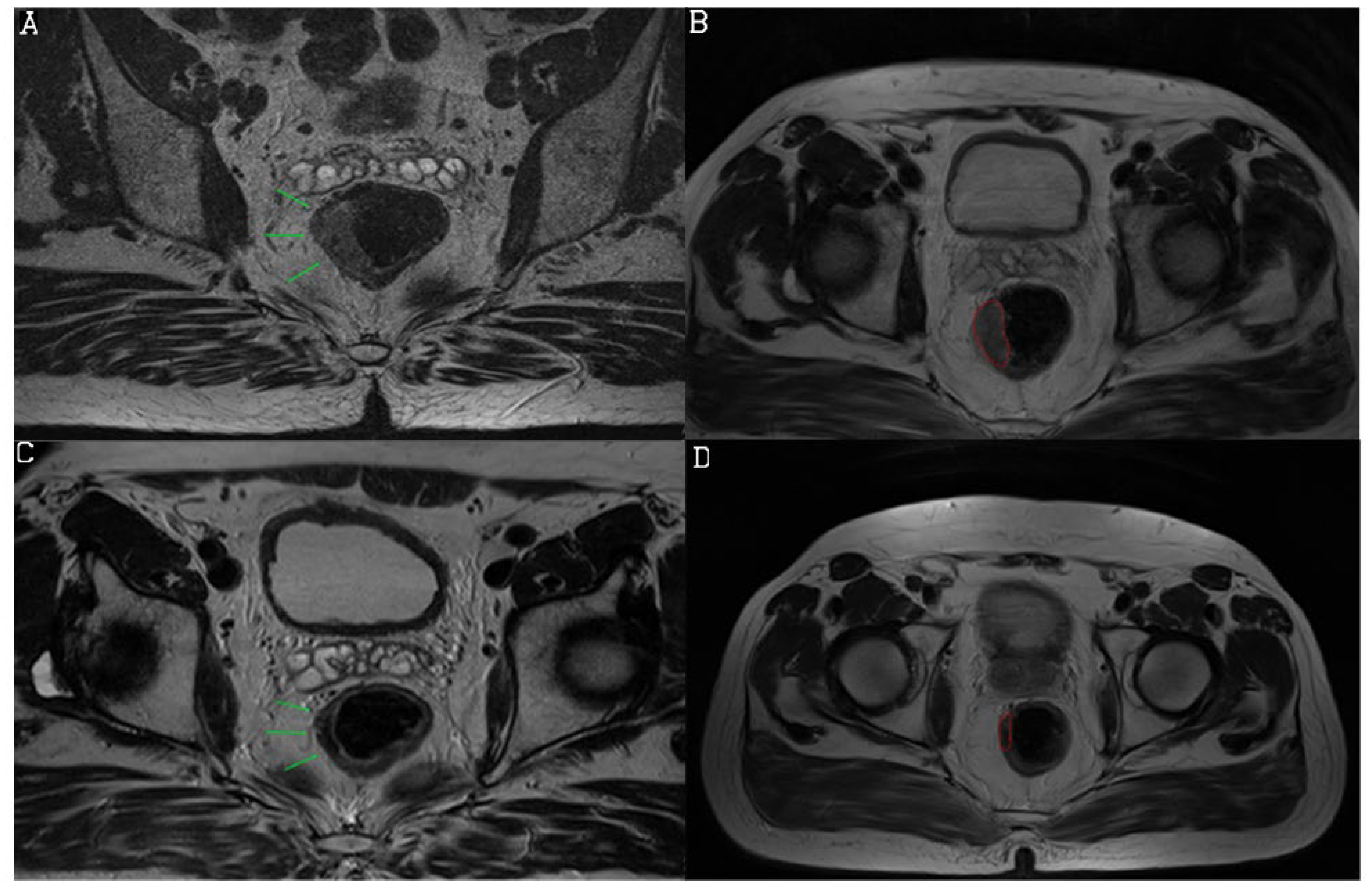
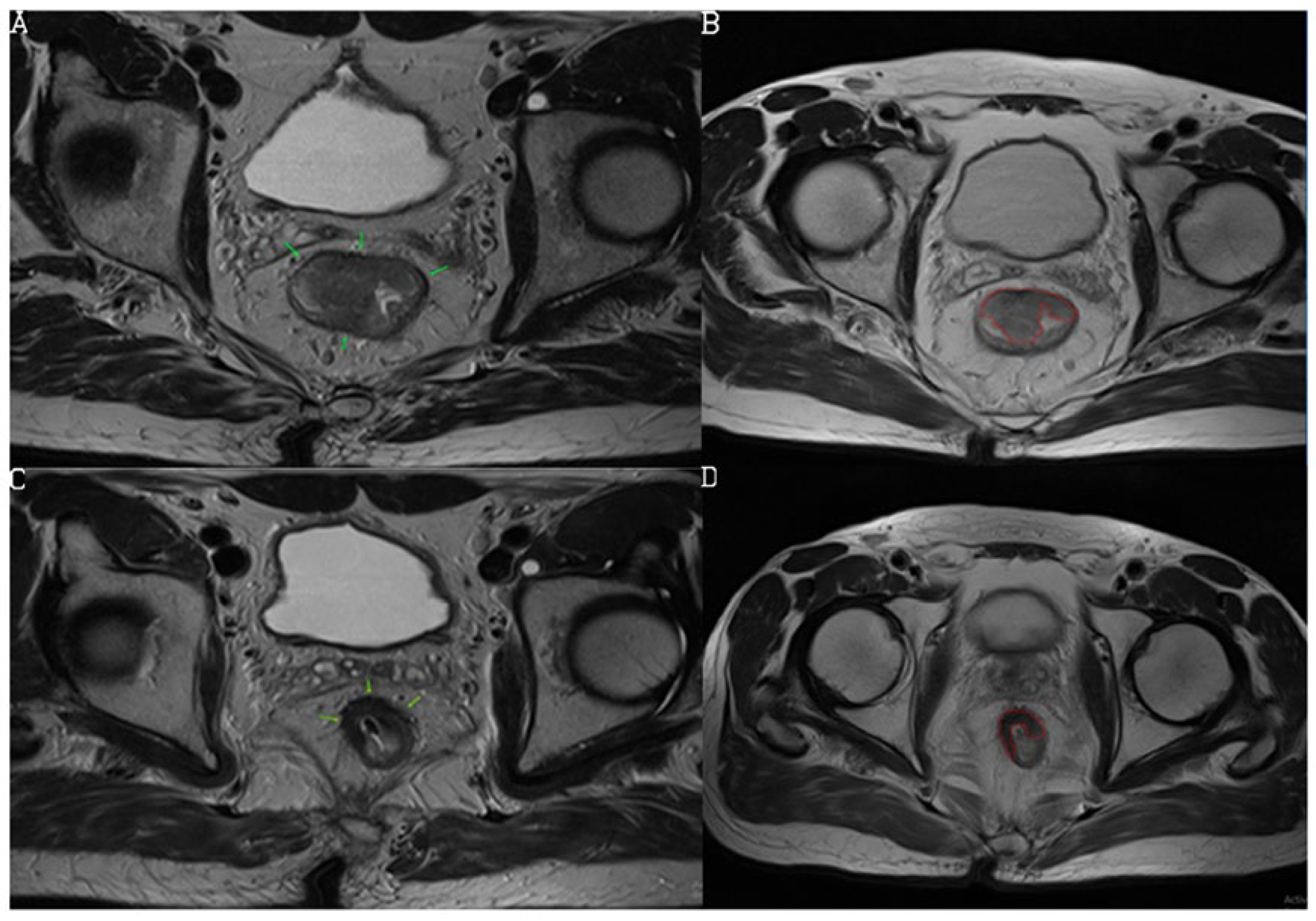
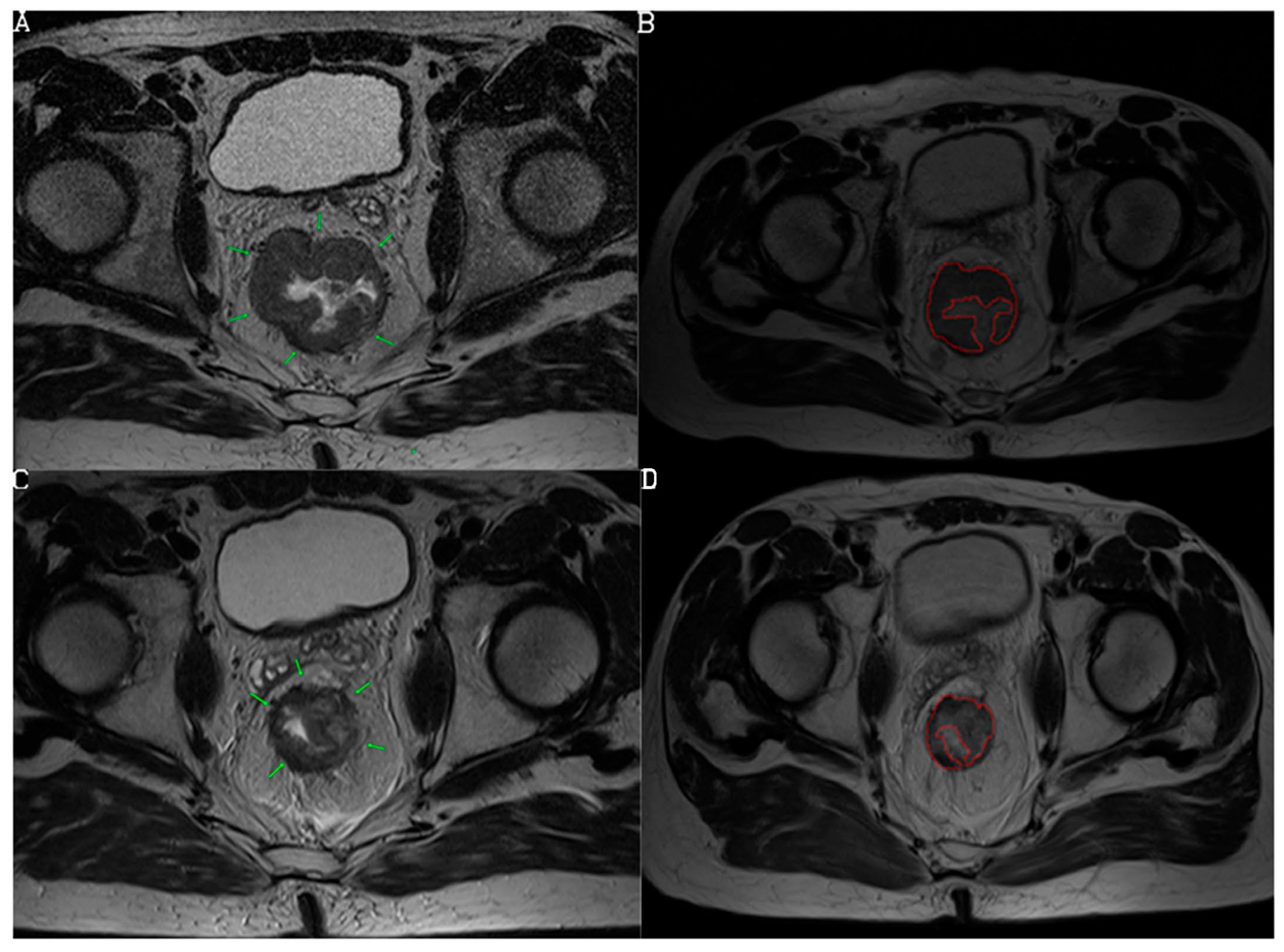
2. Materials and Methods
2.1. MRI Technique
2.2. Statistical Analysis
3. Results
3.1. Patients
3.2. Diagnostic Performance of mrTRG
3.3. Tumor Volume for Prediction of nCRT Response
3.4. Neoadjuvant CRT Prediction Score
4. Discussion
5. Conclusions
Author Contributions
Funding
Institutional Review Board Statement
Informed Consent Statement
Data Availability Statement
Conflicts of Interest
References
- Horvat, N.; Carlos Tavares Rocha, C.; Clemente Oliveira, B.; Petkovska, I.; Gollub, M.J. MRI of Rectal Cancer: Tumor Staging, Imaging Techniques, and Management. Radiographics 2019, 39, 367–387. [Google Scholar] [CrossRef] [PubMed]
- American Cancer Society. Cancer Facts and Figures. 2018. Available online: https://www.cancer.org/content/dam/cancer-org/research/cancer-facts-and-statistics/annual-cancer-facts-and-figures/2018/cancer-facts-and-figures-2018.pdf (accessed on 18 January 2023).
- Mendis, S.; To, Y.H.; Tie, J. Biomarkers in Locally Advanced Rectal Cancer: A Review. Clin. Color. Cancer 2022, 21, 36–44. [Google Scholar] [CrossRef]
- Keller, D.S.; Berho, M.; Perez, R.O.; Wexner, S.D.; Chand, M. The multidisciplinary management of rectal cancer. Nat. Rev. Gastroenterol. Hepatol. 2020, 17, 414–429. [Google Scholar] [CrossRef] [PubMed]
- Hermanek, P.; Wiebelt, H.; Staimmer, D.; Riedl, S. Prognostic factors of rectum carcinoma–experience of the German multicentre study SGCRC. German study group colo-rectal carcinoma. Tumori 1995, 81, 60–64. [Google Scholar] [PubMed]
- Maas, M.; Nelemans, P.J.; Valentini, V.; Das, P.; Rödel, C.; Kuo, L.J.; Calvo, F.A.; García-Aguilar, J.; Glynne-Jones, R.; Haustermans, K.; et al. Long-term outcome in patients with a pathological complete response after chemoradiation for rectal cancer: A pooled analysis of individual patient data. Lancet Oncol. 2010, 11, 835–844. [Google Scholar] [CrossRef]
- Mandard, A.M.; Dalibard, F.; Mandard, J.C.; Marnay, J.; Amar, M.H.; Petiot, J.F.; Roussel, A.; Jacob, J.H.; Segol, P.; Samama, G.; et al. Pathologic assessment of tumor regression after preoperative chemoradiotherapy of esophageal carcinoma. Clinicopathologic correlations. Cancer 1994, 73, 2680–2686. [Google Scholar] [CrossRef]
- Patel, U.B.; Taylor, F.; Blomqvist, L.; George, C.; Evans, H.; Tekkis, P.; Quirke, P.; Sebag-Montefiore, D.; Moran, B.; Heald, R.; et al. Magnetic resonance imaging-detected tumor response for locally advanced rectal cancer predicts survival outcomes: MERCURY experience. J. Clin. Oncol. 2011, 29, 3753–3760. [Google Scholar] [CrossRef]
- Martens, M.H.; Van Heeswijk, M.M.; Van Den Broek, J.J.; Rao, S.X.; Vandecaveye, V.; Vliegen, R.A.; Schreurs, W.H.; Beets, G.L.; Lambregts, D.M.; Beets-Tan, R.G. Prospective, multicenter validation study of magnetic resonance volumetry for response assessment after preoperative chemoradiation in rectal cancer: Can the results in the literature be reproduced? Int. J. Radiat. Oncol. Biol. Phys. 2015, 93, 1005–1014. [Google Scholar] [CrossRef]
- Voogt, E.L.K.; Nordkamp, S.; van Zoggel, D.M.G.I.; Daniëls-Gooszen, A.W.; Nieuwenhuijzen, G.A.P.; Bloemen, J.G.; Creemers, G.J.; Cnossen, J.S.; van Lijnschoten, G.; Burger, J.W.; et al. MRI tumour regression grade in locally recurrent rectal cancer. BJS Open 2022, 6, zrac033. [Google Scholar] [CrossRef]
- Chen, H.L.R.; Seow-En, I.; Chok, A.Y.; Ngo, N.T.; Cheng, T.L.; Tan, K.E. The role of magnetic resonance tumour regression grade in the prediction of regression and survival of rectal adenocarcinoma after long-course chemoradiotherapy: A cohort study. Ann. Med. Surg. 2023, 85, 842–848. [Google Scholar] [CrossRef]
- Rullier, E.; Rouanet, P.; Tuech, J.J.; Valverde, A.; Lelong, B.; Rivoire, M.; Faucheron, J.L.; Jafari, M.; Portier, G.; Meunier, B.; et al. Organ preservation for rectal cancer (GRECCAR 2): A prospective, randomised, open-label, multicentre, phase 3 trial. Lancet 2017, 390, 469–479. [Google Scholar] [CrossRef]
- Seo, N.; Kim, H.; Cho, M.S.; Lim, J.S. Response Assessment with MRI after Chemoradiotherapy in Rectal Cancer: Current Evidences. Korean J. Radiol. 2019, 20, 1003–1018. [Google Scholar] [CrossRef] [PubMed]
- Goodman, K.A. Timing Is Everything: What Is the Optimal Duration After Chemoradiation for Surgery for Rectal Cancer? J. Clin. Oncol. 2016, 34, 3724–3728. [Google Scholar] [CrossRef] [PubMed]
- Battersby, N.J.; How, P.; Moran, B.; Stelzner, S.; West, N.P.; Branagan, G.; Strassburg, J.; Quirke, P.; Tekkis, P.; Pedersen, B.G.; et al. MERCURY II Study Group. Prospective Validation of a Low Rectal Cancer Magnetic Resonance Imaging Staging System and Development of a Local Recurrence Risk Stratification Model: The MERCURY II Study. Ann. Surg. 2016, 263, 751–760. [Google Scholar] [CrossRef] [PubMed]
- Lutsyk, M.; Awawda, M.; Gourevich, K.; Ben Yosef, R. Tumor Volume as Predictor of Pathologic Complete Response Following Neoadjuvant Chemoradiation in Locally Advanced Rectal Cancer. Am. J. Clin. Oncol. 2021, 44, 482–486. [Google Scholar] [CrossRef] [PubMed]
- Kokaine, L.; Gardovskis, A.; Gardovskis, J. Evaluation and Predictive Factors of Complete Response in Rectal Cancer after Neoadjuvant Chemoradiation Therapy. Medicina 2021, 57, 1044. [Google Scholar] [CrossRef]
- Yang, F.; Hill, J.; Abraham, A.; Ghosh, S.; Steed, T.; Kurtz, C.; Joseph, K.; Yun, J.; Warkentin, B.; Thai, J.; et al. Tumor Volume Predicts for Pathologic Complete Response in Rectal Cancer Patients Treated with Neoadjuvant Chemoradiation. Am. J. Clin. Oncol. 2022, 45, 405–409. [Google Scholar] [CrossRef]
- Neri, E.; Guidi, E.; Pancrazi, F.; Castagna, M.; Castelluccio, E.; Balestri, R.; Buccianti, P.; Masi, L.; Falcone, A.; Manfredi, B.; et al. MRI tumor volume reduction rate vs tumor regression grade in the pre-operative re-staging of locally advanced rectal cancer after chemo-radiotherapy. Eur. J. Radiol. 2015, 84, 2438–2443. [Google Scholar] [CrossRef]
- Xiao, J.; Cai, Z.; Li, W.; Yang, Z.; Gong, J.; Huang, Y.; Deng, Y.; Wu, X.; Wang, L.; Peng, J.; et al. Tumor Volume Reduction Rate Predicts Pathologic Tumor Response of Locally Advanced Rectal Cancer Treated with Neoadjuvant Chemotherapy alone: Results from a Prospective Trial et al. Tumor Volume Reduction Rate Predicts Pathologic Tumor Response of Locally Advanced Rectal Cancer Treated with Neoadjuvant Chemotherapy alone: Results from a Prospective Trial. J. Cancer 2015, 6, 636–642. [Google Scholar]
- Nougaret, S.; Fujii, S.; Addley, H.C.; Bibeau, F.; Pandey, H.; Mikhael, H.; Reinhold, C.; Azria, D.; Rouanet, P.; Gallix, B. Neoadjuvant chemotherapy evaluation by MRI volumetry in rectal cancer followed by chemoradiation and total mesorectal excision: Initial experience. J. Magn. Reson. Imaging 2013, 38, 726–732. [Google Scholar] [CrossRef]
- Sclafani, F.; Brown, G.; Cunningham, D.; Wotherspoon, A.; Mendes, L.S.T.; Balyasnikova, S.; Evans, J.; Peckitt, C.; Begum, R.; Tait, D.; et al. Comparison between MRI and pathology in the assessment of tumour regression grade in rectal cancer. Br. J. Cancer 2017, 117, 1478–1485. [Google Scholar] [CrossRef] [PubMed]
- Lambregts, D.; Pizzi, A.D.; Lahaye, M.; van Griethuysen, J.J.M.; Maas, M.; Beets, G.L.; Bakers, F.C.H.; Beets-Tan, R.G.H. A pattern-based approach combining tumor morphology on MRI with distinct signal patterns on diffusion-weighted imaging to assess response of rectal tumors after chemoradiotherapy. A pattern-based approach combining tumor morphology on MRI with distinct signal patterns on diffusion-weighted imaging to assess response of rectal tumors after chemoradiotherapy. Dis. Colon Rectum 2018, 61, 328–337. [Google Scholar] [PubMed]
- Ryan, J.E.; Warrier, S.K.; Lynch, A.C.; Heriot, A.G. Assessing pathological complete response to neoadjuvant chemoradiotherapy in locally advanced rectal cancer: A systematic review. Color. Dis. 2015, 17, 849e61. [Google Scholar] [CrossRef] [PubMed]
- Custers, P.A.; Geubels, B.M.; Beets, G.L.; Lambregts, D.M.J.; van Leerdam, M.E.; van Triest, B.; Maas, M. Defining near-complete response following (chemo)radiotherapy for rectal cancer: Systematic review. Br. J. Surg. 2022, 110, 43–49. [Google Scholar] [CrossRef] [PubMed]
- Yoen, H.; Park, H.E.; Kim, S.H.; Yoon, J.H.; Hur, B.Y.; Bae, J.S.; Kim, J.H.; Oh, H.J.; Han, J.K. Prognostic Value of Tumor Regression Grade on MR in Rectal Cancer: A Large-Scale, Single-Center Experience. Korean J. Radiol. 2020, 21, 1065–1076. [Google Scholar] [CrossRef]
- Jang, J.K.; Lee, J.L.; Park, S.H.; Park, H.J.; Park, I.J.; Kim, J.H.; Choi, S.H.; Kim, J.; Yu, C.S.; Kim, J.C. Magnetic resonance tumour regression grade and pathological correlates in patients with rectal cancer. Br. J. Surg. 2018, 105, 1671–1679. [Google Scholar] [CrossRef]
- Aker, M.; Boone, D.; Chandramohan, A.; Sizer, B.; Motson, R.; Arulampalam, T. Diagnostic accuracy of MRI in assessing tumor regression and identifying complete response in patients with locally advanced rectal cancer after neoadjuvant treatment. Abdom. Radiol. 2018, 43, 3213–3219. [Google Scholar] [CrossRef]
- Hupkens, B.J.P.; Maas, M.; Martens, M.H.; van der Sande, M.E.; Lambregts, D.M.J.; Breukink, S.O.; Melenhorst, J.; Houwers, J.B.; Hoff, C.; Sosef, M.N.; et al. Organ Preservation in Rectal Cancer After Chemoradiation: Should We Extend the Observation Period in Patients with a Clinical Near-Complete Response? Ann. Surg. Oncol. 2018, 25, 197–203. [Google Scholar] [CrossRef]
- Martens, M.H.; Maas, M.; Heijnen, L.A.; Lambregts, D.M.; Leijtens, J.W.; Stassen, L.P.; Breukink, S.O.; Hoff, C.; Belgers, E.J.; Melenhorst, J.; et al. Long-term Outcome of an Organ Preservation Program After Neoadjuvant Treatment for Rectal Cancer. J. Natl. Cancer Inst. 2016, 108, djw171. [Google Scholar] [CrossRef]
- Hötker, A.M.; Garcia-Aguilar, J.; Gollub, M.J. Multiparametric MRI of rectal cancer in the assessment of response to therapy: A systematic review. Dis. Colon Rectum 2014, 57, 790–799. [Google Scholar] [CrossRef]
- Chandramohan, A.; Siddiqi, U.M.; Mittal, R.; Eapen, A.; Jesudason, M.R.; Ram, T.S.; Singh, A.; Masih, D. Diffusion weighted imaging improves diagnostic ability of MRI for determining complete response to neoadjuvant therapy in locally advanced rectal cancer. Eur. J. Radiol. Open. 2020, 7, 100223. [Google Scholar] [CrossRef] [PubMed]
- Rengo, M.; Landolfi, F.; Picchia, S.; Bellini, D.; Losquadro, C.; Badia, S.; Caruso, D.; Iannicelli, E.; Osti, M.F.; Tombolini, V.; et al. Rectal cancer response to neoadjuvant chemoradiotherapy evaluated with MRI: Development and validation of a classification algorithm. Eur. J. Radiol. 2022, 147, 110146. [Google Scholar] [CrossRef] [PubMed]
- Hall, W.A.; Li, J.; You, Y.N. Prospective validation of the magnetic resonance tumor regression grade (MR-TRG) and correlation with pathologic endpoints score in NRG oncology GI002. Int. J. Radiat. Oncol. Biol. Phys. 2021, 111, S37. [Google Scholar] [CrossRef]
- Xu, N.; Huang, F.C.; Li, W.L.; Luan, X.; Jiang, Y.M.; He, B. Predictive value of combination of MRI tumor regression grade and apparent diffusion coefficient for pathological complete remission after neoadjuvant treatment of locally advanced rectal cancer. Zhonghua Wei Chang. Wai Ke Za Zhi 2021, 24, 359–365. [Google Scholar] [PubMed]
- Azamat, S.; Karaman, Ş.; Azamat, I.F.; Ertaş, G.; Kulle, C.; Keskin, M.; Sakin, R.; Bakır, B.; Oral, E.; Kartal, M. Complete Response Evaluation of Locally Advanced Rectal Cancer to Neoadjuvant Chemoradiotherapy Using Textural Features Obtained from T2 Weighted Imaging and ADC Maps. Curr. Med. Imaging 2022, 18, 1061–1069. [Google Scholar] [PubMed]





| Variable | n = 71 |
|---|---|
| Age, mean ± SD | 61.5 ± 11.4 |
| Gender (male), n (%) | 47 (66.2) |
| Localization, n (%) | |
| Lower third | 35 (49.3) |
| Middle third | 21 (29.6) |
| Upper third | 15 (21.1) |
| T stage before CRT, n (%) | |
| T1/2 | 3 (4.2) |
| T3ab | 38 (53.5) |
| T3cd | 18 (25.4) |
| T4a | 4 (5.6) |
| T4b | 8 (11.3) |
| N stage before CRT, n (%) | |
| N0 | 3 (4.2) |
| N1 | 28 (39.4) |
| N2 | 40 (56.3) |
| mrTRG, n (%) | |
| 1 | 6 (8.5) |
| 2 | 12 (16.9) |
| 3 | 32 (45.1) |
| 4 | 19 (26.8) |
| 5 | 2 (2.8) |
| pTRG, n (%) | |
| 1 | 13 (18.3) |
| 2 | 9 (12.7) |
| 3 | 18 (25.4) |
| 4 | 26 (36.6) |
| 5 | 5 (7.0) |
| MRF invasion before nCRT, n (%) | 25 (35.2) |
| T stage after nCRT, n (%) | |
| T0 | 6 (8.5) |
| T1/2 | 17 (23.9) |
| T3ab | 27 (38.0) |
| T3cd | 13 (18.3) |
| T4a | 3 (4.2) |
| T4b | 5 (7.0) |
| N stage after nCRT, n (%) | |
| N0 | 48 (67.6) |
| N1 | 16 (22.5) |
| N2 | 7 (9.9) |
| MRF invasion after nCRT, n (%) | 14 (19.7) |
| Total (n = 71) | pTRG | p | ||
|---|---|---|---|---|
| Responders (n = 22) | Non-Responders (n = 49) | |||
| mrTRG, n (%) | 18 (25.4) | 11 (50.0) | 7 (14.3) | 0.001 |
| MRF invasion after nCRT, n (%) | 14 (19.7) | 1 (4.5) | 13 (26.5) | 0.031 |
| Total (n = 71) | pTRG | p | ||
|---|---|---|---|---|
| Responders (n = 22) | Non-Responders (n = 49) | |||
| Tumor volume before nCRT, median (25th–75th percentile) | 12,998.0 (9920.4–24,552.3) | 14,471.3 (7897.2–23,717.2) | 12,952.9 (10,470.3–25,306.7) | 0.691 |
| Tumor volume after nCRT, median (25th–75th percentile) | 4670.3 (2249.0–9075.2) | 2686.1 (1964.7–6502.1) | 5306.2 (2924.1–11,679.0) | 0.019 |
| Tumor volume regression, median (25th–75th percentile) | 66.4 (50.1–81.0) | 79.9 (69.9–88.5) | 63.3 (44.7–73.0) | 0.003 |
| Tumor Volume Reduction | Sensitivity (%) | PPV (%) | Specificity (%) | NPV (%) |
|---|---|---|---|---|
| 68% | 77.3 | 50.0 | 65.3 | 86.5 |
| 70% | 77.3 | 51.5 | 67.3 | 86.8 |
| 72% | 72.7 | 52.5 | 73.5 | 85.7 |
| 75% | 68.2 | 62.5 | 81.6 | 85.1 |
| Tumor Volume Regression | mrTRG | |
|---|---|---|
| 3–5 | 1–2 | |
| <75% | 0 (low) | 1 (medium) |
| ≥75% | 1 (medium) | 2 (high) |
| Score | Sensitivity (%) | PPV (%) | Specificity (%) | NPV (%) |
|---|---|---|---|---|
| Medium/high | 81.8 | 56.3 | 71.4 | 89.7 |
Disclaimer/Publisher’s Note: The statements, opinions and data contained in all publications are solely those of the individual author(s) and contributor(s) and not of MDPI and/or the editor(s). MDPI and/or the editor(s) disclaim responsibility for any injury to people or property resulting from any ideas, methods, instructions or products referred to in the content. |
© 2023 by the authors. Licensee MDPI, Basel, Switzerland. This article is an open access article distributed under the terms and conditions of the Creative Commons Attribution (CC BY) license (https://creativecommons.org/licenses/by/4.0/).
Share and Cite
Jankovic, A.; Kovac, J.D.; Dakovic, M.; Mitrovic, M.; Saponjski, D.; Milicevic, O.; Djuric-Stefanovic, A.; Barisic, G. MRI Tumor Regression Grade Combined with T2-Weighted Volumetry May Predict Histopathological Response in Locally Advanced Rectal Cancer following Neoadjuvant Chemoradiotherapy—A New Scoring System Proposal. Diagnostics 2023, 13, 3226. https://doi.org/10.3390/diagnostics13203226
Jankovic A, Kovac JD, Dakovic M, Mitrovic M, Saponjski D, Milicevic O, Djuric-Stefanovic A, Barisic G. MRI Tumor Regression Grade Combined with T2-Weighted Volumetry May Predict Histopathological Response in Locally Advanced Rectal Cancer following Neoadjuvant Chemoradiotherapy—A New Scoring System Proposal. Diagnostics. 2023; 13(20):3226. https://doi.org/10.3390/diagnostics13203226
Chicago/Turabian StyleJankovic, Aleksandra, Jelena Djokic Kovac, Marko Dakovic, Milica Mitrovic, Dusan Saponjski, Ognjen Milicevic, Aleksandra Djuric-Stefanovic, and Goran Barisic. 2023. "MRI Tumor Regression Grade Combined with T2-Weighted Volumetry May Predict Histopathological Response in Locally Advanced Rectal Cancer following Neoadjuvant Chemoradiotherapy—A New Scoring System Proposal" Diagnostics 13, no. 20: 3226. https://doi.org/10.3390/diagnostics13203226
APA StyleJankovic, A., Kovac, J. D., Dakovic, M., Mitrovic, M., Saponjski, D., Milicevic, O., Djuric-Stefanovic, A., & Barisic, G. (2023). MRI Tumor Regression Grade Combined with T2-Weighted Volumetry May Predict Histopathological Response in Locally Advanced Rectal Cancer following Neoadjuvant Chemoradiotherapy—A New Scoring System Proposal. Diagnostics, 13(20), 3226. https://doi.org/10.3390/diagnostics13203226

