Myxoid Endometriosis: An Entity That Can Cause Confusion with Malignant Entities
Abstract
:1. Introduction
2. Material and Methods
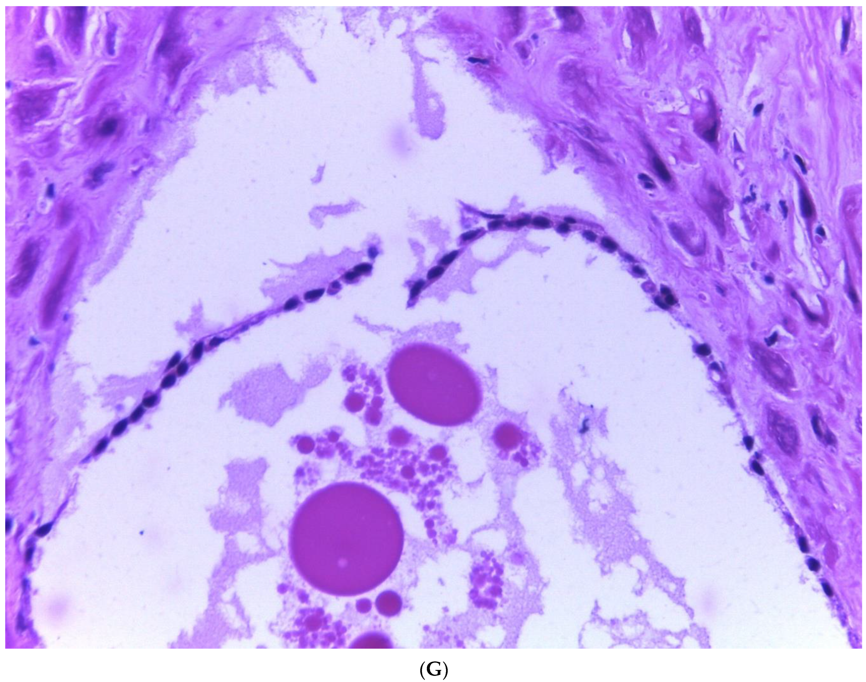
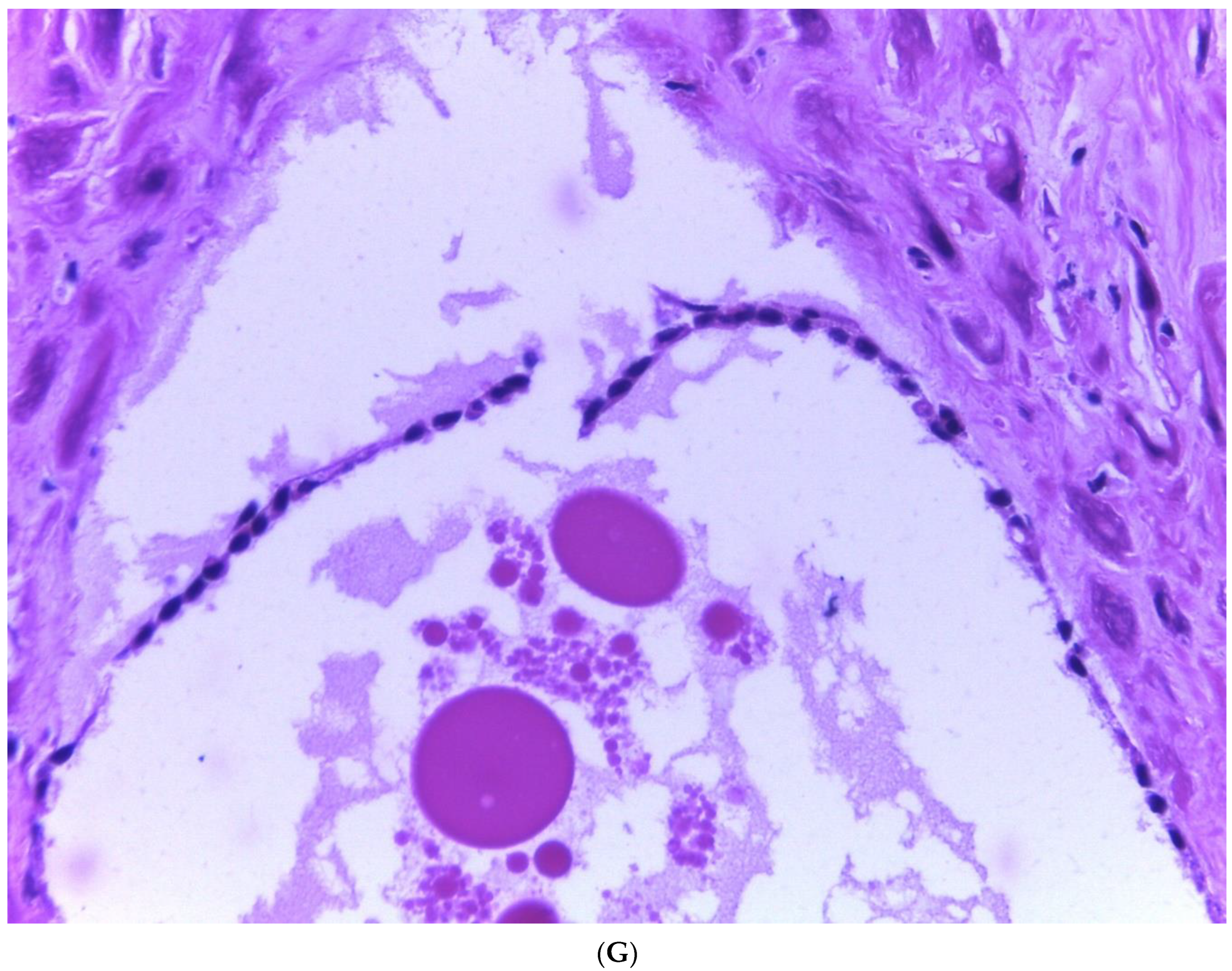
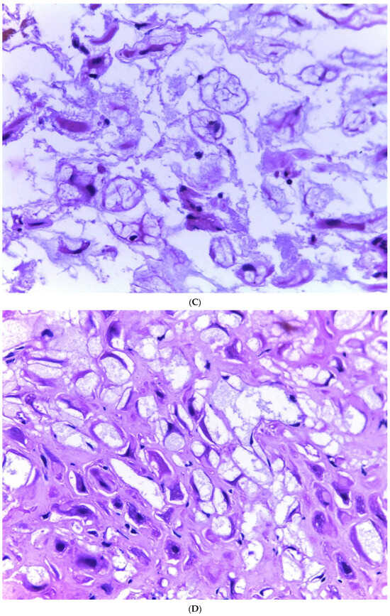
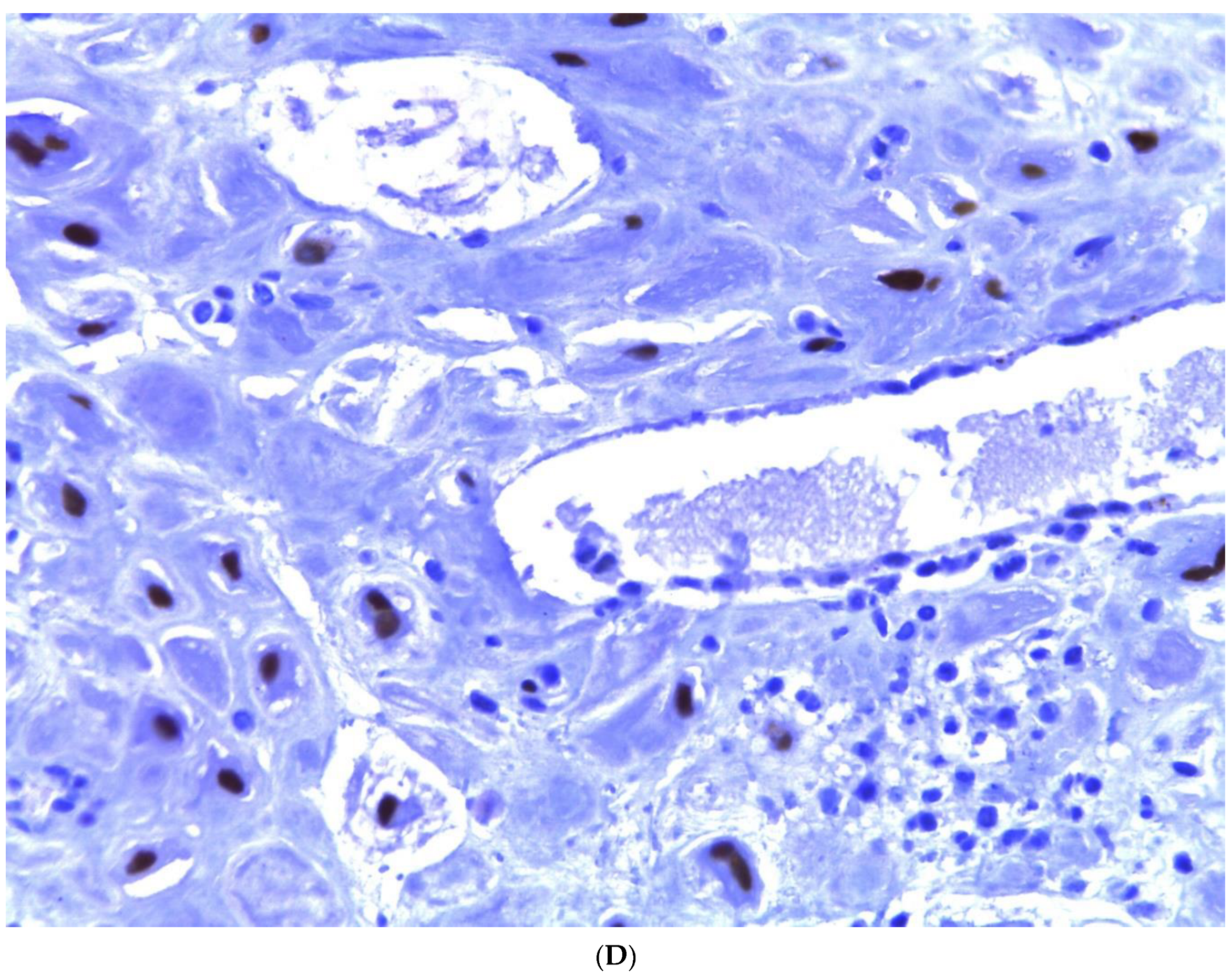
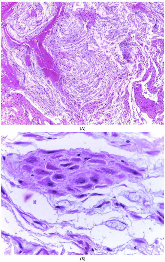
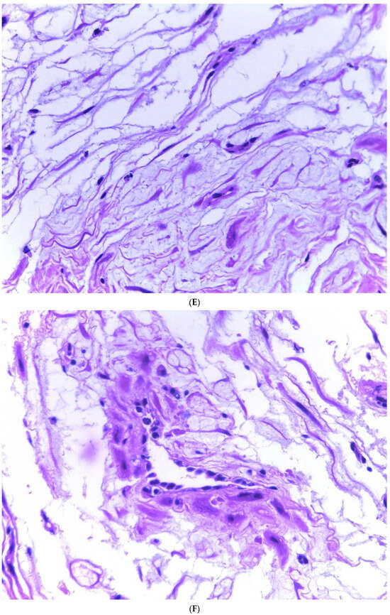
3. Results
4. Discussion
4.1. General Aspects of Endometriosis
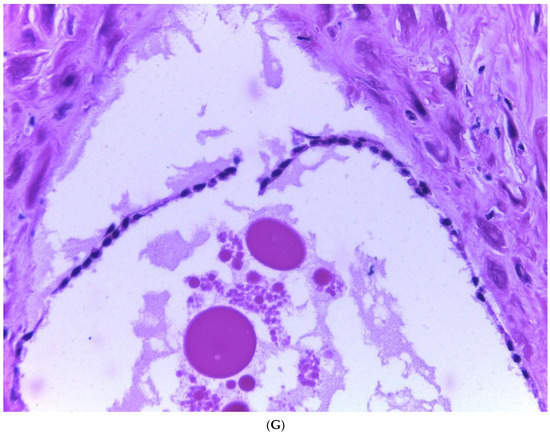
4.2. Myxoid Change
4.3. Myxoid Changes in Uterus
4.4. Diagnostic Problems in Endometriosis
- Atypical endometrioid-type endometriosis: a lesion with intermediate characteristics between endometriosis and endometrioid-type adenocarcinoma. It may resemble an epithelial endometrial neoplasm of the endometrium by having prominent architecture, increased glandular density, and various degrees of nuclear atypia. Endometrioid adenocarcinoma arising from endometriosis shows loss of function of PTEN (21%), KRAS (20%), β-catenin (25%), and PIK3CA (46%).
- Atypical endometriosis of the clear cell type: contains cells with nuclear atypia and vacuolated or foamy cytoplasm and is a precursor lesion of clear cell adenocarcinoma. Atypical epithelium may be exfoliative, studded, or flattened. There may also be complex glandular formations of exophytic epithelium and dense aggregates. It has been shown to have mutations in PIK3CA and loss of the ARID1A protein, as in clear cell carcinoma. Diagnosis requires the presence of marked nuclear pleomorphism and hyperchromasia.
4.5. Diagnostic Problems Related to the Endometrial Stromal Component
4.6. Differential Diagnoses
4.6.1. Myxoid Chondrosarcoma
4.6.2. Myxoma
4.6.3. Myxoid Liposarcoma
4.6.4. Myxofibrosarcoma
4.6.5. Myxoid Leiomyosarcoma
4.7. Scope and Limitations of the Study
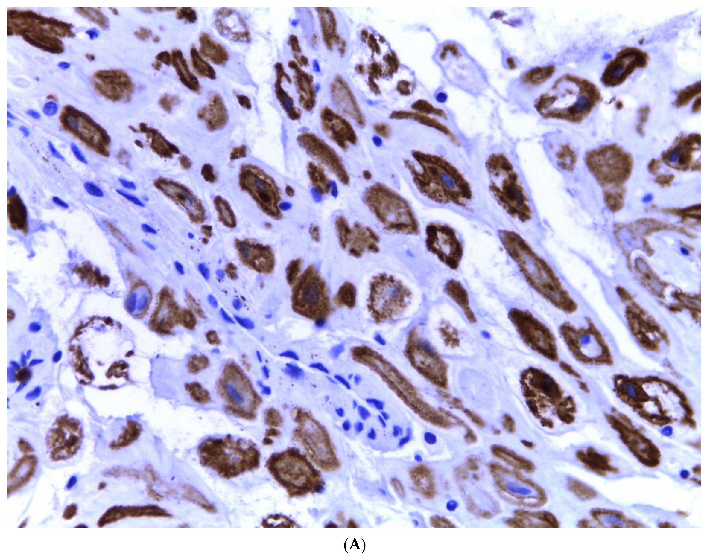
4.8. Utility of Immunohistochemistry
5. Conclusions
Author Contributions
Funding
Institutional Review Board Statement
Informed Consent Statement
Data Availability Statement
Acknowledgments
Conflicts of Interest
References
- Koninckx, P.R.; Ussia, A.; Adamyan, L.; Wattiez, A.; Gomel, V.; Martin, D.C. Pathogenesis of endometriosis: The genetic/epigenetic theory. Fertil Steril. 2019, 111, 327–340. [Google Scholar] [CrossRef] [PubMed]
- Jensen, J.R.; Coddington, C.C. Evolving Spectrum: The Pathogenesis of Endometriosis. Available online: www.clinicalobgyn.com (accessed on 26 April 2023).
- Clement, P.B. The Pathology of Endometriosis A Survey of the Many Faces of a Common Disease Emphasizing Diagnostic Pitfalls and Unusual and Newly Appreciated Aspects. Adv. Anat. Pathol. 2007, 14, 241–260. [Google Scholar] [CrossRef] [PubMed]
- Burney, R.O.; Giudice, L.C. Pathogenesis and pathophysiology of endometriosis. Fertil. Steril. 2012, 98, 511–519. [Google Scholar] [CrossRef] [PubMed]
- Golia D’Augè, T.; Cuccu, I.; Santangelo, G.; Muzii, L.; Giannini, A.; Bogani, G.; Di Donato, V. Novel Insights into Molecular Mechanisms of Endometrial Diseases. Biomolecules 2023, 13, 499. [Google Scholar] [CrossRef]
- Musacchio, L.; Boccia, S.M.; Caruso, G.; Santangelo, G.; Fischetti, M.; Tomao, F.; Perniola, G.; Palaia, I.; Muzii, L.; Pignata, S.; et al. Immune checkpoint inhibitors: A promising choice for endometrial cancer patients? J. Clin. Med. 2020, 9, 1721. [Google Scholar] [CrossRef]
- Klemmt, P.A.; Starzinski-Powitz, A. Molecular and Cellular Pathogenesis of Endometriosis. Curr. Women S Health Rev. 2017, 13, 106–116. [Google Scholar] [CrossRef]
- Zeitvogel, A.; Baumann, R.; Starzinski-Powitz, A. Identification of an invasive, N-cadherin-expressing epithelial cell type in endometriosis using a new cell culture model. Am. J. Pathol. 2001, 159, 1839–1852. [Google Scholar] [CrossRef] [PubMed]
- Gaetje, R.; Kotzian, S.; Herrmann, G.; Baumann, R.; Starzinski-Powitz, A. Short Communication Nonmalignant Epithelial Cells, Potentially Invasive in Human Endometriosis, Lack the Tumor Suppressor Molecule E-Cadherin. Am. J. Pathol. 1997, 150, 461. [Google Scholar]
- Yang, Y.M.; Yang, W.X. Epithelial-to-Mesenchymal Transition in the Development of Endometriosis. Oncotarget 2017, 8, 41679. [Google Scholar] [CrossRef]
- Protocol for the Examination of Specimens from Patients with Carcinoma and Carcinosarcoma of the Endometrium. 2022. Available online: www.cap.org/cancerprotocols (accessed on 26 April 2023).
- McCluggage, W.G.; Young, R.H. Myxoid change of the myometrium and cervical stroma: Description of a hitherto unreported non-neoplastic phenomenon with discussion of myxoid uterine lesions. Int. J. Gynecol. Pathol. 2010, 29, 351–357. [Google Scholar] [CrossRef]
- Willems, S.M.; Wiweger, M.; Van Roggen, J.F.G.; Hogendoorn, P.C.W. Running GAGs: Myxoid matrix in tumor pathology revisited: What’s in it for the pathologist. Virchows Arch. 2010, 456, 181–192. [Google Scholar] [CrossRef]
- Boyd, C.; McCluggage, W.G. Unusual morphological features of uterine leiomyomas treated with progestogens. J. Clin. Pathol. 2011, 64, 485–489. [Google Scholar] [CrossRef]
- Mutter, G.L. Endometriosis. In Pathology of the Female Reproductive Tract, 3rd ed.; Mutter George, L., Jaime, P., Eds.; Churchill Livingstone: London, UK, 2014; pp. 487–505. [Google Scholar]
- Setsu, N.; Miyake, M.; Wakai, S.; Nakatani, F.; Kobayashi, E.; Chuman, H.; Hiraoka, N.; Kawai, A.; Yoshida, A. Primary Retroperitoneal Myxoid Liposarcomas. Am. J. Surg. Pathol. 2016, 40, 1286. [Google Scholar] [CrossRef]
- Roland, C.L.; Wang, W.L.; Lazar, A.J.; Torres, K.E. Myxofibrosarcoma. In Surgical Oncology Clinics of North America; W.B. Saunders: Philadelphia, PA, USA, 2016; Volume 25, pp. 775–788. [Google Scholar]
- Kaya, S.; Bacanakgil, H.B.; Soyman, Z.; Öz, İ.; Battal Havare, S.; Kaya, B. Myxoid leiomyosarcoma of the cervix: A case report. J. Obstet. Gynaecol. 2016, 36, 989–991. [Google Scholar] [CrossRef] [PubMed]











| Anatomic Site | Endometriosis Cases | Myxoid Endometriosis Cases | Age (Median) |
|---|---|---|---|
| Appendix | 27 | 0 | 37 |
| Cervix | 77 | 0 | 39.5 |
| Colon | 22 | 0 | 41.5 |
| Omentum | 20 | 4 | 30 |
| Ileum | 4 | 2 | 46 |
| Ovary | 216 | 14 | 52 |
| Parametrium | 9 | 2 | 52.5 |
| Abdominal Wall and soft tissue | 235 | 28 | 34 |
| Perineum | 7 | 0 | 28 |
| Pouch of Douglas | 1 | 0 | 29 |
| Hernial sac | 11 | 0 | 34 |
| Salpinges | 77 | 3 | 45 |
| Rectovaginal septum | 2 | 0 | 35 |
| Vesico-vaginal septum | 2 | 0 | 48 |
| Uterus | 62 | 0 | 41.5 |
| Bladder | 4 | 1 | 35 |
| Total | 776 | 54 | 39.25 |
| Gene | Function |
|---|---|
| 17β-HSD-2 | Hydroxysteroid dehydrogenase |
| BCL-2 | Antiapoptosis |
| CYP-19 | Aromatase |
| HOXA 10 | Transcription factor |
| IL-6 | Cytosine |
| KRAS | Oncogene |
| MMP-3,7 | Metalloproteinases |
| NF-KB | Transcription factor |
| PGE2 | Prostaglandin |
| PTEN | tumor suppressor gene |
| TGF-B | Cytosine |
| TNF-α | Cytosine |
| (A) Alterations in the stromal component: - Foamy or pigmented histiocytes - Fibrosis - Elastosis - Smooth muscle metaplasia - Myxoid change - Decidual change, including the presence of signet-ring cells |
| (B) Alterations in the glandular component: - Postmenopausal changes and changes related to hormonal treatment - Changes related to pregnancy - Metaplastic changes - Cytological atypia - Hyperplasia - Absence of glands (stromal endometriosis) |
| (C) Apparently neoplastic findings: - Pseudoxanthomatous necrotic nodules - Polypoid endometriosis - Vascular invasion - Perineural invasion |
| (D) Unusual reactive and inflammatory changes: - Infected endometriotic cysts - Pseudoxanthomatous salpingitis - Florid mesothelial hyperplasia - Liesegang rings |
| (E) Diagnostic problems related to the anatomical site: - Endometriosis on or near the ovarian surface - Superficial endometriosis of the cervix - Vaginal endometriosis - Tubal endometriosis - Intestinal endometriosis |
| (F) Rare associated injuries: - Peritoneal leiomyomatosis - Gliomatosis peritonei |
Disclaimer/Publisher’s Note: The statements, opinions and data contained in all publications are solely those of the individual author(s) and contributor(s) and not of MDPI and/or the editor(s). MDPI and/or the editor(s) disclaim responsibility for any injury to people or property resulting from any ideas, methods, instructions or products referred to in the content. |
© 2023 by the authors. Licensee MDPI, Basel, Switzerland. This article is an open access article distributed under the terms and conditions of the Creative Commons Attribution (CC BY) license (https://creativecommons.org/licenses/by/4.0/).
Share and Cite
Mendoza-Ramirez, S.; Hernández-Robles, C.M.; Velasco-Rueda, I.; Romero-Utrilla, A.; Arrecillas-Zamora, M.D.; Agustín-Godínez, E.; Morales-Jáuregui, L.L.; Ramírez-Balderrama, L.A.; Olvera-Olvera, M.A.; Murguia-Perez, M. Myxoid Endometriosis: An Entity That Can Cause Confusion with Malignant Entities. Diagnostics 2023, 13, 3176. https://doi.org/10.3390/diagnostics13203176
Mendoza-Ramirez S, Hernández-Robles CM, Velasco-Rueda I, Romero-Utrilla A, Arrecillas-Zamora MD, Agustín-Godínez E, Morales-Jáuregui LL, Ramírez-Balderrama LA, Olvera-Olvera MA, Murguia-Perez M. Myxoid Endometriosis: An Entity That Can Cause Confusion with Malignant Entities. Diagnostics. 2023; 13(20):3176. https://doi.org/10.3390/diagnostics13203176
Chicago/Turabian StyleMendoza-Ramirez, Saulo, Claudia Mariana Hernández-Robles, Italú Velasco-Rueda, Alejandra Romero-Utrilla, Myrna Doris Arrecillas-Zamora, Eduardo Agustín-Godínez, Lourdes Lucía Morales-Jáuregui, Lázaro Ariel Ramírez-Balderrama, Marco Antonio Olvera-Olvera, and Mario Murguia-Perez. 2023. "Myxoid Endometriosis: An Entity That Can Cause Confusion with Malignant Entities" Diagnostics 13, no. 20: 3176. https://doi.org/10.3390/diagnostics13203176
APA StyleMendoza-Ramirez, S., Hernández-Robles, C. M., Velasco-Rueda, I., Romero-Utrilla, A., Arrecillas-Zamora, M. D., Agustín-Godínez, E., Morales-Jáuregui, L. L., Ramírez-Balderrama, L. A., Olvera-Olvera, M. A., & Murguia-Perez, M. (2023). Myxoid Endometriosis: An Entity That Can Cause Confusion with Malignant Entities. Diagnostics, 13(20), 3176. https://doi.org/10.3390/diagnostics13203176

