THSD7A Positivity Is Associated with High Expression of FAK in Prostate Cancer
Abstract
1. Introduction
2. Materials and Methods
2.1. Tissue Samples
2.2. Tissue Microarrays
2.3. Immunohistochemistry
2.4. Statistics
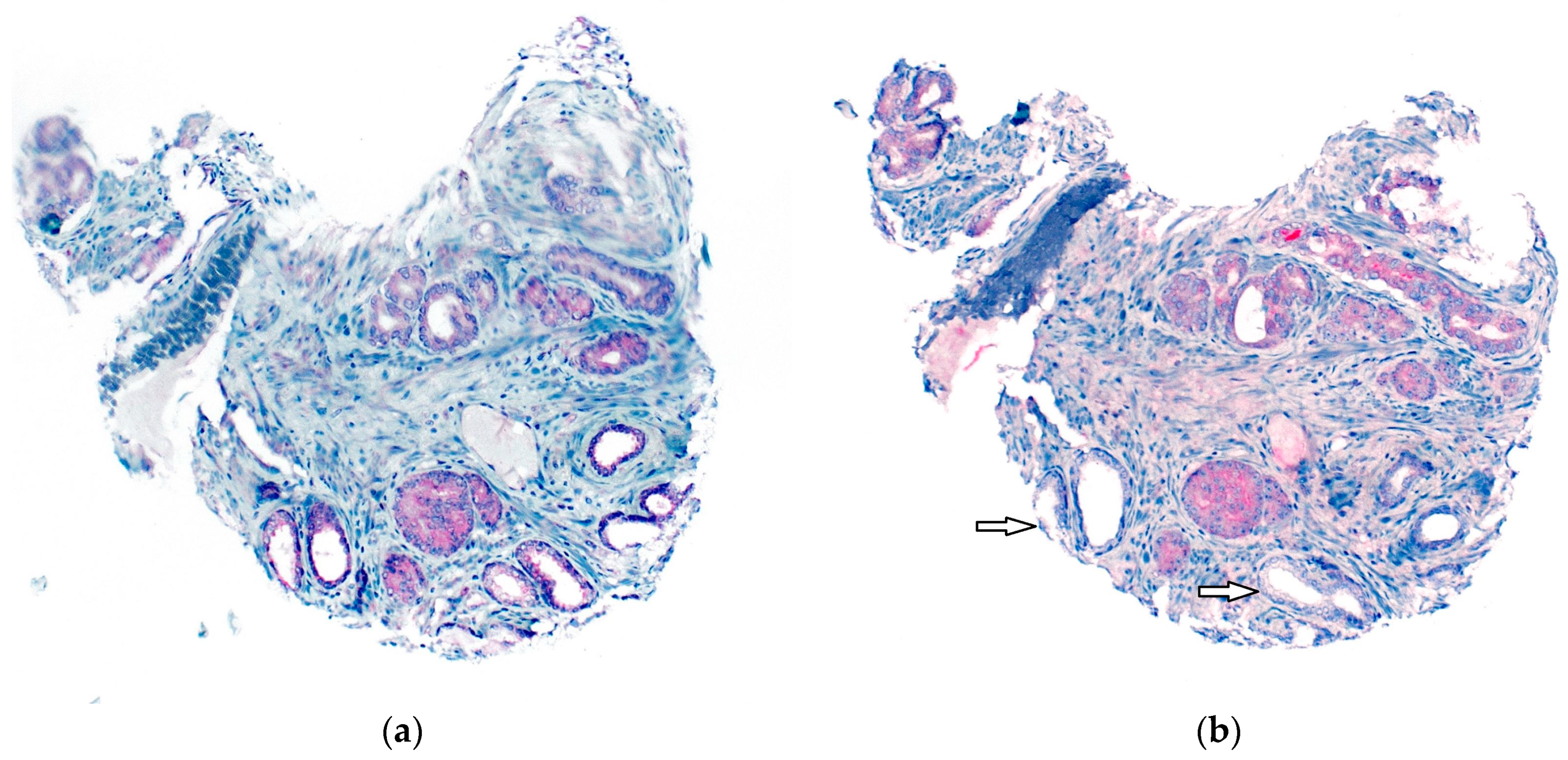
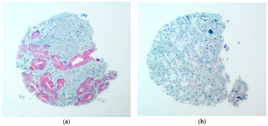
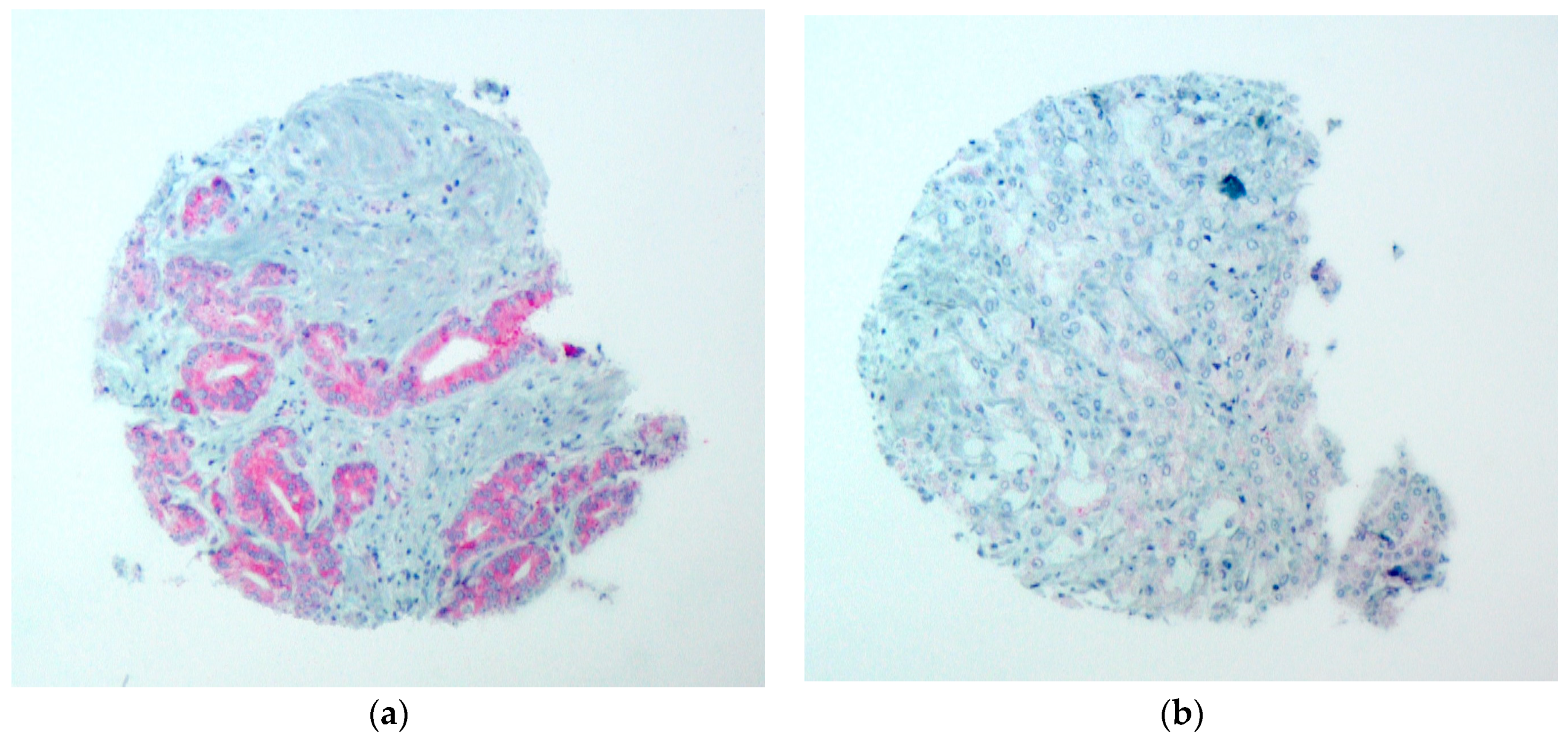
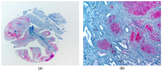
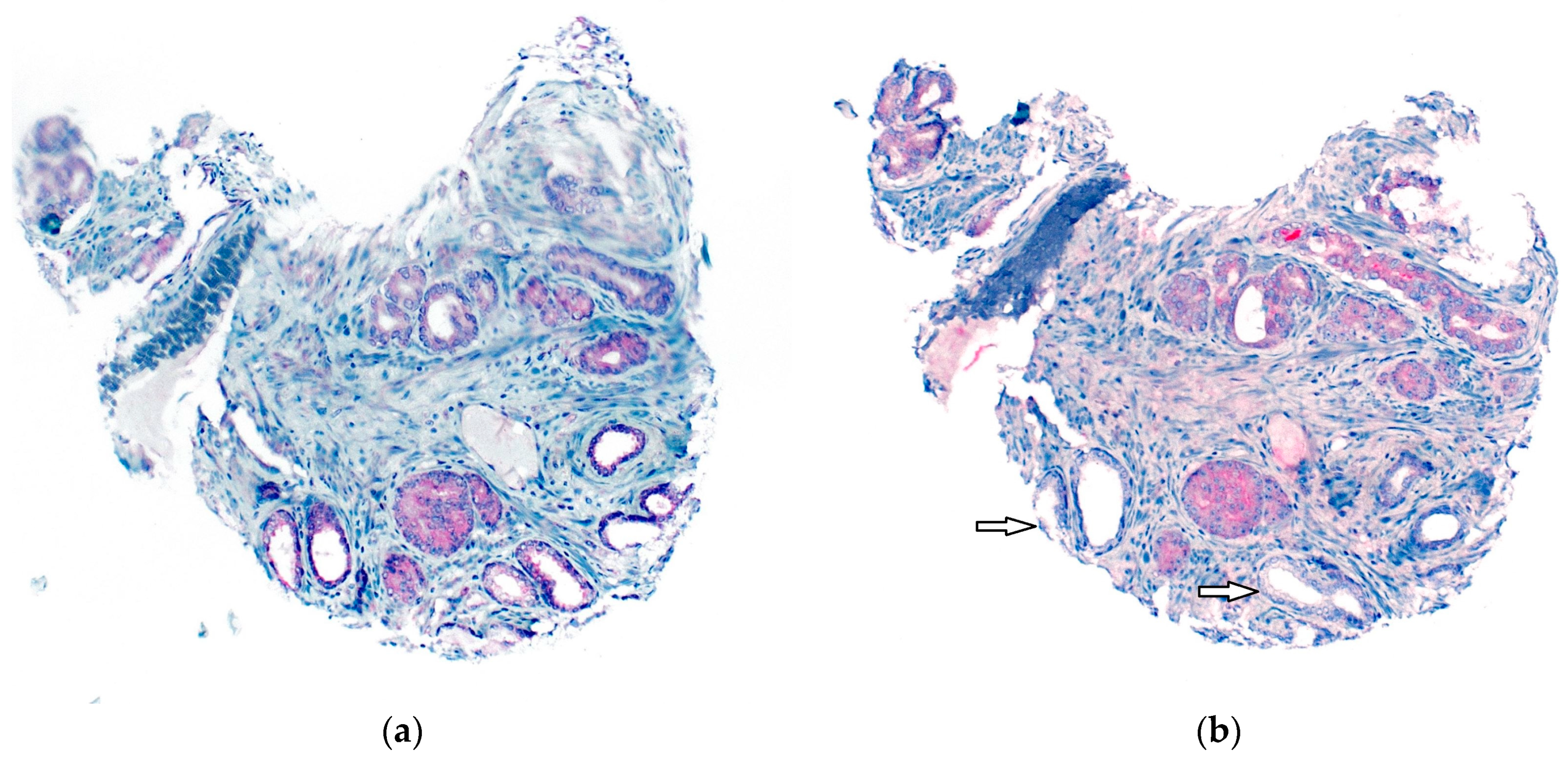
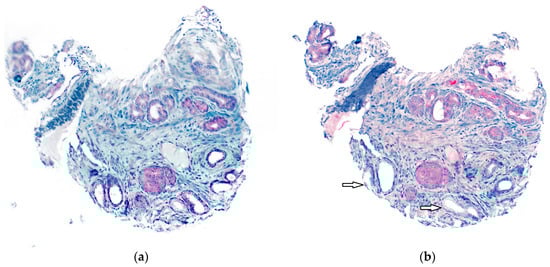
3. Results
4. Discussion
5. Conclusions
Author Contributions
Funding
Institutional Review Board Statement
Informed Consent Statement
Data Availability Statement
Conflicts of Interest
References
- Sung, H.; Ferlay, J.; Siegel, R.L.; Laversanne, M.; Soerjomataram, I.; Jemal, A.; Bray, F. Global Cancer Statistics 2020: GLOBOCAN Estimates of Incidence and Mortality Worldwide for 36 Cancers in 185 Countries. CA Cancer J. Clin. 2021, 71, 209–249. [Google Scholar] [CrossRef] [PubMed]
- Abeshouse, A.; Ahn, J.; Akbani, R.; Ally, A.; Amin, S.; Andry, C.D.; Annala, M.; Aprikian, A.; Armenia, J.; Arora, A.; et al. The Molecular Taxonomy of Primary Prostate Cancer. Cell 2015, 163, 1011–1025. [Google Scholar] [CrossRef] [PubMed]
- Wilt, T.J.; Brawer, M.K.; Jones, K.M.; Barry, M.J.; Aronson, W.J.; Fox, S.; Gingrich, J.R.; Wei, J.T.; Gilhooly, P.; Grob, B.M.; et al. Radical Prostatectomy versus Observation for Localized Prostate Cancer. N. Engl. J. Med. 2012, 367, 203–213. [Google Scholar] [CrossRef] [PubMed]
- Litwin, M.S.; Tan, H.J. The Diagnosis and Treatment of Prostate Cancer: A Review. JAMA 2017, 317, 2532–2542. [Google Scholar] [CrossRef]
- Stahl, P.R.; Hoxha, E.; Wiech, T.; Schröder, C.; Simon, R.; Stahl, R.A. THSD7A Expression in Human Cancer. Genes Chromosomes Cancer 2017, 56, 314–327. [Google Scholar] [CrossRef]
- Wang, C.-H.; Chen, I.-H.; Kuo, M.-W.; Su, P.-T.; Lai, Z.-Y.; Wang, C.-H.; Huang, W.-C.; Hoffman, J.; Kuo, C.J.; You, M.-S.; et al. Zebrafish Thsd7a is a neural protein required for angiogenic patterning during development. Dev. Dyn. 2011, 240, 1412–1421. [Google Scholar] [CrossRef]
- Kuo, M.-W.; Wang, C.-H.; Wu, H.-C.; Chang, S.-J.; Chuang, Y.-J. Soluble THSD7A Is an N-Glycoprotein That Promotes Endothelial Cell Migration and Tube Formation in Angiogenesis. PLoS ONE 2011, 6, e29000. [Google Scholar] [CrossRef]
- Wang, C.H.; Su, P.T.; Du, X.Y.; Kuo, M.W.; Lin, C.Y.; Yang, C.C.; Chan, H.S.; Chang, S.J.; Kuo, C.; Seo, K.; et al. Thrombospondin Type I Domain Containing 7A (THSD7A) Mediates Endothelial Cell Migration and Tube Formation. J. Cell Physiol. 2010, 222, 685–694. [Google Scholar] [CrossRef]
- Tomas, N.M.; Beck, L.H.; Meyer-Schwesinger, C.; Seitz-Polski, B.; Ma, H.; Zahner, G.; Dolla, G.; Hoxha, E.; Helmchen, U.; Dabert-Gay, A.-S.; et al. Thrombospondin Type-1 Domain-Containing 7A in Idiopathic Membranous Nephropathy. N. Engl. J. Med. 2014, 371, 2277–2287. [Google Scholar] [CrossRef]
- Hoxha, E.; Beck, L.H., Jr.; Wiech, T.; Tomas, N.M.; Probst, C.; Mindorf, S.; Meyer-Schwesinger, C.; Zahner, G.; Stahl, P.R.; Schöpper, R.; et al. An Indirect Immunofluorescence Method Facilitates Detection of Thrombospondin Type 1 Domain–Containing 7A–Specific Antibodies in Membranous Nephropathy. J. Am. Soc. Nephrol. 2016, 28, 520–531. [Google Scholar] [CrossRef]
- Hoxha, E.; Wiech, T.; Stahl, P.R.; Zahner, G.; Tomas, N.M.; Meyer-Schwesinger, C.; Wenzel, U.; Janneck, M.; Steinmetz, O.M.; Panzer, U.; et al. A Mechanism for Cancer-Associated Membranous Nephropathy. N. Engl. J. Med. 2016, 374, 1995–1996. [Google Scholar] [CrossRef] [PubMed]
- Tomas, N.M.; Hoxha, E.; Reinicke, A.T.; Fester, L.; Helmchen, U.; Gerth, J.; Bachmann, F.; Budde, K.; Koch-Nolte, F.; Zahner, G.; et al. Autoantibodies against thrombospondin type 1 domain–containing 7A induce membranous nephropathy. J. Clin. Investig. 2016, 126, 2519–2532. [Google Scholar] [CrossRef] [PubMed]
- Hou, Z.; Abudureheman, A.; Wang, L.; Hasim, A.; Ainiwaer, J.; Zhang, H.; Niyaz, M.; Upur, H.; Sheyhidin, I. Expression, prognosis and functional role of Thsd7a in esophageal squamous cell carcinoma of Kazakh patients, Xinjiang. Oncotarget 2017, 8, 60539–60557. [Google Scholar] [CrossRef] [PubMed]
- Taguchi, S.; Koshikawa, Y.; Ohyama, S.; Miyachi, H.; Ozawa, H.; Asada, H. Thrombospondin type-1 domain-containing 7A-associated membranous nephropathy after resection of rectal cancer: A case report. BMC Nephrol. 2019, 20, 1–6. [Google Scholar] [CrossRef]
- Oishi, M.; Munesue, S.; Harashima, A.; Nakada, M.; Yamamoto, Y.; Hayashi, Y. Aquaporin 1 elicits cell motility and coordinates vascular bed formation by downregulating thrombospondin type-1 domain-containing 7A in glioblastoma. Cancer Med. 2020, 9, 3904–3917. [Google Scholar] [CrossRef]
- Aktepe, O.H.; Sahin, T.K.; Guner, G.; Guven, D.C.; Yeter, H.H.; Kurtulan, O.; Ozercan, I.H.; Dizdar, O.; Yalcin, S. Correlation Between THSD7A Expression and Tumor Characteristics of Azoxymethane-Induced Colon Cancer Model in Rats. Turk. J. Gastroenterol. 2021, 32, 1049–1056. [Google Scholar] [CrossRef]
- Aktepe, O.H.; Gundogdu, F.; Kosemehmetoglu, K.; Yeter, H.H.; Aksoy, S.; Guven, D.C.; Sahin, T.K.; Yuce, D.; Kertmen, N.; Dizdar, O.; et al. THSD7A Expression: A Novel Immunohistochemical Determinant in Predicting Overall Survival of Metastatic Renal Cell Carcinoma Treated with Targeted Therapy. Ir. J. Med. Sci. 2022, 191, 1561–1567. [Google Scholar] [CrossRef]
- Jumai, K.; Zhang, T.; Qiao, B.; Ainiwaer, J.; Zhang, H.; Hou, Z.; Awut, I.; Niyaz, M.; Zhang, L.; Sheyhidin, I. Highly Expressing SCARA5 Promotes Proliferation and Migration of Esophageal Squamous Cell Carcinoma. J. Immunol. Res. 2022, 2022, 1–21. [Google Scholar] [CrossRef]
- Lin, F.; Zhang, D.; Chang, J.; Tang, X.; Guan, W.; Jiang, G.; Zhu, C.; Bian, F. THSD7A-Associated Membranous Nephropathy in a Patient with Neuro-fibromatosis Type 1. Eur. J. Med. Genet. 2018, 61, 84–88. [Google Scholar] [CrossRef]
- Zhang, D.; Zhang, C.; Bian, F.; Zhang, W.; Jiang, G.; Zou, J. Clinicopathological features in membranous nephropathy with cancer: A retrospective single-center study and literature review. Int. J. Biol. Markers 2019, 34, 406–413. [Google Scholar] [CrossRef]
- Zhang, C.; Zhang, M.; Chen, D.; Ren, Q.; Xu, W.; Zeng, C.; Qin, W.; Liu, Z. Features of phospholipase A2 receptor and thrombospondin type-1 domain-containing 7A in malignancy-associated membranous nephropathy. J. Clin. Pathol. 2019, 72, 705–711. [Google Scholar] [CrossRef]
- Wang, T.; Zhang, Y.; Liu, M.; Kang, X.; Kang, L.; Zhang, H. THSD7A as a Marker for Paraneoplastic Membranous Nephropathy. Int. Urol. Nephrol. 2019, 51, 371–373. [Google Scholar] [CrossRef] [PubMed]
- Xian, L.; Dong, D.; Luo, J.; Zhuo, L.; Li, K.; Zhang, P.; Wang, W.; Xu, Y.; Xu, G.; Wang, L.; et al. Expression of THSD7A in neoplasm tissues and its relationship with proteinuria. BMC Nephrol. 2019, 20, 1–6. [Google Scholar] [CrossRef] [PubMed]
- Zhang, Z.; Gong, T.; Rennke, H.G.; Hayashi, R. Duodenal Schwannoma as a Rare Association With Membranous Nephropathy: A Case Report. Am. J. Kidney Dis. 2019, 73, 278–280. [Google Scholar] [CrossRef]
- Lin, X.; Kapoor, A.; Gu, Y.; Chow, M.; Peng, J.; Major, P.; Tang, D. Construction of a Novel Multigene Panel Potently Predicting Poor Prognosis in Patients with Clear Cell Renal Cell Carcinoma. Cancers 2020, 12, 3471. [Google Scholar] [CrossRef] [PubMed]
- Cance, W.G.; Harris, J.E.; Iacocca, M.V.; Roche, E.; Yang, X.; Chang, J.; Simkins, S.; Xu, L. Immunohistochemical analyses of focal adhesion kinase expression in benign and malignant human breast and colon tissues: correlation with preinvasive and invasive phenotypes. Clin. Cancer Res. 2000, 6, 2417–2423. [Google Scholar] [PubMed]
- Canel, M.; Secades, P.; Rodrigo, J.-P.; Cabanillas, R.; Herrero, A.; Suarez, C.; Chiara, M.-D. Overexpression of Focal Adhesion Kinase in Head and Neck Squamous Cell Carcinoma Is Independent of fak Gene Copy Number. Clin. Cancer Res. 2006, 12, 3272–3279. [Google Scholar] [CrossRef]
- Ocak, S.; Chen, H.; Callison, C.; Gonzalez, A.L.; Massion, P.P. Expression of focal adhesion kinase in small-cell lung carcinoma. Cancer 2011, 118, 1293–1301. [Google Scholar] [CrossRef]
- Yoon, H.; Dehart, J.P.; Murphy, J.M.; Lim, S.-T.S. Understanding the Roles of FAK in Cancer. J. Histochem. Cytochem. 2014, 63, 114–128. [Google Scholar] [CrossRef]
- Halder, J.; Lin, Y.G.; Merritt, W.M.; Spannuth, W.A.; Nick, A.M.; Honda, T.; Kamat, A.A.; Han, L.Y.; Kim, T.J.; Pluquet, O.; et al. Therapeutic Efficacy of a Novel Focal Adhesion Kinase Inhibitor TAE226 in Ovarian Carcinoma. Cancer Res 2007, 67, 10976–10983. [Google Scholar] [CrossRef]
- Walsh, C.; Tanjoni, I.; Uryu, S.; Tomar, A.; Nam, J.-O.; Luo, H.; Phillips, A.; Patel, N.; Kwok, C.; McMahon, G.; et al. Oral delivery of PND-1186 FAK inhibitor decreases tumor growth and spontaneous breast to lung metastasis in pre-clinical models. Cancer Biol. Ther. 2010, 9, 778–790. [Google Scholar] [CrossRef]
- Golubovskaya, V.M.; Figel, S.; Ho, B.T.; Johnson, C.P.; Yemma, M.; Huang, G.; Zheng, M.; Nyberg, C.; Magis, A.; Ostrov, D.A.; et al. A small molecule focal adhesion kinase (FAK) inhibitor, targeting Y397 site: 1-(2-hydroxyethyl)-3,5,7-triaza-1-azoniatricyclo [3.3.1.13,7]decane; bromide effectively inhibits FAK autophosphorylation activity and decreases cancer cell viability, clonogenicity and tumor growth in vivo. Carcinogenesis 2012, 33, 1004–1013. [Google Scholar] [CrossRef]
- Dai, F.; Chen, Y.; Huang, L.; Wang, J.; Zhang, T.; Li, J.; Tong, W.; Liu, M.; Yi, Z. A novel synthetic small molecule YH -306 suppresses colorectal tumour growth and metastasis via FAK pathway. J. Cell. Mol. Med. 2014, 19, 383–395. [Google Scholar] [CrossRef] [PubMed]
- Du, C.; Zheng, Z.; Li, D.; Chen, L.; Li, N.; Yi, X.; Yang, Y.; Guo, F.; Liu, W.; Xie, X.; et al. BKCa promotes growth and metastasis of prostate cancer through facilitating the coupling between αvβ3 integrin and FAK. Oncotarget 2016, 7, 40174–40188. [Google Scholar] [CrossRef]
- Tremblay, L.; Hauck, W.; Aprikian, A.G.; Begin, L.R.; Chapdelaine, A.; Chevalier, S. Focal Adhesion Kinase (Pp125FAK) Expression, Activation and Association with Paxillin and P50CSK in Human Metastatic Prostate Carcinoma. Int. J. Cancer 1996, 68, 164–171. [Google Scholar] [CrossRef]
- Slack, J.K.; Adams, R.B.; Rovin, J.D.; Bissonette, E.A.; Stoker, C.E.; Parsons, J.T. Alterations in the Focal Adhesion Kinase/Src Signal Transduction Pathway Correlate with Increased Migratory Capacity of Prostate Carcinoma Cells. Oncogene 2010, 20, 1152–1163. [Google Scholar] [CrossRef]
- Rovin, J.D.; Frierson, H.F., Jr.; Ledinh, W.; Parsons, J.T.; Adams, R.B. Expression of Focal Adhesion Kinase in Normal and Pathologic Human Prostate Tissues. Prostate 2002, 53, 124–132. [Google Scholar] [CrossRef]
- Figel, S.; Gelman, I.H. Focal Adhesion Kinase Controls Prostate Cancer Progression via Intrinsic Kinase and Scaffolding Functions. Anticancer Agents Med. Chem. 2011, 11, 607–616. [Google Scholar] [CrossRef]
- Kung, H.-J. Targeting Tyrosine Kinases and Autophagy in Prostate Cancer. Horm. Cancer 2010, 2, 38–46. [Google Scholar] [CrossRef]
- Slack-Davis, J.K.; Hershey, E.D.; Theodorescu, D.; Frierson, H.F.; Parsons, J.T. Differential requirement for focal adhesion kinase signaling in cancer progression in the transgenic adenocarcinoma of mouse prostate model. Mol. Cancer Ther. 2009, 8, 2470–2477. [Google Scholar] [CrossRef]
- Chang, C.Y.-M.; Kung, H.-J.; Evans, C.P. Nonreceptor Tyrosine Kinases in Prostate. Neoplasia 2007, 9, 90–100. [Google Scholar] [CrossRef] [PubMed]
- Lin, T.-H.; Tan, T.-W.; Tsai, T.-H.; Chen, C.-C.; Hsieh, T.-F.; Lee, S.-S.; Liu, H.-H.; Chen, W.-C.; Tang, C.-H. D-pinitol Inhibits Prostate Cancer Metastasis through Inhibition of αVβ3 Integrin by Modulating FAK, c-Src and NF-κB Pathways. Int. J. Mol. Sci. 2013, 14, 9790–9802. [Google Scholar] [CrossRef] [PubMed]
- Lin, H.; Lee, B.Y.; Castillo, L.; Spielman, C.; Grogan, J.; Yeung, N.K.; Kench, J.G.; Stricker, P.; Haynes, A.; Centenera, M.; et al. Effect of FAK inhibitor VS-6063 (defactinib) on docetaxel efficacy in prostate cancer. Prostate 2018, 78, 308–317. [Google Scholar] [CrossRef] [PubMed]
- Goto, Y.; Ando, T.; Izumi, H.; Feng, X.; Arang, N.; Gilardi, M.; Wang, Z.; Ando, K.; Gutkind, J.S. Muscarinic receptors promote castration-resistant growth of prostate cancer through a FAK–YAP signaling axis. Oncogene 2020, 39, 4014–4027. [Google Scholar] [CrossRef]
- Wang, Q.; Liu, Z.; Zhai, G.; Yu, X.; Ke, S.; Shao, H.; Guo, J. Overexpression of GATA5 Inhibits Prostate Cancer Progression by Regulating PLAGL2 via the FAK/PI3K/AKT Pathway. Cancers 2022, 14, 2074. [Google Scholar] [CrossRef] [PubMed]




| THSD7A | p | OR (95% KI) | ||
|---|---|---|---|---|
| Negative | Positive | |||
| pT-Status | ||||
| pT2 | 180 | 9 | <0.001 | 3.62 (1.63; 8.89) |
| pT3–pT4 | 176 | 32 | ||
| Nodal Status | ||||
| N0 | 273 | 14 | <0.001 | 6.40 (3.08; 14.08) |
| N+ | 78 | 26 | ||
| WHO Grade Group | ||||
| 1 | 73 | 1 | <0.001 | |
| 2 | 80 | 6 | ||
| 3 | 84 | 15 | ||
| 4 | 106 | 12 | ||
| 5 | 13 | 7 | ||
| FAK | p | OR (95% KI) | ||
|---|---|---|---|---|
| Low | High | |||
| pT-Status | ||||
| pT2 | 88 | 76 | 0.007 | 0.55 (0.35; 0.86) |
| pT3–pT4 | 134 | 63 | ||
| Nodal Status | ||||
| N0 | 145 | 110 | 0.005 | 0.48 (0.27; 0.81) |
| N+ | 74 | 26 | ||
| WHO Grade Group | ||||
| 1 | 24 | 30 | 0.002 | |
| 2 | 38 | 42 | ||
| 3 | 71 | 26 | ||
| 4 | 75 | 35 | ||
| 5 | 14 | 6 | ||
| FAK | p | OR (95% KI) | ||
|---|---|---|---|---|
| Low | High | |||
| THSD7A | ||||
| negative | 198 | 108 | 0.003 | 2.93 (1.49; 6.27) |
| positive | 15 | 24 | ||
Disclaimer/Publisher’s Note: The statements, opinions and data contained in all publications are solely those of the individual author(s) and contributor(s) and not of MDPI and/or the editor(s). MDPI and/or the editor(s) disclaim responsibility for any injury to people or property resulting from any ideas, methods, instructions or products referred to in the content. |
© 2023 by the authors. Licensee MDPI, Basel, Switzerland. This article is an open access article distributed under the terms and conditions of the Creative Commons Attribution (CC BY) license (https://creativecommons.org/licenses/by/4.0/).
Share and Cite
Flockerzi, F.A.; Hohneck, J.; Saar, M.; Bohle, R.M.; Stahl, P.R. THSD7A Positivity Is Associated with High Expression of FAK in Prostate Cancer. Diagnostics 2023, 13, 221. https://doi.org/10.3390/diagnostics13020221
Flockerzi FA, Hohneck J, Saar M, Bohle RM, Stahl PR. THSD7A Positivity Is Associated with High Expression of FAK in Prostate Cancer. Diagnostics. 2023; 13(2):221. https://doi.org/10.3390/diagnostics13020221
Chicago/Turabian StyleFlockerzi, Fidelis Andrea, Johannes Hohneck, Matthias Saar, Rainer Maria Bohle, and Phillip Rolf Stahl. 2023. "THSD7A Positivity Is Associated with High Expression of FAK in Prostate Cancer" Diagnostics 13, no. 2: 221. https://doi.org/10.3390/diagnostics13020221
APA StyleFlockerzi, F. A., Hohneck, J., Saar, M., Bohle, R. M., & Stahl, P. R. (2023). THSD7A Positivity Is Associated with High Expression of FAK in Prostate Cancer. Diagnostics, 13(2), 221. https://doi.org/10.3390/diagnostics13020221

