Evaluation of Optic Disc, Retinal Vascular Structures, and Acircularity Index in Patients with Idiopathic Macular Telangiectasia Type 2
Abstract
:1. Introduction
2. Materials and Methods
2.1. Patient Selection
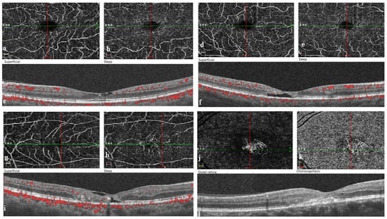
2.2. OCTA Evaluation
3. Statistical Analysis
4. Results
5. Discussion
6. Conclusions
Author Contributions
Funding
Institutional Review Board Statement
Informed Consent Statement
Data Availability Statement
Conflicts of Interest
References
- Singh, S.R.; Fraser-Bell, S.; Dogra, A.; Sahoo, N.K.; Gabrielle, P.; Lupidi, M.; Al-Sheikh, M.; Borrelli, E.; Sacconi, R.; Querques, G.; et al. Optical coherence tomography angiography findings of fellow eye of proliferative macular telangiectasia type 2: Long term study. Eur. J. Ophthalmol. 2020, 31, 1933–1939. [Google Scholar] [CrossRef]
- Gass, J.D.; Oyakawa, R.T. Idiopathic juxtafoveolar retinal telangiectasis. Arch. Ophthalmol. 1982, 100, 769–780. [Google Scholar] [CrossRef]
- Nalcı, H.; Sermet, F.; Demirel, S.; Özmert, E. Optic Coherence Angiography Findings in Type 2 Macular Telangiectasia. Turk. J. Ophthalmol. 2017, 47, 279. [Google Scholar] [CrossRef]
- Breazzano, M.P.; Yannuzzi, L.A.; Spaide, R.F. Characterizing retinal-choroidal anastomosis in macular telangiectasia type 2 with optical coherence tomography angiography. Retina 2020, 40, 92–98. [Google Scholar] [CrossRef]
- Spaide, R.F.; Suzuki, M.; Yannuzzi, L.A.; Matet, A.; Behar-Cohen, F. Volume-rendered angiographic and structural optical coherence tomography angiography of macular telangiectasia type 2. Retina 2017, 37, 424–435. [Google Scholar] [CrossRef] [PubMed]
- Runkle, A.P.; Kaiser, P.K.; Srivastava, S.K.; Schachat, A.P.; Reese, J.L.; Ehlers, J.P. OCT angiography and ellipsoid zone mapping of macular telangiectasia type 2 from the AVATAR study. Investig. Ophthalmol. Vis. Sci. 2017, 58, 3683–3689. [Google Scholar] [CrossRef] [PubMed]
- Yannuzzi, N.A.; Gregori, N.Z.; Roismann, L.; Gupta, N.; Goldhagen, B.E.; Goldhardt, R. Fluorescein Angiography Versus Optical Coherence Tomography Angiography in Macular Telangiectasia Type I Treated with Bevacizumab Therapy. Ophthalmic Surg. Lasers Imaging Retin. 2017, 48, 263–266. [Google Scholar] [CrossRef] [PubMed]
- Park, Y.G.; Park, Y.H. Quantitative analysis of retinal microvascular changes in macular telangiectasia type 2 using optical coherence tomography angiography. PLoS ONE 2020, 15, e0232255. [Google Scholar] [CrossRef] [PubMed]
- Ersoz, M.G.; Hocaoglu, M.; Sayman, M.I.; Arf, S.; Karacorlu, M. Macular Telangiectasia Type 2: Acircularity Index and Quantitative Assessment of Foveal Avascular Zone Using Optical Coherence Tomography Angiography. Retina 2020, 40, 1132–1139. [Google Scholar] [CrossRef]
- Toto, L.; Di Antonio, L.; Mastropasqua, R.; Mattei, P.A.; Carpineto, P.; Borrelli, E.; Rispoli, M.; Lumbroso, B.; Mastropasqua, L. Multimodal imaging of macular telangiectasia type 2: Focus on vascular changes using optical coherence tomography angiography. Investig. Ophthalmol. Vis. Sci. 2016, 57, 268–276. [Google Scholar] [CrossRef]
- Chidambara, L.; Gadde, S.G.K.; Yadav, N.K.; Jayadev, C.; Bhanushali, D.; Appaji, A.M.; Akkali, M.; Khurana, A.; Shetty, R. Characteristics and Quantification of Vascular Changes in Macular Telangiectasia Type 2 on Optical Coherence Tomography Angiography. Br. J. Ophthalmol. 2016, 100, 1482–1488. [Google Scholar] [CrossRef] [PubMed]
- Dogan, B.; Erol, M.K.; Akidan, M.; Suren, E.; Akar, Y. Retinal vascular density evaluated by optical coherence tomography angiography in macular telangiectasia type 2. Int. Ophthalmol. 2019, 39, 2245–2256. [Google Scholar] [CrossRef]
- Spaide, R.F.; Klancnik, J.M.; Cooney, M.J. Retinal vascular layers in macular telangiectasia type 2 imaged by optical coherence tomographic angiography. JAMA Ophthalmol. 2015, 133, 66–73. [Google Scholar] [CrossRef] [PubMed]
- Gaudric, A.; Krivosic, V.; Tadayoni, R. Outer retina capillary invasion and ellipsoid zone loss in macular telangiectasia type 2 imaged by optical coherence tomography angiography. Retina 2015, 35, 2300–2306. [Google Scholar] [CrossRef] [PubMed]
- Peto, T.; Heeren, T.; Clemons, T.; Sallo, F.B.; Leung, I.; Chew, E.; Bird, A.C. Correlatıon of Clinical and Structural Progression with Visual Acuity Loss in Macular Telangiectasıa Type 2: Mactel Project Report No. 6—The Mactel Research Group. Retina 2018, 38, 8–13. [Google Scholar] [CrossRef]
- Powner, M.B.; Gillies, M.C.; Zhu, M.; Vevis, K.; Hunyor, A.P.; Fruttiger, M. Loss of Muller’s cells and photoreceptors in macular telangiectasia type 2. Ophthalmology 2013, 120, 2344–2352. [Google Scholar] [CrossRef]
- Cai, C.X.; Choong, J.; Farsiu, S.; Chiu, S.J.; Chew, E.Y.; Jaffe, G.J. Retinal cavitations in macular telangiectasia type 2 (MacTel): Longitudinal structure–function correlations. Br. J. Ophthalmol. 2020, 105, 109–112. [Google Scholar] [CrossRef]
- Zhang, T.; Gillies, M.C.; Madigan, M.C.; Shen, W.; Du, J.; Grunert, U.; Zhou, F.; Yam, M.; Zhu, L. Disruption of De Novo Serine Synthesis in Müller Cells Induced Mitochondrial Dysfunction and Aggravated Oxidative Damage. Mol. Neurobiol. 2018, 55, 7025–7037. [Google Scholar] [CrossRef]
- Sallo, F.B.; Leung, I.; Clemons, T.E.; Peto, T.; Chew, E.; Pauleikhoff, D.; Bird, A.C. Correlation of structural and functional outcome measures in a phase one trial of ciliary neurotrophic factor in type 2 idiopathic macular telangiectasia. Retina 2018, 38, 27–32. [Google Scholar] [CrossRef]
- Spaide, R.F.; Marco, R.D.; Yannuzzi, L.A. Vascular distortion and dragging related to apparent tissue contraction in macular telangiectasis type 2. Retina 2018, 38, 51–60. [Google Scholar] [CrossRef]
- Bonelli, R.; Jackson, V.E.; Prasad, A.; Munro, J.E.; Farashi, S.; Heeren, T.F.C.; Pontikos, N.; Scheppke, L.; Friedlander, M.; Consortiım, M.; et al. Identification of genetic factors influencing metabolic dysregulation and retinal support for MacTel, a retinal disorder. Commun. Biol. 2021, 4, 274. [Google Scholar] [CrossRef]
- Heeren, T.F.; Clemons, T.; Scholl, H.P.; Bird, A.C.; Holz, F.G.; Issa, P.C. Progression of vision loss in macular telangiectasia type 2. Investig. Ophthalmol Vis. Sci. 2015, 56, 3905–3912. [Google Scholar] [CrossRef] [PubMed]



| Variable | IMT | Control |
|---|---|---|
| Mean age | 63.36 ± 8.73 | 62.97 ± 8.94 |
| Female/male | 19/20 | 18/19 |
| Right/left eye | 20/19 | 19/18 |
| Stage 1 IMT | 12 (% 30.7) | |
| Stage 2 IMT | 14 (% 35.8) | |
| Stage 3 IMT | 10 (% 25.6) | |
| Stage 4 IMT | 3 (% 7.6) | |
| Cavitation | 28 (% 71.7) | |
| ILM | 19 (% 48.7) | |
| Ellipsoid zone defect | 24 (% 61.5) | |
| Neovascularization | 3 (% 7.6) | |
| Total number of patients | 39 | 37 |
| Variable | Group | Mean | SD | Min | Max | p |
|---|---|---|---|---|---|---|
| SCP total vascular density (%) | IMT Control | 46.93 49.77 | 0.57 0.47 | 36.8 41.9 | 53.1 56 | 0.01 ** |
| SCP foveal vascular density (%) | IMT Control | 17.21 20.21 | 1.24 1.11 | 4.2 5.8 | 40.2 32.7 | 0.06 ** |
| SCP parafoveal vascular density (%) | IMT Control | 47.29 51.31 | 0.95 0.64 | 26.9 38.5 | 56.7 57.9 | 0.01 * |
| SCP perifoveal vascular density (%) | IMT Control | 47.86 49.86 | 0.58 0.54 | 38.6 39.7 | 56.1 57.5 | 0.02 ** |
| DCP total vascular density (%) | IMT Control | 48.88 49.28 | 0.87 0.87 | 39.2 35.7 | 59.5 62 | 0.86 ** |
| DCP foveal vascular density (%) | IMT Control | 35.07 36.16 | 1.68 1.19 | 15.6 20.4 | 56.2 51.1 | 0.52 ** |
| DCP parafoveal vascular density (%) | IMT Control | 54.92 53.13 | 0.80 0.63 | 44.60 44.60 | 64.3 61.8 | 0.06 ** |
| DCP perifoveal vascular density (%) | IMT Control | 49.62 50.62 | 0.96 0.95 | 38.3 34.3 | 60.6 64.4 | 0.56 ** |
| Variable | Group | Mean | SD | Min | Max | p |
|---|---|---|---|---|---|---|
| Foveal avascular zone (mm2) | IMT Control | 0.32 0.25 | 0.01 0.01 | 0.15 0.10 | 0.55 0.41 | 0.02 * |
| Choriocapillaris blood flow (mm2) | IMT Control | 1.95 2.08 | 0.01 0.01 | 1.69 1.92 | 2.24 2.27 | 0.01 ** |
| Subfoveal choroid thickness (μm) | IMT Control | 253.75 271.95 | 8.30 7.37 | 156 187 | 404 379 | 0.13 ** |
| Acircularity index | IMT Control | 1.14 1.08 | 0.12 0.02 | 1.04 1.03 | 1.56 1.13 | 0.01 * |
| Optic disc total vascular density (%) | IMT Control | 55.55 55.78 | 0.41 0.37 | 45.80 49.50 | 58.70 59.80 | 0.98 * |
| Optic disc inside-disc vascular density (%) | IMT Control | 57.79 59.97 | 0.57 0.57 | 50.50 51.30 | 66.90 67.40 | 0.009 ** |
| Peripapillary vascular density (%) | IMT Control | 58.11 58.32 | 0.43 0.41 | 48.90 50.10 | 62.10 63.40 | 0.92 * |
| Retinal nerve fiber layer (μm) | IMT Control | 107.07 114.47 | 1.70 1.65 | 82 91 | 128 134 | 0.002 ** |
| Variable | Group | Mean | SD | Min | Max | p |
|---|---|---|---|---|---|---|
| Total retinal foveal thickness (μm) | IMT Control | 234.77 257.50 | 6.39 3.10 | 165 216 | 367 299 | 0.002 ** |
| Total retinal parafoveal thickness (μm) | IMT Control | 284.05 321.35 | 4.73 2.03 | 233 296 | 385 349 | <0.0001 * |
| Total retinal perifoveal thickness (μm) | IMT Control | 279.42 287.82 | 2.72 1.79 | 244 266 | 341 315 | 0.006 * |
| Inner retinal layer foveal thickness (μm) | IMT Control | 67.70 72.02 | 2.82 1.67 | 32 53 | 119 97 | 0.17 ** |
| Inner retinal layer parafoveal thickness (μm) | IMT Control | 109.20 131.12 | 2.29 1.21 | 87 117 | 143 144 | <0.0001 * |
| Inner retinal layer perifoveal thickness (μm) | IMT Control | 107.10 113.35 | 1.19 0.95 | 92 101 | 126 126 | <0.0001 ** |
| Outer retinal layer foveal thickness (μm) | IMT Control | 167.05 185.35 | 4.36 1.83 | 121 160 | 265 215 | <0.0001 * |
| Outer retinal layer parafoveal thickness (μm) | IMT Control | 174.87 190.35 | 2.84 1.38 | 145 173 | 254 211 | <0.0001 * |
| Outer retinal layer perifoveal thickness (μm) | IMT Control | 172.35 174.42 | 2.10 1.05 | 151 162 | 224 192 | 0.16 * |
| Variable | BCVA (logMAR) | p | AI | p |
|---|---|---|---|---|
| R | R | |||
| AI | 0.402 | 0.02 | - | |
| SCP total vascular density (%) | −0.061 | 0.71 | −0.014 | 0.94 |
| SCP foveal vascular density (%) | 0.026 | 0.87 | 0.198 | 0.27 |
| SCP parafoveal vascular density (%) | −0.079 | 0.63 | −0.160 | 0.38 |
| SCP perifoveal vascular density (%) | −0.087 | 0.59 | 0.028 | 0.88 |
| DCP total vascular density (%) | −0.159 | 0.33 | −0.304 | 0.09 |
| DCP foveal vascular density (%) | 0.135 | 0.41 | 0.322 | 0.07 |
| DCP parafoveal vascular density (%) | −0.211 | 0.19 | −0.534 | 0.02 |
| DCP perifoveal vascular density (%) | −0.206 | 0.20 | −0.288 | 0.20 |
| Foveal avascular zone (mm2) | −0.089 | 0.59 | −0.110 | 0.55 |
| Choriocapillaris blood flow (mm2) | 0.140 | 0.39 | −0.33 | 0.85 |
| Optic disc total vascular density (%) | −0.143 | 0.38 | −0.275 | 0.12 |
| Optic disc inside-disc vascular density (%) | 0.28 | 0.86 | 0.288 | 0.10 |
| Peripapillary vascular density (%) | −0.318 | 0.04 | −0.355 | 0.04 |
| Retinal nerve layer fiber thickness (μm) | −0.296 | 0.06 | −0.147 | 0.42 |
| Variable | Group | Mean | SD | Min | Max | p |
|---|---|---|---|---|---|---|
| Intraretinal hyporeflective cavitation | Present Absent | 0.48 0.38 | 0.34 0.42 | 0.00 0.00 | 1.30 1.30 | 0.21 |
| Ellipsoid zone defect | Present Absent | 0.64 0.15 | 0.33 0.12 | 0.20 0.00 | 1.30 0.30 | <0.0001 |
| Internal limiting membrane | Present Absent | 0.44 0.47 | 0.29 0.42 | 0.00 0.00 | 1.00 1.30 | 0.75 |
| Neovascularization in outer retinal layer | Present Absent | 086 0.42 | 0.55 0.33 | 0.50 0.00 | 1.30 1.30 | 0.08 |
Disclaimer/Publisher’s Note: The statements, opinions and data contained in all publications are solely those of the individual author(s) and contributor(s) and not of MDPI and/or the editor(s). MDPI and/or the editor(s) disclaim responsibility for any injury to people or property resulting from any ideas, methods, instructions or products referred to in the content. |
© 2023 by the authors. Licensee MDPI, Basel, Switzerland. This article is an open access article distributed under the terms and conditions of the Creative Commons Attribution (CC BY) license (https://creativecommons.org/licenses/by/4.0/).
Share and Cite
Erol, M.K.; Gedik, B.; Bozdogan, Y.C.; Ekinci, R.; Bulut, M.; Dogan, B.; Suren, E.; Akidan, M. Evaluation of Optic Disc, Retinal Vascular Structures, and Acircularity Index in Patients with Idiopathic Macular Telangiectasia Type 2. Diagnostics 2023, 13, 3046. https://doi.org/10.3390/diagnostics13193046
Erol MK, Gedik B, Bozdogan YC, Ekinci R, Bulut M, Dogan B, Suren E, Akidan M. Evaluation of Optic Disc, Retinal Vascular Structures, and Acircularity Index in Patients with Idiopathic Macular Telangiectasia Type 2. Diagnostics. 2023; 13(19):3046. https://doi.org/10.3390/diagnostics13193046
Chicago/Turabian StyleErol, Muhammet Kazim, Birumut Gedik, Yigit Caglar Bozdogan, Rojbin Ekinci, Mehmet Bulut, Berna Dogan, Elcin Suren, and Melih Akidan. 2023. "Evaluation of Optic Disc, Retinal Vascular Structures, and Acircularity Index in Patients with Idiopathic Macular Telangiectasia Type 2" Diagnostics 13, no. 19: 3046. https://doi.org/10.3390/diagnostics13193046
APA StyleErol, M. K., Gedik, B., Bozdogan, Y. C., Ekinci, R., Bulut, M., Dogan, B., Suren, E., & Akidan, M. (2023). Evaluation of Optic Disc, Retinal Vascular Structures, and Acircularity Index in Patients with Idiopathic Macular Telangiectasia Type 2. Diagnostics, 13(19), 3046. https://doi.org/10.3390/diagnostics13193046

