Abstract
Myxofibrosarcoma (MFS) is one of the most common adult soft tissue sarcomas, typically arising in the extremities. Histologically, MFS is classified into three grades: low, intermediate, and high. Histological grades correlate with distant metastases and tumor-associated mortality. The diagnosis of MFS is challenging due to a lack of well-characterized immunohistochemical markers. High-grade MFS displays highly complex karyotypes with multiple copy number alterations. Recent integrated genomic studies have shown the predominance of somatic copy number aberrations. However, the molecular pathogenesis of high-grade MFS remains poorly understood. The standard treatment for localized MFS is surgical resection. The systemic treatment options for advanced disease are limited. This review provides an updated overview of the clinical and imaging features, pathogenesis, histopathology, and treatment of high-grade MFS.
1. Introduction
Myxoid soft tissue sarcomas (STSs) represent a heterogeneous group of mesenchymal neoplasms characterized by a predominantly myxoid stroma, including myxofibrosarcoma (MFS) []. MFS is a common type of STS that primarily arises in the extremities of elderly patients. It belongs to the fibroblastic/myofibroblastic tumor group according to the 2020 World Health Organization Classification of Soft Tissue Tumors []. The estimated incidence of MFS is less than 0.1 per 100,000 each year []. MFS is clinically characterized by a high risk of local recurrence related to its infiltrative growth pattern. Currently, MFS has been subdivided into three grades based on the degree of cellularity, nuclear pleomorphism, and proliferative activity []. Compared to low-grade MFS, intermediate- and high-grade MFSs show highly complex karyotypes with multiple copy number alterations and have a worse prognosis due to their aggressive behavior. Wide resection is the standard treatment for localized MFS. The treatment options in advanced disease are limited. It is often difficult to carry out robust research/clinical trials in a rare condition like MFS. This review highlights the clinical, radiological, histological, cytogenetic, and molecular genetic features of high-grade MFS. In addition, we will discuss the available treatment methods with the potential candidates for future therapies and ongoing clinical trials.
2. Clinical Characteristics
MFS can occur at any age but has a peak incidence in the sixth to eighth decades of life, with a slight male predominance. It usually presents as a slow-growing, often painless mass in the extremities. The involvement of the retroperitoneum and abdominal cavity is extremely uncommon. The presenting symptoms are typically related to the location of origin. More than half of cases develop in the subcutaneous tissues, with the remainder involving the underlying fascia and skeletal muscle []. Local recurrences occur in 10–61% of cases, irrespective of histological grade [,,,,,]. Notably, 19–50% of locally recurrent MFS cases progress to a higher histological grade with an attendant increase in metastatic potential [,,]. Local recurrence within 12 months of initial surgery is associated with a higher mortality rate []. Low-grade MFS has no metastatic potential, whereas intermediate- and high-grade MFSs develop distant metastases in 16–38% of cases [,,,,,]. A recent epidemiological study from the Netherlands comprising 908 MFS patients indicates that median overall survival (OS) is 155 (range 0.1–215) months, with a 5-year OS of 67.7% []. The 5-year OS of MFS is better when compared to other types of STS []. It is currently recognized that age, sex, tumor size, histological grade, and surgical margins are the significant prognostic factors for MFS. Moreover, the presence of systemic inflammation has recently been reported to be associated with a worse prognosis in patients with high-grade MFS [].
3. Imaging Features
3.1. Ultrasonography
Ultrasonography (US) is generally a first-line modality for the evaluation of palpable or visible superficial soft tissue nodules/masses. In addition, US is ideal in directing percutaneous biopsies. In US, MFS reveals a predominantly hypoechoic heterogeneous mass []. The presence of tail-like extensions along the fascial layer or ill-defined echogenic changes in the adjacent subcutaneous fat may be identified. However, echogenicity and vascularity can be variable for MFS based on the histological appearance.
3.2. MRI
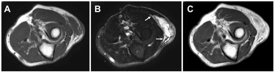
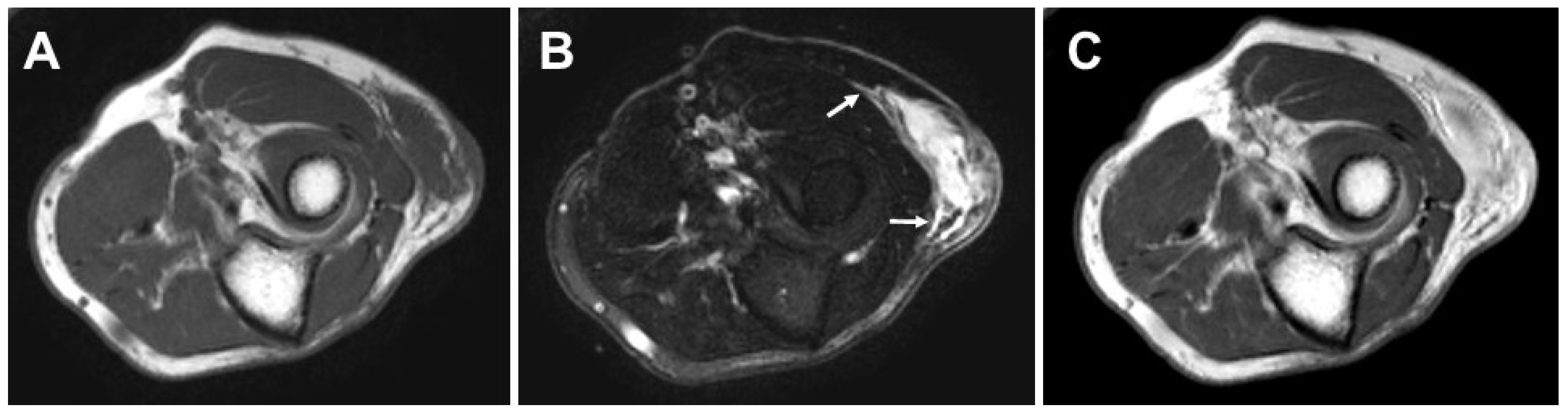
Magnetic resonance imaging (MRI) is the preferred modality to evaluate soft tissue masses in routine sarcoma clinical practice. In addition, MRI is critical for optimal surgical planning. On MRI, the lesions are typically nodular or lobular in shape and display low to intermediate signal intensity on T1-weighted images and high signal intensity on T2-weighted images (Figure 1). Heterogeneity is often noted with all MR pulse sequences, particularly in high-grade MFS. An infiltrative growth pattern, referred to as a tail sign, can be seen on fluid-sensitive sequences [,,,]. The tail sign is not only valuable for suggesting the diagnosis of MFS, but its recognition is also essential in preoperative planning. Moreover, the presence of a tail sign has been recognized as a prognostic predictor for MFS [,,,,,]. Hemorrhage and necrosis may be seen within higher-grade lesions. In our experience, subcutaneous lesions may reveal perilesional edema likely owing to the lack of a pseudocapsule. Recently, Mühlhofer et al. reported that perilesional diffuse edema was significantly correlated with a poor OS []. Contrast-enhanced MRI demonstrates nodular and peripheral enhancement of the solid components. Diffuse enhancement may also be present in higher-grade lesions []. We believe that the use of contrast is essential to distinguish the tail sign from edema.

Figure 1.
Axial magnetic resonance imaging of high-grade myxofibrosarcoma in the left elbow of a 71-year-old man. The lesion shows intermediate signal intensity on T1-weighted sequence (A) and very high signal intensity on T2-weighted spectral presaturation with inversion recovery (STIR) sequence (B). A tail sign (arrows) can be seen on STIR sequence. Contrast-enhanced T1-weighted sequence (C) demonstrates diffuse enhancement of the lesion.
3.3. F-FDG PET/CT
Positron emission tomography/computed tomography (PET/CT) is not considered a standard imaging for staging and restaging STS, but it may exhibit a higher sensitivity in detecting distant metastases compared to conventional imaging in the initial stages []. In addition, PET/CT can be helpful in guiding the most aggressive area for biopsy in STS []. It is recognized that STSs with a myxoid component would show lower fluorodeoxyglucose (FDG) uptake than those without [,]. In our experience, high-grade MFS tends to have higher rates of FDG uptake than those of low-grade MFS. Recently, Macpherson et al. reported that the advantages of PET/CT were manifested during follow-up restaging and treatment response assessment in most cases of MFS [].
4. Pathogenesis
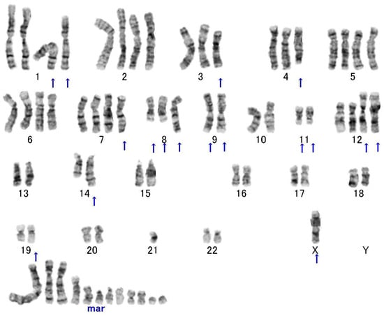
High-grade MFS is associated with very complex karyotypes lacking specific chromosomal aberrations [,,] (Figure 2). Triploid and tetraploid ranges are noted in the majority of cases. MFS shares many chromosomal aberrations with undifferentiated pleomorphic sarcoma (UPS) []. The progression in grade is accompanied by an increase in cytogenetic alterations [].

Figure 2.
A representative G-banded karyotype of high-grade myxofibrosarcoma showing fairly complex chromosomal aberrations. Arrows indicate the structural chromosomal aberrations.
A conventional comparative genomic hybridization (CGH) study reveals gains of 19p and 19q, losses of 1q, 2q, 3p, 4q, 10q, 11q, and 13q, and high-level amplifications of the central region of chromosome 1, 5p, and 20q []. Interestingly, a gain of 5p and loss of 4q are not observed in low-grade MFS as opposed to higher-grade neoplasms. In addition, array CGH studies show gains of 7p21-22, 7q21-22, 7q31–35, 9q22, 12p13-pter, 12q15–21, 17q22–23, Xp11, and Xq12 and losses of 7p12, 7q11, 10p13–14, 10q25, 11p11–14, 11q23–25, 13q14–34, 20p11–12, and 21q22 [,]. Lee et al. reported that MET was expressed in 67% of primary localized MFS cases and its overexpression was highly related to deep location, higher grade, and more advanced stage []. Ma et al. also reported that MET overexpression was observed in 46.7% of cases with s correlation with higher grade and suggested that chromosome 7 polysomy, rather than the MET proto-oncogene, receptor tyrosine kinase (MET) amplification, might lead to the overexpression of the MET protein in MFS []. Patients with MET overexpression or chromosome 7 polysomy had a high risk of local recurrence and distant metastasis. Moreover, recent FoundationOne® Heme testing demonstrated the presence of an upregulation of hepatocyte growth factor (HGF)/MET signaling in a subset of MFSs []. Based on these findings, we speculate that MET inhibitors may be an effective therapeutic option for high-grade MFS patients.
In general, high-grade MFS shows a higher amount of somatic copy number alterations than low-grade MFS []. Recent integrated genomic studies reveal ubiquitous genetic complexity in MFS, including the common occurrence of chromothripsis accompanied by local hypermutation [,,]. These studies identified recurrently mutated/copy number altered genes such as tumor protein p53 (TP53), RB transcriptional corepressor 1 (RB1), cyclin dependent kinase inhibitor 2A (CDKN2A), cyclin dependent kinase inhibitor 2B (CDKN2B), neurofibromin 1 (NF1), neurotrophic receptor tyrosine kinase 1 (NTRK1), MDM2 proto-oncogene (MDM2), phosphatase and tensin homolog (PTEN), GNAS complex locus (GNAS), ATRX chromatin remodeler (ATRX), KRAS proto-oncogene, GTPase (KRAS), cyclin D1 (CCND1), Janus kinase 1 (JAK1), high density lipoprotein binding protein (HDLBP), mucin 17, cell surface associated (MUC17), filaggrin (FLG), and zinc finger protein 780A (ZNF780A). TP53 mutation/loss, CDKN2A/CDKN2B loss, and RB1 loss were the most frequent alterations in MFS. Interestingly, Yamashita et al. reported that TP53 mutation/loss and RB1 loss were significantly more frequently observed in high-grade than low-grade MFS and RB1 loss was found to be a prognostic factor for adverse recurrence-free survival []. In addition, cyclin dependent kinase 6 (CDK6) amplification and its overexpression were found in 23.6% and 27.2% of cases, respectively []. CDK6 overexpression was associated with a worse outcome. Moreover, Ogura et al. detected a novel solute carrier family 37 member 3 (SLC37A3)-B-Raf proto-oncogene, serine/threonine kinase (BRAF) fusion gene in a single case [].
In 2016, Okada et al. analyzed the gene expression profiles of 64 primary untreated high-grade MFSs and found that integrin subunit alpha 10 (ITGA10) expression was most significantly associated with disease-specific death and distant metastasis []. The authors also found that ITGA10 acts in association with trio Rho guanine nucleotide exchange factor (TRIO) and RPTOR independent companion of MTOR complex 2 (RICTOR), which are co-amplified on 5p and overexpressed in 42% of high-grade MFSs. Similarly, Heitzer et al. detected a co-amplification of TRIO and RICTOR in 44% of high-grade MFSs []. The authors also found that the overrepresentation of RICTOR alone was observed in only low-grade MFS and suggested that TRIO amplification might be a late genetic event. These findings demonstrate the importance of ITGA10/TRIO/RICTOR signaling for driving MFS progression and provide a novel potential treatment strategy for high-grade MFS patients.
In 2018, Lewin et al. investigated targetable genetic alterations in 43 MFS cases and 18 UPS cases using next-generation sequencing (NGS) []. The most commonly mutated gene was TP53. In addition, a solitary mutation in phosphatidylinositol-4,5-bisphosphate 3-kinase catalytic subunit alpha (PIK3CA) was detected in a single patient with MFS. TP53 mutations were identified in 30% of patients with MFS and in 22% of patients with UPS. Currently, the role of NGS in differentiating high-grade MFS from UPS remains undefined.
Chromosome 5p is the most common copy number gain/amplification and includes the genes such as S-phase kinase associated protein 2 (SKP2) and alpha-methylacyl-CoA racemase (AMACR), in addition to TRIO and RICTOR. SKR2 amplification was found in 38% of cases and associated with SKP2 immunohistochemical expression, adverse prognosticators, and worse patient survival []. AMACR amplification was found in 21% of cases through fluorescence in situ hybridization and associated with AMACR immunohistochemical expression and adverse prognosis []. Additionally, the overexpression of Ezrin (49%) and CD109 (10%) have been reported as potential biomarkers for the aggressive behavior of MFS [,]. Moreover, Conley et al. reported that MAGE family member A3 (MAGE-A3) was overexpressed in 41% of MFS/UPS and its overexpression was associated with a worse OS [].
Interestingly, an online interactive tool, named Online consensus Survival analysis for Myxofibrosarcoma (OSmfs), has been developed to evaluate the prognostic value of certain genes in MFS []. This online analysis concludes that the overexpression of ITGA10, CD109, CDK6, CDKN2A, MET, CCND1, and Ezrin (EZR) predicts adverse survival for MFS patients. In addition, OSmfs suggests that the overexpression of lysophospholipase 1 (LYPLA1), DBF4 zinc finger B (DBF4B), matrix metallopeptidase 13 (MMP13), polo like kinase 1 (PLK1), transmembrane protein 158 (TMEM158), Wnt family member 5B (WNT5B), and RUNX family transcription factor 2 (RUNX2) may potentially predict a poor OS in MFS.
5. Histopathology
On the whole, MFS usually appears as multiple nodules or an infiltrative single mass with a gelatinous, myxoid, and tan-white cut surface [] (Figure 3). Hemorrhage and necrosis can be seen in high-grade MFS.

Figure 3.
Overall appearance of high-grade myxofibrosarcoma. The tumor shows a multinodular growth pattern and a gelatinous, myxoid cut surface. Hemorrhage and necrosis can be seen.
Histologically, MFS is classified into three grades based on the degree of cellularity, nuclear pleomorphism, and proliferative activity []. The elongated, curvilinear, thin-walled blood vessels and myxoid stroma (≥10%) are characteristic of MFS []. In addition, a rare epithelioid subtype of MFS has been described, with a poorer prognosis compared to conventional MFS []. Epithelioid MFS is composed predominantly of atypical epithelioid cells with abundant eosinophilic cytoplasm, round vesicular nuclei, and prominent nucleoli. The neoplastic cells are arranged in small clusters in the myxoid areas or forming sheets in the hypercellular areas []. Scoccianti et al. suggested that chemotherapy should be considered as an adjuvant treatment in this subtype [].
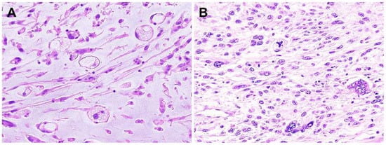
Low-grade MFS consists of spindle cells with mildly atypical, hyperchromatic nuclei in a variably myxoid matrix (Figure 4A). Pseudolipoblasts containing cytoplasmic mucin may be seen []. Mitotic figures are rare and tumor necrosis is absent in low-grade MFS. In contrast, high-grade MFS is composed partly of solid sheets and fascicles of atypical spindle cells. Bizarre, pleomorphic giant cells are also present (Figure 4B). Mitotic figures often exceed 10 mitoses per 10 high-power fields. Atypical mitoses are common and tumor necrosis is variably present in high-grade MFS. At least focally, however, areas of a lower grade neoplasm with a prominent myxoid stroma are present []. Intermediate-grade MFS is more cellular and pleomorphic than purely low-grade MFS and often contains minute solid areas showing flank pleomorphism. However, intermediate-grade MFS lacks pronounced cellular pleomorphism and tumor necrosis []. The histological grades are summarized in Table 1.

Figure 4.
Histopathology of myxofibrosarcoma (MFS). (A) Low-grade MFS is composed of spindle cells with mildly atypical, hyperchromatic nuclei in a myxoid stroma. Pseudolipoblasts can be seen. (B) Bizarre, pleomorphic giant cells with eosinophilic cytoplasm are present in high-grade MFS, mimicking undifferentiated pleomorphic sarcoma.

Table 1.
Histological grades of MFS.
Immunohistochemically, the neoplastic cells are occasionally positive for smooth muscle actin (SMA), muscle specific actin (MSA), and CD34 []. Immunostainings for S-100 protein and desmin are typically negative. Recent immunohistochemical studies demonstrate a strong expression of tumor endothelial marker 1 (TEM-1), also known as endosialin/CD248, in 88.2–100% of cases and suggest that TEM1 may be a suitable biomarker for fluorescence-guided surgery in MFS [,]. Most recently, we reported that glucose transporter 1 (GLUT-1) expression was seen in all MFS cases examined and suggested that GLUT-1 might be useful for the differential diagnosis of MFS and nodular fasciitis [].
6. Management
6.1. Localized Disease
Wide resection is the standard treatment for local disease. In surgical practice, the selection of a procedure for an individual patient must be based on tumor size, location, stage, relationship with surrounding neurovascular and bone elements, and functional and cosmetic requirements. Deep intramuscular masses often require a composite reconstruction including muscle flap and skin graft. A resection with an R0 margin is more challenging for MFS due to its infiltrative growth []. Adequate margins must take into consideration both the resection margin width (quantity) and the type of anatomic barrier (quality) []. Fujiwara et al. concluded that a minimum resection margin of at least 1 cm should be the aim to minimize the risk of local recurrence []. Rhee et al. recommended a minimum of 2 cm margin width for the resection of MFS []. We now plan for margins of 2 cm from all of the enhancement areas of preoperative MRI. It should be kept in mind that the rate of local recurrence for MFS in margin-negative resection is relatively high compared to other STS subtypes []. Moreover, it must be considered that the epithelioid subtype is an unfavorable prognostic factor for local recurrence [].
Radiation therapy (RT) can be used as neoadjuvant/adjuvant treatment strategies to improve local tumor control. Although the role of RT in the management of high-grade MFS is controversial, several retrospective studies have indicated that RT, in combination with surgery, is associated with a lower risk of local recurrence [,,,]. Adjuvant RT doses usually range from 50 to 70 gray depending on tumor size, location, and surgical margin status [,]. The possible drawbacks of RT include poor wound healing, pain, edema, fibrosis, and risk of secondary neoplasm. The long-term risk of radiation-induced sarcomas has not been reliably assessed in these studies. Mutter et al. suggested that clinical radioresistance might not be inherent to MFS of the extremities []. Look Hong et al. proposed that RT should be considered for all patients diagnosed with intermediate- or high-grade MFS []. The French National Group reported that a combination of R0 resection and adjuvant RT provided the best local tumor control []. On the other hand, Teurneau et al. indicated that there was no difference in the local recurrence rate depending on RT or not []. Recently, Kamio et al. reported that adjuvant RT did not contribute significantly to a better prognosis []. Further clinical trials are needed to better define the optimal treatment approaches for localized high-grade MFS.
6.2. Advanced Disease
The development of unresectable locally advanced or metastatic MFS is assocaited with a very poor prognosis. Accumulating more knowledge and experience is crucial in developing novel treatment strategies to combat advanced disease.
6.2.1. Anthracycline-Based Therapy
Like other STS subtypes, anthracycline, with or without ifosfamide, is the first-line treatment for advanced MFS [,,]. A randomized, controlled, phase 3 trial, comparing an anthracycline and ifosfamide combination (A + I) versus anthracycline alone, showed a significant improvement in progression-free survival (PFS) in the combination treatment group, but with no improvement in OS []. Moreover, a recent randomized open-label phase 3 trial suggested that A + I should remain the regimen to choose whenever neoadjuvant chemotherapy is used in patients with high-risk STS [].
There is a retrospective case series concerning the role of anthracycline-based treatment in patients with advanced MFS []. In this case series, Colia et al. demonstrated that A + I was active in advanced MFS. The median PFS was 4 months and the median OS was 12 months. A partial response (PR) was observed in 4 (31%) of the 13 patients.
Most recently, Vanni et al. identified the down-regulation of several immunoglobulin genes and neutrophil-mediated immunity pathways in anthracycline-sensitive patients compared to anthracycline-resistant ones []. These results were reinforced by another recent study in which a high neutrophils-to-lymphocyte ratio was significantly associated with worse PFS in a case series of 99 STS patients, including MFS []. Indeed, it is known that neutrophils can remodel the extracellular matrix and promote angiogenesis, thereby stimulating tumor cell migration and metastasis. Moreover, neutrophils can suppress the cytolytic activity of lymphocytes [,].
6.2.2. Gemcitabine-Based Therapy
Gemcitabine can be used as a monotherapy or in combination with docetaxel or dacarbazine in pretreated STS patients. A randomized phase 2 trial, comparing gemcitabine and docetaxel combination versus gemcitabine alone in metastatic STS, showed superiority in terms of PFS and OS with the combination []. The response to combination therapy was particularly notable in the UPS and leiomyosarcoma subgroups. Recently, Elkrief et al. reported that gemcitabine-based therapy was associated with encouraging response rates in metastatic MFS refractory to doxorubicin, similar to those observed in UPS []. The median PFS and OS were 8.5 months and 11.4 months, respectively. A radiological PR or complete response (CR) was observed in four (57%) of the seven patients. Although the exact role of gemcitabine remains unclear, gemcitabine-based therapy can be an effective option for metastatic MFS patients.
6.2.3. Trabectedin
Trabectedin can be administered effectively and safely to patients with advanced STS at second- or later-line setting []. It has been approved by the United States Food and Drug Administration (FDA) for treatment of patients with unresectable or metastatic liposarcoma and leiomyosarcoma (L-sarcoma) who received a prior anthracycline-based regimen. Moreover, in 2015, trabectedin was approved in Japan for treatment of patients with STS after a clinical trial targeting translocation-related sarcoma []. In a preclinical study, trabectedin showed a cytotoxic activity in high-grade, patient-derived MFS primary cultures []. Preclinical data suggest that trabectedin may be effective for advanced MFS.
There are several retrospective studies concerning the role of trabectedin treatment in patients with advanced non-L-sarcomas, including MFS [,,]. In the French RetrospectYon database analysis, of the 885 patients, 20 (2.3%) had MFS []. The median PFS was 2.8 months and the median OS was 8.1 months. In the Japanese musculoskeletal oncology group study, of the 140 patients, 3 (2.1%) had MFS []. The median PFS and OS were 5.3 and 10.6 months, respectively. In the Italian sarcoma group study, of the 512 patients, 13 (2.5%) had MFS []. The median PFS was 2.4 months and the median OS was 11.3 months in the non-L-sarcomas.
6.2.4. Eribulin
Eribulin is currently licensed for use in patients with unresectable or metastatic liposarcoma who received a prior anthracycline-based regimen. Japan is the only country where eribulin is approved for all types of STS, including non-L-sarcomas such as MFS and UPS.
For retrospective studies, eribulin has demonstrated efficacy in Japanese patients with STS [,]. In the Japanese sarcoma group study, of the 256 patients, 5 (2.0%) had MFS []. The median OS was 11.1 months and an objective response (OR) was observed in one patient (20%). The authors concluded that the median OS of eribulin was similar to that of trabectedin. Another retrospective Japanese study of 82 STS patients included 45 patients with non-L-sarcomas []. The median PFS was 2.2 months and the median survival time was 7.9 months in the non-L-sarcomas. Patients with UPS had better OS than those with the other non-L-sarcomas. A PR was seen in one MFS patient. However, large-scale cohort studies are required to evaluate the clinical outcome of patients with advanced MFS after eribulin treatment.
6.2.5. Pazopanib
Pazopanib is an oral multitargeted tyrosine kinase inhibitor (TKI) with anti-angiogenic and anti-tumorigenic properties and it has been approved in multiple countries as a second- or later-line treatment for patients with advanced non-adipocytic STS. A single-arm phase 2 trial (EORTC-62043) showed that pazopanib was inactive in the liposarcoma subgroup []. A subsequent randomized double-blind placebo-controlled phase 3 trial (NCT00753688) excluded liposarcomas on the basis of the EORTC-62043 data []. In the NCT00753688 trial for non-adipocytic STS, the median PFS was 4.6 months for pazopanib compared with 1.6 months for a placebo. There was no significant difference in median OS of 12.5 months for pazopanib compared with 10.7 months for the placebo. On the other hand, a prospective single-arm multicenter phase trial 2 (NCT01506596) was performed to support the efficacy of pazopanib of advanced liposarcoma []. In the NCT01506596 trial, the median PFS for patients with dedifferentiated liposarcoma was 6.24 months and the median OS among all patients was 12.6 months. Another phase 2 clinical trial (NCT01692496) also revealed that the median PFS was 3.5 months and the median OS was 16.4 months in the dedifferentiated liposarcoma subgroup []. These findings suggested that the use of pazopanib in treating advanced liposarcoma, especially dedifferentiated liposarcoma, may show promise [].
Although limited by the small number of patients, there are several retrospective studies concerning the role of pazopanib treatment for advanced MFS [,]. A Japanese musculoskeletal oncology group study showed that, out of eight MFS patients, four (50%) had stable disease (SD), two (25%) had long SD, and two (25%) had progressive disease (PD) []. In the Indian retrospective study, Kataria et al. reported that, out of four MFS patients, two (50%) had SD and two (50%) had PD []. More recently, a prospective multicenter phase 2 trial (NCT02575066, acronym PASART-2) was performed to investigate the efficacy of neo-adjuvant pazopanib and concurrent external beam radiotherapy for high-risk, localized STS []. In the NCT02575066 trial, of the 25 patients, 8 (32%) had MFS. One (12.5%) had radiological PR and seven (87.5%) had SD. No pathological CR (≤5% viable cells) was observed in MFS. Further studies are needed to verify the efficacy of pazopanib in patients with advanced MFS.
Other TKIs, such as sunitinib [], sorafenib [], regorafenib [], cediranib [], apatinib [], and anlotinib [], have also been investigated in phase 2 trials in advanced STS. None are currently licensed for use in MFS.
6.2.6. Immunotherapy
The major targets of FDA-approved immunotherapeutic antibodies are programmed cell death protein-1 (PD-1) and its ligand, programmed cell death ligand-1 (PD-L1) []. The prognostic value of PD-1/PD-L1 expression in STS remains controversial. Several studies have assessed the expression of PD-L1 in MFS [,,,,,]. The expression rate of PD-L1 has been reported to be approximately 0–35.6% in MFS. Yamashita et al. indicated that all PD-L1 positive cases were high-grade MFS []. Wunder et al. reported that high PD-L1 mRNA expression was not significantly associated with OS in 50 MFS patients []. In addition, the authors identified that the Th1 pathway was not activated in MFS. Smolle et al. showed that a higher prevalence of PD-L1, PD-1, and any tumor-infiltrating lymphocyte (TIL) phenotype was found in MFS compared with leiomyosarcoma and synovial sarcoma []. Likewise, PD-L1 copy number gain was detected in 35% of the MFS cases [].
Several studies have assessed the clinical benefit of immune checkpoint inhibitors (ICIs) as a monotherapy for STS [,,,]. In a single-arm open-label multicenter phase 2 trial (SARC028), pembrolizumab (anti-PD-1 antibody) provided an objective response rate (ORR) of 18% in the STS cohort []. The response was most noticeable in the UPS subtype (40% ORR). The results of SARC028 demonstrated promising activity in patients with UPS. In a retrospective study of the 88 metastatic STS patients, 47 (53.4%) received pembrolizumab monotherapy []. The ORR was 19.1% and a CR was seen in one UPS patient. In an open-label multicenter phase 2 trial to evaluate the efficacy of nivolumab (anti-PD-1 antibody) in 21 Japanese patients with advanced STS, including 2 MFS patients, the ORR was 0% and the median PFS was 1.4 months []. In a randomized open-label non-comparative multicenter phase 2 trial (Alliance A091401), 85 patients with metastatic sarcoma received either nivolumab alone or nivolumab in combination with ipilimumab (anti-cytotoxic T lymphocyte-associated antigen-4 (CTLA-4) antibody) []. The ORR was 5% in the nivolumab monotherapy group and 16% in the combination group. The median PFS was 1.7 and 4.1 months, respectively. The median OS was 10.7 and 14.3 months, respectively. These studies indicate that the clinical activity of single-agent ICI in STS is low and suggest that a dual checkpoint inhibitor may result in higher response rates.
There are several studies [,] and individual case reports [,,,,,,] regarding the efficacy of ICIs for advanced MFS. In a retrospective study of the 61 advanced STS patients, 7 (11.5%) had MFS and received ICIs in combination with TKIs []. The ORR was 42.9% and all patients achieved SD. In a prospective clinical trial, PD-1 blockades demonstrated promising activity in patients with advanced MFS []. Among the five evaluable patients with MFS, two (40%) had CR/PR and two (40%) had SD. These results show that MFS as well as UPS are responsive to ICIs and suggest that MFS may have response rates that are near or above 40%.
Combinational therapies may ultimately prove more efficacious. A randomized open-label multicenter pivotal phase 2 trial (ENVASARC), to evaluate the effectiveness of envafolimab (anti-PD-L1 antibody) or envafolimab combined with ipilimumab in patients with refractory MFS and UFS, is currently ongoing. Another phase 2 study (NCT04332874) of concurrent systemic pembrolizumab and isolated limb infusion with melphalan and dactinomycin for patients with locally advanced or metastatic extremity sarcoma, including MFS, is also in progress []. Additionally, a randomized controlled phase 2 trial (SU2C-SARC032), to evaluate the safety and efficacy of neoadjuvant pembrolizumab with concurrent RT and adjuvant pembrolizumab compared to neoadjuvant RT alone in patients with high-risk extremity STS, including MFS, is currently under way []. The results from these trials shall be eagerly anticipated.
6.2.7. Alternative Strategies
High-intensity focused ultrasound (HIFU) is a minimally invasive treatment modality that can ablate target tissue or tumors within the body. HIFU is usually guided, assessed, and monitored by either US (US-HIFU) or MRI (MR-HIFU). Recently, Zhao et al. reported on a patient with recurrent MFS who was treated with five cycles of low-power cumulative HIFU, without complications []. The patient has been disease free with a high quality of life for more than 30 months. Another minimally invasive alternative for the treatment of advanced or metastatic STSs is percutaneous image-guided cryotherapy [,,]. This ablation technique can be used both as palliative treatment to reduce disease-related pain or as a curative treatment to achieve effective local tumor control []. However, more studies should be conducted to further evaluate the effectiveness of cryotherapy as a promising treatment for high-grade MFS.
7. Conclusions
MFS typically arises in the subcutaneous tissue of the extremities in older adults and has a high propensity for local recurrence. Distant metastases and tumor-related mortality are closely related to histological grades. Notably, epithelioid MFS behaves more aggressively. High-grade MFS displays highly complex karyotypes with multiple copy number alterations. At the transcriptomic level, high-grade MFS cannot be distinguished from UPS. Surgical resection is the mainstay of treatment for localized MFS, although the use of RT or systemic therapies in conjunction with surgery may be considered in selected patients. The management of advanced MFS is challenging. Novel therapeutic approaches using immune-oncology and molecular targeted agents may lead to a substantial improvement in the outcomes of patients with this devastating disease.
Author Contributions
Conceptualization, J.N.; methodology, J.N.; validation, J.N. and S.N.; data curation, J.N. and S.N.; writing—original draft preparation, J.N.; writing—review and editing, S.N.; visualization, J.N.; supervision, J.N.; project administration, J.N.; funding acquisition, J.N. All authors have read and agreed to the published version of the manuscript.
Funding
This research was funded by the Japan Society for the Promotion of Science KAKENHI (21K09336).
Institutional Review Board Statement
Not applicable.
Informed Consent Statement
Not applicable.
Data Availability Statement
Not applicable.
Acknowledgments
The authors would like to thank Mikiko Aoki for the histopathological examinations.
Conflicts of Interest
The authors declare no conflict of interest.
References
- Nishio, J.; Iwasaki, H.; Nabeshima, K.; Naito, M. Cytogenetics and molecular genetics of myxoid soft-tissue sarcomas. Genet. Res. Int. 2011, 2011, 497148. [Google Scholar] [CrossRef]
- Huang, H.Y.; Mentzel, T.D.W.; Shibata, T. Myxofibrosarcoma. In World Health Organization (WHO) Classification of Soft Tissue and Bone Tumours, 5th ed.; International Agency for Research on Cancer (IARC): Lyon, France, 2020; pp. 124–126. [Google Scholar]
- Stiller, C.A.; Trama, A.; Serraino, D.; Rossi, S.; Navarro, C.; Chirlaque, M.D.; Casali, P.G.; RARECARE Working Group. Descriptive epidemiology of sarcomas in Europe: Report from RARECARE project. Eur. J. Cancer 2013, 49, 684–695. [Google Scholar] [CrossRef] [PubMed]
- Gilg, M.M.; Sunitsch, S.; Leitner, L.; Bergovec, M.; Szkandera, J.; Leithner, A.; Liegl-Atzwanger, B. Tumor-associated and prognostic factors in myxofibrosarcoma-A retrospective review of 109 patients. Orthop. Traumatol. Surg. Res. 2020, 106, 1059–1063. [Google Scholar] [CrossRef]
- Radaelli, S.; Pasquali, S.; Colombo, C.; Callegaro, D.; Sanfilippo, R.; Stacchiotti, S.; Provenzano, S.; Sangalli, C.; Morosi, C.; Barisella, M.; et al. Treatment strategies and outcome of primary myxofibrosarcomas in a large patients cohort. Eur. J. Surg. Oncol. 2022, 48, 1723–1729. [Google Scholar] [CrossRef]
- Ghazala, C.G.; Agni, N.R.; Ragbir, M.; Dildey, P.; Lee, D.; Rankin, K.S.; Beckingsale, T.B.; Gerrand, C.H. Myxofibrosarcoma of the extremity and trunk. Bone Joint J. 2016, 98, 1682–1688. [Google Scholar] [CrossRef] [PubMed]
- Berner, J.E.; Crowley, T.P.; Teelucksingh, S.; Lee, D.; Ghosh, K.M.; Beckingsale, T.B.; Rankin, K.S.; Ragbir, M. The importance of clear margins in myxofibrosarcoma: Improving local control by means of staged resection and reconstruction. Eur. J. Surg. Oncol. 2021, 47, 2627–2632. [Google Scholar] [CrossRef]
- Yoshimoto, M.; Yamada, Y.; Ishihara, S.; Kohashi, K.; Toda, Y.; Ito, Y.; Yamamoto, H.; Furue, M.; Nakashima, Y.; Oda, Y. Comparative study of myxofibrosarcoma with undifferentiated pleomorphic sarcoma: Histopathologic and clinicopathologic review. Am. J. Surg. Pathol. 2020, 44, 87–97. [Google Scholar] [CrossRef] [PubMed]
- Weiss, S.W.; Enzinger, F.M. Myxoid variant of malignant fibrous histiocytoma. Cancer 1977, 39, 1672–1685. [Google Scholar] [CrossRef]
- Ferguson, P.C.; Deshmukh, N.; Abudu, A.; Carter, S.R.; Tillman, R.M.; Grimer, R.J. Change in histological grade in locally recurrent soft tissue sarcomas. Eur. J. Cancer 2004, 40, 2237–2242. [Google Scholar] [CrossRef]
- Willems, S.M.; Debiec-Rychter, M.; Szuhai, K.; Hogendoorn, P.C.W.; Sciot, R. Local recurrence of myxofibrosarcoma is associated with increase in tumor grade and cytogenetic aberrations, suggesting a multistep tumour progression model. Mod. Pathol. 2006, 19, 407–416. [Google Scholar] [CrossRef]
- Waters, B.; Panicek, D.M.; Lefkowitz, R.A.; Antonescu, C.R.; Healey, J.; Athanasian, E.A.; Brennan, M. Low-Grade Myxofibrosarcoma: CT and MRI Patterns in Recurrent Disease. Am. J. Roentgenol. 2007, 188, 193–198. [Google Scholar] [CrossRef] [PubMed]
- Mentzel, T.; Calonje, E.; Wadden, C.; Camplejohn, R.S.; Beham, A.; Smith, M.A.; Fletcher, C.D. Myxofibrosarcoma. Clinicopathologic analysis of 75 cases with emphasis on the low-grade variant. Am. J. Surg. Pathol. 1996, 20, 391–405. [Google Scholar] [CrossRef]
- Look Hong, N.J.; Hornicek, F.J.; Raskin, K.A.; Yoon, S.S.; Szymonifka, J.; Yeap, B.; Chen, Y.L.; DeLaney, T.F.; Nielsen, G.P.; Mullen, J.T. Prognostic factors and outcomes of patients with myxofibrosarcoma. Ann. Surg. Oncol. 2013, 20, 80–86. [Google Scholar] [CrossRef] [PubMed]
- Tsuchie, H.; Kaya, M.; Nagasawa, H.; Emori, M.; Murahashi, Y.; Mizushima, E.; Miyakoshi, N.; Yamashita, T.; Shimada, Y. Distant metastasis in patients with myxofibrosarcoma. Ups. J. Med. Sci. 2017, 122, 190–193. [Google Scholar] [CrossRef] [PubMed]
- Mühlhofer, H.M.L.; Lenze, U.; Gersing, A.; Lallinger, V.; Burgkart, R.; Obermeier, A.; von Eisenhart-Rothe, R.; Knebel, C. Prognostic Factors and Outcomes for patients with myxofibrosarcoma: A 13-year retrospective evaluation. Anticancer Res. 2019, 39, 2985–2992. [Google Scholar] [CrossRef]
- Van der Horst, C.A.; Bongers, S.L.; Versleijen-Jonkers, Y.M.; Ho, V.K.; Braam, P.M.; Flucke, U.E.; de Wilt, J.H.; Desar, I.M. Overall survival of patients with myxofibrosarcomas: An epidemiological study. Cancers 2022, 14, 1102. [Google Scholar] [CrossRef]
- Dewan, V.; Darbyshire, A.; Sumathi, V.; Jeys, L.; Grimer, R. Prognostic and survival factors in myxofibrosarcomas. Sarcoma 2012, 2012, 830879. [Google Scholar] [CrossRef]
- Sambri, A.; Zucchini, R.; Giannini, C.; Cevolani, L.; Fiore, M.; Spinnato, P.; Bianchi, G.; Donati, D.M.; de Paolis, M. Systemic inflammation is associated with oncological outcome in patients with high-grade myxofibrosarcoma of the extremities: A retrospective analysis. Oncol. Res. Treat. 2020, 43, 531–538. [Google Scholar] [CrossRef]
- Morag, Y.; Lucas, D.R. Ultrasound of myxofibrosarcoma. Skelet. Radiol. 2022, 51, 691–700. [Google Scholar] [CrossRef]
- Lefkowitz, R.A.; Landa, J.; Hwang, S.; Zabor, E.C.; Moskowitz, C.S.; Agaram, N.P.; Panicek, D.M. Myxofibrosarcoma: Prevalence and diagnostic value of the “tail sign” on magnetic resonance imaging. Skelet. Radiol. 2013, 42, 809–818. [Google Scholar] [CrossRef]
- Yoo, H.J.; Hong, S.H.; Kang, Y.; Choi, J.-Y.; Moon, K.C.; Kim, H.-S.; Han, I.; Yi, M.; Kang, H.S. MR imaging of myxofibrosarcoma and undifferentiated sarcoma with emphasis on tail sign; diagnostic and prognostic value. Eur. Radiol. 2014, 24, 1749–1757. [Google Scholar] [CrossRef]
- Kikuta, K.; Kubota, D.; Yoshida, A.; Morioka, H.; Toyama, Y.; Chuuman, H.; Kawai, A. An analysis of factors related to the tail-like pattern of myxofibrosarcoma seen on MRI. Skelet. Radiol. 2015, 44, 55–62. [Google Scholar] [CrossRef]
- Morii, T.; Tajima, T.; Honya, K.; Aoyagi, T.; Ichimura, S. Clinical significance of the tail-like pattern in soft-tissue sarcomas on magnetic resonance imaging. J. Orthop. Sci. 2018, 23, 1032–1037. [Google Scholar] [CrossRef]
- Manoso, M.W.; Pratt, J.; Healey, J.; Boland, P.J.; Athanasian, A.E. Infiltrative MRI pattern and incomplete initial surgery compromise local control of myxofibrosarcoma. Clin. Orthop. Relat. Res. 2006, 450, 89–94. [Google Scholar] [CrossRef] [PubMed]
- Spinnato, P.; Clinca, R.; Vara, G.; Cesari, M.; Ponti, F.; Facchini, G.; Longhi, A.; Donati, D.M.; Bianchi, G.; Sambri, A. MRI features as prognostic factors in myxofibrosarcoma: Proposal of MRI grading system. Acad. Radiol. 2021, 28, 1524–1529. [Google Scholar] [CrossRef]
- Van Ravensteijn, S.G.; Nederkoorn, M.J.L.; Wal, T.C.P.; Versleijen-Jonkers, Y.M.H.; Braam, P.M.; Flucke, U.E.; Bonenkamp, J.J.; Schreuder, B.H.W.; van Herpen, C.M.L.; de Wilt, J.H.W.; et al. The prognostic relevance of MRI characteristics in myxofibrosarcoma patients treated with neoadjuvant radiotherapy. Cancers 2023, 15, 2843. [Google Scholar] [CrossRef] [PubMed]
- Mühlhofer, H.; Gersing, A.; Pfeiffer, D.; WÖrtler, K.; Lenze, U.; Lenze, F.; Lallinger, V.; Haller, B.; Burgkart, R.; von Eisenhart-Rothe, R.; et al. Preoperative evaluation of myxofibrosarcoma: Prognostic value and reproducibility of different features on MRI. Anticancer Res. 2020, 40, 5793–5800. [Google Scholar] [CrossRef] [PubMed]
- Petscavage-Thomas, J.M.; Walker, E.A.; Logie, C.I.; Clarke, L.E.; Duryea, D.M.; Murphey, M.D. Soft-tissue myxomatous lesions: Review of salient imaging features with pathologic comparison. Radiographics 2014, 34, 964–980. [Google Scholar] [CrossRef]
- Annovazzi, A.; Rea, S.; Zoccali, C.; Sciuto, R.; Baldi, J.; Anelli, V.; Petrongari, M.G.; Pescarmona, E.; Biagini, R.; Ferraresi, V. Diagnostic and clinical impact of 18F-FDG PET/CT in staging and restaging soft-tissue sarcomas of the extremities and trunk: Mono-institutional retrospective study of a sarcoma referral center. J. Clin. Med. 2020, 9, 2549. [Google Scholar] [CrossRef]
- Hain, S.F.; O’Doherty, M.J.; Bingham, J.; Chinyama, C.; Smith, M.A. Can FDG PET be used to successfully direct preoperative biopsy of soft tissue tumours? Nucl. Med. Commun. 2003, 24, 1139–1143. [Google Scholar] [CrossRef]
- Rakheja, R.; Makis, W.; Skamene, S.; Nahal, A.; Brimo, F.; Azoulay, L.; Assayag, J.; Turcotte, R.; Hickeson, M. Correlating metabolic activity of 18F-FDG PET/CT with histopathologic characteristics of osseous and soft-tissue sarcomas: A retrospective review of 136 patients. Am. J. Roentgenol. 2012, 198, 1409–1416. [Google Scholar] [CrossRef]
- Nose, H.; Otsuka, H.; Otomi, Y.; Terazawa, K.; Takao, S.; Iwamoto, S.; Harada, M. Correlations between F-18 FDG PET/CT nd pathological findings in soft tissue lesions. J. Med. Investig. 2013, 60, 184–190. [Google Scholar] [CrossRef] [PubMed]
- Macpherson, R.E.; Pratap, S.; Tyrrell, H.; Khonsari, M.; Wilson, S.; Gibbons, M.; Whitwell, D.; Giele, H.; Critchley, P.; Cogswell, L.; et al. Retrospective audit of 957 consecutive 18F-FDG PET-CT scans compared to CT and MRI in 493 patients with different histological subtypes of bone and soft tissue sarcoma. Clin. Sarcoma Res. 2018, 8, 9. [Google Scholar] [CrossRef]
- Sun, H.; Liu, J.; Hu, F.; Xu, M.; Leng, A.; Jiang, F.; Chen, K. Current research and management of undifferentiated pleomorphic sarcoma/myxofibrosarcoma. Front. Genet. 2023, 14, 1109491. [Google Scholar] [CrossRef]
- Idbaih, A.; Coindre, J.M.; Derré, J.; Mariani, O.; Terrier, P.; Ranchère, D.; Mairal, A.; Aurias, A. Myxoid malignant fibrous histiocytoma and pleomorphic lipoma share very similar genomic imbalances. Lab. Investig. 2005, 85, 176–181. [Google Scholar] [CrossRef] [PubMed]
- Ohguri, T.; Hisaoka, M.; Kawauchi, S.; Sasaki, K.; Aoki, T.; Kanemitsu, S.; Matsuyama, A.; Korogi, Y.; Hashimoto, H. Cytogenetic analysis of myxoid liposarcoma and myxofibrosarcoma by array-based comparative genomic hybridisation. J. Clin. Pathol. 2006, 59, 978–983. [Google Scholar] [CrossRef]
- Lee, J.C.; Li, C.F.; Fang, F.M.; Wang, J.W.; Jeng, Y.M.; Yu, S.C.; Lin, Y.T.; Wu, J.M.; Tsai, J.W.; Li, S.H.; et al. Prognostic implication of MET overexpression in myxofibrosarcomas: An integrative array comparative genomic hybridization, real-time quantitative PCR, immunoblotting, and immunohistochemical analysis. Mod. Pathol. 2010, 23, 1379–1392. [Google Scholar] [CrossRef]
- Ma, S.; Fan, L.; Liu, Y.; Wang, Y.; Yu, K.; Wang, L.; Fang, N.; Liu, F.; Guo, S.; Wang, Z. MET-overexpressing myxofibrosarcoma frequently exhibit polysomy of chromosome 7 but not MET amplification, especially in high-grade cases: Clinical and pathological review of 30 myxofibrosarcoma cases. Diagn. Pathol. 2018, 13, 56. [Google Scholar] [CrossRef] [PubMed]
- Scheipl, S.; Brcic, I.; Moser, T.; Fischerauer, S.; Riedl, J.; Bergovec, M.; Smolle, M.; Posch, F.; Gerger, A.; Pichler, M.; et al. Molecular profiling of soft-tissue sarcomas with FoundationOne® Heme identifies potential targets for sarcoma therapy: A single-centre experience. Ther. Adv. Med. Oncol. 2021, 13, 175883592. [Google Scholar] [CrossRef]
- Heitzer, E.; Sunitsch, S.; Gilg, M.M.; Lohberger, B.; Rinner, B.; Kashofer, K.; Stündl, N.; Ulz, P.; Szkandera, J.; Leithner, A.; et al. Expanded molecular profiling of myxofibrosarcoma reveals potentially actionable targets. Mod. Pathol. 2017, 30, 1698–1709. [Google Scholar] [CrossRef]
- Barretina, T.; Taylor, B.; Banerji, S.; Ramos, A.; Lagos-Quintana, M.; DeCarolis, P.; Shah, K.; Socci, N.; Weir, B.; Ho, A.; et al. Subtype-specific genomic alterations define new targets for soft-tissue sarcoma therapy. Nat. Genet. 2010, 42, 715–721. [Google Scholar] [CrossRef] [PubMed]
- Ogura, K.; Hosoda, F.; Arai, Y.; Nakamura, H.; Hama, N.; Totoki, Y.; Yoshida, A.; Nagai, M.; Kato, M.; Arakawa, E.; et al. Integrated genetic and epigenetic analysis of myxofibrosarcoma. Nat. Commun. 2018, 9, 2765. [Google Scholar] [CrossRef] [PubMed]
- Takeuchi, Y.; Yoshida, K.; Halik, A.; Kunitz, A.; Suzuki, H.; Kakiuchi, N.; Shiozawa, Y.; Yokoyama, A.; Inoue, Y.; Hirano, T.; et al. The landscape of genetic aberrations in myxofibrosarcoma. Int. J. Cancer 2022, 151, 565–577. [Google Scholar] [CrossRef] [PubMed]
- Yamashita, A.; Suehara, Y.; Hayashi, T.; Takagi, T.; Kubota, D.; Sasa, K.; Hasegawa, N.; Ishijima, M.; Yao, T.; Saito, T. Molecular and clinicopathological analysis revealed an immune-checkpoint inhibitor as a potential therapeutic target in a subset of high-grade myxofibrosarcoma. Virchows Arch. 2022, 481, 595–611. [Google Scholar] [CrossRef]
- Tsai, J.W.; Li, C.F.; Kao, Y.C.; Wang, J.W.; Fang, F.M.; Wang, Y.H.; Wu, W.R.; Wu, L.C.; Hsing, C.H.; Li, S.H.; et al. Recurrent amplification at 7q21.2 targets CDK6 gene in primary myxofibrosarcomas and identifies CDK6 overexpression as an independent adverse prognosticator. Ann. Surg. Oncol. 2012, 19, 2716–2725. [Google Scholar] [CrossRef] [PubMed]
- Okada, T.; Lee, A.; Qin, L.; Agaram, N.; Mimae, T.; Shen, Y.; O’Connor, R.; López-Lago, M.; Craig, A.; Miller, M.; et al. Integrin-α10 dependency identifies RAC and RICTOR as therapeutic targets in high-grade myxofibrosarcoma. Cancer Discov. 2016, 6, 1148–1165. [Google Scholar] [CrossRef]
- Lewin, J.; Garg, S.; Lau, B.Y.; Dickson, B.C.; Traub, F.; Gokgoz, N.; Griffin, A.M.; Ferguson, P.C.; Andrulis, I.L.; Sim, H.W.; et al. Identifying actionable variants using next generation sequencing in patients with a historical diagnosis of undifferentiated pleomorphic sarcoma. Int. J. Cancer 2018, 142, 57–65. [Google Scholar] [CrossRef]
- Li, C.F.; Wang, J.M.; Kang, H.Y.; Huang, C.K.; Wang, J.W.; Fang, F.M.; Wang, Y.H.; Wu, W.R.; Li, S.H.; Yu, S.C.; et al. Characterization of gene amplification-driven SKP2 overexpression in myxofibrosarcoma: Potential implications in tumor progression and therapeutics. Clin. Cancer Res. 2012, 18, 1598–1610. [Google Scholar] [CrossRef]
- Li, C.F.; Fang, F.M.; Lan, J.; Wang, J.W.; Kung, H.J.; Chen, L.T.; Chen, T.J.; Li, S.H.; Wang, Y.H.; Tai, H.C.; et al. AMACR amplification in myxofibrosarcomas: A mechanism of overexpression that promotes cell proliferation with therapeutic relevance. Clin. Cancer Res. 2014, 20, 6141–6152. [Google Scholar] [CrossRef]
- Huang, H.Y.; Li, C.F.; Fang, F.M.; Tsai, J.W.; Li, S.H.; Lee, Y.T.; Wei, H.M. Prognostic implication of ezrin overexpression in myxofibrosarcomas. Ann. Surg. Oncol. 2010, 17, 3212–3219. [Google Scholar] [CrossRef]
- Emori, M.; Tsukahara, T.; Murata, K.; Sugita, S.; Sonoda, T.; Kaya, M.; Soma, T.; Sasaki, M.; Nagoya, S.; Hasegawa, T.; et al. Prognostic impact of CD109 expression in myxofibrosarcoma. J. Surg. Oncol. 2015, 111, 975–979. [Google Scholar] [CrossRef]
- Conley, A.P.; Wang, W.L.; Livingston, J.A.; Ravi, V.; Tsai, J.W.; Ali, A.; Ingram, D.R.; Lowery, C.D.; Roland, C.L.; Somaiah, N.; et al. MAGE-A3 is a clinically relevant target in undifferentiated pleomorphic sarcoma/myxofibrosarcoma. Cancers 2019, 11, 677. [Google Scholar] [CrossRef]
- Li, H.; Xie, L.; Wang, Q.; Dang, Y.; Sun, X.; Zhang, L.; Han, Y.; Yan, Z.; Dong, H.; Zheng, H.; et al. OSmfs: An online interactive tool to evaluate prognostic markers for myxofibrosarcoma. Genes 2020, 11, 1523. [Google Scholar] [CrossRef]
- Nascimento, A.F.; Bertoni, F.; Fletcher, C.D.M. Epithelioid variant of myxofibrosarcoma: Expanding the clinocomorphologic spectrum of myxofibrosarcoma in a series of 177 cases. Am. J. Surg. Pathol. 2007, 31, 99–105. [Google Scholar] [CrossRef] [PubMed]
- Scoccianti, G.; Ranucci, V.; Frenos, F.; Greto, D.; Beltrami, G.; Capanna, R.; Franchi, A. Soft tissue myxofibrosarcoma: A clinic-pathological analysis of a series of 75 patients with emphasis on the epithelioid variant. J. Surg. Oncol. 2016, 114, 50–55. [Google Scholar] [CrossRef]
- De Gooyer, J.M.; Versleijen-Jonkers, Y.M.H.; Hillebrandt-Roeffen, M.H.S.; Frielink, C.; Desar, I.M.E.; de Wilt, J.H.W.; Flucke, U.; Rijpkema, M. Immunohistochemical selection of biomarkers for tumor-targeted image-guided surgery of myxofibrosarcoma. Sci. Rep. 2020, 10, 2915. [Google Scholar] [CrossRef]
- Rijs, Z.; Belt, E.; Kalisvaart, G.M.; Sier, C.F.M.; Kuppen, P.J.K.; Cleven, A.H.G.; Vahrmeijer, A.L.; van de Sande, M.A.J.; van Driel, P.B.A.A. Immunohistochemical evaluation of candidate biomarkers for fluorescence-guided surgery of myxofibrosarcoma using an objective scoring method. Biomedicines 2023, 11, 982. [Google Scholar] [CrossRef]
- Nakayama, S.; Nishio, J.; Aoki, M.; Koga, K.; Nabeshima, K.; Yamamoto, T. GLUT-1 expression is helpful to distinguish myxofibrosarcoma from nodular fasciitis. Histol. Histopathol. 2023, 38, 47–51. [Google Scholar]
- Iwata, S.; Yonemoto, T.; Araki, A.; Ikebe, D.; Kamoda, H.; Hagiwara, Y.; Ishi, T. Impact of infiltrative growth on the outcome of patients with undifferentiated pleomorphic sarcoma and myxofibrosarcoma. J. Surg. Oncol. 2014, 110, 707–711. [Google Scholar] [CrossRef] [PubMed]
- Sambri, A.; Caldari, E.; Fiore, M.; Zucchini, R.; Giannini, C.; Pirini, M.G.; Spinnato, P.; Cappelli, A.; Donati, D.M.; de Paolis, M. Margin assessment in soft tissue sarcomas: Review of the literature. Cancers 2021, 13, 1687. [Google Scholar] [CrossRef] [PubMed]
- Fujiwara, T.; Stevenson, J.; Parry, M.; Tsuda, Y.; Tsoi, K.; Jeys, L. What is an adequate margin for infiltrative soft-tissue sarcomas? Eur. J. Surg. Oncol. 2020, 46, 277–281. [Google Scholar] [CrossRef]
- Rhee, I.; Spazzoli, B.; Stevens, J.; Hansa, A.; Spelman, T.; Pang, G.; Guiney, M.; Powell, G.; Choong, P.; di Bella, C. Oncologic outcomes in myxofibrosarcomas: The role of a multidisciplinary approach and surgical resection margins. ANZ J. Surg. 2023, 93, 577–584. [Google Scholar] [CrossRef] [PubMed]
- Dadrass, F.; Gusho, C.; Yang, F.; Culvern, C.; Bloom, J.; Fillingham, Y.; Colman, M.; Gitelis, S.; Blank, A. A clinicopathologic examination of myxofibrosarcoma. Do surgical margins significantly affect local recurrence rates in this infiltrative sarcoma subtype? J. Surg. Oncol. 2021, 123, 489–496. [Google Scholar] [CrossRef]
- Mutter, R.W.; Singer, S.; Zhang, Z.; Brennan, M.F.; Alektiar, K.M. The enigma of myxofibrosarcoma of the extremity. Cancer 2012, 118, 518–527. [Google Scholar] [CrossRef] [PubMed]
- Boughzala-Bennadji, R.; Stoeckle, E.; le Péchoux, C.; Méeus, P.; Honoré, C.; Attal, J.; Duffaud, F.; de Pinieux, G.; Bompas, E.; Thariat, J.; et al. Localized myxofibrosarcomas: Roles of surgical margins and adjuvant radiation therapy. Int. J. Radiat. Oncol. Biol. Phys. 2018, 102, 399–406. [Google Scholar] [CrossRef] [PubMed]
- Saxby, N.E.; An, Q.; Miller, B.J. Local recurrence of soft tissue sarcoma revisited: Is there a role for “selective” radiation? Iowa Orthop. J. 2022, 42, 239–248. [Google Scholar] [PubMed]
- Teurneau, H.; Engellau, J.; Ghanei, I.; Vult von Steyern, F.; Styring, E. High recurrence rate of myxofibrosarcoma: The effect of radiotherapy is not clear. Sarcoma 2019, 2019, 8517371. [Google Scholar] [CrossRef]
- Kamio, S.; Matsumoto, M.; Nakamura, M.; Kawai, A.; Kikuta, K. Epidemiologic survey of myxofibrosarcoma using data from the bone and soft tissue registry in Japan. Ann. Surg. Oncol. 2023, 30, 3074–3081. [Google Scholar] [CrossRef]
- Bramwell, V.H.; Anderson, D.; Charette, M.L. Doxorubicin-based chemotherapy for the palliative treatment of adult patients with locally advanced or metastatic soft-tissue sarcoma: A meta-analysis and clinical practice guideline. Sarcoma 2000, 4, 103–112. [Google Scholar] [CrossRef]
- Judson, I.; Verweij, J.; Gelderblom, H.; Hartmann, J.T.; Schöffski, P.; Blay, J.Y.; Kerst, J.M.; Sufliarsky, J.; Whelan, J.; Hohenberger, P.; et al. Doxorubicin alone versus intensified doxorubicin plus ifosfamide for first-line treatment of advanced or metastatic soft-tissue sarcoma: A randomised controlled phase 3 trial. Lancet Oncol. 2014, 15, 415–423. [Google Scholar] [CrossRef]
- Vanni, S.; de Vita, A.; Gurrieri, L.; Fausti, V.; Miserocchi, G.; Spadazzi, C.; Liverani, C.; Cocchi, C.; Calabrese, C.; Bongiovanni, A.; et al. Myxofibrosarcoma landscape: Diagnostic pitfalls, clinical management and future perspectives. Ther. Adv. Med. Oncol. 2022, 14, 17588359221093973. [Google Scholar] [CrossRef] [PubMed]
- Gronchi, A.; Palmerini, E.; Quagliuolo, V.; Martin Broto, J.; Lopez Pousa, A.; Grignani, G.; Brunello, A.; Blay, J.Y.; Tendero, O.; Diaz Beveridge, R.; et al. Neoadjuvant chemotherapy in high-risk soft tissue sarcomas: Final results of a randomized trial from Italian (ISG), Spanish (GEIS), French (FSG), and Polish (PSG) sarcoma groups. J. Clin. Oncol. 2020, 38, 2178–2186. [Google Scholar] [CrossRef] [PubMed]
- Colia, V.; Fiore, M.; Provenzano, S.; Fumagalli, E.; Bertulli, R.; Morosi, C.; Dei Tos, A.P.; Barisella, M.; Gronchi, A.; Casali, P.G.; et al. Activity of anthracycline- and ifosfamide-based chemotherapy in a series of patients affected by advanced myxofibrosarcoma. Clin. Sarcoma Res. 2017, 7, 16. [Google Scholar] [CrossRef]
- Vanni, S.; Fausti, V.; Fonzi, E.; Liverani, C.; Miserocchi, G.; Spadazzi, C.; Cocchi, C.; Calabrese, C.; Gurrieri, L.; Riva, N.; et al. Unveiling the genomic basis of chemosensitivity in sarcomas of the extremities: An integrated approach for an unmet clinical need. Int. J. Mol. Sci 2023, 24, 6926. [Google Scholar] [CrossRef]
- Fausti, V.; de Vita, A.; Vanni, S.; Ghini, V.; Gurrieri, L.; Riva, N.; Casadei, R.; Maraldi, M.; Ercolani, G.; Cavaliere, D.; et al. Systemic inflammatory indices in second-line soft tissue sarcoma patients: Focus on lymphocyte/monocyte ratio and trabectedin. Cancers 2023, 15, 1080. [Google Scholar] [CrossRef]
- De Larco, J.E.; Wuertz, B.R.; Furcht, L.T. The potential role of neutrophils in promoting the metastatic phenotype of tumors releasing interleukin-8. Clin. Cancer Res. 2004, 10, 4895–4900. [Google Scholar] [CrossRef] [PubMed]
- Kitamura, T.; Qian, B.Z.; Pollard, J.W. Immune cell promotion of metastasis. Nat. Rev. Immunol. 2015, 15, 73–86. [Google Scholar] [CrossRef] [PubMed]
- Maki, R.G.; Wathen, J.K.; Patel, S.R.; Priebat, D.A.; Okuno, S.H.; Samuels, B.; Fanucchi, M.; Harmon, D.C.; Schuetze, S.M.; Reinke, D.; et al. Randomized phase II study of gemcitabine and docetaxel compared with gemcitabine alone in patients with metastatic soft-tissue sarcomas. J. Clin. Oncol. 2007, 25, 2755–2763. [Google Scholar] [CrossRef]
- Elkrief, A.; Kazandjian, S.; Alcindor, T. Gemcitabine-containing chemotherapy for the treatment of metastatic myxofibrosarcoma refractory to doxorubicin: A case series. Curr. Oncol. 2021, 28, 813–817. [Google Scholar] [CrossRef]
- Nakamura, T.; Sudo, A. The role of trabectedin in soft tissue sarcoma. Front. Pharmacol. 2022, 13, 777872. [Google Scholar] [CrossRef]
- Kawai, A.; Araki, N.; Sugiura, H.; Ueda, T.; Yonemoto, T.; Takahashi, M.; Morioka, H.; Hiraga, H.; Hiruma, T.; Kunisada, T.; et al. Trabectedin monotherapy after standard chemotherapy versus best supportive care in patients with advanced, translocation-related sarcoma: A randomised, open-label, phase 2 study. Lancet Oncol. 2015, 16, 406–416. [Google Scholar] [CrossRef] [PubMed]
- De Vita, A.; Recine, F.; Mercatali, L.; Miserocchi, G.; Liverani, C.; Spadazzi, C.; Casadei, R.; Bongiovanni, A.; Pieri, F.; Riva, N.; et al. Myxofibrosarcoma primary cultures: Molecular and pharmacological profile. Ther. Adv. Med. Oncol. 2017, 9, 755–767. [Google Scholar] [CrossRef] [PubMed]
- Le Cesne, A.; Ray-Coquard, I.; Duffaud, F.; Chevreau, C.; Penel, N.; Bui Nguyen, B.; Piperno-Neumann, S.; Delcambre, C.; Rios, M.; Chaigneau, L.; et al. Trabectedin in patients with advanced soft tissue sarcoma: A retrospective national analysis of the French sarcoma group. Eur. J. Cancer 2015, 51, 742–750. [Google Scholar] [CrossRef] [PubMed]
- Kobayashi, H.; Iwata, S.; Wakamatsu, T.; Hayakawa, K.; Yonemoto, T.; Wasa, J.; Oka, H.; Ueda, T.; Tanaka, S. Efficacy and safety of trabectedin for patients with unresectable and relapsed soft-tissue sarcoma in Japan: A Japanese musculoskeletal oncology group study. Cancer 2020, 126, 1253–1263. [Google Scholar] [CrossRef] [PubMed]
- Palmerini, E.; Sanfilippo, R.; Grignani, G.; Buonadonna, A.; Romanini, A.; Badalamenti, G.; Ferraresi, V.; Vincenzi, B.; Comandone, A.; Pizzolorusso, A.; et al. Trabectedin for patients with advanced soft tissue sarcoma: A non-interventional, retrospective, multicenter study of the Italian sarcoma group. Cancers 2021, 13, 1053. [Google Scholar] [CrossRef]
- Kawai, A.; Narahara, H.; Takahashi, S.; Nakamura, T.; Kobayashi, H.; Megumi, Y.; Matsuoka, T.; Kobayashi, E. Safety and effectiveness of eribulin in Japanese patients with soft tissue sarcoma including rare subtypes: A post-marketing observational study. BMC Cancer 2022, 22, 528. [Google Scholar] [CrossRef]
- Nakamura, T.; Tsukushi, S.; Asanuma, K.; Katagiri, H.; Ikuta, K.; Nagano, A.; Kozawa, E.; Yamada, S.; Shido, Y.; Yamada, K.; et al. The clinical outcome of eribulin treatment in Japanese patients with advanced soft tissue sarcoma: A Tokai musculoskeletal oncology consortium study. Clin. Exp. Metastasis 2019, 36, 343–350. [Google Scholar] [CrossRef]
- Sleijfer, S.; Ray-Coquard, I.; Papai, Z.; le Cesne, A.; Scurr, M.; Schöffski, P.; Collin, F.; Pandite, L.; Marreaud, S.; de Brauwer, A.; et al. Pazopanib, a multikinase angiogenesis inhibitor, in patients with relapsed or refractory advanced soft tissue sarcoma: A phase II study from the European organisation for research and treatment of cancer-soft tissue and bone sarcoma group (EORTC study 62043). J. Clin. Oncol. 2009, 27, 3126–3132. [Google Scholar]
- Van der Graaf, W.T.; Blay, J.Y.; Chawla, S.P.; Kim, D.W.; Bui-Nguyen, B.; Casali, P.G.; Schoffski, P.; Aglietta, M.; Staddon, A.P.; Beppu, Y.; et al. Pazopanib for metastatic soft-tissue sarcoma (PALETTE): A randomised, double-blind, placebo-controlled phase 3 trial. Lancet 2012, 379, 1879–1886. [Google Scholar] [CrossRef]
- Samuels, B.L.; Chawla, S.P.; Somaiah, N.; Staddon, A.P.; Skubitz, K.M.; Milhem, M.M.; Kaiser, P.E.; Portnoy, D.C.; Priebat, D.A.; Walker, M.S.; et al. Results of a prospective phase 2 study of pazopanib in patients with advanced intermediate-grade or high-grade liposarcoma. Cancer 2017, 123, 4640–4647. [Google Scholar] [CrossRef]
- Valverde, C.M.; Martin-Broto, J.; Lopez-Martin, J.A.; Romagosa, C.; Sancho-Marquez, M.P.; Carrasco, J.A.; Poveda, A.; Bauer, S.; Martinez-Trufero, J.; Cruz, J.; et al. Phase II clinical trial evaluating the activity and tolerability of pazopanib in patients (pts) with advanced and/or metastatic liposarcoma (LPS): A joint Spanish sarcoma group (GEIS) and German interdisciplinary sarcoma group (GISG) Study—NCT01692496. J. Clin. Oncol. 2016, 34 (Suppl. S15), 11039. [Google Scholar] [CrossRef]
- Nishio, J.; Nakayama, S.; Nabeshima, K.; Yamamoto, T. Biology and management of dedifferentiated liposarcoma: State of the art and perspectives. J. Clin. Med. 2021, 10, 3230. [Google Scholar] [CrossRef]
- Nakamura, T.; Matsumine, A.; Kawai, A.; Araki, N.; Goto, T.; Yonemoto, T.; Sugiura, H.; Nishida, Y.; Hiraga, H.; Honoki, K.; et al. The clinical outcome of pazopanib treatment in Japanese patients with relapsed soft tissue sarcoma: A Japanese musculoskeletal oncology group (JMOG) study. Cancer 2016, 122, 1408–1416. [Google Scholar] [CrossRef] [PubMed]
- Kataria, B.; Sharma, A.; Biswas, B.; Bakhshi, S.; Pushpam, D. Pazopanib in rare histologies of metastatic soft tissue sarcoma. Ecancermedicalscience 2021, 15, 1281. [Google Scholar] [CrossRef]
- Van Meekeren, M.; Bovee, J.V.M.G.; van Coevorden, F.; van Houdt, W.; Schrage, Y.; Koenen, A.M.; Miah, A.B.; Zaidi, S.; Hayes, A.J.; Thway, K.; et al. A phase II study on the neo-adjuvant combination of pazopanib and radiotherapy in patients with high-risk, localized soft tissue sarcoma. Acta Oncol. 2021, 60, 1557–1564. [Google Scholar] [CrossRef] [PubMed]
- Mahmood, S.T.; Agresta, S.; Vigil, C.E.; Zhao, X.; Han, G.; D’Amato, G.; Calitri, C.E.; Dean, M.; Garrett, C.; Schell, M.J.; et al. Phase II study of sunitinib malate, a multitargeted tyrosine kinase inhibitor in patients with relapsed or refractory soft tissue sarcomas. Focus on three prevalent histologies: Leiomyosarcoma, liposarcoma and malignant fibrous histiocytoma. Int. J. Cancer 2011, 129, 1963–1969. [Google Scholar] [CrossRef] [PubMed]
- Maki, R.G.; D’Adamo, D.R.; Keohan, M.L.; Saulle, M.; Schuetze, S.M.; Undevia, S.D.; Livingston, M.B.; Cooney, M.M.; Hensley, M.L.; Mita, M.M.; et al. Phase II study of sorafenib in patients with metastatic or recurrent sarcomas. J. Clin. Oncol. 2009, 27, 3133–3140. [Google Scholar] [CrossRef]
- Mir, O.; Brodowicz, T.; Italiano, A.; Wallet, J.; Blay, J.Y.; Bertucci, F.; Chevreau, C.; Piperno-Neumann, S.; Bompas, E.; Salas, S.; et al. Safety and efficacy of regorafenib in patients with advanced soft tissue sarcoma (REGOSARC): A randomised, double-blind, placebo-controlled, phase 2 trial. Lancet Oncol. 2016, 17, 1732–1742. [Google Scholar] [CrossRef] [PubMed]
- Judson, I.; Scurr, M.; Gardner, K.; Barquin, E.; Marotti, M.; Collins, B.; Young, H.; Jürgensmeier, J.M.; Leahy, M. Phase II study of cediranib in patients with advanced gastrointestinal stromal tumors or soft-tissue sarcoma. Clin. Cancer Res. 2014, 20, 3603–3612. [Google Scholar] [CrossRef]
- Liao, Z.; Li, F.; Zhang, C.; Zhu, L.; Shi, Y.; Zhao, G.; Bai, X.; Hassan, S.; Liu, X.; Li, T.; et al. Phase II trial of VEGFR2 inhibitor apatinib for metastatic sarcoma: Focus on efficacy and safety. Exp. Mol. Med. 2019, 51, 24. [Google Scholar] [CrossRef]
- Chi, Y.; Fang, Z.; Hong, X.; Yao, Y.; Sun, P.; Wang, G.; Du, F.; Sun, Y.; Wu, Q.; Qu, G.; et al. Safety and efficacy of anlotinib, a multikinase angiogenesis inhibitor, in patients with refractory metastatic soft-tissue sarcoma. Clin. Cancer Res. 2018, 24, 5233–5238. [Google Scholar] [CrossRef]
- Wisdom, A.J.; Mowery, Y.M.; Riedel, R.F.; Kirsch, D.G. Rationale and emerging strategies for immune checkpoint blockade in soft tissue sarcoma. Cancer 2018, 124, 3819–3829. [Google Scholar] [CrossRef]
- Vargas, A.C.; Maclean, F.M.; Sioson, L.; Tran, D.; Bonar, F.; Mahar, A.; Cheah, A.L.; Russell, P.; Grimison, P.; Richardson, L.; et al. Prevalence of PD-L1 expression in matched recurrent and/or metastatic sarcoma samples and in a range of selected sarcomas subtypes. PLoS ONE 2020, 15, e0222551. [Google Scholar] [CrossRef]
- Wunder, J.S.; Lee, M.J.; Nam, J.; Lau, B.Y.; Dickson, B.C.; Pinnaduwage, D.; Bull, S.B.; Ferguson, P.C.; Seto, A.; Gokgoz, N.; et al. Osteosarcoma and soft-tissue sarcomas with an immune infiltrate express PD-L1: Relation to clinical outcome and Th1 pathway activation. Oncoimmunology 2020, 9, e1737385. [Google Scholar] [CrossRef]
- Smolle, M.A.; Herbsthofer, L.; Granegger, B.; Goda, M.; Brcic, I.; Bergovec, M.; Scheipl, S.; Prietl, B.; Pichler, M.; Gerger, A.; et al. T-regulatory cells predict clinical outcome in soft tissue sarcoma patients: A clinic-pathological study. Br. J. Cancer 2021, 125, 717–724. [Google Scholar] [CrossRef]
- Hashimoto, K.; Nishimura, S.; Ito, T.; Akagi, M. Characterization of PD-1/PD-L1 immune checkpoint expression in soft tissue sarcomas. Eur. J. Histochem. 2021, 65, 3203. [Google Scholar] [CrossRef]
- Kösemehmetoğlu, K.; Özoğul, E.; Babaoğlu, B.; Tezel, G.G.; Gedikoğlu, G. Programmed death ligand 1 (PD-L1) expression in malignant mesenchymal tumors. Turk. Patoloji. Derg. 2017, 33, 192–197. [Google Scholar] [CrossRef] [PubMed]
- Budczies, J.; Mechtersheimer, G.; Denkert, C.; Klauschen, F.; Mughal, S.S.; Chudasama, P.; Bockmayr, M.; Jöhrens, K.; Endris, V.; Lier, A.; et al. PD-L1 (CD274) copy number gain, expression, and immune cell infiltration as candidate predictors for response to immune checkpoint inhibitors in soft-tissue sarcoma. Oncoimmunology 2017, 6, e1279777. [Google Scholar] [CrossRef] [PubMed]
- Tawbi, H.A.; Burgess, M.; Bolejack, V.; van Tine, B.A.; Schuetze, S.M.; Hu, J.; D’Angelo, S.; Attia, S.; Riedel, R.F.; Priebat, D.A.; et al. Pembrolizumab in advanced soft-tissue sarcoma and bone sarcoma (SARC028): A multicentre, two-cohort, single-arm, open-label, phase 2 trial. Lancet Oncol. 2017, 18, 1493–1501. [Google Scholar] [CrossRef] [PubMed]
- Monga, V.; Skubitz, K.M.; Maliske, S.; Mott, S.L.; Dietz, H.; Hirbe, A.C.; van Tine, B.A.; Oppelt, P.; Okuno, S.; Robinson, S. A retrospective analysis of the efficacy of immunotherapy in metastatic soft-tissue sarcomas. Cancers 2020, 12, 1873. [Google Scholar] [CrossRef] [PubMed]
- Tamura, K.; Hasegawa, K.; Katsumata, N.; Matsumoto, K.; Mukai, H.; Takahashi, S.; Nomura, H.; Minami, H. Efficacy and safety of nivolumab in Japanese patients with uterine cervical cancer, uterine corpus cancer, or soft tissue sarcoma: Multicenter, open-label, phase 2 trial. Cancer Sci. 2019, 110, 2894–2904. [Google Scholar] [CrossRef]
- D’Angelo, S.P.; Mahoney, M.R.; van Tine, B.A.; Atkins, J.; Milhem, M.M.; Jahagirdar, B.N.; Antonescu, C.R.; Horvath, E.H.; Tap, W.D.; Schwartz, G.K.; et al. Nivolumab with or without ipilimumab treatment for metastatic sarcoma (Alliance A091401): Two open-label, non-comparative, randomised, phase 2 trials. Lancet Oncol. 2018, 19, 416–426. [Google Scholar] [CrossRef] [PubMed]
- You, Y.; Guo, X.; Zhuang, R.; Zhang, C.; Wang, Z.; Shen, F.; Wang, Y.; Liu, W.; Zhang, Y.; Lu, W.; et al. Activity of PD-1 inhibitor combined with anti-angiogenic therapy in advanced sarcoma: A single-center retrospective analysis. Front. Mol. Biosci. 2021, 8, 747650. [Google Scholar] [CrossRef] [PubMed]
- Klemen, N.D.; Hwang, S.; Bradic, M.; Rosenbaum, E.; Dickson, M.A.; Gounder, M.M.; Kelly, C.M.; Keohan, M.L.; Movva, S.; Thornton, K.A.; et al. Long-term follow-up and patterns of response, progression, and hyperprogression in patients after PD-1 blockade in advanced sarcoma. Clin. Cancer Res. 2022, 28, 939–947. [Google Scholar] [CrossRef] [PubMed]
- Song, H.N.; Kang, M.G.; Park, J.R.; Hwang, J.Y.; Kang, J.H.; Lee, W.S.; Lee, G.W. Pembrolizumab for refractory metastatic myxofibrosarcoma: A case report. Cancer Res. Treat. 2018, 50, 1458–1461. [Google Scholar] [CrossRef] [PubMed]
- Fukui, T.; Wakatsuki, Y.; Matsukura, T. Immunotherapy for advanced lung cancer combined with surgery for mediastinal myxofibrosarcoma: A case report. Surg. Case Rep. 2019, 5, 37. [Google Scholar] [CrossRef] [PubMed]
- Song, L.; Pan, D.; Zhou, R. Combination nivolumab and bevacizumab for metastatic myxofibrosarcoma: A case report and review of the literature. Mol. Clin. Oncol. 2020, 13, 54. [Google Scholar] [CrossRef] [PubMed]
- Luo, Y.; Min, L.; Zhou, Y.; Tang, F.; Lu, M.; Xie, H.; Wang, Y.; Duan, H.; Zhang, W.; Tu, C. Remarkable response to anti-PD1 immunotherapy in refractory metastatic high-grade myxofibrosarcoma: A case report. Medicine 2021, 100, e25262. [Google Scholar] [CrossRef]
- Zhou, M.; Bui, N.; Lohman, M.; van de Rjin, M.; Hwang, G.; Ganjoo, K. Long-term remission with ipilimumab/nivolumab in two patients with different soft tissue sarcoma subtypes and no PD-L1 expression. Case Rep. Oncol. 2021, 14, 459–465. [Google Scholar] [CrossRef]
- Lambden, J.P.; Kelsten, M.F.; Schulte, B.C.; Abbinanti, S.; Hayes, J.P.; Villaflor, V.; Agulnik, M. Metastatic myxofibrosarcoma with durable response to temozolomide followed by atezolizumab: A case report. Oncologist 2021, 26, 549–553. [Google Scholar] [CrossRef]
- Bartlett, E.K.; D’Angelo, S.P.; Kelly, C.M.; Siegelbaum, R.H.; Fisher, C.; Antonescu, C.R.; Ariyan, C.E. Case report: Response to regional melphalan via limb infusion and systemic PD1 blockade in recurrent myxofibrosarcoma: A report of 2 cases. Front. Oncol. 2021, 11, 725484. [Google Scholar] [CrossRef]
- Mowery, Y.M.; Ballman, K.V.; Riedel, R.F.; Brigman, B.E.; Attia, S.; Meyer, C.F.; Schuetze, S.; Burgess, M.A.; Chmielowski, B.; Dickson, M.A.; et al. SU2C-SARC032: A phase II randomized controlled trial of neoadjuvant pembrolizumab with radiotherapy and adjuvant pembrolizumab for high-risk soft tissue sarcoma. J. Clin. Oncol. 2018, 36 (Suppl. S15), 11588. [Google Scholar] [CrossRef]
- Zhao, Y.X.; Hu, X.Y.; Zhong, X.; Shen, H.; Yuan, Y. High-intensity focused ultrasound treatment as an alternative regimen for myxofibrosarcoma. Dermatol. Ther. 2021, 34, e14816. [Google Scholar] [CrossRef]
- Tuncali, K.; Morrison, P.R.; Winalski, C.S.; Carrino, J.A.; Shankar, S.; Ready, J.E.; vanSonnenberg, E.; Silverman, S.G. MRI-guided percutaneous cryotherapy for soft-tissue and bone metastases: Initial experience. Am. J. Roentgenol. 2007, 189, 232–239. [Google Scholar] [CrossRef] [PubMed]
- Lippa, N.; Sargos, P.; Italiano, A.; Kind, M.; Dallaudière, B.; Hauger, O.; Cornelis, F. Standardization of selection criteria for percutaneous image-guided cryoablation of recurrent soft-tissue sarcomas. Diagn. Interv. Imaging 2014, 95, 1071–1077. [Google Scholar] [CrossRef] [PubMed]
- Scandiffio, R.; Bozzi, E.; Ezeldin, M.; Capanna, R.; Ceccoli, M.; Colangeli, S.; Donati, D.M.; Colangeli, M. Image-guided cryotherapy for musculoskeletal tumors. Curr. Med. Imaging 2021, 17, 166–178. [Google Scholar] [CrossRef] [PubMed]
Disclaimer/Publisher’s Note: The statements, opinions and data contained in all publications are solely those of the individual author(s) and contributor(s) and not of MDPI and/or the editor(s). MDPI and/or the editor(s) disclaim responsibility for any injury to people or property resulting from any ideas, methods, instructions or products referred to in the content. |
© 2023 by the authors. Licensee MDPI, Basel, Switzerland. This article is an open access article distributed under the terms and conditions of the Creative Commons Attribution (CC BY) license (https://creativecommons.org/licenses/by/4.0/).