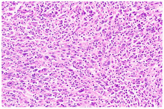
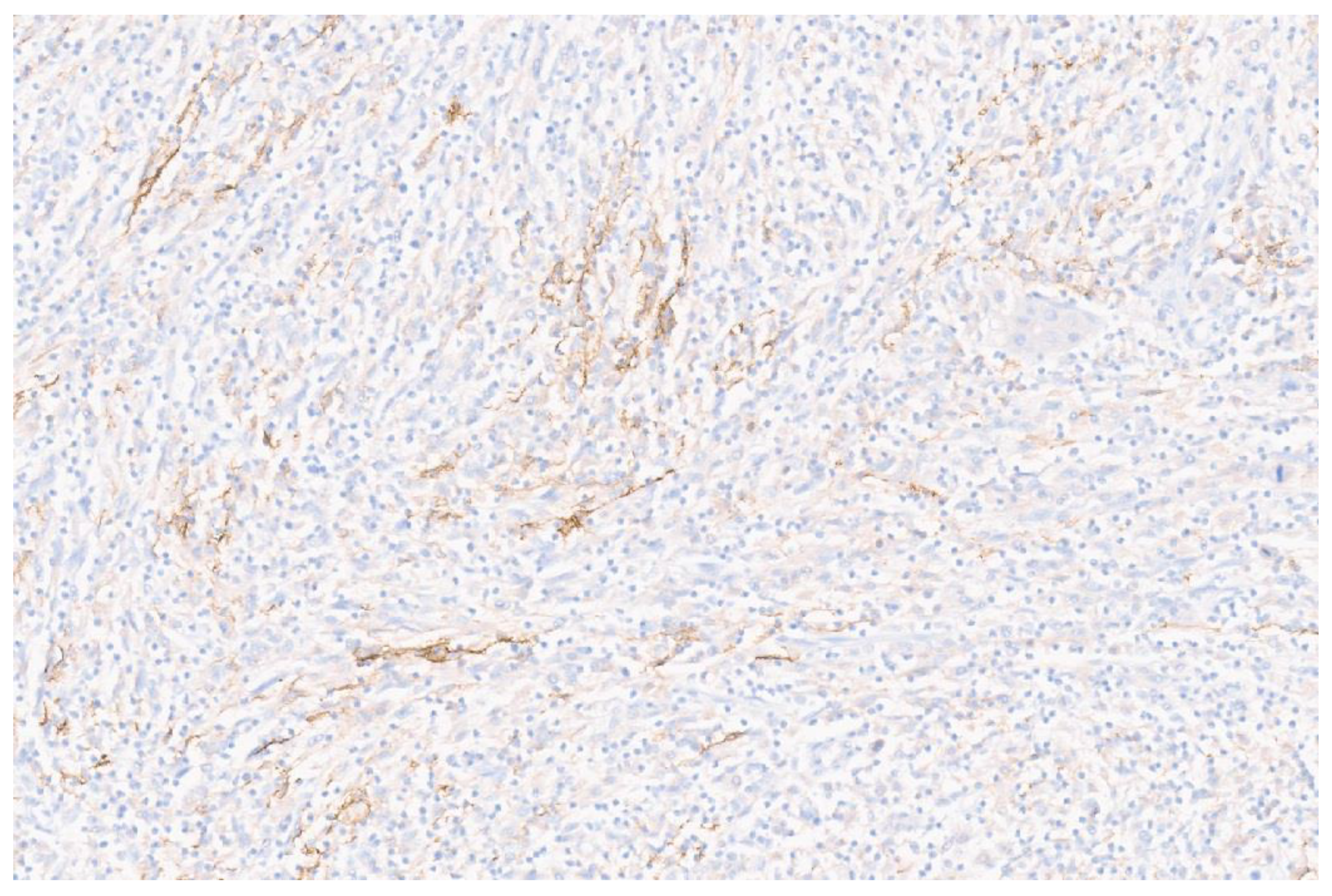
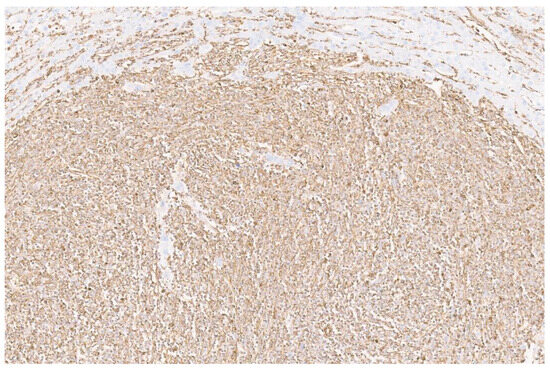
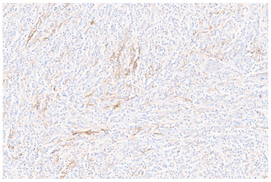
Aggressive Variant of Hepatic Epstein–Barr Virus-Associated Inflammatory Pseudotumor-like Follicular Dendritic Cell Sarcoma with PD-L1 and SSTR2a Expression
Abstract
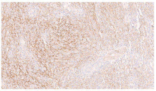
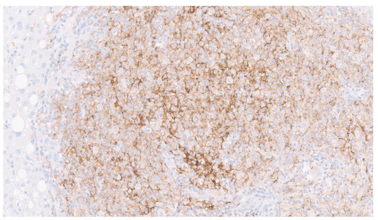
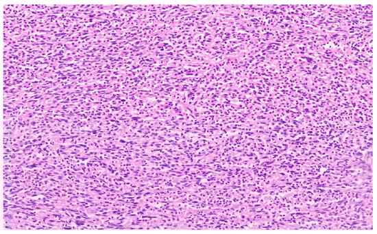
:







Author Contributions
Funding
Conflicts of Interest
References
- Li, Y.; Yang, X.; Tao, L.; Zeng, W.; Zuo, M.; Li, S.; Wu, L.; Lin, Y.; Zhang, Z.; Yun, J.; et al. Challenges in the Diagnosis of Epstein-Barr Virus-positive Inflammatory Follicular Dendritic Cell Sarcoma: Extremely Wide Morphologic Spectrum and Immunophenotype. Am. J. Surg. Pathol. 2023, 47, 476–489. [Google Scholar] [CrossRef] [PubMed]
- Facchetti, F.; Simbeni, M.; Lorenzi, L. Follicular dendritic cell sarcoma. Pathologica 2021, 113, 316–329. [Google Scholar] [CrossRef] [PubMed]
- Facchetti, F.; Lorenzi, L. Follicular dendritic cells and related sarcoma. Semin. Diagn. Pathol. 2016, 33, 262–276. [Google Scholar] [CrossRef] [PubMed]
- Papke, D.J., Jr. Mesenchymal Neoplasms of the Liver. Surg. Pathol. Clin. 2023, 16, 609–634. [Google Scholar] [CrossRef] [PubMed]
- Pagliuca, F.; Ronchi, A.; Auricchio, A.; Lieto, E.; Franco, R. Inflammatory pseudotumor-like follicular/fibroblastic dendritic cell sarcoma: Focus onimmunohistochemical profile and association with Epstein-Barr virus. Infect. Agent Cancer 2022, 17, 63. [Google Scholar] [CrossRef]
- Van Baeten, C.; Van Dorpe, J. Splenic Epstein-Barr Virus-Associated Inflammatory Pseudotumor. Arch. Pathol. Lab. Med. 2017, 141, 722–727. [Google Scholar] [CrossRef] [PubMed]
- Han, Y.; Liu, D.; Li, L. PD-1/PD-L1 pathway: Current researches in cancer. Am. J. Cancer Res. 2020, 10, 727–742. [Google Scholar] [PubMed]
- Vij, M.; Veerankutty, F.H.; Raju, L.P.; Gowrishankar, G.; Rajalingam, R.; Jothimani, D.; Kaliamoorthy, I.; Rammohan, A.; Rela, M. Frequent expression of PD-L1 in lymphocyte- rich hepatocellular carcinoma: A report of 4 cases. Ann. Diagn. Pathol. 2023, 66, 152172. [Google Scholar] [CrossRef] [PubMed]
- Tao, L.L.; Huang, Y.H.; Chen, Y.L.; Yu, G.Y.; Yin, W.H. SSTR2a Is a Useful Diagnostic Marker for Follicular Dendritic Cells and Their Related Tumors. Am. J. Surg. Pathol. 2019, 43, 374–381. [Google Scholar] [CrossRef] [PubMed]
- Agaimy, A.; Michal, M.; Hadravsky, L.; Michal, M. Follicular dendritic cell sarcoma: Clinicopathologic study of 15 cases with emphasis on novel expression of MDM2,somatostatin receptor 2A, and PD-L1. Ann. Diagn. Pathol. 2016, 23, 21–28. [Google Scholar] [CrossRef] [PubMed]
- Zalatnai, A.; Galambos, E.; Perjési, E. Importance of Immunohistochemical Detection of Somatostatin Receptors. Pathol. Oncol. Res. 2019, 25, 521–525. [Google Scholar] [CrossRef] [PubMed]
- Boulagnon-Rombi, C.; Fleury, C.; Fichel, C.; Lefour, S.; Marchal Bressenot, A.; Gauchotte, G. Immunohistochemical Approach to the Differential Diagnosis of Meningiomas and Their Mimics. J. Neuropathol. Exp. Neurol. 2017, 76, 289–298. [Google Scholar] [CrossRef] [PubMed]
Disclaimer/Publisher’s Note: The statements, opinions and data contained in all publications are solely those of the individual author(s) and contributor(s) and not of MDPI and/or the editor(s). MDPI and/or the editor(s) disclaim responsibility for any injury to people or property resulting from any ideas, methods, instructions or products referred to in the content. |
© 2023 by the authors. Licensee MDPI, Basel, Switzerland. This article is an open access article distributed under the terms and conditions of the Creative Commons Attribution (CC BY) license (https://creativecommons.org/licenses/by/4.0/).
Share and Cite
Pardasani, M.; Rajakannu, M.; Vij, M.; Rajalingam, R.; Rela, M. Aggressive Variant of Hepatic Epstein–Barr Virus-Associated Inflammatory Pseudotumor-like Follicular Dendritic Cell Sarcoma with PD-L1 and SSTR2a Expression. Diagnostics 2023, 13, 2916. https://doi.org/10.3390/diagnostics13182916
Pardasani M, Rajakannu M, Vij M, Rajalingam R, Rela M. Aggressive Variant of Hepatic Epstein–Barr Virus-Associated Inflammatory Pseudotumor-like Follicular Dendritic Cell Sarcoma with PD-L1 and SSTR2a Expression. Diagnostics. 2023; 13(18):2916. https://doi.org/10.3390/diagnostics13182916
Chicago/Turabian StylePardasani, Madhur, Muthukumarassamy Rajakannu, Mukul Vij, Rajesh Rajalingam, and Mohamed Rela. 2023. "Aggressive Variant of Hepatic Epstein–Barr Virus-Associated Inflammatory Pseudotumor-like Follicular Dendritic Cell Sarcoma with PD-L1 and SSTR2a Expression" Diagnostics 13, no. 18: 2916. https://doi.org/10.3390/diagnostics13182916
APA StylePardasani, M., Rajakannu, M., Vij, M., Rajalingam, R., & Rela, M. (2023). Aggressive Variant of Hepatic Epstein–Barr Virus-Associated Inflammatory Pseudotumor-like Follicular Dendritic Cell Sarcoma with PD-L1 and SSTR2a Expression. Diagnostics, 13(18), 2916. https://doi.org/10.3390/diagnostics13182916

