Gastroenteropancreatic Neuroendocrine Tumors—Current Status and Advances in Diagnostic Imaging
Abstract
:1. Introduction
1.1. Tumor Classification
- -
- Well-differentiated neuroendocrine tumors (NETs): These tumors are low- to intermediate-grade and have a relatively indolent behavior. They are further classified based on their histological features as either typical or atypical carcinoids, or they are classified as NETs with features of either pancreatic endocrine neoplasms or gastrointestinal carcinoids.
- -
- Poorly differentiated neuroendocrine carcinomas (NECs): These tumors are high-grade and have an aggressive behavior. They are classified based on their histological features as either small-cell or large-cell NECs.
- -
- Mixed adenoneuroendocrine carcinomas (MANECs): These tumors are rare and contain both neuroendocrine and non-neuroendocrine components.
1.2. Clinical Appearance, Symptoms, and Imaging Diagnostics
1.3. Imaging
2. Gastrointestinal NENs
2.1. Stomach and Duodenum
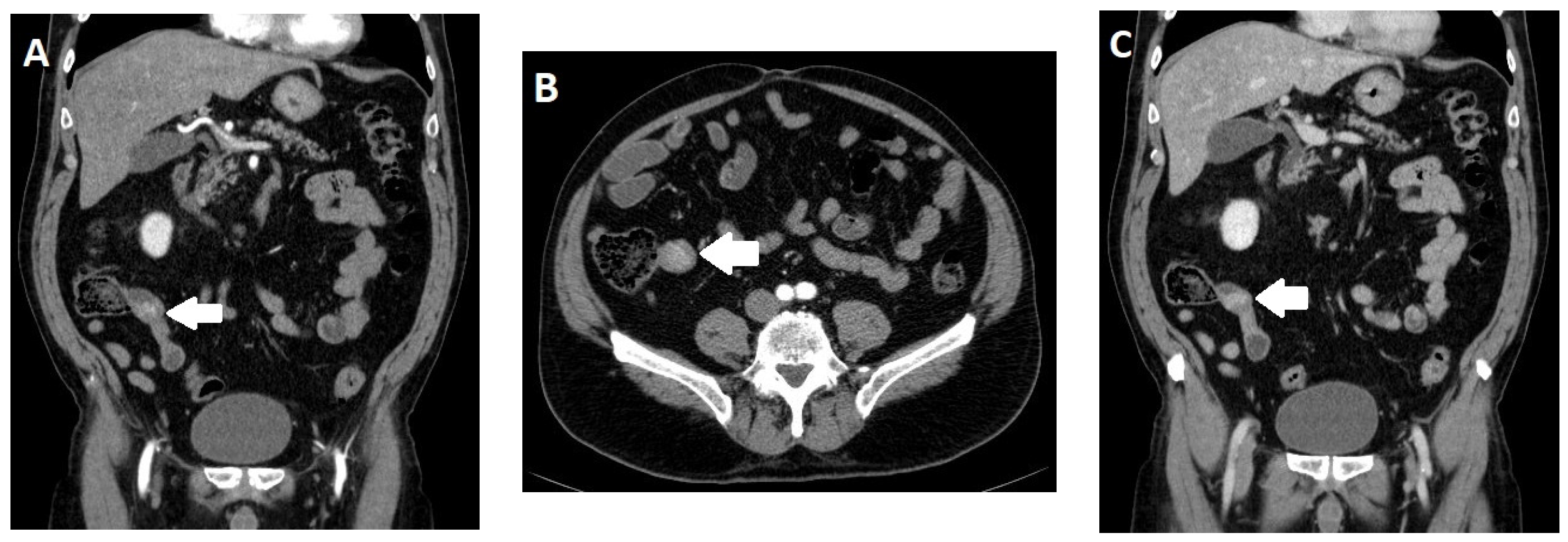
2.2. Small Intestine
2.3. Appendix and Colon/Rectum
2.4. Imaging
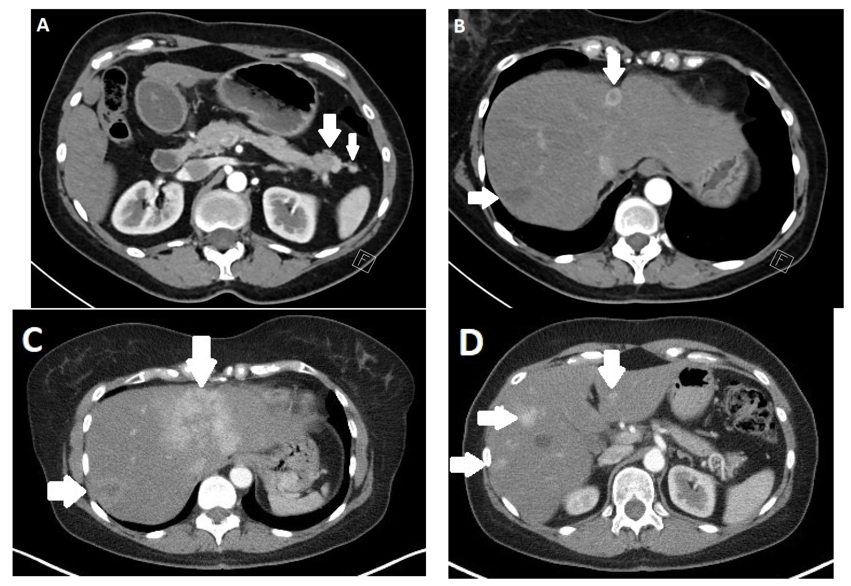
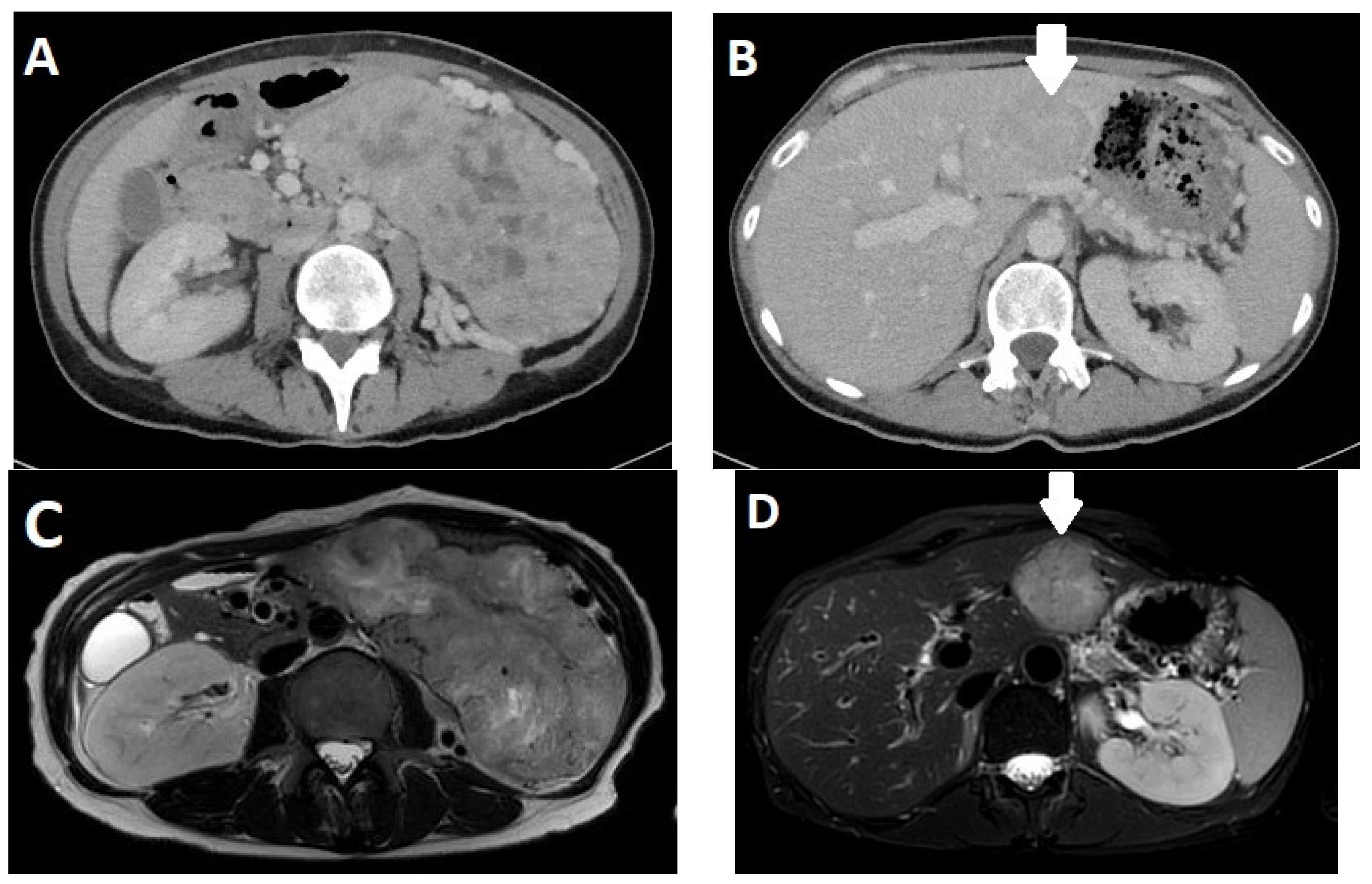
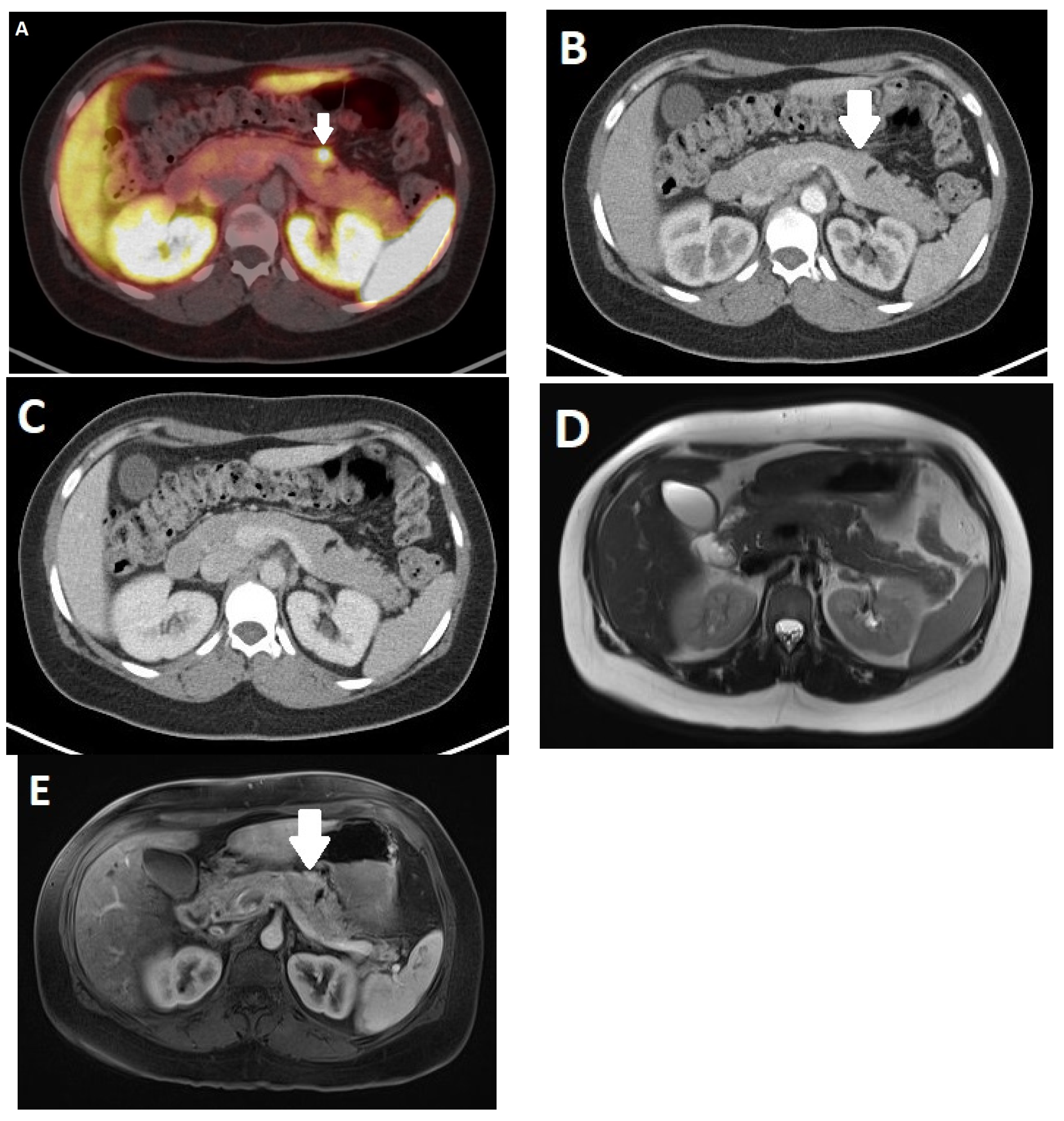
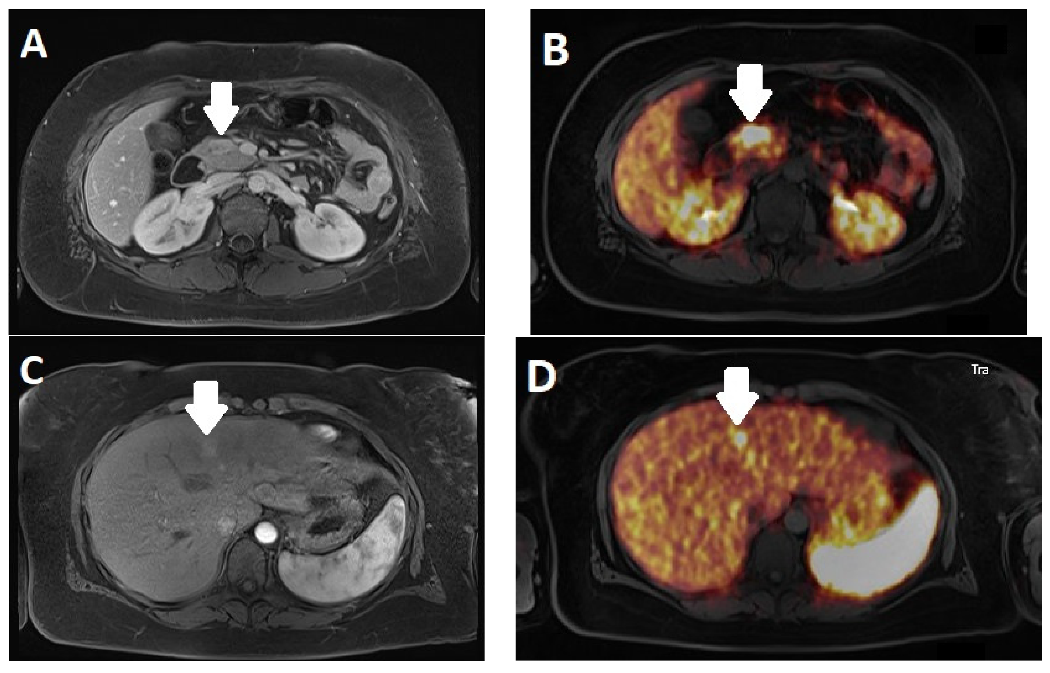
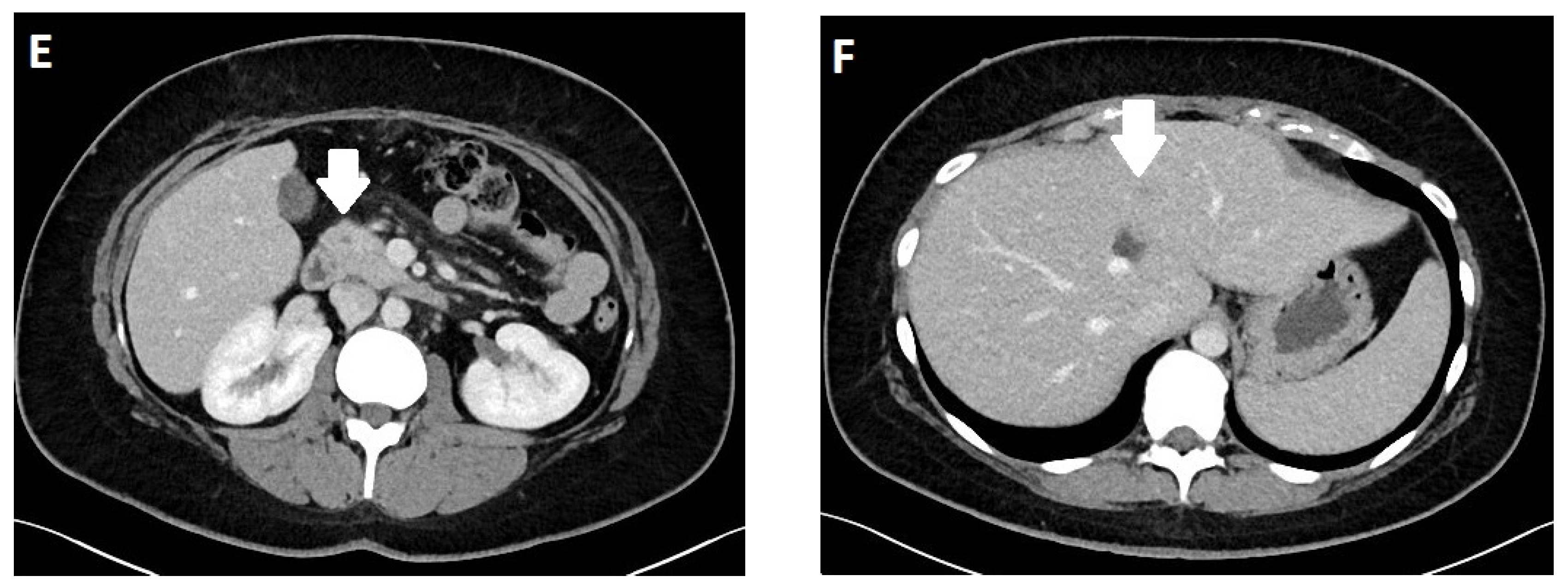
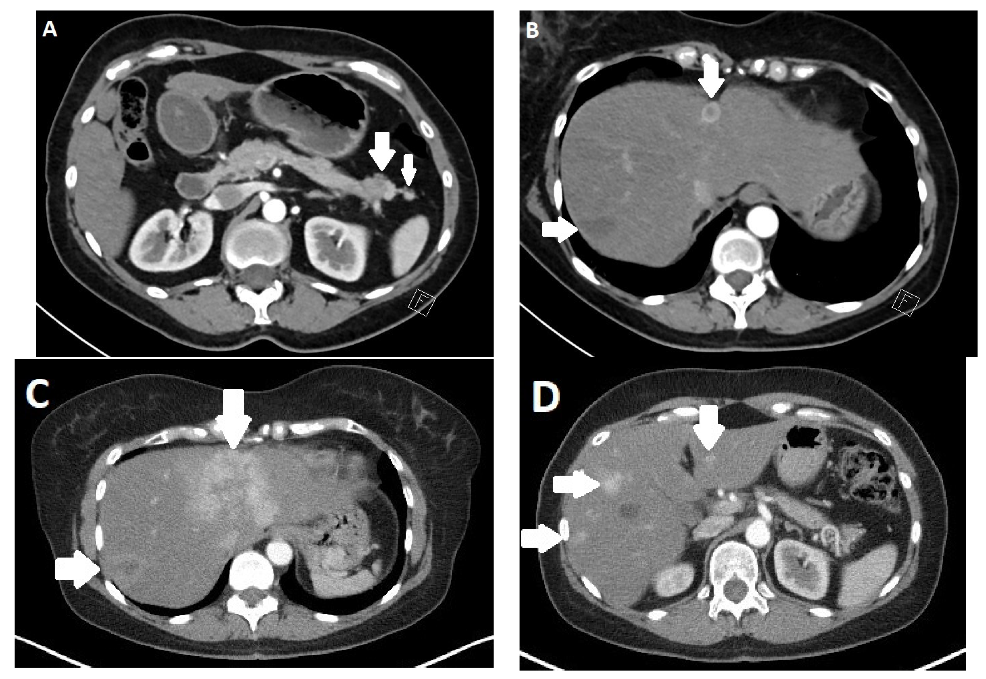
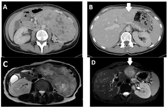
3. Pancreatic NENs
3.1. Insulinoma
3.2. Gastrinoma
3.3. Other Endocrine Neoplasms of the Pancreas
Hormone-Inactive Neuroendocrine Neoplasms of the Pancreas
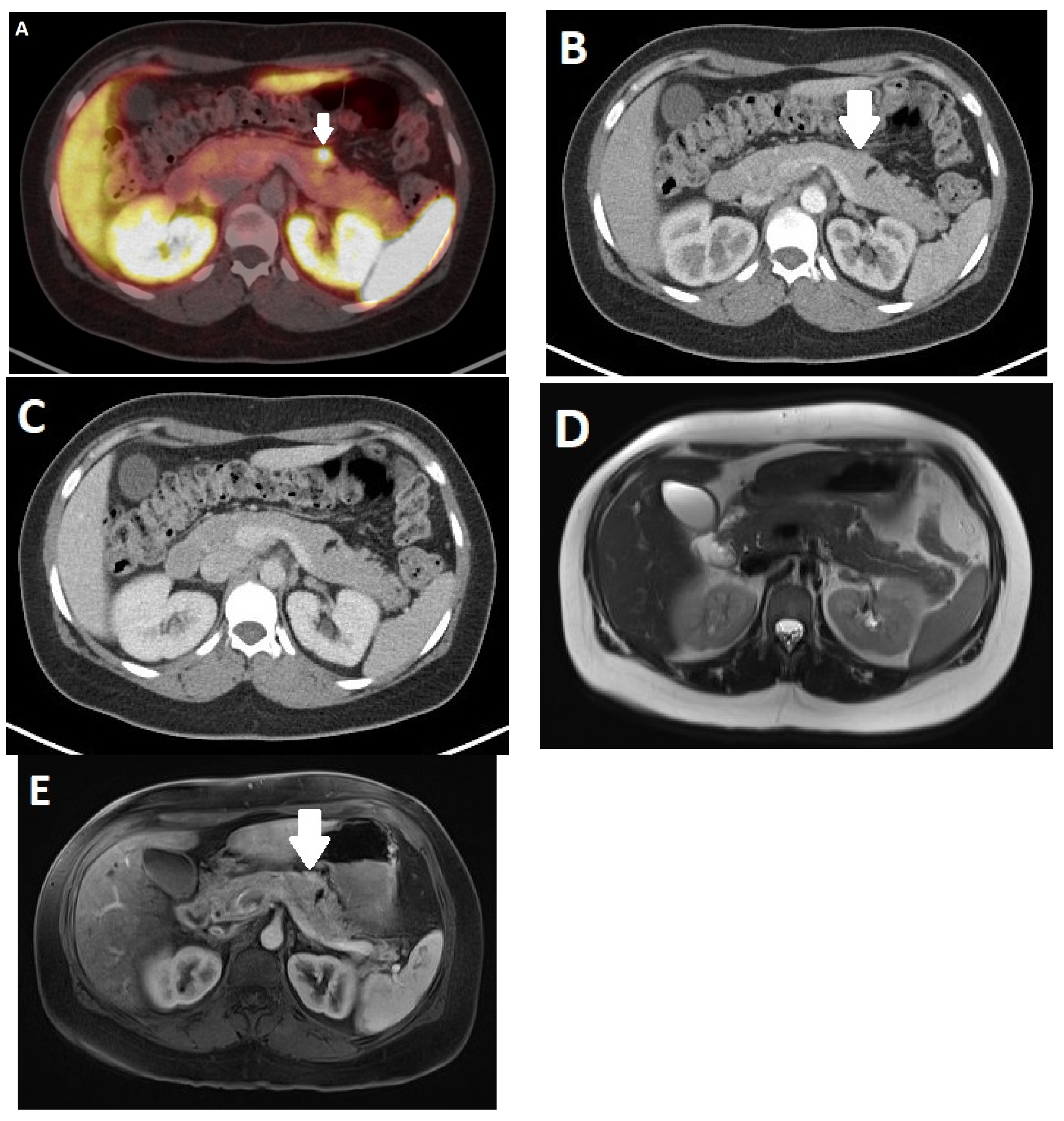
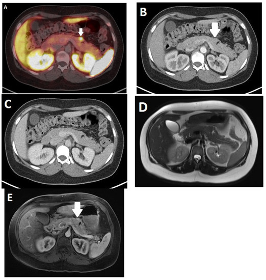
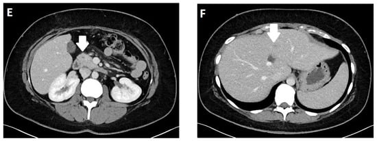
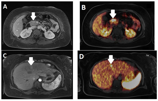
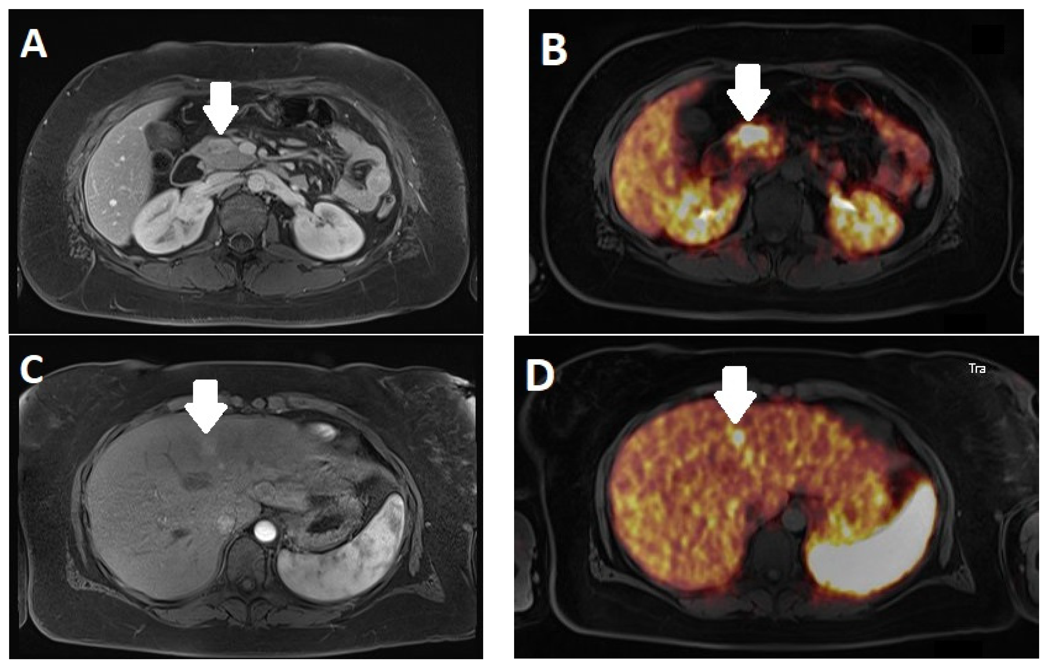
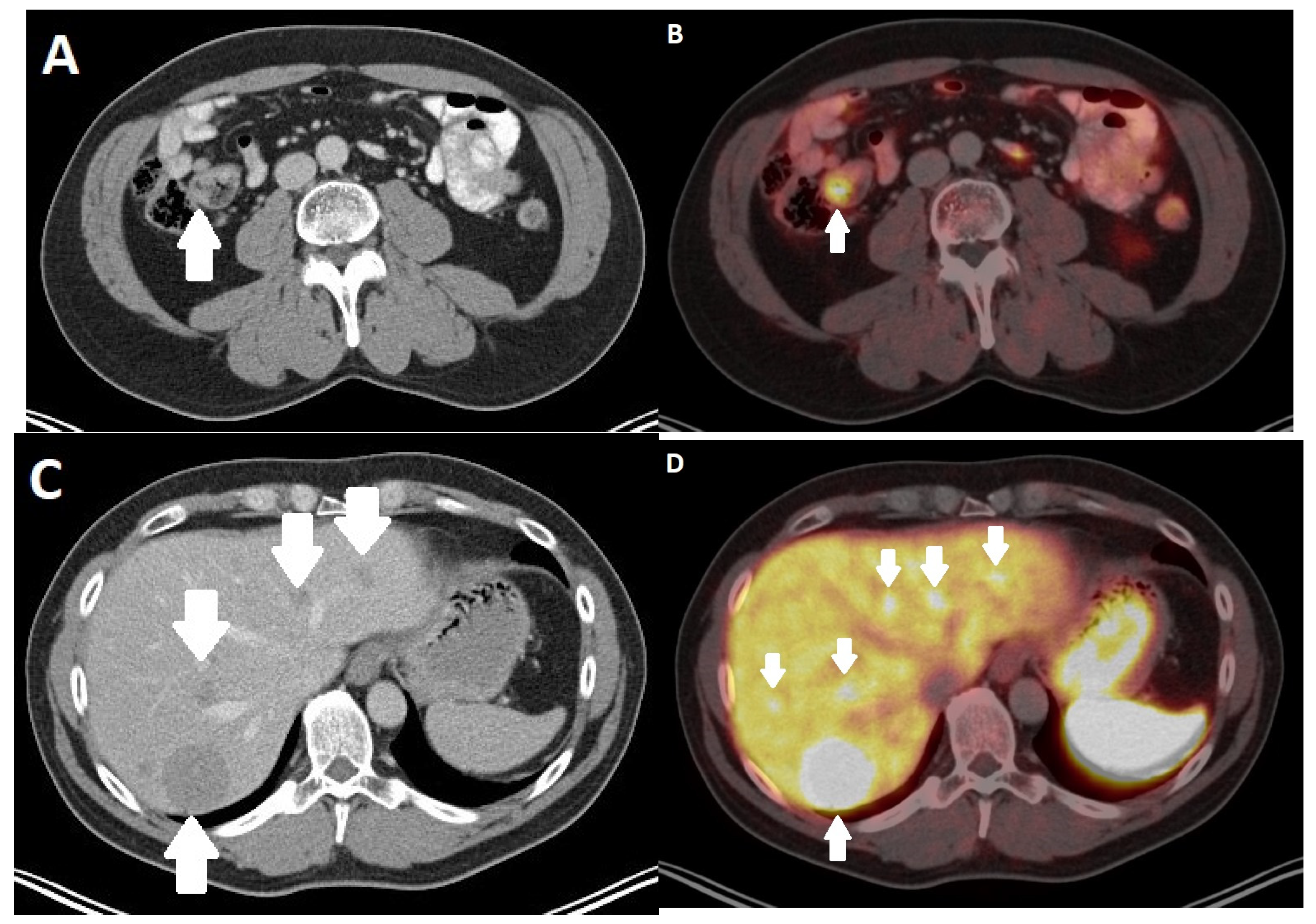
3.4. Imaging
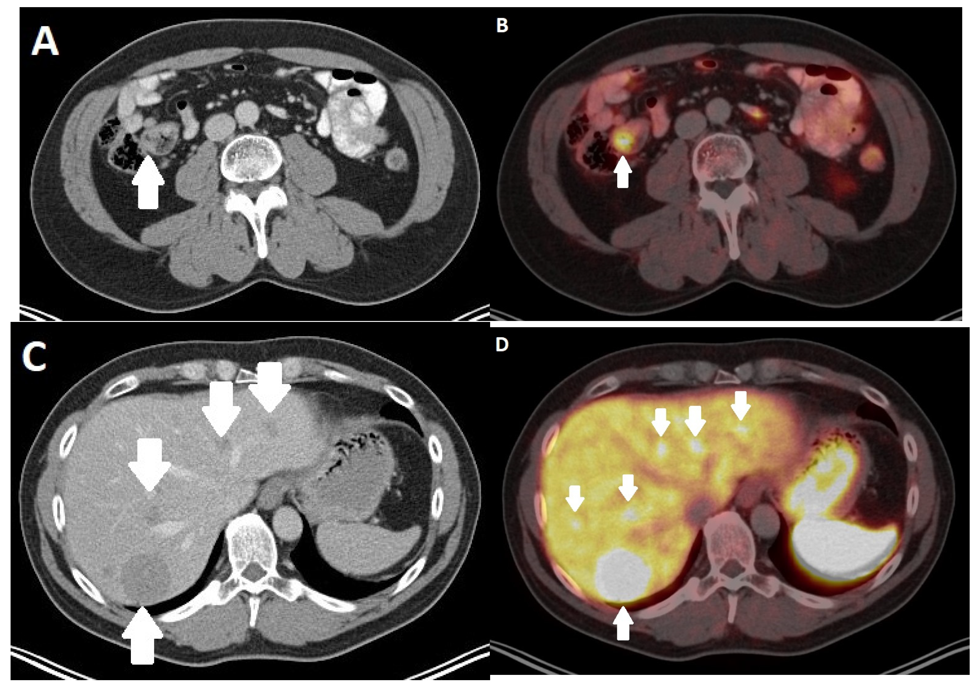
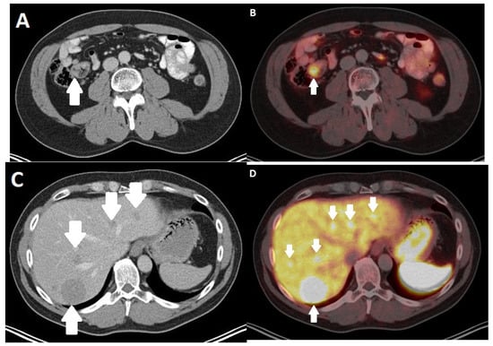
4. Nuclear Medicine Imaging Techniques
PET/MRI
5. Radiomics
6. Conclusions
Author Contributions
Funding
Institutional Review Board Statement
Informed Consent Statement
Data Availability Statement
Conflicts of Interest
References
- Klöppel, G.; Perren, A.; Heitz, P.U. The gastroenteropancreatic neuroendocrine cell system and its tumors: The WHO classification. Ann. N. Y. Acad. Sci. 2004, 1014, 13–27. [Google Scholar] [CrossRef] [PubMed]
- Niederle, M.B.; Hackl, M.; Kaserer, K.; Niederle, B. Gastroenteropancreatic neuroendocrine tumours: The current incidence and staging based on the WHO and European Neuroendocrine Tumour Society classification: An analysis based on prospectively collected parameters. Endocr. Relat. Cancer 2010, 17, 909–918. [Google Scholar] [CrossRef] [PubMed]
- Fang, J.M.; Li, J.; Shi, J. An update on the diagnosis of gastroenteropancreatic neuroendocrine neoplasms. World J. Gastroenterol. 2022, 28, 1009–1023. [Google Scholar] [CrossRef] [PubMed]
- Yang, K.; Li, J.; Cheng, Y.; Bai, C. Evolving landscape of clinical trials in gastroenteropancreatic neuroendocrine neoplasms in the past two decades. Endocr. Connect. 2023, 12, e220441. [Google Scholar] [CrossRef] [PubMed]
- Pellegrino, F.; Granata, V.; Fusco, R.; Grassi, F.; Tafuto, S.; Perrucci, L.; Tralli, G.; Scaglione, M. Diagnostic Management of Gastroenteropancreatic Neuroendocrine Neoplasms: Technique Optimization and Tips and Tricks for Radiologists. Tomography 2023, 9, 217–246. [Google Scholar] [CrossRef]
- Saleh, M.; Bhosale, P.R.; Yano, M.; Itani, M.; Elsayes, A.K.; Halperin, D.; Bergsland, E.K.; Morani, A.C. New frontiers in imaging including radiomics updates for pancreatic neuroendocrine neoplasms. Abdom. Radiol. 2022, 47, 3078–3100. [Google Scholar] [CrossRef]
- Faviana, P.; Boldrini, L.; Gentile, C.; Erba, P.A.; Sammarco, E.; Bartoli, F.; Esposito, E.; Galli, L.; Lippolis, P.V.; Bardi, M. Proposal for a New Diagnostic Histopathological Approach in the Evaluation of Ki-67 in GEP-NETs. Diagnostics 2022, 12, 1960. [Google Scholar] [CrossRef]
- Ito, T.; Masui, T.; Komoto, I.; Doi, R.; Osamura, R.Y.; Sakurai, A.; Ikeda, M.; Takano, K.; Igarashi, H.; Shimatsu, A.; et al. JNETS clinical practice guidelines for gastroenteropancreatic neuroendocrine neoplasms: Diagnosis, treatment, and follow-up: A synopsis. J. Gastroenterol. 2021, 56, 1033–1044. [Google Scholar] [CrossRef]
- Cree, I.A.; Tan, P.H.; Travis, W.D.; Wesseling, P.; Yagi, Y.; White, V.A.; Lokuhetty, D.; Scolyer, R.A. Counting mitoses: SI(ze) matters! Mod. Pathol. 2021, 34, 1651–1657. [Google Scholar] [CrossRef]
- Anlauf, M. Neuroendocrine neoplasms of the gastroenteropancreatic system: Pathology and classification. Horm. Metab. Res. 2011, 43, 825–831. [Google Scholar] [CrossRef]
- Uri, I.; Grozinsky-Glasberg, S. Current treatment strategies for patients with advanced gastroenteropancreatic neuroendocrine tumors (GEP-NETs). Clin. Diabetes Endocrinol. 2018, 4, 16. [Google Scholar] [CrossRef]
- Takayanagi, D.; Cho, H.; Machida, E.; Kawamura, A.; Takashima, A.; Wada, S.; Tsunoda, T.; Kohno, T.; Shiraishi, K. Update on Epidemiology, Diagnosis, and Biomarkers in Gastroenteropancreatic Neuroendocrine Neoplasms. Cancers 2022, 14, 1119. [Google Scholar] [CrossRef] [PubMed]
- Cloyd, J.M.; Poultsides, G.A. Non-functional neuroendocrine tumors of the pancreas: Advances in diagnosis and management. World J. Gastroenterol. 2015, 21, 9512–9525. [Google Scholar] [CrossRef]
- Dai, M.; Mullins, C.S.; Lu, L.; Alsfasser, G.; Linnebacher, M. Recent advances in diagnosis and treatment of gastroenteropancreatic neuroendocrine neoplasms. World J. Gastrointest. Surg. 2022, 14, 383–396. [Google Scholar] [CrossRef] [PubMed]
- Yu, J.; Li, N.; Li, J.; Lu, M.; Leal, J.P.; Tan, H.; Su, H.; Fan, Y.; Zhang, Y.; Zhao, W.; et al. The Correlation Between [(68)Ga]DOTATATE PET/CT and Cell Proliferation in Patients With GEP-NENs. Mol. Imaging Biol. 2019, 21, 984–990. [Google Scholar] [CrossRef] [PubMed]
- Tian, R.; Xie, Q.; Yu, F.; Du, C.; Yao, X.; Zang, S.; Zhang, C.; Zhang, P.; Shao, G.; Yang, Z.; et al. Detection of Bone Metastases by (68)Ga-DOTA-SSAs and (18)F-FDG PET/CT: A Two-Center Head-to-Head Study of Gastroenteropancreatic Neuroendocrine Neoplasms. Contrast Media Mol. Imaging 2022, 2022, 1750132. [Google Scholar] [CrossRef]
- Carlsen, E.A.; Fazio, N.; Granberg, D.; Grozinsky-Glasberg, S.; Ahmadzadehfar, H.; Grana, C.M.; Zandee, W.T.; Cwikla, J.; Walter, M.A.; Oturai, P.S.; et al. Peptide receptor radionuclide therapy in gastroenteropancreatic NEN G3: A multicenter cohort study. Endocr. Relat. Cancer 2019, 26, 227–239. [Google Scholar] [CrossRef]
- Wetz, C.; Genseke, P.; Apostolova, I.; Furth, C.; Ghazzawi, S.; Rogasch, J.M.M.; Schatka, I.; Kreissl, M.C.; Hofheinz, F.; Grosser, O.S.; et al. The association of intra-therapeutic heterogeneity of somatostatin receptor expression with morphological treatment response in patients undergoing PRRT with [177Lu]-DOTATATE. PLoS ONE 2019, 14, e0216781. [Google Scholar] [CrossRef]
- Loosen, S.H.; Kostev, K.; Jann, H.; Tetzlaff, F.; Tacke, F.; Krieg, S.; Knoefel, W.T.; Fluegen, G.; Luedde, T.; Krieg, A.; et al. Distribution of gastrointestinal neuroendocrine tumors in Europe: Results from a retrospective cross-sectional study. J. Cancer Res. Clin. Oncol. 2023, 149, 1411–1416. [Google Scholar] [CrossRef]
- Koseoglu, H.; Duzenli, T.; Sezikli, M. Gastric neuroendocrine neoplasms: A review. World J. Clin. Cases 2021, 9, 7973–7985. [Google Scholar] [CrossRef]
- Rindi, G.; Bordi, C.; Rappel, S.; La Rosa, S.; Stolte, M.; Solcia, E. Gastric carcinoids and neuroendocrine carcinomas: Pathogenesis, pathology, and behavior. World J. Surg. 1996, 20, 168–172. [Google Scholar] [CrossRef] [PubMed]
- Berna, M.J.; Annibale, B.; Marignani, M.; Luong, T.V.; Corleto, V.; Pace, A.; Ito, T.; Liewehr, D.; Venzon, D.J.; Delle Fave, G.; et al. A prospective study of gastric carcinoids and enterochromaffin-like cell changes in multiple endocrine neoplasia type 1 and Zollinger-Ellison syndrome: Identification of risk factors. J. Clin. Endocrinol. Metab. 2008, 93, 1582–1591. [Google Scholar] [CrossRef]
- Exarchou, K.; Kamieniarz, L.; Tsoli, M.; Victor, A.; Oleinikov, K.; Khan, M.S.; Srirajaskanthan, R.; Mandair, D.; Grozinsky-Glasberg, S.; Kaltsas, G.; et al. Is local excision sufficient in selected grade 1 or 2 type III gastric neuroendocrine neoplasms? Endocrine 2021, 74, 421–429. [Google Scholar] [CrossRef] [PubMed]
- Panzuto, F.; Campana, D.; Massironi, S.; Faggiano, A.; Rinzivillo, M.; Lamberti, G.; Sciola, V.; Lahner, E.; Manuzzi, L.; Colao, A.; et al. Tumour type and size are prognostic factors in gastric neuroendocrine neoplasia: A multicentre retrospective study. Dig. Liver Dis. 2019, 51, 1456–1460. [Google Scholar] [CrossRef] [PubMed]
- Felder, S.; Jann, H.; Arsenic, R.; Denecke, T.; Prasad, V.; Knappe-Drzikova, B.; Maasberg, S.; Wiedenmann, B.; Pavel, M.; Pascher, A.; et al. Gastric neuroendocrine neoplasias: Manifestations and comparative outcomes. Endocr. Relat. Cancer 2019, 26, 751–763. [Google Scholar] [CrossRef] [PubMed]
- Folkestad, O.; Wasmuth, H.H.; Mjones, P.; Fougner, R.; Hauso, O.; Fossmark, R. Survival and Disease Recurrence in Patients with Duodenal Neuroendocrine Tumours-A Single Centre Cohort. Cancers 2021, 13, 3985. [Google Scholar] [CrossRef]
- Gay-Chevallier, S.; de Mestier, L.; Perinel, J.; Forestier, J.; Hervieu, V.; Ruszniewski, P.; Millot, I.; Valette, P.J.; Pioche, M.; Lombard-Bohas, C.; et al. Management and Prognosis of Localized Duodenal Neuroendocrine Neoplasms. Neuroendocrinology 2021, 111, 718–727. [Google Scholar] [CrossRef]
- Rossi, R.E.; Rausa, E.; Cavalcoli, F.; Conte, D.; Massironi, S. Duodenal neuroendocrine neoplasms: A still poorly recognized clinical entity. Scand. J. Gastroenterol. 2018, 53, 835–842. [Google Scholar] [CrossRef]
- Vanoli, A.; La Rosa, S.; Klersy, C.; Grillo, F.; Albarello, L.; Inzani, F.; Maragliano, R.; Manca, R.; Luinetti, O.; Milione, M.; et al. Four Neuroendocrine Tumor Types and Neuroendocrine Carcinoma of the Duodenum: Analysis of 203 Cases. Neuroendocrinology 2017, 104, 112–125. [Google Scholar] [CrossRef]
- Das, S.; Dasari, A. Epidemiology, Incidence, and Prevalence of Neuroendocrine Neoplasms: Are There Global Differences? Curr. Oncol. Rep. 2021, 23, 43. [Google Scholar] [CrossRef]
- Yin, F.; Wu, Z.H.; Lai, J.P. New insights in diagnosis and treatment of gastroenteropancreatic neuroendocrine neoplasms. World J. Gastroenterol. 2022, 28, 1751–1767. [Google Scholar] [CrossRef]
- Pavlidis, E.T.; Pavlidis, T.E. Molecular factors, diagnosis and management of gastrointestinal tract neuroendocrine tumors: An update. World J. Clin. Cases 2022, 10, 9573–9587. [Google Scholar] [CrossRef]
- Kloppel, G.; Rindi, G.; Anlauf, M.; Perren, A.; Komminoth, P. Site-specific biology and pathology of gastroenteropancreatic neuroendocrine tumors. Virchows Arch. 2007, 451 (Suppl. S1), S9–S27. [Google Scholar] [CrossRef]
- Moris, D.; Tsilimigras, D.I.; Vagios, S.; Ntanasis-Stathopoulos, I.; Karachaliou, G.S.; Papalampros, A.; Alexandrou, A.; Blazer, D.G., 3rd; Felekouras, E. Neuroendocrine Neoplasms of the Appendix: A Review of the Literature. Anticancer Res. 2018, 38, 601–611. [Google Scholar] [CrossRef] [PubMed]
- Lousberg, L.; Collignon, J.; Detry, O. Appendiceal neuroendrocrine neoplasms: Incidentaloma or something we should worry about? Curr. Opin. Gastroenterol. 2020, 36, 48–54. [Google Scholar] [CrossRef] [PubMed]
- Alexandraki, K.I.; Kaltsas, G.A.; Grozinsky-Glasberg, S.; Chatzellis, E.; Grossman, A.B. Appendiceal neuroendocrine neoplasms: Diagnosis and management. Endocr. Relat. Cancer 2016, 23, R27-41. [Google Scholar] [CrossRef] [PubMed]
- Bertani, E.; Ravizza, D.; Milione, M.; Massironi, S.; Grana, C.M.; Zerini, D.; Piccioli, A.N.; Spinoglio, G.; Fazio, N. Neuroendocrine neoplasms of rectum: A management update. Cancer Treat. Rev. 2018, 66, 45–55. [Google Scholar] [CrossRef]
- Storino, A.; Wong, D.; Ore, A.S.; Gaytan-Fuentes, I.A.; Fabrizio, A.; Cataldo, T.; Messaris, E. Recurrence and Survival of Neuroendocrine Neoplasms of the Rectum: Single-Center Experience. J. Gastrointest. Surg. 2021, 25, 2398–2400. [Google Scholar] [CrossRef]
- Papaefthymiou, A.; Laskaratos, F.M.; Koffas, A.; Manolakis, A.; Gkolfakis, P.; Coda, S.; Sodergren, M.; Suzuki, N.; Toumpanakis, C. State of the Art in Endoscopic Therapy for the Management of Gastroenteropancreatic Neuroendocrine Tumors. Curr. Treat. Options Oncol. 2022, 23, 1014–1034. [Google Scholar] [CrossRef]
- Poblocki, J.; Jasinska, A.; Syrenicz, A.; Andrysiak-Mamos, E.; Szczuko, M. The Neuroendocrine Neoplasms of the Digestive Tract: Diagnosis, Treatment and Nutrition. Nutrients 2020, 12, 1437. [Google Scholar] [CrossRef]
- Sato, Y.; Hashimoto, S.; Mizuno, K.; Takeuchi, M.; Terai, S. Management of gastric and duodenal neuroendocrine tumors. World J. Gastroenterol. 2016, 22, 6817–6828. [Google Scholar] [CrossRef] [PubMed]
- Roseland, M.E.; Francis, I.R.; Shampain, K.L.; Stein, E.B.; Wasnik, A.P.; Millet, J.D. Gastric neuroendocrine neoplasms: A primer for radiologists. Abdom. Radiol. 2022, 47, 3993–4004. [Google Scholar] [CrossRef] [PubMed]
- Baumann, T.; Rottenburger, C.; Nicolas, G.; Wild, D. Gastroenteropancreatic neuroendocrine tumours (GEP-NET)—Imaging and staging. Best. Pract. Res. Clin. Endocrinol. Metab. 2016, 30, 45–57. [Google Scholar] [CrossRef] [PubMed]
- van der Velden, D.L.; Staal, F.C.R.; Aalbersberg, E.A.; Castagnoli, F.; Wilthagen, E.; Beets-Tan, R.G.H. Prognostic value of CT characteristics in GEP-NET: A systematic review. Crit. Rev. Oncol. Hematol. 2022, 175, 103713. [Google Scholar] [CrossRef]
- Ruf, J.; Schiefer, J.; Furth, C.; Kosiek, O.; Kropf, S.; Heuck, F.; Denecke, T.; Pavel, M.; Pascher, A.; Wiedenmann, B.; et al. 68Ga-DOTATOC PET/CT of neuroendocrine tumors: Spotlight on the CT phases of a triple-phase protocol. J. Nucl. Med. Off. Publ. Soc. Nucl. Med. 2011, 52, 697–704. [Google Scholar] [CrossRef]
- Morani, A.C.; Gupta, S.; Elsayes, K.M.; Mubarak, A.I.; Khalaf, A.M.; Bhosale, P.R.; Sun, J.; Jensen, C.T.; Kundra, V. Performance of Multidetector Computed Tomography and Negative Versus Positive Enteric Contrast for Evaluation of Gastrointestinal Neuroendocrine Neoplasms. J. Comput. Assist. Tomogr. 2022, 46, 333–343. [Google Scholar] [CrossRef]
- Martin, S.; Iravani, A.; Shetty, A.S.; Zulfiqar, M.; Morani, A.; Yano, M.; Bhosale, P.R.; Itani, M. Neuroendocrine neoplasm imaging: Protocols by site of origin. Abdom. Radiol. 2022, 47, 4081–4095. [Google Scholar] [CrossRef]
- Pilleul, F.; Penigaud, M.; Milot, L.; Saurin, J.C.; Chayvialle, J.A.; Valette, P.J. Possible small-bowel neoplasms: Contrast-enhanced and water-enhanced multidetector CT enteroclysis. Radiology 2006, 241, 796–801. [Google Scholar] [CrossRef]
- Soyer, P.; Dohan, A.; Eveno, C.; Dray, X.; Hamzi, L.; Hoeffel, C.; Kaci, R.; Boudiaf, M. Carcinoid tumors of the small-bowel: Evaluation with 64-section CT-enteroclysis. Eur. J. Radiol. 2013, 82, 943–950. [Google Scholar] [CrossRef]
- Dohan, A.; El Fattach, H.; Barat, M.; Guerrache, Y.; Eveno, C.; Dautry, R.; Mule, S.; Boudiaf, M.; Hoeffel, C.; Soyer, P. Neuroendocrine tumors of the small bowel: Evaluation with MR-enterography. Clin. Imaging 2016, 40, 541–547. [Google Scholar] [CrossRef]
- Dasari, A.; Shen, C.; Halperin, D.; Zhao, B.; Zhou, S.; Xu, Y.; Shih, T.; Yao, J.C. Trends in the Incidence, Prevalence, and Survival Outcomes in Patients With Neuroendocrine Tumors in the United States. JAMA Oncol. 2017, 3, 1335–1342. [Google Scholar] [CrossRef] [PubMed]
- Andren-Sandberg, A. Pancreatic endocrine tumors. N. Am. J. Med. Sci. 2011, 3, 164–166. [Google Scholar] [CrossRef] [PubMed]
- Okabayashi, T.; Shima, Y.; Sumiyoshi, T.; Kozuki, A.; Ito, S.; Ogawa, Y.; Kobayashi, M.; Hanazaki, K. Diagnosis and management of insulinoma. World J. Gastroenterol. 2013, 19, 829–837. [Google Scholar] [CrossRef]
- Oberg, K.; Eriksson, B. Endocrine tumours of the pancreas. Best. Pract. Res. Clin. Gastroenterol. 2005, 19, 753–781. [Google Scholar] [CrossRef]
- Lewis, R.B.; Lattin, G.E., Jr.; Paal, E. Pancreatic endocrine tumors: Radiologic-clinicopathologic correlation. Radiographics 2010, 30, 1445–1464. [Google Scholar] [CrossRef]
- Sada, A.; Habermann, E.B.; Szabo Yamashita, T.; Thompson, G.B.; Lyden, M.L.; Foster, T.R.; Dy, B.M.; Halfdanarson, T.R.; Vella, A.; McKenzie, T.J. Comparison Between Sporadic and Multiple Endocrine Neoplasia Type 1-Associated Insulinoma. J. Am. Coll. Surg. 2022, 235, 756–763. [Google Scholar] [CrossRef]
- Scott, A.T.; Howe, J.R. Evaluation and Management of Neuroendocrine Tumors of the Pancreas. Surg. Clin. N. Am. 2019, 99, 793–814. [Google Scholar] [CrossRef] [PubMed]
- Huang, S.F.; Kuo, I.M.; Lee, C.W.; Pan, K.T.; Chen, T.C.; Lin, C.J.; Hwang, T.L.; Yu, M.C. Comparison study of gastrinomas between gastric and non-gastric origins. World J. Surg. Oncol. 2015, 13, 202. [Google Scholar] [CrossRef]
- Norton, J.A.; Foster, D.S.; Blumgart, L.H.; Poultsides, G.A.; Visser, B.C.; Fraker, D.L.; Alexander, H.R.; Jensen, R.T. Incidence and Prognosis of Primary Gastrinomas in the Hepatobiliary Tract. JAMA Surg. 2018, 153, e175083. [Google Scholar] [CrossRef]
- Brown, G.; Monaghan, A.M.; Fristedt, R.; Ramsey, E.; Al-Mrayat, M.; Rajak, R.; Armstrong, T.; Takhar, A. Metastatic mixed VIPoma/PPoma-induced diarrhoea causing renal failure. Endocrinol. Diabetes Metab. Case Rep. 2022, 2022. [Google Scholar] [CrossRef]
- Kaur, A.; Wang, S.; Herbert, J.; Steinberg, L.; Kumar, A. Analysis of Clinical Characteristics and Survival in Patients With Functional Neuroendocrine Tumors of Gastrointestinal Origin. Pancreas 2022, 51, 1171–1178. [Google Scholar] [CrossRef]
- Challis, B.G.; Casey, R.T.; Grossman, A.; Newell-Price, J.; Newey, P.; Thakker, R.V. What is the appropriate management of nonfunctioning pancreatic neuroendocrine tumours disclosed on screening in adult patients with multiple endocrine neoplasia type 1? Clin. Endocrinol. 2019, 91, 708–715. [Google Scholar] [CrossRef]
- Kim, J.H.; Eun, H.W.; Kim, Y.J.; Lee, J.M.; Han, J.K.; Choi, B.I. Pancreatic neuroendocrine tumour (PNET): Staging accuracy of MDCT and its diagnostic performance for the differentiation of PNET with uncommon CT findings from pancreatic adenocarcinoma. Eur. Radiol. 2016, 26, 1338–1347. [Google Scholar] [CrossRef] [PubMed]
- Prosperi, D.; Gentiloni Silveri, G.; Panzuto, F.; Faggiano, A.; Russo, V.M.; Caruso, D.; Polici, M.; Lauri, C.; Filice, A.; Laghi, A.; et al. Nuclear Medicine and Radiological Imaging of Pancreatic Neuroendocrine Neoplasms: A Multidisciplinary Update. J. Clin. Med. 2022, 11, 6836. [Google Scholar] [CrossRef]
- Gallotti, A.; Johnston, R.P.; Bonaffini, P.A.; Ingkakul, T.; Deshpande, V.; Fernandez-del Castillo, C.; Sahani, D.V. Incidental neuroendocrine tumors of the pancreas: MDCT findings and features of malignancy. AJR Am. J. Roentgenol. 2013, 200, 355–362. [Google Scholar] [CrossRef] [PubMed]
- Lee, L.; Ito, T.; Jensen, R.T. Imaging of pancreatic neuroendocrine tumors: Recent advances, current status, and controversies. Expert. Rev. Anticancer. Ther. 2018, 18, 837–860. [Google Scholar] [CrossRef]
- Owen, N.J.; Sohaib, S.A.; Peppercorn, P.D.; Monson, J.P.; Grossman, A.B.; Besser, G.M.; Reznek, R.H. MRI of pancreatic neuroendocrine tumours. Br. J. Radiol. 2001, 74, 968–973. [Google Scholar] [CrossRef]
- Bicci, E.; Cozzi, D.; Ferrari, R.; Grazzini, G.; Pradella, S.; Miele, V. Pancreatic neuroendocrine tumours: Spectrum of imaging findings. Gland. Surg. 2020, 9, 2215–2224. [Google Scholar] [CrossRef]
- Sundin, A.; Arnold, R.; Baudin, E.; Cwikla, J.B.; Eriksson, B.; Fanti, S.; Fazio, N.; Giammarile, F.; Hicks, R.J.; Kjaer, A.; et al. ENETS Consensus Guidelines for the Standards of Care in Neuroendocrine Tumors: Radiological, Nuclear Medicine & Hybrid Imaging. Neuroendocrinology 2017, 105, 212–244. [Google Scholar] [CrossRef] [PubMed]
- d’Assignies, G.; Fina, P.; Bruno, O.; Vullierme, M.P.; Tubach, F.; Paradis, V.; Sauvanet, A.; Ruszniewski, P.; Vilgrain, V. High sensitivity of diffusion-weighted MR imaging for the detection of liver metastases from neuroendocrine tumors: Comparison with T2-weighted and dynamic gadolinium-enhanced MR imaging. Radiology 2013, 268, 390–399. [Google Scholar] [CrossRef]
- Harimoto, N.; Araki, K.; Hoshino, K.; Muranushi, R.; Hagiwara, K.; Ishii, N.; Tsukagoshi, M.; Igarashi, T.; Watanabe, A.; Kubo, N.; et al. Diffusion-Weighted MRI Predicts Lymph Node Metastasis and Tumor Aggressiveness in Resectable Pancreatic Neuroendocrine Tumors. World J. Surg. 2020, 44, 4136–4141. [Google Scholar] [CrossRef]
- Geijer, H.; Breimer, L.H. Somatostatin receptor PET/CT in neuroendocrine tumours: Update on systematic review and meta-analysis. Eur. J. Nucl. Med. Mol. Imaging 2013, 40, 1770–1780. [Google Scholar] [CrossRef]
- Treglia, G.; Sadeghi, R.; Giovinazzo, F.; Galiandro, F.; Annunziata, S.; Muoio, B.; Kroiss, A.S. PET with Different Radiopharmaceuticals in Neuroendocrine Neoplasms: An Umbrella Review of Published Meta-Analyses. Cancers 2021, 13, 5172. [Google Scholar] [CrossRef]
- Fortunati, E.; Argalia, G.; Zanoni, L.; Fanti, S.; Ambrosini, V. New PET Radiotracers for the Imaging of Neuroendocrine Neoplasms. Curr. Treat. Options Oncol. 2022, 23, 703–720. [Google Scholar] [CrossRef]
- Thang, S.P.; Lung, M.S.; Kong, G.; Hofman, M.S.; Callahan, J.; Michael, M.; Hicks, R.J. Peptide receptor radionuclide therapy (PRRT) in European Neuroendocrine Tumour Society (ENETS) grade 3 (G3) neuroendocrine neoplasia (NEN)—A single-institution retrospective analysis. Eur. J. Nucl. Med. Mol. Imaging 2018, 45, 262–277. [Google Scholar] [CrossRef] [PubMed]
- Yoo, J.; Kim, S.H.; Jeon, S.K.; Bae, J.S.; Han, J.K. Added value of [(68)Ga]Ga-DOTA-TOC PET/CT for characterizing pancreatic neuroendocrine neoplasms: A comparison with contrast-enhanced CT and/or MRI in a large study cohort. Eur. Radiol. 2021, 31, 7734–7745. [Google Scholar] [CrossRef]
- Schmid-Tannwald, C.; Schmid-Tannwald, C.M.; Morelli, J.N.; Neumann, R.; Haug, A.R.; Jansen, N.; Nikolaou, K.; Schramm, N.; Reiser, M.F.; Rist, C. Comparison of abdominal MRI with diffusion-weighted imaging to 68Ga-DOTATATE PET/CT in detection of neuroendocrine tumors of the pancreas. Eur. J. Nucl. Med. Mol. Imaging 2013, 40, 897–907. [Google Scholar] [CrossRef] [PubMed]
- Sadowski, S.M.; Neychev, V.; Millo, C.; Shih, J.; Nilubol, N.; Herscovitch, P.; Pacak, K.; Marx, S.J.; Kebebew, E. Prospective Study of 68Ga-DOTATATE Positron Emission Tomography/Computed Tomography for Detecting Gastro-Entero-Pancreatic Neuroendocrine Tumors and Unknown Primary Sites. J. Clin. Oncol. Off. J. Am. Soc. Clin. Oncol. 2016, 34, 588–596. [Google Scholar] [CrossRef]
- Schraml, C.; Schwenzer, N.F.; Sperling, O.; Aschoff, P.; Lichy, M.P.; Muller, M.; Brendle, C.; Werner, M.K.; Claussen, C.D.; Pfannenberg, C. Staging of neuroendocrine tumours: Comparison of [(6)(8)Ga]DOTATOC multiphase PET/CT and whole-body MRI. Cancer Imaging 2013, 13, 63–72. [Google Scholar] [CrossRef] [PubMed]
- Beiderwellen, K.J.; Poeppel, T.D.; Hartung-Knemeyer, V.; Buchbender, C.; Kuehl, H.; Bockisch, A.; Lauenstein, T.C. Simultaneous 68Ga-DOTATOC PET/MRI in patients with gastroenteropancreatic neuroendocrine tumors: Initial results. Investig. Radiol. 2013, 48, 273–279. [Google Scholar] [CrossRef]
- Sawicki, L.M.; Deuschl, C.; Beiderwellen, K.; Ruhlmann, V.; Poeppel, T.D.; Heusch, P.; Lahner, H.; Fuhrer, D.; Bockisch, A.; Herrmann, K.; et al. Evaluation of (68)Ga-DOTATOC PET/MRI for whole-body staging of neuroendocrine tumours in comparison with (68)Ga-DOTATOC PET/CT. Eur. Radiol. 2017, 27, 4091–4099. [Google Scholar] [CrossRef]
- Rajamohan, N.; Khasawneh, H.; Singh, A.; Suman, G.; Johnson, G.B.; Majumder, S.; Halfdanarson, T.R.; Goenka, A.H. PET/CT and PET/MRI in neuroendocrine neoplasms. Abdom. Radiol. 2022, 47, 4058–4072. [Google Scholar] [CrossRef] [PubMed]
- Gao, J.; Xu, S.; Ju, H.; Pan, Y.; Zhang, Y. The potential application of MR-derived ADCmin values from (68)Ga-DOTATATE and (18)F-FDG dual tracer PET/MR as replacements for FDG PET in assessment of grade and stage of pancreatic neuroendocrine tumors. EJNMMI Res. 2023, 13, 10. [Google Scholar] [CrossRef] [PubMed]
- Galgano, S.J.; Iravani, A.; Bodei, L.; El-Haddad, G.; Hofman, M.S.; Kong, G. Imaging of Neuroendocrine Neoplasms: Monitoring Treatment Response-AJR Expert Panel Narrative Review. AJR Am. J. Roentgenol. 2022, 218, 767–780. [Google Scholar] [CrossRef] [PubMed]
- Weber, M.; Kessler, L.; Schaarschmidt, B.; Fendler, W.P.; Lahner, H.; Antoch, G.; Umutlu, L.; Herrmann, K.; Rischpler, C. Treatment-related changes in neuroendocrine tumors as assessed by textural features derived from (68)Ga-DOTATOC PET/MRI with simultaneous acquisition of apparent diffusion coefficient. BMC Cancer 2020, 20, 326. [Google Scholar] [CrossRef]
- Rizzo, S.; Botta, F.; Raimondi, S.; Origgi, D.; Fanciullo, C.; Morganti, A.G.; Bellomi, M. Radiomics: The facts and the challenges of image analysis. Eur. Radiol. Exp. 2018, 2, 36. [Google Scholar] [CrossRef] [PubMed]
- Gillies, R.J.; Kinahan, P.E.; Hricak, H. Radiomics: Images Are More than Pictures, They Are Data. Radiology 2016, 278, 563–577. [Google Scholar] [CrossRef] [PubMed]
- Chiti, G.; Grazzini, G.; Flammia, F.; Matteuzzi, B.; Tortoli, P.; Bettarini, S.; Pasqualini, E.; Granata, V.; Busoni, S.; Messserini, L.; et al. Gastroenteropancreatic neuroendocrine neoplasms (GEP-NENs): A radiomic model to predict tumor grade. Radiol. Med. 2022, 127, 928–938. [Google Scholar] [CrossRef]
- Gu, D.; Hu, Y.; Ding, H.; Wei, J.; Chen, K.; Liu, H.; Zeng, M.; Tian, J. CT radiomics may predict the grade of pancreatic neuroendocrine tumors: A multicenter study. Eur. Radiol. 2019, 29, 6880–6890. [Google Scholar] [CrossRef]
- Liang, W.; Yang, P.; Huang, R.; Xu, L.; Wang, J.; Liu, W.; Zhang, L.; Wan, D.; Huang, Q.; Lu, Y.; et al. A Combined Nomogram Model to Preoperatively Predict Histologic Grade in Pancreatic Neuroendocrine Tumors. Clin. Cancer Res. 2019, 25, 584–594. [Google Scholar] [CrossRef]








| WHO-Grade | Ki-67 Index | Mitotic Count/10 HPF |
|---|---|---|
| Grade 1 NET | <3% | 10 |
| Grade 2 NET | 3–20% | 2–20 |
| Grade 3 NET | >20% | >20 |
| Grade 3 NEC | >20% | >20 |
| T Stage | Description |
|---|---|
| TX | Primary tumor cannot be assessed |
| T0 | No evidence of primary tumor |
| T1 | Tumor limited to the submucosa or muscularis propria |
| T2 | Tumor invades beyond the muscularis propria into the subserosa or serosa without invasion of adjacent structures |
| T3 | Tumor invades adjacent structures |
| T4 | Tumor invades through the wall of the visceral peritoneum or into adjacent organs or structures |
| N stage | Description |
| NX | Regional lymph nodes cannot be assessed |
| N0 | No regional lymph node metastasis |
| N1 | Regional lymph node metastasis |
| M stage | Description |
| MX | Distant metastasis cannot be assessed |
| M0 | No distant metastasis |
| M1 | Distant metastasis |
| Stage | Description |
|---|---|
| I | Small tumors that have invaded nearby tissues but have not spread to lymph nodes or distant sites. |
| II | Larger tumors that have invaded nearby tissues and may or may not have spread to nearby lymph nodes but have not yet metastasized to distant sites. |
| III | Tumors of any size that have spread to nearby lymph nodes but have not yet metastasized to distant sites. |
| IV | Tumors of any size that have metastasized to distant sites in the body, such as the liver, lungs, or bones. |
| Symptom | Description |
|---|---|
| Abdominal pain | Patients with GEP-NEN may experience persistent abdominal pain, especially in the upper abdomen. |
| Diarrhea or constipation | Changes in bowel habits, including diarrhea or constipation, can occur due to the presence of a tumor in the gastrointestinal tract. |
| Gastrointestinal bleeding | GEP-NEN tumors may cause bleeding in the gastrointestinal tract, resulting in hematochezia or hematemesis. |
| Heartburn or acid reflux | Patients with tumors in the stomach or esophagus may experience symptoms of acid reflux or heartburn. |
| Unintentional weight loss | Patients with GEP-NEN may lose weight without intending to due to a lack of appetite or malabsorption. |
| Jaundice | Tumors in the pancreas or bile ducts may cause jaundice, which is characterized by yellowing of the skin and eyes. |
| Flushing | Some types of GEP-NENs can produce hormones that cause flushing, a sudden redness, and warmth in the face and neck. |
| Modality/Diagnostic Tool | Characteristics | Limitations |
|---|---|---|
| Contrast-enhanced CT |
|
|
| Contrast-enhanced MRI |
|
|
| 68Gallium-DOTA-TOC/-NOC/-TATE PET |
|
|
| Endoscopic ultrasound (EUS) |
|
|
| PET/MRI |
|
|
| Radiomics |
|
|
Disclaimer/Publisher’s Note: The statements, opinions and data contained in all publications are solely those of the individual author(s) and contributor(s) and not of MDPI and/or the editor(s). MDPI and/or the editor(s) disclaim responsibility for any injury to people or property resulting from any ideas, methods, instructions or products referred to in the content. |
© 2023 by the authors. Licensee MDPI, Basel, Switzerland. This article is an open access article distributed under the terms and conditions of the Creative Commons Attribution (CC BY) license (https://creativecommons.org/licenses/by/4.0/).
Share and Cite
Vogele, D.; Schmidt, S.A.; Gnutzmann, D.; Thaiss, W.M.; Ettrich, T.J.; Kornmann, M.; Beer, M.; Juchems, M.S. Gastroenteropancreatic Neuroendocrine Tumors—Current Status and Advances in Diagnostic Imaging. Diagnostics 2023, 13, 2741. https://doi.org/10.3390/diagnostics13172741
Vogele D, Schmidt SA, Gnutzmann D, Thaiss WM, Ettrich TJ, Kornmann M, Beer M, Juchems MS. Gastroenteropancreatic Neuroendocrine Tumors—Current Status and Advances in Diagnostic Imaging. Diagnostics. 2023; 13(17):2741. https://doi.org/10.3390/diagnostics13172741
Chicago/Turabian StyleVogele, Daniel, Stefan A. Schmidt, Daniel Gnutzmann, Wolfgang M. Thaiss, Thomas J. Ettrich, Marko Kornmann, Meinrad Beer, and Markus S. Juchems. 2023. "Gastroenteropancreatic Neuroendocrine Tumors—Current Status and Advances in Diagnostic Imaging" Diagnostics 13, no. 17: 2741. https://doi.org/10.3390/diagnostics13172741
APA StyleVogele, D., Schmidt, S. A., Gnutzmann, D., Thaiss, W. M., Ettrich, T. J., Kornmann, M., Beer, M., & Juchems, M. S. (2023). Gastroenteropancreatic Neuroendocrine Tumors—Current Status and Advances in Diagnostic Imaging. Diagnostics, 13(17), 2741. https://doi.org/10.3390/diagnostics13172741

