Incidental Focal Spleen Lesions: Integrated Imaging and Pattern Recognition Approach to the Differential Diagnosis
Abstract
1. Introduction
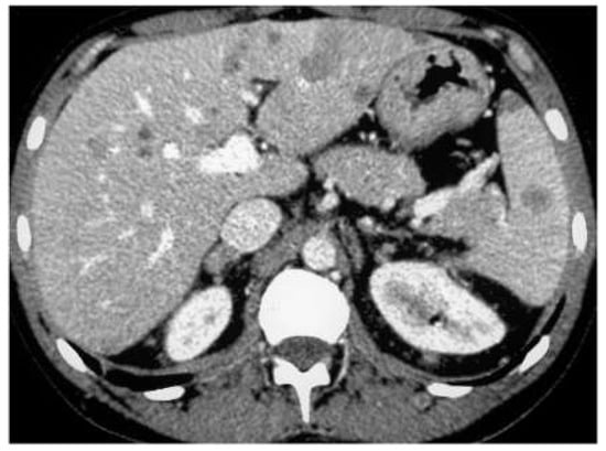
2. Incidental Spleen Abnormalities
2.1. Anatomical Variations
2.2. Enhancement-Related Pseudolesions
2.3. Calcification
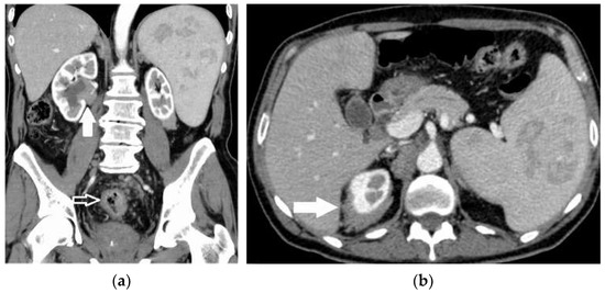
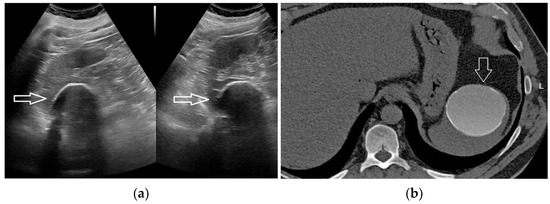
2.4. Cystic Lesions
2.5. Hematoma and Abscess
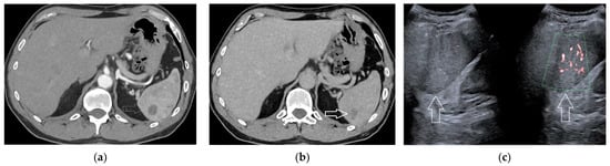
2.6. Infarcts
2.7. Solid Lesions
3. Risk of Malignancy and Pattern Recognition
4. Spleen Lesions Sampling
5. Published Algorithms
6. Conclusions
Author Contributions
Funding
Institutional Review Board Statement
Informed Consent Statement
Data Availability Statement
Conflicts of Interest
References
- Calle-Toro, J.S.; Kelly, A.; Ford, E.J.; Zemel, B.S.; Schall, J.I.; Adgent, M.A.; Umbach, D.M.; Rogan, W.J.; Stallings, V.A.; Darge, K.; et al. Incidental findings during ultrasound of thyroid, breast, testis, uterus and ovary in healthy term neonates. J. Ultrasound 2019, 22, 395–400. [Google Scholar] [CrossRef] [PubMed]
- Salerno, S.; Laghi, A.; Cantone, M.C.; Sartori, P.; Pinto, A.; Frija, G. Overdiagnosis and overimaging: An ethical issue for radiological protection. Radiol. Med. 2019, 124, 714–720. [Google Scholar] [CrossRef] [PubMed]
- Scharitzer, M.; Tamandl, D.; Ba-Ssalamah, A. Incidental findings of liver, biliary system, pancreas and spleen in asymptomatic patients: Assessment and management recommendations. Radiologe 2017, 57, 270–278. [Google Scholar] [CrossRef] [PubMed]
- Cutaia, G.; Tosto, G.; Cannella, R.; Bruno, A.; Leto, C.; Salvaggio, L.; Cutaia, S.; Lombardo, F.P.; Dispensa, N.; Giambelluca, D.; et al. Prevalence and clinical significance of incidental findings on multiparametric prostate MRI. Radiol. Med. 2020, 125, 204–213. [Google Scholar] [CrossRef]
- La Grutta, L.; Malagò, R.; Maffei, E.; Barbiani, C.; Pezzato, A.; Martini, C.; Arcadi, T.; Clemente, A.; Mollet, N.R.; Zuccarelli, A.; et al. Collateral non cardiac findings in clinical routine CT coronary angiography: Results from a multi-center registry. Radiol. Med. 2015, 120, 1122–1129. [Google Scholar] [CrossRef]
- Lorusso, F.; Principi, M.; Pedote, P.; Pignataro, P.; Francavilla, M.; Sardaro, A.; Scardapane, A. Prevalence and clinical significance of incidental extra-intestinal findings in MR enterography: Experience of a single University Centre. Radiol. Med. 2021, 126, 181–188. [Google Scholar] [CrossRef]
- Granata, V.; Simonetti, I.; Fusco, R.; Setola, S.V.; Izzo, F.; Scarpato, L.; Vanella, V.; Festino, L.; Simeone, E.; Ascierto, P.A.; et al. Management of cutaneous melanoma: Radiologists challenging and risk assessment. Radiol. Med. 2022, 127, 899–911. [Google Scholar] [CrossRef]
- Petralia, G.; Zugni, F.; Summers, P.E.; Colombo, A.; Pricolo, P.; Grazioli, L.; Colagrande, S.; Giovagnoni, A.; Padhani, A.R.; Italian Working Group on Magnetic Resonance. Whole-body magnetic resonance imaging (WB-MRI) for cancer screening: Recommendations for use. Radiol. Med. 2021, 126, 1434–1450. [Google Scholar] [CrossRef]
- Trenker, C.; Görg, C.; Freeman, S.; Jenssen, C.; Dong, Y.; Caraiani, C.; Ioanițescu, E.S.; Dietrich, C.F. WFUMB position paper-incidental findings, how to manage: Spleen. Ultrasound Med. Biol. 2021, 47, 2017–2032. [Google Scholar] [CrossRef]
- Ekeh, A.P.; Walusimbi, M.; Brigham, E.; Woods, R.J.; McCarthy, M.C. The prevalence of incidental findings on abdominal computed tomography scans of trauma patients. J. Emerg. Med. 2010, 38, 484–489. [Google Scholar] [CrossRef]
- Paluska, T.R.; Sise, M.J.; Sack, D.I.; Sise, C.B.; Egan, M.C.; Biondi, M. Incidental CT findings in trauma patients: Incidence and implications for care of the injured. J. Trauma 2007, 62, 157–161. [Google Scholar] [CrossRef] [PubMed]
- Ozao-Choy, J.; Kim, U.; Vieux, U.; Mens, T.S. Incidental findings on computed tomography scans for acute appendicitis: Prevalence, costs, and outcome. Am. Surg. 2011, 77, 1502–1509. [Google Scholar] [CrossRef] [PubMed]
- Buijtendijk, M.F.; Peters, J.J.; Visser, S.C.; van Tongeren, F.H.; Dawood, Y.; Lobé, N.H.; van den Hoff, M.J.; Oostra, R.J.; de Bakker, B.S. Morphological variations of the human spleen: No evidence for a multifocal or lobulated developmental origin. Br. J. Radiol. 2023, 96, 20220744. [Google Scholar] [CrossRef] [PubMed]
- Di Serafino, M.; Verde, F.; Ferro, F.; Vezzali, N.; Rossi, E.; Acampora, C.; Valente, I.; Pelliccia, P.; Speca, S.; Vallone, G. Ultrasonography of the pediatric spleen: A pictorial essay. J. Ultrasound 2019, 22, 503–512. [Google Scholar] [CrossRef] [PubMed]
- Catalano, O.; Sandomenico, F.; Vallone, P.; D’Errico, A.G.; Siani, A. Contrast-enhanced sonography of the spleen. Semin. Ultrasound CT MR 2006, 27, 426–433. [Google Scholar] [CrossRef]
- Karlo, C.A.; Stolzmann, P.; Do, R.K.; Alkadhi, H. Computed tomography of the spleen: How to interpret the hypodense lesion. Insights Imaging 2013, 4, 65–76. [Google Scholar] [CrossRef]
- Ahmed, S.; Horton, K.M.; Fishman, E.K. Splenic incidentalomas. Radiol. Clin. N. Am. 2011, 49, 323–347. [Google Scholar] [CrossRef]
- Heller, M.T.; Harisinghani, M.; Neitlich, J.D.; Yeghiayan, P.; Berland, L.L. Managing incidental findings on abdominal and pelvic CT and MRI, part 3: White paper of the ACR Incidental Findings Committee II on splenic and nodal findings. J. Am. Coll. Radiol. 2013, 10, 833–839. [Google Scholar] [CrossRef]
- Kim, N.; Auerbach, A.; Manning, M.A. Algorithmic approach to the splenic lesion based on radiologic-pathologic correlation. RadioGraphics 2022, 42, 683–701. [Google Scholar] [CrossRef]
- Sutherland, T.; Temple, F.; Hennessy, O.; Lee, W.K. Abdomen’s forgotten organ: Sonography and CT of focal splenic lesions. J. Med. Imaging Radiat. Oncol. 2010, 54, 120–128. [Google Scholar] [CrossRef]
- Barat, M.; Hoeffel, C.; Aissaoui, M.; Dohan, A.; Oudjit, A.; Dautry, R.; Paisant, A.; Malgras, B.; Cottereau, A.S.; Soyer, P. Focal splenic lesions: Imaging spectrum of diseases on CT, MRI and PET/CT. Diagn. Interv. Imaging 2021, 102, 501–513. [Google Scholar] [CrossRef]
- Warshauer, D.M.; Hall, H.L. Solitary splenic lesions. Semin. Ultrasound CT MR 2006, 27, 370–388. [Google Scholar] [CrossRef] [PubMed]
- Yocum, B.P.; Hwang, M.; Mesa, H.; Collins, K. Differential diagnosis of cystic lesions of the spleen: A review of clinical, imaging and pathological findings. Int. J. Surg. Pathol. 2023, 31, 498–508. [Google Scholar] [CrossRef]
- Thut, D.; Smolinski, S.; Morrow, M.; McCarthy, S.; Alsina, J.; Kreychman, A.; Rakita, D. A diagnostic approach to splenic lesions. Appl. Radiol. 2017, 46, 7–22. [Google Scholar] [CrossRef] [PubMed]
- Gore, R.M.; Ecanow, J.S. Management of splenic “incidentalomas” found on ultrasound and computed tomography. Cancer Imaging 2015, 15 (Suppl. S1), O11. [Google Scholar] [CrossRef]
- Granata, V.; Fusco, R.; Cozzi, D.; Danti, G.; Faggioni, L.; Buccicardi, D.; Prost, R.; Ferrari, R.; Trinci, M.; Galluzzo, M.; et al. Structured reporting of computed tomography in the polytrauma patient assessment: A Delphi consensus proposal. Radiol. Med. 2023, 128, 222–233. [Google Scholar] [CrossRef]
- Leone, E.; Ferrari, R.; Trinci, M.; Cingolani, E.; Galluzzo, M. Imaging features of electric scooter trauma: What an emergency radiologist needs to know. Radiol. Med. 2022, 127, 872–880. [Google Scholar] [CrossRef]
- Choi, G.; Kim, K.A.; Lee, J.; Park, Y.S.; Lee, J.; Choi, J.W.; Lee, C.H. Ultrasonographic atlas of splenic lesions. Ultrasonography 2022, 41, 416–429. [Google Scholar] [CrossRef]
- Sangster, G.P.; Malikayil, K.; Donato, M.; Ballard, D.H. MDCT findings of splenic pathology. Curr. Probl. Diagn. Radiol. 2022, 51, 262–269. [Google Scholar] [CrossRef] [PubMed]
- Ros, P.R.; Moser, R.P., Jr.; Dachman, A.H.; Murari, P.J.; Olmsted, W.W. Hemangioma of the spleen: Radiologic-pathologic correlation in ten cases. Radiology 1987, 162 Pt 1, 73–77. [Google Scholar] [CrossRef]
- Lam, K.Y.; Tang, V. Metastatic tumors to the spleen: A 25-year clinicopathologic study. Arch. Pathol. Lab. Med. 2000, 124, 526–530. [Google Scholar] [CrossRef] [PubMed]
- Sauer, J.; Sobolewski, K.; Dommisch, K. Splenic metastases—Not a frequent problem, but an underestimate location of metastases: Epidemiology and course. J. Cancer Res. Clin. Oncol. 2009, 135, 667–671. [Google Scholar] [CrossRef] [PubMed]
- Dhyani, M.; Anupindi, S.A.; Ayyala, R.; Hahn, P.F.; Gee, M.S. Defining an imaging algorithm for noncystic splenic lesions identified in young patients. AJR Am. J. Roentgenol. 2013, 201, W893–W899. [Google Scholar] [CrossRef]
- Ignee, A.; Cui, X.; Hirche, T.; Demolo, C.; Barreiros, A.P.; Schuessler, G.; Dietrich, C.F. Percutaneous biopsies of splenic lesions--a clinical and contrast enhanced ultrasound based algorithm. Clin. Hemorheol. Microcirc. 2014, 58, 529–541. [Google Scholar] [CrossRef]
- Abrishami, A.; Khalili, N.; Kooraki, S.; Abrishami, Y.; Grenacher, L.; Kauczor, H.U. Evaluation of cross-sectional imaging features that aid in the differentiation of benign and malignant splenic lesions. Eur. J. Radiol. 2021, 136, 109549. [Google Scholar] [CrossRef]
- Thipphavong, S.; Duigenan, S.; Schindera, S.T.; Gee, M.S.; Philips, S. Nonneoplastic, benign, and malignant splenic diseases: Cross-sectional imaging findings and rare disease entities. AJR Am. J. Roentgenol. 2014, 203, 315–322. [Google Scholar] [CrossRef] [PubMed]
- Jang, S.; Kim, J.H.; Hur, B.Y.; Ahn, S.J.; Joo, I.; Kim, M.J.; Han, J.K. Role of CT in differentiating malignant focal splenic lesions. Korean J. Radiol. 2018, 19, 930–937. [Google Scholar] [CrossRef] [PubMed]
- Cao, F.; Qian, W.; Ma, Y.; Wu, Y.; Zhong, J. Contrast-enhanced imaging features and differentiation of benign and malignant focal splenic lesions. Clin. Imaging 2018, 49, 58–64. [Google Scholar] [CrossRef]
- Choi, Y.; Kim, S.H.; Jang, K.M.; Kang, T.W.; Song, K.D.; Moon, J.Y.; Choi, Y.H.; Lee, B.R. The value of contrast-enhanced dynamic and diffusion-weighted MR imaging for distinguishing benign and malignant splenic masses. Br. J. Radiol. 2016, 89, 20160054. [Google Scholar] [CrossRef]
- Mainenti, P.P.; Iodice, D.; Cozzolino, I.; Segreto, S.; Capece, S.; Sica, G.; Magliulo, M.; Ciancia, G.; Pace, L.; Salvatore, M. Tomographic imaging of the spleen: The role of morphological and metabolic features in differentiating benign from malignant diseases. Clin. Imaging 2012, 36, 559–567. [Google Scholar] [CrossRef]
- Tana, C.; Dietrich, C.F.; Schiavone, C. Hepatosplenic sarcoidosis: Contrast-enhanced ultrasound findings and implications for clinical practice. Biomed. Res. Int. 2014, 2014, 926203. [Google Scholar] [CrossRef] [PubMed]
- Bowerson, M.; Menias, C.O.; Lee, K.; Fowler, K.J.; Luna, A.; Yano, M.; Sandrasegaran, K.; Elsayes, K.M. Hot spleen: Hypervascular lesions of the spleen. Abdom. Imaging 2015, 40, 2796–2813. [Google Scholar] [CrossRef] [PubMed]
- Trinci, M.; Giangregorio, C.; Calabrese, G.; Ottaviani, P.; Riu, P.; Galluzzo, M.; Miele, V. A rare case of non-traumatic intrasplenic pseudoaneurysms in a patient with acute T-cell lymphoblastic leukemia. J. Ultrasound 2021, 24, 85–90. [Google Scholar] [CrossRef] [PubMed]
- Schwarze, V.; Lindner, F.; Marschner, C.; Negrão de Figueiredo, G.; Rübenthaler, J.; Clevert, D.A. Single-center study: The diagnostic performance of contrast-enhanced ultrasound (CEUS) for assessing focal splenic lesions compared to CT and MRI. Clin. Hemorheol. Microcirc. 2019, 73, 65–71. [Google Scholar] [CrossRef] [PubMed]
- Corvino, A.; Varelli, C.; Catalano, F.; Cocco, G.; Delli Pizzi, A.; Boccatonda, A.; Corvino, F.; Basile, L.; Catalano, O. Use of High-Frequency Transducers in Breast Sonography. J. Pers. Med. 2022, 12, 1960. [Google Scholar] [CrossRef]
- Metser, U.; Miller, E.; Kessler, A.; Lerman, H.; Lievshitz, G.; Oren, R.; Even-Sapir, E. Solid splenic masses: Evaluation with 18F-FDG PET/CT. J. Nucl. Med. 2005, 46, 52–59. [Google Scholar] [CrossRef]
- Metser, U.; Even-Sapir, E. The role of 18F-FDG PET/CT in the evaluation of solid splenic masses. Semin. Ultrasound CT MR 2006, 27, 420–425. [Google Scholar] [CrossRef]
- Corvino, A.; Catalano, F.; Cipolletta Campanile, A.; Cocco, G.; Delli Pizzi, A.; Corvino, F.; Varelli, C.; Catalano, O. Interventional Ultrasound in Dermatology: A Pictorial Overview Focusing on Cutaneous Melanoma Patients. J. Ultrasound Med. Off. J. Am. Inst. Ultrasound Med. 2022, 41, 3137–3144. [Google Scholar] [CrossRef]
- Tam, A.; Krishnamurthy, S.; Pillsbury, E.P.; Ensor, J.E.; Gupta, S.; Murthy, R.; Ahrar, K.; Wallace, M.J.; Hicks, M.E.; Madoff, D.C. Percutaneous image-guided splenic biopsy in the oncology patient: An audit of 156 consecutive cases. J. Vasc. Interv. Radiol. 2008, 19, 80–88. [Google Scholar] [CrossRef]








Disclaimer/Publisher’s Note: The statements, opinions and data contained in all publications are solely those of the individual author(s) and contributor(s) and not of MDPI and/or the editor(s). MDPI and/or the editor(s) disclaim responsibility for any injury to people or property resulting from any ideas, methods, instructions or products referred to in the content. |
© 2023 by the authors. Licensee MDPI, Basel, Switzerland. This article is an open access article distributed under the terms and conditions of the Creative Commons Attribution (CC BY) license (https://creativecommons.org/licenses/by/4.0/).
Share and Cite
Corvino, A.; Granata, V.; Tafuri, D.; Cocco, G.; Catalano, O. Incidental Focal Spleen Lesions: Integrated Imaging and Pattern Recognition Approach to the Differential Diagnosis. Diagnostics 2023, 13, 2536. https://doi.org/10.3390/diagnostics13152536
Corvino A, Granata V, Tafuri D, Cocco G, Catalano O. Incidental Focal Spleen Lesions: Integrated Imaging and Pattern Recognition Approach to the Differential Diagnosis. Diagnostics. 2023; 13(15):2536. https://doi.org/10.3390/diagnostics13152536
Chicago/Turabian StyleCorvino, Antonio, Vincenza Granata, Domenico Tafuri, Giulio Cocco, and Orlando Catalano. 2023. "Incidental Focal Spleen Lesions: Integrated Imaging and Pattern Recognition Approach to the Differential Diagnosis" Diagnostics 13, no. 15: 2536. https://doi.org/10.3390/diagnostics13152536
APA StyleCorvino, A., Granata, V., Tafuri, D., Cocco, G., & Catalano, O. (2023). Incidental Focal Spleen Lesions: Integrated Imaging and Pattern Recognition Approach to the Differential Diagnosis. Diagnostics, 13(15), 2536. https://doi.org/10.3390/diagnostics13152536

